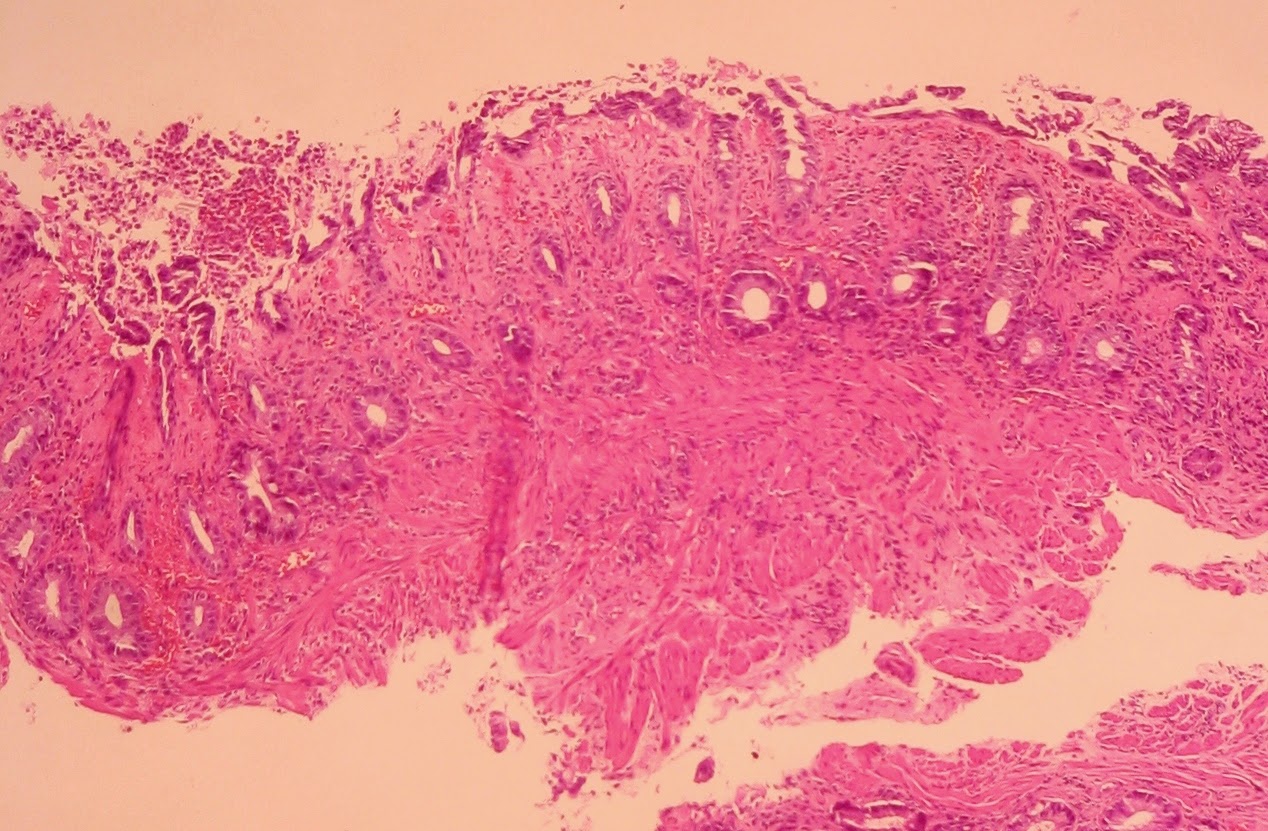
Intestinal Ischemia Histology . Mucosal surface damage with hemorrhagic necrosis and lamina propria hyalinization. Intestinal ischemia can result from various pathologic conditions. Imaging plays a key role in accurate and timely diagnosis, and radiologists must be familiar with the varied imaging appearances of intestinal ischemia. Bowel ischemia may be classified by etiology into the following categories: The presentations of ischemia can range from acute to subacute. Intestinal ischemia, which can affect the small or large intestine, can be caused by any process that reduces intestinal blood. This article serves to dispel both. Etiologies of acute intestinal ischemia can categorize as mesenteric arterial embolism (50%), intestinal. The presentations of ischemia can range from acute to subacute and from mild to severe. Resections of ischaemic bowel are one of the most common pathology specimens yet are often viewed as unappealing and diagnostically unrewarding. Intestinal ischemia can result from various pathologic conditions.
