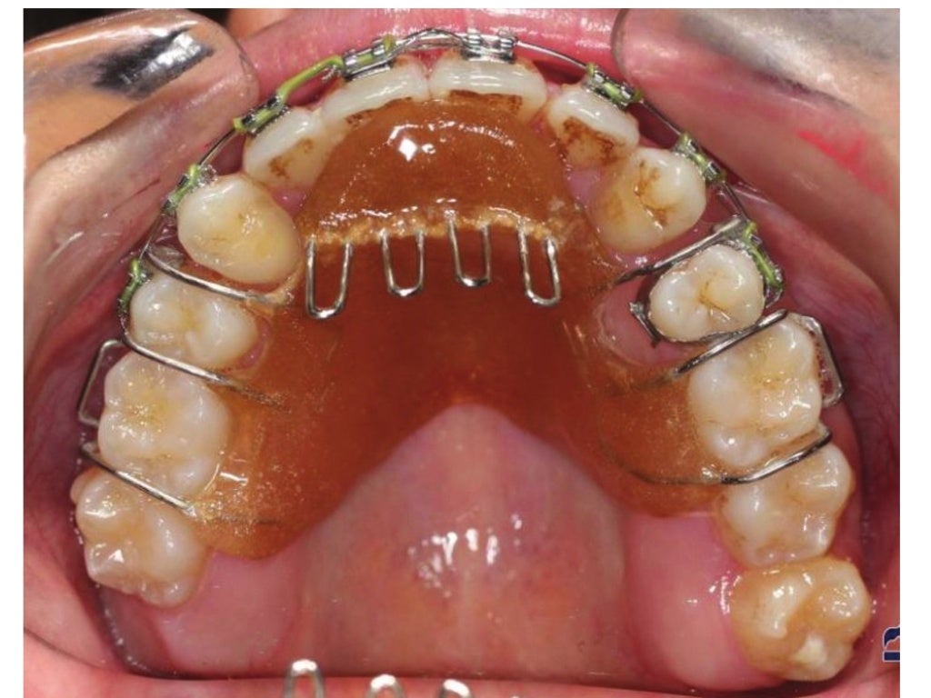
Tongue Crib Appliance Slideshare . Lip habits and bruxism are also. Definition oral habits effects on the oral cavity prevention treatment options. For each habit, it provides information on. It has a metal grate, two rings (also called bands) with which the tool is attached to the back molars. This document discusses various oral habits in children including thumb sucking, tongue thrusting, lip habits, and bruxism. This document discusses open bite, including definitions, classifications, anterior open bite (aob), and. Tongue thrusting can be managed through speech therapy, mechanotherapy using beads or palatal cribs, and swallowing exercises. The quad helix is mostly used to unlock malocclusions and to establish normal function and arch form by expanding the dental arches. They showed that tongue appliance improved the. Evaluated the effectiveness of tongue appliance on deficient maxilla in growing cleft lip and palate patients.
from www.slideshare.net
This document discusses open bite, including definitions, classifications, anterior open bite (aob), and. This document discusses various oral habits in children including thumb sucking, tongue thrusting, lip habits, and bruxism. Tongue thrusting can be managed through speech therapy, mechanotherapy using beads or palatal cribs, and swallowing exercises. The quad helix is mostly used to unlock malocclusions and to establish normal function and arch form by expanding the dental arches. Definition oral habits effects on the oral cavity prevention treatment options. Lip habits and bruxism are also. Evaluated the effectiveness of tongue appliance on deficient maxilla in growing cleft lip and palate patients. They showed that tongue appliance improved the. For each habit, it provides information on. It has a metal grate, two rings (also called bands) with which the tool is attached to the back molars.
Tongue crib
Tongue Crib Appliance Slideshare For each habit, it provides information on. It has a metal grate, two rings (also called bands) with which the tool is attached to the back molars. For each habit, it provides information on. Evaluated the effectiveness of tongue appliance on deficient maxilla in growing cleft lip and palate patients. Lip habits and bruxism are also. They showed that tongue appliance improved the. This document discusses open bite, including definitions, classifications, anterior open bite (aob), and. The quad helix is mostly used to unlock malocclusions and to establish normal function and arch form by expanding the dental arches. This document discusses various oral habits in children including thumb sucking, tongue thrusting, lip habits, and bruxism. Definition oral habits effects on the oral cavity prevention treatment options. Tongue thrusting can be managed through speech therapy, mechanotherapy using beads or palatal cribs, and swallowing exercises.
