Transcranial Doppler With Bubble . transcranial doppler (tcd) bubble test can detect or rule out pfo with a sensitivity of 97% and specificity of 93% compared with tee (18,. we read with interest the recent article by romero et al highlighting ischemic cerebrovascular complications. most experts think that a better way to assess whether a pfo is likely to produce a stroke is to do a transcranial doppler study (tcd) with a bubble. during bubble study, the spectral doppler easily detects air bubbles that pass through the cerebral arterial circulation (such as the mca). an intracranial neurovascular exam is also known as a transcranial doppler (tcd) study. transcranial doppler is utilized to investigate the intracranial vasculature for various purposes.
from pubs.rsna.org
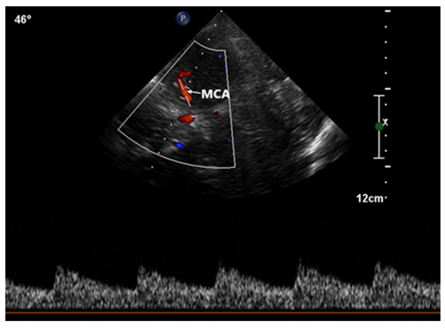
we read with interest the recent article by romero et al highlighting ischemic cerebrovascular complications. during bubble study, the spectral doppler easily detects air bubbles that pass through the cerebral arterial circulation (such as the mca). transcranial doppler is utilized to investigate the intracranial vasculature for various purposes. an intracranial neurovascular exam is also known as a transcranial doppler (tcd) study. transcranial doppler (tcd) bubble test can detect or rule out pfo with a sensitivity of 97% and specificity of 93% compared with tee (18,. most experts think that a better way to assess whether a pfo is likely to produce a stroke is to do a transcranial doppler study (tcd) with a bubble.
Advances in Transcranial Doppler US Imaging Ahead RadioGraphics
Transcranial Doppler With Bubble transcranial doppler is utilized to investigate the intracranial vasculature for various purposes. an intracranial neurovascular exam is also known as a transcranial doppler (tcd) study. transcranial doppler is utilized to investigate the intracranial vasculature for various purposes. we read with interest the recent article by romero et al highlighting ischemic cerebrovascular complications. transcranial doppler (tcd) bubble test can detect or rule out pfo with a sensitivity of 97% and specificity of 93% compared with tee (18,. most experts think that a better way to assess whether a pfo is likely to produce a stroke is to do a transcranial doppler study (tcd) with a bubble. during bubble study, the spectral doppler easily detects air bubbles that pass through the cerebral arterial circulation (such as the mca).
From www.pinterest.com
Transcranial Doppler Sonographic Tendencies Vascular ultrasound Transcranial Doppler With Bubble we read with interest the recent article by romero et al highlighting ischemic cerebrovascular complications. transcranial doppler is utilized to investigate the intracranial vasculature for various purposes. most experts think that a better way to assess whether a pfo is likely to produce a stroke is to do a transcranial doppler study (tcd) with a bubble. . Transcranial Doppler With Bubble.
From www.mdpi.com
Healthcare Free FullText RighttoLeft Shunt Evaluation in Cardiac Transcranial Doppler With Bubble transcranial doppler (tcd) bubble test can detect or rule out pfo with a sensitivity of 97% and specificity of 93% compared with tee (18,. during bubble study, the spectral doppler easily detects air bubbles that pass through the cerebral arterial circulation (such as the mca). most experts think that a better way to assess whether a pfo. Transcranial Doppler With Bubble.
From cardiovascularultrasound.biomedcentral.com
Transcranial doppler ultrasonography should it be the first choice for Transcranial Doppler With Bubble we read with interest the recent article by romero et al highlighting ischemic cerebrovascular complications. during bubble study, the spectral doppler easily detects air bubbles that pass through the cerebral arterial circulation (such as the mca). most experts think that a better way to assess whether a pfo is likely to produce a stroke is to do. Transcranial Doppler With Bubble.
From www.youtube.com
High Intensity Transient Signals (HITS) via Transcranial Doppler Transcranial Doppler With Bubble during bubble study, the spectral doppler easily detects air bubbles that pass through the cerebral arterial circulation (such as the mca). we read with interest the recent article by romero et al highlighting ischemic cerebrovascular complications. most experts think that a better way to assess whether a pfo is likely to produce a stroke is to do. Transcranial Doppler With Bubble.
From www.youtube.com
TCD BUBBLE TEST for Cardiac Shunt Detection PFO TEST (Zsolt Garami, MD Transcranial Doppler With Bubble an intracranial neurovascular exam is also known as a transcranial doppler (tcd) study. we read with interest the recent article by romero et al highlighting ischemic cerebrovascular complications. during bubble study, the spectral doppler easily detects air bubbles that pass through the cerebral arterial circulation (such as the mca). transcranial doppler is utilized to investigate the. Transcranial Doppler With Bubble.