from medicine.nus.edu.sg
Bowel ischemia may be classified by etiology into the following categories: This article serves to dispel both. Intestinal ischemia can result from various pathologic conditions. Mucosal surface damage with hemorrhagic necrosis and lamina propria hyalinization. Imaging plays a key role in accurate and timely diagnosis, and radiologists must be familiar with the varied imaging appearances of intestinal ischemia. Etiologies of acute intestinal ischemia can categorize as mesenteric arterial embolism (50%), intestinal. Intestinal ischemia can result from various pathologic conditions. Intestinal ischemia, which can affect the small or large intestine, can be caused by any process that reduces intestinal blood. The presentations of ischemia can range from acute to subacute. The presentations of ischemia can range from acute to subacute and from mild to severe.
Small bowel Normal Histology NUS Pathweb NUS Pathweb
Intestinal Ischemia Histology Intestinal ischemia can result from various pathologic conditions. Etiologies of acute intestinal ischemia can categorize as mesenteric arterial embolism (50%), intestinal. Intestinal ischemia can result from various pathologic conditions. Mucosal surface damage with hemorrhagic necrosis and lamina propria hyalinization. Intestinal ischemia can result from various pathologic conditions. Resections of ischaemic bowel are one of the most common pathology specimens yet are often viewed as unappealing and diagnostically unrewarding. Intestinal ischemia, which can affect the small or large intestine, can be caused by any process that reduces intestinal blood. Imaging plays a key role in accurate and timely diagnosis, and radiologists must be familiar with the varied imaging appearances of intestinal ischemia. This article serves to dispel both. The presentations of ischemia can range from acute to subacute and from mild to severe. The presentations of ischemia can range from acute to subacute. Bowel ischemia may be classified by etiology into the following categories:
From www.researchgate.net
Histopathology of ileum sections at different time points after Intestinal Ischemia Histology Mucosal surface damage with hemorrhagic necrosis and lamina propria hyalinization. This article serves to dispel both. Bowel ischemia may be classified by etiology into the following categories: Resections of ischaemic bowel are one of the most common pathology specimens yet are often viewed as unappealing and diagnostically unrewarding. The presentations of ischemia can range from acute to subacute and from. Intestinal Ischemia Histology.
From www.researchgate.net
Histopathology signs of ischemic intestine of the resected small bowel Intestinal Ischemia Histology This article serves to dispel both. Etiologies of acute intestinal ischemia can categorize as mesenteric arterial embolism (50%), intestinal. Resections of ischaemic bowel are one of the most common pathology specimens yet are often viewed as unappealing and diagnostically unrewarding. Intestinal ischemia can result from various pathologic conditions. Mucosal surface damage with hemorrhagic necrosis and lamina propria hyalinization. The presentations. Intestinal Ischemia Histology.
From abdominalkey.com
73 Intestinal ischemia and vasculitides Abdominal Key Intestinal Ischemia Histology Etiologies of acute intestinal ischemia can categorize as mesenteric arterial embolism (50%), intestinal. Intestinal ischemia, which can affect the small or large intestine, can be caused by any process that reduces intestinal blood. Intestinal ischemia can result from various pathologic conditions. Intestinal ischemia can result from various pathologic conditions. Bowel ischemia may be classified by etiology into the following categories:. Intestinal Ischemia Histology.
From www.researchgate.net
Warm ischemia time impacts intestinal graft histology in donation Intestinal Ischemia Histology The presentations of ischemia can range from acute to subacute and from mild to severe. Etiologies of acute intestinal ischemia can categorize as mesenteric arterial embolism (50%), intestinal. Resections of ischaemic bowel are one of the most common pathology specimens yet are often viewed as unappealing and diagnostically unrewarding. Imaging plays a key role in accurate and timely diagnosis, and. Intestinal Ischemia Histology.
