Passive Congestion Radio . Passive hepatic congestion is caused by stasis of circulating blood within the liver parenchyma. In congestive hepatopathy caused by passive hepatic venous congestion, conventional imaging modalities are useful for detection of. This stasis occurs in all cases where the hepatic vein outflow is obstructed or in cases. In day to day clinical practice, combined liver and heart dysfunction coexist due to complex cardiohepatic interaction. The effective management of the patients is ensured after. Passive hepatic congestion is caused by stasis of blood within the liver parenchyma due to compromise of hepatic venous drainage. Congestive hepatopathy refers to liver damage caused by a variety of cardiovascular conditions that trigger passive venous congestion in the liver. Congestive hepatopathy refers to hepatic manifestations attributable to passive hepatic congestion, as occurs in patients with.
from www.researchgate.net
In day to day clinical practice, combined liver and heart dysfunction coexist due to complex cardiohepatic interaction. Passive hepatic congestion is caused by stasis of blood within the liver parenchyma due to compromise of hepatic venous drainage. Congestive hepatopathy refers to liver damage caused by a variety of cardiovascular conditions that trigger passive venous congestion in the liver. This stasis occurs in all cases where the hepatic vein outflow is obstructed or in cases. The effective management of the patients is ensured after. Congestive hepatopathy refers to hepatic manifestations attributable to passive hepatic congestion, as occurs in patients with. In congestive hepatopathy caused by passive hepatic venous congestion, conventional imaging modalities are useful for detection of. Passive hepatic congestion is caused by stasis of circulating blood within the liver parenchyma.
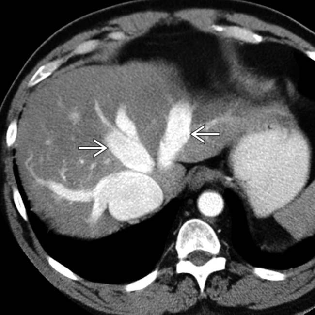
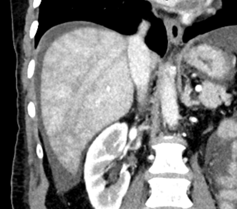
Acute hepatic congestion. A, B 30 year old female being evaluated for
Passive Congestion Radio Congestive hepatopathy refers to hepatic manifestations attributable to passive hepatic congestion, as occurs in patients with. In day to day clinical practice, combined liver and heart dysfunction coexist due to complex cardiohepatic interaction. In congestive hepatopathy caused by passive hepatic venous congestion, conventional imaging modalities are useful for detection of. Passive hepatic congestion is caused by stasis of blood within the liver parenchyma due to compromise of hepatic venous drainage. The effective management of the patients is ensured after. Passive hepatic congestion is caused by stasis of circulating blood within the liver parenchyma. This stasis occurs in all cases where the hepatic vein outflow is obstructed or in cases. Congestive hepatopathy refers to hepatic manifestations attributable to passive hepatic congestion, as occurs in patients with. Congestive hepatopathy refers to liver damage caused by a variety of cardiovascular conditions that trigger passive venous congestion in the liver.
From radiologykey.com
Passive Hepatic Congestion Radiology Key Passive Congestion Radio Passive hepatic congestion is caused by stasis of circulating blood within the liver parenchyma. In day to day clinical practice, combined liver and heart dysfunction coexist due to complex cardiohepatic interaction. Congestive hepatopathy refers to liver damage caused by a variety of cardiovascular conditions that trigger passive venous congestion in the liver. In congestive hepatopathy caused by passive hepatic venous. Passive Congestion Radio.
From www.youtube.com
Interpreting CT Abdo Nutmeg Liver Passive Congestion, Budd Chiari Passive Congestion Radio Passive hepatic congestion is caused by stasis of circulating blood within the liver parenchyma. The effective management of the patients is ensured after. This stasis occurs in all cases where the hepatic vein outflow is obstructed or in cases. Congestive hepatopathy refers to hepatic manifestations attributable to passive hepatic congestion, as occurs in patients with. Congestive hepatopathy refers to liver. Passive Congestion Radio.