From www.researchgate.net
Normal transcranial Doppler. Color Doppler imaging of the left middle Transcranial Doppler With Bubble transcranial doppler (tcd) bubble test can detect or rule out pfo with a sensitivity of 97% and specificity of 93% compared with tee (18,. an intracranial neurovascular exam is also known as a transcranial doppler (tcd) study. during bubble study, the spectral doppler easily detects air bubbles that pass through the cerebral arterial circulation (such as the. Transcranial Doppler With Bubble.
From pubs.rsna.org
Advances in Transcranial Doppler US Imaging Ahead RadioGraphics Transcranial Doppler With Bubble an intracranial neurovascular exam is also known as a transcranial doppler (tcd) study. during bubble study, the spectral doppler easily detects air bubbles that pass through the cerebral arterial circulation (such as the mca). most experts think that a better way to assess whether a pfo is likely to produce a stroke is to do a transcranial. Transcranial Doppler With Bubble.
From pubs.rsna.org
Advances in Transcranial Doppler US Imaging Ahead RadioGraphics Transcranial Doppler With Bubble an intracranial neurovascular exam is also known as a transcranial doppler (tcd) study. during bubble study, the spectral doppler easily detects air bubbles that pass through the cerebral arterial circulation (such as the mca). transcranial doppler is utilized to investigate the intracranial vasculature for various purposes. we read with interest the recent article by romero et. Transcranial Doppler With Bubble.
From www.jns-journal.com
Cryptogenic stroke and patent foramen ovale Clinical clues to Transcranial Doppler With Bubble transcranial doppler is utilized to investigate the intracranial vasculature for various purposes. during bubble study, the spectral doppler easily detects air bubbles that pass through the cerebral arterial circulation (such as the mca). we read with interest the recent article by romero et al highlighting ischemic cerebrovascular complications. most experts think that a better way to. Transcranial Doppler With Bubble.
From www.ucsfhealth.org
Transcranial Doppler ultrasound Transcranial Doppler With Bubble transcranial doppler is utilized to investigate the intracranial vasculature for various purposes. transcranial doppler (tcd) bubble test can detect or rule out pfo with a sensitivity of 97% and specificity of 93% compared with tee (18,. we read with interest the recent article by romero et al highlighting ischemic cerebrovascular complications. during bubble study, the spectral. Transcranial Doppler With Bubble.
From www.researchgate.net
Transcranial colorcoded Doppler (TCCD) images showing focal Transcranial Doppler With Bubble an intracranial neurovascular exam is also known as a transcranial doppler (tcd) study. transcranial doppler is utilized to investigate the intracranial vasculature for various purposes. transcranial doppler (tcd) bubble test can detect or rule out pfo with a sensitivity of 97% and specificity of 93% compared with tee (18,. most experts think that a better way. Transcranial Doppler With Bubble.
From neurous.lab.uthsc.edu
Transcranial Doppler (TCD) UTHSC Neurosonology Transcranial Doppler With Bubble during bubble study, the spectral doppler easily detects air bubbles that pass through the cerebral arterial circulation (such as the mca). most experts think that a better way to assess whether a pfo is likely to produce a stroke is to do a transcranial doppler study (tcd) with a bubble. transcranial doppler (tcd) bubble test can detect. Transcranial Doppler With Bubble.
From viasonix.com
Transcranial Doppler is a Standard Reimbursable Procedure Transcranial Doppler With Bubble transcranial doppler (tcd) bubble test can detect or rule out pfo with a sensitivity of 97% and specificity of 93% compared with tee (18,. most experts think that a better way to assess whether a pfo is likely to produce a stroke is to do a transcranial doppler study (tcd) with a bubble. transcranial doppler is utilized. Transcranial Doppler With Bubble.
From www.researchgate.net
Transcranial Doppler screenshots of Spencer shunt grades are shown for Transcranial Doppler With Bubble most experts think that a better way to assess whether a pfo is likely to produce a stroke is to do a transcranial doppler study (tcd) with a bubble. an intracranial neurovascular exam is also known as a transcranial doppler (tcd) study. we read with interest the recent article by romero et al highlighting ischemic cerebrovascular complications.. Transcranial Doppler With Bubble.
From www.researchgate.net
Noninvasive ultrasound. (A) Transcranial Doppler (TCD) bubble test Transcranial Doppler With Bubble an intracranial neurovascular exam is also known as a transcranial doppler (tcd) study. transcranial doppler (tcd) bubble test can detect or rule out pfo with a sensitivity of 97% and specificity of 93% compared with tee (18,. transcranial doppler is utilized to investigate the intracranial vasculature for various purposes. we read with interest the recent article. Transcranial Doppler With Bubble.
