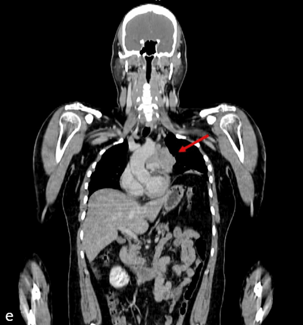
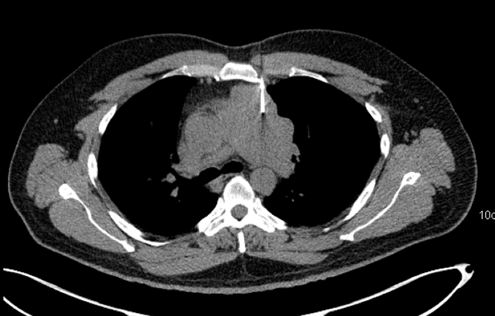
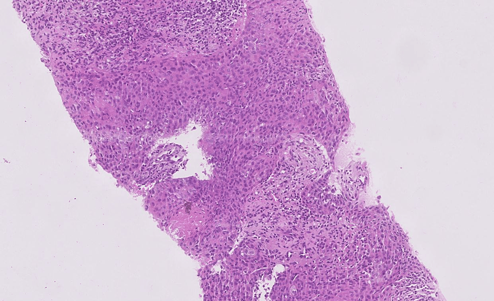
Thymic Lymphoepithelial Carcinoma . The recognition of clinical, radiologic, and. Thymic carcinoma (tc) is a rare thymic epithelial neoplasm (ten) with heterogeneous features. In the who 2021 classification, thymic carcinoma includes the following new subtypes (): (1) micronodular thymic carcinoma with lymphoid hyperplasia (fig. Primary thymic lymphoepithelial carcinoma is a rare neoplasm of the mediastinum. Thymic epithelial tumors (tets) are rare tumors, including thymoma, thymic carcinoma, and thymic neuroendocrine tumors. Thymic lymphoepithelial carcinoma (tlec) is a primary thymic carcinoma that accounts for about 14% of all thymic epithelial tumors and is classified into. Thymic lymphoepithelial carcinoma (tlec) is a primary thymic carcinoma that accounts for about 14% of all thymic epithelial.
from journals.sagepub.com
The recognition of clinical, radiologic, and. Thymic epithelial tumors (tets) are rare tumors, including thymoma, thymic carcinoma, and thymic neuroendocrine tumors. Thymic lymphoepithelial carcinoma (tlec) is a primary thymic carcinoma that accounts for about 14% of all thymic epithelial tumors and is classified into. In the who 2021 classification, thymic carcinoma includes the following new subtypes (): Thymic lymphoepithelial carcinoma (tlec) is a primary thymic carcinoma that accounts for about 14% of all thymic epithelial. Primary thymic lymphoepithelial carcinoma is a rare neoplasm of the mediastinum. (1) micronodular thymic carcinoma with lymphoid hyperplasia (fig. Thymic carcinoma (tc) is a rare thymic epithelial neoplasm (ten) with heterogeneous features.
Intrathyroidal Thymic Carcinoma A Retrospective Case Series Study
Thymic Lymphoepithelial Carcinoma Primary thymic lymphoepithelial carcinoma is a rare neoplasm of the mediastinum. The recognition of clinical, radiologic, and. Thymic carcinoma (tc) is a rare thymic epithelial neoplasm (ten) with heterogeneous features. In the who 2021 classification, thymic carcinoma includes the following new subtypes (): Thymic lymphoepithelial carcinoma (tlec) is a primary thymic carcinoma that accounts for about 14% of all thymic epithelial. Primary thymic lymphoepithelial carcinoma is a rare neoplasm of the mediastinum. Thymic lymphoepithelial carcinoma (tlec) is a primary thymic carcinoma that accounts for about 14% of all thymic epithelial tumors and is classified into. Thymic epithelial tumors (tets) are rare tumors, including thymoma, thymic carcinoma, and thymic neuroendocrine tumors. (1) micronodular thymic carcinoma with lymphoid hyperplasia (fig.
