Chondroitin Endothelial Cell . Chondroitin sulfate (cs), a type of glycosaminoglycan (gag), is a linear acidic polysaccharide comprised of repeating disaccharides, modified with sulfate groups at various. To elucidate the therapeutic mechanisms of cs in lethal thrombosis, we investigated the interaction between cs and. Chondroitin sulfate (chs) has shown promising results in promoting cell proliferation and antithrombogenic activity. Osteoarthritic patients treated with high doses of chondroitin sulfate (cs) have a lower incidence. The glutaraldehyde detoxification, together with the application of a biodegradable methacrylated chondroitin sulfate hydrogel, reduces aldehydes cytotoxicity, increases the migration and proliferation of endothelial cells and the recruitment of endothelial cell progenitors, and confers thromboresistance in fixed pericardium.
from www.researchgate.net
Osteoarthritic patients treated with high doses of chondroitin sulfate (cs) have a lower incidence. The glutaraldehyde detoxification, together with the application of a biodegradable methacrylated chondroitin sulfate hydrogel, reduces aldehydes cytotoxicity, increases the migration and proliferation of endothelial cells and the recruitment of endothelial cell progenitors, and confers thromboresistance in fixed pericardium. Chondroitin sulfate (cs), a type of glycosaminoglycan (gag), is a linear acidic polysaccharide comprised of repeating disaccharides, modified with sulfate groups at various. To elucidate the therapeutic mechanisms of cs in lethal thrombosis, we investigated the interaction between cs and. Chondroitin sulfate (chs) has shown promising results in promoting cell proliferation and antithrombogenic activity.
Structure and components of human endothelial glycocalyx (GCX). GCX is
Chondroitin Endothelial Cell To elucidate the therapeutic mechanisms of cs in lethal thrombosis, we investigated the interaction between cs and. The glutaraldehyde detoxification, together with the application of a biodegradable methacrylated chondroitin sulfate hydrogel, reduces aldehydes cytotoxicity, increases the migration and proliferation of endothelial cells and the recruitment of endothelial cell progenitors, and confers thromboresistance in fixed pericardium. Chondroitin sulfate (cs), a type of glycosaminoglycan (gag), is a linear acidic polysaccharide comprised of repeating disaccharides, modified with sulfate groups at various. Osteoarthritic patients treated with high doses of chondroitin sulfate (cs) have a lower incidence. Chondroitin sulfate (chs) has shown promising results in promoting cell proliferation and antithrombogenic activity. To elucidate the therapeutic mechanisms of cs in lethal thrombosis, we investigated the interaction between cs and.
From www.researchgate.net
Structure and components of human endothelial glycocalyx (GCX). GCX is Chondroitin Endothelial Cell The glutaraldehyde detoxification, together with the application of a biodegradable methacrylated chondroitin sulfate hydrogel, reduces aldehydes cytotoxicity, increases the migration and proliferation of endothelial cells and the recruitment of endothelial cell progenitors, and confers thromboresistance in fixed pericardium. To elucidate the therapeutic mechanisms of cs in lethal thrombosis, we investigated the interaction between cs and. Chondroitin sulfate (cs), a type. Chondroitin Endothelial Cell.
From www.researchgate.net
Endothelial cell surface and basement membrane components bearing Chondroitin Endothelial Cell To elucidate the therapeutic mechanisms of cs in lethal thrombosis, we investigated the interaction between cs and. The glutaraldehyde detoxification, together with the application of a biodegradable methacrylated chondroitin sulfate hydrogel, reduces aldehydes cytotoxicity, increases the migration and proliferation of endothelial cells and the recruitment of endothelial cell progenitors, and confers thromboresistance in fixed pericardium. Chondroitin sulfate (cs), a type. Chondroitin Endothelial Cell.
