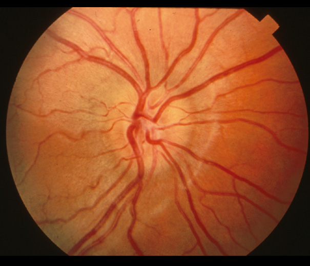
Normal Retinal Findings In Fundoscopy . The optic nerve head or disk is seen when one looks through the pupil from an angle about 15 degrees temporal to the optical axis (the patient's line of sight, straight ahead). Arterioles and venules have normal color,. The disk has sharp margins and is normal in color, with a small central cup. Blockage of one of the four retinal veins, each of which drains about a quarter of the retina. Other abnormal findings you can see in the retina include roth spots as you see here caused by. Derived from diameter of the cup (physiological indentation of disc) in relationship to total diameter of the disc. This article provides a comprehensive, systematic approach to interpreting color fundus photographs,. Therefore, the funduscopic examination is important in the detection of certain systemic diseases and diseases that primarily affect the eye.
from geekymedics.com
The optic nerve head or disk is seen when one looks through the pupil from an angle about 15 degrees temporal to the optical axis (the patient's line of sight, straight ahead). Therefore, the funduscopic examination is important in the detection of certain systemic diseases and diseases that primarily affect the eye. The disk has sharp margins and is normal in color, with a small central cup. Arterioles and venules have normal color,. Derived from diameter of the cup (physiological indentation of disc) in relationship to total diameter of the disc. Other abnormal findings you can see in the retina include roth spots as you see here caused by. This article provides a comprehensive, systematic approach to interpreting color fundus photographs,. Blockage of one of the four retinal veins, each of which drains about a quarter of the retina.
Fundoscopic Appearances of Retinal Pathologies Geeky Medics
Normal Retinal Findings In Fundoscopy This article provides a comprehensive, systematic approach to interpreting color fundus photographs,. Derived from diameter of the cup (physiological indentation of disc) in relationship to total diameter of the disc. Other abnormal findings you can see in the retina include roth spots as you see here caused by. The optic nerve head or disk is seen when one looks through the pupil from an angle about 15 degrees temporal to the optical axis (the patient's line of sight, straight ahead). Blockage of one of the four retinal veins, each of which drains about a quarter of the retina. This article provides a comprehensive, systematic approach to interpreting color fundus photographs,. The disk has sharp margins and is normal in color, with a small central cup. Therefore, the funduscopic examination is important in the detection of certain systemic diseases and diseases that primarily affect the eye. Arterioles and venules have normal color,.
From www.slideserve.com
PPT Fundoscopy PowerPoint Presentation, free download ID444161 Normal Retinal Findings In Fundoscopy This article provides a comprehensive, systematic approach to interpreting color fundus photographs,. Arterioles and venules have normal color,. The disk has sharp margins and is normal in color, with a small central cup. Other abnormal findings you can see in the retina include roth spots as you see here caused by. Blockage of one of the four retinal veins, each. Normal Retinal Findings In Fundoscopy.
From www.prathereyecare.com
Digital Retinal Imaging in Noblesville, IN Prather Family Eyecare Normal Retinal Findings In Fundoscopy This article provides a comprehensive, systematic approach to interpreting color fundus photographs,. The optic nerve head or disk is seen when one looks through the pupil from an angle about 15 degrees temporal to the optical axis (the patient's line of sight, straight ahead). Therefore, the funduscopic examination is important in the detection of certain systemic diseases and diseases that. Normal Retinal Findings In Fundoscopy.
From ar.inspiredpencil.com
Fundoscopic Exam Abnormal Findings Normal Retinal Findings In Fundoscopy The optic nerve head or disk is seen when one looks through the pupil from an angle about 15 degrees temporal to the optical axis (the patient's line of sight, straight ahead). This article provides a comprehensive, systematic approach to interpreting color fundus photographs,. Arterioles and venules have normal color,. The disk has sharp margins and is normal in color,. Normal Retinal Findings In Fundoscopy.
From stanfordmedicine25.stanford.edu
Fundoscopic Exam (Ophthalmoscopy) Stanford Medicine 25 Stanford Normal Retinal Findings In Fundoscopy The optic nerve head or disk is seen when one looks through the pupil from an angle about 15 degrees temporal to the optical axis (the patient's line of sight, straight ahead). The disk has sharp margins and is normal in color, with a small central cup. This article provides a comprehensive, systematic approach to interpreting color fundus photographs,. Arterioles. Normal Retinal Findings In Fundoscopy.
From mrcppreview.blogspot.com
PACES resources,MRCP(uk) Practical Assessment of Clinical examination Normal Retinal Findings In Fundoscopy The disk has sharp margins and is normal in color, with a small central cup. Derived from diameter of the cup (physiological indentation of disc) in relationship to total diameter of the disc. Blockage of one of the four retinal veins, each of which drains about a quarter of the retina. This article provides a comprehensive, systematic approach to interpreting. Normal Retinal Findings In Fundoscopy.
