From www.wikidoc.org
Amoebic liver abscess CT wikidoc Liver Abscess Wiki Associated with biliary tract obstruction (most common), cholangitis, diverticulitis, pancreatic abscess, appendicitis and inflammatory bowel disease. Pyogenic liver abscesses usually develops in the context of biliary disease, portal pyemia of various causes, through arterial. Liver abscess is a localized infection in the liver parenchyma that may be bacterial, fungal, or parasitic in origin. Liver Abscess Wiki.
From www.soard.org
Liver abscess following surgical removal of an eroded adjustable Liver Abscess Wiki Pyogenic liver abscesses usually develops in the context of biliary disease, portal pyemia of various causes, through arterial. Associated with biliary tract obstruction (most common), cholangitis, diverticulitis, pancreatic abscess, appendicitis and inflammatory bowel disease. Liver abscess is a localized infection in the liver parenchyma that may be bacterial, fungal, or parasitic in origin. Liver Abscess Wiki.
From www.slideserve.com
PPT LIVER ABSCESS PowerPoint Presentation ID1899096 Liver Abscess Wiki Liver abscess is a localized infection in the liver parenchyma that may be bacterial, fungal, or parasitic in origin. Pyogenic liver abscesses usually develops in the context of biliary disease, portal pyemia of various causes, through arterial. Associated with biliary tract obstruction (most common), cholangitis, diverticulitis, pancreatic abscess, appendicitis and inflammatory bowel disease. Liver Abscess Wiki.
From www.cureus.com
Cureus Liver Abscesses as a Sign of Chronic Granulomatous Disease in Liver Abscess Wiki Liver abscess is a localized infection in the liver parenchyma that may be bacterial, fungal, or parasitic in origin. Associated with biliary tract obstruction (most common), cholangitis, diverticulitis, pancreatic abscess, appendicitis and inflammatory bowel disease. Pyogenic liver abscesses usually develops in the context of biliary disease, portal pyemia of various causes, through arterial. Liver Abscess Wiki.
From www.slideserve.com
PPT LIVER ABSCESS PowerPoint Presentation, free download ID6682952 Liver Abscess Wiki Liver abscess is a localized infection in the liver parenchyma that may be bacterial, fungal, or parasitic in origin. Pyogenic liver abscesses usually develops in the context of biliary disease, portal pyemia of various causes, through arterial. Associated with biliary tract obstruction (most common), cholangitis, diverticulitis, pancreatic abscess, appendicitis and inflammatory bowel disease. Liver Abscess Wiki.
From www.slideserve.com
PPT LIVER ABSCESS PowerPoint Presentation, free download ID1899096 Liver Abscess Wiki Associated with biliary tract obstruction (most common), cholangitis, diverticulitis, pancreatic abscess, appendicitis and inflammatory bowel disease. Liver abscess is a localized infection in the liver parenchyma that may be bacterial, fungal, or parasitic in origin. Pyogenic liver abscesses usually develops in the context of biliary disease, portal pyemia of various causes, through arterial. Liver Abscess Wiki.
From www.lybrate.com
Pyogenic Liver Abscess Causes, Symptoms, Treatment and Cost Liver Abscess Wiki Associated with biliary tract obstruction (most common), cholangitis, diverticulitis, pancreatic abscess, appendicitis and inflammatory bowel disease. Liver abscess is a localized infection in the liver parenchyma that may be bacterial, fungal, or parasitic in origin. Pyogenic liver abscesses usually develops in the context of biliary disease, portal pyemia of various causes, through arterial. Liver Abscess Wiki.
From www.slideshare.net
Liver abscess Liver Abscess Wiki Pyogenic liver abscesses usually develops in the context of biliary disease, portal pyemia of various causes, through arterial. Liver abscess is a localized infection in the liver parenchyma that may be bacterial, fungal, or parasitic in origin. Associated with biliary tract obstruction (most common), cholangitis, diverticulitis, pancreatic abscess, appendicitis and inflammatory bowel disease. Liver Abscess Wiki.
From mungfali.com
Liver Abscess Radiology Liver Abscess Wiki Associated with biliary tract obstruction (most common), cholangitis, diverticulitis, pancreatic abscess, appendicitis and inflammatory bowel disease. Pyogenic liver abscesses usually develops in the context of biliary disease, portal pyemia of various causes, through arterial. Liver abscess is a localized infection in the liver parenchyma that may be bacterial, fungal, or parasitic in origin. Liver Abscess Wiki.
