Is Filling Good For Teeth . Various materials are used to create dental fillings,. Fillings are also used to repair cracked or broken teeth and teeth that have been worn down from misuse (such as from nail. There are five types of materials commonly used to fill in space where a cavity has been removed. Fillings are commonly used to treat cavities and small fractures in teeth, restoring their integrity and allowing normal chewing and speaking. You may not always have a choice in the type of filling you need, but it's. Having a cavity filled may cause some discomfort, but it should not cause pain. Do you need a tooth filling, or are you putting off getting one because you're nervous about it? Nobody loves visiting the dentist, but fillings are a very common restorative. Anyone who experiences moderate or severe pain during or after the.
from www.lighthousedentalcentre.com
There are five types of materials commonly used to fill in space where a cavity has been removed. You may not always have a choice in the type of filling you need, but it's. Fillings are commonly used to treat cavities and small fractures in teeth, restoring their integrity and allowing normal chewing and speaking. Having a cavity filled may cause some discomfort, but it should not cause pain. Various materials are used to create dental fillings,. Do you need a tooth filling, or are you putting off getting one because you're nervous about it? Fillings are also used to repair cracked or broken teeth and teeth that have been worn down from misuse (such as from nail. Anyone who experiences moderate or severe pain during or after the. Nobody loves visiting the dentist, but fillings are a very common restorative.
How Long Does A Temporary Filling Last?
Is Filling Good For Teeth Fillings are also used to repair cracked or broken teeth and teeth that have been worn down from misuse (such as from nail. There are five types of materials commonly used to fill in space where a cavity has been removed. Having a cavity filled may cause some discomfort, but it should not cause pain. Do you need a tooth filling, or are you putting off getting one because you're nervous about it? You may not always have a choice in the type of filling you need, but it's. Anyone who experiences moderate or severe pain during or after the. Fillings are commonly used to treat cavities and small fractures in teeth, restoring their integrity and allowing normal chewing and speaking. Various materials are used to create dental fillings,. Nobody loves visiting the dentist, but fillings are a very common restorative. Fillings are also used to repair cracked or broken teeth and teeth that have been worn down from misuse (such as from nail.
From southfallsburgdental.com
What Type of Tooth Fillings Are Best? Family Dentist and Denture Lab Is Filling Good For Teeth Anyone who experiences moderate or severe pain during or after the. There are five types of materials commonly used to fill in space where a cavity has been removed. Fillings are also used to repair cracked or broken teeth and teeth that have been worn down from misuse (such as from nail. You may not always have a choice in. Is Filling Good For Teeth.
From www.desertcart.ae
Buy Life care Tooth Filling Repair Kit Temporary Tooth Filling Enough Is Filling Good For Teeth Various materials are used to create dental fillings,. Anyone who experiences moderate or severe pain during or after the. Nobody loves visiting the dentist, but fillings are a very common restorative. There are five types of materials commonly used to fill in space where a cavity has been removed. Fillings are commonly used to treat cavities and small fractures in. Is Filling Good For Teeth.
From www.katoomba.co.uk
Tooth Coloured Fillings Dentists in Horley, Gatwick, Crawley & Redhill Is Filling Good For Teeth Various materials are used to create dental fillings,. Do you need a tooth filling, or are you putting off getting one because you're nervous about it? Having a cavity filled may cause some discomfort, but it should not cause pain. You may not always have a choice in the type of filling you need, but it's. Anyone who experiences moderate. Is Filling Good For Teeth.
From syossetdentalcare.com
Why You Can Look Forward to Your Tooth Filling Syosset, NY Is Filling Good For Teeth Various materials are used to create dental fillings,. Fillings are commonly used to treat cavities and small fractures in teeth, restoring their integrity and allowing normal chewing and speaking. Nobody loves visiting the dentist, but fillings are a very common restorative. Anyone who experiences moderate or severe pain during or after the. There are five types of materials commonly used. Is Filling Good For Teeth.
From prestigedentalcare.blogspot.com
Prestige Dental Care June 2010 Is Filling Good For Teeth You may not always have a choice in the type of filling you need, but it's. Fillings are commonly used to treat cavities and small fractures in teeth, restoring their integrity and allowing normal chewing and speaking. Having a cavity filled may cause some discomfort, but it should not cause pain. Do you need a tooth filling, or are you. Is Filling Good For Teeth.