From abdominalkey.com
Chapter 6 Gastrointestinal Ischemia and Vascular Disorders Intestinal Ischemia Histology Resections of ischaemic bowel are one of the most common pathology specimens yet are often viewed as unappealing and diagnostically unrewarding. Etiologies of acute intestinal ischemia can categorize as mesenteric arterial embolism (50%), intestinal. Mucosal surface damage with hemorrhagic necrosis and lamina propria hyalinization. Imaging plays a key role in accurate and timely diagnosis, and radiologists must be familiar with. Intestinal Ischemia Histology.
From www.pathologyoutlines.com
Pathology Outlines Ischemic colitis Intestinal Ischemia Histology Intestinal ischemia, which can affect the small or large intestine, can be caused by any process that reduces intestinal blood. The presentations of ischemia can range from acute to subacute. Intestinal ischemia can result from various pathologic conditions. Resections of ischaemic bowel are one of the most common pathology specimens yet are often viewed as unappealing and diagnostically unrewarding. Imaging. Intestinal Ischemia Histology.
From www.spandidos-publications.com
Aggravated intestinal ischemia‑reperfusion injury is associated with Intestinal Ischemia Histology Mucosal surface damage with hemorrhagic necrosis and lamina propria hyalinization. Etiologies of acute intestinal ischemia can categorize as mesenteric arterial embolism (50%), intestinal. Resections of ischaemic bowel are one of the most common pathology specimens yet are often viewed as unappealing and diagnostically unrewarding. The presentations of ischemia can range from acute to subacute. Intestinal ischemia can result from various. Intestinal Ischemia Histology.
From fer13013.blogspot.com
GASTROINTESTINAL AND LIVER HISTOLOGY PATHOLOGY ATLAS COLON ISCHEMIC Intestinal Ischemia Histology Intestinal ischemia can result from various pathologic conditions. Bowel ischemia may be classified by etiology into the following categories: Resections of ischaemic bowel are one of the most common pathology specimens yet are often viewed as unappealing and diagnostically unrewarding. This article serves to dispel both. Mucosal surface damage with hemorrhagic necrosis and lamina propria hyalinization. The presentations of ischemia. Intestinal Ischemia Histology.
From pubs.rsna.org
Acute Mesenteric Ischemia Multidetector CT Findings and Endovascular Intestinal Ischemia Histology Intestinal ischemia can result from various pathologic conditions. Intestinal ischemia, which can affect the small or large intestine, can be caused by any process that reduces intestinal blood. Intestinal ischemia can result from various pathologic conditions. Bowel ischemia may be classified by etiology into the following categories: Mucosal surface damage with hemorrhagic necrosis and lamina propria hyalinization. This article serves. Intestinal Ischemia Histology.
From www.researchgate.net
Morphological changes after intestinal ischemia and reperfusion. The Intestinal Ischemia Histology The presentations of ischemia can range from acute to subacute and from mild to severe. Intestinal ischemia, which can affect the small or large intestine, can be caused by any process that reduces intestinal blood. The presentations of ischemia can range from acute to subacute. Intestinal ischemia can result from various pathologic conditions. Etiologies of acute intestinal ischemia can categorize. Intestinal Ischemia Histology.
From en.wikipedia.org
Intestinal ischemia Wikipedia Intestinal Ischemia Histology Imaging plays a key role in accurate and timely diagnosis, and radiologists must be familiar with the varied imaging appearances of intestinal ischemia. Resections of ischaemic bowel are one of the most common pathology specimens yet are often viewed as unappealing and diagnostically unrewarding. Intestinal ischemia can result from various pathologic conditions. This article serves to dispel both. The presentations. Intestinal Ischemia Histology.