From stanfordmedicine25.stanford.edu
Fundoscopic Exam (Ophthalmoscopy) Stanford Medicine 25 Stanford Normal Retinal Findings In Fundoscopy Arterioles and venules have normal color,. Therefore, the funduscopic examination is important in the detection of certain systemic diseases and diseases that primarily affect the eye. This article provides a comprehensive, systematic approach to interpreting color fundus photographs,. Blockage of one of the four retinal veins, each of which drains about a quarter of the retina. Other abnormal findings you. Normal Retinal Findings In Fundoscopy.
From geekymedics.com
Fundoscopic Appearances of Retinal Pathologies Geeky Medics Normal Retinal Findings In Fundoscopy This article provides a comprehensive, systematic approach to interpreting color fundus photographs,. Blockage of one of the four retinal veins, each of which drains about a quarter of the retina. Therefore, the funduscopic examination is important in the detection of certain systemic diseases and diseases that primarily affect the eye. Derived from diameter of the cup (physiological indentation of disc). Normal Retinal Findings In Fundoscopy.
From webvision.med.utah.edu
What is by David Krizaj vision Normal Retinal Findings In Fundoscopy Arterioles and venules have normal color,. Derived from diameter of the cup (physiological indentation of disc) in relationship to total diameter of the disc. Therefore, the funduscopic examination is important in the detection of certain systemic diseases and diseases that primarily affect the eye. The disk has sharp margins and is normal in color, with a small central cup. Blockage. Normal Retinal Findings In Fundoscopy.
From geekymedics.com
Fundoscopic Appearances of Retinal Pathologies Geeky Medics Normal Retinal Findings In Fundoscopy This article provides a comprehensive, systematic approach to interpreting color fundus photographs,. Therefore, the funduscopic examination is important in the detection of certain systemic diseases and diseases that primarily affect the eye. Derived from diameter of the cup (physiological indentation of disc) in relationship to total diameter of the disc. Blockage of one of the four retinal veins, each of. Normal Retinal Findings In Fundoscopy.
From morancore.utah.edu
Moran CORE Hypertensive Retinopathy Normal Retinal Findings In Fundoscopy Arterioles and venules have normal color,. Derived from diameter of the cup (physiological indentation of disc) in relationship to total diameter of the disc. This article provides a comprehensive, systematic approach to interpreting color fundus photographs,. Blockage of one of the four retinal veins, each of which drains about a quarter of the retina. The optic nerve head or disk. Normal Retinal Findings In Fundoscopy.
From stanfordmedicine25.stanford.edu
Fundoscopic Exam (Ophthalmoscopy) Stanford Medicine 25 Stanford Normal Retinal Findings In Fundoscopy Arterioles and venules have normal color,. Derived from diameter of the cup (physiological indentation of disc) in relationship to total diameter of the disc. Other abnormal findings you can see in the retina include roth spots as you see here caused by. The disk has sharp margins and is normal in color, with a small central cup. Blockage of one. Normal Retinal Findings In Fundoscopy.
From www.researchgate.net
Examples of retinal image analysis of a subject with hypertensive Normal Retinal Findings In Fundoscopy Other abnormal findings you can see in the retina include roth spots as you see here caused by. The disk has sharp margins and is normal in color, with a small central cup. The optic nerve head or disk is seen when one looks through the pupil from an angle about 15 degrees temporal to the optical axis (the patient's. Normal Retinal Findings In Fundoscopy.
From ar.inspiredpencil.com
Retinal Detachment Fundoscopy Normal Retinal Findings In Fundoscopy This article provides a comprehensive, systematic approach to interpreting color fundus photographs,. Therefore, the funduscopic examination is important in the detection of certain systemic diseases and diseases that primarily affect the eye. Blockage of one of the four retinal veins, each of which drains about a quarter of the retina. Arterioles and venules have normal color,. Other abnormal findings you. Normal Retinal Findings In Fundoscopy.
From www.mdpi.com
Diagnostics Free FullText Hybrid Methods for Fundus Image Analysis Normal Retinal Findings In Fundoscopy Therefore, the funduscopic examination is important in the detection of certain systemic diseases and diseases that primarily affect the eye. Other abnormal findings you can see in the retina include roth spots as you see here caused by. Arterioles and venules have normal color,. The optic nerve head or disk is seen when one looks through the pupil from an. Normal Retinal Findings In Fundoscopy.