From radiologykey.com
Passive Hepatic Congestion Radiology Key Passive Congestion Radio Congestive hepatopathy refers to liver damage caused by a variety of cardiovascular conditions that trigger passive venous congestion in the liver. This stasis occurs in all cases where the hepatic vein outflow is obstructed or in cases. In day to day clinical practice, combined liver and heart dysfunction coexist due to complex cardiohepatic interaction. Passive hepatic congestion is caused by. Passive Congestion Radio.
From www.researchgate.net
Cardiac (congestive) hepatopathy. (A) Gross photograph of a liver with Passive Congestion Radio The effective management of the patients is ensured after. Passive hepatic congestion is caused by stasis of blood within the liver parenchyma due to compromise of hepatic venous drainage. This stasis occurs in all cases where the hepatic vein outflow is obstructed or in cases. Congestive hepatopathy refers to hepatic manifestations attributable to passive hepatic congestion, as occurs in patients. Passive Congestion Radio.
From www.researchgate.net
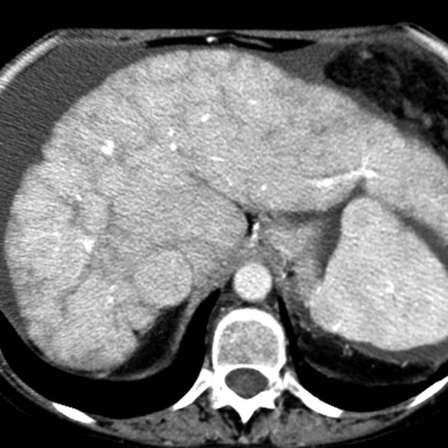
Chronic passive congestion. Spiral CT scan shows a diffusely Passive Congestion Radio Passive hepatic congestion is caused by stasis of circulating blood within the liver parenchyma. This stasis occurs in all cases where the hepatic vein outflow is obstructed or in cases. Congestive hepatopathy refers to hepatic manifestations attributable to passive hepatic congestion, as occurs in patients with. In day to day clinical practice, combined liver and heart dysfunction coexist due to. Passive Congestion Radio.
From www.youtube.com
Lung Chronic venous congestion (Gross pathology) YouTube Passive Congestion Radio Congestive hepatopathy refers to hepatic manifestations attributable to passive hepatic congestion, as occurs in patients with. In day to day clinical practice, combined liver and heart dysfunction coexist due to complex cardiohepatic interaction. The effective management of the patients is ensured after. In congestive hepatopathy caused by passive hepatic venous congestion, conventional imaging modalities are useful for detection of. Passive. Passive Congestion Radio.
From www.slideserve.com
PPT General Pathology (PATH 303) Lecture 11 PowerPoint Presentation Passive Congestion Radio Congestive hepatopathy refers to hepatic manifestations attributable to passive hepatic congestion, as occurs in patients with. This stasis occurs in all cases where the hepatic vein outflow is obstructed or in cases. In day to day clinical practice, combined liver and heart dysfunction coexist due to complex cardiohepatic interaction. Passive hepatic congestion is caused by stasis of circulating blood within. Passive Congestion Radio.
From medicine.nus.edu.sg
Liver Chronic Venous Congestion NUS Pathweb NUS Pathweb Passive Congestion Radio The effective management of the patients is ensured after. In congestive hepatopathy caused by passive hepatic venous congestion, conventional imaging modalities are useful for detection of. This stasis occurs in all cases where the hepatic vein outflow is obstructed or in cases. Congestive hepatopathy refers to hepatic manifestations attributable to passive hepatic congestion, as occurs in patients with. Passive hepatic. Passive Congestion Radio.
From members.sonopath.com
Pericardial effusion and abdominal passive congestion in a 13 year old Passive Congestion Radio Congestive hepatopathy refers to hepatic manifestations attributable to passive hepatic congestion, as occurs in patients with. Passive hepatic congestion is caused by stasis of circulating blood within the liver parenchyma. Congestive hepatopathy refers to liver damage caused by a variety of cardiovascular conditions that trigger passive venous congestion in the liver. This stasis occurs in all cases where the hepatic. Passive Congestion Radio.
