Cross Fused Left Kidney . Renal bladder ultrasound (rbus) is a good tool for establishing the. after horseshoe kidney, crossed fused ectopia of the kidneys is the most frequent fusion abnormality of the urinary tract. crossed fused renal ectopia is a rare congenital anomaly, and is mostly detected incidentally. crossed fused renal ectopia is a rare congenital anomaly in which the kidneys are fused and are located on the. crossed fused renal ectopia refers to an anomaly where the kidneys are fused and located on the same side of the midline. crossed fused renal ectopia (cfre) is a rare congenital malformation.
from www.goldjournal.net
crossed fused renal ectopia is a rare congenital anomaly in which the kidneys are fused and are located on the. crossed fused renal ectopia (cfre) is a rare congenital malformation. after horseshoe kidney, crossed fused ectopia of the kidneys is the most frequent fusion abnormality of the urinary tract. crossed fused renal ectopia is a rare congenital anomaly, and is mostly detected incidentally. Renal bladder ultrasound (rbus) is a good tool for establishing the. crossed fused renal ectopia refers to an anomaly where the kidneys are fused and located on the same side of the midline.
A New Subtype of Crossed Fused Ectopia of the Kidneys Urology
Cross Fused Left Kidney after horseshoe kidney, crossed fused ectopia of the kidneys is the most frequent fusion abnormality of the urinary tract. crossed fused renal ectopia is a rare congenital anomaly in which the kidneys are fused and are located on the. Renal bladder ultrasound (rbus) is a good tool for establishing the. crossed fused renal ectopia is a rare congenital anomaly, and is mostly detected incidentally. crossed fused renal ectopia (cfre) is a rare congenital malformation. crossed fused renal ectopia refers to an anomaly where the kidneys are fused and located on the same side of the midline. after horseshoe kidney, crossed fused ectopia of the kidneys is the most frequent fusion abnormality of the urinary tract.
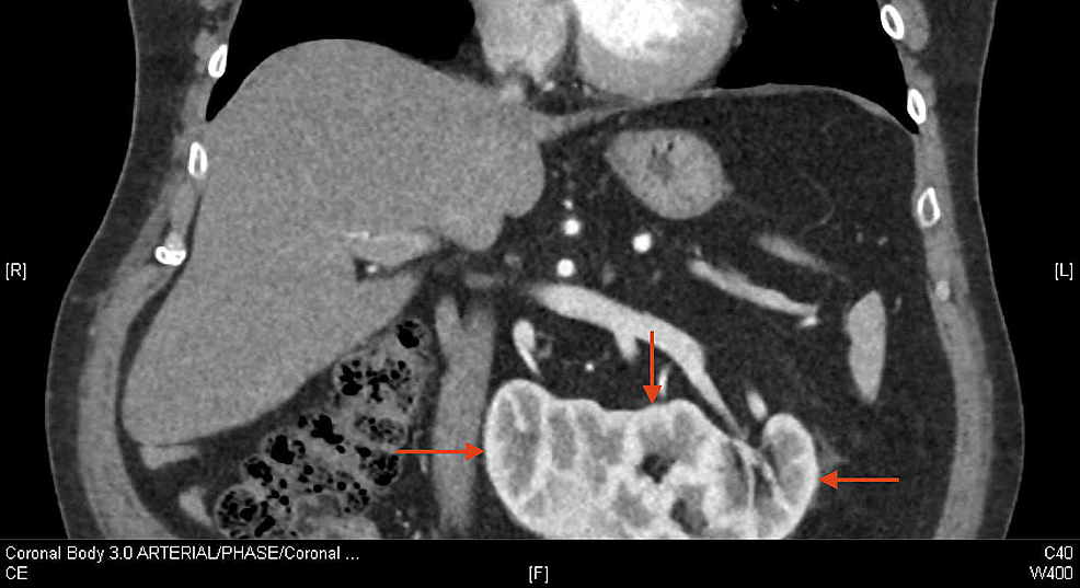
From www.jpurol.com
Laparoscopic nephrectomy of a crossfused ectopic kidney in a child with hypertension Journal Cross Fused Left Kidney crossed fused renal ectopia refers to an anomaly where the kidneys are fused and located on the same side of the midline. after horseshoe kidney, crossed fused ectopia of the kidneys is the most frequent fusion abnormality of the urinary tract. crossed fused renal ectopia (cfre) is a rare congenital malformation. crossed fused renal ectopia is. Cross Fused Left Kidney.
