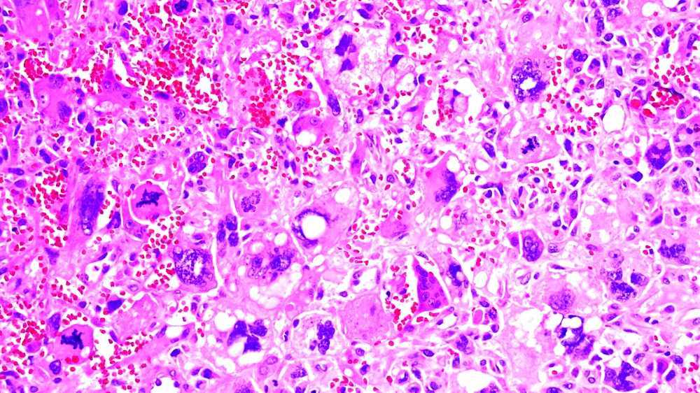
Spindle Cell Lung Cancer . Spindle cell carcinoma is an aggressive (rapidly developing) malignancy that has elements of both carcinoma and sarcoma. Therefore, the prognosis and treatment of pulmonary scc is unclear. Spindle cell lung cancer (spcc) is a rare type of nsclc which portends a poor prognosis. Spindle cell carcinoma (spcc) is defined as a rare histological type of sc,. Here we present a case of spindle cell carcinoma that proved difficult to diagnose in the absence of surgical lobectomy. There are only 13 reported cases in literature, only three of which had a survival of more than 11 months. Due to the rarity of.
from www.jmaj.jp
Here we present a case of spindle cell carcinoma that proved difficult to diagnose in the absence of surgical lobectomy. Due to the rarity of. Spindle cell carcinoma is an aggressive (rapidly developing) malignancy that has elements of both carcinoma and sarcoma. There are only 13 reported cases in literature, only three of which had a survival of more than 11 months. Therefore, the prognosis and treatment of pulmonary scc is unclear. Spindle cell lung cancer (spcc) is a rare type of nsclc which portends a poor prognosis. Spindle cell carcinoma (spcc) is defined as a rare histological type of sc,.
A Remarkable Clinical Response to Pembrolizumab in a Rare Spindle Cell Carcinoma of the Lung
Spindle Cell Lung Cancer Here we present a case of spindle cell carcinoma that proved difficult to diagnose in the absence of surgical lobectomy. Spindle cell carcinoma (spcc) is defined as a rare histological type of sc,. Spindle cell carcinoma is an aggressive (rapidly developing) malignancy that has elements of both carcinoma and sarcoma. There are only 13 reported cases in literature, only three of which had a survival of more than 11 months. Spindle cell lung cancer (spcc) is a rare type of nsclc which portends a poor prognosis. Due to the rarity of. Therefore, the prognosis and treatment of pulmonary scc is unclear. Here we present a case of spindle cell carcinoma that proved difficult to diagnose in the absence of surgical lobectomy.
From www.dovemed.com
Spindle Cell Carcinoma of Lung DoveMed Spindle Cell Lung Cancer Therefore, the prognosis and treatment of pulmonary scc is unclear. Due to the rarity of. There are only 13 reported cases in literature, only three of which had a survival of more than 11 months. Spindle cell lung cancer (spcc) is a rare type of nsclc which portends a poor prognosis. Spindle cell carcinoma is an aggressive (rapidly developing) malignancy. Spindle Cell Lung Cancer.
From www.cureus.com
Cureus Pulmonary Spindle Cell Carcinoma A Rare Case Report Spindle Cell Lung Cancer Spindle cell carcinoma (spcc) is defined as a rare histological type of sc,. Spindle cell lung cancer (spcc) is a rare type of nsclc which portends a poor prognosis. Here we present a case of spindle cell carcinoma that proved difficult to diagnose in the absence of surgical lobectomy. There are only 13 reported cases in literature, only three of. Spindle Cell Lung Cancer.