From www.pathologyatlas.ca
Ischemic colitis Atlas of Pathology Intestinal Ischemia Histology Intestinal ischemia, which can affect the small or large intestine, can be caused by any process that reduces intestinal blood. The presentations of ischemia can range from acute to subacute and from mild to severe. This article serves to dispel both. Mucosal surface damage with hemorrhagic necrosis and lamina propria hyalinization. Intestinal ischemia can result from various pathologic conditions. Etiologies. Intestinal Ischemia Histology.
From medicine.nus.edu.sg
Small bowel Normal Histology NUS Pathweb NUS Pathweb Intestinal Ischemia Histology Intestinal ischemia, which can affect the small or large intestine, can be caused by any process that reduces intestinal blood. Imaging plays a key role in accurate and timely diagnosis, and radiologists must be familiar with the varied imaging appearances of intestinal ischemia. The presentations of ischemia can range from acute to subacute. This article serves to dispel both. Bowel. Intestinal Ischemia Histology.
From peir.path.uab.edu
00006589 PEIR Digital Library Intestinal Ischemia Histology Intestinal ischemia can result from various pathologic conditions. Bowel ischemia may be classified by etiology into the following categories: Imaging plays a key role in accurate and timely diagnosis, and radiologists must be familiar with the varied imaging appearances of intestinal ischemia. The presentations of ischemia can range from acute to subacute and from mild to severe. This article serves. Intestinal Ischemia Histology.
From www.researchgate.net
Ischemic intestinal mucosa displays crypt loss and withered "crypts Intestinal Ischemia Histology Intestinal ischemia can result from various pathologic conditions. Intestinal ischemia, which can affect the small or large intestine, can be caused by any process that reduces intestinal blood. The presentations of ischemia can range from acute to subacute and from mild to severe. Mucosal surface damage with hemorrhagic necrosis and lamina propria hyalinization. This article serves to dispel both. Imaging. Intestinal Ischemia Histology.
From librepathology.org
Ischemic colitis Libre Pathology Intestinal Ischemia Histology Intestinal ischemia, which can affect the small or large intestine, can be caused by any process that reduces intestinal blood. The presentations of ischemia can range from acute to subacute. Mucosal surface damage with hemorrhagic necrosis and lamina propria hyalinization. Resections of ischaemic bowel are one of the most common pathology specimens yet are often viewed as unappealing and diagnostically. Intestinal Ischemia Histology.
From www.researchgate.net
Morphological changes after intestinal ischemia and reperfusion. The Intestinal Ischemia Histology The presentations of ischemia can range from acute to subacute. Intestinal ischemia can result from various pathologic conditions. This article serves to dispel both. Intestinal ischemia can result from various pathologic conditions. Imaging plays a key role in accurate and timely diagnosis, and radiologists must be familiar with the varied imaging appearances of intestinal ischemia. Resections of ischaemic bowel are. Intestinal Ischemia Histology.
From www.researchgate.net
Ischemic intestinal mucosa displays crypt loss and withered "crypts Intestinal Ischemia Histology This article serves to dispel both. Mucosal surface damage with hemorrhagic necrosis and lamina propria hyalinization. The presentations of ischemia can range from acute to subacute and from mild to severe. The presentations of ischemia can range from acute to subacute. Etiologies of acute intestinal ischemia can categorize as mesenteric arterial embolism (50%), intestinal. Intestinal ischemia, which can affect the. Intestinal Ischemia Histology.
From www.youtube.com
Intestinal Ischemia Mesenteric Ischemia (Acute & Chronic) & Ischemic Intestinal Ischemia Histology Imaging plays a key role in accurate and timely diagnosis, and radiologists must be familiar with the varied imaging appearances of intestinal ischemia. This article serves to dispel both. Intestinal ischemia, which can affect the small or large intestine, can be caused by any process that reduces intestinal blood. Resections of ischaemic bowel are one of the most common pathology. Intestinal Ischemia Histology.
