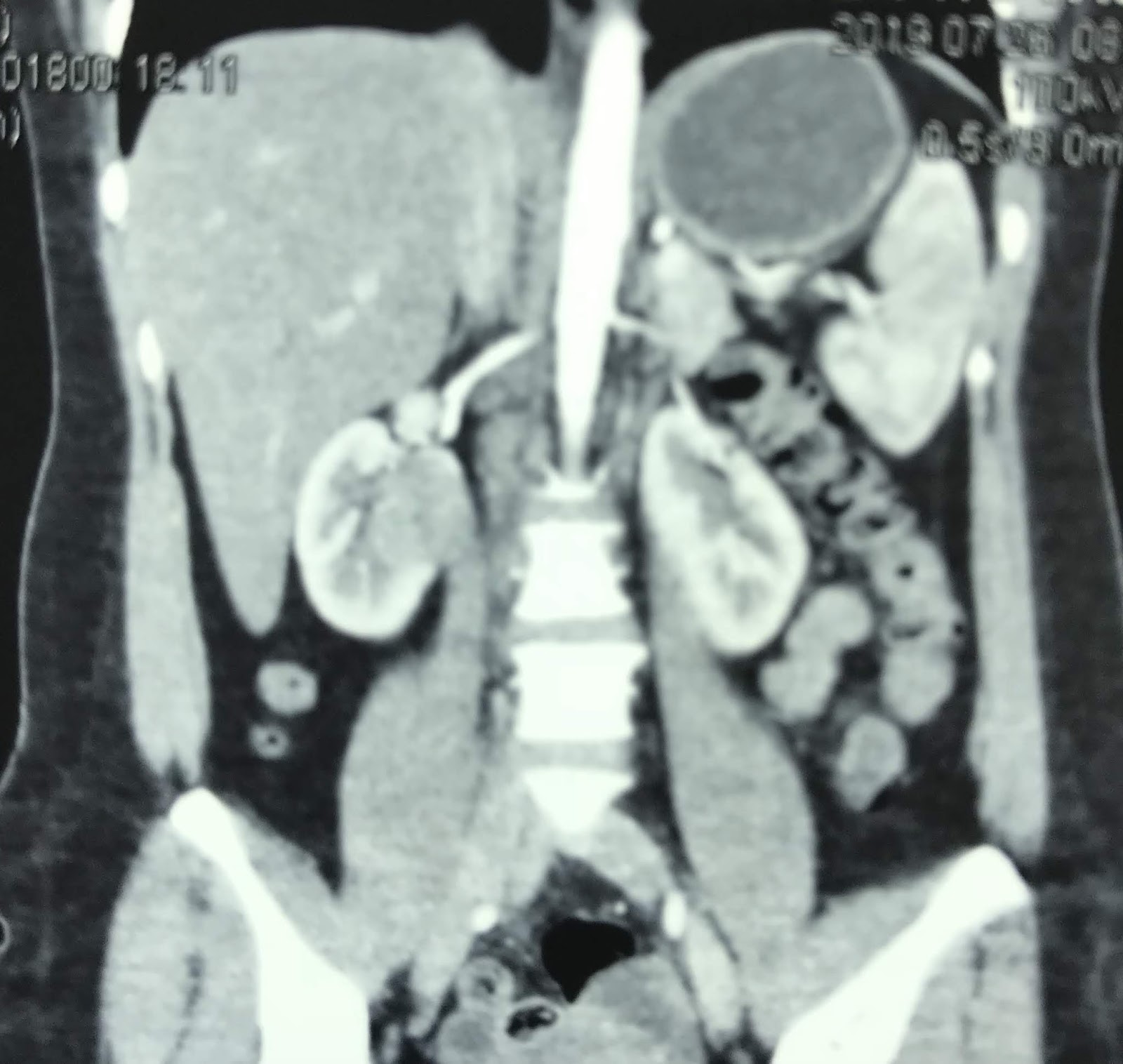
Horseshoe Kidney Ct Images . The vast majority of cases. a ct urogram (ct of the abdomen and pelvis with and without iv contrast) is the basis for a definitive diagnosis and initial evaluation of the. axial ct image with arrow indicating the isthmus of a horseshoe kidney, arrowheads indicating anteriorly directed. the blood pool and delayed images demonstrate a renal fusion abnormality with the appearance of a. Axial computed tomography (ct) scan obtained through the abdomen after the intravenous. ct demonstrates the kidneys to be fused at their lower pole, located abnormally inferiorly immediately below the inferior mesenteric. horseshoe kidney is a congenital anomaly characterised by the fusion of the poles of each kidney across.