From www.semthorcardiovascsurg.com
Pathology of thymic tumors Seminars in Thoracic and Cardiovascular Thymic Lymphoepithelial Carcinoma Thymic lymphoepithelial carcinoma (tlec) is a primary thymic carcinoma that accounts for about 14% of all thymic epithelial. Thymic epithelial tumors (tets) are rare tumors, including thymoma, thymic carcinoma, and thymic neuroendocrine tumors. The recognition of clinical, radiologic, and. (1) micronodular thymic carcinoma with lymphoid hyperplasia (fig. Thymic lymphoepithelial carcinoma (tlec) is a primary thymic carcinoma that accounts for about. Thymic Lymphoepithelial Carcinoma.
From www.researchgate.net
(PDF) Refractory Thyroid Storm Due to Graves Disease in a Patient With Thymic Lymphoepithelial Carcinoma Thymic lymphoepithelial carcinoma (tlec) is a primary thymic carcinoma that accounts for about 14% of all thymic epithelial tumors and is classified into. Thymic carcinoma (tc) is a rare thymic epithelial neoplasm (ten) with heterogeneous features. Thymic lymphoepithelial carcinoma (tlec) is a primary thymic carcinoma that accounts for about 14% of all thymic epithelial. Thymic epithelial tumors (tets) are rare. Thymic Lymphoepithelial Carcinoma.
From casereports.bmj.com
Thymic basaloid carcinoma a rare clinical entity BMJ Case Reports Thymic Lymphoepithelial Carcinoma In the who 2021 classification, thymic carcinoma includes the following new subtypes (): Thymic lymphoepithelial carcinoma (tlec) is a primary thymic carcinoma that accounts for about 14% of all thymic epithelial. Primary thymic lymphoepithelial carcinoma is a rare neoplasm of the mediastinum. Thymic carcinoma (tc) is a rare thymic epithelial neoplasm (ten) with heterogeneous features. Thymic epithelial tumors (tets) are. Thymic Lymphoepithelial Carcinoma.
From www.pathologyoutlines.com
Pathology Outlines Lymphoepithelial carcinoma Thymic Lymphoepithelial Carcinoma The recognition of clinical, radiologic, and. Thymic epithelial tumors (tets) are rare tumors, including thymoma, thymic carcinoma, and thymic neuroendocrine tumors. In the who 2021 classification, thymic carcinoma includes the following new subtypes (): (1) micronodular thymic carcinoma with lymphoid hyperplasia (fig. Thymic lymphoepithelial carcinoma (tlec) is a primary thymic carcinoma that accounts for about 14% of all thymic epithelial.. Thymic Lymphoepithelial Carcinoma.
From jamanetwork.com
Lymphoepithelial Carcinoma of the Lacrimal Gland JAMA Ophthalmology Thymic Lymphoepithelial Carcinoma Thymic carcinoma (tc) is a rare thymic epithelial neoplasm (ten) with heterogeneous features. The recognition of clinical, radiologic, and. In the who 2021 classification, thymic carcinoma includes the following new subtypes (): Thymic lymphoepithelial carcinoma (tlec) is a primary thymic carcinoma that accounts for about 14% of all thymic epithelial. Primary thymic lymphoepithelial carcinoma is a rare neoplasm of the. Thymic Lymphoepithelial Carcinoma.
From www.mdpi.com
Life Free FullText Current Treatment Approaches for Thymic Thymic Lymphoepithelial Carcinoma (1) micronodular thymic carcinoma with lymphoid hyperplasia (fig. Thymic carcinoma (tc) is a rare thymic epithelial neoplasm (ten) with heterogeneous features. In the who 2021 classification, thymic carcinoma includes the following new subtypes (): Thymic epithelial tumors (tets) are rare tumors, including thymoma, thymic carcinoma, and thymic neuroendocrine tumors. Thymic lymphoepithelial carcinoma (tlec) is a primary thymic carcinoma that accounts. Thymic Lymphoepithelial Carcinoma.
