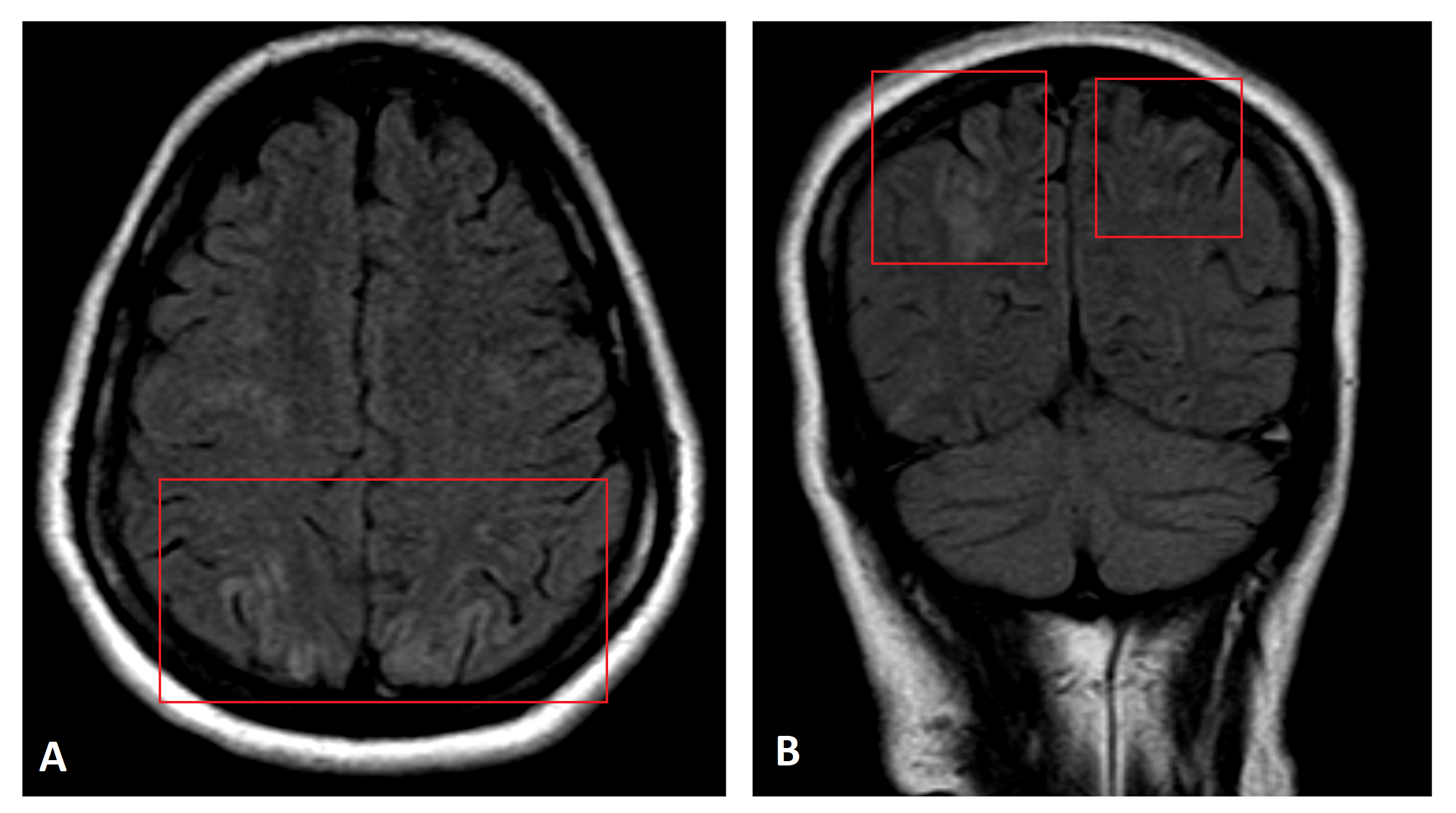
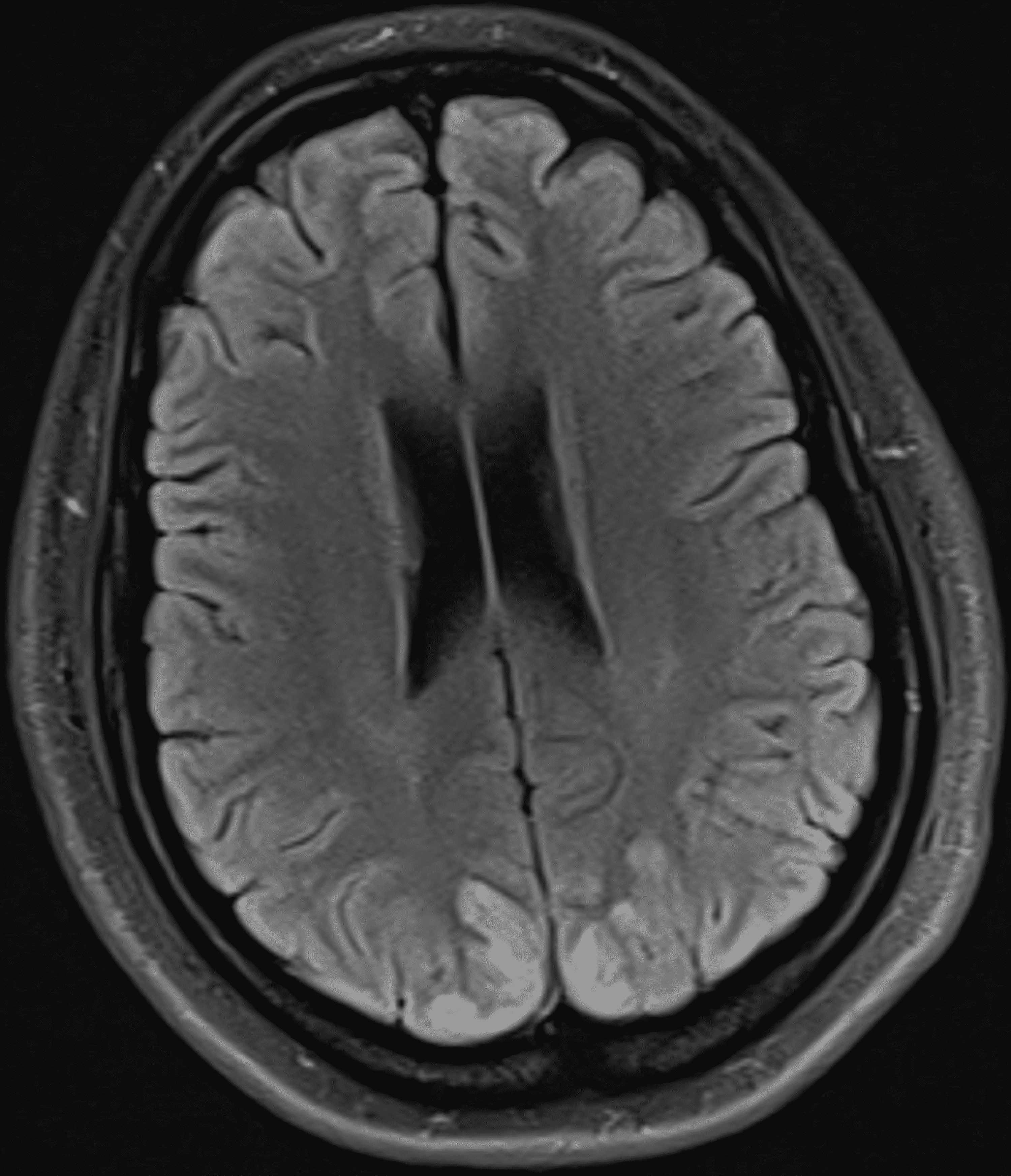
Eclampsia Encephalopathy . Posterior reversible encephalopathy syndrome (pres) is an acute and transient neurologic condition with variable clinical manifestations including headaches, visual impairment. Recognized in the setting of a number of complex conditions (preeclampsia/eclampsia, allogeneic bone marrow transplantation, organ transplantation, autoimmune disease and high dose chemotherapy) the imaging. Posterior reversible encephalopathy syndrome (pres) is a clinical and radiological. Posterior reversible encephalopathy syndrome (pres) 1,2 is an acute or subacute cerebral syndrome, the main manifestations of which are headache, encephalopathy,. Posterior reversible encephalopathy syndrome (pres) is a clinicoradiological diagnosis that is based on a combination of typical clinical features and risk factors, and supported by magnetic resonance (mr) brain scan findings. Posterior reversible encephalopathy syndrome (pres) is a neurotoxic state coupled with a unique ct or mr imaging appearance.