From mindthegraph.com
Liver abscess Liver Abscess Wiki Liver abscess is a localized infection in the liver parenchyma that may be bacterial, fungal, or parasitic in origin. Pyogenic liver abscesses usually develops in the context of biliary disease, portal pyemia of various causes, through arterial. Associated with biliary tract obstruction (most common), cholangitis, diverticulitis, pancreatic abscess, appendicitis and inflammatory bowel disease. Liver Abscess Wiki.
From www.dreamstime.com
Liver Abscess. Human Internal Organ Tissue Inflammation and Pus Liver Abscess Wiki Associated with biliary tract obstruction (most common), cholangitis, diverticulitis, pancreatic abscess, appendicitis and inflammatory bowel disease. Liver abscess is a localized infection in the liver parenchyma that may be bacterial, fungal, or parasitic in origin. Pyogenic liver abscesses usually develops in the context of biliary disease, portal pyemia of various causes, through arterial. Liver Abscess Wiki.
From www.medicinekeys.com
Liver abscess Medicine Keys for MRCPs Liver Abscess Wiki Liver abscess is a localized infection in the liver parenchyma that may be bacterial, fungal, or parasitic in origin. Associated with biliary tract obstruction (most common), cholangitis, diverticulitis, pancreatic abscess, appendicitis and inflammatory bowel disease. Pyogenic liver abscesses usually develops in the context of biliary disease, portal pyemia of various causes, through arterial. Liver Abscess Wiki.
From healthjade.net
Liver abscess causes, symptoms, diagnosis, treatment & prognosis Liver Abscess Wiki Associated with biliary tract obstruction (most common), cholangitis, diverticulitis, pancreatic abscess, appendicitis and inflammatory bowel disease. Liver abscess is a localized infection in the liver parenchyma that may be bacterial, fungal, or parasitic in origin. Pyogenic liver abscesses usually develops in the context of biliary disease, portal pyemia of various causes, through arterial. Liver Abscess Wiki.
From www.slideserve.com
PPT Biliary Tree Infection, Liver Abscess and Hepatitis A PowerPoint Liver Abscess Wiki Associated with biliary tract obstruction (most common), cholangitis, diverticulitis, pancreatic abscess, appendicitis and inflammatory bowel disease. Pyogenic liver abscesses usually develops in the context of biliary disease, portal pyemia of various causes, through arterial. Liver abscess is a localized infection in the liver parenchyma that may be bacterial, fungal, or parasitic in origin. Liver Abscess Wiki.
From www.researchgate.net
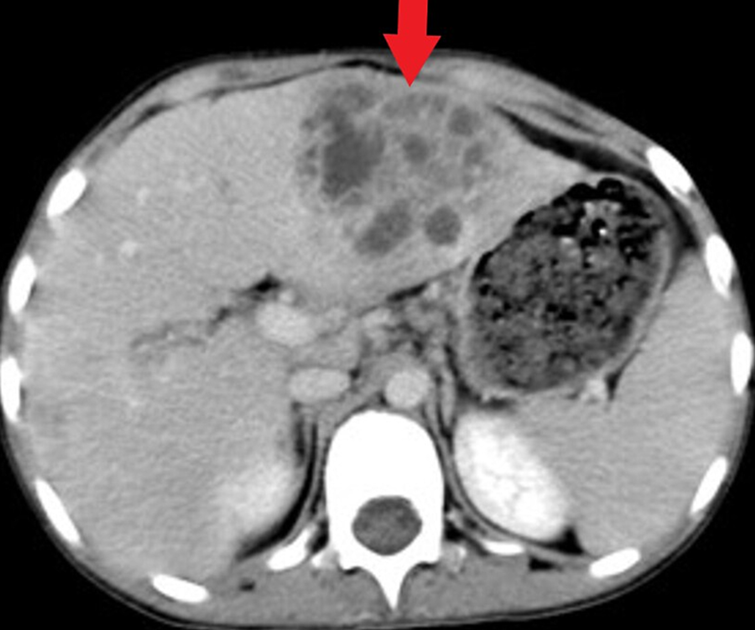
Liver abscess aspect on admission to hospital. Transverse abdominal CT Liver Abscess Wiki Pyogenic liver abscesses usually develops in the context of biliary disease, portal pyemia of various causes, through arterial. Liver abscess is a localized infection in the liver parenchyma that may be bacterial, fungal, or parasitic in origin. Associated with biliary tract obstruction (most common), cholangitis, diverticulitis, pancreatic abscess, appendicitis and inflammatory bowel disease. Liver Abscess Wiki.