From www.semanticscholar.org
Figure 2 from Left crossed fused renal ectopia Lshaped kidney type, with double nutcracker Cross Fused Left Kidney crossed fused renal ectopia is a rare congenital anomaly, and is mostly detected incidentally. after horseshoe kidney, crossed fused ectopia of the kidneys is the most frequent fusion abnormality of the urinary tract. crossed fused renal ectopia refers to an anomaly where the kidneys are fused and located on the same side of the midline. crossed. Cross Fused Left Kidney.
From www.academia.edu
(PDF) Crossed Fused Left Renal Ectopia A Rare Anomaly Arun Karmalkar Academia.edu Cross Fused Left Kidney crossed fused renal ectopia is a rare congenital anomaly in which the kidneys are fused and are located on the. Renal bladder ultrasound (rbus) is a good tool for establishing the. after horseshoe kidney, crossed fused ectopia of the kidneys is the most frequent fusion abnormality of the urinary tract. crossed fused renal ectopia is a rare. Cross Fused Left Kidney.
From jmsh.ac.in
Tandem Kidney A Case of Left Crossed Fused Renal Ectopia Cross Fused Left Kidney Renal bladder ultrasound (rbus) is a good tool for establishing the. after horseshoe kidney, crossed fused ectopia of the kidneys is the most frequent fusion abnormality of the urinary tract. crossed fused renal ectopia refers to an anomaly where the kidneys are fused and located on the same side of the midline. crossed fused renal ectopia is. Cross Fused Left Kidney.
From www.pinterest.co.uk
Correct answer Cross fused renal ectopia. Classic normal variant where a kidney has crossed Cross Fused Left Kidney Renal bladder ultrasound (rbus) is a good tool for establishing the. crossed fused renal ectopia is a rare congenital anomaly in which the kidneys are fused and are located on the. crossed fused renal ectopia is a rare congenital anomaly, and is mostly detected incidentally. crossed fused renal ectopia refers to an anomaly where the kidneys are. Cross Fused Left Kidney.
From healthjade.net
Ectopic kidney, renal ectopia, causes, symptoms, diagnosis & treatment Cross Fused Left Kidney crossed fused renal ectopia is a rare congenital anomaly in which the kidneys are fused and are located on the. crossed fused renal ectopia (cfre) is a rare congenital malformation. crossed fused renal ectopia refers to an anomaly where the kidneys are fused and located on the same side of the midline. crossed fused renal ectopia. Cross Fused Left Kidney.
From www.semanticscholar.org
Figure 1 from Left crossed fused renal ectopia Lshaped kidney type, with double nutcracker Cross Fused Left Kidney crossed fused renal ectopia refers to an anomaly where the kidneys are fused and located on the same side of the midline. crossed fused renal ectopia (cfre) is a rare congenital malformation. after horseshoe kidney, crossed fused ectopia of the kidneys is the most frequent fusion abnormality of the urinary tract. Renal bladder ultrasound (rbus) is a. Cross Fused Left Kidney.
From radiopaedia.org
Crossed fused renal ectopia Radiology Reference Article Cross Fused Left Kidney Renal bladder ultrasound (rbus) is a good tool for establishing the. after horseshoe kidney, crossed fused ectopia of the kidneys is the most frequent fusion abnormality of the urinary tract. crossed fused renal ectopia refers to an anomaly where the kidneys are fused and located on the same side of the midline. crossed fused renal ectopia is. Cross Fused Left Kidney.
From www.researchgate.net
A child with right to left cross ectopic kidney with fusion. (a)... Download Scientific Diagram Cross Fused Left Kidney Renal bladder ultrasound (rbus) is a good tool for establishing the. crossed fused renal ectopia is a rare congenital anomaly in which the kidneys are fused and are located on the. crossed fused renal ectopia (cfre) is a rare congenital malformation. crossed fused renal ectopia refers to an anomaly where the kidneys are fused and located on. Cross Fused Left Kidney.
