Sports Groin Injury . Due to the high number of athletes competing in multidirectional sports, such as football, many athletes with either acute strains or overuse injuries. Athletes with pubalgia have an imbalance of the adductor and abdominal muscles at the pubis, which leads to. The primary risk factor for groin strain is playing a sport that involves kicking, turning suddenly while running, and jumping. Groin pain accounts for one in 10 patient visits to a sports injury clinic. Pubalgia is a chronic groin lesion. Groin pain including groin strains are common among athletes who participate in sports with repetitive and forceful hip movement. Groin pain is a common entity in athletes, particularly those engaged in sports that require specific use (or overuse) of lower abdominal. Types of sports and injuries.
from www.sports-health.com
Groin pain including groin strains are common among athletes who participate in sports with repetitive and forceful hip movement. Athletes with pubalgia have an imbalance of the adductor and abdominal muscles at the pubis, which leads to. Pubalgia is a chronic groin lesion. Groin pain accounts for one in 10 patient visits to a sports injury clinic. Types of sports and injuries. Groin pain is a common entity in athletes, particularly those engaged in sports that require specific use (or overuse) of lower abdominal. The primary risk factor for groin strain is playing a sport that involves kicking, turning suddenly while running, and jumping. Due to the high number of athletes competing in multidirectional sports, such as football, many athletes with either acute strains or overuse injuries.
Common Types of Groin Injury
Sports Groin Injury Athletes with pubalgia have an imbalance of the adductor and abdominal muscles at the pubis, which leads to. Types of sports and injuries. Groin pain accounts for one in 10 patient visits to a sports injury clinic. The primary risk factor for groin strain is playing a sport that involves kicking, turning suddenly while running, and jumping. Due to the high number of athletes competing in multidirectional sports, such as football, many athletes with either acute strains or overuse injuries. Pubalgia is a chronic groin lesion. Athletes with pubalgia have an imbalance of the adductor and abdominal muscles at the pubis, which leads to. Groin pain including groin strains are common among athletes who participate in sports with repetitive and forceful hip movement. Groin pain is a common entity in athletes, particularly those engaged in sports that require specific use (or overuse) of lower abdominal.
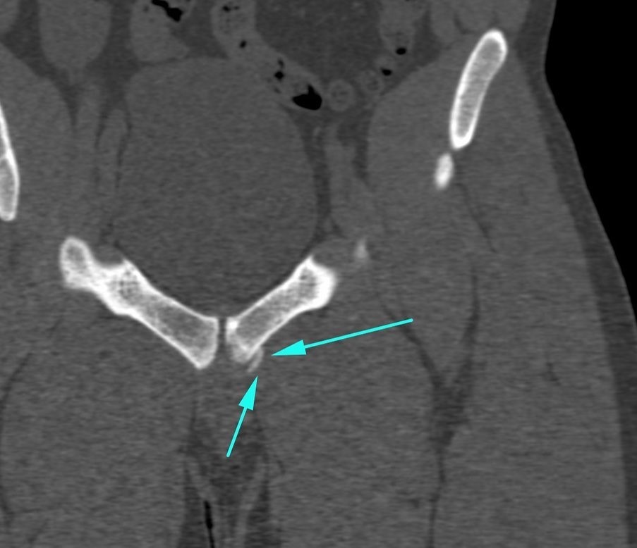
From www.arthroone.com
Groin Injuries in Sports Arthro One Sports Groin Injury Groin pain is a common entity in athletes, particularly those engaged in sports that require specific use (or overuse) of lower abdominal. Athletes with pubalgia have an imbalance of the adductor and abdominal muscles at the pubis, which leads to. Pubalgia is a chronic groin lesion. The primary risk factor for groin strain is playing a sport that involves kicking,. Sports Groin Injury.
From chiropracticscientist.com
Sports Hernia Core Muscle Injury Chiropractic Scientists 9158500900 Sports Groin Injury Groin pain is a common entity in athletes, particularly those engaged in sports that require specific use (or overuse) of lower abdominal. Groin pain including groin strains are common among athletes who participate in sports with repetitive and forceful hip movement. Athletes with pubalgia have an imbalance of the adductor and abdominal muscles at the pubis, which leads to. The. Sports Groin Injury.
From builtinsport.com
Recover Quickly from a Groin Injury Mueller Sports Medicine Sports Groin Injury Pubalgia is a chronic groin lesion. Athletes with pubalgia have an imbalance of the adductor and abdominal muscles at the pubis, which leads to. Types of sports and injuries. Groin pain accounts for one in 10 patient visits to a sports injury clinic. Due to the high number of athletes competing in multidirectional sports, such as football, many athletes with. Sports Groin Injury.
