What Is A Driveline Infection . Early recognition and treatment of these infections is of great. A driveline infection refers to the most common type of infection in lvad patients, often associated with invasive infections, and. Infection is the most common complication in patients undergoing ventricular assist device (vad) implantation. As more patients live longer with ventricular assist. Focus is placed on prevention along every aspect of the process of lvad therapy, as the authors believe this is the most. Driveline infections are associated with significant morbidity and mortality. Infection is the fourth leading cause of death in lvad patients. 30 the most common site of infection is the driveline, because it is a direct. After implantation of a left ventricular assist device (lvad), driveline infection remains one of the most common complications. Infections may occur at any component of the lvad, with varying rate of infection risk across components (figure 3) [4,. The driveline has a roughened velour material to facilitate adhesion to the subcutaneous tissues along the course of the.
from www.heartandlung.org
Infection is the fourth leading cause of death in lvad patients. A driveline infection refers to the most common type of infection in lvad patients, often associated with invasive infections, and. The driveline has a roughened velour material to facilitate adhesion to the subcutaneous tissues along the course of the. Early recognition and treatment of these infections is of great. As more patients live longer with ventricular assist. Driveline infections are associated with significant morbidity and mortality. Infection is the most common complication in patients undergoing ventricular assist device (vad) implantation. 30 the most common site of infection is the driveline, because it is a direct. After implantation of a left ventricular assist device (lvad), driveline infection remains one of the most common complications. Infections may occur at any component of the lvad, with varying rate of infection risk across components (figure 3) [4,.
Risk of left ventricular assist device driveline infection A
What Is A Driveline Infection A driveline infection refers to the most common type of infection in lvad patients, often associated with invasive infections, and. Infection is the fourth leading cause of death in lvad patients. The driveline has a roughened velour material to facilitate adhesion to the subcutaneous tissues along the course of the. Infections may occur at any component of the lvad, with varying rate of infection risk across components (figure 3) [4,. As more patients live longer with ventricular assist. Focus is placed on prevention along every aspect of the process of lvad therapy, as the authors believe this is the most. 30 the most common site of infection is the driveline, because it is a direct. Driveline infections are associated with significant morbidity and mortality. Early recognition and treatment of these infections is of great. Infection is the most common complication in patients undergoing ventricular assist device (vad) implantation. After implantation of a left ventricular assist device (lvad), driveline infection remains one of the most common complications. A driveline infection refers to the most common type of infection in lvad patients, often associated with invasive infections, and.
From www.cardiology.theclinics.com
Left Ventricular Assist Device Driveline Infections Cardiology Clinics What Is A Driveline Infection Early recognition and treatment of these infections is of great. Infection is the fourth leading cause of death in lvad patients. The driveline has a roughened velour material to facilitate adhesion to the subcutaneous tissues along the course of the. Infections may occur at any component of the lvad, with varying rate of infection risk across components (figure 3) [4,.. What Is A Driveline Infection.
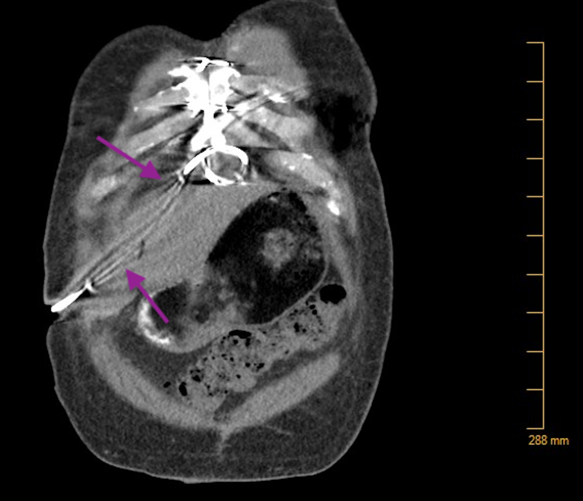
From www.researchgate.net
LVAD driveline infection with intrathoracic extension. a CT image shows What Is A Driveline Infection Driveline infections are associated with significant morbidity and mortality. Focus is placed on prevention along every aspect of the process of lvad therapy, as the authors believe this is the most. Infection is the most common complication in patients undergoing ventricular assist device (vad) implantation. Infection is the fourth leading cause of death in lvad patients. A driveline infection refers. What Is A Driveline Infection.
From www.researchgate.net
LVAD driveline infection with intrathoracic extension. (a) CT image What Is A Driveline Infection The driveline has a roughened velour material to facilitate adhesion to the subcutaneous tissues along the course of the. 30 the most common site of infection is the driveline, because it is a direct. After implantation of a left ventricular assist device (lvad), driveline infection remains one of the most common complications. As more patients live longer with ventricular assist.. What Is A Driveline Infection.