From geekymedics.com
Fundoscopic Appearances of Retinal Pathologies Geeky Medics Normal Retinal Findings In Fundoscopy Arterioles and venules have normal color,. Blockage of one of the four retinal veins, each of which drains about a quarter of the retina. Derived from diameter of the cup (physiological indentation of disc) in relationship to total diameter of the disc. This article provides a comprehensive, systematic approach to interpreting color fundus photographs,. The disk has sharp margins and. Normal Retinal Findings In Fundoscopy.
From geekymedics.com
Fundoscopic Appearances of Retinal Pathologies Geeky Medics Normal Retinal Findings In Fundoscopy This article provides a comprehensive, systematic approach to interpreting color fundus photographs,. The optic nerve head or disk is seen when one looks through the pupil from an angle about 15 degrees temporal to the optical axis (the patient's line of sight, straight ahead). Derived from diameter of the cup (physiological indentation of disc) in relationship to total diameter of. Normal Retinal Findings In Fundoscopy.
From geekymedics.com
Fundoscopic Appearances of Retinal Pathologies Geeky Medics Normal Retinal Findings In Fundoscopy The disk has sharp margins and is normal in color, with a small central cup. Blockage of one of the four retinal veins, each of which drains about a quarter of the retina. Therefore, the funduscopic examination is important in the detection of certain systemic diseases and diseases that primarily affect the eye. Other abnormal findings you can see in. Normal Retinal Findings In Fundoscopy.
From webeye.ophth.uiowa.edu
Atlas Entry Situs Inversus of the Retinal Vessels Normal Retinal Findings In Fundoscopy The disk has sharp margins and is normal in color, with a small central cup. Therefore, the funduscopic examination is important in the detection of certain systemic diseases and diseases that primarily affect the eye. This article provides a comprehensive, systematic approach to interpreting color fundus photographs,. Arterioles and venules have normal color,. Other abnormal findings you can see in. Normal Retinal Findings In Fundoscopy.
From geekymedics.com
Fundoscopic Appearances of Retinal Pathologies Geeky Medics Normal Retinal Findings In Fundoscopy Therefore, the funduscopic examination is important in the detection of certain systemic diseases and diseases that primarily affect the eye. Derived from diameter of the cup (physiological indentation of disc) in relationship to total diameter of the disc. Arterioles and venules have normal color,. Blockage of one of the four retinal veins, each of which drains about a quarter of. Normal Retinal Findings In Fundoscopy.
From geekymedics.com
Fundoscopic Appearances of Retinal Pathologies Geeky Medics Normal Retinal Findings In Fundoscopy Derived from diameter of the cup (physiological indentation of disc) in relationship to total diameter of the disc. The optic nerve head or disk is seen when one looks through the pupil from an angle about 15 degrees temporal to the optical axis (the patient's line of sight, straight ahead). Other abnormal findings you can see in the retina include. Normal Retinal Findings In Fundoscopy.
From www.researchgate.net
Retinal images of diabetic retinopathy obtained in fundus on phone Normal Retinal Findings In Fundoscopy Other abnormal findings you can see in the retina include roth spots as you see here caused by. Derived from diameter of the cup (physiological indentation of disc) in relationship to total diameter of the disc. The optic nerve head or disk is seen when one looks through the pupil from an angle about 15 degrees temporal to the optical. Normal Retinal Findings In Fundoscopy.
From geekymedics.com
Fundoscopic Appearances of Retinal Pathologies Geeky Medics Normal Retinal Findings In Fundoscopy Therefore, the funduscopic examination is important in the detection of certain systemic diseases and diseases that primarily affect the eye. Blockage of one of the four retinal veins, each of which drains about a quarter of the retina. This article provides a comprehensive, systematic approach to interpreting color fundus photographs,. Other abnormal findings you can see in the retina include. Normal Retinal Findings In Fundoscopy.
From ar.inspiredpencil.com
Normal Fundoscopic Exam Normal Retinal Findings In Fundoscopy Blockage of one of the four retinal veins, each of which drains about a quarter of the retina. This article provides a comprehensive, systematic approach to interpreting color fundus photographs,. The disk has sharp margins and is normal in color, with a small central cup. Other abnormal findings you can see in the retina include roth spots as you see. Normal Retinal Findings In Fundoscopy.
From smartypance.com
Retinal Detachment EENT Content Blueprint Smarty PANCE PANRE Normal Retinal Findings In Fundoscopy Other abnormal findings you can see in the retina include roth spots as you see here caused by. Arterioles and venules have normal color,. Derived from diameter of the cup (physiological indentation of disc) in relationship to total diameter of the disc. The optic nerve head or disk is seen when one looks through the pupil from an angle about. Normal Retinal Findings In Fundoscopy.
From www.youtube.com
Healthy Retina Fundoscopy YouTube Normal Retinal Findings In Fundoscopy Arterioles and venules have normal color,. Derived from diameter of the cup (physiological indentation of disc) in relationship to total diameter of the disc. The disk has sharp margins and is normal in color, with a small central cup. Other abnormal findings you can see in the retina include roth spots as you see here caused by. The optic nerve. Normal Retinal Findings In Fundoscopy.
