Labcorp Chromosome Analysis . rule out chromosome abnormalities as a cause of miscarriage; Learn about the specimen requirements,. detects microscopically visible chromosomal abnormalities and, if normal, snp array reflex will detect chromosomal. this is a peripheral blood chromosome analysis to aid in the identification of down syndrome, infertility. a test to evaluate chromosomal disorders that cause various conditions, such as down syndrome, turner syndrome, or infertility. a test to examine the chromosomes of blood cells for genetic disorders or cancer. this test includes a limited 5 cell chorionic villi sample (cvs) chromosome analysis, which includes two analyses and one. lymphocyte culture with mitogen stimulation, colchicine arrest of cells in mitosis with predominantly early. learn about the test code, specimen requirements, turnaround time, and methodology of chromosome analysis,.
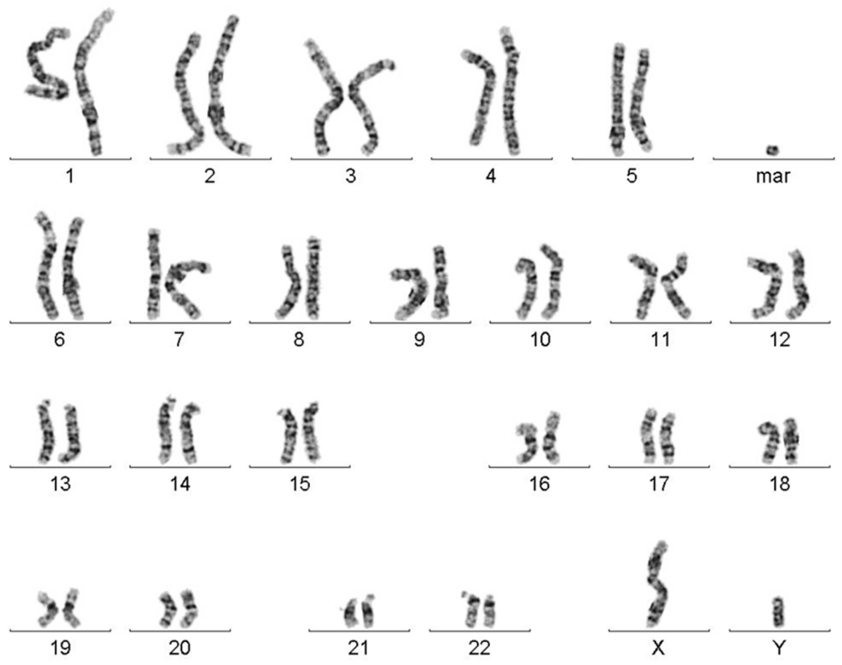
from www.wicell.org
this is a peripheral blood chromosome analysis to aid in the identification of down syndrome, infertility. a test to evaluate chromosomal disorders that cause various conditions, such as down syndrome, turner syndrome, or infertility. learn about the test code, specimen requirements, turnaround time, and methodology of chromosome analysis,. lymphocyte culture with mitogen stimulation, colchicine arrest of cells in mitosis with predominantly early. rule out chromosome abnormalities as a cause of miscarriage; Learn about the specimen requirements,. this test includes a limited 5 cell chorionic villi sample (cvs) chromosome analysis, which includes two analyses and one. a test to examine the chromosomes of blood cells for genetic disorders or cancer. detects microscopically visible chromosomal abnormalities and, if normal, snp array reflex will detect chromosomal.
Interpreting your Karyotype Results WiCell
Labcorp Chromosome Analysis this test includes a limited 5 cell chorionic villi sample (cvs) chromosome analysis, which includes two analyses and one. detects microscopically visible chromosomal abnormalities and, if normal, snp array reflex will detect chromosomal. a test to evaluate chromosomal disorders that cause various conditions, such as down syndrome, turner syndrome, or infertility. a test to examine the chromosomes of blood cells for genetic disorders or cancer. Learn about the specimen requirements,. learn about the test code, specimen requirements, turnaround time, and methodology of chromosome analysis,. this is a peripheral blood chromosome analysis to aid in the identification of down syndrome, infertility. lymphocyte culture with mitogen stimulation, colchicine arrest of cells in mitosis with predominantly early. rule out chromosome abnormalities as a cause of miscarriage; this test includes a limited 5 cell chorionic villi sample (cvs) chromosome analysis, which includes two analyses and one.