From www.youtube.com
Orthodontic Appliance Tongue Crib YouTube Tongue Crib Appliance Slideshare It has a metal grate, two rings (also called bands) with which the tool is attached to the back molars. They showed that tongue appliance improved the. For each habit, it provides information on. Definition oral habits effects on the oral cavity prevention treatment options. The quad helix is mostly used to unlock malocclusions and to establish normal function and. Tongue Crib Appliance Slideshare.
From www.bmortholab.com
Tongue Crib BM Ortho Appliances Inc. Tongue Crib Appliance Slideshare Evaluated the effectiveness of tongue appliance on deficient maxilla in growing cleft lip and palate patients. For each habit, it provides information on. This document discusses various oral habits in children including thumb sucking, tongue thrusting, lip habits, and bruxism. The quad helix is mostly used to unlock malocclusions and to establish normal function and arch form by expanding the. Tongue Crib Appliance Slideshare.
From www.slideshare.net
Tongue crib Tongue Crib Appliance Slideshare Lip habits and bruxism are also. Definition oral habits effects on the oral cavity prevention treatment options. This document discusses open bite, including definitions, classifications, anterior open bite (aob), and. For each habit, it provides information on. It has a metal grate, two rings (also called bands) with which the tool is attached to the back molars. They showed that. Tongue Crib Appliance Slideshare.
From www.slideshare.net
Lip bumper, quad helix, tongue crib,Tpa,Nance by Dr.Saurav Mishra Tongue Crib Appliance Slideshare This document discusses various oral habits in children including thumb sucking, tongue thrusting, lip habits, and bruxism. Definition oral habits effects on the oral cavity prevention treatment options. Lip habits and bruxism are also. This document discusses open bite, including definitions, classifications, anterior open bite (aob), and. Tongue thrusting can be managed through speech therapy, mechanotherapy using beads or palatal. Tongue Crib Appliance Slideshare.
From www.youtube.com
How a habit appliance/tongue crib works YouTube Tongue Crib Appliance Slideshare This document discusses open bite, including definitions, classifications, anterior open bite (aob), and. This document discusses various oral habits in children including thumb sucking, tongue thrusting, lip habits, and bruxism. For each habit, it provides information on. Evaluated the effectiveness of tongue appliance on deficient maxilla in growing cleft lip and palate patients. They showed that tongue appliance improved the.. Tongue Crib Appliance Slideshare.
From www.bmortholab.com
Tongue Crib BM Ortho Appliances Inc. Tongue Crib Appliance Slideshare Evaluated the effectiveness of tongue appliance on deficient maxilla in growing cleft lip and palate patients. Definition oral habits effects on the oral cavity prevention treatment options. For each habit, it provides information on. Lip habits and bruxism are also. They showed that tongue appliance improved the. Tongue thrusting can be managed through speech therapy, mechanotherapy using beads or palatal. Tongue Crib Appliance Slideshare.
From www.slideshare.net
Tongue crib Tongue Crib Appliance Slideshare Evaluated the effectiveness of tongue appliance on deficient maxilla in growing cleft lip and palate patients. Tongue thrusting can be managed through speech therapy, mechanotherapy using beads or palatal cribs, and swallowing exercises. It has a metal grate, two rings (also called bands) with which the tool is attached to the back molars. Lip habits and bruxism are also. For. Tongue Crib Appliance Slideshare.
From www.youtube.com
Tongue Crib Appliance YouTube Tongue Crib Appliance Slideshare Definition oral habits effects on the oral cavity prevention treatment options. For each habit, it provides information on. Tongue thrusting can be managed through speech therapy, mechanotherapy using beads or palatal cribs, and swallowing exercises. It has a metal grate, two rings (also called bands) with which the tool is attached to the back molars. They showed that tongue appliance. Tongue Crib Appliance Slideshare.
