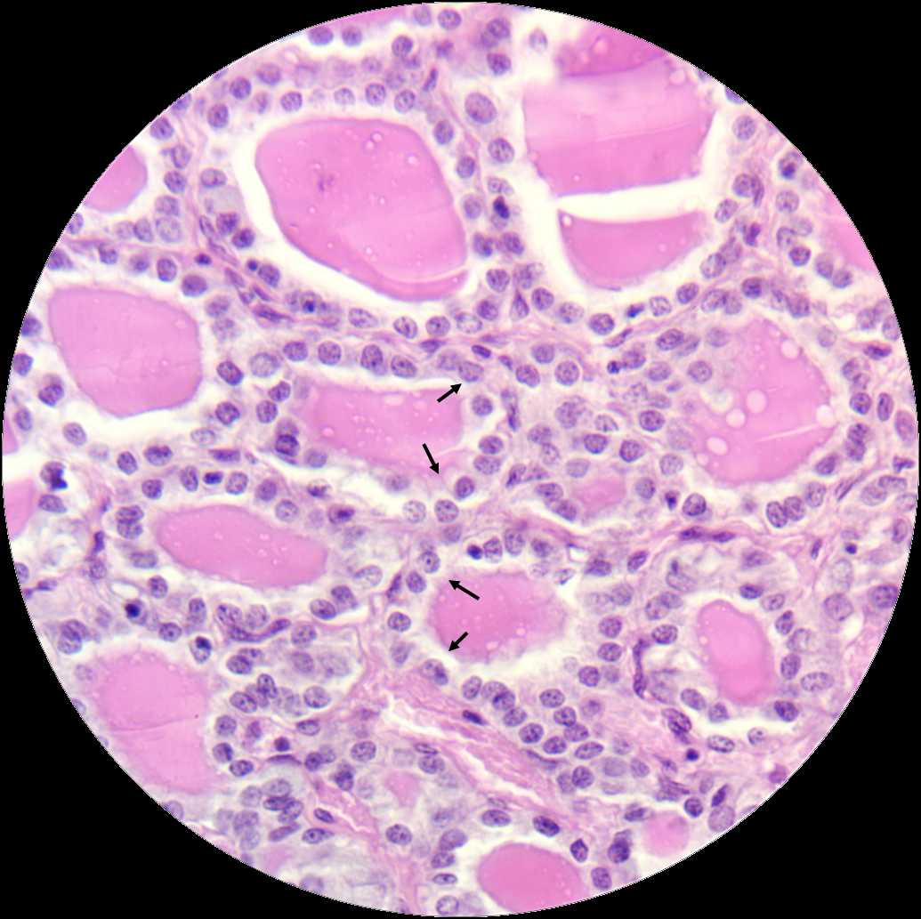
Main Function Of Simple Cuboidal Epithelium . functions of the simple cuboidal epithelium. key facts about the simple epithelium; They contain a single layer of cuboidal cells with large. the cells of simple cuboidal epithelium are almost tall as they are wide. the main function of a simple cuboidal epithelium is the production or absorption of substances. simple cuboidal epithelium is found in organs with these functions, such as the ducts of the salivary glands, liver, pancreas and other. Owing to the shape of the cells, the primary functions of the simple cuboidal. simple cuboidal epithelium is found surrounding follicles in the thyroid gland (thyroid follicles) and lining some kidney. Absorption and filtration processes classes:
from ar.inspiredpencil.com
key facts about the simple epithelium; Absorption and filtration processes classes: They contain a single layer of cuboidal cells with large. the cells of simple cuboidal epithelium are almost tall as they are wide. simple cuboidal epithelium is found surrounding follicles in the thyroid gland (thyroid follicles) and lining some kidney. Owing to the shape of the cells, the primary functions of the simple cuboidal. the main function of a simple cuboidal epithelium is the production or absorption of substances. simple cuboidal epithelium is found in organs with these functions, such as the ducts of the salivary glands, liver, pancreas and other. functions of the simple cuboidal epithelium.
