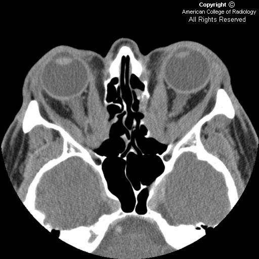
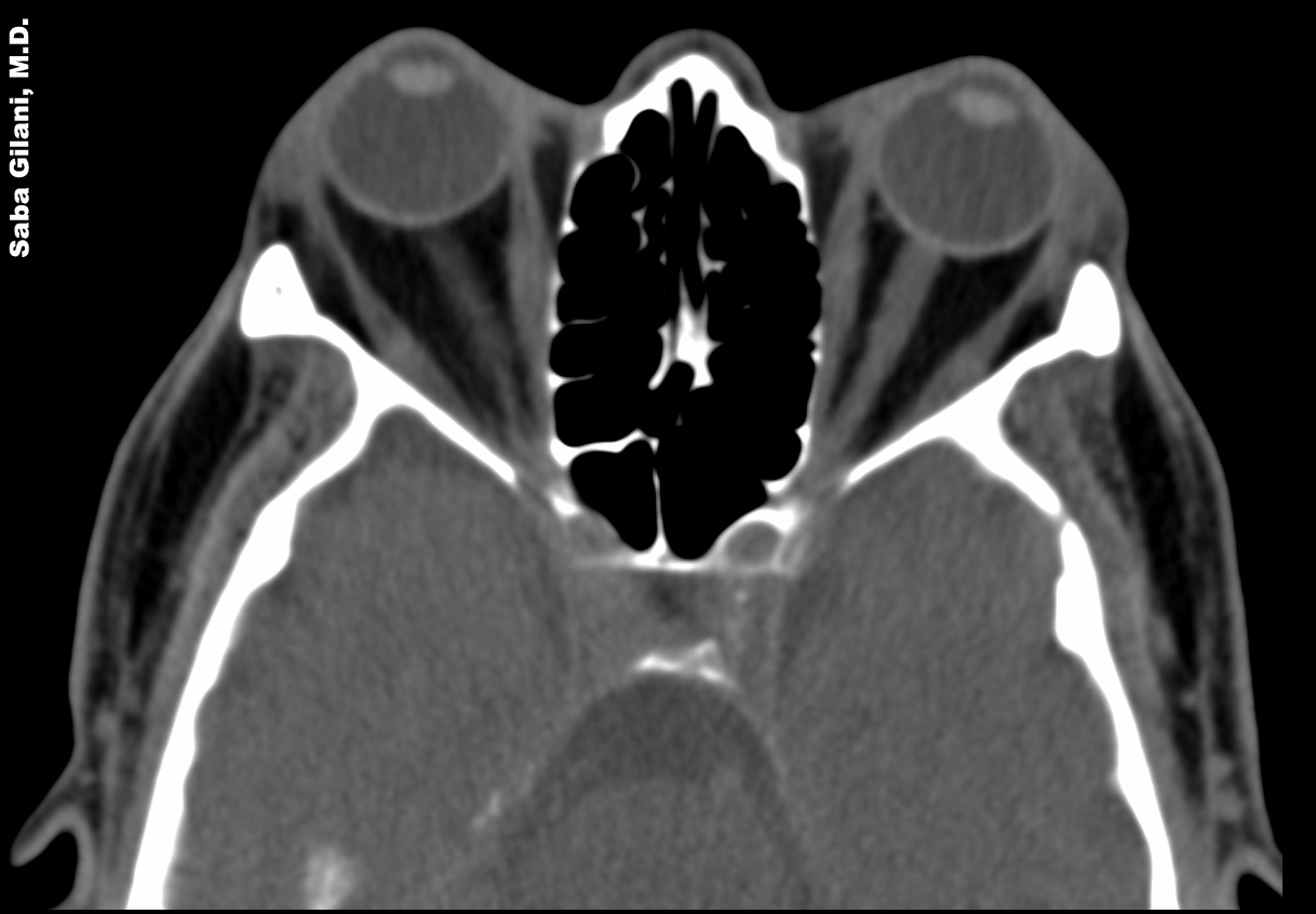
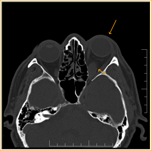
Endocrine Ophthalmopathy Ct . Ct remains the main imaging modality in graves' disease. Die diagnose erfolgt anhand von klinischen, neuroradiologischen. Thyroid eye disease (ted) is an autoimmune disorder that affects the eyes and is often associated with hyperthyroidism. Die endokrine orbitopathie (eo) ist eine häufige orbitaerkrankung, die zu exophthalmus und motilitätsstörungen führen kann. Overall, 84 of 91 patients (92.3%) demonstrated improvement or stabilization of ophthalmopathy. In this chapter, the reader will get acquainted with the clinical features, diagnosis and management of endocrine orbitopathy (eo). Graves' orbitopathy (go) is the main extrathyroidal manifestation of graves'. Ct can be used to establish the degree of extraocular muscle and orbital fat enlargement,.
