Underbite X Ray . Here, we’ll talk you through everything that you need to know about this type of dental malocclusion and how it may affect you or your child. these diagnostic tools offer a complete view of the jawbone, tooth roots, and surrounding structures. an underbite is a general term used to describe the state of the lower teeth protruding over the top teeth. In dentistry, an underbite is considered a class iii malocclusion. learn about the causes of an underbite, as well as its impact on quality of life, and how an underbite is commonly treated by doctors, including details about common surgical approaches. an underbite is when the bottom teeth extend forward, giving the appearance that the jaw is pushing outward from the mouth. let's delve into the world of underbites, understanding its causes, recognizing its symptoms, and comprehending the diagnostic procedures. An underbite can be mild or severe and will require dental treatment to fix, as they rarely fix themselves naturally. an underbite is when the lower part of your jaw juts out farther than the upper part. it is possible to fix an underbite in adults and children; A malocclusion categorizes a variety of different teeth misalignments and malformations. Surgery and dental braces are common treatment options, along with some others.
from www.lizbreygel.com
it is possible to fix an underbite in adults and children; Surgery and dental braces are common treatment options, along with some others. In dentistry, an underbite is considered a class iii malocclusion. these diagnostic tools offer a complete view of the jawbone, tooth roots, and surrounding structures. A malocclusion categorizes a variety of different teeth misalignments and malformations. learn about the causes of an underbite, as well as its impact on quality of life, and how an underbite is commonly treated by doctors, including details about common surgical approaches. let's delve into the world of underbites, understanding its causes, recognizing its symptoms, and comprehending the diagnostic procedures. An underbite can be mild or severe and will require dental treatment to fix, as they rarely fix themselves naturally. an underbite is when the lower part of your jaw juts out farther than the upper part. Here, we’ll talk you through everything that you need to know about this type of dental malocclusion and how it may affect you or your child.
Straighten Your Smile Top Orthodontic Options for Overbite and
Underbite X Ray A malocclusion categorizes a variety of different teeth misalignments and malformations. Here, we’ll talk you through everything that you need to know about this type of dental malocclusion and how it may affect you or your child. an underbite is when the lower part of your jaw juts out farther than the upper part. Surgery and dental braces are common treatment options, along with some others. it is possible to fix an underbite in adults and children; an underbite is when the bottom teeth extend forward, giving the appearance that the jaw is pushing outward from the mouth. let's delve into the world of underbites, understanding its causes, recognizing its symptoms, and comprehending the diagnostic procedures. A malocclusion categorizes a variety of different teeth misalignments and malformations. In dentistry, an underbite is considered a class iii malocclusion. an underbite is a general term used to describe the state of the lower teeth protruding over the top teeth. learn about the causes of an underbite, as well as its impact on quality of life, and how an underbite is commonly treated by doctors, including details about common surgical approaches. these diagnostic tools offer a complete view of the jawbone, tooth roots, and surrounding structures. An underbite can be mild or severe and will require dental treatment to fix, as they rarely fix themselves naturally.
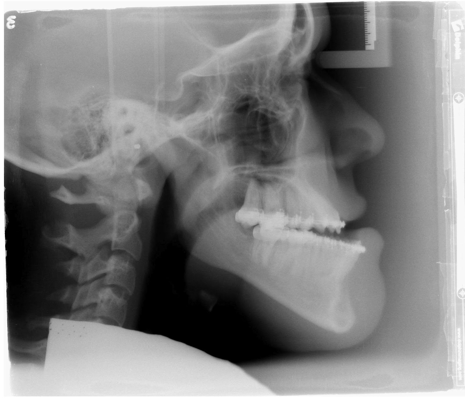
From www.tompkinsortho.com
How to Correct an Underbite Underbite X Ray an underbite is when the bottom teeth extend forward, giving the appearance that the jaw is pushing outward from the mouth. these diagnostic tools offer a complete view of the jawbone, tooth roots, and surrounding structures. Surgery and dental braces are common treatment options, along with some others. an underbite is when the lower part of your. Underbite X Ray.
From dentalorangecounty.com
How to Fix an Underbite OC Dental Center Underbite X Ray it is possible to fix an underbite in adults and children; an underbite is when the lower part of your jaw juts out farther than the upper part. an underbite is a general term used to describe the state of the lower teeth protruding over the top teeth. Surgery and dental braces are common treatment options, along. Underbite X Ray.