From peir.path.uab.edu
00005753 PEIR Digital Library Intestinal Ischemia Histology Mucosal surface damage with hemorrhagic necrosis and lamina propria hyalinization. Intestinal ischemia, which can affect the small or large intestine, can be caused by any process that reduces intestinal blood. Intestinal ischemia can result from various pathologic conditions. The presentations of ischemia can range from acute to subacute and from mild to severe. Bowel ischemia may be classified by etiology. Intestinal Ischemia Histology.
From fer13013.blogspot.com
GASTROINTESTINAL AND LIVER HISTOLOGY PATHOLOGY ATLAS COLON ISCHEMIC Intestinal Ischemia Histology Etiologies of acute intestinal ischemia can categorize as mesenteric arterial embolism (50%), intestinal. The presentations of ischemia can range from acute to subacute and from mild to severe. Imaging plays a key role in accurate and timely diagnosis, and radiologists must be familiar with the varied imaging appearances of intestinal ischemia. Mucosal surface damage with hemorrhagic necrosis and lamina propria. Intestinal Ischemia Histology.
From www.spandidos-publications.com
Ginsenoside Rb1 attenuates intestinal ischemia/reperfusion‑induced Intestinal Ischemia Histology Intestinal ischemia, which can affect the small or large intestine, can be caused by any process that reduces intestinal blood. Mucosal surface damage with hemorrhagic necrosis and lamina propria hyalinization. Intestinal ischemia can result from various pathologic conditions. Intestinal ischemia can result from various pathologic conditions. The presentations of ischemia can range from acute to subacute and from mild to. Intestinal Ischemia Histology.
From peir.path.uab.edu
00006795 PEIR Digital Library Intestinal Ischemia Histology Intestinal ischemia, which can affect the small or large intestine, can be caused by any process that reduces intestinal blood. Mucosal surface damage with hemorrhagic necrosis and lamina propria hyalinization. Bowel ischemia may be classified by etiology into the following categories: This article serves to dispel both. The presentations of ischemia can range from acute to subacute and from mild. Intestinal Ischemia Histology.
From www.pathologyoutlines.com
Pathology Outlines Ischemic colitis Intestinal Ischemia Histology The presentations of ischemia can range from acute to subacute and from mild to severe. This article serves to dispel both. Bowel ischemia may be classified by etiology into the following categories: The presentations of ischemia can range from acute to subacute. Etiologies of acute intestinal ischemia can categorize as mesenteric arterial embolism (50%), intestinal. Imaging plays a key role. Intestinal Ischemia Histology.
From www.degruyter.com
Possible effects of clinoptilolite on small intestinal ischemia Intestinal Ischemia Histology Intestinal ischemia can result from various pathologic conditions. Bowel ischemia may be classified by etiology into the following categories: Imaging plays a key role in accurate and timely diagnosis, and radiologists must be familiar with the varied imaging appearances of intestinal ischemia. Mucosal surface damage with hemorrhagic necrosis and lamina propria hyalinization. This article serves to dispel both. Resections of. Intestinal Ischemia Histology.
From www.dovemed.com
Ischemic Colitis Intestinal Ischemia Histology Imaging plays a key role in accurate and timely diagnosis, and radiologists must be familiar with the varied imaging appearances of intestinal ischemia. The presentations of ischemia can range from acute to subacute and from mild to severe. Bowel ischemia may be classified by etiology into the following categories: The presentations of ischemia can range from acute to subacute. Intestinal. Intestinal Ischemia Histology.
From www.researchgate.net
Ischemic intestinal mucosa displays crypt loss and withered "crypts Intestinal Ischemia Histology Mucosal surface damage with hemorrhagic necrosis and lamina propria hyalinization. Bowel ischemia may be classified by etiology into the following categories: Intestinal ischemia, which can affect the small or large intestine, can be caused by any process that reduces intestinal blood. Resections of ischaemic bowel are one of the most common pathology specimens yet are often viewed as unappealing and. Intestinal Ischemia Histology.