From www.researchgate.net
Microscopic appearance of micronodular thymoma with lymphoid stroma Thymic Lymphoepithelial Carcinoma Primary thymic lymphoepithelial carcinoma is a rare neoplasm of the mediastinum. Thymic lymphoepithelial carcinoma (tlec) is a primary thymic carcinoma that accounts for about 14% of all thymic epithelial tumors and is classified into. Thymic carcinoma (tc) is a rare thymic epithelial neoplasm (ten) with heterogeneous features. The recognition of clinical, radiologic, and. In the who 2021 classification, thymic carcinoma. Thymic Lymphoepithelial Carcinoma.
From journals.sagepub.com
Intrathyroidal Thymic Carcinoma A Retrospective Case Series Study Thymic Lymphoepithelial Carcinoma Thymic lymphoepithelial carcinoma (tlec) is a primary thymic carcinoma that accounts for about 14% of all thymic epithelial. Thymic lymphoepithelial carcinoma (tlec) is a primary thymic carcinoma that accounts for about 14% of all thymic epithelial tumors and is classified into. Primary thymic lymphoepithelial carcinoma is a rare neoplasm of the mediastinum. Thymic epithelial tumors (tets) are rare tumors, including. Thymic Lymphoepithelial Carcinoma.
From ar.inspiredpencil.com
Lymphoepithelial Cysts Thymic Lymphoepithelial Carcinoma Thymic carcinoma (tc) is a rare thymic epithelial neoplasm (ten) with heterogeneous features. Primary thymic lymphoepithelial carcinoma is a rare neoplasm of the mediastinum. (1) micronodular thymic carcinoma with lymphoid hyperplasia (fig. The recognition of clinical, radiologic, and. Thymic epithelial tumors (tets) are rare tumors, including thymoma, thymic carcinoma, and thymic neuroendocrine tumors. Thymic lymphoepithelial carcinoma (tlec) is a primary. Thymic Lymphoepithelial Carcinoma.
From www.cureus.com
Thymic Lymphoepithelial Carcinoma A Rare Aggressive Mediastinal Mass Thymic Lymphoepithelial Carcinoma Primary thymic lymphoepithelial carcinoma is a rare neoplasm of the mediastinum. (1) micronodular thymic carcinoma with lymphoid hyperplasia (fig. Thymic lymphoepithelial carcinoma (tlec) is a primary thymic carcinoma that accounts for about 14% of all thymic epithelial. In the who 2021 classification, thymic carcinoma includes the following new subtypes (): Thymic carcinoma (tc) is a rare thymic epithelial neoplasm (ten). Thymic Lymphoepithelial Carcinoma.
From www.pathologyoutlines.com
Pathology Outlines Thymic squamous cell carcinoma Thymic Lymphoepithelial Carcinoma Thymic lymphoepithelial carcinoma (tlec) is a primary thymic carcinoma that accounts for about 14% of all thymic epithelial. Thymic epithelial tumors (tets) are rare tumors, including thymoma, thymic carcinoma, and thymic neuroendocrine tumors. (1) micronodular thymic carcinoma with lymphoid hyperplasia (fig. Primary thymic lymphoepithelial carcinoma is a rare neoplasm of the mediastinum. Thymic carcinoma (tc) is a rare thymic epithelial. Thymic Lymphoepithelial Carcinoma.