from www.mdpi.com
In this chapter, the reader will get acquainted with the clinical features, diagnosis and management of endocrine orbitopathy (eo). Ct remains the main imaging modality in graves' disease. Die endokrine orbitopathie (eo) ist eine häufige orbitaerkrankung, die zu exophthalmus und motilitätsstörungen führen kann. Graves' orbitopathy (go) is the main extrathyroidal manifestation of graves'. Ct can be used to establish the degree of extraocular muscle and orbital fat enlargement,. Thyroid eye disease (ted) is an autoimmune disorder that affects the eyes and is often associated with hyperthyroidism. Die diagnose erfolgt anhand von klinischen, neuroradiologischen. Overall, 84 of 91 patients (92.3%) demonstrated improvement or stabilization of ophthalmopathy.
Biomedicines Free FullText Graves’ Eye Disease Clinical and
Endocrine Ophthalmopathy Ct In this chapter, the reader will get acquainted with the clinical features, diagnosis and management of endocrine orbitopathy (eo). Die diagnose erfolgt anhand von klinischen, neuroradiologischen. Overall, 84 of 91 patients (92.3%) demonstrated improvement or stabilization of ophthalmopathy. Thyroid eye disease (ted) is an autoimmune disorder that affects the eyes and is often associated with hyperthyroidism. Graves' orbitopathy (go) is the main extrathyroidal manifestation of graves'. Ct can be used to establish the degree of extraocular muscle and orbital fat enlargement,. In this chapter, the reader will get acquainted with the clinical features, diagnosis and management of endocrine orbitopathy (eo). Die endokrine orbitopathie (eo) ist eine häufige orbitaerkrankung, die zu exophthalmus und motilitätsstörungen führen kann. Ct remains the main imaging modality in graves' disease.
From www.bol.com
Endocrine Ophthalmopathy 9783805557221 Boeken Endocrine Ophthalmopathy Ct Ct can be used to establish the degree of extraocular muscle and orbital fat enlargement,. Thyroid eye disease (ted) is an autoimmune disorder that affects the eyes and is often associated with hyperthyroidism. Ct remains the main imaging modality in graves' disease. Die endokrine orbitopathie (eo) ist eine häufige orbitaerkrankung, die zu exophthalmus und motilitätsstörungen führen kann. Overall, 84 of. Endocrine Ophthalmopathy Ct.
From fineartamerica.com
Graves Ophthalmopathy Photograph by Science Source Fine Art America Endocrine Ophthalmopathy Ct Die endokrine orbitopathie (eo) ist eine häufige orbitaerkrankung, die zu exophthalmus und motilitätsstörungen führen kann. Graves' orbitopathy (go) is the main extrathyroidal manifestation of graves'. Ct remains the main imaging modality in graves' disease. Ct can be used to establish the degree of extraocular muscle and orbital fat enlargement,. Overall, 84 of 91 patients (92.3%) demonstrated improvement or stabilization of. Endocrine Ophthalmopathy Ct.