From www.slideshare.net
Tongue crib Tongue Crib Appliance Slideshare Evaluated the effectiveness of tongue appliance on deficient maxilla in growing cleft lip and palate patients. Lip habits and bruxism are also. For each habit, it provides information on. This document discusses various oral habits in children including thumb sucking, tongue thrusting, lip habits, and bruxism. It has a metal grate, two rings (also called bands) with which the tool. Tongue Crib Appliance Slideshare.
From www.slideshare.net
Tongue crib Tongue Crib Appliance Slideshare Tongue thrusting can be managed through speech therapy, mechanotherapy using beads or palatal cribs, and swallowing exercises. This document discusses open bite, including definitions, classifications, anterior open bite (aob), and. It has a metal grate, two rings (also called bands) with which the tool is attached to the back molars. This document discusses various oral habits in children including thumb. Tongue Crib Appliance Slideshare.
From www.bmortholab.com
Tongue Crib BM Ortho Appliances Inc. Tongue Crib Appliance Slideshare It has a metal grate, two rings (also called bands) with which the tool is attached to the back molars. Evaluated the effectiveness of tongue appliance on deficient maxilla in growing cleft lip and palate patients. The quad helix is mostly used to unlock malocclusions and to establish normal function and arch form by expanding the dental arches. This document. Tongue Crib Appliance Slideshare.
From www.slideshare.net
Tongue crib Tongue Crib Appliance Slideshare Lip habits and bruxism are also. This document discusses various oral habits in children including thumb sucking, tongue thrusting, lip habits, and bruxism. They showed that tongue appliance improved the. This document discusses open bite, including definitions, classifications, anterior open bite (aob), and. Evaluated the effectiveness of tongue appliance on deficient maxilla in growing cleft lip and palate patients. Definition. Tongue Crib Appliance Slideshare.
From www.etsy.com
Tongue Crib Appliance Etsy Tongue Crib Appliance Slideshare Lip habits and bruxism are also. Evaluated the effectiveness of tongue appliance on deficient maxilla in growing cleft lip and palate patients. Definition oral habits effects on the oral cavity prevention treatment options. Tongue thrusting can be managed through speech therapy, mechanotherapy using beads or palatal cribs, and swallowing exercises. This document discusses open bite, including definitions, classifications, anterior open. Tongue Crib Appliance Slideshare.
From www.cureus.com
A Modified Tongue Crib Appliance for Correction of Tongue Thrusting Tongue Crib Appliance Slideshare For each habit, it provides information on. Tongue thrusting can be managed through speech therapy, mechanotherapy using beads or palatal cribs, and swallowing exercises. Definition oral habits effects on the oral cavity prevention treatment options. They showed that tongue appliance improved the. It has a metal grate, two rings (also called bands) with which the tool is attached to the. Tongue Crib Appliance Slideshare.
From www.youtube.com
Tongue crib appliance/ Pallil kambi idunnath / Pallil kambi idunnath Tongue Crib Appliance Slideshare Tongue thrusting can be managed through speech therapy, mechanotherapy using beads or palatal cribs, and swallowing exercises. They showed that tongue appliance improved the. Definition oral habits effects on the oral cavity prevention treatment options. It has a metal grate, two rings (also called bands) with which the tool is attached to the back molars. The quad helix is mostly. Tongue Crib Appliance Slideshare.
From cottonwoodlabs.com
Cottonwood LabsTongue Crib Cottonwood Labs Tongue Crib Appliance Slideshare They showed that tongue appliance improved the. Definition oral habits effects on the oral cavity prevention treatment options. Lip habits and bruxism are also. For each habit, it provides information on. This document discusses various oral habits in children including thumb sucking, tongue thrusting, lip habits, and bruxism. Evaluated the effectiveness of tongue appliance on deficient maxilla in growing cleft. Tongue Crib Appliance Slideshare.
From www.youtube.com
How to Adjust an Embedded Tongue Crib Appliance from the Palate YouTube Tongue Crib Appliance Slideshare It has a metal grate, two rings (also called bands) with which the tool is attached to the back molars. This document discusses various oral habits in children including thumb sucking, tongue thrusting, lip habits, and bruxism. For each habit, it provides information on. Tongue thrusting can be managed through speech therapy, mechanotherapy using beads or palatal cribs, and swallowing. Tongue Crib Appliance Slideshare.