from www.researchgate.net
Posterior reversible encephalopathy syndrome (pres) is a clinical and radiological. Posterior reversible encephalopathy syndrome (pres) is an acute and transient neurologic condition with variable clinical manifestations including headaches, visual impairment. Posterior reversible encephalopathy syndrome (pres) is a neurotoxic state coupled with a unique ct or mr imaging appearance. Posterior reversible encephalopathy syndrome (pres) 1,2 is an acute or subacute cerebral syndrome, the main manifestations of which are headache, encephalopathy,. Posterior reversible encephalopathy syndrome (pres) is a clinicoradiological diagnosis that is based on a combination of typical clinical features and risk factors, and supported by magnetic resonance (mr) brain scan findings. Recognized in the setting of a number of complex conditions (preeclampsia/eclampsia, allogeneic bone marrow transplantation, organ transplantation, autoimmune disease and high dose chemotherapy) the imaging.
(PDF) Posterior reversible encephalopathy syndrome developing after
Eclampsia Encephalopathy Posterior reversible encephalopathy syndrome (pres) is a clinical and radiological. Posterior reversible encephalopathy syndrome (pres) 1,2 is an acute or subacute cerebral syndrome, the main manifestations of which are headache, encephalopathy,. Posterior reversible encephalopathy syndrome (pres) is a neurotoxic state coupled with a unique ct or mr imaging appearance. Posterior reversible encephalopathy syndrome (pres) is a clinicoradiological diagnosis that is based on a combination of typical clinical features and risk factors, and supported by magnetic resonance (mr) brain scan findings. Posterior reversible encephalopathy syndrome (pres) is a clinical and radiological. Posterior reversible encephalopathy syndrome (pres) is an acute and transient neurologic condition with variable clinical manifestations including headaches, visual impairment. Recognized in the setting of a number of complex conditions (preeclampsia/eclampsia, allogeneic bone marrow transplantation, organ transplantation, autoimmune disease and high dose chemotherapy) the imaging.
From www.researchgate.net
(PDF) Posterior Reversible Encephalopathy Syndrome in a Patient with Eclampsia Encephalopathy Posterior reversible encephalopathy syndrome (pres) is a clinical and radiological. Posterior reversible encephalopathy syndrome (pres) 1,2 is an acute or subacute cerebral syndrome, the main manifestations of which are headache, encephalopathy,. Recognized in the setting of a number of complex conditions (preeclampsia/eclampsia, allogeneic bone marrow transplantation, organ transplantation, autoimmune disease and high dose chemotherapy) the imaging. Posterior reversible encephalopathy syndrome. Eclampsia Encephalopathy.
From www.researchgate.net
(PDF) Very Early Onset Severe Preeclampsia and Eclampsia Syndrome with Eclampsia Encephalopathy Posterior reversible encephalopathy syndrome (pres) 1,2 is an acute or subacute cerebral syndrome, the main manifestations of which are headache, encephalopathy,. Posterior reversible encephalopathy syndrome (pres) is a clinical and radiological. Posterior reversible encephalopathy syndrome (pres) is a clinicoradiological diagnosis that is based on a combination of typical clinical features and risk factors, and supported by magnetic resonance (mr) brain. Eclampsia Encephalopathy.
