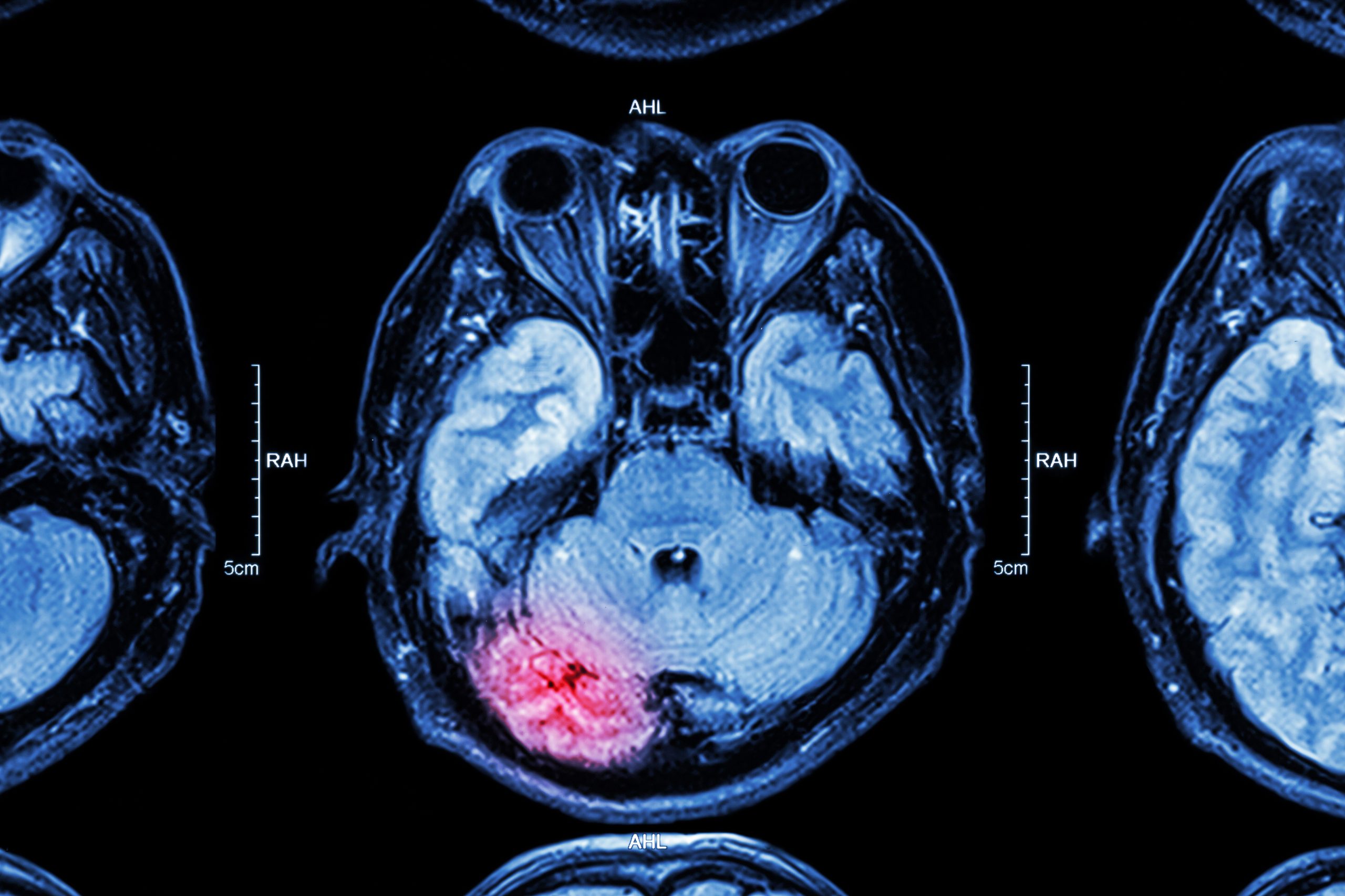
What Can An Mri Detect For Nerve Damage . Learn how mri scans work, what they can and cannot. Mr neurography (mrn) is a technique that images nerves anywhere in the body using mri scanners. Can an mri show nerve damage? Mri uses a magnetic field and radio waves to produce detailed images of areas affected by nerve damage. Find out the conditions that may be diagnosed by mri and the. It can help diagnose nerve abnormalities, such as. Mri can help diagnose peripheral nerve injury by providing detailed images of the nerves and surrounding tissues. Learn how mri scan can show structural lesions that may be pressing against a nerve and causing pain or injury. An mri scan can show nerve damage caused by injury, compression, or tumor, but it may not detect all types of nerve problems. Conventional mris can sometimes show nerve abnormalities, but mr neurography imaging is more sensitive, since it is specially tailored to image.
        	