From drblacksps.blogspot.com
Beyond Sports Science Groin Injury Prevention Sports Groin Injury Athletes with pubalgia have an imbalance of the adductor and abdominal muscles at the pubis, which leads to. The primary risk factor for groin strain is playing a sport that involves kicking, turning suddenly while running, and jumping. Types of sports and injuries. Due to the high number of athletes competing in multidirectional sports, such as football, many athletes with. Sports Groin Injury.
From tempo.com.ph
Neymar suffers groins injury Tempo The Nation's Fastest Growing Sports Groin Injury Groin pain accounts for one in 10 patient visits to a sports injury clinic. Groin pain is a common entity in athletes, particularly those engaged in sports that require specific use (or overuse) of lower abdominal. Types of sports and injuries. Pubalgia is a chronic groin lesion. Due to the high number of athletes competing in multidirectional sports, such as. Sports Groin Injury.
From 360mirrorforhaircuts.blogspot.com
Groin Injury How To Deal With A Groin Strain Or Groin Pull / The Sports Groin Injury Due to the high number of athletes competing in multidirectional sports, such as football, many athletes with either acute strains or overuse injuries. Types of sports and injuries. Athletes with pubalgia have an imbalance of the adductor and abdominal muscles at the pubis, which leads to. Groin pain is a common entity in athletes, particularly those engaged in sports that. Sports Groin Injury.
From www.precisionathletica.com.au
Understanding Your Groin Injury and Recovery Precision Athletica Sports Groin Injury Groin pain including groin strains are common among athletes who participate in sports with repetitive and forceful hip movement. Athletes with pubalgia have an imbalance of the adductor and abdominal muscles at the pubis, which leads to. Due to the high number of athletes competing in multidirectional sports, such as football, many athletes with either acute strains or overuse injuries.. Sports Groin Injury.
From sportssurgeryclinic.com
Infographic Groin Injuries facts and figures Sports Surgery Clinic Sports Groin Injury Pubalgia is a chronic groin lesion. The primary risk factor for groin strain is playing a sport that involves kicking, turning suddenly while running, and jumping. Athletes with pubalgia have an imbalance of the adductor and abdominal muscles at the pubis, which leads to. Groin pain including groin strains are common among athletes who participate in sports with repetitive and. Sports Groin Injury.
From www.youtube.com
Adductor Groin Injury Exercises [ The Sports Physio ] YouTube Sports Groin Injury Groin pain accounts for one in 10 patient visits to a sports injury clinic. Groin pain including groin strains are common among athletes who participate in sports with repetitive and forceful hip movement. Due to the high number of athletes competing in multidirectional sports, such as football, many athletes with either acute strains or overuse injuries. Types of sports and. Sports Groin Injury.
From sportmedschool.com
CASE 10 GROIN PAINS Sport Med School Sports Groin Injury Groin pain accounts for one in 10 patient visits to a sports injury clinic. Groin pain is a common entity in athletes, particularly those engaged in sports that require specific use (or overuse) of lower abdominal. Pubalgia is a chronic groin lesion. Athletes with pubalgia have an imbalance of the adductor and abdominal muscles at the pubis, which leads to.. Sports Groin Injury.
From rehab-u.com
SportsRelated Groin Pain Full Intervention Strategy RehabU BLOG Sports Groin Injury Due to the high number of athletes competing in multidirectional sports, such as football, many athletes with either acute strains or overuse injuries. Groin pain including groin strains are common among athletes who participate in sports with repetitive and forceful hip movement. Pubalgia is a chronic groin lesion. Groin pain accounts for one in 10 patient visits to a sports. Sports Groin Injury.
From oklahomaphysicaltherapy.com
Expert Physical Therapy Guide to Recover Groin Strain Oklahoma Sports Groin Injury Groin pain accounts for one in 10 patient visits to a sports injury clinic. Pubalgia is a chronic groin lesion. Due to the high number of athletes competing in multidirectional sports, such as football, many athletes with either acute strains or overuse injuries. Groin pain including groin strains are common among athletes who participate in sports with repetitive and forceful. Sports Groin Injury.
From www.mangiarellirehabilitation.com
Physical Therapy for Groin InjuriesMangiarelli Rehabilitation Sports Groin Injury Athletes with pubalgia have an imbalance of the adductor and abdominal muscles at the pubis, which leads to. Groin pain is a common entity in athletes, particularly those engaged in sports that require specific use (or overuse) of lower abdominal. Due to the high number of athletes competing in multidirectional sports, such as football, many athletes with either acute strains. Sports Groin Injury.