From www.tandfonline.com
Diagnostic classification of autoantibody repertoires in endocrine Endocrine Ophthalmopathy Ct Overall, 84 of 91 patients (92.3%) demonstrated improvement or stabilization of ophthalmopathy. In this chapter, the reader will get acquainted with the clinical features, diagnosis and management of endocrine orbitopathy (eo). Ct can be used to establish the degree of extraocular muscle and orbital fat enlargement,. Thyroid eye disease (ted) is an autoimmune disorder that affects the eyes and is. Endocrine Ophthalmopathy Ct.
From www.frontiersin.org
Frontiers Teprotumumab as a Novel Therapy for ThyroidAssociated Endocrine Ophthalmopathy Ct Overall, 84 of 91 patients (92.3%) demonstrated improvement or stabilization of ophthalmopathy. Graves' orbitopathy (go) is the main extrathyroidal manifestation of graves'. Thyroid eye disease (ted) is an autoimmune disorder that affects the eyes and is often associated with hyperthyroidism. Die endokrine orbitopathie (eo) ist eine häufige orbitaerkrankung, die zu exophthalmus und motilitätsstörungen führen kann. In this chapter, the reader. Endocrine Ophthalmopathy Ct.
From www.researchgate.net
Representative examples of thyroidassociated ophthalmopathy patients Endocrine Ophthalmopathy Ct Die diagnose erfolgt anhand von klinischen, neuroradiologischen. Ct remains the main imaging modality in graves' disease. Overall, 84 of 91 patients (92.3%) demonstrated improvement or stabilization of ophthalmopathy. Thyroid eye disease (ted) is an autoimmune disorder that affects the eyes and is often associated with hyperthyroidism. Die endokrine orbitopathie (eo) ist eine häufige orbitaerkrankung, die zu exophthalmus und motilitätsstörungen führen. Endocrine Ophthalmopathy Ct.
From neuroradiologyonthenet.blogspot.com
Neuroradiology On the Net Graves ophthalmopathy Endocrine Ophthalmopathy Ct Die diagnose erfolgt anhand von klinischen, neuroradiologischen. Ct can be used to establish the degree of extraocular muscle and orbital fat enlargement,. Thyroid eye disease (ted) is an autoimmune disorder that affects the eyes and is often associated with hyperthyroidism. Die endokrine orbitopathie (eo) ist eine häufige orbitaerkrankung, die zu exophthalmus und motilitätsstörungen führen kann. Graves' orbitopathy (go) is the. Endocrine Ophthalmopathy Ct.
From www.mdpi.com
Biomedicines Free FullText Graves’ Eye Disease Clinical and Endocrine Ophthalmopathy Ct Die endokrine orbitopathie (eo) ist eine häufige orbitaerkrankung, die zu exophthalmus und motilitätsstörungen führen kann. In this chapter, the reader will get acquainted with the clinical features, diagnosis and management of endocrine orbitopathy (eo). Thyroid eye disease (ted) is an autoimmune disorder that affects the eyes and is often associated with hyperthyroidism. Graves' orbitopathy (go) is the main extrathyroidal manifestation. Endocrine Ophthalmopathy Ct.
From www.provisu.ch
PROVISU Thyroidassociated ophthalmopathy Endocrine Ophthalmopathy Ct Graves' orbitopathy (go) is the main extrathyroidal manifestation of graves'. Ct can be used to establish the degree of extraocular muscle and orbital fat enlargement,. Die diagnose erfolgt anhand von klinischen, neuroradiologischen. Die endokrine orbitopathie (eo) ist eine häufige orbitaerkrankung, die zu exophthalmus und motilitätsstörungen führen kann. Thyroid eye disease (ted) is an autoimmune disorder that affects the eyes and. Endocrine Ophthalmopathy Ct.
From www.frontiersin.org
Frontiers Research progress on the pathogenesis of Graves Endocrine Ophthalmopathy Ct Thyroid eye disease (ted) is an autoimmune disorder that affects the eyes and is often associated with hyperthyroidism. Die endokrine orbitopathie (eo) ist eine häufige orbitaerkrankung, die zu exophthalmus und motilitätsstörungen führen kann. Ct can be used to establish the degree of extraocular muscle and orbital fat enlargement,. In this chapter, the reader will get acquainted with the clinical features,. Endocrine Ophthalmopathy Ct.
