What Is Orthodontic Extrusion . Orthodontic extrusion, also known as forced orthodontic extrusion or forced orthodontic eruption, is defined as tooth. Orthodontic extrusion (oe) is an orthodontic tooth movement in a coronal direction to modify the tooth position and/or induce changes on the surrounding bone and soft tissue with a. Orthodontic extrusion (oe) is an orthodontic tooth movement in a coronal direction to modify the tooth position and/or induce changes on the. Controlled facial orthodontic extrusion in combination with vertical extrusion provided effective implant site development to. Orthodontic extrusion helps to enhance the restorability of a tooth. Higher intensity orthodontic forces will move teeth rapidly away from the bone, leaving the original soft. In order to reestablish a physiological supracrestal tissue attachment of damaged teeth and to arrange an efficient.
from katosika1000.blogspot.com
Orthodontic extrusion (oe) is an orthodontic tooth movement in a coronal direction to modify the tooth position and/or induce changes on the surrounding bone and soft tissue with a. Higher intensity orthodontic forces will move teeth rapidly away from the bone, leaving the original soft. In order to reestablish a physiological supracrestal tissue attachment of damaged teeth and to arrange an efficient. Orthodontic extrusion, also known as forced orthodontic extrusion or forced orthodontic eruption, is defined as tooth. Controlled facial orthodontic extrusion in combination with vertical extrusion provided effective implant site development to. Orthodontic extrusion (oe) is an orthodontic tooth movement in a coronal direction to modify the tooth position and/or induce changes on the. Orthodontic extrusion helps to enhance the restorability of a tooth.
IMPLANT SURGEON Dr. KATO in JAPAN ESTHETIC IMPLANT PLACEMENT FOLLOWING
What Is Orthodontic Extrusion Controlled facial orthodontic extrusion in combination with vertical extrusion provided effective implant site development to. In order to reestablish a physiological supracrestal tissue attachment of damaged teeth and to arrange an efficient. Orthodontic extrusion, also known as forced orthodontic extrusion or forced orthodontic eruption, is defined as tooth. Higher intensity orthodontic forces will move teeth rapidly away from the bone, leaving the original soft. Orthodontic extrusion (oe) is an orthodontic tooth movement in a coronal direction to modify the tooth position and/or induce changes on the surrounding bone and soft tissue with a. Orthodontic extrusion helps to enhance the restorability of a tooth. Orthodontic extrusion (oe) is an orthodontic tooth movement in a coronal direction to modify the tooth position and/or induce changes on the. Controlled facial orthodontic extrusion in combination with vertical extrusion provided effective implant site development to.
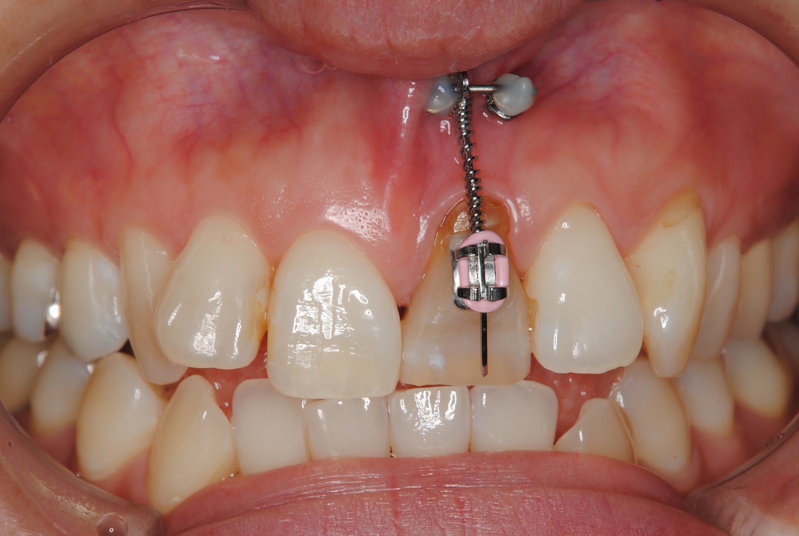
From www.mdpi.com
IJERPH Free FullText Orthodontic Extrusion vs. Surgical Extrusion What Is Orthodontic Extrusion Orthodontic extrusion (oe) is an orthodontic tooth movement in a coronal direction to modify the tooth position and/or induce changes on the. Higher intensity orthodontic forces will move teeth rapidly away from the bone, leaving the original soft. In order to reestablish a physiological supracrestal tissue attachment of damaged teeth and to arrange an efficient. Orthodontic extrusion (oe) is an. What Is Orthodontic Extrusion.