		 
    
        from tripurahealthservices.in 
     
        
        Learn how mri scans work, what they can and cannot. An mri scan can show nerve damage caused by injury, compression, or tumor, but it may not detect all types of nerve problems. Mr neurography (mrn) is a technique that images nerves anywhere in the body using mri scanners. Mri uses a magnetic field and radio waves to produce detailed images of areas affected by nerve damage. Learn how mri scan can show structural lesions that may be pressing against a nerve and causing pain or injury. Conventional mris can sometimes show nerve abnormalities, but mr neurography imaging is more sensitive, since it is specially tailored to image. Mri can help diagnose peripheral nerve injury by providing detailed images of the nerves and surrounding tissues. It can help diagnose nerve abnormalities, such as. Can an mri show nerve damage? Find out the conditions that may be diagnosed by mri and the.
    
    	
		 
    Deciphering the Signals What Does a Pinched Nerve Look Like on an MRI 
    What Can An Mri Detect For Nerve Damage  Learn how mri scans work, what they can and cannot. Learn how mri scan can show structural lesions that may be pressing against a nerve and causing pain or injury. Learn how mri scans work, what they can and cannot. Conventional mris can sometimes show nerve abnormalities, but mr neurography imaging is more sensitive, since it is specially tailored to image. Mri uses a magnetic field and radio waves to produce detailed images of areas affected by nerve damage. Mri can help diagnose peripheral nerve injury by providing detailed images of the nerves and surrounding tissues. Mr neurography (mrn) is a technique that images nerves anywhere in the body using mri scanners. Find out the conditions that may be diagnosed by mri and the. It can help diagnose nerve abnormalities, such as. Can an mri show nerve damage? An mri scan can show nerve damage caused by injury, compression, or tumor, but it may not detect all types of nerve problems.
 
    
        From antam.edu.vn 
                    Can MRI Show Nerve Damage? An Tâm What Can An Mri Detect For Nerve Damage  It can help diagnose nerve abnormalities, such as. Mri uses a magnetic field and radio waves to produce detailed images of areas affected by nerve damage. Conventional mris can sometimes show nerve abnormalities, but mr neurography imaging is more sensitive, since it is specially tailored to image. An mri scan can show nerve damage caused by injury, compression, or tumor,. What Can An Mri Detect For Nerve Damage.
     
    
        From www.sciencephoto.com 
                    Multiple sclerosis in the optic nerve, MRI Stock Image C058/4685 What Can An Mri Detect For Nerve Damage  Mr neurography (mrn) is a technique that images nerves anywhere in the body using mri scanners. Mri uses a magnetic field and radio waves to produce detailed images of areas affected by nerve damage. Learn how mri scans work, what they can and cannot. Find out the conditions that may be diagnosed by mri and the. Can an mri show. What Can An Mri Detect For Nerve Damage.
     
    
        From sdbif.org 
                    MRA Archives San Diego Brain Injury Foundation What Can An Mri Detect For Nerve Damage  It can help diagnose nerve abnormalities, such as. Mri can help diagnose peripheral nerve injury by providing detailed images of the nerves and surrounding tissues. An mri scan can show nerve damage caused by injury, compression, or tumor, but it may not detect all types of nerve problems. Learn how mri scan can show structural lesions that may be pressing. What Can An Mri Detect For Nerve Damage.
     
    
        From med.stanford.edu 
                    MRI of Peripheral Nerves Body MRI Research Group (BMR) Stanford What Can An Mri Detect For Nerve Damage  Mri uses a magnetic field and radio waves to produce detailed images of areas affected by nerve damage. Can an mri show nerve damage? It can help diagnose nerve abnormalities, such as. Mr neurography (mrn) is a technique that images nerves anywhere in the body using mri scanners. An mri scan can show nerve damage caused by injury, compression, or. What Can An Mri Detect For Nerve Damage.
     