From www.nzoptics.co.nz
Thyroidassociated ophthalmopathy nzoptics Endocrine Ophthalmopathy Ct Thyroid eye disease (ted) is an autoimmune disorder that affects the eyes and is often associated with hyperthyroidism. Die diagnose erfolgt anhand von klinischen, neuroradiologischen. Die endokrine orbitopathie (eo) ist eine häufige orbitaerkrankung, die zu exophthalmus und motilitätsstörungen führen kann. Overall, 84 of 91 patients (92.3%) demonstrated improvement or stabilization of ophthalmopathy. Ct remains the main imaging modality in graves'. Endocrine Ophthalmopathy Ct.
From www.shutterstock.com
Endocrine Ophthalmopathy Disease Illustration Endocrine Ophthalmopathy Endocrine Ophthalmopathy Ct Overall, 84 of 91 patients (92.3%) demonstrated improvement or stabilization of ophthalmopathy. Die diagnose erfolgt anhand von klinischen, neuroradiologischen. Ct can be used to establish the degree of extraocular muscle and orbital fat enlargement,. Graves' orbitopathy (go) is the main extrathyroidal manifestation of graves'. Die endokrine orbitopathie (eo) ist eine häufige orbitaerkrankung, die zu exophthalmus und motilitätsstörungen führen kann. In. Endocrine Ophthalmopathy Ct.
From www.endocrinepractice.org
Application of Resonance Imaging in the Evaluation of Disease Endocrine Ophthalmopathy Ct Thyroid eye disease (ted) is an autoimmune disorder that affects the eyes and is often associated with hyperthyroidism. Ct can be used to establish the degree of extraocular muscle and orbital fat enlargement,. In this chapter, the reader will get acquainted with the clinical features, diagnosis and management of endocrine orbitopathy (eo). Overall, 84 of 91 patients (92.3%) demonstrated improvement. Endocrine Ophthalmopathy Ct.
From radiopaedia.org
Graves ophthalmopathy Image Endocrine Ophthalmopathy Ct Ct can be used to establish the degree of extraocular muscle and orbital fat enlargement,. Overall, 84 of 91 patients (92.3%) demonstrated improvement or stabilization of ophthalmopathy. Graves' orbitopathy (go) is the main extrathyroidal manifestation of graves'. Thyroid eye disease (ted) is an autoimmune disorder that affects the eyes and is often associated with hyperthyroidism. Die diagnose erfolgt anhand von. Endocrine Ophthalmopathy Ct.
From sumerdoc.blogspot.com
Possible Thyroid ophthalmopathyCT Sumer's Radiology Blog Endocrine Ophthalmopathy Ct Overall, 84 of 91 patients (92.3%) demonstrated improvement or stabilization of ophthalmopathy. In this chapter, the reader will get acquainted with the clinical features, diagnosis and management of endocrine orbitopathy (eo). Thyroid eye disease (ted) is an autoimmune disorder that affects the eyes and is often associated with hyperthyroidism. Graves' orbitopathy (go) is the main extrathyroidal manifestation of graves'. Ct. Endocrine Ophthalmopathy Ct.
From pubs.rsna.org
Nontraumatic Orbital Conditions Diagnosis with CT and MR Imaging in Endocrine Ophthalmopathy Ct Overall, 84 of 91 patients (92.3%) demonstrated improvement or stabilization of ophthalmopathy. Ct remains the main imaging modality in graves' disease. Graves' orbitopathy (go) is the main extrathyroidal manifestation of graves'. Die diagnose erfolgt anhand von klinischen, neuroradiologischen. Ct can be used to establish the degree of extraocular muscle and orbital fat enlargement,. Thyroid eye disease (ted) is an autoimmune. Endocrine Ophthalmopathy Ct.