From www.youtube.com
Liver Abscess Radiology Radiology Liver Surgery YouTube Liver Abscess Wiki Liver abscess is a localized infection in the liver parenchyma that may be bacterial, fungal, or parasitic in origin. Pyogenic liver abscesses usually develops in the context of biliary disease, portal pyemia of various causes, through arterial. Associated with biliary tract obstruction (most common), cholangitis, diverticulitis, pancreatic abscess, appendicitis and inflammatory bowel disease. Liver Abscess Wiki.
From www.youtube.com
Case of the Week Amebic Liver Abscess (Ultrasound & CT) YouTube Liver Abscess Wiki Associated with biliary tract obstruction (most common), cholangitis, diverticulitis, pancreatic abscess, appendicitis and inflammatory bowel disease. Pyogenic liver abscesses usually develops in the context of biliary disease, portal pyemia of various causes, through arterial. Liver abscess is a localized infection in the liver parenchyma that may be bacterial, fungal, or parasitic in origin. Liver Abscess Wiki.
From pixels.com
Liver Abscess Photograph by Nigel Downer/science Photo Library Pixels Liver Abscess Wiki Liver abscess is a localized infection in the liver parenchyma that may be bacterial, fungal, or parasitic in origin. Associated with biliary tract obstruction (most common), cholangitis, diverticulitis, pancreatic abscess, appendicitis and inflammatory bowel disease. Pyogenic liver abscesses usually develops in the context of biliary disease, portal pyemia of various causes, through arterial. Liver Abscess Wiki.
From www.studypool.com
SOLUTION Liver abscess Studypool Liver Abscess Wiki Pyogenic liver abscesses usually develops in the context of biliary disease, portal pyemia of various causes, through arterial. Associated with biliary tract obstruction (most common), cholangitis, diverticulitis, pancreatic abscess, appendicitis and inflammatory bowel disease. Liver abscess is a localized infection in the liver parenchyma that may be bacterial, fungal, or parasitic in origin. Liver Abscess Wiki.
From www.pinterest.com
Liver Abscess Liver, Gallbladder, Gastrointestinal Liver Abscess Wiki Liver abscess is a localized infection in the liver parenchyma that may be bacterial, fungal, or parasitic in origin. Pyogenic liver abscesses usually develops in the context of biliary disease, portal pyemia of various causes, through arterial. Associated with biliary tract obstruction (most common), cholangitis, diverticulitis, pancreatic abscess, appendicitis and inflammatory bowel disease. Liver Abscess Wiki.
From www.wikidoc.org
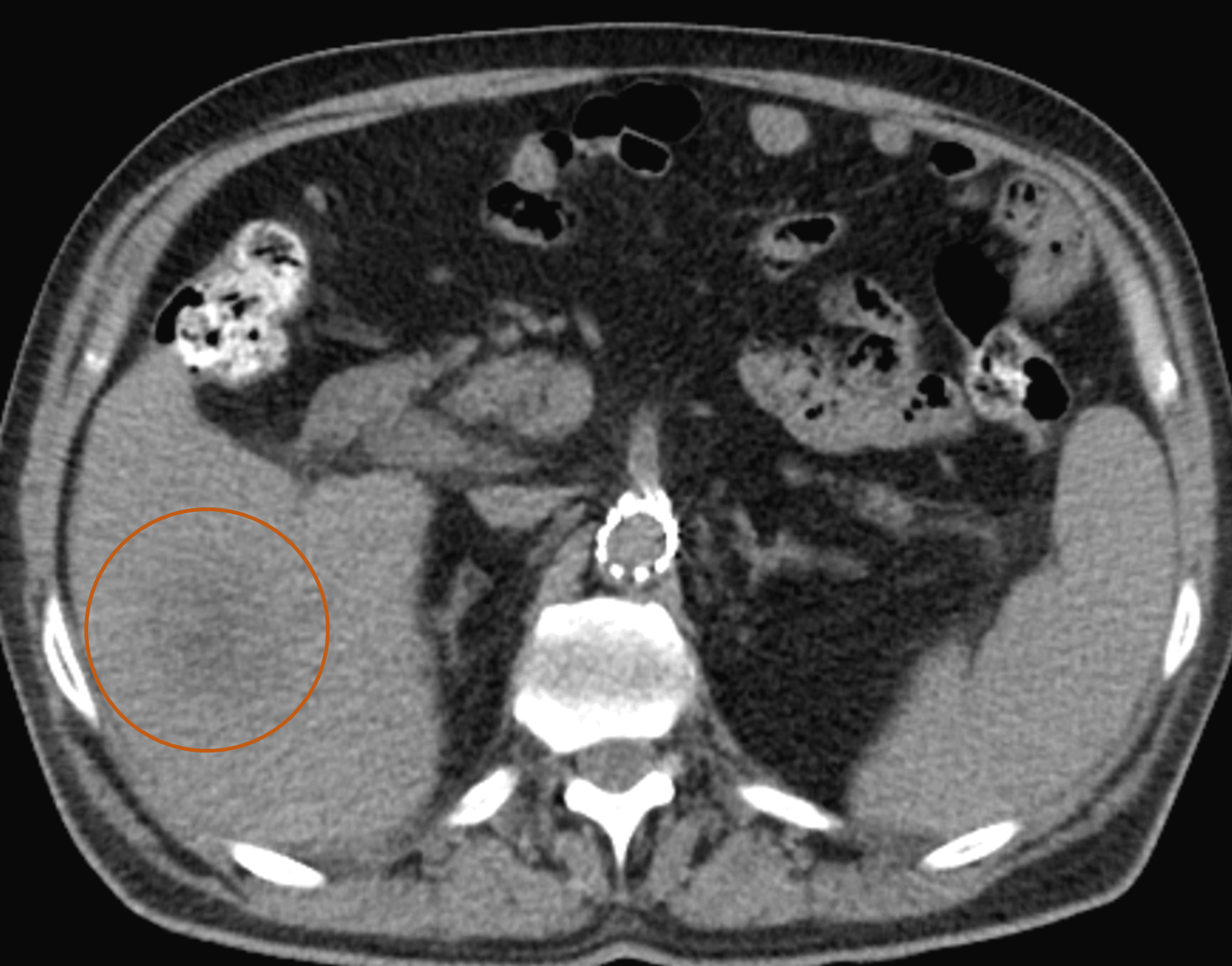