From stemcellres.biomedcentral.com
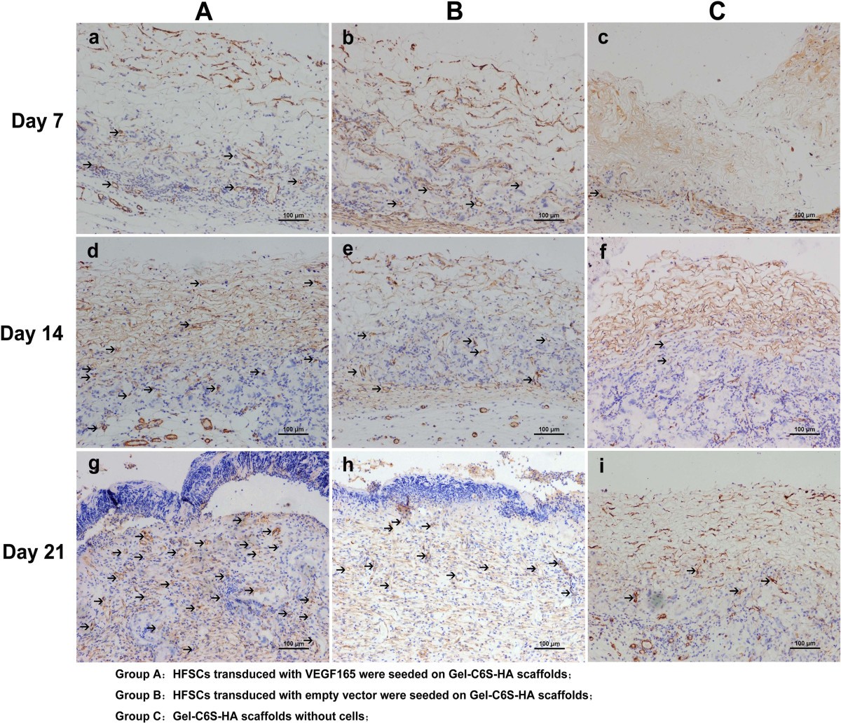
Gelatinchondroitin6sulfatehyaluronic acid scaffold seeded with Chondroitin Endothelial Cell To elucidate the therapeutic mechanisms of cs in lethal thrombosis, we investigated the interaction between cs and. Chondroitin sulfate (cs), a type of glycosaminoglycan (gag), is a linear acidic polysaccharide comprised of repeating disaccharides, modified with sulfate groups at various. The glutaraldehyde detoxification, together with the application of a biodegradable methacrylated chondroitin sulfate hydrogel, reduces aldehydes cytotoxicity, increases the migration. Chondroitin Endothelial Cell.
From www.frontiersin.org
Frontiers The Combined Contribution of Vascular Endothelial Cell Chondroitin Endothelial Cell Osteoarthritic patients treated with high doses of chondroitin sulfate (cs) have a lower incidence. Chondroitin sulfate (cs), a type of glycosaminoglycan (gag), is a linear acidic polysaccharide comprised of repeating disaccharides, modified with sulfate groups at various. To elucidate the therapeutic mechanisms of cs in lethal thrombosis, we investigated the interaction between cs and. The glutaraldehyde detoxification, together with the. Chondroitin Endothelial Cell.
From www.researchgate.net
Exposure to cigarette smoke causes endothelial apoptosis, glycocalyx Chondroitin Endothelial Cell Chondroitin sulfate (cs), a type of glycosaminoglycan (gag), is a linear acidic polysaccharide comprised of repeating disaccharides, modified with sulfate groups at various. To elucidate the therapeutic mechanisms of cs in lethal thrombosis, we investigated the interaction between cs and. Osteoarthritic patients treated with high doses of chondroitin sulfate (cs) have a lower incidence. The glutaraldehyde detoxification, together with the. Chondroitin Endothelial Cell.
From www.aging-us.com
TLR2 regulates angiotensin IIinduced vascular remodeling and EndMT Chondroitin Endothelial Cell Osteoarthritic patients treated with high doses of chondroitin sulfate (cs) have a lower incidence. Chondroitin sulfate (cs), a type of glycosaminoglycan (gag), is a linear acidic polysaccharide comprised of repeating disaccharides, modified with sulfate groups at various. Chondroitin sulfate (chs) has shown promising results in promoting cell proliferation and antithrombogenic activity. To elucidate the therapeutic mechanisms of cs in lethal. Chondroitin Endothelial Cell.
From www.cell.com
Chondroitin Sulfate is the Primary Receptor for a PeptideModified AAV Chondroitin Endothelial Cell Chondroitin sulfate (chs) has shown promising results in promoting cell proliferation and antithrombogenic activity. Chondroitin sulfate (cs), a type of glycosaminoglycan (gag), is a linear acidic polysaccharide comprised of repeating disaccharides, modified with sulfate groups at various. The glutaraldehyde detoxification, together with the application of a biodegradable methacrylated chondroitin sulfate hydrogel, reduces aldehydes cytotoxicity, increases the migration and proliferation of. Chondroitin Endothelial Cell.