Simple Cuboidal Epithelium Labeled Basement Membrane
Main Function Of Simple Cuboidal Epithelium key facts about the simple epithelium; Owing to the shape of the cells, the primary functions of the simple cuboidal. the main function of a simple cuboidal epithelium is the production or absorption of substances. the cells of simple cuboidal epithelium are almost tall as they are wide. functions of the simple cuboidal epithelium. Absorption and filtration processes classes: simple cuboidal epithelium is found in organs with these functions, such as the ducts of the salivary glands, liver, pancreas and other. simple cuboidal epithelium is found surrounding follicles in the thyroid gland (thyroid follicles) and lining some kidney. key facts about the simple epithelium; They contain a single layer of cuboidal cells with large.
From ar.inspiredpencil.com
Simple Cuboidal Epithelium Labeled 400x Main Function Of Simple Cuboidal Epithelium key facts about the simple epithelium; They contain a single layer of cuboidal cells with large. simple cuboidal epithelium is found in organs with these functions, such as the ducts of the salivary glands, liver, pancreas and other. the cells of simple cuboidal epithelium are almost tall as they are wide. the main function of a. Main Function Of Simple Cuboidal Epithelium.
From mavink.com
Function Of Simple Cuboidal Epithelium Main Function Of Simple Cuboidal Epithelium They contain a single layer of cuboidal cells with large. simple cuboidal epithelium is found surrounding follicles in the thyroid gland (thyroid follicles) and lining some kidney. the cells of simple cuboidal epithelium are almost tall as they are wide. simple cuboidal epithelium is found in organs with these functions, such as the ducts of the salivary. Main Function Of Simple Cuboidal Epithelium.
From www.dreamstime.com
Simple cuboidal epithelium stock illustration. Illustration of cell Main Function Of Simple Cuboidal Epithelium simple cuboidal epithelium is found in organs with these functions, such as the ducts of the salivary glands, liver, pancreas and other. functions of the simple cuboidal epithelium. Owing to the shape of the cells, the primary functions of the simple cuboidal. simple cuboidal epithelium is found surrounding follicles in the thyroid gland (thyroid follicles) and lining. Main Function Of Simple Cuboidal Epithelium.
From mungfali.com
Simple Cuboidal Epithelium Structure Main Function Of Simple Cuboidal Epithelium functions of the simple cuboidal epithelium. simple cuboidal epithelium is found in organs with these functions, such as the ducts of the salivary glands, liver, pancreas and other. They contain a single layer of cuboidal cells with large. the main function of a simple cuboidal epithelium is the production or absorption of substances. Owing to the shape. Main Function Of Simple Cuboidal Epithelium.
From quizlet.com
Simple cuboidal epithelium Diagram Quizlet Main Function Of Simple Cuboidal Epithelium Owing to the shape of the cells, the primary functions of the simple cuboidal. Absorption and filtration processes classes: key facts about the simple epithelium; functions of the simple cuboidal epithelium. simple cuboidal epithelium is found in organs with these functions, such as the ducts of the salivary glands, liver, pancreas and other. the main function. Main Function Of Simple Cuboidal Epithelium.
From rajusbiology.com
Types of Epithelial Tissue Definition, Characteristics and Functions Main Function Of Simple Cuboidal Epithelium simple cuboidal epithelium is found in organs with these functions, such as the ducts of the salivary glands, liver, pancreas and other. They contain a single layer of cuboidal cells with large. key facts about the simple epithelium; simple cuboidal epithelium is found surrounding follicles in the thyroid gland (thyroid follicles) and lining some kidney. the. Main Function Of Simple Cuboidal Epithelium.
From endolab.ciscourses.com
Simple cuboidal epithelium Main Function Of Simple Cuboidal Epithelium the cells of simple cuboidal epithelium are almost tall as they are wide. Absorption and filtration processes classes: They contain a single layer of cuboidal cells with large. key facts about the simple epithelium; the main function of a simple cuboidal epithelium is the production or absorption of substances. functions of the simple cuboidal epithelium. . Main Function Of Simple Cuboidal Epithelium.
From rajusbiology.com
Function of Cuboidal Epithelium Rajus Biology Main Function Of Simple Cuboidal Epithelium Owing to the shape of the cells, the primary functions of the simple cuboidal. They contain a single layer of cuboidal cells with large. the main function of a simple cuboidal epithelium is the production or absorption of substances. the cells of simple cuboidal epithelium are almost tall as they are wide. simple cuboidal epithelium is found. Main Function Of Simple Cuboidal Epithelium.