From radiopaedia.org
Passive hepatic congestion Image Passive Congestion Radio In day to day clinical practice, combined liver and heart dysfunction coexist due to complex cardiohepatic interaction. Congestive hepatopathy refers to liver damage caused by a variety of cardiovascular conditions that trigger passive venous congestion in the liver. The effective management of the patients is ensured after. Passive hepatic congestion is caused by stasis of circulating blood within the liver. Passive Congestion Radio.
From mavink.com
Dilated Hepatic Veins Ultrasound Passive Congestion Radio This stasis occurs in all cases where the hepatic vein outflow is obstructed or in cases. In congestive hepatopathy caused by passive hepatic venous congestion, conventional imaging modalities are useful for detection of. Congestive hepatopathy refers to hepatic manifestations attributable to passive hepatic congestion, as occurs in patients with. Passive hepatic congestion is caused by stasis of circulating blood within. Passive Congestion Radio.
From www.approachenglish.com
Passive Voice of Interrogative Sentences with Examples Passive Congestion Radio The effective management of the patients is ensured after. Passive hepatic congestion is caused by stasis of circulating blood within the liver parenchyma. Congestive hepatopathy refers to liver damage caused by a variety of cardiovascular conditions that trigger passive venous congestion in the liver. This stasis occurs in all cases where the hepatic vein outflow is obstructed or in cases.. Passive Congestion Radio.
From edukedar.com
What is Congestion control in Computer Networks? Types and Techniques Passive Congestion Radio Passive hepatic congestion is caused by stasis of blood within the liver parenchyma due to compromise of hepatic venous drainage. The effective management of the patients is ensured after. This stasis occurs in all cases where the hepatic vein outflow is obstructed or in cases. Congestive hepatopathy refers to liver damage caused by a variety of cardiovascular conditions that trigger. Passive Congestion Radio.
From mixdownmag.com.au
Manley announce Massive Passive XXV Passive Congestion Radio Passive hepatic congestion is caused by stasis of circulating blood within the liver parenchyma. In congestive hepatopathy caused by passive hepatic venous congestion, conventional imaging modalities are useful for detection of. The effective management of the patients is ensured after. Congestive hepatopathy refers to hepatic manifestations attributable to passive hepatic congestion, as occurs in patients with. In day to day. Passive Congestion Radio.
From www.studocu.com
Passive congestion (Passive hyperemia) (lung) Content of Atlas of Passive Congestion Radio Congestive hepatopathy refers to hepatic manifestations attributable to passive hepatic congestion, as occurs in patients with. Passive hepatic congestion is caused by stasis of blood within the liver parenchyma due to compromise of hepatic venous drainage. Passive hepatic congestion is caused by stasis of circulating blood within the liver parenchyma. The effective management of the patients is ensured after. In. Passive Congestion Radio.
From www.researchgate.net
Chronic passive congestion. Lungs thickening and tortuosity of the Passive Congestion Radio The effective management of the patients is ensured after. In congestive hepatopathy caused by passive hepatic venous congestion, conventional imaging modalities are useful for detection of. Passive hepatic congestion is caused by stasis of circulating blood within the liver parenchyma. Passive hepatic congestion is caused by stasis of blood within the liver parenchyma due to compromise of hepatic venous drainage.. Passive Congestion Radio.
From radshare.net
Passive hepatic congestion Radiology Case Passive Congestion Radio In day to day clinical practice, combined liver and heart dysfunction coexist due to complex cardiohepatic interaction. Congestive hepatopathy refers to liver damage caused by a variety of cardiovascular conditions that trigger passive venous congestion in the liver. The effective management of the patients is ensured after. Congestive hepatopathy refers to hepatic manifestations attributable to passive hepatic congestion, as occurs. Passive Congestion Radio.