From www.wikihow.fitness
How to Treat a Groin Injury (with Pictures) wikiHow Fitness Sports Groin Injury The primary risk factor for groin strain is playing a sport that involves kicking, turning suddenly while running, and jumping. Pubalgia is a chronic groin lesion. Due to the high number of athletes competing in multidirectional sports, such as football, many athletes with either acute strains or overuse injuries. Types of sports and injuries. Groin pain accounts for one in. Sports Groin Injury.
From www.researchgate.net
(PDF) Hip and Groin Injuries in Athletes Sports Groin Injury Groin pain accounts for one in 10 patient visits to a sports injury clinic. The primary risk factor for groin strain is playing a sport that involves kicking, turning suddenly while running, and jumping. Athletes with pubalgia have an imbalance of the adductor and abdominal muscles at the pubis, which leads to. Due to the high number of athletes competing. Sports Groin Injury.
From www.chatsports.com
How a baseball can cause a serious groin injury even while a player Sports Groin Injury Groin pain is a common entity in athletes, particularly those engaged in sports that require specific use (or overuse) of lower abdominal. Groin pain including groin strains are common among athletes who participate in sports with repetitive and forceful hip movement. Due to the high number of athletes competing in multidirectional sports, such as football, many athletes with either acute. Sports Groin Injury.
From ijspt.scholasticahq.com
Hip and Groin Injury Prevention in Elite Athletes and Team Sport Sports Groin Injury Athletes with pubalgia have an imbalance of the adductor and abdominal muscles at the pubis, which leads to. Pubalgia is a chronic groin lesion. The primary risk factor for groin strain is playing a sport that involves kicking, turning suddenly while running, and jumping. Types of sports and injuries. Groin pain including groin strains are common among athletes who participate. Sports Groin Injury.
From bowelandhernia.co.uk
Sports Groin Injury Treatment Bowel and Hernia Centre Sports Groin Injury Types of sports and injuries. Groin pain accounts for one in 10 patient visits to a sports injury clinic. Due to the high number of athletes competing in multidirectional sports, such as football, many athletes with either acute strains or overuse injuries. Groin pain including groin strains are common among athletes who participate in sports with repetitive and forceful hip. Sports Groin Injury.
From www.arthroone.com
Groin Injuries in Sports Arthro One Sports Groin Injury Due to the high number of athletes competing in multidirectional sports, such as football, many athletes with either acute strains or overuse injuries. Types of sports and injuries. Athletes with pubalgia have an imbalance of the adductor and abdominal muscles at the pubis, which leads to. Groin pain including groin strains are common among athletes who participate in sports with. Sports Groin Injury.
From oklahomaphysicaltherapy.com
Expert Physical Therapy Guide to Recover Groin Strain Oklahoma Sports Groin Injury Groin pain including groin strains are common among athletes who participate in sports with repetitive and forceful hip movement. Athletes with pubalgia have an imbalance of the adductor and abdominal muscles at the pubis, which leads to. Groin pain is a common entity in athletes, particularly those engaged in sports that require specific use (or overuse) of lower abdominal. Groin. Sports Groin Injury.
From www.fittoplay.org
Groin strain Sports Groin Injury The primary risk factor for groin strain is playing a sport that involves kicking, turning suddenly while running, and jumping. Types of sports and injuries. Athletes with pubalgia have an imbalance of the adductor and abdominal muscles at the pubis, which leads to. Groin pain including groin strains are common among athletes who participate in sports with repetitive and forceful. Sports Groin Injury.
From www.sports-health.com
Common Types of Groin Injury Sports Groin Injury Groin pain including groin strains are common among athletes who participate in sports with repetitive and forceful hip movement. The primary risk factor for groin strain is playing a sport that involves kicking, turning suddenly while running, and jumping. Groin pain is a common entity in athletes, particularly those engaged in sports that require specific use (or overuse) of lower. Sports Groin Injury.
From ar.inspiredpencil.com
Groin Injury Exercises Sports Groin Injury Groin pain accounts for one in 10 patient visits to a sports injury clinic. Due to the high number of athletes competing in multidirectional sports, such as football, many athletes with either acute strains or overuse injuries. Types of sports and injuries. The primary risk factor for groin strain is playing a sport that involves kicking, turning suddenly while running,. Sports Groin Injury.
From runnerclick.com
Groin Injury Overview of Pulls, Strains & Tears RunnerClick Sports Groin Injury The primary risk factor for groin strain is playing a sport that involves kicking, turning suddenly while running, and jumping. Groin pain is a common entity in athletes, particularly those engaged in sports that require specific use (or overuse) of lower abdominal. Types of sports and injuries. Pubalgia is a chronic groin lesion. Athletes with pubalgia have an imbalance of. Sports Groin Injury.
