White Dots In Brain . Professor hedley emsley (a consultant neurologist) explains what white matter lesions are, the range of potential causes, if they can cause problems and more. It can lead to problems with thinking, problem solving, balance, and other. Abnormalities in white matter, known as lesions, are most often seen as bright areas or spots on mri scans of the brain. They can reflect normal aging; Experts say such spots, called white matter hyperintensities (wmhs) or leukoaraiosis, can be a sign that you are at risk for certain illnesses, depending on how many spots you have, their size and location in your brain, and your age. White matter disease is the wearing away of tissue in the largest and deepest part of your brain that has a number of causes,. White matter disease refers to changes in the brain's white matter, the part of the brain responsible for communication between different brain regions and between the. White matter disease, or leukoaraiosis, means there is damage to white matter in the brain. If you've had a brain magnetic resonance imaging (mri), you may be alarmed to hear that it shows small white spots. After receiving a brain scan result showing white matter lesions, you’ll likely have lots of questions. White matter deteriorates as people age.
from www.reddit.com
White matter disease is the wearing away of tissue in the largest and deepest part of your brain that has a number of causes,. After receiving a brain scan result showing white matter lesions, you’ll likely have lots of questions. Experts say such spots, called white matter hyperintensities (wmhs) or leukoaraiosis, can be a sign that you are at risk for certain illnesses, depending on how many spots you have, their size and location in your brain, and your age. It can lead to problems with thinking, problem solving, balance, and other. White matter disease refers to changes in the brain's white matter, the part of the brain responsible for communication between different brain regions and between the. White matter deteriorates as people age. They can reflect normal aging; Abnormalities in white matter, known as lesions, are most often seen as bright areas or spots on mri scans of the brain. If you've had a brain magnetic resonance imaging (mri), you may be alarmed to hear that it shows small white spots. White matter disease, or leukoaraiosis, means there is damage to white matter in the brain.
Can anyone tell me what the white spots are on my brain MRI? MRI
White Dots In Brain Abnormalities in white matter, known as lesions, are most often seen as bright areas or spots on mri scans of the brain. Abnormalities in white matter, known as lesions, are most often seen as bright areas or spots on mri scans of the brain. After receiving a brain scan result showing white matter lesions, you’ll likely have lots of questions. If you've had a brain magnetic resonance imaging (mri), you may be alarmed to hear that it shows small white spots. It can lead to problems with thinking, problem solving, balance, and other. Professor hedley emsley (a consultant neurologist) explains what white matter lesions are, the range of potential causes, if they can cause problems and more. White matter disease is the wearing away of tissue in the largest and deepest part of your brain that has a number of causes,. Experts say such spots, called white matter hyperintensities (wmhs) or leukoaraiosis, can be a sign that you are at risk for certain illnesses, depending on how many spots you have, their size and location in your brain, and your age. White matter disease, or leukoaraiosis, means there is damage to white matter in the brain. White matter disease refers to changes in the brain's white matter, the part of the brain responsible for communication between different brain regions and between the. White matter deteriorates as people age. They can reflect normal aging;
From nyulangone.org
‘White Matter Lesion’ Mapping Tool Identifies Early Signs of Dementia White Dots In Brain After receiving a brain scan result showing white matter lesions, you’ll likely have lots of questions. White matter disease refers to changes in the brain's white matter, the part of the brain responsible for communication between different brain regions and between the. Experts say such spots, called white matter hyperintensities (wmhs) or leukoaraiosis, can be a sign that you are. White Dots In Brain.
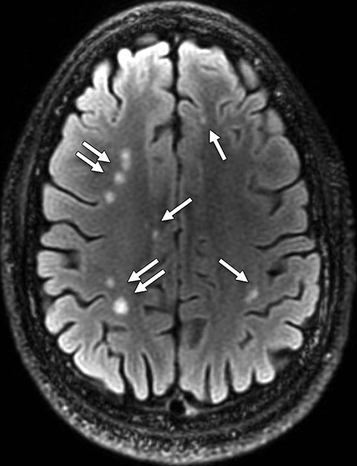
From www.healthgrades.com
White Spots on a Brain MRI What It Means White Dots In Brain White matter disease is the wearing away of tissue in the largest and deepest part of your brain that has a number of causes,. Experts say such spots, called white matter hyperintensities (wmhs) or leukoaraiosis, can be a sign that you are at risk for certain illnesses, depending on how many spots you have, their size and location in your. White Dots In Brain.