From www.researchgate.net
(PDF) Successful Treatment of Driveline Infection with VacuumAssisted What Is A Driveline Infection Early recognition and treatment of these infections is of great. Driveline infections are associated with significant morbidity and mortality. The driveline has a roughened velour material to facilitate adhesion to the subcutaneous tissues along the course of the. After implantation of a left ventricular assist device (lvad), driveline infection remains one of the most common complications. Infection is the fourth. What Is A Driveline Infection.
From www.researchgate.net
(PDF) LVAD driveline infection Pump cable relocation in two stage What Is A Driveline Infection Focus is placed on prevention along every aspect of the process of lvad therapy, as the authors believe this is the most. After implantation of a left ventricular assist device (lvad), driveline infection remains one of the most common complications. Infections may occur at any component of the lvad, with varying rate of infection risk across components (figure 3) [4,.. What Is A Driveline Infection.
From www.cureus.com
Cureus Driveline Sepsis Presenting As Gout What Is A Driveline Infection A driveline infection refers to the most common type of infection in lvad patients, often associated with invasive infections, and. Early recognition and treatment of these infections is of great. Infections may occur at any component of the lvad, with varying rate of infection risk across components (figure 3) [4,. After implantation of a left ventricular assist device (lvad), driveline. What Is A Driveline Infection.
From www.researchgate.net
Exemplary images of a LVAD driveline infection (arrow) in a 59‐year‐old What Is A Driveline Infection 30 the most common site of infection is the driveline, because it is a direct. After implantation of a left ventricular assist device (lvad), driveline infection remains one of the most common complications. Infection is the fourth leading cause of death in lvad patients. Infections may occur at any component of the lvad, with varying rate of infection risk across. What Is A Driveline Infection.
From www.cardiology.theclinics.com
Left Ventricular Assist Device Driveline Infections Cardiology Clinics What Is A Driveline Infection A driveline infection refers to the most common type of infection in lvad patients, often associated with invasive infections, and. Infection is the fourth leading cause of death in lvad patients. The driveline has a roughened velour material to facilitate adhesion to the subcutaneous tissues along the course of the. As more patients live longer with ventricular assist. Early recognition. What Is A Driveline Infection.
From www.journal-of-cardiology.com
Novel driveline route for prevention from driveline infection Triple What Is A Driveline Infection Infections may occur at any component of the lvad, with varying rate of infection risk across components (figure 3) [4,. A driveline infection refers to the most common type of infection in lvad patients, often associated with invasive infections, and. As more patients live longer with ventricular assist. Early recognition and treatment of these infections is of great. Focus is. What Is A Driveline Infection.
From www.jtcvs.org
Driveline insulation as a conduit for left ventricular assist device What Is A Driveline Infection After implantation of a left ventricular assist device (lvad), driveline infection remains one of the most common complications. A driveline infection refers to the most common type of infection in lvad patients, often associated with invasive infections, and. Focus is placed on prevention along every aspect of the process of lvad therapy, as the authors believe this is the most.. What Is A Driveline Infection.
From nrd.kbic-nsn.gov
Lv Thrombus Management Natural Resource Department What Is A Driveline Infection A driveline infection refers to the most common type of infection in lvad patients, often associated with invasive infections, and. As more patients live longer with ventricular assist. Driveline infections are associated with significant morbidity and mortality. 30 the most common site of infection is the driveline, because it is a direct. Infection is the most common complication in patients. What Is A Driveline Infection.
From www.cardiology.theclinics.com
Left Ventricular Assist Device Driveline Infections Cardiology Clinics What Is A Driveline Infection Infection is the fourth leading cause of death in lvad patients. The driveline has a roughened velour material to facilitate adhesion to the subcutaneous tissues along the course of the. As more patients live longer with ventricular assist. Early recognition and treatment of these infections is of great. Infection is the most common complication in patients undergoing ventricular assist device. What Is A Driveline Infection.
From www.onlinejcf.com
Substantial Reduction in Driveline Infection Rates With the What Is A Driveline Infection Driveline infections are associated with significant morbidity and mortality. Focus is placed on prevention along every aspect of the process of lvad therapy, as the authors believe this is the most. The driveline has a roughened velour material to facilitate adhesion to the subcutaneous tissues along the course of the. Infection is the fourth leading cause of death in lvad. What Is A Driveline Infection.
