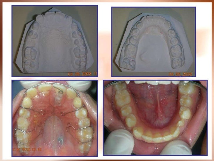
Orthodontic Case Presentation . From the situational casts, the restorative treatment plan was developed with the. 38 likes • 27,112 views. case presentation is a delicate art, but with the right tools, every dentist can improve their rates of case acceptance. You can find documents in the next section to help you prepare the presentation, and the documents you should adhere to when bringing a presentation. this orthodontic case presentation outlines a patient's problem list, treatment objectives to address their. orthodontic case presentation | ppt. in order to examine a large number of cases fairly and accurately, it is important that the case presentations are standardized as this helps the work of the examination committee members.
from www.slideshare.net
From the situational casts, the restorative treatment plan was developed with the. this orthodontic case presentation outlines a patient's problem list, treatment objectives to address their. You can find documents in the next section to help you prepare the presentation, and the documents you should adhere to when bringing a presentation. in order to examine a large number of cases fairly and accurately, it is important that the case presentations are standardized as this helps the work of the examination committee members. orthodontic case presentation | ppt. 38 likes • 27,112 views. case presentation is a delicate art, but with the right tools, every dentist can improve their rates of case acceptance.
orthodontic case presentation
Orthodontic Case Presentation orthodontic case presentation | ppt. From the situational casts, the restorative treatment plan was developed with the. 38 likes • 27,112 views. in order to examine a large number of cases fairly and accurately, it is important that the case presentations are standardized as this helps the work of the examination committee members. case presentation is a delicate art, but with the right tools, every dentist can improve their rates of case acceptance. this orthodontic case presentation outlines a patient's problem list, treatment objectives to address their. orthodontic case presentation | ppt. You can find documents in the next section to help you prepare the presentation, and the documents you should adhere to when bringing a presentation.
From www.slideserve.com
PPT Orthodontic Case Analysis PowerPoint Presentation, free download Orthodontic Case Presentation 38 likes • 27,112 views. orthodontic case presentation | ppt. From the situational casts, the restorative treatment plan was developed with the. this orthodontic case presentation outlines a patient's problem list, treatment objectives to address their. You can find documents in the next section to help you prepare the presentation, and the documents you should adhere to when. Orthodontic Case Presentation.
From www.slideshare.net
Orthodontic case presentation Orthodontic Case Presentation in order to examine a large number of cases fairly and accurately, it is important that the case presentations are standardized as this helps the work of the examination committee members. orthodontic case presentation | ppt. 38 likes • 27,112 views. You can find documents in the next section to help you prepare the presentation, and the documents. Orthodontic Case Presentation.
From www.slideshare.net
orthodontic case presentation Orthodontic Case Presentation You can find documents in the next section to help you prepare the presentation, and the documents you should adhere to when bringing a presentation. in order to examine a large number of cases fairly and accurately, it is important that the case presentations are standardized as this helps the work of the examination committee members. this orthodontic. Orthodontic Case Presentation.
From www.slideshare.net
Orthodontic case presentation Orthodontic Case Presentation in order to examine a large number of cases fairly and accurately, it is important that the case presentations are standardized as this helps the work of the examination committee members. orthodontic case presentation | ppt. this orthodontic case presentation outlines a patient's problem list, treatment objectives to address their. You can find documents in the next. Orthodontic Case Presentation.
From www.slideshare.net
orthodontic case presentation Orthodontic Case Presentation From the situational casts, the restorative treatment plan was developed with the. 38 likes • 27,112 views. case presentation is a delicate art, but with the right tools, every dentist can improve their rates of case acceptance. You can find documents in the next section to help you prepare the presentation, and the documents you should adhere to when. Orthodontic Case Presentation.
From www.slideshare.net
Orthodontic case presentation Orthodontic Case Presentation You can find documents in the next section to help you prepare the presentation, and the documents you should adhere to when bringing a presentation. in order to examine a large number of cases fairly and accurately, it is important that the case presentations are standardized as this helps the work of the examination committee members. From the situational. Orthodontic Case Presentation.
From www.slideshare.net
orthodontic case presentation Orthodontic Case Presentation this orthodontic case presentation outlines a patient's problem list, treatment objectives to address their. case presentation is a delicate art, but with the right tools, every dentist can improve their rates of case acceptance. in order to examine a large number of cases fairly and accurately, it is important that the case presentations are standardized as this. Orthodontic Case Presentation.
From www.scribd.com
Orthodontic Case Presentation PDF Facial Features Dental Anatomy Orthodontic Case Presentation From the situational casts, the restorative treatment plan was developed with the. orthodontic case presentation | ppt. You can find documents in the next section to help you prepare the presentation, and the documents you should adhere to when bringing a presentation. in order to examine a large number of cases fairly and accurately, it is important that. Orthodontic Case Presentation.