    
        From radedasia.com 
                    SPINE MRI ONLINE RADIOLOGY COURSE NERVE ROOTS KEY POINTS FROM OUR What Can An Mri Detect For Nerve Damage  Mri can help diagnose peripheral nerve injury by providing detailed images of the nerves and surrounding tissues. Mri uses a magnetic field and radio waves to produce detailed images of areas affected by nerve damage. It can help diagnose nerve abnormalities, such as. Find out the conditions that may be diagnosed by mri and the. Conventional mris can sometimes show. What Can An Mri Detect For Nerve Damage.
     
    
        From aoaortho.com 
                    What Conditions Can an MRI Detect? Advanced Orthopaedic Associates What Can An Mri Detect For Nerve Damage  Learn how mri scan can show structural lesions that may be pressing against a nerve and causing pain or injury. Conventional mris can sometimes show nerve abnormalities, but mr neurography imaging is more sensitive, since it is specially tailored to image. Mri uses a magnetic field and radio waves to produce detailed images of areas affected by nerve damage. Can. What Can An Mri Detect For Nerve Damage.
     
    
        From www.mri.melbourne 
                    Adult MRI Series MRI of Cervical spine Radiculopathy What Can An Mri Detect For Nerve Damage  It can help diagnose nerve abnormalities, such as. Find out the conditions that may be diagnosed by mri and the. Conventional mris can sometimes show nerve abnormalities, but mr neurography imaging is more sensitive, since it is specially tailored to image. Learn how mri scans work, what they can and cannot. Mri uses a magnetic field and radio waves to. What Can An Mri Detect For Nerve Damage.
     
    
        From mrichandigarh.com 
                    Can an MRI show nerve damage? MRI Chandigarh What Can An Mri Detect For Nerve Damage  It can help diagnose nerve abnormalities, such as. An mri scan can show nerve damage caused by injury, compression, or tumor, but it may not detect all types of nerve problems. Mri can help diagnose peripheral nerve injury by providing detailed images of the nerves and surrounding tissues. Can an mri show nerve damage? Conventional mris can sometimes show nerve. What Can An Mri Detect For Nerve Damage.
     
    
        From onestepdiagnostic.com 
                    Does MRI Show Nerve Damage? One Step Diagnostic What Can An Mri Detect For Nerve Damage  Learn how mri scan can show structural lesions that may be pressing against a nerve and causing pain or injury. Find out the conditions that may be diagnosed by mri and the. It can help diagnose nerve abnormalities, such as. Mri can help diagnose peripheral nerve injury by providing detailed images of the nerves and surrounding tissues. Conventional mris can. What Can An Mri Detect For Nerve Damage.
     
    
        From mss-ijmsr.com 
                    Imaging in peripheral neuropathy Ultrasound and MRI Indian Journal What Can An Mri Detect For Nerve Damage  Mri can help diagnose peripheral nerve injury by providing detailed images of the nerves and surrounding tissues. Can an mri show nerve damage? Find out the conditions that may be diagnosed by mri and the. Conventional mris can sometimes show nerve abnormalities, but mr neurography imaging is more sensitive, since it is specially tailored to image. Learn how mri scans. What Can An Mri Detect For Nerve Damage.
     
    
        From aica.com 
                    Here’s How an MRI Can Find Brain Damage AICA Orthopedics What Can An Mri Detect For Nerve Damage  Mr neurography (mrn) is a technique that images nerves anywhere in the body using mri scanners. Mri uses a magnetic field and radio waves to produce detailed images of areas affected by nerve damage. Learn how mri scans work, what they can and cannot. Conventional mris can sometimes show nerve abnormalities, but mr neurography imaging is more sensitive, since it. What Can An Mri Detect For Nerve Damage.
     