From www.brainkart.com
Epithelial Tissue Main Function Of Simple Cuboidal Epithelium the cells of simple cuboidal epithelium are almost tall as they are wide. the main function of a simple cuboidal epithelium is the production or absorption of substances. simple cuboidal epithelium is found surrounding follicles in the thyroid gland (thyroid follicles) and lining some kidney. Owing to the shape of the cells, the primary functions of the. Main Function Of Simple Cuboidal Epithelium.
From www.kenhub.com
Epithelial tissue definition, functions & examples Kenhub Main Function Of Simple Cuboidal Epithelium Absorption and filtration processes classes: simple cuboidal epithelium is found in organs with these functions, such as the ducts of the salivary glands, liver, pancreas and other. functions of the simple cuboidal epithelium. They contain a single layer of cuboidal cells with large. Owing to the shape of the cells, the primary functions of the simple cuboidal. . Main Function Of Simple Cuboidal Epithelium.
From mungfali.com
Simple Cuboidal Epithelium Location Main Function Of Simple Cuboidal Epithelium Owing to the shape of the cells, the primary functions of the simple cuboidal. the main function of a simple cuboidal epithelium is the production or absorption of substances. key facts about the simple epithelium; They contain a single layer of cuboidal cells with large. Absorption and filtration processes classes: simple cuboidal epithelium is found in organs. Main Function Of Simple Cuboidal Epithelium.
From mungfali.com
Simple Cuboidal Epithelium Location Main Function Of Simple Cuboidal Epithelium simple cuboidal epithelium is found surrounding follicles in the thyroid gland (thyroid follicles) and lining some kidney. the cells of simple cuboidal epithelium are almost tall as they are wide. the main function of a simple cuboidal epithelium is the production or absorption of substances. Owing to the shape of the cells, the primary functions of the. Main Function Of Simple Cuboidal Epithelium.
From www.gettyimages.com
Simple Cuboidal Epithelium Kidney Tubules In Cross Section 250x Shows Main Function Of Simple Cuboidal Epithelium functions of the simple cuboidal epithelium. simple cuboidal epithelium is found in organs with these functions, such as the ducts of the salivary glands, liver, pancreas and other. Owing to the shape of the cells, the primary functions of the simple cuboidal. Absorption and filtration processes classes: simple cuboidal epithelium is found surrounding follicles in the thyroid. Main Function Of Simple Cuboidal Epithelium.
From mavink.com
Simple Cuboidal Epithelium Tissue Labeled Main Function Of Simple Cuboidal Epithelium the main function of a simple cuboidal epithelium is the production or absorption of substances. Absorption and filtration processes classes: the cells of simple cuboidal epithelium are almost tall as they are wide. functions of the simple cuboidal epithelium. simple cuboidal epithelium is found in organs with these functions, such as the ducts of the salivary. Main Function Of Simple Cuboidal Epithelium.
From ar.inspiredpencil.com
Simple Cuboidal Epithelium Labeled Basement Membrane Main Function Of Simple Cuboidal Epithelium simple cuboidal epithelium is found in organs with these functions, such as the ducts of the salivary glands, liver, pancreas and other. key facts about the simple epithelium; They contain a single layer of cuboidal cells with large. Absorption and filtration processes classes: Owing to the shape of the cells, the primary functions of the simple cuboidal. . Main Function Of Simple Cuboidal Epithelium.
From quizlet.com
Simple cuboidal epithelium Diagram Quizlet Main Function Of Simple Cuboidal Epithelium simple cuboidal epithelium is found surrounding follicles in the thyroid gland (thyroid follicles) and lining some kidney. the cells of simple cuboidal epithelium are almost tall as they are wide. key facts about the simple epithelium; the main function of a simple cuboidal epithelium is the production or absorption of substances. simple cuboidal epithelium is. Main Function Of Simple Cuboidal Epithelium.
From ar.inspiredpencil.com
Simple Cuboidal Epithelium Labeled Basement Membrane Main Function Of Simple Cuboidal Epithelium simple cuboidal epithelium is found in organs with these functions, such as the ducts of the salivary glands, liver, pancreas and other. functions of the simple cuboidal epithelium. the cells of simple cuboidal epithelium are almost tall as they are wide. They contain a single layer of cuboidal cells with large. Absorption and filtration processes classes: . Main Function Of Simple Cuboidal Epithelium.