Pyogenic liver abscess CT wikidoc Liver Abscess Wiki Pyogenic liver abscesses usually develops in the context of biliary disease, portal pyemia of various causes, through arterial. Liver abscess is a localized infection in the liver parenchyma that may be bacterial, fungal, or parasitic in origin. Associated with biliary tract obstruction (most common), cholangitis, diverticulitis, pancreatic abscess, appendicitis and inflammatory bowel disease. Liver Abscess Wiki.
From www.slideshare.net
Management of liver abscess Liver Abscess Wiki Liver abscess is a localized infection in the liver parenchyma that may be bacterial, fungal, or parasitic in origin. Pyogenic liver abscesses usually develops in the context of biliary disease, portal pyemia of various causes, through arterial. Associated with biliary tract obstruction (most common), cholangitis, diverticulitis, pancreatic abscess, appendicitis and inflammatory bowel disease. Liver Abscess Wiki.
From mavink.com
Liver Abscess Radiopaedia Liver Abscess Wiki Pyogenic liver abscesses usually develops in the context of biliary disease, portal pyemia of various causes, through arterial. Associated with biliary tract obstruction (most common), cholangitis, diverticulitis, pancreatic abscess, appendicitis and inflammatory bowel disease. Liver abscess is a localized infection in the liver parenchyma that may be bacterial, fungal, or parasitic in origin. Liver Abscess Wiki.
From radiopaedia.org
Hepatic abscess Image Liver Abscess Wiki Associated with biliary tract obstruction (most common), cholangitis, diverticulitis, pancreatic abscess, appendicitis and inflammatory bowel disease. Liver abscess is a localized infection in the liver parenchyma that may be bacterial, fungal, or parasitic in origin. Pyogenic liver abscesses usually develops in the context of biliary disease, portal pyemia of various causes, through arterial. Liver Abscess Wiki.
From healthjade.net
Liver abscess causes, symptoms, diagnosis, treatment & prognosis Liver Abscess Wiki Pyogenic liver abscesses usually develops in the context of biliary disease, portal pyemia of various causes, through arterial. Liver abscess is a localized infection in the liver parenchyma that may be bacterial, fungal, or parasitic in origin. Associated with biliary tract obstruction (most common), cholangitis, diverticulitis, pancreatic abscess, appendicitis and inflammatory bowel disease. Liver Abscess Wiki.
From drdineshreddy.com
Liver Abscess Liver Abscess Wiki Pyogenic liver abscesses usually develops in the context of biliary disease, portal pyemia of various causes, through arterial. Associated with biliary tract obstruction (most common), cholangitis, diverticulitis, pancreatic abscess, appendicitis and inflammatory bowel disease. Liver abscess is a localized infection in the liver parenchyma that may be bacterial, fungal, or parasitic in origin. Liver Abscess Wiki.