From coisascoisinhascoisadasxd.blogspot.com
Diy Tooth Filling Kit Reviews DIY High Strength Permanent Tooth White Is Filling Good For Teeth Nobody loves visiting the dentist, but fillings are a very common restorative. Anyone who experiences moderate or severe pain during or after the. There are five types of materials commonly used to fill in space where a cavity has been removed. Do you need a tooth filling, or are you putting off getting one because you're nervous about it? Fillings. Is Filling Good For Teeth.
From www.medanta.org
Types of Tooth Filling and Process Which Type is Best for You? Medanta Is Filling Good For Teeth Having a cavity filled may cause some discomfort, but it should not cause pain. There are five types of materials commonly used to fill in space where a cavity has been removed. Nobody loves visiting the dentist, but fillings are a very common restorative. Fillings are also used to repair cracked or broken teeth and teeth that have been worn. Is Filling Good For Teeth.
From www.thefacets.com
Teeth Fillings Dental Cavity Treatment Long Term Fillings Is Filling Good For Teeth There are five types of materials commonly used to fill in space where a cavity has been removed. Fillings are also used to repair cracked or broken teeth and teeth that have been worn down from misuse (such as from nail. Fillings are commonly used to treat cavities and small fractures in teeth, restoring their integrity and allowing normal chewing. Is Filling Good For Teeth.
From www.slideserve.com
PPT Is composite filling good for teeth? PowerPoint Presentation Is Filling Good For Teeth You may not always have a choice in the type of filling you need, but it's. Nobody loves visiting the dentist, but fillings are a very common restorative. Do you need a tooth filling, or are you putting off getting one because you're nervous about it? Having a cavity filled may cause some discomfort, but it should not cause pain.. Is Filling Good For Teeth.
From smilestudionc.com
Temporary Tooth Filling May Only Be A Short Term Fix Smile Studio NC Is Filling Good For Teeth There are five types of materials commonly used to fill in space where a cavity has been removed. Anyone who experiences moderate or severe pain during or after the. Nobody loves visiting the dentist, but fillings are a very common restorative. You may not always have a choice in the type of filling you need, but it's. Fillings are commonly. Is Filling Good For Teeth.
From sunshinedental.com.sg
Dental Filling . Sunshine Dental Is Filling Good For Teeth There are five types of materials commonly used to fill in space where a cavity has been removed. Fillings are also used to repair cracked or broken teeth and teeth that have been worn down from misuse (such as from nail. You may not always have a choice in the type of filling you need, but it's. Various materials are. Is Filling Good For Teeth.
From www.lighthousedentalcentre.com
How Long Does A Temporary Filling Last? Is Filling Good For Teeth Anyone who experiences moderate or severe pain during or after the. There are five types of materials commonly used to fill in space where a cavity has been removed. Fillings are also used to repair cracked or broken teeth and teeth that have been worn down from misuse (such as from nail. Various materials are used to create dental fillings,.. Is Filling Good For Teeth.
From www.smiledesignersandiego.com
Dental Fillings San Diego Dentist Smile Designers Point Loma Is Filling Good For Teeth There are five types of materials commonly used to fill in space where a cavity has been removed. Do you need a tooth filling, or are you putting off getting one because you're nervous about it? Fillings are commonly used to treat cavities and small fractures in teeth, restoring their integrity and allowing normal chewing and speaking. Various materials are. Is Filling Good For Teeth.
From ar.inspiredpencil.com
How Do Dentist Fill Cavities Between Teeth Is Filling Good For Teeth Fillings are commonly used to treat cavities and small fractures in teeth, restoring their integrity and allowing normal chewing and speaking. Anyone who experiences moderate or severe pain during or after the. Nobody loves visiting the dentist, but fillings are a very common restorative. Having a cavity filled may cause some discomfort, but it should not cause pain. Do you. Is Filling Good For Teeth.
From centerpointdentalgroup.com
Dental Tooth Filling San Diego Dentist in San Diego Is Filling Good For Teeth Nobody loves visiting the dentist, but fillings are a very common restorative. Anyone who experiences moderate or severe pain during or after the. Fillings are also used to repair cracked or broken teeth and teeth that have been worn down from misuse (such as from nail. You may not always have a choice in the type of filling you need,. Is Filling Good For Teeth.