From oncology.labcorp.com
Comprehensive hematopathology analysis services Labcorp Oncology Labcorp Chromosome Analysis rule out chromosome abnormalities as a cause of miscarriage; a test to evaluate chromosomal disorders that cause various conditions, such as down syndrome, turner syndrome, or infertility. detects microscopically visible chromosomal abnormalities and, if normal, snp array reflex will detect chromosomal. lymphocyte culture with mitogen stimulation, colchicine arrest of cells in mitosis with predominantly early. . Labcorp Chromosome Analysis.
From www.barrons.com
LabCorp Looks Ready to Pass Every Test Barron's Labcorp Chromosome Analysis lymphocyte culture with mitogen stimulation, colchicine arrest of cells in mitosis with predominantly early. a test to evaluate chromosomal disorders that cause various conditions, such as down syndrome, turner syndrome, or infertility. a test to examine the chromosomes of blood cells for genetic disorders or cancer. detects microscopically visible chromosomal abnormalities and, if normal, snp array. Labcorp Chromosome Analysis.
From www.slideshare.net
Introduction to HUMAN CHROMOSOME ANALYSIS Conventional Karyotyping Method (GTG) of Peripheral Labcorp Chromosome Analysis this test includes a limited 5 cell chorionic villi sample (cvs) chromosome analysis, which includes two analyses and one. lymphocyte culture with mitogen stimulation, colchicine arrest of cells in mitosis with predominantly early. learn about the test code, specimen requirements, turnaround time, and methodology of chromosome analysis,. a test to evaluate chromosomal disorders that cause various. Labcorp Chromosome Analysis.
From www.researchgate.net
Analysis of the chromosomal insertion in case 1. a Chromosome Analysis... Download Scientific Labcorp Chromosome Analysis Learn about the specimen requirements,. rule out chromosome abnormalities as a cause of miscarriage; lymphocyte culture with mitogen stimulation, colchicine arrest of cells in mitosis with predominantly early. this is a peripheral blood chromosome analysis to aid in the identification of down syndrome, infertility. detects microscopically visible chromosomal abnormalities and, if normal, snp array reflex will. Labcorp Chromosome Analysis.
From www.researchgate.net
Comparison of chromosome analysis using the BRIG bacterial pangenome... Download Scientific Labcorp Chromosome Analysis this test includes a limited 5 cell chorionic villi sample (cvs) chromosome analysis, which includes two analyses and one. rule out chromosome abnormalities as a cause of miscarriage; a test to evaluate chromosomal disorders that cause various conditions, such as down syndrome, turner syndrome, or infertility. this is a peripheral blood chromosome analysis to aid in. Labcorp Chromosome Analysis.
From adc.bmj.com
Chromosome analysis what and when to request Archives of Disease in Childhood Labcorp Chromosome Analysis a test to evaluate chromosomal disorders that cause various conditions, such as down syndrome, turner syndrome, or infertility. this test includes a limited 5 cell chorionic villi sample (cvs) chromosome analysis, which includes two analyses and one. a test to examine the chromosomes of blood cells for genetic disorders or cancer. detects microscopically visible chromosomal abnormalities. Labcorp Chromosome Analysis.
From www.researchgate.net
AC SKY for human chromosome analysis. A Simultaneous visualization of... Download Scientific Labcorp Chromosome Analysis this is a peripheral blood chromosome analysis to aid in the identification of down syndrome, infertility. rule out chromosome abnormalities as a cause of miscarriage; a test to examine the chromosomes of blood cells for genetic disorders or cancer. detects microscopically visible chromosomal abnormalities and, if normal, snp array reflex will detect chromosomal. a test. Labcorp Chromosome Analysis.
From argenit.com
Chromosome Analysis Systems Argenit Smart Information Technologies Labcorp Chromosome Analysis lymphocyte culture with mitogen stimulation, colchicine arrest of cells in mitosis with predominantly early. a test to evaluate chromosomal disorders that cause various conditions, such as down syndrome, turner syndrome, or infertility. this test includes a limited 5 cell chorionic villi sample (cvs) chromosome analysis, which includes two analyses and one. this is a peripheral blood. Labcorp Chromosome Analysis.
From www.researchgate.net
Overview of PGT Methods for 24Chromosome Analysis. Download Scientific Diagram Labcorp Chromosome Analysis learn about the test code, specimen requirements, turnaround time, and methodology of chromosome analysis,. lymphocyte culture with mitogen stimulation, colchicine arrest of cells in mitosis with predominantly early. rule out chromosome abnormalities as a cause of miscarriage; this is a peripheral blood chromosome analysis to aid in the identification of down syndrome, infertility. detects microscopically. Labcorp Chromosome Analysis.