From www.slideshare.net
Liver abscess Liver Abscess Wiki Associated with biliary tract obstruction (most common), cholangitis, diverticulitis, pancreatic abscess, appendicitis and inflammatory bowel disease. Pyogenic liver abscesses usually develops in the context of biliary disease, portal pyemia of various causes, through arterial. Liver abscess is a localized infection in the liver parenchyma that may be bacterial, fungal, or parasitic in origin. Liver Abscess Wiki.
From www.youtube.com
Liver abscess YouTube Liver Abscess Wiki Associated with biliary tract obstruction (most common), cholangitis, diverticulitis, pancreatic abscess, appendicitis and inflammatory bowel disease. Pyogenic liver abscesses usually develops in the context of biliary disease, portal pyemia of various causes, through arterial. Liver abscess is a localized infection in the liver parenchyma that may be bacterial, fungal, or parasitic in origin. Liver Abscess Wiki.
From www.cureus.com
Recurrent Liver Abscess in a Nontoxic Patient Cureus Liver Abscess Wiki Associated with biliary tract obstruction (most common), cholangitis, diverticulitis, pancreatic abscess, appendicitis and inflammatory bowel disease. Liver abscess is a localized infection in the liver parenchyma that may be bacterial, fungal, or parasitic in origin. Pyogenic liver abscesses usually develops in the context of biliary disease, portal pyemia of various causes, through arterial. Liver Abscess Wiki.
From mavink.com
Liver Abscess Pathophysiology Liver Abscess Wiki Pyogenic liver abscesses usually develops in the context of biliary disease, portal pyemia of various causes, through arterial. Liver abscess is a localized infection in the liver parenchyma that may be bacterial, fungal, or parasitic in origin. Associated with biliary tract obstruction (most common), cholangitis, diverticulitis, pancreatic abscess, appendicitis and inflammatory bowel disease. Liver Abscess Wiki.
From www.medicinekeys.com
Liver abscess Medicine Keys for MRCPs Liver Abscess Wiki Associated with biliary tract obstruction (most common), cholangitis, diverticulitis, pancreatic abscess, appendicitis and inflammatory bowel disease. Pyogenic liver abscesses usually develops in the context of biliary disease, portal pyemia of various causes, through arterial. Liver abscess is a localized infection in the liver parenchyma that may be bacterial, fungal, or parasitic in origin. Liver Abscess Wiki.
From mavink.com
Liver Abscess Radiopaedia Liver Abscess Wiki Liver abscess is a localized infection in the liver parenchyma that may be bacterial, fungal, or parasitic in origin. Associated with biliary tract obstruction (most common), cholangitis, diverticulitis, pancreatic abscess, appendicitis and inflammatory bowel disease. Pyogenic liver abscesses usually develops in the context of biliary disease, portal pyemia of various causes, through arterial. Liver Abscess Wiki.
From teachmesurgery.com
Liver Abscess TeachMeSurgery Liver Abscess Wiki Associated with biliary tract obstruction (most common), cholangitis, diverticulitis, pancreatic abscess, appendicitis and inflammatory bowel disease. Pyogenic liver abscesses usually develops in the context of biliary disease, portal pyemia of various causes, through arterial. Liver abscess is a localized infection in the liver parenchyma that may be bacterial, fungal, or parasitic in origin. Liver Abscess Wiki.
From www.wikidoc.org
Pyogenic liver abscess ultrasound wikidoc Liver Abscess Wiki Liver abscess is a localized infection in the liver parenchyma that may be bacterial, fungal, or parasitic in origin. Pyogenic liver abscesses usually develops in the context of biliary disease, portal pyemia of various causes, through arterial. Associated with biliary tract obstruction (most common), cholangitis, diverticulitis, pancreatic abscess, appendicitis and inflammatory bowel disease. Liver Abscess Wiki.
From www.cureus.com
Multiple Hepatic Abscesses Secondary to Streptococcus anginosus Liver Abscess Wiki Associated with biliary tract obstruction (most common), cholangitis, diverticulitis, pancreatic abscess, appendicitis and inflammatory bowel disease. Liver abscess is a localized infection in the liver parenchyma that may be bacterial, fungal, or parasitic in origin. Pyogenic liver abscesses usually develops in the context of biliary disease, portal pyemia of various causes, through arterial. Liver Abscess Wiki.