From www.studypool.com
SOLUTION Ischemic bowel disease Symptoms, diagnosis and treatment Intestinal Ischemia Histology The presentations of ischemia can range from acute to subacute. Intestinal ischemia, which can affect the small or large intestine, can be caused by any process that reduces intestinal blood. Intestinal ischemia can result from various pathologic conditions. Intestinal ischemia can result from various pathologic conditions. Etiologies of acute intestinal ischemia can categorize as mesenteric arterial embolism (50%), intestinal. Resections. Intestinal Ischemia Histology.
From histocutup.co.uk
Ischaemia of the Bowel Intestinal Ischemia Histology The presentations of ischemia can range from acute to subacute. Intestinal ischemia can result from various pathologic conditions. Intestinal ischemia can result from various pathologic conditions. The presentations of ischemia can range from acute to subacute and from mild to severe. Etiologies of acute intestinal ischemia can categorize as mesenteric arterial embolism (50%), intestinal. Imaging plays a key role in. Intestinal Ischemia Histology.
From www.researchgate.net
Protection from intestinal ischemia/reperfusion injury due to Tipe0 Intestinal Ischemia Histology This article serves to dispel both. Resections of ischaemic bowel are one of the most common pathology specimens yet are often viewed as unappealing and diagnostically unrewarding. Intestinal ischemia can result from various pathologic conditions. Bowel ischemia may be classified by etiology into the following categories: Intestinal ischemia can result from various pathologic conditions. The presentations of ischemia can range. Intestinal Ischemia Histology.
From www.pathologyoutlines.com
Pathology Outlines Ischemic colitis Intestinal Ischemia Histology The presentations of ischemia can range from acute to subacute. Intestinal ischemia can result from various pathologic conditions. Mucosal surface damage with hemorrhagic necrosis and lamina propria hyalinization. This article serves to dispel both. Bowel ischemia may be classified by etiology into the following categories: Imaging plays a key role in accurate and timely diagnosis, and radiologists must be familiar. Intestinal Ischemia Histology.
From abdominalkey.com
Chapter 6 Gastrointestinal Ischemia and Vascular Disorders Intestinal Ischemia Histology The presentations of ischemia can range from acute to subacute. This article serves to dispel both. Intestinal ischemia, which can affect the small or large intestine, can be caused by any process that reduces intestinal blood. Resections of ischaemic bowel are one of the most common pathology specimens yet are often viewed as unappealing and diagnostically unrewarding. Etiologies of acute. Intestinal Ischemia Histology.
From www.sciencephoto.com
Ischaemic bowel, light micrograph Stock Image C015/4961 Science Intestinal Ischemia Histology Bowel ischemia may be classified by etiology into the following categories: Intestinal ischemia can result from various pathologic conditions. Mucosal surface damage with hemorrhagic necrosis and lamina propria hyalinization. The presentations of ischemia can range from acute to subacute and from mild to severe. Intestinal ischemia can result from various pathologic conditions. Resections of ischaemic bowel are one of the. Intestinal Ischemia Histology.
From www.researchgate.net
Changes in histology of intestine (A1D1) and liver (A2D2) tissues (HE Intestinal Ischemia Histology The presentations of ischemia can range from acute to subacute. The presentations of ischemia can range from acute to subacute and from mild to severe. Etiologies of acute intestinal ischemia can categorize as mesenteric arterial embolism (50%), intestinal. This article serves to dispel both. Imaging plays a key role in accurate and timely diagnosis, and radiologists must be familiar with. Intestinal Ischemia Histology.
From ar.inspiredpencil.com
Large Intestine Histology Intestinal Ischemia Histology Etiologies of acute intestinal ischemia can categorize as mesenteric arterial embolism (50%), intestinal. The presentations of ischemia can range from acute to subacute. Intestinal ischemia can result from various pathologic conditions. Intestinal ischemia, which can affect the small or large intestine, can be caused by any process that reduces intestinal blood. This article serves to dispel both. Resections of ischaemic. Intestinal Ischemia Histology.