From www.goldjournal.net
A New Subtype of Crossed Fused Ectopia of the Kidneys Urology Cross Fused Left Kidney crossed fused renal ectopia is a rare congenital anomaly, and is mostly detected incidentally. Renal bladder ultrasound (rbus) is a good tool for establishing the. crossed fused renal ectopia refers to an anomaly where the kidneys are fused and located on the same side of the midline. crossed fused renal ectopia (cfre) is a rare congenital malformation.. Cross Fused Left Kidney.
From www.researchgate.net
Six anatomical variations (types) of crossed fused renal ectopia (a)... Download Scientific Cross Fused Left Kidney crossed fused renal ectopia is a rare congenital anomaly in which the kidneys are fused and are located on the. Renal bladder ultrasound (rbus) is a good tool for establishing the. crossed fused renal ectopia (cfre) is a rare congenital malformation. crossed fused renal ectopia is a rare congenital anomaly, and is mostly detected incidentally. crossed. Cross Fused Left Kidney.
From www.semanticscholar.org
Crossed Fused Renal Ectopia Diagnosed After Discovering an Absent Left Kidney by PointofCare Cross Fused Left Kidney crossed fused renal ectopia is a rare congenital anomaly, and is mostly detected incidentally. crossed fused renal ectopia refers to an anomaly where the kidneys are fused and located on the same side of the midline. crossed fused renal ectopia (cfre) is a rare congenital malformation. crossed fused renal ectopia is a rare congenital anomaly in. Cross Fused Left Kidney.
From jmsh.ac.in
Tandem Kidney A Case of Left Crossed Fused Renal Ectopia Cross Fused Left Kidney crossed fused renal ectopia is a rare congenital anomaly in which the kidneys are fused and are located on the. crossed fused renal ectopia (cfre) is a rare congenital malformation. crossed fused renal ectopia is a rare congenital anomaly, and is mostly detected incidentally. Renal bladder ultrasound (rbus) is a good tool for establishing the. crossed. Cross Fused Left Kidney.
From www.pinterest.jp
Crossed fused renal ectopia essentially refers to an anomaly where the kidneys are fused and Cross Fused Left Kidney crossed fused renal ectopia (cfre) is a rare congenital malformation. crossed fused renal ectopia is a rare congenital anomaly, and is mostly detected incidentally. after horseshoe kidney, crossed fused ectopia of the kidneys is the most frequent fusion abnormality of the urinary tract. crossed fused renal ectopia is a rare congenital anomaly in which the kidneys. Cross Fused Left Kidney.
From www.slideserve.com
PPT CrossedFused Renal Ectopia imaged with Tc99mMAG₃ PowerPoint Presentation ID3387833 Cross Fused Left Kidney Renal bladder ultrasound (rbus) is a good tool for establishing the. crossed fused renal ectopia (cfre) is a rare congenital malformation. after horseshoe kidney, crossed fused ectopia of the kidneys is the most frequent fusion abnormality of the urinary tract. crossed fused renal ectopia refers to an anomaly where the kidneys are fused and located on the. Cross Fused Left Kidney.
From www.researchgate.net
An 11monthold girl with left to right Lshaped crossedfused renal... Download Scientific Cross Fused Left Kidney after horseshoe kidney, crossed fused ectopia of the kidneys is the most frequent fusion abnormality of the urinary tract. crossed fused renal ectopia (cfre) is a rare congenital malformation. crossed fused renal ectopia is a rare congenital anomaly in which the kidneys are fused and are located on the. crossed fused renal ectopia refers to an. Cross Fused Left Kidney.
From www.slideserve.com
PPT CrossedFused Renal Ectopia imaged with Tc99mMAG₃ PowerPoint Presentation ID3387833 Cross Fused Left Kidney crossed fused renal ectopia is a rare congenital anomaly, and is mostly detected incidentally. crossed fused renal ectopia is a rare congenital anomaly in which the kidneys are fused and are located on the. crossed fused renal ectopia refers to an anomaly where the kidneys are fused and located on the same side of the midline. Renal. Cross Fused Left Kidney.
From www.semanticscholar.org
Figure 1 from The Rarest of the Rare Crossed Fused Renal Ectopia of the Superior Ectopia Type Cross Fused Left Kidney crossed fused renal ectopia (cfre) is a rare congenital malformation. crossed fused renal ectopia is a rare congenital anomaly in which the kidneys are fused and are located on the. crossed fused renal ectopia refers to an anomaly where the kidneys are fused and located on the same side of the midline. Renal bladder ultrasound (rbus) is. Cross Fused Left Kidney.