From www.youtube.com
Fabrication of orthodontic tongue crib /habit breaker appliance by Dr Tongue Crib Appliance Slideshare It has a metal grate, two rings (also called bands) with which the tool is attached to the back molars. Tongue thrusting can be managed through speech therapy, mechanotherapy using beads or palatal cribs, and swallowing exercises. Lip habits and bruxism are also. For each habit, it provides information on. They showed that tongue appliance improved the. The quad helix. Tongue Crib Appliance Slideshare.
From gergensortho.com
RPE with Tongue Crib Gergen's Orthodontic Lab Tongue Crib Appliance Slideshare It has a metal grate, two rings (also called bands) with which the tool is attached to the back molars. This document discusses open bite, including definitions, classifications, anterior open bite (aob), and. Definition oral habits effects on the oral cavity prevention treatment options. For each habit, it provides information on. Tongue thrusting can be managed through speech therapy, mechanotherapy. Tongue Crib Appliance Slideshare.
From odlortho.com
RPE with Tongue Crib ODL Orthodontic Labs Tongue Crib Appliance Slideshare Evaluated the effectiveness of tongue appliance on deficient maxilla in growing cleft lip and palate patients. For each habit, it provides information on. The quad helix is mostly used to unlock malocclusions and to establish normal function and arch form by expanding the dental arches. This document discusses various oral habits in children including thumb sucking, tongue thrusting, lip habits,. Tongue Crib Appliance Slideshare.
From www.cureus.com
A Modified Tongue Crib Appliance for Correction of Tongue Thrusting Tongue Crib Appliance Slideshare For each habit, it provides information on. Tongue thrusting can be managed through speech therapy, mechanotherapy using beads or palatal cribs, and swallowing exercises. This document discusses open bite, including definitions, classifications, anterior open bite (aob), and. Definition oral habits effects on the oral cavity prevention treatment options. The quad helix is mostly used to unlock malocclusions and to establish. Tongue Crib Appliance Slideshare.
From www.youtube.com
How a Tongue Crib Appliance Can Help YouTube Tongue Crib Appliance Slideshare For each habit, it provides information on. This document discusses open bite, including definitions, classifications, anterior open bite (aob), and. The quad helix is mostly used to unlock malocclusions and to establish normal function and arch form by expanding the dental arches. Definition oral habits effects on the oral cavity prevention treatment options. They showed that tongue appliance improved the.. Tongue Crib Appliance Slideshare.
From cottonwoodlabs.com
Cottonwood LabsTongue Crib Cottonwood Labs Tongue Crib Appliance Slideshare Evaluated the effectiveness of tongue appliance on deficient maxilla in growing cleft lip and palate patients. For each habit, it provides information on. Definition oral habits effects on the oral cavity prevention treatment options. This document discusses open bite, including definitions, classifications, anterior open bite (aob), and. It has a metal grate, two rings (also called bands) with which the. Tongue Crib Appliance Slideshare.
From www.youtube.com
Lower Tongue Crib Appliance Wellington Village Orthodontics YouTube Tongue Crib Appliance Slideshare Lip habits and bruxism are also. It has a metal grate, two rings (also called bands) with which the tool is attached to the back molars. Tongue thrusting can be managed through speech therapy, mechanotherapy using beads or palatal cribs, and swallowing exercises. This document discusses open bite, including definitions, classifications, anterior open bite (aob), and. Definition oral habits effects. Tongue Crib Appliance Slideshare.
From www.artofit.org
How a tongue crib appliance can help tongue crib for adults Artofit Tongue Crib Appliance Slideshare This document discusses various oral habits in children including thumb sucking, tongue thrusting, lip habits, and bruxism. Definition oral habits effects on the oral cavity prevention treatment options. Lip habits and bruxism are also. It has a metal grate, two rings (also called bands) with which the tool is attached to the back molars. For each habit, it provides information. Tongue Crib Appliance Slideshare.
From www.slideshare.net
Tongue crib Tongue Crib Appliance Slideshare Definition oral habits effects on the oral cavity prevention treatment options. It has a metal grate, two rings (also called bands) with which the tool is attached to the back molars. Tongue thrusting can be managed through speech therapy, mechanotherapy using beads or palatal cribs, and swallowing exercises. Lip habits and bruxism are also. This document discusses various oral habits. Tongue Crib Appliance Slideshare.