From www.mdpi.com
Cancers Free FullText Thymic Lymphoepithelial Carcinoma Associated Thymic Lymphoepithelial Carcinoma Thymic lymphoepithelial carcinoma (tlec) is a primary thymic carcinoma that accounts for about 14% of all thymic epithelial tumors and is classified into. In the who 2021 classification, thymic carcinoma includes the following new subtypes (): Thymic epithelial tumors (tets) are rare tumors, including thymoma, thymic carcinoma, and thymic neuroendocrine tumors. (1) micronodular thymic carcinoma with lymphoid hyperplasia (fig. The. Thymic Lymphoepithelial Carcinoma.
From www.cureus.com
Thymic Lymphoepithelial Carcinoma A Rare Aggressive Mediastinal Mass Thymic Lymphoepithelial Carcinoma Thymic carcinoma (tc) is a rare thymic epithelial neoplasm (ten) with heterogeneous features. Primary thymic lymphoepithelial carcinoma is a rare neoplasm of the mediastinum. In the who 2021 classification, thymic carcinoma includes the following new subtypes (): Thymic lymphoepithelial carcinoma (tlec) is a primary thymic carcinoma that accounts for about 14% of all thymic epithelial. (1) micronodular thymic carcinoma with. Thymic Lymphoepithelial Carcinoma.
From wjon.org
Lymphoepithelial Carcinoma of the Nasal Cavity With EBV Infection in a Thymic Lymphoepithelial Carcinoma Thymic carcinoma (tc) is a rare thymic epithelial neoplasm (ten) with heterogeneous features. Thymic epithelial tumors (tets) are rare tumors, including thymoma, thymic carcinoma, and thymic neuroendocrine tumors. The recognition of clinical, radiologic, and. Primary thymic lymphoepithelial carcinoma is a rare neoplasm of the mediastinum. In the who 2021 classification, thymic carcinoma includes the following new subtypes (): Thymic lymphoepithelial. Thymic Lymphoepithelial Carcinoma.
From www.cureus.com
Thymic Lymphoepithelial Carcinoma A Rare Aggressive Mediastinal Mass Thymic Lymphoepithelial Carcinoma Thymic carcinoma (tc) is a rare thymic epithelial neoplasm (ten) with heterogeneous features. In the who 2021 classification, thymic carcinoma includes the following new subtypes (): Thymic lymphoepithelial carcinoma (tlec) is a primary thymic carcinoma that accounts for about 14% of all thymic epithelial tumors and is classified into. Primary thymic lymphoepithelial carcinoma is a rare neoplasm of the mediastinum.. Thymic Lymphoepithelial Carcinoma.
From www.spandidos-publications.com
Primary lymphoepithelial carcinoma of the intraoral minor salivary Thymic Lymphoepithelial Carcinoma In the who 2021 classification, thymic carcinoma includes the following new subtypes (): Thymic epithelial tumors (tets) are rare tumors, including thymoma, thymic carcinoma, and thymic neuroendocrine tumors. The recognition of clinical, radiologic, and. Thymic lymphoepithelial carcinoma (tlec) is a primary thymic carcinoma that accounts for about 14% of all thymic epithelial. Thymic carcinoma (tc) is a rare thymic epithelial. Thymic Lymphoepithelial Carcinoma.
From www.pathologyoutlines.com
Pathology Outlines Lymphoepithelial carcinoma Thymic Lymphoepithelial Carcinoma Thymic lymphoepithelial carcinoma (tlec) is a primary thymic carcinoma that accounts for about 14% of all thymic epithelial tumors and is classified into. Thymic carcinoma (tc) is a rare thymic epithelial neoplasm (ten) with heterogeneous features. The recognition of clinical, radiologic, and. Thymic lymphoepithelial carcinoma (tlec) is a primary thymic carcinoma that accounts for about 14% of all thymic epithelial.. Thymic Lymphoepithelial Carcinoma.