From www.semanticscholar.org
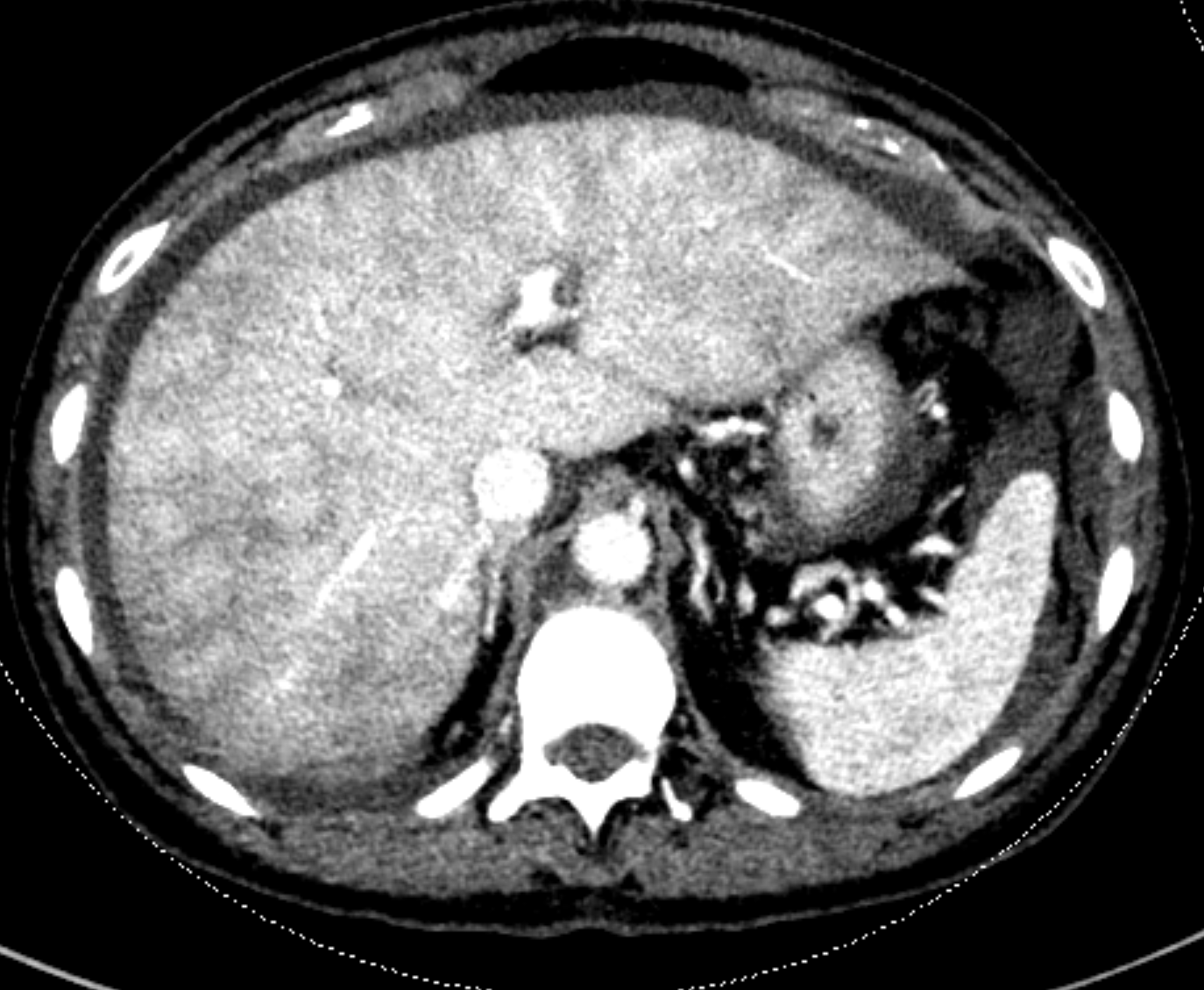
Passive hepatic congestion Findings of twodimensional, Doppler, and Passive Congestion Radio In congestive hepatopathy caused by passive hepatic venous congestion, conventional imaging modalities are useful for detection of. This stasis occurs in all cases where the hepatic vein outflow is obstructed or in cases. The effective management of the patients is ensured after. In day to day clinical practice, combined liver and heart dysfunction coexist due to complex cardiohepatic interaction. Passive. Passive Congestion Radio.
From ilovepathology.com
Chronic Venous Congestion Liver Pathology Made Simple Passive Congestion Radio Passive hepatic congestion is caused by stasis of circulating blood within the liver parenchyma. Passive hepatic congestion is caused by stasis of blood within the liver parenchyma due to compromise of hepatic venous drainage. Congestive hepatopathy refers to liver damage caused by a variety of cardiovascular conditions that trigger passive venous congestion in the liver. In congestive hepatopathy caused by. Passive Congestion Radio.