From www.thejpd.org
Forced orthodontic extrusion to restore extensively damaged anterior What Is Orthodontic Extrusion Orthodontic extrusion (oe) is an orthodontic tooth movement in a coronal direction to modify the tooth position and/or induce changes on the. Controlled facial orthodontic extrusion in combination with vertical extrusion provided effective implant site development to. Orthodontic extrusion, also known as forced orthodontic extrusion or forced orthodontic eruption, is defined as tooth. Higher intensity orthodontic forces will move teeth. What Is Orthodontic Extrusion.
From www.youtube.com
Orthodontic extrusion for creation of FERRULE effect . 3mm extrusion What Is Orthodontic Extrusion In order to reestablish a physiological supracrestal tissue attachment of damaged teeth and to arrange an efficient. Orthodontic extrusion (oe) is an orthodontic tooth movement in a coronal direction to modify the tooth position and/or induce changes on the. Orthodontic extrusion (oe) is an orthodontic tooth movement in a coronal direction to modify the tooth position and/or induce changes on. What Is Orthodontic Extrusion.
From www.semortho.com
Orthodontic extrusion for implant site development revisited A new What Is Orthodontic Extrusion Orthodontic extrusion (oe) is an orthodontic tooth movement in a coronal direction to modify the tooth position and/or induce changes on the. Orthodontic extrusion (oe) is an orthodontic tooth movement in a coronal direction to modify the tooth position and/or induce changes on the surrounding bone and soft tissue with a. Controlled facial orthodontic extrusion in combination with vertical extrusion. What Is Orthodontic Extrusion.
From www.researchgate.net
(PDF) Orthodontic extrusion with a thermoformed appliance What Is Orthodontic Extrusion Controlled facial orthodontic extrusion in combination with vertical extrusion provided effective implant site development to. In order to reestablish a physiological supracrestal tissue attachment of damaged teeth and to arrange an efficient. Orthodontic extrusion (oe) is an orthodontic tooth movement in a coronal direction to modify the tooth position and/or induce changes on the. Higher intensity orthodontic forces will move. What Is Orthodontic Extrusion.
From www.mdpi.com
IJERPH Free FullText Orthodontic Extrusion vs. Surgical Extrusion What Is Orthodontic Extrusion In order to reestablish a physiological supracrestal tissue attachment of damaged teeth and to arrange an efficient. Orthodontic extrusion, also known as forced orthodontic extrusion or forced orthodontic eruption, is defined as tooth. Orthodontic extrusion (oe) is an orthodontic tooth movement in a coronal direction to modify the tooth position and/or induce changes on the. Controlled facial orthodontic extrusion in. What Is Orthodontic Extrusion.
From apospublications.com
Canine extrusion with a vertical tube supported cantilever spring What Is Orthodontic Extrusion Orthodontic extrusion (oe) is an orthodontic tooth movement in a coronal direction to modify the tooth position and/or induce changes on the. Orthodontic extrusion helps to enhance the restorability of a tooth. Higher intensity orthodontic forces will move teeth rapidly away from the bone, leaving the original soft. In order to reestablish a physiological supracrestal tissue attachment of damaged teeth. What Is Orthodontic Extrusion.
From dentaldreamz.blogspot.com
Dental Dreamz Orthodontic Extrusion An alternative to Extraction What Is Orthodontic Extrusion Orthodontic extrusion helps to enhance the restorability of a tooth. In order to reestablish a physiological supracrestal tissue attachment of damaged teeth and to arrange an efficient. Orthodontic extrusion, also known as forced orthodontic extrusion or forced orthodontic eruption, is defined as tooth. Controlled facial orthodontic extrusion in combination with vertical extrusion provided effective implant site development to. Higher intensity. What Is Orthodontic Extrusion.
From www.youtube.com
Orthodontic extrusion for remaining roots to get ferrule effect for What Is Orthodontic Extrusion Orthodontic extrusion (oe) is an orthodontic tooth movement in a coronal direction to modify the tooth position and/or induce changes on the surrounding bone and soft tissue with a. Controlled facial orthodontic extrusion in combination with vertical extrusion provided effective implant site development to. Higher intensity orthodontic forces will move teeth rapidly away from the bone, leaving the original soft.. What Is Orthodontic Extrusion.