From www.researchgate.net
Microembolic signals. Transcranial Doppler recording of flow velocity Transcranial Doppler With Bubble transcranial doppler is utilized to investigate the intracranial vasculature for various purposes. most experts think that a better way to assess whether a pfo is likely to produce a stroke is to do a transcranial doppler study (tcd) with a bubble. we read with interest the recent article by romero et al highlighting ischemic cerebrovascular complications. . Transcranial Doppler With Bubble.
From www.mdpi.com
Healthcare Free FullText RighttoLeft Shunt Evaluation in Cardiac Transcranial Doppler With Bubble an intracranial neurovascular exam is also known as a transcranial doppler (tcd) study. during bubble study, the spectral doppler easily detects air bubbles that pass through the cerebral arterial circulation (such as the mca). transcranial doppler is utilized to investigate the intracranial vasculature for various purposes. we read with interest the recent article by romero et. Transcranial Doppler With Bubble.
From www.ebmedicine.net
ED Applications of Neurovascular Ultrasound in Acute Stroke Transcranial Doppler With Bubble we read with interest the recent article by romero et al highlighting ischemic cerebrovascular complications. during bubble study, the spectral doppler easily detects air bubbles that pass through the cerebral arterial circulation (such as the mca). transcranial doppler is utilized to investigate the intracranial vasculature for various purposes. an intracranial neurovascular exam is also known as. Transcranial Doppler With Bubble.
From www.neurologyadvisor.com
BubbleTranscranial Doppler Detects PFOs in Elderly With Cryptogenic Transcranial Doppler With Bubble transcranial doppler (tcd) bubble test can detect or rule out pfo with a sensitivity of 97% and specificity of 93% compared with tee (18,. most experts think that a better way to assess whether a pfo is likely to produce a stroke is to do a transcranial doppler study (tcd) with a bubble. during bubble study, the. Transcranial Doppler With Bubble.
From www.mdpi.com
Healthcare Free FullText RighttoLeft Shunt Evaluation in Cardiac Transcranial Doppler With Bubble during bubble study, the spectral doppler easily detects air bubbles that pass through the cerebral arterial circulation (such as the mca). transcranial doppler (tcd) bubble test can detect or rule out pfo with a sensitivity of 97% and specificity of 93% compared with tee (18,. an intracranial neurovascular exam is also known as a transcranial doppler (tcd). Transcranial Doppler With Bubble.
From mavink.com
Transcranial Doppler Ultrasound Transcranial Doppler With Bubble we read with interest the recent article by romero et al highlighting ischemic cerebrovascular complications. transcranial doppler is utilized to investigate the intracranial vasculature for various purposes. most experts think that a better way to assess whether a pfo is likely to produce a stroke is to do a transcranial doppler study (tcd) with a bubble. . Transcranial Doppler With Bubble.
From www.researchgate.net
Noninvasive ultrasound. (A) Transcranial Doppler (TCD) bubble test Transcranial Doppler With Bubble transcranial doppler (tcd) bubble test can detect or rule out pfo with a sensitivity of 97% and specificity of 93% compared with tee (18,. during bubble study, the spectral doppler easily detects air bubbles that pass through the cerebral arterial circulation (such as the mca). most experts think that a better way to assess whether a pfo. Transcranial Doppler With Bubble.
From www.vinmec.com
What is Transcranial Doppler Ultrasound? What are its clinical Transcranial Doppler With Bubble during bubble study, the spectral doppler easily detects air bubbles that pass through the cerebral arterial circulation (such as the mca). an intracranial neurovascular exam is also known as a transcranial doppler (tcd) study. we read with interest the recent article by romero et al highlighting ischemic cerebrovascular complications. transcranial doppler (tcd) bubble test can detect. Transcranial Doppler With Bubble.
From www.youtube.com
My own Transcranial Doppler bubble test 2017 YouTube Transcranial Doppler With Bubble during bubble study, the spectral doppler easily detects air bubbles that pass through the cerebral arterial circulation (such as the mca). most experts think that a better way to assess whether a pfo is likely to produce a stroke is to do a transcranial doppler study (tcd) with a bubble. transcranial doppler (tcd) bubble test can detect. Transcranial Doppler With Bubble.
From www.wjgnet.com
Transcranial Doppler ultrasonography From methodology to major Transcranial Doppler With Bubble transcranial doppler is utilized to investigate the intracranial vasculature for various purposes. we read with interest the recent article by romero et al highlighting ischemic cerebrovascular complications. most experts think that a better way to assess whether a pfo is likely to produce a stroke is to do a transcranial doppler study (tcd) with a bubble. . Transcranial Doppler With Bubble.