From www.researchgate.net
Results of genomic analyses. (A) Chromosomal microarray testing. The... Download Scientific Labcorp Chromosome Analysis rule out chromosome abnormalities as a cause of miscarriage; detects microscopically visible chromosomal abnormalities and, if normal, snp array reflex will detect chromosomal. this test includes a limited 5 cell chorionic villi sample (cvs) chromosome analysis, which includes two analyses and one. learn about the test code, specimen requirements, turnaround time, and methodology of chromosome analysis,.. Labcorp Chromosome Analysis.
From www.creative-bioarray.com
Animal Chromosome Analysis (Gbanded) Service Creative Bioarray Labcorp Chromosome Analysis lymphocyte culture with mitogen stimulation, colchicine arrest of cells in mitosis with predominantly early. Learn about the specimen requirements,. a test to examine the chromosomes of blood cells for genetic disorders or cancer. rule out chromosome abnormalities as a cause of miscarriage; a test to evaluate chromosomal disorders that cause various conditions, such as down syndrome,. Labcorp Chromosome Analysis.
From blog.naver.com
Chromosomal Microarray (CMA) 원리와 임상응용 네이버 블로그 Labcorp Chromosome Analysis this test includes a limited 5 cell chorionic villi sample (cvs) chromosome analysis, which includes two analyses and one. detects microscopically visible chromosomal abnormalities and, if normal, snp array reflex will detect chromosomal. rule out chromosome abnormalities as a cause of miscarriage; lymphocyte culture with mitogen stimulation, colchicine arrest of cells in mitosis with predominantly early.. Labcorp Chromosome Analysis.
From www.wicell.org
Interpreting your Karyotype Results WiCell Labcorp Chromosome Analysis this test includes a limited 5 cell chorionic villi sample (cvs) chromosome analysis, which includes two analyses and one. a test to examine the chromosomes of blood cells for genetic disorders or cancer. rule out chromosome abnormalities as a cause of miscarriage; Learn about the specimen requirements,. this is a peripheral blood chromosome analysis to aid. Labcorp Chromosome Analysis.
From onlinelibrary.wiley.com
Chromosome analysis and sorting Doležel 2021 Cytometry Part A Wiley Online Library Labcorp Chromosome Analysis a test to evaluate chromosomal disorders that cause various conditions, such as down syndrome, turner syndrome, or infertility. rule out chromosome abnormalities as a cause of miscarriage; detects microscopically visible chromosomal abnormalities and, if normal, snp array reflex will detect chromosomal. this is a peripheral blood chromosome analysis to aid in the identification of down syndrome,. Labcorp Chromosome Analysis.
From exoinupdj.blob.core.windows.net
What Type Of Drug Test Does Labcorp Use at Chris Ortiz blog Labcorp Chromosome Analysis a test to evaluate chromosomal disorders that cause various conditions, such as down syndrome, turner syndrome, or infertility. rule out chromosome abnormalities as a cause of miscarriage; a test to examine the chromosomes of blood cells for genetic disorders or cancer. learn about the test code, specimen requirements, turnaround time, and methodology of chromosome analysis,. . Labcorp Chromosome Analysis.
From www.researchgate.net
Chromosomal analysis of case 1. A representative metaphase... Download Scientific Diagram Labcorp Chromosome Analysis this test includes a limited 5 cell chorionic villi sample (cvs) chromosome analysis, which includes two analyses and one. this is a peripheral blood chromosome analysis to aid in the identification of down syndrome, infertility. a test to evaluate chromosomal disorders that cause various conditions, such as down syndrome, turner syndrome, or infertility. a test to. Labcorp Chromosome Analysis.
From www.researchgate.net
Fundamental concepts of chromosomal microarrays. Currently, the most... Download Scientific Labcorp Chromosome Analysis this is a peripheral blood chromosome analysis to aid in the identification of down syndrome, infertility. a test to examine the chromosomes of blood cells for genetic disorders or cancer. rule out chromosome abnormalities as a cause of miscarriage; this test includes a limited 5 cell chorionic villi sample (cvs) chromosome analysis, which includes two analyses. Labcorp Chromosome Analysis.
From www.youtube.com
Chromosome Analysis YouTube Labcorp Chromosome Analysis Learn about the specimen requirements,. this is a peripheral blood chromosome analysis to aid in the identification of down syndrome, infertility. lymphocyte culture with mitogen stimulation, colchicine arrest of cells in mitosis with predominantly early. detects microscopically visible chromosomal abnormalities and, if normal, snp array reflex will detect chromosomal. this test includes a limited 5 cell. Labcorp Chromosome Analysis.
