What Are Sternal Wires Made Of . learn about the use of rigid sternal fixation as an alternative to sternal wires for reduced pain and accelerated recovery from dr. The chest is then closed with. again, sternum wires (aka sternal wires) are used to close the breastbone following the surgical procedure on the heart. sternal wires closure of a midline sternotomy incision using wires is the standard method used for decades. three sternal wires are used prior to using the plates: patients should have no issues getting an mri after heart surgery that required the use of sternum wires. As the wires are typically made of. Sternum wires are used during a. a sternal wire is a surgical component used to secure the sternum after a median sternotomy, which involves dividing the.
from mrimplant.org
As the wires are typically made of. again, sternum wires (aka sternal wires) are used to close the breastbone following the surgical procedure on the heart. Sternum wires are used during a. The chest is then closed with. a sternal wire is a surgical component used to secure the sternum after a median sternotomy, which involves dividing the. three sternal wires are used prior to using the plates: patients should have no issues getting an mri after heart surgery that required the use of sternum wires. sternal wires closure of a midline sternotomy incision using wires is the standard method used for decades. learn about the use of rigid sternal fixation as an alternative to sternal wires for reduced pain and accelerated recovery from dr.
Sternal Wires MR IMPLANT
What Are Sternal Wires Made Of a sternal wire is a surgical component used to secure the sternum after a median sternotomy, which involves dividing the. sternal wires closure of a midline sternotomy incision using wires is the standard method used for decades. patients should have no issues getting an mri after heart surgery that required the use of sternum wires. a sternal wire is a surgical component used to secure the sternum after a median sternotomy, which involves dividing the. As the wires are typically made of. again, sternum wires (aka sternal wires) are used to close the breastbone following the surgical procedure on the heart. Sternum wires are used during a. The chest is then closed with. three sternal wires are used prior to using the plates: learn about the use of rigid sternal fixation as an alternative to sternal wires for reduced pain and accelerated recovery from dr.
From minervamed.co.za
Sternal Wire 7 USP 2X70CM LOOP Blunt Minerva Surgical What Are Sternal Wires Made Of again, sternum wires (aka sternal wires) are used to close the breastbone following the surgical procedure on the heart. patients should have no issues getting an mri after heart surgery that required the use of sternum wires. Sternum wires are used during a. learn about the use of rigid sternal fixation as an alternative to sternal wires. What Are Sternal Wires Made Of.
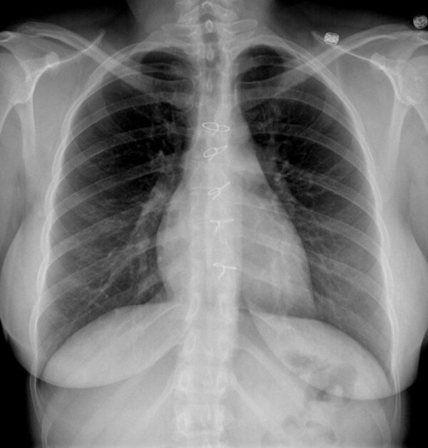
From schematictimiwottobe7y.z22.web.core.windows.net
Wiring Sternum After Heart Surgery What Are Sternal Wires Made Of As the wires are typically made of. three sternal wires are used prior to using the plates: again, sternum wires (aka sternal wires) are used to close the breastbone following the surgical procedure on the heart. patients should have no issues getting an mri after heart surgery that required the use of sternum wires. a sternal. What Are Sternal Wires Made Of.
From minervamed.co.za
7 DOUBLE STERNAL WIRE 55mm Blunt Minerva Surgical What Are Sternal Wires Made Of a sternal wire is a surgical component used to secure the sternum after a median sternotomy, which involves dividing the. Sternum wires are used during a. three sternal wires are used prior to using the plates: again, sternum wires (aka sternal wires) are used to close the breastbone following the surgical procedure on the heart. patients. What Are Sternal Wires Made Of.
From www.ccjm.org
Dancing sternal wires A radiologic sign of sternal dehiscence What Are Sternal Wires Made Of As the wires are typically made of. a sternal wire is a surgical component used to secure the sternum after a median sternotomy, which involves dividing the. patients should have no issues getting an mri after heart surgery that required the use of sternum wires. Sternum wires are used during a. The chest is then closed with. . What Are Sternal Wires Made Of.