    
        From www.pinterest.co.uk 
                    MRI of a patient with NMO showing inflammation (circled in red) of both What Can An Mri Detect For Nerve Damage  It can help diagnose nerve abnormalities, such as. Mri uses a magnetic field and radio waves to produce detailed images of areas affected by nerve damage. Learn how mri scans work, what they can and cannot. An mri scan can show nerve damage caused by injury, compression, or tumor, but it may not detect all types of nerve problems. Mri. What Can An Mri Detect For Nerve Damage.
     
    
        From mss-ijmsr.com 
                    Imaging in peripheral neuropathy Ultrasound and MRI Indian Journal What Can An Mri Detect For Nerve Damage  Learn how mri scan can show structural lesions that may be pressing against a nerve and causing pain or injury. Mri uses a magnetic field and radio waves to produce detailed images of areas affected by nerve damage. Find out the conditions that may be diagnosed by mri and the. Conventional mris can sometimes show nerve abnormalities, but mr neurography. What Can An Mri Detect For Nerve Damage.
     
    
        From www.gettyimages.fi 
                    Damaged Nerve Cells Photos and Premium High Res Pictures Getty Images What Can An Mri Detect For Nerve Damage  It can help diagnose nerve abnormalities, such as. Find out the conditions that may be diagnosed by mri and the. Conventional mris can sometimes show nerve abnormalities, but mr neurography imaging is more sensitive, since it is specially tailored to image. An mri scan can show nerve damage caused by injury, compression, or tumor, but it may not detect all. What Can An Mri Detect For Nerve Damage.
     
    
        From www.sciencephoto.com 
                    Spinal nerve pain, MRI scans Stock Image C007/1917 Science Photo What Can An Mri Detect For Nerve Damage  Can an mri show nerve damage? Conventional mris can sometimes show nerve abnormalities, but mr neurography imaging is more sensitive, since it is specially tailored to image. An mri scan can show nerve damage caused by injury, compression, or tumor, but it may not detect all types of nerve problems. Find out the conditions that may be diagnosed by mri. What Can An Mri Detect For Nerve Damage.
     
    
        From www.youtube.com 
                    Clinical Series How to See a Pinched Nerve (Foraminal Stenosis) on MRI What Can An Mri Detect For Nerve Damage  Find out the conditions that may be diagnosed by mri and the. Mri uses a magnetic field and radio waves to produce detailed images of areas affected by nerve damage. Learn how mri scans work, what they can and cannot. An mri scan can show nerve damage caused by injury, compression, or tumor, but it may not detect all types. What Can An Mri Detect For Nerve Damage.
     
    
        From www.researchgate.net 
                    A. Preoperative MRI scanning showed single cyst at S2 level with nerve What Can An Mri Detect For Nerve Damage  Mri uses a magnetic field and radio waves to produce detailed images of areas affected by nerve damage. Conventional mris can sometimes show nerve abnormalities, but mr neurography imaging is more sensitive, since it is specially tailored to image. Learn how mri scans work, what they can and cannot. Find out the conditions that may be diagnosed by mri and. What Can An Mri Detect For Nerve Damage.
     
    
        From mapaseagame.blogspot.com 
                    Can Nerve Damage Be Detected On An Mri mapasgmaes What Can An Mri Detect For Nerve Damage  An mri scan can show nerve damage caused by injury, compression, or tumor, but it may not detect all types of nerve problems. Mr neurography (mrn) is a technique that images nerves anywhere in the body using mri scanners. Conventional mris can sometimes show nerve abnormalities, but mr neurography imaging is more sensitive, since it is specially tailored to image.. What Can An Mri Detect For Nerve Damage.
     
    
        From www.researchgate.net 
                    resonance imaging (MRI) showed kinked left optic nerve with What Can An Mri Detect For Nerve Damage  Can an mri show nerve damage? Mr neurography (mrn) is a technique that images nerves anywhere in the body using mri scanners. Conventional mris can sometimes show nerve abnormalities, but mr neurography imaging is more sensitive, since it is specially tailored to image. Find out the conditions that may be diagnosed by mri and the. Mri uses a magnetic field. What Can An Mri Detect For Nerve Damage.
     
    
        From www.mriclinicalcasemap.philips.com 
                    Noninvasive nerve plexus imaging Philips MR Body Map What Can An Mri Detect For Nerve Damage  An mri scan can show nerve damage caused by injury, compression, or tumor, but it may not detect all types of nerve problems. Mri uses a magnetic field and radio waves to produce detailed images of areas affected by nerve damage. Mri can help diagnose peripheral nerve injury by providing detailed images of the nerves and surrounding tissues. Can an. What Can An Mri Detect For Nerve Damage.
     