From clinicalconnection.hopkinsmedicine.org
Mid to LateLife Increases in Marker of Chronic Inflammation Tied to White Dots In Brain They can reflect normal aging; If you've had a brain magnetic resonance imaging (mri), you may be alarmed to hear that it shows small white spots. Professor hedley emsley (a consultant neurologist) explains what white matter lesions are, the range of potential causes, if they can cause problems and more. It can lead to problems with thinking, problem solving, balance,. White Dots In Brain.
From pn.bmj.com
Brain microbleeds Practical Neurology White Dots In Brain White matter deteriorates as people age. White matter disease is the wearing away of tissue in the largest and deepest part of your brain that has a number of causes,. Professor hedley emsley (a consultant neurologist) explains what white matter lesions are, the range of potential causes, if they can cause problems and more. Abnormalities in white matter, known as. White Dots In Brain.
From neurosciencenews.com
MRI Brain Scans Detect People with Early Parkinson’s Neuroscience News White Dots In Brain Professor hedley emsley (a consultant neurologist) explains what white matter lesions are, the range of potential causes, if they can cause problems and more. If you've had a brain magnetic resonance imaging (mri), you may be alarmed to hear that it shows small white spots. White matter disease refers to changes in the brain's white matter, the part of the. White Dots In Brain.
From fineartamerica.com
Brain White Matter Photograph by Zephyr/science Photo Library Fine White Dots In Brain Professor hedley emsley (a consultant neurologist) explains what white matter lesions are, the range of potential causes, if they can cause problems and more. If you've had a brain magnetic resonance imaging (mri), you may be alarmed to hear that it shows small white spots. They can reflect normal aging; Abnormalities in white matter, known as lesions, are most often. White Dots In Brain.
From www.alamy.com
resonance imaging of the brain sclerosis microstroke white White Dots In Brain Experts say such spots, called white matter hyperintensities (wmhs) or leukoaraiosis, can be a sign that you are at risk for certain illnesses, depending on how many spots you have, their size and location in your brain, and your age. They can reflect normal aging; Abnormalities in white matter, known as lesions, are most often seen as bright areas or. White Dots In Brain.
From bmjopen.bmj.com
Incidental findings on brain MRI of cognitively normal firstdegree White Dots In Brain White matter disease, or leukoaraiosis, means there is damage to white matter in the brain. If you've had a brain magnetic resonance imaging (mri), you may be alarmed to hear that it shows small white spots. White matter disease is the wearing away of tissue in the largest and deepest part of your brain that has a number of causes,.. White Dots In Brain.
From www.rsna.org
MRI Shows ‘Brain Scars’ in Military Personnel with Blastrelated Concussion White Dots In Brain Professor hedley emsley (a consultant neurologist) explains what white matter lesions are, the range of potential causes, if they can cause problems and more. White matter disease refers to changes in the brain's white matter, the part of the brain responsible for communication between different brain regions and between the. They can reflect normal aging; White matter disease, or leukoaraiosis,. White Dots In Brain.
From www.nih.gov
Microbleeds may worsen after head injury National Institutes White Dots In Brain Experts say such spots, called white matter hyperintensities (wmhs) or leukoaraiosis, can be a sign that you are at risk for certain illnesses, depending on how many spots you have, their size and location in your brain, and your age. It can lead to problems with thinking, problem solving, balance, and other. White matter disease is the wearing away of. White Dots In Brain.
From newatlas.com
MRI reveals neverseenbefore spaces in brains of migraine sufferers White Dots In Brain White matter disease, or leukoaraiosis, means there is damage to white matter in the brain. Experts say such spots, called white matter hyperintensities (wmhs) or leukoaraiosis, can be a sign that you are at risk for certain illnesses, depending on how many spots you have, their size and location in your brain, and your age. If you've had a brain. White Dots In Brain.
From newsnetwork.mayoclinic.org
Study may improve understanding of how disability develops in MS White Dots In Brain They can reflect normal aging; White matter disease is the wearing away of tissue in the largest and deepest part of your brain that has a number of causes,. White matter disease, or leukoaraiosis, means there is damage to white matter in the brain. Abnormalities in white matter, known as lesions, are most often seen as bright areas or spots. White Dots In Brain.
From mavink.com
White Spots Brain Ct Scan White Dots In Brain White matter deteriorates as people age. Experts say such spots, called white matter hyperintensities (wmhs) or leukoaraiosis, can be a sign that you are at risk for certain illnesses, depending on how many spots you have, their size and location in your brain, and your age. White matter disease refers to changes in the brain's white matter, the part of. White Dots In Brain.