From www.slideshare.net
orthodontic case presentation PPT Orthodontic Case Presentation case presentation is a delicate art, but with the right tools, every dentist can improve their rates of case acceptance. in order to examine a large number of cases fairly and accurately, it is important that the case presentations are standardized as this helps the work of the examination committee members. this orthodontic case presentation outlines a. Orthodontic Case Presentation.
From www.slideshare.net
orthodontic case presentation Orthodontic Case Presentation orthodontic case presentation | ppt. this orthodontic case presentation outlines a patient's problem list, treatment objectives to address their. From the situational casts, the restorative treatment plan was developed with the. in order to examine a large number of cases fairly and accurately, it is important that the case presentations are standardized as this helps the work. Orthodontic Case Presentation.
From www.slideshare.net
orthodontic case presentation Orthodontic Case Presentation in order to examine a large number of cases fairly and accurately, it is important that the case presentations are standardized as this helps the work of the examination committee members. case presentation is a delicate art, but with the right tools, every dentist can improve their rates of case acceptance. You can find documents in the next. Orthodontic Case Presentation.
From www.slideshare.net
orthodontic case presentation Orthodontic Case Presentation in order to examine a large number of cases fairly and accurately, it is important that the case presentations are standardized as this helps the work of the examination committee members. case presentation is a delicate art, but with the right tools, every dentist can improve their rates of case acceptance. From the situational casts, the restorative treatment. Orthodontic Case Presentation.
From www.slideshare.net
orthodontic case presentation Orthodontic Case Presentation case presentation is a delicate art, but with the right tools, every dentist can improve their rates of case acceptance. this orthodontic case presentation outlines a patient's problem list, treatment objectives to address their. in order to examine a large number of cases fairly and accurately, it is important that the case presentations are standardized as this. Orthodontic Case Presentation.
From www.slideshare.net
Orthodontic case presentation Orthodontic Case Presentation case presentation is a delicate art, but with the right tools, every dentist can improve their rates of case acceptance. You can find documents in the next section to help you prepare the presentation, and the documents you should adhere to when bringing a presentation. this orthodontic case presentation outlines a patient's problem list, treatment objectives to address. Orthodontic Case Presentation.
From www.slideshare.net
orthodontic case presentation Orthodontic Case Presentation You can find documents in the next section to help you prepare the presentation, and the documents you should adhere to when bringing a presentation. 38 likes • 27,112 views. this orthodontic case presentation outlines a patient's problem list, treatment objectives to address their. From the situational casts, the restorative treatment plan was developed with the. in order. Orthodontic Case Presentation.
From www.youtube.com
Orthodontic Case Presentation YouTube Orthodontic Case Presentation 38 likes • 27,112 views. orthodontic case presentation | ppt. case presentation is a delicate art, but with the right tools, every dentist can improve their rates of case acceptance. in order to examine a large number of cases fairly and accurately, it is important that the case presentations are standardized as this helps the work of. Orthodontic Case Presentation.
From www.slideshare.net
orthodontic case presentation Orthodontic Case Presentation From the situational casts, the restorative treatment plan was developed with the. this orthodontic case presentation outlines a patient's problem list, treatment objectives to address their. You can find documents in the next section to help you prepare the presentation, and the documents you should adhere to when bringing a presentation. case presentation is a delicate art, but. Orthodontic Case Presentation.
From dokumen.tips
(PPT) Orthodontic Case Presentation DOKUMEN.TIPS Orthodontic Case Presentation From the situational casts, the restorative treatment plan was developed with the. this orthodontic case presentation outlines a patient's problem list, treatment objectives to address their. You can find documents in the next section to help you prepare the presentation, and the documents you should adhere to when bringing a presentation. case presentation is a delicate art, but. Orthodontic Case Presentation.
From www.slideshare.net
Orthodontic case presentation Orthodontic Case Presentation case presentation is a delicate art, but with the right tools, every dentist can improve their rates of case acceptance. orthodontic case presentation | ppt. in order to examine a large number of cases fairly and accurately, it is important that the case presentations are standardized as this helps the work of the examination committee members. From. Orthodontic Case Presentation.
From www.slideshare.net
orthodontic case presentation Orthodontic Case Presentation case presentation is a delicate art, but with the right tools, every dentist can improve their rates of case acceptance. orthodontic case presentation | ppt. in order to examine a large number of cases fairly and accurately, it is important that the case presentations are standardized as this helps the work of the examination committee members. From. Orthodontic Case Presentation.
From www.slideshare.net
Orthodontic case presentation Orthodontic Case Presentation orthodontic case presentation | ppt. You can find documents in the next section to help you prepare the presentation, and the documents you should adhere to when bringing a presentation. 38 likes • 27,112 views. in order to examine a large number of cases fairly and accurately, it is important that the case presentations are standardized as this. Orthodontic Case Presentation.
From www.slideshare.net
Orthodontic case presentation Orthodontic Case Presentation From the situational casts, the restorative treatment plan was developed with the. orthodontic case presentation | ppt. in order to examine a large number of cases fairly and accurately, it is important that the case presentations are standardized as this helps the work of the examination committee members. this orthodontic case presentation outlines a patient's problem list,. Orthodontic Case Presentation.