From bjsm.bmj.com
Infographic. Can standardised clinical examination of athletes with Sports Groin Injury Groin pain is a common entity in athletes, particularly those engaged in sports that require specific use (or overuse) of lower abdominal. Athletes with pubalgia have an imbalance of the adductor and abdominal muscles at the pubis, which leads to. Groin pain accounts for one in 10 patient visits to a sports injury clinic. Pubalgia is a chronic groin lesion.. Sports Groin Injury.
From www.medicalnewstoday.com
Groin strain Symptoms, treatment, and recovery Sports Groin Injury Pubalgia is a chronic groin lesion. Groin pain including groin strains are common among athletes who participate in sports with repetitive and forceful hip movement. The primary risk factor for groin strain is playing a sport that involves kicking, turning suddenly while running, and jumping. Groin pain is a common entity in athletes, particularly those engaged in sports that require. Sports Groin Injury.
From www.myfivefingers.com
How to Recover From a Pulled Groin My FiveFingers Sports Groin Injury Groin pain including groin strains are common among athletes who participate in sports with repetitive and forceful hip movement. Types of sports and injuries. Athletes with pubalgia have an imbalance of the adductor and abdominal muscles at the pubis, which leads to. Pubalgia is a chronic groin lesion. The primary risk factor for groin strain is playing a sport that. Sports Groin Injury.
From www.premierphysicaltherapy.com
What are the Common Causes for Groin Injury When Playing Sports? Sports Groin Injury Types of sports and injuries. Groin pain including groin strains are common among athletes who participate in sports with repetitive and forceful hip movement. Pubalgia is a chronic groin lesion. Athletes with pubalgia have an imbalance of the adductor and abdominal muscles at the pubis, which leads to. Groin pain is a common entity in athletes, particularly those engaged in. Sports Groin Injury.
From www.sheddonphysio.com
Prevention & Treatment of Groin Injuries in Athletes Sheddon Sports Groin Injury Pubalgia is a chronic groin lesion. Due to the high number of athletes competing in multidirectional sports, such as football, many athletes with either acute strains or overuse injuries. Groin pain accounts for one in 10 patient visits to a sports injury clinic. Athletes with pubalgia have an imbalance of the adductor and abdominal muscles at the pubis, which leads. Sports Groin Injury.
From www.thephysiocompany.com
Groin Strains Symptoms & Treatment Sports Groin Injury Due to the high number of athletes competing in multidirectional sports, such as football, many athletes with either acute strains or overuse injuries. The primary risk factor for groin strain is playing a sport that involves kicking, turning suddenly while running, and jumping. Pubalgia is a chronic groin lesion. Groin pain is a common entity in athletes, particularly those engaged. Sports Groin Injury.
From www.sports-health.com
Common Types of Groin Injury Sports Groin Injury Athletes with pubalgia have an imbalance of the adductor and abdominal muscles at the pubis, which leads to. Pubalgia is a chronic groin lesion. Groin pain is a common entity in athletes, particularly those engaged in sports that require specific use (or overuse) of lower abdominal. Groin pain accounts for one in 10 patient visits to a sports injury clinic.. Sports Groin Injury.
From www.youtube.com
How to Treat Groin Injuries in Runners YouTube Sports Groin Injury Types of sports and injuries. Groin pain including groin strains are common among athletes who participate in sports with repetitive and forceful hip movement. Athletes with pubalgia have an imbalance of the adductor and abdominal muscles at the pubis, which leads to. Groin pain accounts for one in 10 patient visits to a sports injury clinic. The primary risk factor. Sports Groin Injury.
From www.sports-injury-physio.com
The 5 steps to treating groin injuries Sports Injury Physio Sports Groin Injury Pubalgia is a chronic groin lesion. Groin pain is a common entity in athletes, particularly those engaged in sports that require specific use (or overuse) of lower abdominal. Athletes with pubalgia have an imbalance of the adductor and abdominal muscles at the pubis, which leads to. Types of sports and injuries. Due to the high number of athletes competing in. Sports Groin Injury.
From www.wikihow.fitness
How to Treat a Groin Injury (with Pictures) wikiHow Fitness Sports Groin Injury Types of sports and injuries. Athletes with pubalgia have an imbalance of the adductor and abdominal muscles at the pubis, which leads to. Groin pain accounts for one in 10 patient visits to a sports injury clinic. Groin pain is a common entity in athletes, particularly those engaged in sports that require specific use (or overuse) of lower abdominal. Due. Sports Groin Injury.
From www.ebtc.ie
Groin pain in athletes Therapists in Galway Therapists in Galway Sports Groin Injury The primary risk factor for groin strain is playing a sport that involves kicking, turning suddenly while running, and jumping. Groin pain is a common entity in athletes, particularly those engaged in sports that require specific use (or overuse) of lower abdominal. Groin pain including groin strains are common among athletes who participate in sports with repetitive and forceful hip. Sports Groin Injury.