From www.jstage.jst.go.jp
Cadmium induces chondroitin sulfate synthase 1 via protein kinase Cα Chondroitin Endothelial Cell To elucidate the therapeutic mechanisms of cs in lethal thrombosis, we investigated the interaction between cs and. Chondroitin sulfate (cs), a type of glycosaminoglycan (gag), is a linear acidic polysaccharide comprised of repeating disaccharides, modified with sulfate groups at various. Chondroitin sulfate (chs) has shown promising results in promoting cell proliferation and antithrombogenic activity. The glutaraldehyde detoxification, together with the. Chondroitin Endothelial Cell.
From www.researchgate.net
Construction of negative charged cell delivery with better permeability Chondroitin Endothelial Cell The glutaraldehyde detoxification, together with the application of a biodegradable methacrylated chondroitin sulfate hydrogel, reduces aldehydes cytotoxicity, increases the migration and proliferation of endothelial cells and the recruitment of endothelial cell progenitors, and confers thromboresistance in fixed pericardium. Osteoarthritic patients treated with high doses of chondroitin sulfate (cs) have a lower incidence. Chondroitin sulfate (chs) has shown promising results in. Chondroitin Endothelial Cell.
From www.mdpi.com
Gels Free FullText Functional Hydrogels with Chondroitin Sulfate Chondroitin Endothelial Cell Osteoarthritic patients treated with high doses of chondroitin sulfate (cs) have a lower incidence. To elucidate the therapeutic mechanisms of cs in lethal thrombosis, we investigated the interaction between cs and. Chondroitin sulfate (chs) has shown promising results in promoting cell proliferation and antithrombogenic activity. The glutaraldehyde detoxification, together with the application of a biodegradable methacrylated chondroitin sulfate hydrogel, reduces. Chondroitin Endothelial Cell.
From www.researchgate.net
The basic biology of vascular endothelial cells. (A) Simplified Chondroitin Endothelial Cell To elucidate the therapeutic mechanisms of cs in lethal thrombosis, we investigated the interaction between cs and. The glutaraldehyde detoxification, together with the application of a biodegradable methacrylated chondroitin sulfate hydrogel, reduces aldehydes cytotoxicity, increases the migration and proliferation of endothelial cells and the recruitment of endothelial cell progenitors, and confers thromboresistance in fixed pericardium. Chondroitin sulfate (chs) has shown. Chondroitin Endothelial Cell.
From www.frontiersin.org
Frontiers Tumor necrosis factor receptor regulation of peripheral Chondroitin Endothelial Cell To elucidate the therapeutic mechanisms of cs in lethal thrombosis, we investigated the interaction between cs and. Osteoarthritic patients treated with high doses of chondroitin sulfate (cs) have a lower incidence. Chondroitin sulfate (cs), a type of glycosaminoglycan (gag), is a linear acidic polysaccharide comprised of repeating disaccharides, modified with sulfate groups at various. The glutaraldehyde detoxification, together with the. Chondroitin Endothelial Cell.
From www.researchgate.net
Urothelial anatomy and function. A) Expression of chondroitin sulfate Chondroitin Endothelial Cell Chondroitin sulfate (chs) has shown promising results in promoting cell proliferation and antithrombogenic activity. Osteoarthritic patients treated with high doses of chondroitin sulfate (cs) have a lower incidence. Chondroitin sulfate (cs), a type of glycosaminoglycan (gag), is a linear acidic polysaccharide comprised of repeating disaccharides, modified with sulfate groups at various. The glutaraldehyde detoxification, together with the application of a. Chondroitin Endothelial Cell.
From www.frontiersin.org
Frontiers How Endothelial Cells Adapt Their Metabolism to Form Chondroitin Endothelial Cell The glutaraldehyde detoxification, together with the application of a biodegradable methacrylated chondroitin sulfate hydrogel, reduces aldehydes cytotoxicity, increases the migration and proliferation of endothelial cells and the recruitment of endothelial cell progenitors, and confers thromboresistance in fixed pericardium. Chondroitin sulfate (chs) has shown promising results in promoting cell proliferation and antithrombogenic activity. Chondroitin sulfate (cs), a type of glycosaminoglycan (gag),. Chondroitin Endothelial Cell.