From www.researchgate.net
(PDF) Postpartum Eclampsia Complicated With Posterior Reversible Eclampsia Encephalopathy Posterior reversible encephalopathy syndrome (pres) is a neurotoxic state coupled with a unique ct or mr imaging appearance. Posterior reversible encephalopathy syndrome (pres) is a clinicoradiological diagnosis that is based on a combination of typical clinical features and risk factors, and supported by magnetic resonance (mr) brain scan findings. Posterior reversible encephalopathy syndrome (pres) is an acute and transient neurologic. Eclampsia Encephalopathy.
From www.researchgate.net
(PDF) A Study of Eclampsia Cases Associated with Posterior Reversible Eclampsia Encephalopathy Recognized in the setting of a number of complex conditions (preeclampsia/eclampsia, allogeneic bone marrow transplantation, organ transplantation, autoimmune disease and high dose chemotherapy) the imaging. Posterior reversible encephalopathy syndrome (pres) is a neurotoxic state coupled with a unique ct or mr imaging appearance. Posterior reversible encephalopathy syndrome (pres) is a clinical and radiological. Posterior reversible encephalopathy syndrome (pres) is an. Eclampsia Encephalopathy.
From www.semanticscholar.org
Figure 2 from Postpartum Eclampsia Complicated With Posterior Eclampsia Encephalopathy Posterior reversible encephalopathy syndrome (pres) is an acute and transient neurologic condition with variable clinical manifestations including headaches, visual impairment. Posterior reversible encephalopathy syndrome (pres) is a clinicoradiological diagnosis that is based on a combination of typical clinical features and risk factors, and supported by magnetic resonance (mr) brain scan findings. Posterior reversible encephalopathy syndrome (pres) is a neurotoxic state. Eclampsia Encephalopathy.
From www.researchgate.net
(PDF) A Typical Case of Posterior Reversible Encephalopathy Syndrome Eclampsia Encephalopathy Posterior reversible encephalopathy syndrome (pres) 1,2 is an acute or subacute cerebral syndrome, the main manifestations of which are headache, encephalopathy,. Recognized in the setting of a number of complex conditions (preeclampsia/eclampsia, allogeneic bone marrow transplantation, organ transplantation, autoimmune disease and high dose chemotherapy) the imaging. Posterior reversible encephalopathy syndrome (pres) is a neurotoxic state coupled with a unique ct. Eclampsia Encephalopathy.
From www.cureus.com
Cureus Posterior Reversible Encephalopathy Syndrome and Preeclampsia Eclampsia Encephalopathy Posterior reversible encephalopathy syndrome (pres) is an acute and transient neurologic condition with variable clinical manifestations including headaches, visual impairment. Posterior reversible encephalopathy syndrome (pres) is a clinical and radiological. Posterior reversible encephalopathy syndrome (pres) is a neurotoxic state coupled with a unique ct or mr imaging appearance. Recognized in the setting of a number of complex conditions (preeclampsia/eclampsia, allogeneic. Eclampsia Encephalopathy.
From www.ajronline.org
Posterior Reversible Encephalopathy Syndrome Incidence of Atypical Eclampsia Encephalopathy Recognized in the setting of a number of complex conditions (preeclampsia/eclampsia, allogeneic bone marrow transplantation, organ transplantation, autoimmune disease and high dose chemotherapy) the imaging. Posterior reversible encephalopathy syndrome (pres) 1,2 is an acute or subacute cerebral syndrome, the main manifestations of which are headache, encephalopathy,. Posterior reversible encephalopathy syndrome (pres) is a clinicoradiological diagnosis that is based on a. Eclampsia Encephalopathy.