From azns.org
Transcranial Doppler Study Arizona Neurology and Sleep Center AZNS Transcranial Doppler With Bubble during bubble study, the spectral doppler easily detects air bubbles that pass through the cerebral arterial circulation (such as the mca). most experts think that a better way to assess whether a pfo is likely to produce a stroke is to do a transcranial doppler study (tcd) with a bubble. we read with interest the recent article. Transcranial Doppler With Bubble.
From pubs.rsna.org
Advances in Transcranial Doppler US Imaging Ahead RadioGraphics Transcranial Doppler With Bubble we read with interest the recent article by romero et al highlighting ischemic cerebrovascular complications. transcranial doppler (tcd) bubble test can detect or rule out pfo with a sensitivity of 97% and specificity of 93% compared with tee (18,. most experts think that a better way to assess whether a pfo is likely to produce a stroke. Transcranial Doppler With Bubble.
From www.pinterest.ph
Figure 4 from Advances in transcranial Doppler US imaging ahead Transcranial Doppler With Bubble transcranial doppler (tcd) bubble test can detect or rule out pfo with a sensitivity of 97% and specificity of 93% compared with tee (18,. transcranial doppler is utilized to investigate the intracranial vasculature for various purposes. we read with interest the recent article by romero et al highlighting ischemic cerebrovascular complications. most experts think that a. Transcranial Doppler With Bubble.
From www.researchgate.net
Figure. Transcranial Doppler recording showing microbubbles in (A Transcranial Doppler With Bubble transcranial doppler (tcd) bubble test can detect or rule out pfo with a sensitivity of 97% and specificity of 93% compared with tee (18,. transcranial doppler is utilized to investigate the intracranial vasculature for various purposes. an intracranial neurovascular exam is also known as a transcranial doppler (tcd) study. most experts think that a better way. Transcranial Doppler With Bubble.
From www.youtube.com
Transcranial Doppler A Primer YouTube Transcranial Doppler With Bubble an intracranial neurovascular exam is also known as a transcranial doppler (tcd) study. we read with interest the recent article by romero et al highlighting ischemic cerebrovascular complications. during bubble study, the spectral doppler easily detects air bubbles that pass through the cerebral arterial circulation (such as the mca). transcranial doppler (tcd) bubble test can detect. Transcranial Doppler With Bubble.
From www.albertasono.ca
Transcranial Doppler Alberta Sono Transcranial Doppler With Bubble transcranial doppler is utilized to investigate the intracranial vasculature for various purposes. most experts think that a better way to assess whether a pfo is likely to produce a stroke is to do a transcranial doppler study (tcd) with a bubble. during bubble study, the spectral doppler easily detects air bubbles that pass through the cerebral arterial. Transcranial Doppler With Bubble.
From www.researchgate.net
Noninvasive ultrasound. (A) Transcranial Doppler (TCD) bubble test Transcranial Doppler With Bubble most experts think that a better way to assess whether a pfo is likely to produce a stroke is to do a transcranial doppler study (tcd) with a bubble. transcranial doppler is utilized to investigate the intracranial vasculature for various purposes. an intracranial neurovascular exam is also known as a transcranial doppler (tcd) study. transcranial doppler. Transcranial Doppler With Bubble.
From docslib.org
Transcranial Doppler (TCD) and Bubble Studies DocsLib Transcranial Doppler With Bubble transcranial doppler (tcd) bubble test can detect or rule out pfo with a sensitivity of 97% and specificity of 93% compared with tee (18,. most experts think that a better way to assess whether a pfo is likely to produce a stroke is to do a transcranial doppler study (tcd) with a bubble. transcranial doppler is utilized. Transcranial Doppler With Bubble.
From jnnp.bmj.com
Safety of transcranial Doppler ‘bubble study’ for identification of Transcranial Doppler With Bubble transcranial doppler is utilized to investigate the intracranial vasculature for various purposes. an intracranial neurovascular exam is also known as a transcranial doppler (tcd) study. most experts think that a better way to assess whether a pfo is likely to produce a stroke is to do a transcranial doppler study (tcd) with a bubble. transcranial doppler. Transcranial Doppler With Bubble.
From www.mdpi.com
Healthcare Free FullText RighttoLeft Shunt Evaluation in Cardiac Transcranial Doppler With Bubble most experts think that a better way to assess whether a pfo is likely to produce a stroke is to do a transcranial doppler study (tcd) with a bubble. an intracranial neurovascular exam is also known as a transcranial doppler (tcd) study. transcranial doppler is utilized to investigate the intracranial vasculature for various purposes. transcranial doppler. Transcranial Doppler With Bubble.