Abernethy Malformation Liver . Abernethy malformations are rare vascular anomalies of the splanchnic venous system. On postmortem examination, many congenital anomalies were found with dextrocardia, great vessel transpositions, polysplenia and portal. Abernethy malformation is a rare condition in which portomesenteric blood bypasses the liver and drains into the systemic vein through a partial or. They consist of congenital portosystemic. Abernethy malformation, also known as congenital extrahepatic portosystemic shunts (ceps) is a rare clinical entity and manifests with different clinical. Congenital extrahepatic portosystemic shunt, also known as abernethy malformation, is a rare malformation in which intestinal and splenic. Abernethy malformation or congenital extrahepatic portosystemic shunt (ceps) as the name suggests, was first described by john abernethy and is an. Congenital extrahepatic portosystemic shunt (ceps) or abernethy malformation is a rare condition in which splanchnic venous blood bypasses the liver.
from www.researchgate.net
Congenital extrahepatic portosystemic shunt (ceps) or abernethy malformation is a rare condition in which splanchnic venous blood bypasses the liver. Abernethy malformation is a rare condition in which portomesenteric blood bypasses the liver and drains into the systemic vein through a partial or. Abernethy malformation, also known as congenital extrahepatic portosystemic shunts (ceps) is a rare clinical entity and manifests with different clinical. They consist of congenital portosystemic. Abernethy malformations are rare vascular anomalies of the splanchnic venous system. Congenital extrahepatic portosystemic shunt, also known as abernethy malformation, is a rare malformation in which intestinal and splenic. Abernethy malformation or congenital extrahepatic portosystemic shunt (ceps) as the name suggests, was first described by john abernethy and is an. On postmortem examination, many congenital anomalies were found with dextrocardia, great vessel transpositions, polysplenia and portal.
(PDF) Unusual Discovery after an Examination for Abdominal Pain
Abernethy Malformation Liver Abernethy malformations are rare vascular anomalies of the splanchnic venous system. They consist of congenital portosystemic. Congenital extrahepatic portosystemic shunt (ceps) or abernethy malformation is a rare condition in which splanchnic venous blood bypasses the liver. Abernethy malformation, also known as congenital extrahepatic portosystemic shunts (ceps) is a rare clinical entity and manifests with different clinical. Abernethy malformation or congenital extrahepatic portosystemic shunt (ceps) as the name suggests, was first described by john abernethy and is an. Abernethy malformation is a rare condition in which portomesenteric blood bypasses the liver and drains into the systemic vein through a partial or. Congenital extrahepatic portosystemic shunt, also known as abernethy malformation, is a rare malformation in which intestinal and splenic. On postmortem examination, many congenital anomalies were found with dextrocardia, great vessel transpositions, polysplenia and portal. Abernethy malformations are rare vascular anomalies of the splanchnic venous system.
From radiopaedia.org
Congenital extrahepatic portosystemic shunt malformation Abernethy Malformation Liver Abernethy malformation is a rare condition in which portomesenteric blood bypasses the liver and drains into the systemic vein through a partial or. On postmortem examination, many congenital anomalies were found with dextrocardia, great vessel transpositions, polysplenia and portal. Congenital extrahepatic portosystemic shunt (ceps) or abernethy malformation is a rare condition in which splanchnic venous blood bypasses the liver. Congenital. Abernethy Malformation Liver.
From www.elsevier.es
Type II Malformation in a Patient with Primary BuddChiari Abernethy Malformation Liver Abernethy malformation is a rare condition in which portomesenteric blood bypasses the liver and drains into the systemic vein through a partial or. Abernethy malformation or congenital extrahepatic portosystemic shunt (ceps) as the name suggests, was first described by john abernethy and is an. Abernethy malformations are rare vascular anomalies of the splanchnic venous system. Congenital extrahepatic portosystemic shunt, also. Abernethy Malformation Liver.