From jnm.snmjournals.org
Relationship between FDG PET/CT multiple characteristics and tumor proliferation in surgically Spindle Cell Lung Cancer Spindle cell carcinoma (spcc) is defined as a rare histological type of sc,. Spindle cell lung cancer (spcc) is a rare type of nsclc which portends a poor prognosis. Spindle cell carcinoma is an aggressive (rapidly developing) malignancy that has elements of both carcinoma and sarcoma. There are only 13 reported cases in literature, only three of which had a. Spindle Cell Lung Cancer.
From www.researchgate.net
(PDF) Primary Lung Spindle Cell Carcinoma Spindle Cell Lung Cancer There are only 13 reported cases in literature, only three of which had a survival of more than 11 months. Spindle cell lung cancer (spcc) is a rare type of nsclc which portends a poor prognosis. Spindle cell carcinoma is an aggressive (rapidly developing) malignancy that has elements of both carcinoma and sarcoma. Spindle cell carcinoma (spcc) is defined as. Spindle Cell Lung Cancer.
From www.jmaj.jp
A Remarkable Clinical Response to Pembrolizumab in a Rare Spindle Cell Carcinoma of the Lung Spindle Cell Lung Cancer Therefore, the prognosis and treatment of pulmonary scc is unclear. There are only 13 reported cases in literature, only three of which had a survival of more than 11 months. Spindle cell lung cancer (spcc) is a rare type of nsclc which portends a poor prognosis. Due to the rarity of. Spindle cell carcinoma is an aggressive (rapidly developing) malignancy. Spindle Cell Lung Cancer.
From www.researchgate.net
Examples from the morphological spectrum of ‘spindle cells’ (all... Download Scientific Diagram Spindle Cell Lung Cancer Here we present a case of spindle cell carcinoma that proved difficult to diagnose in the absence of surgical lobectomy. Spindle cell lung cancer (spcc) is a rare type of nsclc which portends a poor prognosis. There are only 13 reported cases in literature, only three of which had a survival of more than 11 months. Spindle cell carcinoma (spcc). Spindle Cell Lung Cancer.
From www.semanticscholar.org
Figure 1 from A Case of Spindle Cell Carcinoma That Developed 13 Years After Postoperative Spindle Cell Lung Cancer Due to the rarity of. Here we present a case of spindle cell carcinoma that proved difficult to diagnose in the absence of surgical lobectomy. Spindle cell lung cancer (spcc) is a rare type of nsclc which portends a poor prognosis. There are only 13 reported cases in literature, only three of which had a survival of more than 11. Spindle Cell Lung Cancer.
From onlinelibrary.wiley.com
Spindle cell a rare cause of a spontaneous pneumothorax Pedroso 2021 Respirology Spindle Cell Lung Cancer Spindle cell lung cancer (spcc) is a rare type of nsclc which portends a poor prognosis. There are only 13 reported cases in literature, only three of which had a survival of more than 11 months. Spindle cell carcinoma is an aggressive (rapidly developing) malignancy that has elements of both carcinoma and sarcoma. Spindle cell carcinoma (spcc) is defined as. Spindle Cell Lung Cancer.
From casereports.bmj.com
Longterm survival in a patient with pulmonary spindle cell carcinoma treated with traditional Spindle Cell Lung Cancer Here we present a case of spindle cell carcinoma that proved difficult to diagnose in the absence of surgical lobectomy. Spindle cell carcinoma (spcc) is defined as a rare histological type of sc,. There are only 13 reported cases in literature, only three of which had a survival of more than 11 months. Spindle cell lung cancer (spcc) is a. Spindle Cell Lung Cancer.
From www.researchgate.net
The image is showing spindle cell carcinoma, small islands and, cords... Download Scientific Spindle Cell Lung Cancer Spindle cell carcinoma is an aggressive (rapidly developing) malignancy that has elements of both carcinoma and sarcoma. There are only 13 reported cases in literature, only three of which had a survival of more than 11 months. Here we present a case of spindle cell carcinoma that proved difficult to diagnose in the absence of surgical lobectomy. Due to the. Spindle Cell Lung Cancer.