From www.researchgate.net
Brain MRI in a patient with Eclampsia with Hypothyroidism Complicated Eclampsia Encephalopathy Recognized in the setting of a number of complex conditions (preeclampsia/eclampsia, allogeneic bone marrow transplantation, organ transplantation, autoimmune disease and high dose chemotherapy) the imaging. Posterior reversible encephalopathy syndrome (pres) is an acute and transient neurologic condition with variable clinical manifestations including headaches, visual impairment. Posterior reversible encephalopathy syndrome (pres) is a clinicoradiological diagnosis that is based on a combination. Eclampsia Encephalopathy.
From www.casereports.in
Eclampsia with Posterior Reversible Encephalopathy Syndrome Eclampsia Encephalopathy Posterior reversible encephalopathy syndrome (pres) is a neurotoxic state coupled with a unique ct or mr imaging appearance. Recognized in the setting of a number of complex conditions (preeclampsia/eclampsia, allogeneic bone marrow transplantation, organ transplantation, autoimmune disease and high dose chemotherapy) the imaging. Posterior reversible encephalopathy syndrome (pres) is a clinicoradiological diagnosis that is based on a combination of typical. Eclampsia Encephalopathy.
From www.semanticscholar.org
Figure 1 from Late postpartum eclampsia complicated with posterior Eclampsia Encephalopathy Posterior reversible encephalopathy syndrome (pres) is an acute and transient neurologic condition with variable clinical manifestations including headaches, visual impairment. Recognized in the setting of a number of complex conditions (preeclampsia/eclampsia, allogeneic bone marrow transplantation, organ transplantation, autoimmune disease and high dose chemotherapy) the imaging. Posterior reversible encephalopathy syndrome (pres) is a clinicoradiological diagnosis that is based on a combination. Eclampsia Encephalopathy.
From www.semanticscholar.org
Figure 1 from Two Different Neuroimaging Patterns in Two Cases with Eclampsia Encephalopathy Recognized in the setting of a number of complex conditions (preeclampsia/eclampsia, allogeneic bone marrow transplantation, organ transplantation, autoimmune disease and high dose chemotherapy) the imaging. Posterior reversible encephalopathy syndrome (pres) is a neurotoxic state coupled with a unique ct or mr imaging appearance. Posterior reversible encephalopathy syndrome (pres) is a clinicoradiological diagnosis that is based on a combination of typical. Eclampsia Encephalopathy.
From www.researchgate.net
(PDF) Posterior reversible encephalopathy syndrome developing after Eclampsia Encephalopathy Posterior reversible encephalopathy syndrome (pres) is a clinical and radiological. Posterior reversible encephalopathy syndrome (pres) is a clinicoradiological diagnosis that is based on a combination of typical clinical features and risk factors, and supported by magnetic resonance (mr) brain scan findings. Posterior reversible encephalopathy syndrome (pres) is an acute and transient neurologic condition with variable clinical manifestations including headaches, visual. Eclampsia Encephalopathy.
From www.researchgate.net
(PDF) Eclampsia with Posterior Reversible Encephalopathy Syndrome Eclampsia Encephalopathy Posterior reversible encephalopathy syndrome (pres) is a neurotoxic state coupled with a unique ct or mr imaging appearance. Recognized in the setting of a number of complex conditions (preeclampsia/eclampsia, allogeneic bone marrow transplantation, organ transplantation, autoimmune disease and high dose chemotherapy) the imaging. Posterior reversible encephalopathy syndrome (pres) 1,2 is an acute or subacute cerebral syndrome, the main manifestations of. Eclampsia Encephalopathy.
From www.frontiersin.org
Frontiers Imaging of Atypical and Complicated Posterior Reversible Eclampsia Encephalopathy Recognized in the setting of a number of complex conditions (preeclampsia/eclampsia, allogeneic bone marrow transplantation, organ transplantation, autoimmune disease and high dose chemotherapy) the imaging. Posterior reversible encephalopathy syndrome (pres) 1,2 is an acute or subacute cerebral syndrome, the main manifestations of which are headache, encephalopathy,. Posterior reversible encephalopathy syndrome (pres) is an acute and transient neurologic condition with variable. Eclampsia Encephalopathy.