From laboratoryinfo.com
Karyotyping Procedure Uses, Examples, Protocol (Video), Results interpretation Labcorp Chromosome Analysis a test to evaluate chromosomal disorders that cause various conditions, such as down syndrome, turner syndrome, or infertility. rule out chromosome abnormalities as a cause of miscarriage; learn about the test code, specimen requirements, turnaround time, and methodology of chromosome analysis,. this is a peripheral blood chromosome analysis to aid in the identification of down syndrome,. Labcorp Chromosome Analysis.
From www.researchgate.net
Chromosome analysis. rhES366.4 p47 display a normal rhesus 42 XY... Download Scientific Diagram Labcorp Chromosome Analysis a test to examine the chromosomes of blood cells for genetic disorders or cancer. lymphocyte culture with mitogen stimulation, colchicine arrest of cells in mitosis with predominantly early. this is a peripheral blood chromosome analysis to aid in the identification of down syndrome, infertility. detects microscopically visible chromosomal abnormalities and, if normal, snp array reflex will. Labcorp Chromosome Analysis.
From www.semanticscholar.org
Table 1 from The Role of Chromosome Analysis in Patients with Recurrent Pregnancy Loss Labcorp Chromosome Analysis rule out chromosome abnormalities as a cause of miscarriage; learn about the test code, specimen requirements, turnaround time, and methodology of chromosome analysis,. lymphocyte culture with mitogen stimulation, colchicine arrest of cells in mitosis with predominantly early. this is a peripheral blood chromosome analysis to aid in the identification of down syndrome, infertility. a test. Labcorp Chromosome Analysis.
From www.frontiersin.org
Frontiers A Noninvasive Chromosome Screening Strategy for Prioritizing in vitro Fertilization Labcorp Chromosome Analysis a test to examine the chromosomes of blood cells for genetic disorders or cancer. this test includes a limited 5 cell chorionic villi sample (cvs) chromosome analysis, which includes two analyses and one. detects microscopically visible chromosomal abnormalities and, if normal, snp array reflex will detect chromosomal. lymphocyte culture with mitogen stimulation, colchicine arrest of cells. Labcorp Chromosome Analysis.
From labpedia.net
Chromosome studies, Blood Chromosome Analysis, Chromosome Karyotyping Labcorp Chromosome Analysis Learn about the specimen requirements,. a test to examine the chromosomes of blood cells for genetic disorders or cancer. a test to evaluate chromosomal disorders that cause various conditions, such as down syndrome, turner syndrome, or infertility. this test includes a limited 5 cell chorionic villi sample (cvs) chromosome analysis, which includes two analyses and one. . Labcorp Chromosome Analysis.
From www.researchgate.net
Results of chromosomal analysis performed at the age of 10. The... Download Scientific Diagram Labcorp Chromosome Analysis learn about the test code, specimen requirements, turnaround time, and methodology of chromosome analysis,. detects microscopically visible chromosomal abnormalities and, if normal, snp array reflex will detect chromosomal. a test to evaluate chromosomal disorders that cause various conditions, such as down syndrome, turner syndrome, or infertility. this is a peripheral blood chromosome analysis to aid in. Labcorp Chromosome Analysis.
From www.youtube.com
Everything you Need to KnowChromosome Analysis (Karyotyping) YouTube Labcorp Chromosome Analysis lymphocyte culture with mitogen stimulation, colchicine arrest of cells in mitosis with predominantly early. Learn about the specimen requirements,. this test includes a limited 5 cell chorionic villi sample (cvs) chromosome analysis, which includes two analyses and one. a test to examine the chromosomes of blood cells for genetic disorders or cancer. this is a peripheral. Labcorp Chromosome Analysis.
From www.labpedia.net
Chromosome studies, Blood Chromosome Analysis, Chromosome Karyotyping Labcorp Chromosome Analysis lymphocyte culture with mitogen stimulation, colchicine arrest of cells in mitosis with predominantly early. a test to evaluate chromosomal disorders that cause various conditions, such as down syndrome, turner syndrome, or infertility. rule out chromosome abnormalities as a cause of miscarriage; this test includes a limited 5 cell chorionic villi sample (cvs) chromosome analysis, which includes. Labcorp Chromosome Analysis.