From www.youtube.com
Lymphoepitheliomalike Carcinoma (LELC) of Skin (dermpath dermatology Thymic Lymphoepithelial Carcinoma Thymic lymphoepithelial carcinoma (tlec) is a primary thymic carcinoma that accounts for about 14% of all thymic epithelial tumors and is classified into. Thymic carcinoma (tc) is a rare thymic epithelial neoplasm (ten) with heterogeneous features. Primary thymic lymphoepithelial carcinoma is a rare neoplasm of the mediastinum. Thymic epithelial tumors (tets) are rare tumors, including thymoma, thymic carcinoma, and thymic. Thymic Lymphoepithelial Carcinoma.
From jcmtjournal.com
Thymic carcinoma review and update Thymic Lymphoepithelial Carcinoma Primary thymic lymphoepithelial carcinoma is a rare neoplasm of the mediastinum. (1) micronodular thymic carcinoma with lymphoid hyperplasia (fig. Thymic lymphoepithelial carcinoma (tlec) is a primary thymic carcinoma that accounts for about 14% of all thymic epithelial. In the who 2021 classification, thymic carcinoma includes the following new subtypes (): Thymic epithelial tumors (tets) are rare tumors, including thymoma, thymic. Thymic Lymphoepithelial Carcinoma.
From www.researchgate.net
Lymphoepithelial carcinoma (hematoxylineosin) (A) poorly Thymic Lymphoepithelial Carcinoma Thymic epithelial tumors (tets) are rare tumors, including thymoma, thymic carcinoma, and thymic neuroendocrine tumors. Thymic carcinoma (tc) is a rare thymic epithelial neoplasm (ten) with heterogeneous features. In the who 2021 classification, thymic carcinoma includes the following new subtypes (): Thymic lymphoepithelial carcinoma (tlec) is a primary thymic carcinoma that accounts for about 14% of all thymic epithelial tumors. Thymic Lymphoepithelial Carcinoma.
From journals.sagepub.com
A Rare Case of Sinonasal Lymphoepithelial Carcinoma Presented With Thymic Lymphoepithelial Carcinoma Thymic carcinoma (tc) is a rare thymic epithelial neoplasm (ten) with heterogeneous features. Thymic lymphoepithelial carcinoma (tlec) is a primary thymic carcinoma that accounts for about 14% of all thymic epithelial. Primary thymic lymphoepithelial carcinoma is a rare neoplasm of the mediastinum. The recognition of clinical, radiologic, and. Thymic lymphoepithelial carcinoma (tlec) is a primary thymic carcinoma that accounts for. Thymic Lymphoepithelial Carcinoma.
From www.pathologyoutlines.com
Pathology Outlines Lymphoepithelial carcinoma Thymic Lymphoepithelial Carcinoma Thymic lymphoepithelial carcinoma (tlec) is a primary thymic carcinoma that accounts for about 14% of all thymic epithelial tumors and is classified into. (1) micronodular thymic carcinoma with lymphoid hyperplasia (fig. Primary thymic lymphoepithelial carcinoma is a rare neoplasm of the mediastinum. Thymic carcinoma (tc) is a rare thymic epithelial neoplasm (ten) with heterogeneous features. Thymic lymphoepithelial carcinoma (tlec) is. Thymic Lymphoepithelial Carcinoma.
From www.researchgate.net
(PDF) Thymic Lymphoepithelial Carcinoma Associated with EpsteinBarr Thymic Lymphoepithelial Carcinoma Primary thymic lymphoepithelial carcinoma is a rare neoplasm of the mediastinum. The recognition of clinical, radiologic, and. Thymic lymphoepithelial carcinoma (tlec) is a primary thymic carcinoma that accounts for about 14% of all thymic epithelial tumors and is classified into. Thymic epithelial tumors (tets) are rare tumors, including thymoma, thymic carcinoma, and thymic neuroendocrine tumors. (1) micronodular thymic carcinoma with. Thymic Lymphoepithelial Carcinoma.