From www.researchgate.net
(PDF) Not all is COVID19 a case of eclampsia and posterior reversible Eclampsia Encephalopathy Recognized in the setting of a number of complex conditions (preeclampsia/eclampsia, allogeneic bone marrow transplantation, organ transplantation, autoimmune disease and high dose chemotherapy) the imaging. Posterior reversible encephalopathy syndrome (pres) 1,2 is an acute or subacute cerebral syndrome, the main manifestations of which are headache, encephalopathy,. Posterior reversible encephalopathy syndrome (pres) is a clinical and radiological. Posterior reversible encephalopathy syndrome. Eclampsia Encephalopathy.
From www.semanticscholar.org
Figure 1 from Reversible Posterior Encephalopathy Syndrome Followed by Eclampsia Encephalopathy Posterior reversible encephalopathy syndrome (pres) is a clinicoradiological diagnosis that is based on a combination of typical clinical features and risk factors, and supported by magnetic resonance (mr) brain scan findings. Recognized in the setting of a number of complex conditions (preeclampsia/eclampsia, allogeneic bone marrow transplantation, organ transplantation, autoimmune disease and high dose chemotherapy) the imaging. Posterior reversible encephalopathy syndrome. Eclampsia Encephalopathy.
From www.researchgate.net
(PDF) Posterior reversible encephalopathy syndrome A case series in Eclampsia Encephalopathy Recognized in the setting of a number of complex conditions (preeclampsia/eclampsia, allogeneic bone marrow transplantation, organ transplantation, autoimmune disease and high dose chemotherapy) the imaging. Posterior reversible encephalopathy syndrome (pres) is a clinical and radiological. Posterior reversible encephalopathy syndrome (pres) is a neurotoxic state coupled with a unique ct or mr imaging appearance. Posterior reversible encephalopathy syndrome (pres) 1,2 is. Eclampsia Encephalopathy.
From www.researchgate.net
(PDF) Posterior reversible encephalopathy syndrome and eclampsia Eclampsia Encephalopathy Posterior reversible encephalopathy syndrome (pres) is an acute and transient neurologic condition with variable clinical manifestations including headaches, visual impairment. Recognized in the setting of a number of complex conditions (preeclampsia/eclampsia, allogeneic bone marrow transplantation, organ transplantation, autoimmune disease and high dose chemotherapy) the imaging. Posterior reversible encephalopathy syndrome (pres) is a neurotoxic state coupled with a unique ct or. Eclampsia Encephalopathy.
From e-kjp.org
Posterior Reversible Encephalopathy Syndrome in Late Postpartum Eclampsia Encephalopathy Recognized in the setting of a number of complex conditions (preeclampsia/eclampsia, allogeneic bone marrow transplantation, organ transplantation, autoimmune disease and high dose chemotherapy) the imaging. Posterior reversible encephalopathy syndrome (pres) is a neurotoxic state coupled with a unique ct or mr imaging appearance. Posterior reversible encephalopathy syndrome (pres) is a clinical and radiological. Posterior reversible encephalopathy syndrome (pres) is an. Eclampsia Encephalopathy.
From www.semanticscholar.org
Figure 1 from Posterior reversible encephalopathy syndrome developing Eclampsia Encephalopathy Recognized in the setting of a number of complex conditions (preeclampsia/eclampsia, allogeneic bone marrow transplantation, organ transplantation, autoimmune disease and high dose chemotherapy) the imaging. Posterior reversible encephalopathy syndrome (pres) is a clinical and radiological. Posterior reversible encephalopathy syndrome (pres) is an acute and transient neurologic condition with variable clinical manifestations including headaches, visual impairment. Posterior reversible encephalopathy syndrome (pres). Eclampsia Encephalopathy.