From quizlet.com
Simple Cuboidal Epithelium Diagram Quizlet Main Function Of Simple Cuboidal Epithelium the cells of simple cuboidal epithelium are almost tall as they are wide. functions of the simple cuboidal epithelium. Owing to the shape of the cells, the primary functions of the simple cuboidal. the main function of a simple cuboidal epithelium is the production or absorption of substances. simple cuboidal epithelium is found surrounding follicles in. Main Function Of Simple Cuboidal Epithelium.
From mavink.com
Simple Cuboidal Epithelium Structure Main Function Of Simple Cuboidal Epithelium Owing to the shape of the cells, the primary functions of the simple cuboidal. functions of the simple cuboidal epithelium. simple cuboidal epithelium is found in organs with these functions, such as the ducts of the salivary glands, liver, pancreas and other. key facts about the simple epithelium; the cells of simple cuboidal epithelium are almost. Main Function Of Simple Cuboidal Epithelium.
From ar.inspiredpencil.com
Simple Cuboidal Epithelium Labeled Basement Membrane Main Function Of Simple Cuboidal Epithelium the cells of simple cuboidal epithelium are almost tall as they are wide. Absorption and filtration processes classes: They contain a single layer of cuboidal cells with large. simple cuboidal epithelium is found surrounding follicles in the thyroid gland (thyroid follicles) and lining some kidney. Owing to the shape of the cells, the primary functions of the simple. Main Function Of Simple Cuboidal Epithelium.
From www.animalia-life.club
Stratified Cuboidal Labeled Main Function Of Simple Cuboidal Epithelium key facts about the simple epithelium; functions of the simple cuboidal epithelium. the main function of a simple cuboidal epithelium is the production or absorption of substances. simple cuboidal epithelium is found surrounding follicles in the thyroid gland (thyroid follicles) and lining some kidney. Absorption and filtration processes classes: Owing to the shape of the cells,. Main Function Of Simple Cuboidal Epithelium.
From www.kenhub.com
Simple epithelium Location, function, structure Kenhub Main Function Of Simple Cuboidal Epithelium functions of the simple cuboidal epithelium. the cells of simple cuboidal epithelium are almost tall as they are wide. key facts about the simple epithelium; Absorption and filtration processes classes: simple cuboidal epithelium is found in organs with these functions, such as the ducts of the salivary glands, liver, pancreas and other. simple cuboidal epithelium. Main Function Of Simple Cuboidal Epithelium.
From ar.inspiredpencil.com
Simple Cuboidal Epithelial Tissue Labeled Main Function Of Simple Cuboidal Epithelium simple cuboidal epithelium is found surrounding follicles in the thyroid gland (thyroid follicles) and lining some kidney. They contain a single layer of cuboidal cells with large. the main function of a simple cuboidal epithelium is the production or absorption of substances. Owing to the shape of the cells, the primary functions of the simple cuboidal. functions. Main Function Of Simple Cuboidal Epithelium.
From mavink.com
Simple Cuboidal Cell Labeled Main Function Of Simple Cuboidal Epithelium key facts about the simple epithelium; simple cuboidal epithelium is found in organs with these functions, such as the ducts of the salivary glands, liver, pancreas and other. Owing to the shape of the cells, the primary functions of the simple cuboidal. They contain a single layer of cuboidal cells with large. the cells of simple cuboidal. Main Function Of Simple Cuboidal Epithelium.
From www.slideteam.net
0614 Simple Cuboidal Epithelium Medical Images For Powerpoint Main Function Of Simple Cuboidal Epithelium They contain a single layer of cuboidal cells with large. simple cuboidal epithelium is found in organs with these functions, such as the ducts of the salivary glands, liver, pancreas and other. functions of the simple cuboidal epithelium. Owing to the shape of the cells, the primary functions of the simple cuboidal. the main function of a. Main Function Of Simple Cuboidal Epithelium.
From mavink.com
Simple Cuboidal Epithelium Structure Main Function Of Simple Cuboidal Epithelium Owing to the shape of the cells, the primary functions of the simple cuboidal. functions of the simple cuboidal epithelium. simple cuboidal epithelium is found in organs with these functions, such as the ducts of the salivary glands, liver, pancreas and other. the cells of simple cuboidal epithelium are almost tall as they are wide. They contain. Main Function Of Simple Cuboidal Epithelium.