From www.slideshare.net
Orthodontic case presentation Orthodontic Case Presentation case presentation is a delicate art, but with the right tools, every dentist can improve their rates of case acceptance. in order to examine a large number of cases fairly and accurately, it is important that the case presentations are standardized as this helps the work of the examination committee members. From the situational casts, the restorative treatment. Orthodontic Case Presentation.
From www.slideshare.net
orthodontic case presentation Orthodontic Case Presentation You can find documents in the next section to help you prepare the presentation, and the documents you should adhere to when bringing a presentation. in order to examine a large number of cases fairly and accurately, it is important that the case presentations are standardized as this helps the work of the examination committee members. case presentation. Orthodontic Case Presentation.
From www.slideshare.net
an Example for Orthodontic case presentation PPT Orthodontic Case Presentation in order to examine a large number of cases fairly and accurately, it is important that the case presentations are standardized as this helps the work of the examination committee members. You can find documents in the next section to help you prepare the presentation, and the documents you should adhere to when bringing a presentation. orthodontic case. Orthodontic Case Presentation.
From www.slideshare.net
orthodontic case presentation Orthodontic Case Presentation in order to examine a large number of cases fairly and accurately, it is important that the case presentations are standardized as this helps the work of the examination committee members. 38 likes • 27,112 views. this orthodontic case presentation outlines a patient's problem list, treatment objectives to address their. From the situational casts, the restorative treatment plan. Orthodontic Case Presentation.
From www.slideshare.net
Orthodontic case presentation Orthodontic Case Presentation 38 likes • 27,112 views. From the situational casts, the restorative treatment plan was developed with the. this orthodontic case presentation outlines a patient's problem list, treatment objectives to address their. case presentation is a delicate art, but with the right tools, every dentist can improve their rates of case acceptance. in order to examine a large. Orthodontic Case Presentation.
From www.slideshare.net
orthodontic case presentation Orthodontic Case Presentation orthodontic case presentation | ppt. in order to examine a large number of cases fairly and accurately, it is important that the case presentations are standardized as this helps the work of the examination committee members. case presentation is a delicate art, but with the right tools, every dentist can improve their rates of case acceptance. . Orthodontic Case Presentation.
From www.researchgate.net
(PDF) Case Report, Poster PresentationOman International Dental Conference Orthodontic Case Presentation orthodontic case presentation | ppt. this orthodontic case presentation outlines a patient's problem list, treatment objectives to address their. in order to examine a large number of cases fairly and accurately, it is important that the case presentations are standardized as this helps the work of the examination committee members. You can find documents in the next. Orthodontic Case Presentation.
From www.slideshare.net
orthodontic case presentation Orthodontic Case Presentation 38 likes • 27,112 views. From the situational casts, the restorative treatment plan was developed with the. You can find documents in the next section to help you prepare the presentation, and the documents you should adhere to when bringing a presentation. this orthodontic case presentation outlines a patient's problem list, treatment objectives to address their. case presentation. Orthodontic Case Presentation.
From www.slideshare.net
Orthodontics case presentation Drnoor haddadin PPT Orthodontic Case Presentation case presentation is a delicate art, but with the right tools, every dentist can improve their rates of case acceptance. 38 likes • 27,112 views. You can find documents in the next section to help you prepare the presentation, and the documents you should adhere to when bringing a presentation. in order to examine a large number of. Orthodontic Case Presentation.
From www.studypool.com
SOLUTION Orthodontic case presentation Studypool Orthodontic Case Presentation 38 likes • 27,112 views. You can find documents in the next section to help you prepare the presentation, and the documents you should adhere to when bringing a presentation. this orthodontic case presentation outlines a patient's problem list, treatment objectives to address their. in order to examine a large number of cases fairly and accurately, it is. Orthodontic Case Presentation.
From www.slideshare.net
orthodontic case presentation Orthodontic Case Presentation this orthodontic case presentation outlines a patient's problem list, treatment objectives to address their. orthodontic case presentation | ppt. in order to examine a large number of cases fairly and accurately, it is important that the case presentations are standardized as this helps the work of the examination committee members. You can find documents in the next. Orthodontic Case Presentation.
From www.slideshare.net
orthodontic case presentation Orthodontic Case Presentation in order to examine a large number of cases fairly and accurately, it is important that the case presentations are standardized as this helps the work of the examination committee members. You can find documents in the next section to help you prepare the presentation, and the documents you should adhere to when bringing a presentation. orthodontic case. Orthodontic Case Presentation.
From www.slideshare.net
orthodontic case presentation Orthodontic Case Presentation this orthodontic case presentation outlines a patient's problem list, treatment objectives to address their. 38 likes • 27,112 views. case presentation is a delicate art, but with the right tools, every dentist can improve their rates of case acceptance. You can find documents in the next section to help you prepare the presentation, and the documents you should. Orthodontic Case Presentation.