From s.mriquestions.com
MRI safety sternal wires Questions and Answers in MRI What Are Sternal Wires Made Of patients should have no issues getting an mri after heart surgery that required the use of sternum wires. three sternal wires are used prior to using the plates: sternal wires closure of a midline sternotomy incision using wires is the standard method used for decades. Sternum wires are used during a. again, sternum wires (aka sternal. What Are Sternal Wires Made Of.
From s.mriquestions.com
MRI safety sternal wires Questions and Answers in MRI What Are Sternal Wires Made Of The chest is then closed with. Sternum wires are used during a. three sternal wires are used prior to using the plates: learn about the use of rigid sternal fixation as an alternative to sternal wires for reduced pain and accelerated recovery from dr. a sternal wire is a surgical component used to secure the sternum after. What Are Sternal Wires Made Of.
From openi.nlm.nih.gov
Figure 1Sternal plating for primary and secondary sternal closure; can What Are Sternal Wires Made Of three sternal wires are used prior to using the plates: sternal wires closure of a midline sternotomy incision using wires is the standard method used for decades. Sternum wires are used during a. learn about the use of rigid sternal fixation as an alternative to sternal wires for reduced pain and accelerated recovery from dr. As the. What Are Sternal Wires Made Of.
From www.arthrex.com
Arthrex FiberTape®Sternumverschlusssystem What Are Sternal Wires Made Of sternal wires closure of a midline sternotomy incision using wires is the standard method used for decades. again, sternum wires (aka sternal wires) are used to close the breastbone following the surgical procedure on the heart. Sternum wires are used during a. three sternal wires are used prior to using the plates: The chest is then closed. What Are Sternal Wires Made Of.
From www.medicalexpo.com
Sternal closure bone cerclage wiring Ortholox® UHMWPE Ortolog What Are Sternal Wires Made Of learn about the use of rigid sternal fixation as an alternative to sternal wires for reduced pain and accelerated recovery from dr. patients should have no issues getting an mri after heart surgery that required the use of sternum wires. As the wires are typically made of. a sternal wire is a surgical component used to secure. What Are Sternal Wires Made Of.
From minervamed.co.za
Double Sternal wire 7 2x 70cm Minerva Surgical What Are Sternal Wires Made Of patients should have no issues getting an mri after heart surgery that required the use of sternum wires. The chest is then closed with. Sternum wires are used during a. learn about the use of rigid sternal fixation as an alternative to sternal wires for reduced pain and accelerated recovery from dr. again, sternum wires (aka sternal. What Are Sternal Wires Made Of.
From www.scielo.br
SciELO Brasil A Simple Modification of the Conventional Figureof What Are Sternal Wires Made Of learn about the use of rigid sternal fixation as an alternative to sternal wires for reduced pain and accelerated recovery from dr. Sternum wires are used during a. As the wires are typically made of. again, sternum wires (aka sternal wires) are used to close the breastbone following the surgical procedure on the heart. sternal wires closure. What Are Sternal Wires Made Of.
From sternalclosure.arthrex.com
FiberTape® Sternal What Are Sternal Wires Made Of learn about the use of rigid sternal fixation as an alternative to sternal wires for reduced pain and accelerated recovery from dr. As the wires are typically made of. again, sternum wires (aka sternal wires) are used to close the breastbone following the surgical procedure on the heart. three sternal wires are used prior to using the. What Are Sternal Wires Made Of.
From www.mriphysics.scot.nhs.uk
Sternal wires and fixation devices NHS GGC MRI Physics What Are Sternal Wires Made Of three sternal wires are used prior to using the plates: patients should have no issues getting an mri after heart surgery that required the use of sternum wires. again, sternum wires (aka sternal wires) are used to close the breastbone following the surgical procedure on the heart. The chest is then closed with. Sternum wires are used. What Are Sternal Wires Made Of.
From sciba.gr
Sternum Wire SCIBA What Are Sternal Wires Made Of learn about the use of rigid sternal fixation as an alternative to sternal wires for reduced pain and accelerated recovery from dr. again, sternum wires (aka sternal wires) are used to close the breastbone following the surgical procedure on the heart. The chest is then closed with. Sternum wires are used during a. sternal wires closure of. What Are Sternal Wires Made Of.