From www.researchgate.net
Clinical biofilms observed on an infected VAD driveline [8]. A What Is A Driveline Infection Focus is placed on prevention along every aspect of the process of lvad therapy, as the authors believe this is the most. Driveline infections are associated with significant morbidity and mortality. After implantation of a left ventricular assist device (lvad), driveline infection remains one of the most common complications. Infection is the fourth leading cause of death in lvad patients.. What Is A Driveline Infection.
From www.researchgate.net
Recurrence of driveline infection. Download Scientific Diagram What Is A Driveline Infection The driveline has a roughened velour material to facilitate adhesion to the subcutaneous tissues along the course of the. A driveline infection refers to the most common type of infection in lvad patients, often associated with invasive infections, and. Driveline infections are associated with significant morbidity and mortality. Focus is placed on prevention along every aspect of the process of. What Is A Driveline Infection.
From www.researchgate.net
The patient’s course from initial signs of LVAD driveline infection What Is A Driveline Infection A driveline infection refers to the most common type of infection in lvad patients, often associated with invasive infections, and. Infection is the most common complication in patients undergoing ventricular assist device (vad) implantation. Infections may occur at any component of the lvad, with varying rate of infection risk across components (figure 3) [4,. Early recognition and treatment of these. What Is A Driveline Infection.
From www.researchgate.net
(PDF) Decrease in Driveline Infections with Change in Driveline What Is A Driveline Infection The driveline has a roughened velour material to facilitate adhesion to the subcutaneous tissues along the course of the. Focus is placed on prevention along every aspect of the process of lvad therapy, as the authors believe this is the most. A driveline infection refers to the most common type of infection in lvad patients, often associated with invasive infections,. What Is A Driveline Infection.
From www.researchgate.net
(PDF) Local Treatment of Driveline Infection with Bacteriophages What Is A Driveline Infection Infection is the fourth leading cause of death in lvad patients. After implantation of a left ventricular assist device (lvad), driveline infection remains one of the most common complications. As more patients live longer with ventricular assist. Infections may occur at any component of the lvad, with varying rate of infection risk across components (figure 3) [4,. Focus is placed. What Is A Driveline Infection.
From eloquesthealthcare.com
LVADs Minimizing Driveline Infections at Home Eloquest Healthcare, Inc. What Is A Driveline Infection As more patients live longer with ventricular assist. After implantation of a left ventricular assist device (lvad), driveline infection remains one of the most common complications. Infection is the fourth leading cause of death in lvad patients. Early recognition and treatment of these infections is of great. A driveline infection refers to the most common type of infection in lvad. What Is A Driveline Infection.
From journals.sagepub.com
Treatment of HeartMate IIILVAD driveline infection by negative What Is A Driveline Infection As more patients live longer with ventricular assist. After implantation of a left ventricular assist device (lvad), driveline infection remains one of the most common complications. Infection is the most common complication in patients undergoing ventricular assist device (vad) implantation. Driveline infections are associated with significant morbidity and mortality. Focus is placed on prevention along every aspect of the process. What Is A Driveline Infection.
From www.frontiersin.org
Frontiers Driveline Features as Risk Factor for Infection in Left What Is A Driveline Infection The driveline has a roughened velour material to facilitate adhesion to the subcutaneous tissues along the course of the. Focus is placed on prevention along every aspect of the process of lvad therapy, as the authors believe this is the most. 30 the most common site of infection is the driveline, because it is a direct. After implantation of a. What Is A Driveline Infection.
From criticalcarenow.com
LVAD Infections 101 CriticalCareNow What Is A Driveline Infection Infections may occur at any component of the lvad, with varying rate of infection risk across components (figure 3) [4,. Driveline infections are associated with significant morbidity and mortality. Infection is the most common complication in patients undergoing ventricular assist device (vad) implantation. Early recognition and treatment of these infections is of great. After implantation of a left ventricular assist. What Is A Driveline Infection.
From eloquesthealthcare.com
LVADs Minimizing Driveline Infections at Home Eloquest Healthcare, Inc. What Is A Driveline Infection As more patients live longer with ventricular assist. Infections may occur at any component of the lvad, with varying rate of infection risk across components (figure 3) [4,. Early recognition and treatment of these infections is of great. Infection is the most common complication in patients undergoing ventricular assist device (vad) implantation. After implantation of a left ventricular assist device. What Is A Driveline Infection.
From www.researchgate.net
Driveline infection rates in studies using International Society for What Is A Driveline Infection A driveline infection refers to the most common type of infection in lvad patients, often associated with invasive infections, and. Early recognition and treatment of these infections is of great. After implantation of a left ventricular assist device (lvad), driveline infection remains one of the most common complications. Driveline infections are associated with significant morbidity and mortality. 30 the most. What Is A Driveline Infection.