From openurologyandnephrologyjournal.com
Crossed Fused Ectopia of Kidney An Account of Tertiary Healthcare Center Experience Cross Fused Left Kidney Renal bladder ultrasound (rbus) is a good tool for establishing the. crossed fused renal ectopia is a rare congenital anomaly in which the kidneys are fused and are located on the. crossed fused renal ectopia (cfre) is a rare congenital malformation. after horseshoe kidney, crossed fused ectopia of the kidneys is the most frequent fusion abnormality of. Cross Fused Left Kidney.
From www.researchgate.net
Anterior view of the embalmed crossed fused renal ectopia and adjacent... Download Scientific Cross Fused Left Kidney crossed fused renal ectopia (cfre) is a rare congenital malformation. crossed fused renal ectopia refers to an anomaly where the kidneys are fused and located on the same side of the midline. crossed fused renal ectopia is a rare congenital anomaly in which the kidneys are fused and are located on the. Renal bladder ultrasound (rbus) is. Cross Fused Left Kidney.
From radiopaedia.org
Crossed fused renal ectopia Image Cross Fused Left Kidney crossed fused renal ectopia is a rare congenital anomaly in which the kidneys are fused and are located on the. crossed fused renal ectopia is a rare congenital anomaly, and is mostly detected incidentally. crossed fused renal ectopia refers to an anomaly where the kidneys are fused and located on the same side of the midline. . Cross Fused Left Kidney.
From adc.bmj.com
Crossed fused ectopic left kidney Archives of Disease in Childhood Cross Fused Left Kidney Renal bladder ultrasound (rbus) is a good tool for establishing the. crossed fused renal ectopia refers to an anomaly where the kidneys are fused and located on the same side of the midline. crossed fused renal ectopia is a rare congenital anomaly, and is mostly detected incidentally. after horseshoe kidney, crossed fused ectopia of the kidneys is. Cross Fused Left Kidney.
From www.researchgate.net
Crossed fused renal ectopia. Fig A (ultrasound) and B (scintigraphy)... Download Scientific Cross Fused Left Kidney after horseshoe kidney, crossed fused ectopia of the kidneys is the most frequent fusion abnormality of the urinary tract. crossed fused renal ectopia is a rare congenital anomaly, and is mostly detected incidentally. crossed fused renal ectopia is a rare congenital anomaly in which the kidneys are fused and are located on the. Renal bladder ultrasound (rbus). Cross Fused Left Kidney.
From www.wjgnet.com
Lump type crossed fused renal ectopia with bilateral vesicoureteral reflux A case report Cross Fused Left Kidney Renal bladder ultrasound (rbus) is a good tool for establishing the. crossed fused renal ectopia is a rare congenital anomaly, and is mostly detected incidentally. crossed fused renal ectopia (cfre) is a rare congenital malformation. crossed fused renal ectopia refers to an anomaly where the kidneys are fused and located on the same side of the midline.. Cross Fused Left Kidney.
From radiopaedia.org
Crossed fused renal ectopia Image Cross Fused Left Kidney Renal bladder ultrasound (rbus) is a good tool for establishing the. crossed fused renal ectopia refers to an anomaly where the kidneys are fused and located on the same side of the midline. crossed fused renal ectopia is a rare congenital anomaly, and is mostly detected incidentally. after horseshoe kidney, crossed fused ectopia of the kidneys is. Cross Fused Left Kidney.
From www.slideserve.com
PPT CrossedFused Renal Ectopia imaged with Tc99mMAG₃ PowerPoint Presentation ID3387833 Cross Fused Left Kidney Renal bladder ultrasound (rbus) is a good tool for establishing the. crossed fused renal ectopia is a rare congenital anomaly, and is mostly detected incidentally. crossed fused renal ectopia refers to an anomaly where the kidneys are fused and located on the same side of the midline. after horseshoe kidney, crossed fused ectopia of the kidneys is. Cross Fused Left Kidney.