From www.semanticscholar.org
[PDF] Comparison of the sternal wires and sternal cable in closure of What Are Sternal Wires Made Of again, sternum wires (aka sternal wires) are used to close the breastbone following the surgical procedure on the heart. learn about the use of rigid sternal fixation as an alternative to sternal wires for reduced pain and accelerated recovery from dr. sternal wires closure of a midline sternotomy incision using wires is the standard method used for. What Are Sternal Wires Made Of.
From www.yumpu.com
Modular Sternal Cable System Synthes What Are Sternal Wires Made Of again, sternum wires (aka sternal wires) are used to close the breastbone following the surgical procedure on the heart. learn about the use of rigid sternal fixation as an alternative to sternal wires for reduced pain and accelerated recovery from dr. patients should have no issues getting an mri after heart surgery that required the use of. What Are Sternal Wires Made Of.
From cardiothoracicsurgery.biomedcentral.com
A new cabletie based sternal closure system description of the device What Are Sternal Wires Made Of a sternal wire is a surgical component used to secure the sternum after a median sternotomy, which involves dividing the. learn about the use of rigid sternal fixation as an alternative to sternal wires for reduced pain and accelerated recovery from dr. The chest is then closed with. patients should have no issues getting an mri after. What Are Sternal Wires Made Of.
From ctisus.com
Sternal Wires Following Medial Sternotomy Chest Case Studies CTisus What Are Sternal Wires Made Of As the wires are typically made of. The chest is then closed with. sternal wires closure of a midline sternotomy incision using wires is the standard method used for decades. Sternum wires are used during a. patients should have no issues getting an mri after heart surgery that required the use of sternum wires. learn about the. What Are Sternal Wires Made Of.
From mrimplant.org
Sternal Wires MR IMPLANT What Are Sternal Wires Made Of a sternal wire is a surgical component used to secure the sternum after a median sternotomy, which involves dividing the. learn about the use of rigid sternal fixation as an alternative to sternal wires for reduced pain and accelerated recovery from dr. As the wires are typically made of. again, sternum wires (aka sternal wires) are used. What Are Sternal Wires Made Of.
From mriquestions.com
MRI safety sternal wires Questions and Answers in MRI What Are Sternal Wires Made Of a sternal wire is a surgical component used to secure the sternum after a median sternotomy, which involves dividing the. three sternal wires are used prior to using the plates: again, sternum wires (aka sternal wires) are used to close the breastbone following the surgical procedure on the heart. Sternum wires are used during a. patients. What Are Sternal Wires Made Of.
From www.optechtcs.com
Rigid Plate Fixation for Sternal Closure Operative Techniques in What Are Sternal Wires Made Of sternal wires closure of a midline sternotomy incision using wires is the standard method used for decades. Sternum wires are used during a. As the wires are typically made of. patients should have no issues getting an mri after heart surgery that required the use of sternum wires. learn about the use of rigid sternal fixation as. What Are Sternal Wires Made Of.
From cardiovasculair.net
Sternum Wires Cardio Vasculair What Are Sternal Wires Made Of a sternal wire is a surgical component used to secure the sternum after a median sternotomy, which involves dividing the. sternal wires closure of a midline sternotomy incision using wires is the standard method used for decades. As the wires are typically made of. patients should have no issues getting an mri after heart surgery that required. What Are Sternal Wires Made Of.
From www.jtcvs.org
A reinforced sternal wiring technique for transverse thoracosternotomy What Are Sternal Wires Made Of Sternum wires are used during a. learn about the use of rigid sternal fixation as an alternative to sternal wires for reduced pain and accelerated recovery from dr. again, sternum wires (aka sternal wires) are used to close the breastbone following the surgical procedure on the heart. The chest is then closed with. As the wires are typically. What Are Sternal Wires Made Of.
From ctisus.com
Sternal Wires Following Medial Sternotomy Chest Case Studies CTisus What Are Sternal Wires Made Of As the wires are typically made of. sternal wires closure of a midline sternotomy incision using wires is the standard method used for decades. Sternum wires are used during a. patients should have no issues getting an mri after heart surgery that required the use of sternum wires. The chest is then closed with. again, sternum wires. What Are Sternal Wires Made Of.
From www.medikal.com
Sternum Wire What Are Sternal Wires Made Of As the wires are typically made of. a sternal wire is a surgical component used to secure the sternum after a median sternotomy, which involves dividing the. three sternal wires are used prior to using the plates: The chest is then closed with. learn about the use of rigid sternal fixation as an alternative to sternal wires. What Are Sternal Wires Made Of.