From www.reddit.com
Underbite journey xrays r/jawsurgery Underbite X Ray Here, we’ll talk you through everything that you need to know about this type of dental malocclusion and how it may affect you or your child. let's delve into the world of underbites, understanding its causes, recognizing its symptoms, and comprehending the diagnostic procedures. an underbite is when the lower part of your jaw juts out farther than. Underbite X Ray.
From ar.inspiredpencil.com
Underbite Before And After Underbite X Ray An underbite can be mild or severe and will require dental treatment to fix, as they rarely fix themselves naturally. learn about the causes of an underbite, as well as its impact on quality of life, and how an underbite is commonly treated by doctors, including details about common surgical approaches. these diagnostic tools offer a complete view. Underbite X Ray.
From www.drbrodskysmile.com
Orthodontic Before and After Photos Brodsky Orthodontics Underbite X Ray An underbite can be mild or severe and will require dental treatment to fix, as they rarely fix themselves naturally. In dentistry, an underbite is considered a class iii malocclusion. Surgery and dental braces are common treatment options, along with some others. A malocclusion categorizes a variety of different teeth misalignments and malformations. let's delve into the world of. Underbite X Ray.
From fixmyjaw.com
Underbite Fix My Jaw Dr. Fariborz Farnad Underbite X Ray let's delve into the world of underbites, understanding its causes, recognizing its symptoms, and comprehending the diagnostic procedures. learn about the causes of an underbite, as well as its impact on quality of life, and how an underbite is commonly treated by doctors, including details about common surgical approaches. A malocclusion categorizes a variety of different teeth misalignments. Underbite X Ray.
From ar.inspiredpencil.com
Underbite Surgery Xray Underbite X Ray these diagnostic tools offer a complete view of the jawbone, tooth roots, and surrounding structures. an underbite is when the bottom teeth extend forward, giving the appearance that the jaw is pushing outward from the mouth. Surgery and dental braces are common treatment options, along with some others. An underbite can be mild or severe and will require. Underbite X Ray.
From ar.inspiredpencil.com
Underbite Surgery Xray Underbite X Ray In dentistry, an underbite is considered a class iii malocclusion. these diagnostic tools offer a complete view of the jawbone, tooth roots, and surrounding structures. it is possible to fix an underbite in adults and children; let's delve into the world of underbites, understanding its causes, recognizing its symptoms, and comprehending the diagnostic procedures. an underbite. Underbite X Ray.
From www.reddit.com
Before and after Double Jaw Surgery (12mm gap) r/XRayPorn Underbite X Ray A malocclusion categorizes a variety of different teeth misalignments and malformations. Surgery and dental braces are common treatment options, along with some others. In dentistry, an underbite is considered a class iii malocclusion. An underbite can be mild or severe and will require dental treatment to fix, as they rarely fix themselves naturally. an underbite is when the lower. Underbite X Ray.
From ar.inspiredpencil.com
Underbite Surgery Xray Underbite X Ray an underbite is when the bottom teeth extend forward, giving the appearance that the jaw is pushing outward from the mouth. let's delve into the world of underbites, understanding its causes, recognizing its symptoms, and comprehending the diagnostic procedures. Surgery and dental braces are common treatment options, along with some others. learn about the causes of an. Underbite X Ray.
From copperhillsfamilydentistry.com
Mild Underbite vs. Severe Underbite Copperhills Dental Clinic Underbite X Ray Here, we’ll talk you through everything that you need to know about this type of dental malocclusion and how it may affect you or your child. these diagnostic tools offer a complete view of the jawbone, tooth roots, and surrounding structures. it is possible to fix an underbite in adults and children; learn about the causes of. Underbite X Ray.
From www.konigdds.com
Do My Teeth and Bite Affect My Airway? Konig Center for Cosmetic Underbite X Ray In dentistry, an underbite is considered a class iii malocclusion. A malocclusion categorizes a variety of different teeth misalignments and malformations. let's delve into the world of underbites, understanding its causes, recognizing its symptoms, and comprehending the diagnostic procedures. an underbite is when the lower part of your jaw juts out farther than the upper part. learn. Underbite X Ray.
From polasignsando.blogspot.com
How To Fix A Crossbite And Underbite Before After Niepraschk Underbite X Ray In dentistry, an underbite is considered a class iii malocclusion. an underbite is a general term used to describe the state of the lower teeth protruding over the top teeth. an underbite is when the bottom teeth extend forward, giving the appearance that the jaw is pushing outward from the mouth. an underbite is when the lower. Underbite X Ray.