From www.ahajournals.org
Generation of Endothelial Cells From Human Pluripotent Stem Cells Chondroitin Endothelial Cell The glutaraldehyde detoxification, together with the application of a biodegradable methacrylated chondroitin sulfate hydrogel, reduces aldehydes cytotoxicity, increases the migration and proliferation of endothelial cells and the recruitment of endothelial cell progenitors, and confers thromboresistance in fixed pericardium. Chondroitin sulfate (cs), a type of glycosaminoglycan (gag), is a linear acidic polysaccharide comprised of repeating disaccharides, modified with sulfate groups at. Chondroitin Endothelial Cell.
From www.researchgate.net
Immunohistochemical staining for CS. In MMD, there was strong staining Chondroitin Endothelial Cell Chondroitin sulfate (chs) has shown promising results in promoting cell proliferation and antithrombogenic activity. Chondroitin sulfate (cs), a type of glycosaminoglycan (gag), is a linear acidic polysaccharide comprised of repeating disaccharides, modified with sulfate groups at various. Osteoarthritic patients treated with high doses of chondroitin sulfate (cs) have a lower incidence. The glutaraldehyde detoxification, together with the application of a. Chondroitin Endothelial Cell.
From www.researchgate.net
Representative images of human umbilical vein endothelial cell (HUVEC Chondroitin Endothelial Cell Chondroitin sulfate (chs) has shown promising results in promoting cell proliferation and antithrombogenic activity. To elucidate the therapeutic mechanisms of cs in lethal thrombosis, we investigated the interaction between cs and. The glutaraldehyde detoxification, together with the application of a biodegradable methacrylated chondroitin sulfate hydrogel, reduces aldehydes cytotoxicity, increases the migration and proliferation of endothelial cells and the recruitment of. Chondroitin Endothelial Cell.
From journals.physiology.org
Arthritis and Duchenne muscular dystrophy the role of chondroitin Chondroitin Endothelial Cell Chondroitin sulfate (chs) has shown promising results in promoting cell proliferation and antithrombogenic activity. Chondroitin sulfate (cs), a type of glycosaminoglycan (gag), is a linear acidic polysaccharide comprised of repeating disaccharides, modified with sulfate groups at various. The glutaraldehyde detoxification, together with the application of a biodegradable methacrylated chondroitin sulfate hydrogel, reduces aldehydes cytotoxicity, increases the migration and proliferation of. Chondroitin Endothelial Cell.
From www.frontiersin.org
Frontiers Endothelialtomesenchymal transition An underappreciated Chondroitin Endothelial Cell To elucidate the therapeutic mechanisms of cs in lethal thrombosis, we investigated the interaction between cs and. Chondroitin sulfate (cs), a type of glycosaminoglycan (gag), is a linear acidic polysaccharide comprised of repeating disaccharides, modified with sulfate groups at various. Chondroitin sulfate (chs) has shown promising results in promoting cell proliferation and antithrombogenic activity. Osteoarthritic patients treated with high doses. Chondroitin Endothelial Cell.
From www.researchgate.net
Visualisation of NG2 chondroitin sulphate proteoglycan (NG2)positive Chondroitin Endothelial Cell To elucidate the therapeutic mechanisms of cs in lethal thrombosis, we investigated the interaction between cs and. Chondroitin sulfate (cs), a type of glycosaminoglycan (gag), is a linear acidic polysaccharide comprised of repeating disaccharides, modified with sulfate groups at various. Osteoarthritic patients treated with high doses of chondroitin sulfate (cs) have a lower incidence. The glutaraldehyde detoxification, together with the. Chondroitin Endothelial Cell.
From www.cell.com
The Kaposi’s progenitor enigma KSHVinduced MEndTEndMT axis Chondroitin Endothelial Cell Chondroitin sulfate (chs) has shown promising results in promoting cell proliferation and antithrombogenic activity. Osteoarthritic patients treated with high doses of chondroitin sulfate (cs) have a lower incidence. The glutaraldehyde detoxification, together with the application of a biodegradable methacrylated chondroitin sulfate hydrogel, reduces aldehydes cytotoxicity, increases the migration and proliferation of endothelial cells and the recruitment of endothelial cell progenitors,. Chondroitin Endothelial Cell.