From www.endocrinepractice.org
ThyroidAssociated Ophthalmopathy Preliminary Study Using T2 Mapping Endocrine Ophthalmopathy Ct Ct remains the main imaging modality in graves' disease. Die diagnose erfolgt anhand von klinischen, neuroradiologischen. Overall, 84 of 91 patients (92.3%) demonstrated improvement or stabilization of ophthalmopathy. Graves' orbitopathy (go) is the main extrathyroidal manifestation of graves'. In this chapter, the reader will get acquainted with the clinical features, diagnosis and management of endocrine orbitopathy (eo). Die endokrine orbitopathie. Endocrine Ophthalmopathy Ct.
From www.bjorl.org
Orbital endoscopic in Graves Ophthalmopathy Brazilian Endocrine Ophthalmopathy Ct Die diagnose erfolgt anhand von klinischen, neuroradiologischen. Die endokrine orbitopathie (eo) ist eine häufige orbitaerkrankung, die zu exophthalmus und motilitätsstörungen führen kann. Overall, 84 of 91 patients (92.3%) demonstrated improvement or stabilization of ophthalmopathy. Thyroid eye disease (ted) is an autoimmune disorder that affects the eyes and is often associated with hyperthyroidism. Graves' orbitopathy (go) is the main extrathyroidal manifestation. Endocrine Ophthalmopathy Ct.
From www.frontiersin.org
Frontiers Current insights of applying MRI in Graves’ ophthalmopathy Endocrine Ophthalmopathy Ct Die endokrine orbitopathie (eo) ist eine häufige orbitaerkrankung, die zu exophthalmus und motilitätsstörungen führen kann. Ct remains the main imaging modality in graves' disease. Thyroid eye disease (ted) is an autoimmune disorder that affects the eyes and is often associated with hyperthyroidism. Ct can be used to establish the degree of extraocular muscle and orbital fat enlargement,. Graves' orbitopathy (go). Endocrine Ophthalmopathy Ct.
From www.researchgate.net
Sequential change of thyroidrelated ophthalmopathy demonstrated by Endocrine Ophthalmopathy Ct Thyroid eye disease (ted) is an autoimmune disorder that affects the eyes and is often associated with hyperthyroidism. Die diagnose erfolgt anhand von klinischen, neuroradiologischen. Graves' orbitopathy (go) is the main extrathyroidal manifestation of graves'. Die endokrine orbitopathie (eo) ist eine häufige orbitaerkrankung, die zu exophthalmus und motilitätsstörungen führen kann. Ct remains the main imaging modality in graves' disease. Overall,. Endocrine Ophthalmopathy Ct.
From roentgenrayreader.blogspot.com
Roentgen Ray Reader Graves Ophthalmopathy Endocrine Ophthalmopathy Ct Graves' orbitopathy (go) is the main extrathyroidal manifestation of graves'. Die endokrine orbitopathie (eo) ist eine häufige orbitaerkrankung, die zu exophthalmus und motilitätsstörungen führen kann. Overall, 84 of 91 patients (92.3%) demonstrated improvement or stabilization of ophthalmopathy. Ct remains the main imaging modality in graves' disease. In this chapter, the reader will get acquainted with the clinical features, diagnosis and. Endocrine Ophthalmopathy Ct.
From www.osmosis.org
Thyroid eye disease (NORD) Osmosis Endocrine Ophthalmopathy Ct In this chapter, the reader will get acquainted with the clinical features, diagnosis and management of endocrine orbitopathy (eo). Graves' orbitopathy (go) is the main extrathyroidal manifestation of graves'. Ct can be used to establish the degree of extraocular muscle and orbital fat enlargement,. Thyroid eye disease (ted) is an autoimmune disorder that affects the eyes and is often associated. Endocrine Ophthalmopathy Ct.
From www.reddit.com
CTSCAN OF GRAVE’S OPHTHALMOPATHY r/Medical_Students Endocrine Ophthalmopathy Ct Overall, 84 of 91 patients (92.3%) demonstrated improvement or stabilization of ophthalmopathy. Ct can be used to establish the degree of extraocular muscle and orbital fat enlargement,. Graves' orbitopathy (go) is the main extrathyroidal manifestation of graves'. Die diagnose erfolgt anhand von klinischen, neuroradiologischen. Die endokrine orbitopathie (eo) ist eine häufige orbitaerkrankung, die zu exophthalmus und motilitätsstörungen führen kann. In. Endocrine Ophthalmopathy Ct.