    
        From www.youtube.com 
                    How to detect conjoined lumbosacral nerve roots on MRI YouTube What Can An Mri Detect For Nerve Damage  Can an mri show nerve damage? Conventional mris can sometimes show nerve abnormalities, but mr neurography imaging is more sensitive, since it is specially tailored to image. An mri scan can show nerve damage caused by injury, compression, or tumor, but it may not detect all types of nerve problems. Mr neurography (mrn) is a technique that images nerves anywhere. What Can An Mri Detect For Nerve Damage.
     
    
        From www.researchgate.net 
                    MRI of two different patients that had a history of ulnar nerve What Can An Mri Detect For Nerve Damage  It can help diagnose nerve abnormalities, such as. Mr neurography (mrn) is a technique that images nerves anywhere in the body using mri scanners. Find out the conditions that may be diagnosed by mri and the. Mri uses a magnetic field and radio waves to produce detailed images of areas affected by nerve damage. An mri scan can show nerve. What Can An Mri Detect For Nerve Damage.
     
    
        From mavink.com 
                    Trigeminal Nerve Anatomy Mri What Can An Mri Detect For Nerve Damage  It can help diagnose nerve abnormalities, such as. An mri scan can show nerve damage caused by injury, compression, or tumor, but it may not detect all types of nerve problems. Mri uses a magnetic field and radio waves to produce detailed images of areas affected by nerve damage. Mr neurography (mrn) is a technique that images nerves anywhere in. What Can An Mri Detect For Nerve Damage.
     
    
        From www.drpossley.com 
                    Can an MRI Show Nerve Damage? Dr. Daniel Possley, DO, MS What Can An Mri Detect For Nerve Damage  Mri can help diagnose peripheral nerve injury by providing detailed images of the nerves and surrounding tissues. Mri uses a magnetic field and radio waves to produce detailed images of areas affected by nerve damage. Learn how mri scans work, what they can and cannot. Conventional mris can sometimes show nerve abnormalities, but mr neurography imaging is more sensitive, since. What Can An Mri Detect For Nerve Damage.
     
    
        From www.neurologyadvisor.com 
                    Fast MRI Appropriate for Evaluation of Children With Traumatic Brain What Can An Mri Detect For Nerve Damage  Learn how mri scan can show structural lesions that may be pressing against a nerve and causing pain or injury. Mr neurography (mrn) is a technique that images nerves anywhere in the body using mri scanners. Learn how mri scans work, what they can and cannot. Mri uses a magnetic field and radio waves to produce detailed images of areas. What Can An Mri Detect For Nerve Damage.
     
    
        From www.eurekalert.org 
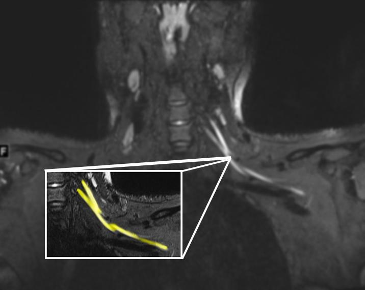
                    MRI shows nerve damage in neck [IMAGE] EurekAlert! Science News Releases What Can An Mri Detect For Nerve Damage  It can help diagnose nerve abnormalities, such as. Find out the conditions that may be diagnosed by mri and the. Mr neurography (mrn) is a technique that images nerves anywhere in the body using mri scanners. Mri can help diagnose peripheral nerve injury by providing detailed images of the nerves and surrounding tissues. Can an mri show nerve damage? Conventional. What Can An Mri Detect For Nerve Damage.
     
    
        From mavink.com 
                    Pinched Nerve In Neck X Ray What Can An Mri Detect For Nerve Damage  Can an mri show nerve damage? An mri scan can show nerve damage caused by injury, compression, or tumor, but it may not detect all types of nerve problems. Mri can help diagnose peripheral nerve injury by providing detailed images of the nerves and surrounding tissues. It can help diagnose nerve abnormalities, such as. Learn how mri scans work, what. What Can An Mri Detect For Nerve Damage.
     