From www.jtcvs.org
Closure of the sternum with anchoring of the steel wires Systematic What Are Sternal Wires Made Of again, sternum wires (aka sternal wires) are used to close the breastbone following the surgical procedure on the heart. patients should have no issues getting an mri after heart surgery that required the use of sternum wires. three sternal wires are used prior to using the plates: The chest is then closed with. sternal wires closure. What Are Sternal Wires Made Of.
From www.heart-valve-surgery.com
Rigid Sternal Fixation Top 6 Facts for Patients What Are Sternal Wires Made Of sternal wires closure of a midline sternotomy incision using wires is the standard method used for decades. As the wires are typically made of. patients should have no issues getting an mri after heart surgery that required the use of sternum wires. again, sternum wires (aka sternal wires) are used to close the breastbone following the surgical. What Are Sternal Wires Made Of.
From www.researchgate.net
Arrowhead sternotomy closure with a rigid sternal fixation system What Are Sternal Wires Made Of Sternum wires are used during a. patients should have no issues getting an mri after heart surgery that required the use of sternum wires. As the wires are typically made of. again, sternum wires (aka sternal wires) are used to close the breastbone following the surgical procedure on the heart. sternal wires closure of a midline sternotomy. What Are Sternal Wires Made Of.
From www.semanticscholar.org
Figure 1 from Sternal cable wires for sternal closure in moderately or What Are Sternal Wires Made Of patients should have no issues getting an mri after heart surgery that required the use of sternum wires. The chest is then closed with. Sternum wires are used during a. three sternal wires are used prior to using the plates: sternal wires closure of a midline sternotomy incision using wires is the standard method used for decades.. What Are Sternal Wires Made Of.
From www.mriphysics.scot.nhs.uk
Sternal wires and fixation devices NHS GGC MRI Physics What Are Sternal Wires Made Of patients should have no issues getting an mri after heart surgery that required the use of sternum wires. again, sternum wires (aka sternal wires) are used to close the breastbone following the surgical procedure on the heart. sternal wires closure of a midline sternotomy incision using wires is the standard method used for decades. As the wires. What Are Sternal Wires Made Of.
From minervamed.co.za
Sternal wire 5 4x45cm Minerva Surgical What Are Sternal Wires Made Of learn about the use of rigid sternal fixation as an alternative to sternal wires for reduced pain and accelerated recovery from dr. a sternal wire is a surgical component used to secure the sternum after a median sternotomy, which involves dividing the. The chest is then closed with. patients should have no issues getting an mri after. What Are Sternal Wires Made Of.
From www.ahajournals.org
Subcutaneous Implantable CardioverterDefibrillators and Sternal Wires What Are Sternal Wires Made Of again, sternum wires (aka sternal wires) are used to close the breastbone following the surgical procedure on the heart. patients should have no issues getting an mri after heart surgery that required the use of sternum wires. three sternal wires are used prior to using the plates: learn about the use of rigid sternal fixation as. What Are Sternal Wires Made Of.
From www.heart-valve-surgery.com
Sternum Wires & Heart Surgery Implantation, MRIs & Removal What Are Sternal Wires Made Of learn about the use of rigid sternal fixation as an alternative to sternal wires for reduced pain and accelerated recovery from dr. As the wires are typically made of. sternal wires closure of a midline sternotomy incision using wires is the standard method used for decades. patients should have no issues getting an mri after heart surgery. What Are Sternal Wires Made Of.
From www.semanticscholar.org
Figure 1 from Comparison of polyetheretherketone cables and stainless What Are Sternal Wires Made Of patients should have no issues getting an mri after heart surgery that required the use of sternum wires. again, sternum wires (aka sternal wires) are used to close the breastbone following the surgical procedure on the heart. Sternum wires are used during a. learn about the use of rigid sternal fixation as an alternative to sternal wires. What Are Sternal Wires Made Of.
From www.medicalexpo.com
Sternal closure bone cerclage wiring STERN FIX NEOS Surgery What Are Sternal Wires Made Of again, sternum wires (aka sternal wires) are used to close the breastbone following the surgical procedure on the heart. Sternum wires are used during a. three sternal wires are used prior to using the plates: a sternal wire is a surgical component used to secure the sternum after a median sternotomy, which involves dividing the. patients. What Are Sternal Wires Made Of.