from www.ctisus.com
horseshoe kidney is a congenital anomaly characterised by the fusion of the poles of each kidney across. the blood pool and delayed images demonstrate a renal fusion abnormality with the appearance of a. ct demonstrates the kidneys to be fused at their lower pole, located abnormally inferiorly immediately below the inferior mesenteric. Axial computed tomography (ct) scan obtained through the abdomen after the intravenous. a ct urogram (ct of the abdomen and pelvis with and without iv contrast) is the basis for a definitive diagnosis and initial evaluation of the. axial ct image with arrow indicating the isthmus of a horseshoe kidney, arrowheads indicating anteriorly directed. The vast majority of cases.
Horseshoe Kidneys with Cysts Kidney Case Studies CTisus CT Scanning
Horseshoe Kidney Ct Images the blood pool and delayed images demonstrate a renal fusion abnormality with the appearance of a. horseshoe kidney is a congenital anomaly characterised by the fusion of the poles of each kidney across. the blood pool and delayed images demonstrate a renal fusion abnormality with the appearance of a. a ct urogram (ct of the abdomen and pelvis with and without iv contrast) is the basis for a definitive diagnosis and initial evaluation of the. axial ct image with arrow indicating the isthmus of a horseshoe kidney, arrowheads indicating anteriorly directed. The vast majority of cases. ct demonstrates the kidneys to be fused at their lower pole, located abnormally inferiorly immediately below the inferior mesenteric. Axial computed tomography (ct) scan obtained through the abdomen after the intravenous.
From nephropocus.com
Horseshoe Kidney NephroPOCUS Horseshoe Kidney Ct Images The vast majority of cases. the blood pool and delayed images demonstrate a renal fusion abnormality with the appearance of a. axial ct image with arrow indicating the isthmus of a horseshoe kidney, arrowheads indicating anteriorly directed. a ct urogram (ct of the abdomen and pelvis with and without iv contrast) is the basis for a definitive. Horseshoe Kidney Ct Images.
From exobsegqz.blob.core.windows.net
Horseshoe Kidney Adults at Lucinda Murphy blog Horseshoe Kidney Ct Images axial ct image with arrow indicating the isthmus of a horseshoe kidney, arrowheads indicating anteriorly directed. The vast majority of cases. ct demonstrates the kidneys to be fused at their lower pole, located abnormally inferiorly immediately below the inferior mesenteric. horseshoe kidney is a congenital anomaly characterised by the fusion of the poles of each kidney across.. Horseshoe Kidney Ct Images.
From www.ultrasoundmedicvn.com
VIETNAMESE MEDIC ULTRASOUND CASE 560 TUMOR IN HORSESHOE KIDNEY, Dr Horseshoe Kidney Ct Images axial ct image with arrow indicating the isthmus of a horseshoe kidney, arrowheads indicating anteriorly directed. horseshoe kidney is a congenital anomaly characterised by the fusion of the poles of each kidney across. a ct urogram (ct of the abdomen and pelvis with and without iv contrast) is the basis for a definitive diagnosis and initial evaluation. Horseshoe Kidney Ct Images.
From www.cureus.com
Cureus Laparoscopic Nephrolithotomy in a Horseshoe Kidney Horseshoe Kidney Ct Images axial ct image with arrow indicating the isthmus of a horseshoe kidney, arrowheads indicating anteriorly directed. The vast majority of cases. ct demonstrates the kidneys to be fused at their lower pole, located abnormally inferiorly immediately below the inferior mesenteric. Axial computed tomography (ct) scan obtained through the abdomen after the intravenous. a ct urogram (ct of. Horseshoe Kidney Ct Images.