From www.semanticscholar.org
Figure 2 from Tongue pressure changes before, during and after crib Tongue Crib Appliance Slideshare The quad helix is mostly used to unlock malocclusions and to establish normal function and arch form by expanding the dental arches. Lip habits and bruxism are also. Definition oral habits effects on the oral cavity prevention treatment options. It has a metal grate, two rings (also called bands) with which the tool is attached to the back molars. Tongue. Tongue Crib Appliance Slideshare.
From www.slideshare.net
Tongue crib Tongue Crib Appliance Slideshare This document discusses various oral habits in children including thumb sucking, tongue thrusting, lip habits, and bruxism. It has a metal grate, two rings (also called bands) with which the tool is attached to the back molars. They showed that tongue appliance improved the. Evaluated the effectiveness of tongue appliance on deficient maxilla in growing cleft lip and palate patients.. Tongue Crib Appliance Slideshare.
From www.beton18.com
Tongue Crib Appliance Orthodontic Treatment, Speech Therapy Appliances Tongue Crib Appliance Slideshare They showed that tongue appliance improved the. This document discusses open bite, including definitions, classifications, anterior open bite (aob), and. Definition oral habits effects on the oral cavity prevention treatment options. It has a metal grate, two rings (also called bands) with which the tool is attached to the back molars. The quad helix is mostly used to unlock malocclusions. Tongue Crib Appliance Slideshare.
From webdental.com
Tongue Cribs, What Are They and What Do They Do? Blogs Dental, LLC Tongue Crib Appliance Slideshare This document discusses various oral habits in children including thumb sucking, tongue thrusting, lip habits, and bruxism. Definition oral habits effects on the oral cavity prevention treatment options. This document discusses open bite, including definitions, classifications, anterior open bite (aob), and. Lip habits and bruxism are also. The quad helix is mostly used to unlock malocclusions and to establish normal. Tongue Crib Appliance Slideshare.
From www.youtube.com
Orthodontics Treatment for Openbite Lower Tongue Crib Appliance YouTube Tongue Crib Appliance Slideshare The quad helix is mostly used to unlock malocclusions and to establish normal function and arch form by expanding the dental arches. They showed that tongue appliance improved the. For each habit, it provides information on. This document discusses open bite, including definitions, classifications, anterior open bite (aob), and. Lip habits and bruxism are also. Definition oral habits effects on. Tongue Crib Appliance Slideshare.
From www.etsy.com
Tongue Crib Appliance Etsy Tongue Crib Appliance Slideshare It has a metal grate, two rings (also called bands) with which the tool is attached to the back molars. This document discusses open bite, including definitions, classifications, anterior open bite (aob), and. They showed that tongue appliance improved the. For each habit, it provides information on. Lip habits and bruxism are also. This document discusses various oral habits in. Tongue Crib Appliance Slideshare.
From www.slideshare.net
Tongue crib Tongue Crib Appliance Slideshare They showed that tongue appliance improved the. For each habit, it provides information on. It has a metal grate, two rings (also called bands) with which the tool is attached to the back molars. Lip habits and bruxism are also. Definition oral habits effects on the oral cavity prevention treatment options. This document discusses various oral habits in children including. Tongue Crib Appliance Slideshare.
From www.artofit.org
How a tongue crib appliance can help tongue crib for adults Artofit Tongue Crib Appliance Slideshare This document discusses open bite, including definitions, classifications, anterior open bite (aob), and. This document discusses various oral habits in children including thumb sucking, tongue thrusting, lip habits, and bruxism. Evaluated the effectiveness of tongue appliance on deficient maxilla in growing cleft lip and palate patients. Tongue thrusting can be managed through speech therapy, mechanotherapy using beads or palatal cribs,. Tongue Crib Appliance Slideshare.
From issuu.com
How does a tongue crib appliance modify tongue behavior? by Tongue Crib Appliance Slideshare This document discusses various oral habits in children including thumb sucking, tongue thrusting, lip habits, and bruxism. It has a metal grate, two rings (also called bands) with which the tool is attached to the back molars. Lip habits and bruxism are also. This document discusses open bite, including definitions, classifications, anterior open bite (aob), and. Definition oral habits effects. Tongue Crib Appliance Slideshare.