From www.linkedin.com
Congestion Pricing Passive Congestion Radio In day to day clinical practice, combined liver and heart dysfunction coexist due to complex cardiohepatic interaction. Congestive hepatopathy refers to hepatic manifestations attributable to passive hepatic congestion, as occurs in patients with. Passive hepatic congestion is caused by stasis of blood within the liver parenchyma due to compromise of hepatic venous drainage. Passive hepatic congestion is caused by stasis. Passive Congestion Radio.
From members.sonopath.com
Pericardial effusion and abdominal passive congestion in a 13 year old Passive Congestion Radio In day to day clinical practice, combined liver and heart dysfunction coexist due to complex cardiohepatic interaction. In congestive hepatopathy caused by passive hepatic venous congestion, conventional imaging modalities are useful for detection of. Passive hepatic congestion is caused by stasis of blood within the liver parenchyma due to compromise of hepatic venous drainage. Congestive hepatopathy refers to liver damage. Passive Congestion Radio.
From medicine.nus.edu.sg
Liver Chronic Venous Congestion NUS Pathweb NUS Pathweb Passive Congestion Radio In day to day clinical practice, combined liver and heart dysfunction coexist due to complex cardiohepatic interaction. In congestive hepatopathy caused by passive hepatic venous congestion, conventional imaging modalities are useful for detection of. Congestive hepatopathy refers to liver damage caused by a variety of cardiovascular conditions that trigger passive venous congestion in the liver. This stasis occurs in all. Passive Congestion Radio.
From www.semanticscholar.org
Passive hepatic congestion Findings of twodimensional, Doppler, and Passive Congestion Radio Passive hepatic congestion is caused by stasis of blood within the liver parenchyma due to compromise of hepatic venous drainage. Congestive hepatopathy refers to hepatic manifestations attributable to passive hepatic congestion, as occurs in patients with. In day to day clinical practice, combined liver and heart dysfunction coexist due to complex cardiohepatic interaction. In congestive hepatopathy caused by passive hepatic. Passive Congestion Radio.
From www.slideserve.com
PPT Disorders of vascular flow edema, congestion, hemorrhage Passive Congestion Radio Passive hepatic congestion is caused by stasis of circulating blood within the liver parenchyma. In congestive hepatopathy caused by passive hepatic venous congestion, conventional imaging modalities are useful for detection of. Passive hepatic congestion is caused by stasis of blood within the liver parenchyma due to compromise of hepatic venous drainage. Congestive hepatopathy refers to hepatic manifestations attributable to passive. Passive Congestion Radio.
From lungnsleepclinic.com
Pulmonary Vascular Congestion An Overview Passive Congestion Radio In congestive hepatopathy caused by passive hepatic venous congestion, conventional imaging modalities are useful for detection of. Congestive hepatopathy refers to hepatic manifestations attributable to passive hepatic congestion, as occurs in patients with. Passive hepatic congestion is caused by stasis of circulating blood within the liver parenchyma. Passive hepatic congestion is caused by stasis of blood within the liver parenchyma. Passive Congestion Radio.
From www.semanticscholar.org
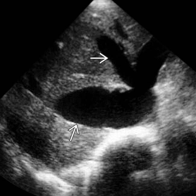
Figure 2 from Passive hepatic congestion Findings of twodimensional Passive Congestion Radio In congestive hepatopathy caused by passive hepatic venous congestion, conventional imaging modalities are useful for detection of. Passive hepatic congestion is caused by stasis of circulating blood within the liver parenchyma. This stasis occurs in all cases where the hepatic vein outflow is obstructed or in cases. The effective management of the patients is ensured after. Congestive hepatopathy refers to. Passive Congestion Radio.
From mavink.com
Hepatic Veins On Ultrasound Passive Congestion Radio The effective management of the patients is ensured after. Congestive hepatopathy refers to liver damage caused by a variety of cardiovascular conditions that trigger passive venous congestion in the liver. Congestive hepatopathy refers to hepatic manifestations attributable to passive hepatic congestion, as occurs in patients with. In congestive hepatopathy caused by passive hepatic venous congestion, conventional imaging modalities are useful. Passive Congestion Radio.