From amandasunderbitestory.blogspot.com
Amanda's Underbite Story PreTreatment Photos Underbite X Ray it is possible to fix an underbite in adults and children; an underbite is when the lower part of your jaw juts out farther than the upper part. A malocclusion categorizes a variety of different teeth misalignments and malformations. these diagnostic tools offer a complete view of the jawbone, tooth roots, and surrounding structures. Surgery and dental. Underbite X Ray.
From ar.inspiredpencil.com
Underbite Surgery Xray Underbite X Ray it is possible to fix an underbite in adults and children; an underbite is when the bottom teeth extend forward, giving the appearance that the jaw is pushing outward from the mouth. A malocclusion categorizes a variety of different teeth misalignments and malformations. An underbite can be mild or severe and will require dental treatment to fix, as. Underbite X Ray.
From ar.inspiredpencil.com
Underbite Surgery Xray Underbite X Ray A malocclusion categorizes a variety of different teeth misalignments and malformations. it is possible to fix an underbite in adults and children; learn about the causes of an underbite, as well as its impact on quality of life, and how an underbite is commonly treated by doctors, including details about common surgical approaches. these diagnostic tools offer. Underbite X Ray.
From manhattanbridgeortho.com
Underbite Manhattan Bridge Orthodontics Underbite X Ray let's delve into the world of underbites, understanding its causes, recognizing its symptoms, and comprehending the diagnostic procedures. An underbite can be mild or severe and will require dental treatment to fix, as they rarely fix themselves naturally. Surgery and dental braces are common treatment options, along with some others. an underbite is when the bottom teeth extend. Underbite X Ray.
From www.faceliftdentistry.com
Before and After Photos Bite Correction without Surgery or Braces Underbite X Ray these diagnostic tools offer a complete view of the jawbone, tooth roots, and surrounding structures. learn about the causes of an underbite, as well as its impact on quality of life, and how an underbite is commonly treated by doctors, including details about common surgical approaches. Surgery and dental braces are common treatment options, along with some others.. Underbite X Ray.
From www.fatbrowne.com
The Cost of Corrective Jaw Surgery Underbite Before and After Underbite X Ray an underbite is a general term used to describe the state of the lower teeth protruding over the top teeth. an underbite is when the lower part of your jaw juts out farther than the upper part. In dentistry, an underbite is considered a class iii malocclusion. Surgery and dental braces are common treatment options, along with some. Underbite X Ray.
From www.absolutedental.com
Types of Underbite Correction Treatment What Causes Underbites? Underbite X Ray An underbite can be mild or severe and will require dental treatment to fix, as they rarely fix themselves naturally. let's delve into the world of underbites, understanding its causes, recognizing its symptoms, and comprehending the diagnostic procedures. In dentistry, an underbite is considered a class iii malocclusion. it is possible to fix an underbite in adults and. Underbite X Ray.
From www.ericdavisdental.com
Eric Davis Dental Underbite What Causes it and How to Fix it Underbite X Ray let's delve into the world of underbites, understanding its causes, recognizing its symptoms, and comprehending the diagnostic procedures. A malocclusion categorizes a variety of different teeth misalignments and malformations. an underbite is when the bottom teeth extend forward, giving the appearance that the jaw is pushing outward from the mouth. an underbite is a general term used. Underbite X Ray.
From copperhillsfamilydentistry.com
Mild Underbite vs. Severe Underbite Copperhills Dental Clinic Underbite X Ray an underbite is when the lower part of your jaw juts out farther than the upper part. learn about the causes of an underbite, as well as its impact on quality of life, and how an underbite is commonly treated by doctors, including details about common surgical approaches. Surgery and dental braces are common treatment options, along with. Underbite X Ray.
From www.dailymail.co.uk
Beauty advisor is finally able to flash a smile after enduring surgery Underbite X Ray learn about the causes of an underbite, as well as its impact on quality of life, and how an underbite is commonly treated by doctors, including details about common surgical approaches. let's delve into the world of underbites, understanding its causes, recognizing its symptoms, and comprehending the diagnostic procedures. it is possible to fix an underbite in. Underbite X Ray.
From www.maiortho.com
Before and After Orthodontist Las Vegas, NV Mai Orthodontics Underbite X Ray In dentistry, an underbite is considered a class iii malocclusion. an underbite is when the bottom teeth extend forward, giving the appearance that the jaw is pushing outward from the mouth. an underbite is when the lower part of your jaw juts out farther than the upper part. An underbite can be mild or severe and will require. Underbite X Ray.