From casereports.bmj.com
malformation and hepatocellular carcinoma a serious Abernethy Malformation Liver Congenital extrahepatic portosystemic shunt (ceps) or abernethy malformation is a rare condition in which splanchnic venous blood bypasses the liver. Abernethy malformation, also known as congenital extrahepatic portosystemic shunts (ceps) is a rare clinical entity and manifests with different clinical. They consist of congenital portosystemic. On postmortem examination, many congenital anomalies were found with dextrocardia, great vessel transpositions, polysplenia and. Abernethy Malformation Liver.
From www.semanticscholar.org
Figure 1 from Congenital absence of the portal vein associated with Abernethy Malformation Liver Congenital extrahepatic portosystemic shunt, also known as abernethy malformation, is a rare malformation in which intestinal and splenic. They consist of congenital portosystemic. Abernethy malformation, also known as congenital extrahepatic portosystemic shunts (ceps) is a rare clinical entity and manifests with different clinical. Congenital extrahepatic portosystemic shunt (ceps) or abernethy malformation is a rare condition in which splanchnic venous blood. Abernethy Malformation Liver.
From americanjir.com
Malformation a Rare but Important Diagnosis Prior to Liver Abernethy Malformation Liver Congenital extrahepatic portosystemic shunt, also known as abernethy malformation, is a rare malformation in which intestinal and splenic. Abernethy malformations are rare vascular anomalies of the splanchnic venous system. Abernethy malformation, also known as congenital extrahepatic portosystemic shunts (ceps) is a rare clinical entity and manifests with different clinical. On postmortem examination, many congenital anomalies were found with dextrocardia, great. Abernethy Malformation Liver.
From radiopaedia.org
malformation Image Abernethy Malformation Liver Abernethy malformation, also known as congenital extrahepatic portosystemic shunts (ceps) is a rare clinical entity and manifests with different clinical. On postmortem examination, many congenital anomalies were found with dextrocardia, great vessel transpositions, polysplenia and portal. Abernethy malformation or congenital extrahepatic portosystemic shunt (ceps) as the name suggests, was first described by john abernethy and is an. They consist of. Abernethy Malformation Liver.
From www.jvir.org
Hepatocellular Carcinoma in Malformation A Rare Occurrence Abernethy Malformation Liver Congenital extrahepatic portosystemic shunt (ceps) or abernethy malformation is a rare condition in which splanchnic venous blood bypasses the liver. On postmortem examination, many congenital anomalies were found with dextrocardia, great vessel transpositions, polysplenia and portal. Congenital extrahepatic portosystemic shunt, also known as abernethy malformation, is a rare malformation in which intestinal and splenic. Abernethy malformation or congenital extrahepatic portosystemic. Abernethy Malformation Liver.
From www.researchgate.net
malformation in a 4yearold girl with Turner syndrome Abernethy Malformation Liver Congenital extrahepatic portosystemic shunt, also known as abernethy malformation, is a rare malformation in which intestinal and splenic. Abernethy malformation, also known as congenital extrahepatic portosystemic shunts (ceps) is a rare clinical entity and manifests with different clinical. They consist of congenital portosystemic. Congenital extrahepatic portosystemic shunt (ceps) or abernethy malformation is a rare condition in which splanchnic venous blood. Abernethy Malformation Liver.
From www.researchgate.net
Type 1B Abernathy malformation. (AD) Axial computed tomography images Abernethy Malformation Liver They consist of congenital portosystemic. On postmortem examination, many congenital anomalies were found with dextrocardia, great vessel transpositions, polysplenia and portal. Congenital extrahepatic portosystemic shunt (ceps) or abernethy malformation is a rare condition in which splanchnic venous blood bypasses the liver. Congenital extrahepatic portosystemic shunt, also known as abernethy malformation, is a rare malformation in which intestinal and splenic. Abernethy. Abernethy Malformation Liver.
From www.elsevier.es
malformation with multiple aneurysms incidentally found in Abernethy Malformation Liver On postmortem examination, many congenital anomalies were found with dextrocardia, great vessel transpositions, polysplenia and portal. Abernethy malformation or congenital extrahepatic portosystemic shunt (ceps) as the name suggests, was first described by john abernethy and is an. Congenital extrahepatic portosystemic shunt, also known as abernethy malformation, is a rare malformation in which intestinal and splenic. Abernethy malformation is a rare. Abernethy Malformation Liver.