From www.cureus.com
Cureus Spindle Cell Carcinoma of the Lung/Pleura An Incidental Finding Spindle Cell Lung Cancer Spindle cell carcinoma (spcc) is defined as a rare histological type of sc,. Therefore, the prognosis and treatment of pulmonary scc is unclear. Spindle cell carcinoma is an aggressive (rapidly developing) malignancy that has elements of both carcinoma and sarcoma. There are only 13 reported cases in literature, only three of which had a survival of more than 11 months.. Spindle Cell Lung Cancer.
From mesotheliomasociety.web.fc2.com
What Is Spindle Cell Carcinoma Of The Lung Spindle Cell Lung Cancer Due to the rarity of. Spindle cell lung cancer (spcc) is a rare type of nsclc which portends a poor prognosis. There are only 13 reported cases in literature, only three of which had a survival of more than 11 months. Here we present a case of spindle cell carcinoma that proved difficult to diagnose in the absence of surgical. Spindle Cell Lung Cancer.
From cancerwalls.blogspot.com
Stage 3 Lung Cancer Life Expectancy CancerWalls Spindle Cell Lung Cancer There are only 13 reported cases in literature, only three of which had a survival of more than 11 months. Due to the rarity of. Spindle cell lung cancer (spcc) is a rare type of nsclc which portends a poor prognosis. Here we present a case of spindle cell carcinoma that proved difficult to diagnose in the absence of surgical. Spindle Cell Lung Cancer.
From www.flickr.com
Typical carcinoid, spindle cell type Dr. Yale Rosen Atlas of Pulmonary Pathology Flickr Spindle Cell Lung Cancer There are only 13 reported cases in literature, only three of which had a survival of more than 11 months. Spindle cell carcinoma (spcc) is defined as a rare histological type of sc,. Spindle cell lung cancer (spcc) is a rare type of nsclc which portends a poor prognosis. Spindle cell carcinoma is an aggressive (rapidly developing) malignancy that has. Spindle Cell Lung Cancer.
From www.sciencephoto.com
Spindle cell cancer Stock Image C002/4752 Science Photo Library Spindle Cell Lung Cancer Due to the rarity of. Here we present a case of spindle cell carcinoma that proved difficult to diagnose in the absence of surgical lobectomy. Spindle cell lung cancer (spcc) is a rare type of nsclc which portends a poor prognosis. Spindle cell carcinoma is an aggressive (rapidly developing) malignancy that has elements of both carcinoma and sarcoma. Therefore, the. Spindle Cell Lung Cancer.
From www.researchgate.net
Case 2 histological findings. (A and B) Spindle cell carcinoma... Download Scientific Diagram Spindle Cell Lung Cancer Spindle cell carcinoma (spcc) is defined as a rare histological type of sc,. There are only 13 reported cases in literature, only three of which had a survival of more than 11 months. Here we present a case of spindle cell carcinoma that proved difficult to diagnose in the absence of surgical lobectomy. Due to the rarity of. Therefore, the. Spindle Cell Lung Cancer.
From animalia-life.club
Amoeboid Motion Spindle Cell Lung Cancer Therefore, the prognosis and treatment of pulmonary scc is unclear. Here we present a case of spindle cell carcinoma that proved difficult to diagnose in the absence of surgical lobectomy. There are only 13 reported cases in literature, only three of which had a survival of more than 11 months. Due to the rarity of. Spindle cell carcinoma (spcc) is. Spindle Cell Lung Cancer.
From casepedia.blogspot.com
Giantcell carcinoma of the lung Spindle Cell Lung Cancer Spindle cell carcinoma is an aggressive (rapidly developing) malignancy that has elements of both carcinoma and sarcoma. There are only 13 reported cases in literature, only three of which had a survival of more than 11 months. Therefore, the prognosis and treatment of pulmonary scc is unclear. Spindle cell carcinoma (spcc) is defined as a rare histological type of sc,.. Spindle Cell Lung Cancer.
From asbestosispronounce.web.fc2.com
Spindle Cell Tumor Lung Pathology Spindle Cell Lung Cancer There are only 13 reported cases in literature, only three of which had a survival of more than 11 months. Due to the rarity of. Spindle cell carcinoma (spcc) is defined as a rare histological type of sc,. Spindle cell lung cancer (spcc) is a rare type of nsclc which portends a poor prognosis. Here we present a case of. Spindle Cell Lung Cancer.