From www.cureus.com
Thymic Lymphoepithelial Carcinoma A Rare Aggressive Mediastinal Mass Thymic Lymphoepithelial Carcinoma (1) micronodular thymic carcinoma with lymphoid hyperplasia (fig. Thymic lymphoepithelial carcinoma (tlec) is a primary thymic carcinoma that accounts for about 14% of all thymic epithelial. The recognition of clinical, radiologic, and. Thymic epithelial tumors (tets) are rare tumors, including thymoma, thymic carcinoma, and thymic neuroendocrine tumors. In the who 2021 classification, thymic carcinoma includes the following new subtypes ():. Thymic Lymphoepithelial Carcinoma.
From www.semanticscholar.org
Figure 1 from Staging of thymic epithelial neoplasms thymoma and Thymic Lymphoepithelial Carcinoma In the who 2021 classification, thymic carcinoma includes the following new subtypes (): Thymic epithelial tumors (tets) are rare tumors, including thymoma, thymic carcinoma, and thymic neuroendocrine tumors. Primary thymic lymphoepithelial carcinoma is a rare neoplasm of the mediastinum. (1) micronodular thymic carcinoma with lymphoid hyperplasia (fig. The recognition of clinical, radiologic, and. Thymic lymphoepithelial carcinoma (tlec) is a primary. Thymic Lymphoepithelial Carcinoma.
From www.semanticscholar.org
Figure 1 from Thymic Lymphoepithelial Carcinoma Associated with Epstein Thymic Lymphoepithelial Carcinoma (1) micronodular thymic carcinoma with lymphoid hyperplasia (fig. Thymic lymphoepithelial carcinoma (tlec) is a primary thymic carcinoma that accounts for about 14% of all thymic epithelial. Thymic epithelial tumors (tets) are rare tumors, including thymoma, thymic carcinoma, and thymic neuroendocrine tumors. In the who 2021 classification, thymic carcinoma includes the following new subtypes (): The recognition of clinical, radiologic, and.. Thymic Lymphoepithelial Carcinoma.
From www.researchgate.net
Lymphoepithelial lesion of the parotid gland (hematoxylineosin Thymic Lymphoepithelial Carcinoma In the who 2021 classification, thymic carcinoma includes the following new subtypes (): Thymic epithelial tumors (tets) are rare tumors, including thymoma, thymic carcinoma, and thymic neuroendocrine tumors. Thymic lymphoepithelial carcinoma (tlec) is a primary thymic carcinoma that accounts for about 14% of all thymic epithelial. (1) micronodular thymic carcinoma with lymphoid hyperplasia (fig. Thymic carcinoma (tc) is a rare. Thymic Lymphoepithelial Carcinoma.
From www.researchgate.net
(PDF) Primary lymphoepithelial carcinoma of the nasopharynx Thymic Lymphoepithelial Carcinoma Thymic carcinoma (tc) is a rare thymic epithelial neoplasm (ten) with heterogeneous features. (1) micronodular thymic carcinoma with lymphoid hyperplasia (fig. The recognition of clinical, radiologic, and. Thymic lymphoepithelial carcinoma (tlec) is a primary thymic carcinoma that accounts for about 14% of all thymic epithelial. Primary thymic lymphoepithelial carcinoma is a rare neoplasm of the mediastinum. Thymic epithelial tumors (tets). Thymic Lymphoepithelial Carcinoma.
From onlinelibrary.wiley.com
Pulmonary squamous cell carcinoma and lymphoepithelial carcinoma Thymic Lymphoepithelial Carcinoma Primary thymic lymphoepithelial carcinoma is a rare neoplasm of the mediastinum. In the who 2021 classification, thymic carcinoma includes the following new subtypes (): (1) micronodular thymic carcinoma with lymphoid hyperplasia (fig. Thymic carcinoma (tc) is a rare thymic epithelial neoplasm (ten) with heterogeneous features. Thymic lymphoepithelial carcinoma (tlec) is a primary thymic carcinoma that accounts for about 14% of. Thymic Lymphoepithelial Carcinoma.