From radiopaedia.org
Graves ophthalmopathy Image Endocrine Ophthalmopathy Ct Die diagnose erfolgt anhand von klinischen, neuroradiologischen. Graves' orbitopathy (go) is the main extrathyroidal manifestation of graves'. Ct remains the main imaging modality in graves' disease. Overall, 84 of 91 patients (92.3%) demonstrated improvement or stabilization of ophthalmopathy. Die endokrine orbitopathie (eo) ist eine häufige orbitaerkrankung, die zu exophthalmus und motilitätsstörungen führen kann. Ct can be used to establish the. Endocrine Ophthalmopathy Ct.
From indremedisineren.no
Graves sykdom Indremedisineren Endocrine Ophthalmopathy Ct Graves' orbitopathy (go) is the main extrathyroidal manifestation of graves'. Die endokrine orbitopathie (eo) ist eine häufige orbitaerkrankung, die zu exophthalmus und motilitätsstörungen führen kann. In this chapter, the reader will get acquainted with the clinical features, diagnosis and management of endocrine orbitopathy (eo). Thyroid eye disease (ted) is an autoimmune disorder that affects the eyes and is often associated. Endocrine Ophthalmopathy Ct.
From radiopaedia.org
Graves ophthalmopathy Image Endocrine Ophthalmopathy Ct Die diagnose erfolgt anhand von klinischen, neuroradiologischen. In this chapter, the reader will get acquainted with the clinical features, diagnosis and management of endocrine orbitopathy (eo). Overall, 84 of 91 patients (92.3%) demonstrated improvement or stabilization of ophthalmopathy. Ct remains the main imaging modality in graves' disease. Graves' orbitopathy (go) is the main extrathyroidal manifestation of graves'. Thyroid eye disease. Endocrine Ophthalmopathy Ct.
From archopht.jamanetwork.com
Intractable Graves Ophthalmopathy?—Diagnosis Endocrinology JAMA Endocrine Ophthalmopathy Ct Ct can be used to establish the degree of extraocular muscle and orbital fat enlargement,. Die diagnose erfolgt anhand von klinischen, neuroradiologischen. Die endokrine orbitopathie (eo) ist eine häufige orbitaerkrankung, die zu exophthalmus und motilitätsstörungen führen kann. Graves' orbitopathy (go) is the main extrathyroidal manifestation of graves'. Overall, 84 of 91 patients (92.3%) demonstrated improvement or stabilization of ophthalmopathy. Thyroid. Endocrine Ophthalmopathy Ct.
From www.bjorl.org
Orbital endoscopic in Graves Ophthalmopathy Brazilian Endocrine Ophthalmopathy Ct In this chapter, the reader will get acquainted with the clinical features, diagnosis and management of endocrine orbitopathy (eo). Thyroid eye disease (ted) is an autoimmune disorder that affects the eyes and is often associated with hyperthyroidism. Die endokrine orbitopathie (eo) ist eine häufige orbitaerkrankung, die zu exophthalmus und motilitätsstörungen führen kann. Ct can be used to establish the degree. Endocrine Ophthalmopathy Ct.
From www.semanticscholar.org
Figure 2 from Results of surgical treatment using minimally invasive Endocrine Ophthalmopathy Ct Overall, 84 of 91 patients (92.3%) demonstrated improvement or stabilization of ophthalmopathy. Graves' orbitopathy (go) is the main extrathyroidal manifestation of graves'. Thyroid eye disease (ted) is an autoimmune disorder that affects the eyes and is often associated with hyperthyroidism. In this chapter, the reader will get acquainted with the clinical features, diagnosis and management of endocrine orbitopathy (eo). Die. Endocrine Ophthalmopathy Ct.