From www.bmj.com
The clinical importance of white matter hyperintensities on brain White Dots In Brain It can lead to problems with thinking, problem solving, balance, and other. White matter disease is the wearing away of tissue in the largest and deepest part of your brain that has a number of causes,. Experts say such spots, called white matter hyperintensities (wmhs) or leukoaraiosis, can be a sign that you are at risk for certain illnesses, depending. White Dots In Brain.
From www.verywellhealth.com
Spots on an MRI White Matter Hyperintensities White Dots In Brain They can reflect normal aging; Professor hedley emsley (a consultant neurologist) explains what white matter lesions are, the range of potential causes, if they can cause problems and more. White matter disease, or leukoaraiosis, means there is damage to white matter in the brain. It can lead to problems with thinking, problem solving, balance, and other. If you've had a. White Dots In Brain.
From www.frontiersin.org
Frontiers Case report Visual snow as the presenting symptom in White Dots In Brain They can reflect normal aging; White matter disease, or leukoaraiosis, means there is damage to white matter in the brain. White matter deteriorates as people age. If you've had a brain magnetic resonance imaging (mri), you may be alarmed to hear that it shows small white spots. After receiving a brain scan result showing white matter lesions, you’ll likely have. White Dots In Brain.
From jnnp.bmj.com
Progression of cerebral white matter lesions in Alzheimer’s disease a White Dots In Brain White matter disease refers to changes in the brain's white matter, the part of the brain responsible for communication between different brain regions and between the. White matter disease, or leukoaraiosis, means there is damage to white matter in the brain. White matter deteriorates as people age. After receiving a brain scan result showing white matter lesions, you’ll likely have. White Dots In Brain.
From scrolller.com
White spot on brain MRI Scrolller White Dots In Brain Professor hedley emsley (a consultant neurologist) explains what white matter lesions are, the range of potential causes, if they can cause problems and more. White matter disease, or leukoaraiosis, means there is damage to white matter in the brain. White matter deteriorates as people age. If you've had a brain magnetic resonance imaging (mri), you may be alarmed to hear. White Dots In Brain.
From fineartamerica.com
Diseased Brain Photograph by Zephyr/science Photo Library Fine Art White Dots In Brain White matter disease refers to changes in the brain's white matter, the part of the brain responsible for communication between different brain regions and between the. It can lead to problems with thinking, problem solving, balance, and other. Professor hedley emsley (a consultant neurologist) explains what white matter lesions are, the range of potential causes, if they can cause problems. White Dots In Brain.
From healthool.com
👉 Microvascular Ischemic Disease White Dots In Brain White matter disease is the wearing away of tissue in the largest and deepest part of your brain that has a number of causes,. Professor hedley emsley (a consultant neurologist) explains what white matter lesions are, the range of potential causes, if they can cause problems and more. It can lead to problems with thinking, problem solving, balance, and other.. White Dots In Brain.
From openi.nlm.nih.gov
Chronic cystic changes of brain lesions on MRI.At the t Openi White Dots In Brain White matter disease refers to changes in the brain's white matter, the part of the brain responsible for communication between different brain regions and between the. If you've had a brain magnetic resonance imaging (mri), you may be alarmed to hear that it shows small white spots. Professor hedley emsley (a consultant neurologist) explains what white matter lesions are, the. White Dots In Brain.
From www.frontiersin.org
Frontiers Brain MRI Pattern Recognition in Neurodegeneration With White Dots In Brain If you've had a brain magnetic resonance imaging (mri), you may be alarmed to hear that it shows small white spots. White matter disease refers to changes in the brain's white matter, the part of the brain responsible for communication between different brain regions and between the. After receiving a brain scan result showing white matter lesions, you’ll likely have. White Dots In Brain.
From www.nih.gov
Smoldering spots in the brain may signal severe MS National White Dots In Brain Experts say such spots, called white matter hyperintensities (wmhs) or leukoaraiosis, can be a sign that you are at risk for certain illnesses, depending on how many spots you have, their size and location in your brain, and your age. Professor hedley emsley (a consultant neurologist) explains what white matter lesions are, the range of potential causes, if they can. White Dots In Brain.
From www.vectorstock.com
Human brain consist dots connected lines in Vector Image White Dots In Brain Experts say such spots, called white matter hyperintensities (wmhs) or leukoaraiosis, can be a sign that you are at risk for certain illnesses, depending on how many spots you have, their size and location in your brain, and your age. It can lead to problems with thinking, problem solving, balance, and other. White matter disease refers to changes in the. White Dots In Brain.