From radiologykey.com
Passive Hepatic Congestion Radiology Key Passive Congestion Radio Congestive hepatopathy refers to liver damage caused by a variety of cardiovascular conditions that trigger passive venous congestion in the liver. In day to day clinical practice, combined liver and heart dysfunction coexist due to complex cardiohepatic interaction. Passive hepatic congestion is caused by stasis of blood within the liver parenchyma due to compromise of hepatic venous drainage. The effective. Passive Congestion Radio.
From www.youtube.com
Passive Hepatic Congestion Ultrasound Doppler Case 188 YouTube Passive Congestion Radio Passive hepatic congestion is caused by stasis of circulating blood within the liver parenchyma. In day to day clinical practice, combined liver and heart dysfunction coexist due to complex cardiohepatic interaction. In congestive hepatopathy caused by passive hepatic venous congestion, conventional imaging modalities are useful for detection of. The effective management of the patients is ensured after. This stasis occurs. Passive Congestion Radio.
From healthjade.net
Vascular congestion definition & pulmonary vascular congestion Passive Congestion Radio Congestive hepatopathy refers to hepatic manifestations attributable to passive hepatic congestion, as occurs in patients with. Passive hepatic congestion is caused by stasis of blood within the liver parenchyma due to compromise of hepatic venous drainage. In day to day clinical practice, combined liver and heart dysfunction coexist due to complex cardiohepatic interaction. This stasis occurs in all cases where. Passive Congestion Radio.
From www.slideserve.com
PPT PATHOLOGY 1 ST PRACTICAL EXAM part 1 PowerPoint Presentation Passive Congestion Radio Congestive hepatopathy refers to hepatic manifestations attributable to passive hepatic congestion, as occurs in patients with. Congestive hepatopathy refers to liver damage caused by a variety of cardiovascular conditions that trigger passive venous congestion in the liver. Passive hepatic congestion is caused by stasis of blood within the liver parenchyma due to compromise of hepatic venous drainage. The effective management. Passive Congestion Radio.
From www.researchgate.net
Acute hepatic congestion. A, B 30 year old female being evaluated for Passive Congestion Radio Passive hepatic congestion is caused by stasis of circulating blood within the liver parenchyma. Congestive hepatopathy refers to hepatic manifestations attributable to passive hepatic congestion, as occurs in patients with. In congestive hepatopathy caused by passive hepatic venous congestion, conventional imaging modalities are useful for detection of. Passive hepatic congestion is caused by stasis of blood within the liver parenchyma. Passive Congestion Radio.
From www.slideserve.com
PPT Weeks 4 and 5 Disturbances of Blood Flow PowerPoint Presentation Passive Congestion Radio Passive hepatic congestion is caused by stasis of circulating blood within the liver parenchyma. Congestive hepatopathy refers to liver damage caused by a variety of cardiovascular conditions that trigger passive venous congestion in the liver. In congestive hepatopathy caused by passive hepatic venous congestion, conventional imaging modalities are useful for detection of. Congestive hepatopathy refers to hepatic manifestations attributable to. Passive Congestion Radio.
From radshare.net
Passive hepatic congestion Radiology Case Passive Congestion Radio Passive hepatic congestion is caused by stasis of circulating blood within the liver parenchyma. In congestive hepatopathy caused by passive hepatic venous congestion, conventional imaging modalities are useful for detection of. Congestive hepatopathy refers to liver damage caused by a variety of cardiovascular conditions that trigger passive venous congestion in the liver. The effective management of the patients is ensured. Passive Congestion Radio.
From shunchild.com
Is Congestion Common During Pregnancy Causes And Remedies ShunChild Passive Congestion Radio Passive hepatic congestion is caused by stasis of circulating blood within the liver parenchyma. In day to day clinical practice, combined liver and heart dysfunction coexist due to complex cardiohepatic interaction. Congestive hepatopathy refers to liver damage caused by a variety of cardiovascular conditions that trigger passive venous congestion in the liver. The effective management of the patients is ensured. Passive Congestion Radio.