From www.researchgate.net
(PDF) Eclampsia and posterior reversible encephalopathy syndrome (PRES Eclampsia Encephalopathy Posterior reversible encephalopathy syndrome (pres) is a clinical and radiological. Posterior reversible encephalopathy syndrome (pres) 1,2 is an acute or subacute cerebral syndrome, the main manifestations of which are headache, encephalopathy,. Recognized in the setting of a number of complex conditions (preeclampsia/eclampsia, allogeneic bone marrow transplantation, organ transplantation, autoimmune disease and high dose chemotherapy) the imaging. Posterior reversible encephalopathy syndrome. Eclampsia Encephalopathy.
From www.spandidos-publications.com
Reversible posterior encephalopathy syndrome associated with late onset Eclampsia Encephalopathy Posterior reversible encephalopathy syndrome (pres) is a clinicoradiological diagnosis that is based on a combination of typical clinical features and risk factors, and supported by magnetic resonance (mr) brain scan findings. Posterior reversible encephalopathy syndrome (pres) is a clinical and radiological. Posterior reversible encephalopathy syndrome (pres) is a neurotoxic state coupled with a unique ct or mr imaging appearance. Posterior. Eclampsia Encephalopathy.
From www.semanticscholar.org
Figure 1 from Postpartum Eclampsia Complicated With Posterior Eclampsia Encephalopathy Recognized in the setting of a number of complex conditions (preeclampsia/eclampsia, allogeneic bone marrow transplantation, organ transplantation, autoimmune disease and high dose chemotherapy) the imaging. Posterior reversible encephalopathy syndrome (pres) 1,2 is an acute or subacute cerebral syndrome, the main manifestations of which are headache, encephalopathy,. Posterior reversible encephalopathy syndrome (pres) is an acute and transient neurologic condition with variable. Eclampsia Encephalopathy.
From www.researchgate.net
(PDF) Reversible posterior encephalopathy syndrome associated with late Eclampsia Encephalopathy Posterior reversible encephalopathy syndrome (pres) is a clinicoradiological diagnosis that is based on a combination of typical clinical features and risk factors, and supported by magnetic resonance (mr) brain scan findings. Posterior reversible encephalopathy syndrome (pres) is an acute and transient neurologic condition with variable clinical manifestations including headaches, visual impairment. Recognized in the setting of a number of complex. Eclampsia Encephalopathy.
From www.cureus.com
Cureus Predictors of Posterior Reversible Encephalopathy Syndrome Eclampsia Encephalopathy Posterior reversible encephalopathy syndrome (pres) is a neurotoxic state coupled with a unique ct or mr imaging appearance. Posterior reversible encephalopathy syndrome (pres) is an acute and transient neurologic condition with variable clinical manifestations including headaches, visual impairment. Posterior reversible encephalopathy syndrome (pres) is a clinical and radiological. Posterior reversible encephalopathy syndrome (pres) is a clinicoradiological diagnosis that is based. Eclampsia Encephalopathy.
From www.researchgate.net
(PDF) Posterior Reversible Encephalopathy Syndrome in a Patient with Eclampsia Encephalopathy Posterior reversible encephalopathy syndrome (pres) is an acute and transient neurologic condition with variable clinical manifestations including headaches, visual impairment. Posterior reversible encephalopathy syndrome (pres) is a neurotoxic state coupled with a unique ct or mr imaging appearance. Posterior reversible encephalopathy syndrome (pres) is a clinical and radiological. Posterior reversible encephalopathy syndrome (pres) 1,2 is an acute or subacute cerebral. Eclampsia Encephalopathy.
From www.semanticscholar.org
Figure 2 from Clinical and radiological features of posterior Eclampsia Encephalopathy Posterior reversible encephalopathy syndrome (pres) is an acute and transient neurologic condition with variable clinical manifestations including headaches, visual impairment. Posterior reversible encephalopathy syndrome (pres) is a neurotoxic state coupled with a unique ct or mr imaging appearance. Posterior reversible encephalopathy syndrome (pres) is a clinicoradiological diagnosis that is based on a combination of typical clinical features and risk factors,. Eclampsia Encephalopathy.