From mesotheliomasociety.web.fc2.com
Spindle Cell Carcinoma Lung Chemotherapy Spindle Cell Lung Cancer Spindle cell carcinoma (spcc) is defined as a rare histological type of sc,. There are only 13 reported cases in literature, only three of which had a survival of more than 11 months. Due to the rarity of. Spindle cell lung cancer (spcc) is a rare type of nsclc which portends a poor prognosis. Spindle cell carcinoma is an aggressive. Spindle Cell Lung Cancer.
From jcp.bmj.com
Rare and unusual spindle cell tumour Journal of Clinical Pathology Spindle Cell Lung Cancer Due to the rarity of. Spindle cell carcinoma is an aggressive (rapidly developing) malignancy that has elements of both carcinoma and sarcoma. Therefore, the prognosis and treatment of pulmonary scc is unclear. Spindle cell lung cancer (spcc) is a rare type of nsclc which portends a poor prognosis. Here we present a case of spindle cell carcinoma that proved difficult. Spindle Cell Lung Cancer.
From onlinelibrary.wiley.com
Clinical case of lung spindle cell carcinoma markedly responsive to pembrolizumab Mizushina Spindle Cell Lung Cancer There are only 13 reported cases in literature, only three of which had a survival of more than 11 months. Here we present a case of spindle cell carcinoma that proved difficult to diagnose in the absence of surgical lobectomy. Spindle cell lung cancer (spcc) is a rare type of nsclc which portends a poor prognosis. Spindle cell carcinoma is. Spindle Cell Lung Cancer.
From journals.lww.com
Pulmonary spindle cell carcinoma with unusual morphology A... Medicine Spindle Cell Lung Cancer There are only 13 reported cases in literature, only three of which had a survival of more than 11 months. Spindle cell carcinoma is an aggressive (rapidly developing) malignancy that has elements of both carcinoma and sarcoma. Due to the rarity of. Therefore, the prognosis and treatment of pulmonary scc is unclear. Here we present a case of spindle cell. Spindle Cell Lung Cancer.
From www.pathologyoutlines.com
Pathology Outlines Typical carcinoid Spindle Cell Lung Cancer Therefore, the prognosis and treatment of pulmonary scc is unclear. Here we present a case of spindle cell carcinoma that proved difficult to diagnose in the absence of surgical lobectomy. Spindle cell lung cancer (spcc) is a rare type of nsclc which portends a poor prognosis. There are only 13 reported cases in literature, only three of which had a. Spindle Cell Lung Cancer.
From www.researchgate.net
21 Spindle cell carcinoma. Aspirated from a right upper lobe lung mass... Download Scientific Spindle Cell Lung Cancer Spindle cell carcinoma is an aggressive (rapidly developing) malignancy that has elements of both carcinoma and sarcoma. There are only 13 reported cases in literature, only three of which had a survival of more than 11 months. Here we present a case of spindle cell carcinoma that proved difficult to diagnose in the absence of surgical lobectomy. Due to the. Spindle Cell Lung Cancer.
From www.jmaj.jp
A Remarkable Clinical Response to Pembrolizumab in a Rare Spindle Cell Carcinoma of the Lung Spindle Cell Lung Cancer Due to the rarity of. Here we present a case of spindle cell carcinoma that proved difficult to diagnose in the absence of surgical lobectomy. Spindle cell carcinoma is an aggressive (rapidly developing) malignancy that has elements of both carcinoma and sarcoma. There are only 13 reported cases in literature, only three of which had a survival of more than. Spindle Cell Lung Cancer.
From www.moffitt.org
Spindle Cell Moffitt Spindle Cell Lung Cancer Spindle cell lung cancer (spcc) is a rare type of nsclc which portends a poor prognosis. Therefore, the prognosis and treatment of pulmonary scc is unclear. Spindle cell carcinoma (spcc) is defined as a rare histological type of sc,. There are only 13 reported cases in literature, only three of which had a survival of more than 11 months. Due. Spindle Cell Lung Cancer.