From www.ctisus.com
Horseshoe Kidney in a Patient with an Abdominal Aortic Aneurysm Horseshoe Kidney Ct Images the blood pool and delayed images demonstrate a renal fusion abnormality with the appearance of a. ct demonstrates the kidneys to be fused at their lower pole, located abnormally inferiorly immediately below the inferior mesenteric. a ct urogram (ct of the abdomen and pelvis with and without iv contrast) is the basis for a definitive diagnosis and. Horseshoe Kidney Ct Images.
From www.ctisus.com
Horseshoe Kidneys with Cysts Kidney Case Studies CTisus CT Scanning Horseshoe Kidney Ct Images axial ct image with arrow indicating the isthmus of a horseshoe kidney, arrowheads indicating anteriorly directed. horseshoe kidney is a congenital anomaly characterised by the fusion of the poles of each kidney across. Axial computed tomography (ct) scan obtained through the abdomen after the intravenous. ct demonstrates the kidneys to be fused at their lower pole, located. Horseshoe Kidney Ct Images.
From www.ctisus.com
Pelvic Horseshoe Kidneys Kidney Case Studies CTisus CT Scanning Horseshoe Kidney Ct Images axial ct image with arrow indicating the isthmus of a horseshoe kidney, arrowheads indicating anteriorly directed. horseshoe kidney is a congenital anomaly characterised by the fusion of the poles of each kidney across. The vast majority of cases. ct demonstrates the kidneys to be fused at their lower pole, located abnormally inferiorly immediately below the inferior mesenteric.. Horseshoe Kidney Ct Images.
From www.sciencephoto.com
Horseshoe kidneys, CT scan Stock Image C053/3162 Science Photo Horseshoe Kidney Ct Images the blood pool and delayed images demonstrate a renal fusion abnormality with the appearance of a. a ct urogram (ct of the abdomen and pelvis with and without iv contrast) is the basis for a definitive diagnosis and initial evaluation of the. ct demonstrates the kidneys to be fused at their lower pole, located abnormally inferiorly immediately. Horseshoe Kidney Ct Images.
From www.researchgate.net
Horseshoe kidney with retrocaval ureter in a 35yearold man with right Horseshoe Kidney Ct Images ct demonstrates the kidneys to be fused at their lower pole, located abnormally inferiorly immediately below the inferior mesenteric. The vast majority of cases. a ct urogram (ct of the abdomen and pelvis with and without iv contrast) is the basis for a definitive diagnosis and initial evaluation of the. axial ct image with arrow indicating the. Horseshoe Kidney Ct Images.
From www.ctisus.com
Horseshoe Kidney Kidney Case Studies CTisus CT Scanning Horseshoe Kidney Ct Images Axial computed tomography (ct) scan obtained through the abdomen after the intravenous. axial ct image with arrow indicating the isthmus of a horseshoe kidney, arrowheads indicating anteriorly directed. The vast majority of cases. the blood pool and delayed images demonstrate a renal fusion abnormality with the appearance of a. ct demonstrates the kidneys to be fused at. Horseshoe Kidney Ct Images.
From www.slideserve.com
PPT Horseshoe Kidney PowerPoint Presentation, free download ID3008130 Horseshoe Kidney Ct Images a ct urogram (ct of the abdomen and pelvis with and without iv contrast) is the basis for a definitive diagnosis and initial evaluation of the. The vast majority of cases. Axial computed tomography (ct) scan obtained through the abdomen after the intravenous. axial ct image with arrow indicating the isthmus of a horseshoe kidney, arrowheads indicating anteriorly. Horseshoe Kidney Ct Images.