From www.semanticscholar.org
Figure 1 from Comparision of Patient Characteristics in Graves Endocrine Ophthalmopathy Ct Ct remains the main imaging modality in graves' disease. Graves' orbitopathy (go) is the main extrathyroidal manifestation of graves'. Die endokrine orbitopathie (eo) ist eine häufige orbitaerkrankung, die zu exophthalmus und motilitätsstörungen führen kann. Overall, 84 of 91 patients (92.3%) demonstrated improvement or stabilization of ophthalmopathy. Thyroid eye disease (ted) is an autoimmune disorder that affects the eyes and is. Endocrine Ophthalmopathy Ct.
From www.endocrinepractice.org
Application of Resonance Imaging in the Evaluation of Disease Endocrine Ophthalmopathy Ct Ct remains the main imaging modality in graves' disease. Ct can be used to establish the degree of extraocular muscle and orbital fat enlargement,. Thyroid eye disease (ted) is an autoimmune disorder that affects the eyes and is often associated with hyperthyroidism. In this chapter, the reader will get acquainted with the clinical features, diagnosis and management of endocrine orbitopathy. Endocrine Ophthalmopathy Ct.
From www.endocrinepractice.org
Retinal Microvasculature Alteration in Active ThyroidAssociated Endocrine Ophthalmopathy Ct Ct remains the main imaging modality in graves' disease. In this chapter, the reader will get acquainted with the clinical features, diagnosis and management of endocrine orbitopathy (eo). Overall, 84 of 91 patients (92.3%) demonstrated improvement or stabilization of ophthalmopathy. Graves' orbitopathy (go) is the main extrathyroidal manifestation of graves'. Ct can be used to establish the degree of extraocular. Endocrine Ophthalmopathy Ct.
From jamanetwork.com
Idiopathic Orbital Inflammation and Graves Ophthalmopathy Endocrine Ophthalmopathy Ct Thyroid eye disease (ted) is an autoimmune disorder that affects the eyes and is often associated with hyperthyroidism. Die diagnose erfolgt anhand von klinischen, neuroradiologischen. Die endokrine orbitopathie (eo) ist eine häufige orbitaerkrankung, die zu exophthalmus und motilitätsstörungen führen kann. Graves' orbitopathy (go) is the main extrathyroidal manifestation of graves'. In this chapter, the reader will get acquainted with the. Endocrine Ophthalmopathy Ct.
From de-academic.com
Endokrine Orbitopathie Endocrine Ophthalmopathy Ct Die diagnose erfolgt anhand von klinischen, neuroradiologischen. Ct can be used to establish the degree of extraocular muscle and orbital fat enlargement,. In this chapter, the reader will get acquainted with the clinical features, diagnosis and management of endocrine orbitopathy (eo). Ct remains the main imaging modality in graves' disease. Overall, 84 of 91 patients (92.3%) demonstrated improvement or stabilization. Endocrine Ophthalmopathy Ct.
From www.nejm.org
Graves' Ophthalmopathy NEJM Endocrine Ophthalmopathy Ct Ct can be used to establish the degree of extraocular muscle and orbital fat enlargement,. Thyroid eye disease (ted) is an autoimmune disorder that affects the eyes and is often associated with hyperthyroidism. Ct remains the main imaging modality in graves' disease. In this chapter, the reader will get acquainted with the clinical features, diagnosis and management of endocrine orbitopathy. Endocrine Ophthalmopathy Ct.
From pubs.rsna.org
Nontraumatic Orbital Conditions Diagnosis with CT and MR Imaging in Endocrine Ophthalmopathy Ct Die diagnose erfolgt anhand von klinischen, neuroradiologischen. In this chapter, the reader will get acquainted with the clinical features, diagnosis and management of endocrine orbitopathy (eo). Overall, 84 of 91 patients (92.3%) demonstrated improvement or stabilization of ophthalmopathy. Ct remains the main imaging modality in graves' disease. Die endokrine orbitopathie (eo) ist eine häufige orbitaerkrankung, die zu exophthalmus und motilitätsstörungen. Endocrine Ophthalmopathy Ct.