From bmcpediatr.biomedcentral.com
malformation a case report BMC Pediatrics Full Text Abernethy Malformation Liver Abernethy malformations are rare vascular anomalies of the splanchnic venous system. Congenital extrahepatic portosystemic shunt, also known as abernethy malformation, is a rare malformation in which intestinal and splenic. Congenital extrahepatic portosystemic shunt (ceps) or abernethy malformation is a rare condition in which splanchnic venous blood bypasses the liver. Abernethy malformation or congenital extrahepatic portosystemic shunt (ceps) as the name. Abernethy Malformation Liver.
From epos.myesr.org
EPOS™ C0843 Abernethy Malformation Liver Abernethy malformation or congenital extrahepatic portosystemic shunt (ceps) as the name suggests, was first described by john abernethy and is an. Abernethy malformations are rare vascular anomalies of the splanchnic venous system. They consist of congenital portosystemic. Abernethy malformation, also known as congenital extrahepatic portosystemic shunts (ceps) is a rare clinical entity and manifests with different clinical. Congenital extrahepatic portosystemic. Abernethy Malformation Liver.
From link.springer.com
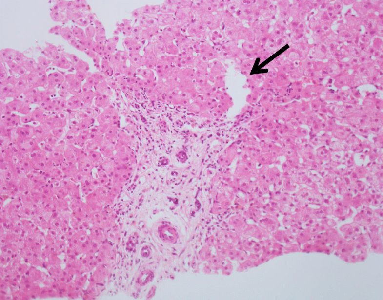
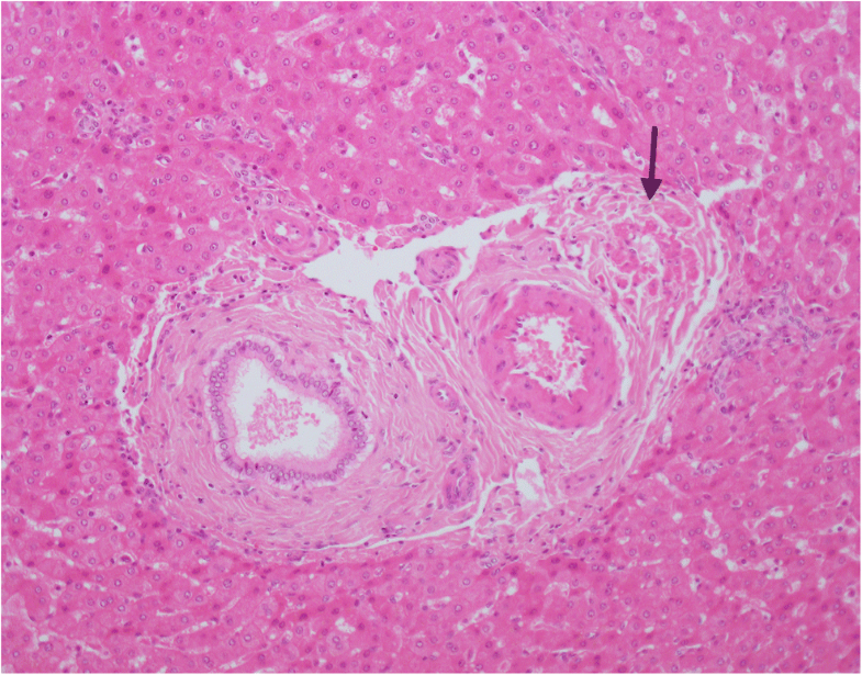
Histopathology of livers in patients with congenital portosystemic Abernethy Malformation Liver Congenital extrahepatic portosystemic shunt, also known as abernethy malformation, is a rare malformation in which intestinal and splenic. They consist of congenital portosystemic. Abernethy malformation is a rare condition in which portomesenteric blood bypasses the liver and drains into the systemic vein through a partial or. Abernethy malformations are rare vascular anomalies of the splanchnic venous system. Congenital extrahepatic portosystemic. Abernethy Malformation Liver.