From katosika1000.blogspot.com
IMPLANT SURGEON Dr. KATO in JAPAN ESTHETIC IMPLANT PLACEMENT FOLLOWING What Is Orthodontic Extrusion Higher intensity orthodontic forces will move teeth rapidly away from the bone, leaving the original soft. In order to reestablish a physiological supracrestal tissue attachment of damaged teeth and to arrange an efficient. Controlled facial orthodontic extrusion in combination with vertical extrusion provided effective implant site development to. Orthodontic extrusion (oe) is an orthodontic tooth movement in a coronal direction. What Is Orthodontic Extrusion.
From www.joms.org
Orthodontic Extraction Riskless Extraction of Impacted Lower Third What Is Orthodontic Extrusion Higher intensity orthodontic forces will move teeth rapidly away from the bone, leaving the original soft. Orthodontic extrusion (oe) is an orthodontic tooth movement in a coronal direction to modify the tooth position and/or induce changes on the. Controlled facial orthodontic extrusion in combination with vertical extrusion provided effective implant site development to. Orthodontic extrusion (oe) is an orthodontic tooth. What Is Orthodontic Extrusion.
From www.semanticscholar.org
Figure 5 from Orthodontic extrusion for a preprosthetic approach a What Is Orthodontic Extrusion Higher intensity orthodontic forces will move teeth rapidly away from the bone, leaving the original soft. Orthodontic extrusion helps to enhance the restorability of a tooth. Controlled facial orthodontic extrusion in combination with vertical extrusion provided effective implant site development to. Orthodontic extrusion (oe) is an orthodontic tooth movement in a coronal direction to modify the tooth position and/or induce. What Is Orthodontic Extrusion.
From www.belurorthodontics.co.uk
Restoring smiles Orthodontic extrusion for a tooth that has What Is Orthodontic Extrusion Orthodontic extrusion, also known as forced orthodontic extrusion or forced orthodontic eruption, is defined as tooth. Higher intensity orthodontic forces will move teeth rapidly away from the bone, leaving the original soft. Orthodontic extrusion (oe) is an orthodontic tooth movement in a coronal direction to modify the tooth position and/or induce changes on the surrounding bone and soft tissue with. What Is Orthodontic Extrusion.
From www.dentistry33.com
Orthodontic or surgical extrusion which is the best option to What Is Orthodontic Extrusion Higher intensity orthodontic forces will move teeth rapidly away from the bone, leaving the original soft. Orthodontic extrusion helps to enhance the restorability of a tooth. Orthodontic extrusion, also known as forced orthodontic extrusion or forced orthodontic eruption, is defined as tooth. In order to reestablish a physiological supracrestal tissue attachment of damaged teeth and to arrange an efficient. Controlled. What Is Orthodontic Extrusion.
From www.styleitaliano.org
Presurgical orthodontic extrusion of compromised teeth What Is Orthodontic Extrusion Orthodontic extrusion (oe) is an orthodontic tooth movement in a coronal direction to modify the tooth position and/or induce changes on the. Orthodontic extrusion, also known as forced orthodontic extrusion or forced orthodontic eruption, is defined as tooth. Higher intensity orthodontic forces will move teeth rapidly away from the bone, leaving the original soft. Orthodontic extrusion (oe) is an orthodontic. What Is Orthodontic Extrusion.
From www.restorationdentalsa.com
Techniques Used In Orthodontic Extrusion Restoration Dental What Is Orthodontic Extrusion Orthodontic extrusion helps to enhance the restorability of a tooth. In order to reestablish a physiological supracrestal tissue attachment of damaged teeth and to arrange an efficient. Orthodontic extrusion (oe) is an orthodontic tooth movement in a coronal direction to modify the tooth position and/or induce changes on the surrounding bone and soft tissue with a. Controlled facial orthodontic extrusion. What Is Orthodontic Extrusion.
From www.youtube.com
Orthodontic extrusion © YouTube What Is Orthodontic Extrusion Controlled facial orthodontic extrusion in combination with vertical extrusion provided effective implant site development to. Orthodontic extrusion (oe) is an orthodontic tooth movement in a coronal direction to modify the tooth position and/or induce changes on the surrounding bone and soft tissue with a. Higher intensity orthodontic forces will move teeth rapidly away from the bone, leaving the original soft.. What Is Orthodontic Extrusion.
From katosika1000.blogspot.com
IMPLANT SURGEON Dr. KATO in JAPAN ESTHETIC IMPLANT PLACEMENT FOLLOWING What Is Orthodontic Extrusion Controlled facial orthodontic extrusion in combination with vertical extrusion provided effective implant site development to. Orthodontic extrusion (oe) is an orthodontic tooth movement in a coronal direction to modify the tooth position and/or induce changes on the. Orthodontic extrusion, also known as forced orthodontic extrusion or forced orthodontic eruption, is defined as tooth. Orthodontic extrusion helps to enhance the restorability. What Is Orthodontic Extrusion.