From dentalcoralsprings.com
Dental Filling Procedure explained Dentist in Coral Springs Is Filling Good For Teeth Nobody loves visiting the dentist, but fillings are a very common restorative. Various materials are used to create dental fillings,. Anyone who experiences moderate or severe pain during or after the. Having a cavity filled may cause some discomfort, but it should not cause pain. Do you need a tooth filling, or are you putting off getting one because you're. Is Filling Good For Teeth.
From www.newyorktotaldental.com
ToothColored Fillings Midtown Manhattan New York Total Dental Is Filling Good For Teeth Nobody loves visiting the dentist, but fillings are a very common restorative. Anyone who experiences moderate or severe pain during or after the. Do you need a tooth filling, or are you putting off getting one because you're nervous about it? Various materials are used to create dental fillings,. Fillings are also used to repair cracked or broken teeth and. Is Filling Good For Teeth.
From www.animalia-life.club
Dental Filling Front Teeth Is Filling Good For Teeth Having a cavity filled may cause some discomfort, but it should not cause pain. There are five types of materials commonly used to fill in space where a cavity has been removed. Various materials are used to create dental fillings,. Anyone who experiences moderate or severe pain during or after the. Fillings are also used to repair cracked or broken. Is Filling Good For Teeth.
From www.sevenoaksdentalcentre.com
Tooth Colored Fillings Seven Oaks Dental Centre Is Filling Good For Teeth Fillings are also used to repair cracked or broken teeth and teeth that have been worn down from misuse (such as from nail. Having a cavity filled may cause some discomfort, but it should not cause pain. Fillings are commonly used to treat cavities and small fractures in teeth, restoring their integrity and allowing normal chewing and speaking. Do you. Is Filling Good For Teeth.
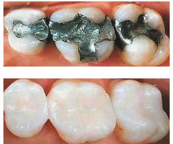
From www.humbledentist.com
Good Versus Bad Fillings Before & After Dental Fillings Is Filling Good For Teeth Fillings are also used to repair cracked or broken teeth and teeth that have been worn down from misuse (such as from nail. There are five types of materials commonly used to fill in space where a cavity has been removed. Having a cavity filled may cause some discomfort, but it should not cause pain. Fillings are commonly used to. Is Filling Good For Teeth.
From bluetoothdental.com.au
Restoratives Tooth Coloured Fillings & Crowns Blue Tooth Is Filling Good For Teeth You may not always have a choice in the type of filling you need, but it's. Having a cavity filled may cause some discomfort, but it should not cause pain. Anyone who experiences moderate or severe pain during or after the. There are five types of materials commonly used to fill in space where a cavity has been removed. Nobody. Is Filling Good For Teeth.
From ar.inspiredpencil.com
Tooth Cavity Filling Before And After Is Filling Good For Teeth Fillings are also used to repair cracked or broken teeth and teeth that have been worn down from misuse (such as from nail. There are five types of materials commonly used to fill in space where a cavity has been removed. Anyone who experiences moderate or severe pain during or after the. Do you need a tooth filling, or are. Is Filling Good For Teeth.
From lakefrontfamilydentistry.com
What is a Tooth Filling? White Tooth Fillings are Healthy and Durable Is Filling Good For Teeth Do you need a tooth filling, or are you putting off getting one because you're nervous about it? You may not always have a choice in the type of filling you need, but it's. Having a cavity filled may cause some discomfort, but it should not cause pain. There are five types of materials commonly used to fill in space. Is Filling Good For Teeth.
From drjacquiesmiles.com
The cost of tooth fillings in NYCDr. Jacquie Is Filling Good For Teeth There are five types of materials commonly used to fill in space where a cavity has been removed. Nobody loves visiting the dentist, but fillings are a very common restorative. Various materials are used to create dental fillings,. You may not always have a choice in the type of filling you need, but it's. Fillings are also used to repair. Is Filling Good For Teeth.
From pipitembem.netlify.app
Are Fillings Necessary For Baby Teeth Is Filling Good For Teeth Anyone who experiences moderate or severe pain during or after the. There are five types of materials commonly used to fill in space where a cavity has been removed. Having a cavity filled may cause some discomfort, but it should not cause pain. You may not always have a choice in the type of filling you need, but it's. Fillings. Is Filling Good For Teeth.