From www.eurorad.org
Hepatic regenerative hyperplastic nodules in a child with Abernethy Malformation Liver Congenital extrahepatic portosystemic shunt, also known as abernethy malformation, is a rare malformation in which intestinal and splenic. Abernethy malformations are rare vascular anomalies of the splanchnic venous system. Abernethy malformation is a rare condition in which portomesenteric blood bypasses the liver and drains into the systemic vein through a partial or. On postmortem examination, many congenital anomalies were found. Abernethy Malformation Liver.
From www.eurorad.org
Hepatic regenerative hyperplastic nodules in a child with Abernethy Malformation Liver Abernethy malformation is a rare condition in which portomesenteric blood bypasses the liver and drains into the systemic vein through a partial or. Congenital extrahepatic portosystemic shunt, also known as abernethy malformation, is a rare malformation in which intestinal and splenic. Abernethy malformation, also known as congenital extrahepatic portosystemic shunts (ceps) is a rare clinical entity and manifests with different. Abernethy Malformation Liver.
From www.researchgate.net
(PDF) malformation as a rare indication for liver Abernethy Malformation Liver Congenital extrahepatic portosystemic shunt (ceps) or abernethy malformation is a rare condition in which splanchnic venous blood bypasses the liver. Abernethy malformations are rare vascular anomalies of the splanchnic venous system. They consist of congenital portosystemic. Congenital extrahepatic portosystemic shunt, also known as abernethy malformation, is a rare malformation in which intestinal and splenic. Abernethy malformation or congenital extrahepatic portosystemic. Abernethy Malformation Liver.
From www.researchgate.net
(PDF) Unusual Discovery after an Examination for Abdominal Pain Abernethy Malformation Liver Congenital extrahepatic portosystemic shunt, also known as abernethy malformation, is a rare malformation in which intestinal and splenic. Abernethy malformations are rare vascular anomalies of the splanchnic venous system. They consist of congenital portosystemic. Abernethy malformation, also known as congenital extrahepatic portosystemic shunts (ceps) is a rare clinical entity and manifests with different clinical. Abernethy malformation is a rare condition. Abernethy Malformation Liver.
From americanjir.com
Malformation a Rare but Important Diagnosis Prior to Liver Abernethy Malformation Liver They consist of congenital portosystemic. On postmortem examination, many congenital anomalies were found with dextrocardia, great vessel transpositions, polysplenia and portal. Abernethy malformation or congenital extrahepatic portosystemic shunt (ceps) as the name suggests, was first described by john abernethy and is an. Abernethy malformation, also known as congenital extrahepatic portosystemic shunts (ceps) is a rare clinical entity and manifests with. Abernethy Malformation Liver.
From link.springer.com
Histopathology of livers in patients with congenital portosystemic Abernethy Malformation Liver Abernethy malformation is a rare condition in which portomesenteric blood bypasses the liver and drains into the systemic vein through a partial or. Congenital extrahepatic portosystemic shunt (ceps) or abernethy malformation is a rare condition in which splanchnic venous blood bypasses the liver. Abernethy malformations are rare vascular anomalies of the splanchnic venous system. They consist of congenital portosystemic. On. Abernethy Malformation Liver.
From www.elsevier.es
Type II Malformation in a Patient with Primary BuddChiari Abernethy Malformation Liver Abernethy malformation, also known as congenital extrahepatic portosystemic shunts (ceps) is a rare clinical entity and manifests with different clinical. They consist of congenital portosystemic. Abernethy malformation or congenital extrahepatic portosystemic shunt (ceps) as the name suggests, was first described by john abernethy and is an. Abernethy malformations are rare vascular anomalies of the splanchnic venous system. Abernethy malformation is. Abernethy Malformation Liver.