From www.youtube.com
SCC (Spindle Cell Squamous Cell Carcinoma) 5Minute Pathology Pearls YouTube Spindle Cell Lung Cancer Therefore, the prognosis and treatment of pulmonary scc is unclear. There are only 13 reported cases in literature, only three of which had a survival of more than 11 months. Due to the rarity of. Spindle cell lung cancer (spcc) is a rare type of nsclc which portends a poor prognosis. Spindle cell carcinoma (spcc) is defined as a rare. Spindle Cell Lung Cancer.
From www.semanticscholar.org
Figure 5 from A Case of Spindle Cell Carcinoma That Developed 13 Years After Postoperative Spindle Cell Lung Cancer Due to the rarity of. Spindle cell carcinoma is an aggressive (rapidly developing) malignancy that has elements of both carcinoma and sarcoma. Therefore, the prognosis and treatment of pulmonary scc is unclear. Spindle cell carcinoma (spcc) is defined as a rare histological type of sc,. Here we present a case of spindle cell carcinoma that proved difficult to diagnose in. Spindle Cell Lung Cancer.
From www.cureus.com
Cureus Pulmonary Spindle Cell Carcinoma A Rare Case Report Spindle Cell Lung Cancer Here we present a case of spindle cell carcinoma that proved difficult to diagnose in the absence of surgical lobectomy. Therefore, the prognosis and treatment of pulmonary scc is unclear. There are only 13 reported cases in literature, only three of which had a survival of more than 11 months. Due to the rarity of. Spindle cell carcinoma is an. Spindle Cell Lung Cancer.
From www.cureus.com
Cureus Pulmonary Spindle Cell Carcinoma A Rare Case Report Spindle Cell Lung Cancer Spindle cell carcinoma is an aggressive (rapidly developing) malignancy that has elements of both carcinoma and sarcoma. Spindle cell carcinoma (spcc) is defined as a rare histological type of sc,. There are only 13 reported cases in literature, only three of which had a survival of more than 11 months. Spindle cell lung cancer (spcc) is a rare type of. Spindle Cell Lung Cancer.
From www.surgpath.theclinics.com
Differential Diagnosis of Benign Spindle Cell Lesions Surgical Pathology Clinics Spindle Cell Lung Cancer Therefore, the prognosis and treatment of pulmonary scc is unclear. Here we present a case of spindle cell carcinoma that proved difficult to diagnose in the absence of surgical lobectomy. Spindle cell carcinoma (spcc) is defined as a rare histological type of sc,. Spindle cell carcinoma is an aggressive (rapidly developing) malignancy that has elements of both carcinoma and sarcoma.. Spindle Cell Lung Cancer.
From scidoc.org
Incidentally Detected Spindle Cell Tumor on F18 FDG PET/CT for Staging of Lung Cancer Spindle Cell Lung Cancer Spindle cell carcinoma (spcc) is defined as a rare histological type of sc,. Spindle cell lung cancer (spcc) is a rare type of nsclc which portends a poor prognosis. Therefore, the prognosis and treatment of pulmonary scc is unclear. Spindle cell carcinoma is an aggressive (rapidly developing) malignancy that has elements of both carcinoma and sarcoma. Due to the rarity. Spindle Cell Lung Cancer.
From mp.uscap.org
Adult NTRKrearranged spindle cell neoplasms of the viscera with an emphasis on rare locations Spindle Cell Lung Cancer There are only 13 reported cases in literature, only three of which had a survival of more than 11 months. Spindle cell carcinoma (spcc) is defined as a rare histological type of sc,. Due to the rarity of. Spindle cell carcinoma is an aggressive (rapidly developing) malignancy that has elements of both carcinoma and sarcoma. Therefore, the prognosis and treatment. Spindle Cell Lung Cancer.
From www.surgpath.theclinics.com
Spindle Cell Lesions of the Breast Surgical Pathology Clinics Spindle Cell Lung Cancer Spindle cell lung cancer (spcc) is a rare type of nsclc which portends a poor prognosis. Spindle cell carcinoma (spcc) is defined as a rare histological type of sc,. Due to the rarity of. There are only 13 reported cases in literature, only three of which had a survival of more than 11 months. Therefore, the prognosis and treatment of. Spindle Cell Lung Cancer.