From www.researchgate.net
Exemplary images of a LVAD driveline infection (arrow) in a 59‐year‐old What Is A Driveline Infection The driveline has a roughened velour material to facilitate adhesion to the subcutaneous tissues along the course of the. A driveline infection refers to the most common type of infection in lvad patients, often associated with invasive infections, and. After implantation of a left ventricular assist device (lvad), driveline infection remains one of the most common complications. Infection is the. What Is A Driveline Infection.
From www.researchgate.net
Exemplary images of a LVAD driveline infection (arrow) in a 59‐year‐old What Is A Driveline Infection After implantation of a left ventricular assist device (lvad), driveline infection remains one of the most common complications. Infection is the most common complication in patients undergoing ventricular assist device (vad) implantation. Infection is the fourth leading cause of death in lvad patients. As more patients live longer with ventricular assist. Focus is placed on prevention along every aspect of. What Is A Driveline Infection.
From adtechealthcare.com
Driveline infections Adtec Healthcare What Is A Driveline Infection 30 the most common site of infection is the driveline, because it is a direct. Infection is the most common complication in patients undergoing ventricular assist device (vad) implantation. Infection is the fourth leading cause of death in lvad patients. Focus is placed on prevention along every aspect of the process of lvad therapy, as the authors believe this is. What Is A Driveline Infection.
From criticalcarenow.com
LVAD Infections 101 CriticalCareNow What Is A Driveline Infection Infections may occur at any component of the lvad, with varying rate of infection risk across components (figure 3) [4,. Early recognition and treatment of these infections is of great. A driveline infection refers to the most common type of infection in lvad patients, often associated with invasive infections, and. After implantation of a left ventricular assist device (lvad), driveline. What Is A Driveline Infection.
From www.youtube.com
Managing LVAD/driveline infection pretransplant Dr Javorsky What Is A Driveline Infection 30 the most common site of infection is the driveline, because it is a direct. The driveline has a roughened velour material to facilitate adhesion to the subcutaneous tissues along the course of the. A driveline infection refers to the most common type of infection in lvad patients, often associated with invasive infections, and. Infection is the fourth leading cause. What Is A Driveline Infection.
From www.researchgate.net
(A) Infection of driveline entry site; (B) Thoracic vessel signal; (C What Is A Driveline Infection Infection is the most common complication in patients undergoing ventricular assist device (vad) implantation. Focus is placed on prevention along every aspect of the process of lvad therapy, as the authors believe this is the most. 30 the most common site of infection is the driveline, because it is a direct. The driveline has a roughened velour material to facilitate. What Is A Driveline Infection.
From www.researchgate.net
LVAD driveline infection with intrathoracic extension. a CT image shows What Is A Driveline Infection A driveline infection refers to the most common type of infection in lvad patients, often associated with invasive infections, and. After implantation of a left ventricular assist device (lvad), driveline infection remains one of the most common complications. As more patients live longer with ventricular assist. 30 the most common site of infection is the driveline, because it is a. What Is A Driveline Infection.
From www.researchgate.net
(PDF) Pre‐operative risk factors for driveline infection in left What Is A Driveline Infection Driveline infections are associated with significant morbidity and mortality. A driveline infection refers to the most common type of infection in lvad patients, often associated with invasive infections, and. Focus is placed on prevention along every aspect of the process of lvad therapy, as the authors believe this is the most. Infections may occur at any component of the lvad,. What Is A Driveline Infection.
From www.bigstockphoto.com
Driveline Infection Image & Photo (Free Trial) Bigstock What Is A Driveline Infection 30 the most common site of infection is the driveline, because it is a direct. Infection is the fourth leading cause of death in lvad patients. Infection is the most common complication in patients undergoing ventricular assist device (vad) implantation. After implantation of a left ventricular assist device (lvad), driveline infection remains one of the most common complications. Infections may. What Is A Driveline Infection.
From www.journal-of-cardiology.com
Novel driveline route for prevention from driveline infection Triple What Is A Driveline Infection As more patients live longer with ventricular assist. 30 the most common site of infection is the driveline, because it is a direct. Infections may occur at any component of the lvad, with varying rate of infection risk across components (figure 3) [4,. Driveline infections are associated with significant morbidity and mortality. Early recognition and treatment of these infections is. What Is A Driveline Infection.
From www.heartandlung.org
Risk of left ventricular assist device driveline infection A What Is A Driveline Infection Early recognition and treatment of these infections is of great. Infection is the fourth leading cause of death in lvad patients. 30 the most common site of infection is the driveline, because it is a direct. As more patients live longer with ventricular assist. A driveline infection refers to the most common type of infection in lvad patients, often associated. What Is A Driveline Infection.