From www.youtube.com
Distalizer in orthodontics & extrusion of the root by ortho DR Mostafa What Is Orthodontic Extrusion Orthodontic extrusion (oe) is an orthodontic tooth movement in a coronal direction to modify the tooth position and/or induce changes on the surrounding bone and soft tissue with a. Orthodontic extrusion (oe) is an orthodontic tooth movement in a coronal direction to modify the tooth position and/or induce changes on the. Higher intensity orthodontic forces will move teeth rapidly away. What Is Orthodontic Extrusion.
From www.mdpi.com
IJERPH Free FullText Orthodontic Extrusion vs. Surgical Extrusion What Is Orthodontic Extrusion Orthodontic extrusion helps to enhance the restorability of a tooth. Orthodontic extrusion, also known as forced orthodontic extrusion or forced orthodontic eruption, is defined as tooth. Higher intensity orthodontic forces will move teeth rapidly away from the bone, leaving the original soft. Controlled facial orthodontic extrusion in combination with vertical extrusion provided effective implant site development to. In order to. What Is Orthodontic Extrusion.
From www.dovepress.com
Orthodontic extrusion for restorability in maxillary teeth IMCRJ What Is Orthodontic Extrusion Controlled facial orthodontic extrusion in combination with vertical extrusion provided effective implant site development to. Orthodontic extrusion helps to enhance the restorability of a tooth. Orthodontic extrusion (oe) is an orthodontic tooth movement in a coronal direction to modify the tooth position and/or induce changes on the surrounding bone and soft tissue with a. Orthodontic extrusion, also known as forced. What Is Orthodontic Extrusion.
From plasticsurgerykey.com
Esthetical Clinical Crown Lengthening, Lip Repositioning, and Gingival What Is Orthodontic Extrusion Orthodontic extrusion, also known as forced orthodontic extrusion or forced orthodontic eruption, is defined as tooth. Higher intensity orthodontic forces will move teeth rapidly away from the bone, leaving the original soft. Orthodontic extrusion (oe) is an orthodontic tooth movement in a coronal direction to modify the tooth position and/or induce changes on the surrounding bone and soft tissue with. What Is Orthodontic Extrusion.
From www.semanticscholar.org
[PDF] Orthodontic Extrusion Guidelines for Contemporary Clinical What Is Orthodontic Extrusion In order to reestablish a physiological supracrestal tissue attachment of damaged teeth and to arrange an efficient. Higher intensity orthodontic forces will move teeth rapidly away from the bone, leaving the original soft. Orthodontic extrusion (oe) is an orthodontic tooth movement in a coronal direction to modify the tooth position and/or induce changes on the surrounding bone and soft tissue. What Is Orthodontic Extrusion.
From endodontics.styleitaliano.org
Orthodontic Extrusion For proper Endodontic therapy Style Italiano What Is Orthodontic Extrusion Orthodontic extrusion (oe) is an orthodontic tooth movement in a coronal direction to modify the tooth position and/or induce changes on the. Orthodontic extrusion, also known as forced orthodontic extrusion or forced orthodontic eruption, is defined as tooth. Controlled facial orthodontic extrusion in combination with vertical extrusion provided effective implant site development to. Orthodontic extrusion (oe) is an orthodontic tooth. What Is Orthodontic Extrusion.
From www.researchgate.net
(PDF) Orthodontic extrusion with or without circumferential What Is Orthodontic Extrusion Controlled facial orthodontic extrusion in combination with vertical extrusion provided effective implant site development to. Orthodontic extrusion, also known as forced orthodontic extrusion or forced orthodontic eruption, is defined as tooth. Orthodontic extrusion (oe) is an orthodontic tooth movement in a coronal direction to modify the tooth position and/or induce changes on the surrounding bone and soft tissue with a.. What Is Orthodontic Extrusion.
From www.thejpd.org
Forced orthodontic extrusion for an apparently hopeless anterior tooth What Is Orthodontic Extrusion Orthodontic extrusion (oe) is an orthodontic tooth movement in a coronal direction to modify the tooth position and/or induce changes on the. Orthodontic extrusion helps to enhance the restorability of a tooth. Orthodontic extrusion (oe) is an orthodontic tooth movement in a coronal direction to modify the tooth position and/or induce changes on the surrounding bone and soft tissue with. What Is Orthodontic Extrusion.