From www.vrogue.co
Simple Cuboidal Epithelium Apical Surface vrogue.co Main Function Of Simple Cuboidal Epithelium Absorption and filtration processes classes: the cells of simple cuboidal epithelium are almost tall as they are wide. They contain a single layer of cuboidal cells with large. the main function of a simple cuboidal epithelium is the production or absorption of substances. key facts about the simple epithelium; simple cuboidal epithelium is found in organs. Main Function Of Simple Cuboidal Epithelium.
From mavink.com
Simple Cuboidal Epithelium Location Function Main Function Of Simple Cuboidal Epithelium simple cuboidal epithelium is found in organs with these functions, such as the ducts of the salivary glands, liver, pancreas and other. key facts about the simple epithelium; simple cuboidal epithelium is found surrounding follicles in the thyroid gland (thyroid follicles) and lining some kidney. Owing to the shape of the cells, the primary functions of the. Main Function Of Simple Cuboidal Epithelium.
From rsscience.com
Classification and Types of Epithelial Tissues Rs' Science Main Function Of Simple Cuboidal Epithelium Owing to the shape of the cells, the primary functions of the simple cuboidal. Absorption and filtration processes classes: simple cuboidal epithelium is found in organs with these functions, such as the ducts of the salivary glands, liver, pancreas and other. functions of the simple cuboidal epithelium. key facts about the simple epithelium; simple cuboidal epithelium. Main Function Of Simple Cuboidal Epithelium.
From www.youtube.com
Simple Cuboidal Epithelium Anatomy YouTube Main Function Of Simple Cuboidal Epithelium the main function of a simple cuboidal epithelium is the production or absorption of substances. Absorption and filtration processes classes: functions of the simple cuboidal epithelium. simple cuboidal epithelium is found surrounding follicles in the thyroid gland (thyroid follicles) and lining some kidney. simple cuboidal epithelium is found in organs with these functions, such as the. Main Function Of Simple Cuboidal Epithelium.
From mungfali.com
Simple Cuboidal Epithelium Function Main Function Of Simple Cuboidal Epithelium They contain a single layer of cuboidal cells with large. key facts about the simple epithelium; functions of the simple cuboidal epithelium. Owing to the shape of the cells, the primary functions of the simple cuboidal. the cells of simple cuboidal epithelium are almost tall as they are wide. simple cuboidal epithelium is found surrounding follicles. Main Function Of Simple Cuboidal Epithelium.
From medium.com
Simple cuboidal epithelium Krasimir Velikov Medium Main Function Of Simple Cuboidal Epithelium Absorption and filtration processes classes: simple cuboidal epithelium is found surrounding follicles in the thyroid gland (thyroid follicles) and lining some kidney. the main function of a simple cuboidal epithelium is the production or absorption of substances. functions of the simple cuboidal epithelium. simple cuboidal epithelium is found in organs with these functions, such as the. Main Function Of Simple Cuboidal Epithelium.
From ar.inspiredpencil.com
Simple Cuboidal Epithelium Under Microscope Main Function Of Simple Cuboidal Epithelium the cells of simple cuboidal epithelium are almost tall as they are wide. Owing to the shape of the cells, the primary functions of the simple cuboidal. functions of the simple cuboidal epithelium. key facts about the simple epithelium; simple cuboidal epithelium is found in organs with these functions, such as the ducts of the salivary. Main Function Of Simple Cuboidal Epithelium.
From ar.inspiredpencil.com
Simple Cuboidal Epithelium Diagram Main Function Of Simple Cuboidal Epithelium Absorption and filtration processes classes: They contain a single layer of cuboidal cells with large. the cells of simple cuboidal epithelium are almost tall as they are wide. simple cuboidal epithelium is found in organs with these functions, such as the ducts of the salivary glands, liver, pancreas and other. Owing to the shape of the cells, the. Main Function Of Simple Cuboidal Epithelium.
From ar.inspiredpencil.com
Simple Cuboidal Epithelium Diagram Main Function Of Simple Cuboidal Epithelium Owing to the shape of the cells, the primary functions of the simple cuboidal. simple cuboidal epithelium is found surrounding follicles in the thyroid gland (thyroid follicles) and lining some kidney. Absorption and filtration processes classes: simple cuboidal epithelium is found in organs with these functions, such as the ducts of the salivary glands, liver, pancreas and other.. Main Function Of Simple Cuboidal Epithelium.