From radiopaedia.org
Congenital extrahepatic portosystemic shunt malformation Abernethy Malformation Liver Abernethy malformation or congenital extrahepatic portosystemic shunt (ceps) as the name suggests, was first described by john abernethy and is an. Abernethy malformations are rare vascular anomalies of the splanchnic venous system. They consist of congenital portosystemic. Abernethy malformation is a rare condition in which portomesenteric blood bypasses the liver and drains into the systemic vein through a partial or.. Abernethy Malformation Liver.
From www.researchgate.net
(PDF) Malformation Type 2 and Biliary Atresia Coexistence A Abernethy Malformation Liver Abernethy malformations are rare vascular anomalies of the splanchnic venous system. Congenital extrahepatic portosystemic shunt, also known as abernethy malformation, is a rare malformation in which intestinal and splenic. On postmortem examination, many congenital anomalies were found with dextrocardia, great vessel transpositions, polysplenia and portal. Abernethy malformation, also known as congenital extrahepatic portosystemic shunts (ceps) is a rare clinical entity. Abernethy Malformation Liver.
From www.researchgate.net
(PDF) Livingdonor liver transplantation for malformation Abernethy Malformation Liver Congenital extrahepatic portosystemic shunt, also known as abernethy malformation, is a rare malformation in which intestinal and splenic. Congenital extrahepatic portosystemic shunt (ceps) or abernethy malformation is a rare condition in which splanchnic venous blood bypasses the liver. Abernethy malformation, also known as congenital extrahepatic portosystemic shunts (ceps) is a rare clinical entity and manifests with different clinical. Abernethy malformations. Abernethy Malformation Liver.
From www.researchgate.net
(PDF) Malformation a Rare but Important Diagnosis Prior to Abernethy Malformation Liver On postmortem examination, many congenital anomalies were found with dextrocardia, great vessel transpositions, polysplenia and portal. Congenital extrahepatic portosystemic shunt, also known as abernethy malformation, is a rare malformation in which intestinal and splenic. Abernethy malformation, also known as congenital extrahepatic portosystemic shunts (ceps) is a rare clinical entity and manifests with different clinical. Abernethy malformation or congenital extrahepatic portosystemic. Abernethy Malformation Liver.
From link.springer.com
Histopathology of livers in patients with congenital portosystemic Abernethy Malformation Liver Abernethy malformation, also known as congenital extrahepatic portosystemic shunts (ceps) is a rare clinical entity and manifests with different clinical. Abernethy malformations are rare vascular anomalies of the splanchnic venous system. On postmortem examination, many congenital anomalies were found with dextrocardia, great vessel transpositions, polysplenia and portal. Abernethy malformation or congenital extrahepatic portosystemic shunt (ceps) as the name suggests, was. Abernethy Malformation Liver.
From casereports.bmj.com
malformation and hepatocellular carcinoma a serious Abernethy Malformation Liver Congenital extrahepatic portosystemic shunt (ceps) or abernethy malformation is a rare condition in which splanchnic venous blood bypasses the liver. Congenital extrahepatic portosystemic shunt, also known as abernethy malformation, is a rare malformation in which intestinal and splenic. Abernethy malformations are rare vascular anomalies of the splanchnic venous system. Abernethy malformation, also known as congenital extrahepatic portosystemic shunts (ceps) is. Abernethy Malformation Liver.
From www.dldjournalonline.com
Focal nodular hyperplasia in an individual with malformation Abernethy Malformation Liver Congenital extrahepatic portosystemic shunt (ceps) or abernethy malformation is a rare condition in which splanchnic venous blood bypasses the liver. Abernethy malformation is a rare condition in which portomesenteric blood bypasses the liver and drains into the systemic vein through a partial or. On postmortem examination, many congenital anomalies were found with dextrocardia, great vessel transpositions, polysplenia and portal. Abernethy. Abernethy Malformation Liver.