From www.researchgate.net
(PDF) Posterior reversible encephalopathy syndrome in eclampsia Eclampsia Encephalopathy Posterior reversible encephalopathy syndrome (pres) 1,2 is an acute or subacute cerebral syndrome, the main manifestations of which are headache, encephalopathy,. Posterior reversible encephalopathy syndrome (pres) is a clinicoradiological diagnosis that is based on a combination of typical clinical features and risk factors, and supported by magnetic resonance (mr) brain scan findings. Posterior reversible encephalopathy syndrome (pres) is an acute. Eclampsia Encephalopathy.
From www.researchgate.net
(PDF) Eclampsia with hypothyroidism complicated with posterior Eclampsia Encephalopathy Posterior reversible encephalopathy syndrome (pres) is a clinical and radiological. Posterior reversible encephalopathy syndrome (pres) is a clinicoradiological diagnosis that is based on a combination of typical clinical features and risk factors, and supported by magnetic resonance (mr) brain scan findings. Posterior reversible encephalopathy syndrome (pres) is a neurotoxic state coupled with a unique ct or mr imaging appearance. Posterior. Eclampsia Encephalopathy.
From www.researchgate.net
29yearold female patient with posterior reversible encephalopathy Eclampsia Encephalopathy Posterior reversible encephalopathy syndrome (pres) is an acute and transient neurologic condition with variable clinical manifestations including headaches, visual impairment. Posterior reversible encephalopathy syndrome (pres) 1,2 is an acute or subacute cerebral syndrome, the main manifestations of which are headache, encephalopathy,. Recognized in the setting of a number of complex conditions (preeclampsia/eclampsia, allogeneic bone marrow transplantation, organ transplantation, autoimmune disease. Eclampsia Encephalopathy.
From www.researchgate.net
(PDF) Posterior Reversible Encephalopathy Syndrome due to Eclampsia in Eclampsia Encephalopathy Posterior reversible encephalopathy syndrome (pres) is an acute and transient neurologic condition with variable clinical manifestations including headaches, visual impairment. Posterior reversible encephalopathy syndrome (pres) is a clinical and radiological. Posterior reversible encephalopathy syndrome (pres) is a clinicoradiological diagnosis that is based on a combination of typical clinical features and risk factors, and supported by magnetic resonance (mr) brain scan. Eclampsia Encephalopathy.
From www.researchgate.net
(PDF) Sequential occurrence of eclampsiaassociated posterior Eclampsia Encephalopathy Posterior reversible encephalopathy syndrome (pres) is a neurotoxic state coupled with a unique ct or mr imaging appearance. Posterior reversible encephalopathy syndrome (pres) is an acute and transient neurologic condition with variable clinical manifestations including headaches, visual impairment. Posterior reversible encephalopathy syndrome (pres) 1,2 is an acute or subacute cerebral syndrome, the main manifestations of which are headache, encephalopathy,. Posterior. Eclampsia Encephalopathy.
From www.cureus.com
Cureus Postpartum Eclampsia Complicated With Posterior Reversible Eclampsia Encephalopathy Posterior reversible encephalopathy syndrome (pres) is an acute and transient neurologic condition with variable clinical manifestations including headaches, visual impairment. Posterior reversible encephalopathy syndrome (pres) 1,2 is an acute or subacute cerebral syndrome, the main manifestations of which are headache, encephalopathy,. Posterior reversible encephalopathy syndrome (pres) is a neurotoxic state coupled with a unique ct or mr imaging appearance. Recognized. Eclampsia Encephalopathy.
From www.researchgate.net
(PDF) Successful management of a patient with sudden loss of vision and Eclampsia Encephalopathy Posterior reversible encephalopathy syndrome (pres) is a clinicoradiological diagnosis that is based on a combination of typical clinical features and risk factors, and supported by magnetic resonance (mr) brain scan findings. Posterior reversible encephalopathy syndrome (pres) 1,2 is an acute or subacute cerebral syndrome, the main manifestations of which are headache, encephalopathy,. Posterior reversible encephalopathy syndrome (pres) is a neurotoxic. Eclampsia Encephalopathy.