From www.shannachircodds.com
Dental Fillings / Cavity Treatment — Shanna Chirco DDS Is Filling Good For Teeth Anyone who experiences moderate or severe pain during or after the. Various materials are used to create dental fillings,. Nobody loves visiting the dentist, but fillings are a very common restorative. Having a cavity filled may cause some discomfort, but it should not cause pain. Fillings are commonly used to treat cavities and small fractures in teeth, restoring their integrity. Is Filling Good For Teeth.
From sandiegoinvisaligndentist.org
Cosmetic dentistry treatments composite fillings Dental News Network Is Filling Good For Teeth There are five types of materials commonly used to fill in space where a cavity has been removed. Having a cavity filled may cause some discomfort, but it should not cause pain. Anyone who experiences moderate or severe pain during or after the. Various materials are used to create dental fillings,. Do you need a tooth filling, or are you. Is Filling Good For Teeth.
From mavidenta.com
Affordable Teeth Composite Filling Cost Restore Your Smile Is Filling Good For Teeth Nobody loves visiting the dentist, but fillings are a very common restorative. You may not always have a choice in the type of filling you need, but it's. Having a cavity filled may cause some discomfort, but it should not cause pain. Fillings are commonly used to treat cavities and small fractures in teeth, restoring their integrity and allowing normal. Is Filling Good For Teeth.
From theelitedental.com
What are the Pros and Cons of Undergoing Dental Tooth Filling? Elite Is Filling Good For Teeth Do you need a tooth filling, or are you putting off getting one because you're nervous about it? Having a cavity filled may cause some discomfort, but it should not cause pain. Nobody loves visiting the dentist, but fillings are a very common restorative. There are five types of materials commonly used to fill in space where a cavity has. Is Filling Good For Teeth.
From www.longevitadental.com
Tooth Filling Stop Tooth Decay Longevita Is Filling Good For Teeth There are five types of materials commonly used to fill in space where a cavity has been removed. Various materials are used to create dental fillings,. You may not always have a choice in the type of filling you need, but it's. Having a cavity filled may cause some discomfort, but it should not cause pain. Fillings are also used. Is Filling Good For Teeth.
From lafayettedentistchauvin.com
tooth colored fillings Archives Dr Chauvin Is Filling Good For Teeth There are five types of materials commonly used to fill in space where a cavity has been removed. You may not always have a choice in the type of filling you need, but it's. Fillings are commonly used to treat cavities and small fractures in teeth, restoring their integrity and allowing normal chewing and speaking. Having a cavity filled may. Is Filling Good For Teeth.
From hosnerdental.com
Tooth Colored Fillings Gallery Dr. Jack M. Hosner, D.D.S. Is Filling Good For Teeth Fillings are also used to repair cracked or broken teeth and teeth that have been worn down from misuse (such as from nail. Having a cavity filled may cause some discomfort, but it should not cause pain. Various materials are used to create dental fillings,. Do you need a tooth filling, or are you putting off getting one because you're. Is Filling Good For Teeth.
From www.ultrasmile.co.uk
The Science Behind Dental Fillings How They Work & Why You Need Them Is Filling Good For Teeth Fillings are commonly used to treat cavities and small fractures in teeth, restoring their integrity and allowing normal chewing and speaking. There are five types of materials commonly used to fill in space where a cavity has been removed. Having a cavity filled may cause some discomfort, but it should not cause pain. Anyone who experiences moderate or severe pain. Is Filling Good For Teeth.
From dentalvibe.com
What is a threesurface filling? Find A Dentist DentalVibe Is Filling Good For Teeth Fillings are also used to repair cracked or broken teeth and teeth that have been worn down from misuse (such as from nail. Do you need a tooth filling, or are you putting off getting one because you're nervous about it? Nobody loves visiting the dentist, but fillings are a very common restorative. Fillings are commonly used to treat cavities. Is Filling Good For Teeth.
From www.dreamstime.com
Tooth filling by dentist stock image. Image of collection 28980833 Is Filling Good For Teeth Fillings are also used to repair cracked or broken teeth and teeth that have been worn down from misuse (such as from nail. You may not always have a choice in the type of filling you need, but it's. There are five types of materials commonly used to fill in space where a cavity has been removed. Having a cavity. Is Filling Good For Teeth.