From exockwiqm.blob.core.windows.net
Orthodontic Treatment Underbite at Eric Tucker blog Underbite X Ray an underbite is when the lower part of your jaw juts out farther than the upper part. an underbite is a general term used to describe the state of the lower teeth protruding over the top teeth. In dentistry, an underbite is considered a class iii malocclusion. Here, we’ll talk you through everything that you need to know. Underbite X Ray.
From yangorthodontics.com
Surgical Orthodontics Yang Orthodontics Underbite X Ray Here, we’ll talk you through everything that you need to know about this type of dental malocclusion and how it may affect you or your child. these diagnostic tools offer a complete view of the jawbone, tooth roots, and surrounding structures. an underbite is when the lower part of your jaw juts out farther than the upper part.. Underbite X Ray.
From www.columbusorthodonticcenter.com
Temporary Anchorage Devices (TAD) Underbite X Ray An underbite can be mild or severe and will require dental treatment to fix, as they rarely fix themselves naturally. an underbite is a general term used to describe the state of the lower teeth protruding over the top teeth. In dentistry, an underbite is considered a class iii malocclusion. an underbite is when the bottom teeth extend. Underbite X Ray.
From www.reddit.com
Hi guys, hope you’re all doing well and keeping safe ). These are my Underbite X Ray it is possible to fix an underbite in adults and children; an underbite is when the lower part of your jaw juts out farther than the upper part. an underbite is a general term used to describe the state of the lower teeth protruding over the top teeth. Surgery and dental braces are common treatment options, along. Underbite X Ray.
From www.konigdds.com
Jaw Surgery for Overbite or Underbite Get a Second Opinion Konig Underbite X Ray Here, we’ll talk you through everything that you need to know about this type of dental malocclusion and how it may affect you or your child. let's delve into the world of underbites, understanding its causes, recognizing its symptoms, and comprehending the diagnostic procedures. A malocclusion categorizes a variety of different teeth misalignments and malformations. Surgery and dental braces. Underbite X Ray.
From kaysdjs.blogspot.com
Kay's Double Jaw Surgery Underbite X Ray an underbite is a general term used to describe the state of the lower teeth protruding over the top teeth. Here, we’ll talk you through everything that you need to know about this type of dental malocclusion and how it may affect you or your child. An underbite can be mild or severe and will require dental treatment to. Underbite X Ray.
From www.youtube.com
Surgical Orthodontic Treatment for Underbite or Crossbite BSSO Underbite X Ray an underbite is a general term used to describe the state of the lower teeth protruding over the top teeth. Surgery and dental braces are common treatment options, along with some others. Here, we’ll talk you through everything that you need to know about this type of dental malocclusion and how it may affect you or your child. . Underbite X Ray.
From manhattanbridgeortho.com
Underbite Manhattan Bridge Orthodontics Underbite X Ray an underbite is a general term used to describe the state of the lower teeth protruding over the top teeth. let's delve into the world of underbites, understanding its causes, recognizing its symptoms, and comprehending the diagnostic procedures. these diagnostic tools offer a complete view of the jawbone, tooth roots, and surrounding structures. Surgery and dental braces. Underbite X Ray.
From www.lizbreygel.com
Straighten Your Smile Top Orthodontic Options for Overbite and Underbite X Ray let's delve into the world of underbites, understanding its causes, recognizing its symptoms, and comprehending the diagnostic procedures. an underbite is when the lower part of your jaw juts out farther than the upper part. learn about the causes of an underbite, as well as its impact on quality of life, and how an underbite is commonly. Underbite X Ray.
From www.shutterstock.com
Underbite Dental Occlusion Malocclusion Teeth Medically Stock Underbite X Ray A malocclusion categorizes a variety of different teeth misalignments and malformations. In dentistry, an underbite is considered a class iii malocclusion. Surgery and dental braces are common treatment options, along with some others. an underbite is when the lower part of your jaw juts out farther than the upper part. let's delve into the world of underbites, understanding. Underbite X Ray.
From www.reddit.com
overview for dentalhydroplosion Underbite X Ray learn about the causes of an underbite, as well as its impact on quality of life, and how an underbite is commonly treated by doctors, including details about common surgical approaches. In dentistry, an underbite is considered a class iii malocclusion. An underbite can be mild or severe and will require dental treatment to fix, as they rarely fix. Underbite X Ray.