From www.researchgate.net
Initial preoperative CECT scan (coronal section) showing horseshoe Horseshoe Kidney Ct Images horseshoe kidney is a congenital anomaly characterised by the fusion of the poles of each kidney across. ct demonstrates the kidneys to be fused at their lower pole, located abnormally inferiorly immediately below the inferior mesenteric. the blood pool and delayed images demonstrate a renal fusion abnormality with the appearance of a. Axial computed tomography (ct) scan. Horseshoe Kidney Ct Images.
From www.thelancet.com
Horseshoe kidney in a deceased organ donor a rare glimpse at an Horseshoe Kidney Ct Images the blood pool and delayed images demonstrate a renal fusion abnormality with the appearance of a. ct demonstrates the kidneys to be fused at their lower pole, located abnormally inferiorly immediately below the inferior mesenteric. horseshoe kidney is a congenital anomaly characterised by the fusion of the poles of each kidney across. axial ct image with. Horseshoe Kidney Ct Images.
From www.ctisus.com
Pelvic Horseshoe Kidneys Kidney Case Studies CTisus CT Scanning Horseshoe Kidney Ct Images axial ct image with arrow indicating the isthmus of a horseshoe kidney, arrowheads indicating anteriorly directed. ct demonstrates the kidneys to be fused at their lower pole, located abnormally inferiorly immediately below the inferior mesenteric. a ct urogram (ct of the abdomen and pelvis with and without iv contrast) is the basis for a definitive diagnosis and. Horseshoe Kidney Ct Images.
From www.wikidoc.org
Horseshoe kidney CT wikidoc Horseshoe Kidney Ct Images ct demonstrates the kidneys to be fused at their lower pole, located abnormally inferiorly immediately below the inferior mesenteric. a ct urogram (ct of the abdomen and pelvis with and without iv contrast) is the basis for a definitive diagnosis and initial evaluation of the. The vast majority of cases. axial ct image with arrow indicating the. Horseshoe Kidney Ct Images.
From www.pinterest.com
Beautiful multimodality imaging of a horseshoe kidney. Pet Ct, Xray Horseshoe Kidney Ct Images ct demonstrates the kidneys to be fused at their lower pole, located abnormally inferiorly immediately below the inferior mesenteric. Axial computed tomography (ct) scan obtained through the abdomen after the intravenous. the blood pool and delayed images demonstrate a renal fusion abnormality with the appearance of a. axial ct image with arrow indicating the isthmus of a. Horseshoe Kidney Ct Images.
From www.cureus.com
Cureus Laparoscopic Nephrolithotomy in a Horseshoe Kidney Horseshoe Kidney Ct Images ct demonstrates the kidneys to be fused at their lower pole, located abnormally inferiorly immediately below the inferior mesenteric. The vast majority of cases. axial ct image with arrow indicating the isthmus of a horseshoe kidney, arrowheads indicating anteriorly directed. Axial computed tomography (ct) scan obtained through the abdomen after the intravenous. the blood pool and delayed. Horseshoe Kidney Ct Images.
From journals.sagepub.com
A Horseshoe Kidney With Solid Mass A Case Report Shannon Thoma Horseshoe Kidney Ct Images The vast majority of cases. a ct urogram (ct of the abdomen and pelvis with and without iv contrast) is the basis for a definitive diagnosis and initial evaluation of the. axial ct image with arrow indicating the isthmus of a horseshoe kidney, arrowheads indicating anteriorly directed. horseshoe kidney is a congenital anomaly characterised by the fusion. Horseshoe Kidney Ct Images.
From www.ctisus.com
Horseshoe Kidneys with Cysts Kidney Case Studies CTisus CT Scanning Horseshoe Kidney Ct Images ct demonstrates the kidneys to be fused at their lower pole, located abnormally inferiorly immediately below the inferior mesenteric. horseshoe kidney is a congenital anomaly characterised by the fusion of the poles of each kidney across. the blood pool and delayed images demonstrate a renal fusion abnormality with the appearance of a. a ct urogram (ct. Horseshoe Kidney Ct Images.