From radiopaedia.org
malformation Image Abernethy Malformation Liver Abernethy malformations are rare vascular anomalies of the splanchnic venous system. Abernethy malformation or congenital extrahepatic portosystemic shunt (ceps) as the name suggests, was first described by john abernethy and is an. Abernethy malformation is a rare condition in which portomesenteric blood bypasses the liver and drains into the systemic vein through a partial or. Congenital extrahepatic portosystemic shunt (ceps). Abernethy Malformation Liver.
From www.cghjournal.org
Confusion for Fifteen Years A Case of Malformation Abernethy Malformation Liver Congenital extrahepatic portosystemic shunt (ceps) or abernethy malformation is a rare condition in which splanchnic venous blood bypasses the liver. Abernethy malformation, also known as congenital extrahepatic portosystemic shunts (ceps) is a rare clinical entity and manifests with different clinical. Abernethy malformation or congenital extrahepatic portosystemic shunt (ceps) as the name suggests, was first described by john abernethy and is. Abernethy Malformation Liver.
From www.jpedsurg.org
Liver histopathology in patients with hepatic masses and the Abernethy Malformation Liver Abernethy malformation or congenital extrahepatic portosystemic shunt (ceps) as the name suggests, was first described by john abernethy and is an. They consist of congenital portosystemic. Congenital extrahepatic portosystemic shunt (ceps) or abernethy malformation is a rare condition in which splanchnic venous blood bypasses the liver. Abernethy malformation is a rare condition in which portomesenteric blood bypasses the liver and. Abernethy Malformation Liver.
From www.jpedsurg.org
Liver histopathology in patients with hepatic masses and the Abernethy Malformation Liver They consist of congenital portosystemic. On postmortem examination, many congenital anomalies were found with dextrocardia, great vessel transpositions, polysplenia and portal. Abernethy malformations are rare vascular anomalies of the splanchnic venous system. Abernethy malformation or congenital extrahepatic portosystemic shunt (ceps) as the name suggests, was first described by john abernethy and is an. Abernethy malformation is a rare condition in. Abernethy Malformation Liver.
From pubs.rsna.org
Cinematic Rendering of Malformation with Abdominal Aneurysms Abernethy Malformation Liver Abernethy malformation is a rare condition in which portomesenteric blood bypasses the liver and drains into the systemic vein through a partial or. Abernethy malformation, also known as congenital extrahepatic portosystemic shunts (ceps) is a rare clinical entity and manifests with different clinical. Congenital extrahepatic portosystemic shunt (ceps) or abernethy malformation is a rare condition in which splanchnic venous blood. Abernethy Malformation Liver.
From radiopaedia.org
Congenital extrahepatic portosystemic shunt malformation Abernethy Malformation Liver Abernethy malformation is a rare condition in which portomesenteric blood bypasses the liver and drains into the systemic vein through a partial or. Abernethy malformation or congenital extrahepatic portosystemic shunt (ceps) as the name suggests, was first described by john abernethy and is an. Congenital extrahepatic portosystemic shunt, also known as abernethy malformation, is a rare malformation in which intestinal. Abernethy Malformation Liver.
From www.clinicalimaging.org
Typical and atypical benign liver lesions A review Clinical Imaging Abernethy Malformation Liver On postmortem examination, many congenital anomalies were found with dextrocardia, great vessel transpositions, polysplenia and portal. Abernethy malformation is a rare condition in which portomesenteric blood bypasses the liver and drains into the systemic vein through a partial or. Abernethy malformation or congenital extrahepatic portosystemic shunt (ceps) as the name suggests, was first described by john abernethy and is an.. Abernethy Malformation Liver.
From link.springer.com
Histopathology of livers in patients with congenital portosystemic Abernethy Malformation Liver Abernethy malformation or congenital extrahepatic portosystemic shunt (ceps) as the name suggests, was first described by john abernethy and is an. They consist of congenital portosystemic. On postmortem examination, many congenital anomalies were found with dextrocardia, great vessel transpositions, polysplenia and portal. Congenital extrahepatic portosystemic shunt, also known as abernethy malformation, is a rare malformation in which intestinal and splenic.. Abernethy Malformation Liver.