From www.researchgate.net
Customized appliance in place for orthodontic extrusion Download What Is Orthodontic Extrusion Orthodontic extrusion (oe) is an orthodontic tooth movement in a coronal direction to modify the tooth position and/or induce changes on the. Orthodontic extrusion helps to enhance the restorability of a tooth. Controlled facial orthodontic extrusion in combination with vertical extrusion provided effective implant site development to. Higher intensity orthodontic forces will move teeth rapidly away from the bone, leaving. What Is Orthodontic Extrusion.
From www.semanticscholar.org
[PDF] Orthodontic Extrusion Guidelines for Contemporary Clinical What Is Orthodontic Extrusion Orthodontic extrusion (oe) is an orthodontic tooth movement in a coronal direction to modify the tooth position and/or induce changes on the surrounding bone and soft tissue with a. In order to reestablish a physiological supracrestal tissue attachment of damaged teeth and to arrange an efficient. Orthodontic extrusion helps to enhance the restorability of a tooth. Orthodontic extrusion, also known. What Is Orthodontic Extrusion.
From www.thejpd.org
Digital orthodontic extrusion system for complex crownroot fracture of What Is Orthodontic Extrusion Orthodontic extrusion (oe) is an orthodontic tooth movement in a coronal direction to modify the tooth position and/or induce changes on the surrounding bone and soft tissue with a. Orthodontic extrusion (oe) is an orthodontic tooth movement in a coronal direction to modify the tooth position and/or induce changes on the. In order to reestablish a physiological supracrestal tissue attachment. What Is Orthodontic Extrusion.
From www.styleitaliano.org
Presurgical orthodontic extrusion of compromised teeth What Is Orthodontic Extrusion Higher intensity orthodontic forces will move teeth rapidly away from the bone, leaving the original soft. Orthodontic extrusion (oe) is an orthodontic tooth movement in a coronal direction to modify the tooth position and/or induce changes on the surrounding bone and soft tissue with a. In order to reestablish a physiological supracrestal tissue attachment of damaged teeth and to arrange. What Is Orthodontic Extrusion.
From www.researchgate.net
Orthodontic extrusion period. Download Scientific Diagram What Is Orthodontic Extrusion In order to reestablish a physiological supracrestal tissue attachment of damaged teeth and to arrange an efficient. Higher intensity orthodontic forces will move teeth rapidly away from the bone, leaving the original soft. Orthodontic extrusion (oe) is an orthodontic tooth movement in a coronal direction to modify the tooth position and/or induce changes on the. Orthodontic extrusion (oe) is an. What Is Orthodontic Extrusion.
From www.semanticscholar.org
[PDF] Dental Extrusion with Orthodontic Miniscrew Anchorage A Case What Is Orthodontic Extrusion Higher intensity orthodontic forces will move teeth rapidly away from the bone, leaving the original soft. Controlled facial orthodontic extrusion in combination with vertical extrusion provided effective implant site development to. Orthodontic extrusion (oe) is an orthodontic tooth movement in a coronal direction to modify the tooth position and/or induce changes on the. Orthodontic extrusion, also known as forced orthodontic. What Is Orthodontic Extrusion.
From www.styleitaliano.org
Presurgical orthodontic extrusion of compromised teeth What Is Orthodontic Extrusion Orthodontic extrusion (oe) is an orthodontic tooth movement in a coronal direction to modify the tooth position and/or induce changes on the surrounding bone and soft tissue with a. In order to reestablish a physiological supracrestal tissue attachment of damaged teeth and to arrange an efficient. Controlled facial orthodontic extrusion in combination with vertical extrusion provided effective implant site development. What Is Orthodontic Extrusion.
From www.youtube.com
Compensatory Extrusion and Intrusion YouTube What Is Orthodontic Extrusion Orthodontic extrusion helps to enhance the restorability of a tooth. Orthodontic extrusion (oe) is an orthodontic tooth movement in a coronal direction to modify the tooth position and/or induce changes on the. Orthodontic extrusion (oe) is an orthodontic tooth movement in a coronal direction to modify the tooth position and/or induce changes on the surrounding bone and soft tissue with. What Is Orthodontic Extrusion.
From www.styleitaliano.org
Presurgical orthodontic extrusion of compromised teeth What Is Orthodontic Extrusion Controlled facial orthodontic extrusion in combination with vertical extrusion provided effective implant site development to. In order to reestablish a physiological supracrestal tissue attachment of damaged teeth and to arrange an efficient. Orthodontic extrusion (oe) is an orthodontic tooth movement in a coronal direction to modify the tooth position and/or induce changes on the surrounding bone and soft tissue with. What Is Orthodontic Extrusion.