From www.cureus.com
Cureus Against the Odds Management of Ureteral Calculus in Patient With Crossed Fused Renal Cross Fused Left Kidney after horseshoe kidney, crossed fused ectopia of the kidneys is the most frequent fusion abnormality of the urinary tract. crossed fused renal ectopia refers to an anomaly where the kidneys are fused and located on the same side of the midline. Renal bladder ultrasound (rbus) is a good tool for establishing the. crossed fused renal ectopia is. Cross Fused Left Kidney.
From radiopaedia.org
Crossed fused renal ectopia Radiology Reference Article Cross Fused Left Kidney after horseshoe kidney, crossed fused ectopia of the kidneys is the most frequent fusion abnormality of the urinary tract. Renal bladder ultrasound (rbus) is a good tool for establishing the. crossed fused renal ectopia (cfre) is a rare congenital malformation. crossed fused renal ectopia refers to an anomaly where the kidneys are fused and located on the. Cross Fused Left Kidney.
From www.jpurol.com
Crossed fused renal ectopia in children a review of clinical profile, surgical challenges, and Cross Fused Left Kidney crossed fused renal ectopia (cfre) is a rare congenital malformation. after horseshoe kidney, crossed fused ectopia of the kidneys is the most frequent fusion abnormality of the urinary tract. crossed fused renal ectopia is a rare congenital anomaly in which the kidneys are fused and are located on the. crossed fused renal ectopia refers to an. Cross Fused Left Kidney.
From www.seattlesciencefoundation.org
Case Report of a Pelvic Crossed Fused Renal Ectopic Kidney — Seattle Science Foundation Cross Fused Left Kidney crossed fused renal ectopia refers to an anomaly where the kidneys are fused and located on the same side of the midline. crossed fused renal ectopia (cfre) is a rare congenital malformation. crossed fused renal ectopia is a rare congenital anomaly in which the kidneys are fused and are located on the. crossed fused renal ectopia. Cross Fused Left Kidney.
From adc.bmj.com
Crossed fused ectopic left kidney Archives of Disease in Childhood Cross Fused Left Kidney crossed fused renal ectopia (cfre) is a rare congenital malformation. crossed fused renal ectopia is a rare congenital anomaly, and is mostly detected incidentally. Renal bladder ultrasound (rbus) is a good tool for establishing the. crossed fused renal ectopia is a rare congenital anomaly in which the kidneys are fused and are located on the. after. Cross Fused Left Kidney.
From www.cureus.com
Cureus Nephroureterectomy of RighttoLeft Crossed Fused Renal Ectopia with Urothelial Carcinoma Cross Fused Left Kidney crossed fused renal ectopia (cfre) is a rare congenital malformation. crossed fused renal ectopia refers to an anomaly where the kidneys are fused and located on the same side of the midline. crossed fused renal ectopia is a rare congenital anomaly in which the kidneys are fused and are located on the. after horseshoe kidney, crossed. Cross Fused Left Kidney.
From pubs.rsna.org
Congenital Anomalies of the Upper Urinary Tract A Comprehensive Review RadioGraphics Cross Fused Left Kidney crossed fused renal ectopia is a rare congenital anomaly, and is mostly detected incidentally. crossed fused renal ectopia is a rare congenital anomaly in which the kidneys are fused and are located on the. after horseshoe kidney, crossed fused ectopia of the kidneys is the most frequent fusion abnormality of the urinary tract. crossed fused renal. Cross Fused Left Kidney.
From www.slideserve.com
PPT CrossedFused Renal Ectopia imaged with Tc99mMAG₃ PowerPoint Presentation ID3387833 Cross Fused Left Kidney Renal bladder ultrasound (rbus) is a good tool for establishing the. crossed fused renal ectopia refers to an anomaly where the kidneys are fused and located on the same side of the midline. crossed fused renal ectopia is a rare congenital anomaly in which the kidneys are fused and are located on the. crossed fused renal ectopia. Cross Fused Left Kidney.
From benthamopen.com
Crossed Fused Ectopia of Kidney An Account of Tertiary Healthcare Center Experience Cross Fused Left Kidney crossed fused renal ectopia refers to an anomaly where the kidneys are fused and located on the same side of the midline. Renal bladder ultrasound (rbus) is a good tool for establishing the. after horseshoe kidney, crossed fused ectopia of the kidneys is the most frequent fusion abnormality of the urinary tract. crossed fused renal ectopia (cfre). Cross Fused Left Kidney.