From www.researchgate.net
a Squamous metaplasia of a duct, with an associated lymphoepithelial Thymic Lymphoepithelial Carcinoma The recognition of clinical, radiologic, and. Thymic lymphoepithelial carcinoma (tlec) is a primary thymic carcinoma that accounts for about 14% of all thymic epithelial tumors and is classified into. Thymic carcinoma (tc) is a rare thymic epithelial neoplasm (ten) with heterogeneous features. Thymic epithelial tumors (tets) are rare tumors, including thymoma, thymic carcinoma, and thymic neuroendocrine tumors. Primary thymic lymphoepithelial. Thymic Lymphoepithelial Carcinoma.
From www.mdpi.com
Cancers Free FullText Thymic Lymphoepithelial Carcinoma Associated Thymic Lymphoepithelial Carcinoma The recognition of clinical, radiologic, and. In the who 2021 classification, thymic carcinoma includes the following new subtypes (): Thymic lymphoepithelial carcinoma (tlec) is a primary thymic carcinoma that accounts for about 14% of all thymic epithelial tumors and is classified into. (1) micronodular thymic carcinoma with lymphoid hyperplasia (fig. Thymic lymphoepithelial carcinoma (tlec) is a primary thymic carcinoma that. Thymic Lymphoepithelial Carcinoma.
From www.pathologyoutlines.com
Pathology Outlines HPV independent Thymic Lymphoepithelial Carcinoma The recognition of clinical, radiologic, and. Thymic carcinoma (tc) is a rare thymic epithelial neoplasm (ten) with heterogeneous features. Thymic lymphoepithelial carcinoma (tlec) is a primary thymic carcinoma that accounts for about 14% of all thymic epithelial. In the who 2021 classification, thymic carcinoma includes the following new subtypes (): Thymic epithelial tumors (tets) are rare tumors, including thymoma, thymic. Thymic Lymphoepithelial Carcinoma.
From www.cureus.com
Thymic Lymphoepithelial Carcinoma A Rare Aggressive Mediastinal Mass Thymic Lymphoepithelial Carcinoma Primary thymic lymphoepithelial carcinoma is a rare neoplasm of the mediastinum. (1) micronodular thymic carcinoma with lymphoid hyperplasia (fig. The recognition of clinical, radiologic, and. Thymic epithelial tumors (tets) are rare tumors, including thymoma, thymic carcinoma, and thymic neuroendocrine tumors. Thymic lymphoepithelial carcinoma (tlec) is a primary thymic carcinoma that accounts for about 14% of all thymic epithelial tumors and. Thymic Lymphoepithelial Carcinoma.
From www.pathologyoutlines.com
Pathology Outlines Lymphoepithelial carcinoma Thymic Lymphoepithelial Carcinoma Thymic carcinoma (tc) is a rare thymic epithelial neoplasm (ten) with heterogeneous features. The recognition of clinical, radiologic, and. Thymic lymphoepithelial carcinoma (tlec) is a primary thymic carcinoma that accounts for about 14% of all thymic epithelial tumors and is classified into. In the who 2021 classification, thymic carcinoma includes the following new subtypes (): Thymic lymphoepithelial carcinoma (tlec) is. Thymic Lymphoepithelial Carcinoma.
From www.pathologyoutlines.com
Pathology Outlines Lymphoepithelial carcinoma Thymic Lymphoepithelial Carcinoma Thymic lymphoepithelial carcinoma (tlec) is a primary thymic carcinoma that accounts for about 14% of all thymic epithelial. The recognition of clinical, radiologic, and. In the who 2021 classification, thymic carcinoma includes the following new subtypes (): Thymic lymphoepithelial carcinoma (tlec) is a primary thymic carcinoma that accounts for about 14% of all thymic epithelial tumors and is classified into.. Thymic Lymphoepithelial Carcinoma.