From scitechdaily.com
Smoking May Cause Mysterious White Scars on the Brain More Harmful White Dots In Brain They can reflect normal aging; White matter deteriorates as people age. After receiving a brain scan result showing white matter lesions, you’ll likely have lots of questions. White matter disease, or leukoaraiosis, means there is damage to white matter in the brain. Abnormalities in white matter, known as lesions, are most often seen as bright areas or spots on mri. White Dots In Brain.
From neurosciencenews.com
MRI Reveals Striking Brain Differences in People With Autism White Dots In Brain If you've had a brain magnetic resonance imaging (mri), you may be alarmed to hear that it shows small white spots. Experts say such spots, called white matter hyperintensities (wmhs) or leukoaraiosis, can be a sign that you are at risk for certain illnesses, depending on how many spots you have, their size and location in your brain, and your. White Dots In Brain.
From fineartamerica.com
Child's Brain, Mri Scan Photograph by Du Cane Medical Imaging Ltd White Dots In Brain Professor hedley emsley (a consultant neurologist) explains what white matter lesions are, the range of potential causes, if they can cause problems and more. They can reflect normal aging; Experts say such spots, called white matter hyperintensities (wmhs) or leukoaraiosis, can be a sign that you are at risk for certain illnesses, depending on how many spots you have, their. White Dots In Brain.
From multiple-sclerosis-research.org
Education. The only thing that is black and white in MS is your MRI White Dots In Brain If you've had a brain magnetic resonance imaging (mri), you may be alarmed to hear that it shows small white spots. White matter disease refers to changes in the brain's white matter, the part of the brain responsible for communication between different brain regions and between the. White matter disease is the wearing away of tissue in the largest and. White Dots In Brain.
From www.pinterest.com
"White cerebellum sign" Kedokteran White Dots In Brain Professor hedley emsley (a consultant neurologist) explains what white matter lesions are, the range of potential causes, if they can cause problems and more. White matter disease refers to changes in the brain's white matter, the part of the brain responsible for communication between different brain regions and between the. Experts say such spots, called white matter hyperintensities (wmhs) or. White Dots In Brain.
From www.pinterest.com
MRI Brain White Spots Cause Mri Scan Images Mri brain, Mri scan White Dots In Brain It can lead to problems with thinking, problem solving, balance, and other. After receiving a brain scan result showing white matter lesions, you’ll likely have lots of questions. White matter disease, or leukoaraiosis, means there is damage to white matter in the brain. Professor hedley emsley (a consultant neurologist) explains what white matter lesions are, the range of potential causes,. White Dots In Brain.
From mavink.com
Brain Mri Shows White Spot White Dots In Brain It can lead to problems with thinking, problem solving, balance, and other. White matter disease, or leukoaraiosis, means there is damage to white matter in the brain. They can reflect normal aging; White matter disease is the wearing away of tissue in the largest and deepest part of your brain that has a number of causes,. Abnormalities in white matter,. White Dots In Brain.
From mungfali.com
White Spots On Brain MRI White Dots In Brain Experts say such spots, called white matter hyperintensities (wmhs) or leukoaraiosis, can be a sign that you are at risk for certain illnesses, depending on how many spots you have, their size and location in your brain, and your age. White matter deteriorates as people age. White matter disease, or leukoaraiosis, means there is damage to white matter in the. White Dots In Brain.
From www.reddit.com
Can anyone tell me what the white spots are on my brain MRI? MRI White Dots In Brain White matter deteriorates as people age. White matter disease is the wearing away of tissue in the largest and deepest part of your brain that has a number of causes,. If you've had a brain magnetic resonance imaging (mri), you may be alarmed to hear that it shows small white spots. White matter disease refers to changes in the brain's. White Dots In Brain.
From www.researchgate.net
(PDF) White Spots on CT Scan of Brain White Dots In Brain Professor hedley emsley (a consultant neurologist) explains what white matter lesions are, the range of potential causes, if they can cause problems and more. White matter deteriorates as people age. It can lead to problems with thinking, problem solving, balance, and other. White matter disease, or leukoaraiosis, means there is damage to white matter in the brain. White matter disease. White Dots In Brain.
From nbu.bg
Mri Brain Scan Results White Spots White Dots In Brain Professor hedley emsley (a consultant neurologist) explains what white matter lesions are, the range of potential causes, if they can cause problems and more. After receiving a brain scan result showing white matter lesions, you’ll likely have lots of questions. White matter disease, or leukoaraiosis, means there is damage to white matter in the brain. They can reflect normal aging;. White Dots In Brain.