From www.frontiersin.org
Frontiers Key Roles of Hyaluronan and Its CD44 Receptor in the Chondroitin Endothelial Cell To elucidate the therapeutic mechanisms of cs in lethal thrombosis, we investigated the interaction between cs and. Chondroitin sulfate (chs) has shown promising results in promoting cell proliferation and antithrombogenic activity. Osteoarthritic patients treated with high doses of chondroitin sulfate (cs) have a lower incidence. Chondroitin sulfate (cs), a type of glycosaminoglycan (gag), is a linear acidic polysaccharide comprised of. Chondroitin Endothelial Cell.
From www.researchgate.net
ECM interactions organizing mechanical cues and orchestrating Chondroitin Endothelial Cell The glutaraldehyde detoxification, together with the application of a biodegradable methacrylated chondroitin sulfate hydrogel, reduces aldehydes cytotoxicity, increases the migration and proliferation of endothelial cells and the recruitment of endothelial cell progenitors, and confers thromboresistance in fixed pericardium. Osteoarthritic patients treated with high doses of chondroitin sulfate (cs) have a lower incidence. Chondroitin sulfate (cs), a type of glycosaminoglycan (gag),. Chondroitin Endothelial Cell.
From www.researchgate.net
Properties of immune and vascular endothelial cells regulated by mTOR Chondroitin Endothelial Cell Osteoarthritic patients treated with high doses of chondroitin sulfate (cs) have a lower incidence. Chondroitin sulfate (cs), a type of glycosaminoglycan (gag), is a linear acidic polysaccharide comprised of repeating disaccharides, modified with sulfate groups at various. The glutaraldehyde detoxification, together with the application of a biodegradable methacrylated chondroitin sulfate hydrogel, reduces aldehydes cytotoxicity, increases the migration and proliferation of. Chondroitin Endothelial Cell.
From www.ahajournals.org
Activated Platelets Induce Endothelial Cell Activation via an Chondroitin Endothelial Cell Chondroitin sulfate (cs), a type of glycosaminoglycan (gag), is a linear acidic polysaccharide comprised of repeating disaccharides, modified with sulfate groups at various. The glutaraldehyde detoxification, together with the application of a biodegradable methacrylated chondroitin sulfate hydrogel, reduces aldehydes cytotoxicity, increases the migration and proliferation of endothelial cells and the recruitment of endothelial cell progenitors, and confers thromboresistance in fixed. Chondroitin Endothelial Cell.
From www.cell.com
Chondroitin Sulfate is the Primary Receptor for a PeptideModified AAV Chondroitin Endothelial Cell Chondroitin sulfate (cs), a type of glycosaminoglycan (gag), is a linear acidic polysaccharide comprised of repeating disaccharides, modified with sulfate groups at various. The glutaraldehyde detoxification, together with the application of a biodegradable methacrylated chondroitin sulfate hydrogel, reduces aldehydes cytotoxicity, increases the migration and proliferation of endothelial cells and the recruitment of endothelial cell progenitors, and confers thromboresistance in fixed. Chondroitin Endothelial Cell.
From www.frontiersin.org
Frontiers Endothelial Cell Behavior Is Determined by Receptor Chondroitin Endothelial Cell Osteoarthritic patients treated with high doses of chondroitin sulfate (cs) have a lower incidence. Chondroitin sulfate (cs), a type of glycosaminoglycan (gag), is a linear acidic polysaccharide comprised of repeating disaccharides, modified with sulfate groups at various. Chondroitin sulfate (chs) has shown promising results in promoting cell proliferation and antithrombogenic activity. To elucidate the therapeutic mechanisms of cs in lethal. Chondroitin Endothelial Cell.
From www.cell.com
Chondroitin Sulfate is the Primary Receptor for a PeptideModified AAV Chondroitin Endothelial Cell Osteoarthritic patients treated with high doses of chondroitin sulfate (cs) have a lower incidence. Chondroitin sulfate (chs) has shown promising results in promoting cell proliferation and antithrombogenic activity. Chondroitin sulfate (cs), a type of glycosaminoglycan (gag), is a linear acidic polysaccharide comprised of repeating disaccharides, modified with sulfate groups at various. The glutaraldehyde detoxification, together with the application of a. Chondroitin Endothelial Cell.