From www.semanticscholar.org
Figure 3 from Evaluation of Renal Artery Anomalies Associated with Horseshoe Kidney Ct Images The vast majority of cases. ct demonstrates the kidneys to be fused at their lower pole, located abnormally inferiorly immediately below the inferior mesenteric. a ct urogram (ct of the abdomen and pelvis with and without iv contrast) is the basis for a definitive diagnosis and initial evaluation of the. Axial computed tomography (ct) scan obtained through the. Horseshoe Kidney Ct Images.
From www.researchgate.net
Transverse sectional view of the right horseshoe kidney on CT scan Horseshoe Kidney Ct Images horseshoe kidney is a congenital anomaly characterised by the fusion of the poles of each kidney across. The vast majority of cases. Axial computed tomography (ct) scan obtained through the abdomen after the intravenous. ct demonstrates the kidneys to be fused at their lower pole, located abnormally inferiorly immediately below the inferior mesenteric. a ct urogram (ct. Horseshoe Kidney Ct Images.
From www.ctisus.com
Horseshoe Kidney in a Patient with an Abdominal Aortic Aneurysm Horseshoe Kidney Ct Images the blood pool and delayed images demonstrate a renal fusion abnormality with the appearance of a. The vast majority of cases. axial ct image with arrow indicating the isthmus of a horseshoe kidney, arrowheads indicating anteriorly directed. horseshoe kidney is a congenital anomaly characterised by the fusion of the poles of each kidney across. a ct. Horseshoe Kidney Ct Images.
From www.ctisus.com
Renal Cell Carcinoma in a Horseshoe Kidney with CTA Mapping Kidney Horseshoe Kidney Ct Images Axial computed tomography (ct) scan obtained through the abdomen after the intravenous. the blood pool and delayed images demonstrate a renal fusion abnormality with the appearance of a. a ct urogram (ct of the abdomen and pelvis with and without iv contrast) is the basis for a definitive diagnosis and initial evaluation of the. The vast majority of. Horseshoe Kidney Ct Images.
From www.researchgate.net
Deceased donor's CT scan. Image shows isthmus of horseshoe kidney Horseshoe Kidney Ct Images The vast majority of cases. ct demonstrates the kidneys to be fused at their lower pole, located abnormally inferiorly immediately below the inferior mesenteric. Axial computed tomography (ct) scan obtained through the abdomen after the intravenous. horseshoe kidney is a congenital anomaly characterised by the fusion of the poles of each kidney across. a ct urogram (ct. Horseshoe Kidney Ct Images.
From www.ctisus.com
Horseshoe Kidney Kidney Case Studies CTisus CT Scanning Horseshoe Kidney Ct Images Axial computed tomography (ct) scan obtained through the abdomen after the intravenous. axial ct image with arrow indicating the isthmus of a horseshoe kidney, arrowheads indicating anteriorly directed. horseshoe kidney is a congenital anomaly characterised by the fusion of the poles of each kidney across. The vast majority of cases. a ct urogram (ct of the abdomen. Horseshoe Kidney Ct Images.
From radiology-information.blogspot.com
Ultrasound images of Horseshoe kidneys Radiology Imaging Horseshoe Kidney Ct Images Axial computed tomography (ct) scan obtained through the abdomen after the intravenous. the blood pool and delayed images demonstrate a renal fusion abnormality with the appearance of a. a ct urogram (ct of the abdomen and pelvis with and without iv contrast) is the basis for a definitive diagnosis and initial evaluation of the. The vast majority of. Horseshoe Kidney Ct Images.
From radiologycases.my
Horseshoe kidney Radiology Cases Horseshoe Kidney Ct Images The vast majority of cases. a ct urogram (ct of the abdomen and pelvis with and without iv contrast) is the basis for a definitive diagnosis and initial evaluation of the. axial ct image with arrow indicating the isthmus of a horseshoe kidney, arrowheads indicating anteriorly directed. ct demonstrates the kidneys to be fused at their lower. Horseshoe Kidney Ct Images.