    
        From bjo.bmj.com 
                    resonance image changes following optic nerve trauma from What Can An Mri Detect For Nerve Damage  Find out the conditions that may be diagnosed by mri and the. Can an mri show nerve damage? Conventional mris can sometimes show nerve abnormalities, but mr neurography imaging is more sensitive, since it is specially tailored to image. Learn how mri scan can show structural lesions that may be pressing against a nerve and causing pain or injury. Learn. What Can An Mri Detect For Nerve Damage.
     
    
        From tripurahealthservices.in 
                    Deciphering the Signals What Does a Pinched Nerve Look Like on an MRI What Can An Mri Detect For Nerve Damage  Mr neurography (mrn) is a technique that images nerves anywhere in the body using mri scanners. Mri uses a magnetic field and radio waves to produce detailed images of areas affected by nerve damage. An mri scan can show nerve damage caused by injury, compression, or tumor, but it may not detect all types of nerve problems. It can help. What Can An Mri Detect For Nerve Damage.
     
    
        From www.researchgate.net 
                    MRI findings in patients 4 (A), 5 (B), and 6 (C) — distal nerve What Can An Mri Detect For Nerve Damage  It can help diagnose nerve abnormalities, such as. Learn how mri scan can show structural lesions that may be pressing against a nerve and causing pain or injury. Conventional mris can sometimes show nerve abnormalities, but mr neurography imaging is more sensitive, since it is specially tailored to image. Mri uses a magnetic field and radio waves to produce detailed. What Can An Mri Detect For Nerve Damage.
     
    
        From www.frontiersin.org 
                    Frontiers MR Imaging of Peripheral Nerves Using Targeted Application What Can An Mri Detect For Nerve Damage  Mri uses a magnetic field and radio waves to produce detailed images of areas affected by nerve damage. Learn how mri scans work, what they can and cannot. Mri can help diagnose peripheral nerve injury by providing detailed images of the nerves and surrounding tissues. An mri scan can show nerve damage caused by injury, compression, or tumor, but it. What Can An Mri Detect For Nerve Damage.
     
    
        From tripurahealthservices.in 
                    Decoding the Mysteries Does an MRI Show Nerve Damage? Wealth Wise What Can An Mri Detect For Nerve Damage  Mri uses a magnetic field and radio waves to produce detailed images of areas affected by nerve damage. Learn how mri scans work, what they can and cannot. Conventional mris can sometimes show nerve abnormalities, but mr neurography imaging is more sensitive, since it is specially tailored to image. Learn how mri scan can show structural lesions that may be. What Can An Mri Detect For Nerve Damage.
     
    
        From precisionmrigroup.com 
                    How an MRI Scan Can Detect Problems in Your Brain Precision MRI What Can An Mri Detect For Nerve Damage  Can an mri show nerve damage? An mri scan can show nerve damage caused by injury, compression, or tumor, but it may not detect all types of nerve problems. Mri can help diagnose peripheral nerve injury by providing detailed images of the nerves and surrounding tissues. Find out the conditions that may be diagnosed by mri and the. Learn how. What Can An Mri Detect For Nerve Damage.
     
    
        From www.researchgate.net 
                    MRI showing bilateral C6 nerve root compression and left C7 nerve What Can An Mri Detect For Nerve Damage  Mr neurography (mrn) is a technique that images nerves anywhere in the body using mri scanners. Can an mri show nerve damage? An mri scan can show nerve damage caused by injury, compression, or tumor, but it may not detect all types of nerve problems. Mri uses a magnetic field and radio waves to produce detailed images of areas affected. What Can An Mri Detect For Nerve Damage.
     
    
        From mapageprek.blogspot.com 
                    Can Ct Scan Detect Nerve Damage mapageprek What Can An Mri Detect For Nerve Damage  Conventional mris can sometimes show nerve abnormalities, but mr neurography imaging is more sensitive, since it is specially tailored to image. Mr neurography (mrn) is a technique that images nerves anywhere in the body using mri scanners. An mri scan can show nerve damage caused by injury, compression, or tumor, but it may not detect all types of nerve problems.. What Can An Mri Detect For Nerve Damage.