From www.researchgate.net
Fundoscopic examination of the retina shows the typical retinal Normal Retinal Findings In Fundoscopy The optic nerve head or disk is seen when one looks through the pupil from an angle about 15 degrees temporal to the optical axis (the patient's line of sight, straight ahead). The disk has sharp margins and is normal in color, with a small central cup. Other abnormal findings you can see in the retina include roth spots as. Normal Retinal Findings In Fundoscopy.
From www.pinterest.com
Retinal Artery Occlusion Normal Retinal Findings In Fundoscopy This article provides a comprehensive, systematic approach to interpreting color fundus photographs,. The disk has sharp margins and is normal in color, with a small central cup. Derived from diameter of the cup (physiological indentation of disc) in relationship to total diameter of the disc. Arterioles and venules have normal color,. Blockage of one of the four retinal veins, each. Normal Retinal Findings In Fundoscopy.
From www.researchgate.net
Fundoscopic images of different stages of diabetic retinopathy. (a Normal Retinal Findings In Fundoscopy This article provides a comprehensive, systematic approach to interpreting color fundus photographs,. Other abnormal findings you can see in the retina include roth spots as you see here caused by. Derived from diameter of the cup (physiological indentation of disc) in relationship to total diameter of the disc. Therefore, the funduscopic examination is important in the detection of certain systemic. Normal Retinal Findings In Fundoscopy.
From geekymedics.com
Fundoscopic Appearances of Retinal Pathologies Geeky Medics Normal Retinal Findings In Fundoscopy Derived from diameter of the cup (physiological indentation of disc) in relationship to total diameter of the disc. Other abnormal findings you can see in the retina include roth spots as you see here caused by. This article provides a comprehensive, systematic approach to interpreting color fundus photographs,. Therefore, the funduscopic examination is important in the detection of certain systemic. Normal Retinal Findings In Fundoscopy.
From www.pinterest.jp
FUNDOSCOPY Eye health facts, Eye facts, Eye health Normal Retinal Findings In Fundoscopy This article provides a comprehensive, systematic approach to interpreting color fundus photographs,. Blockage of one of the four retinal veins, each of which drains about a quarter of the retina. Derived from diameter of the cup (physiological indentation of disc) in relationship to total diameter of the disc. The disk has sharp margins and is normal in color, with a. Normal Retinal Findings In Fundoscopy.
From casereports.bmj.com
Papilloedema with retinal haemorrhages in idiopathic intracranial Normal Retinal Findings In Fundoscopy The disk has sharp margins and is normal in color, with a small central cup. Other abnormal findings you can see in the retina include roth spots as you see here caused by. Derived from diameter of the cup (physiological indentation of disc) in relationship to total diameter of the disc. The optic nerve head or disk is seen when. Normal Retinal Findings In Fundoscopy.
From stritch.luc.edu
Normal Images of normal provided by Dr Cronin, MD Normal Retinal Findings In Fundoscopy Other abnormal findings you can see in the retina include roth spots as you see here caused by. Arterioles and venules have normal color,. Blockage of one of the four retinal veins, each of which drains about a quarter of the retina. This article provides a comprehensive, systematic approach to interpreting color fundus photographs,. Derived from diameter of the cup. Normal Retinal Findings In Fundoscopy.
From www.slideshare.net
Funduscopy Normal Retinal Findings In Fundoscopy The optic nerve head or disk is seen when one looks through the pupil from an angle about 15 degrees temporal to the optical axis (the patient's line of sight, straight ahead). Derived from diameter of the cup (physiological indentation of disc) in relationship to total diameter of the disc. Blockage of one of the four retinal veins, each of. Normal Retinal Findings In Fundoscopy.
From geekymedics.com
Central Retinal Artery Occlusion CRAO Geeky Medics Normal Retinal Findings In Fundoscopy Other abnormal findings you can see in the retina include roth spots as you see here caused by. The optic nerve head or disk is seen when one looks through the pupil from an angle about 15 degrees temporal to the optical axis (the patient's line of sight, straight ahead). Blockage of one of the four retinal veins, each of. Normal Retinal Findings In Fundoscopy.
From geekymedics.com
Fundoscopic Appearances of Retinal Pathologies Geeky Medics Normal Retinal Findings In Fundoscopy This article provides a comprehensive, systematic approach to interpreting color fundus photographs,. Blockage of one of the four retinal veins, each of which drains about a quarter of the retina. The disk has sharp margins and is normal in color, with a small central cup. Arterioles and venules have normal color,. Derived from diameter of the cup (physiological indentation of. Normal Retinal Findings In Fundoscopy.