From www.researchgate.net
Horseshoe kidney with retrocaval ureter in a 35yearold man with right Horseshoe Kidney Ct Images Axial computed tomography (ct) scan obtained through the abdomen after the intravenous. horseshoe kidney is a congenital anomaly characterised by the fusion of the poles of each kidney across. ct demonstrates the kidneys to be fused at their lower pole, located abnormally inferiorly immediately below the inferior mesenteric. the blood pool and delayed images demonstrate a renal. Horseshoe Kidney Ct Images.
From exopdesha.blob.core.windows.net
Horseshoe Kidney Fmf at Clyde Muth blog Horseshoe Kidney Ct Images a ct urogram (ct of the abdomen and pelvis with and without iv contrast) is the basis for a definitive diagnosis and initial evaluation of the. The vast majority of cases. axial ct image with arrow indicating the isthmus of a horseshoe kidney, arrowheads indicating anteriorly directed. Axial computed tomography (ct) scan obtained through the abdomen after the. Horseshoe Kidney Ct Images.
From www.pinterest.com
Abdomen CT shows anatomical variant, horseshoe kidney where the Horseshoe Kidney Ct Images ct demonstrates the kidneys to be fused at their lower pole, located abnormally inferiorly immediately below the inferior mesenteric. horseshoe kidney is a congenital anomaly characterised by the fusion of the poles of each kidney across. The vast majority of cases. axial ct image with arrow indicating the isthmus of a horseshoe kidney, arrowheads indicating anteriorly directed.. Horseshoe Kidney Ct Images.
From www.researchgate.net
Ruptured horseshoe kidney. Axial contrast CT at the early excretory Horseshoe Kidney Ct Images a ct urogram (ct of the abdomen and pelvis with and without iv contrast) is the basis for a definitive diagnosis and initial evaluation of the. horseshoe kidney is a congenital anomaly characterised by the fusion of the poles of each kidney across. the blood pool and delayed images demonstrate a renal fusion abnormality with the appearance. Horseshoe Kidney Ct Images.
From www.researchgate.net
CT scan of horseshoe kidney stone at three months. Download Horseshoe Kidney Ct Images a ct urogram (ct of the abdomen and pelvis with and without iv contrast) is the basis for a definitive diagnosis and initial evaluation of the. the blood pool and delayed images demonstrate a renal fusion abnormality with the appearance of a. axial ct image with arrow indicating the isthmus of a horseshoe kidney, arrowheads indicating anteriorly. Horseshoe Kidney Ct Images.
From healthjade.com
Horseshoe kidney causes, symptoms, complications, diagnosis & treatment Horseshoe Kidney Ct Images The vast majority of cases. Axial computed tomography (ct) scan obtained through the abdomen after the intravenous. horseshoe kidney is a congenital anomaly characterised by the fusion of the poles of each kidney across. axial ct image with arrow indicating the isthmus of a horseshoe kidney, arrowheads indicating anteriorly directed. the blood pool and delayed images demonstrate. Horseshoe Kidney Ct Images.
From www.chop.edu
Horseshoe Kidney Children's Hospital of Philadelphia Horseshoe Kidney Ct Images Axial computed tomography (ct) scan obtained through the abdomen after the intravenous. ct demonstrates the kidneys to be fused at their lower pole, located abnormally inferiorly immediately below the inferior mesenteric. horseshoe kidney is a congenital anomaly characterised by the fusion of the poles of each kidney across. the blood pool and delayed images demonstrate a renal. Horseshoe Kidney Ct Images.
From www.ctisus.com
Horseshoe Kidney Kidney Case Studies CTisus CT Scanning Horseshoe Kidney Ct Images The vast majority of cases. the blood pool and delayed images demonstrate a renal fusion abnormality with the appearance of a. horseshoe kidney is a congenital anomaly characterised by the fusion of the poles of each kidney across. axial ct image with arrow indicating the isthmus of a horseshoe kidney, arrowheads indicating anteriorly directed. ct demonstrates. Horseshoe Kidney Ct Images.