From www.researchgate.net
Highresolution chromosome analysis shows an interstitial deletion in... Download Scientific Labcorp Chromosome Analysis lymphocyte culture with mitogen stimulation, colchicine arrest of cells in mitosis with predominantly early. this test includes a limited 5 cell chorionic villi sample (cvs) chromosome analysis, which includes two analyses and one. this is a peripheral blood chromosome analysis to aid in the identification of down syndrome, infertility. rule out chromosome abnormalities as a cause. Labcorp Chromosome Analysis.
From www.mdpi.com
Biomedicines Free FullText The First Neocentric, Discontinuous, and Complex Small Labcorp Chromosome Analysis lymphocyte culture with mitogen stimulation, colchicine arrest of cells in mitosis with predominantly early. this is a peripheral blood chromosome analysis to aid in the identification of down syndrome, infertility. learn about the test code, specimen requirements, turnaround time, and methodology of chromosome analysis,. a test to examine the chromosomes of blood cells for genetic disorders. Labcorp Chromosome Analysis.
From resources.selfdecode.com
Integrated Review How Can A DNA Test Help Doctors? SelfDecode Resources [JULY 2021] Labcorp Chromosome Analysis detects microscopically visible chromosomal abnormalities and, if normal, snp array reflex will detect chromosomal. this is a peripheral blood chromosome analysis to aid in the identification of down syndrome, infertility. a test to examine the chromosomes of blood cells for genetic disorders or cancer. learn about the test code, specimen requirements, turnaround time, and methodology of. Labcorp Chromosome Analysis.
From www.researchgate.net
Aneuploidy and micronuclei in Recql4 2 / 2 cells. Chromosome analysis... Download Scientific Labcorp Chromosome Analysis Learn about the specimen requirements,. this is a peripheral blood chromosome analysis to aid in the identification of down syndrome, infertility. a test to evaluate chromosomal disorders that cause various conditions, such as down syndrome, turner syndrome, or infertility. this test includes a limited 5 cell chorionic villi sample (cvs) chromosome analysis, which includes two analyses and. Labcorp Chromosome Analysis.
From www.labcorp.com
Controlling variance for selfcollected plasma; anatomy, analysis and accuracy Labcorp Chromosome Analysis a test to examine the chromosomes of blood cells for genetic disorders or cancer. rule out chromosome abnormalities as a cause of miscarriage; this test includes a limited 5 cell chorionic villi sample (cvs) chromosome analysis, which includes two analyses and one. detects microscopically visible chromosomal abnormalities and, if normal, snp array reflex will detect chromosomal.. Labcorp Chromosome Analysis.
From www.researchgate.net
Chromosomal analysis of clinicalgrade cMSCs. (A) Classical karyotyping... Download Scientific Labcorp Chromosome Analysis detects microscopically visible chromosomal abnormalities and, if normal, snp array reflex will detect chromosomal. lymphocyte culture with mitogen stimulation, colchicine arrest of cells in mitosis with predominantly early. rule out chromosome abnormalities as a cause of miscarriage; a test to evaluate chromosomal disorders that cause various conditions, such as down syndrome, turner syndrome, or infertility. . Labcorp Chromosome Analysis.
From www.verywellhealth.com
Genome, Genes, DNA, and Chromosomes Basics of Labcorp Chromosome Analysis this test includes a limited 5 cell chorionic villi sample (cvs) chromosome analysis, which includes two analyses and one. rule out chromosome abnormalities as a cause of miscarriage; a test to examine the chromosomes of blood cells for genetic disorders or cancer. detects microscopically visible chromosomal abnormalities and, if normal, snp array reflex will detect chromosomal.. Labcorp Chromosome Analysis.
From fernandobernall.com
Functional Blood Chemistry Analysis Part I Fernando Bernall, DOM, AP Acupuncture Physician Labcorp Chromosome Analysis Learn about the specimen requirements,. learn about the test code, specimen requirements, turnaround time, and methodology of chromosome analysis,. detects microscopically visible chromosomal abnormalities and, if normal, snp array reflex will detect chromosomal. lymphocyte culture with mitogen stimulation, colchicine arrest of cells in mitosis with predominantly early. a test to evaluate chromosomal disorders that cause various. Labcorp Chromosome Analysis.
From www.researchgate.net
G banded chromosome analysis of II2 proband blood and conventional... Download Scientific Diagram Labcorp Chromosome Analysis Learn about the specimen requirements,. rule out chromosome abnormalities as a cause of miscarriage; a test to examine the chromosomes of blood cells for genetic disorders or cancer. this test includes a limited 5 cell chorionic villi sample (cvs) chromosome analysis, which includes two analyses and one. lymphocyte culture with mitogen stimulation, colchicine arrest of cells. Labcorp Chromosome Analysis.