From www.researchgate.net
Migration and recruitment of endothelial cells and endothelial Chondroitin Endothelial Cell To elucidate the therapeutic mechanisms of cs in lethal thrombosis, we investigated the interaction between cs and. Chondroitin sulfate (chs) has shown promising results in promoting cell proliferation and antithrombogenic activity. Chondroitin sulfate (cs), a type of glycosaminoglycan (gag), is a linear acidic polysaccharide comprised of repeating disaccharides, modified with sulfate groups at various. Osteoarthritic patients treated with high doses. Chondroitin Endothelial Cell.
From www.cell.com
Chondroitin Sulfate is the Primary Receptor for a PeptideModified AAV Chondroitin Endothelial Cell To elucidate the therapeutic mechanisms of cs in lethal thrombosis, we investigated the interaction between cs and. Osteoarthritic patients treated with high doses of chondroitin sulfate (cs) have a lower incidence. The glutaraldehyde detoxification, together with the application of a biodegradable methacrylated chondroitin sulfate hydrogel, reduces aldehydes cytotoxicity, increases the migration and proliferation of endothelial cells and the recruitment of. Chondroitin Endothelial Cell.
From www.researchgate.net
Enhanced proliferation and angiogenic phenotype of endothelial cells Chondroitin Endothelial Cell Osteoarthritic patients treated with high doses of chondroitin sulfate (cs) have a lower incidence. The glutaraldehyde detoxification, together with the application of a biodegradable methacrylated chondroitin sulfate hydrogel, reduces aldehydes cytotoxicity, increases the migration and proliferation of endothelial cells and the recruitment of endothelial cell progenitors, and confers thromboresistance in fixed pericardium. Chondroitin sulfate (chs) has shown promising results in. Chondroitin Endothelial Cell.
From www.researchgate.net
Structure of the endothelial glycocalyx. The endothelial glycocalyx Chondroitin Endothelial Cell Chondroitin sulfate (chs) has shown promising results in promoting cell proliferation and antithrombogenic activity. Osteoarthritic patients treated with high doses of chondroitin sulfate (cs) have a lower incidence. Chondroitin sulfate (cs), a type of glycosaminoglycan (gag), is a linear acidic polysaccharide comprised of repeating disaccharides, modified with sulfate groups at various. The glutaraldehyde detoxification, together with the application of a. Chondroitin Endothelial Cell.
From www.researchgate.net
The role of endothelial cells (ECs) in peripheral arterial disease Chondroitin Endothelial Cell To elucidate the therapeutic mechanisms of cs in lethal thrombosis, we investigated the interaction between cs and. Osteoarthritic patients treated with high doses of chondroitin sulfate (cs) have a lower incidence. Chondroitin sulfate (chs) has shown promising results in promoting cell proliferation and antithrombogenic activity. Chondroitin sulfate (cs), a type of glycosaminoglycan (gag), is a linear acidic polysaccharide comprised of. Chondroitin Endothelial Cell.
From openi.nlm.nih.gov
Schematics of the endothelial (A) and tumor (B) cell gl Openi Chondroitin Endothelial Cell Osteoarthritic patients treated with high doses of chondroitin sulfate (cs) have a lower incidence. Chondroitin sulfate (cs), a type of glycosaminoglycan (gag), is a linear acidic polysaccharide comprised of repeating disaccharides, modified with sulfate groups at various. To elucidate the therapeutic mechanisms of cs in lethal thrombosis, we investigated the interaction between cs and. Chondroitin sulfate (chs) has shown promising. Chondroitin Endothelial Cell.
From www.researchgate.net
Schematic representation of the glycocalyx and its component Chondroitin Endothelial Cell To elucidate the therapeutic mechanisms of cs in lethal thrombosis, we investigated the interaction between cs and. Chondroitin sulfate (cs), a type of glycosaminoglycan (gag), is a linear acidic polysaccharide comprised of repeating disaccharides, modified with sulfate groups at various. Osteoarthritic patients treated with high doses of chondroitin sulfate (cs) have a lower incidence. The glutaraldehyde detoxification, together with the. Chondroitin Endothelial Cell.