What Is An Interscalene Block . The interscalene block is indicated for procedures on the shoulder and proximal humerus as well as the lateral two thirds of the. The interscalene nerve block is a commonly performed regional anesthetic technique at the level of the upper trunks of the brachial plexus to provide anesthesia and analgesia for shoulder, upper. The interscalene block (isb) anesthetizes the brachial plexus at the level of the nerve roots, and is used for surgery of the upper. It is a great block for distal clavicle,. Interscalene block is well suited for surgical procedures involving the shoulder, including the lateral two thirds of the clavicle,.
from www.anesthesiologynews.com
It is a great block for distal clavicle,. The interscalene nerve block is a commonly performed regional anesthetic technique at the level of the upper trunks of the brachial plexus to provide anesthesia and analgesia for shoulder, upper. The interscalene block (isb) anesthetizes the brachial plexus at the level of the nerve roots, and is used for surgery of the upper. Interscalene block is well suited for surgical procedures involving the shoulder, including the lateral two thirds of the clavicle,. The interscalene block is indicated for procedures on the shoulder and proximal humerus as well as the lateral two thirds of the.
image
What Is An Interscalene Block The interscalene block is indicated for procedures on the shoulder and proximal humerus as well as the lateral two thirds of the. Interscalene block is well suited for surgical procedures involving the shoulder, including the lateral two thirds of the clavicle,. The interscalene block (isb) anesthetizes the brachial plexus at the level of the nerve roots, and is used for surgery of the upper. The interscalene nerve block is a commonly performed regional anesthetic technique at the level of the upper trunks of the brachial plexus to provide anesthesia and analgesia for shoulder, upper. The interscalene block is indicated for procedures on the shoulder and proximal humerus as well as the lateral two thirds of the. It is a great block for distal clavicle,.
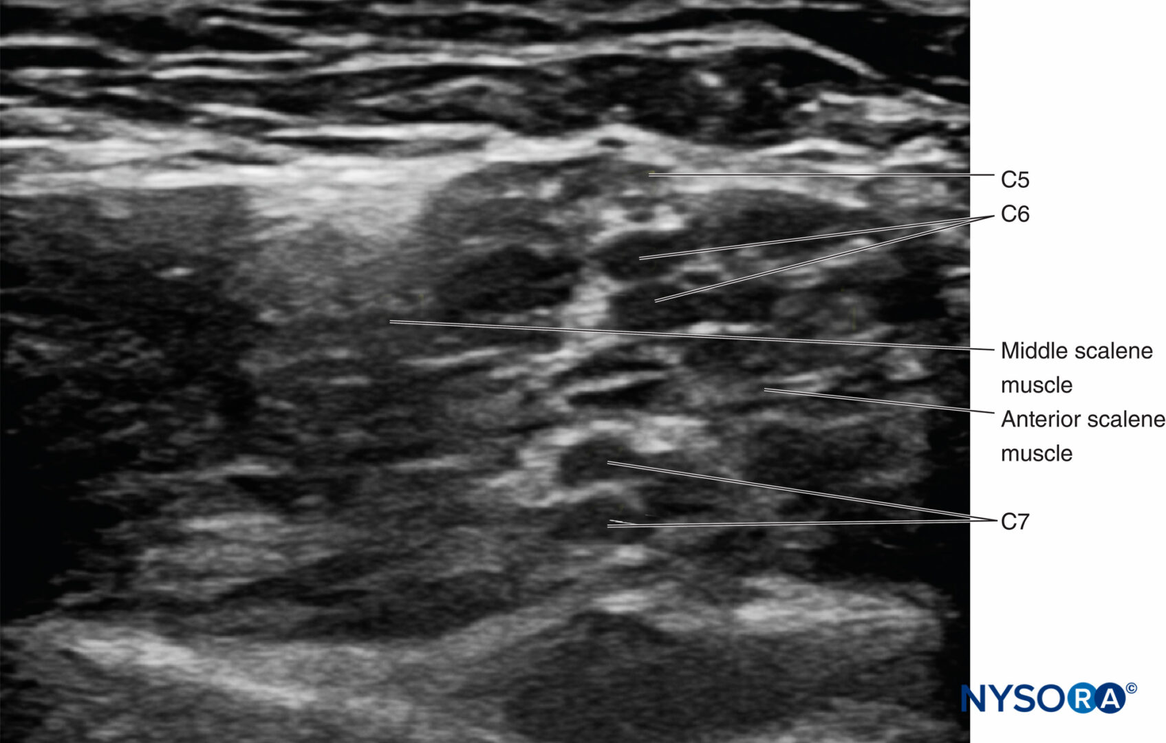
From www.nysora.com
UltrasoundGuided Interscalene Brachial Plexus Nerve Block NYSORA What Is An Interscalene Block The interscalene nerve block is a commonly performed regional anesthetic technique at the level of the upper trunks of the brachial plexus to provide anesthesia and analgesia for shoulder, upper. The interscalene block (isb) anesthetizes the brachial plexus at the level of the nerve roots, and is used for surgery of the upper. Interscalene block is well suited for surgical. What Is An Interscalene Block.
From www.nysora.com
Interscalene Brachial Plexus Block Landmarks and Nerve Stimulator What Is An Interscalene Block The interscalene block is indicated for procedures on the shoulder and proximal humerus as well as the lateral two thirds of the. The interscalene block (isb) anesthetizes the brachial plexus at the level of the nerve roots, and is used for surgery of the upper. The interscalene nerve block is a commonly performed regional anesthetic technique at the level of. What Is An Interscalene Block.
From www.vrogue.co
Interscalene Brachial Plexus Block Landmarks And Nerv vrogue.co What Is An Interscalene Block The interscalene block (isb) anesthetizes the brachial plexus at the level of the nerve roots, and is used for surgery of the upper. It is a great block for distal clavicle,. The interscalene nerve block is a commonly performed regional anesthetic technique at the level of the upper trunks of the brachial plexus to provide anesthesia and analgesia for shoulder,. What Is An Interscalene Block.
From www.twinoaksanesthesia.com
Interscalene Block — CRNA Conferences Twin Oaks Anesthesia What Is An Interscalene Block The interscalene block (isb) anesthetizes the brachial plexus at the level of the nerve roots, and is used for surgery of the upper. The interscalene block is indicated for procedures on the shoulder and proximal humerus as well as the lateral two thirds of the. It is a great block for distal clavicle,. Interscalene block is well suited for surgical. What Is An Interscalene Block.
From coreem.net
UltrasoundGuided Interscalene Brachial Plexus Nerve Block Core EM What Is An Interscalene Block The interscalene block (isb) anesthetizes the brachial plexus at the level of the nerve roots, and is used for surgery of the upper. The interscalene nerve block is a commonly performed regional anesthetic technique at the level of the upper trunks of the brachial plexus to provide anesthesia and analgesia for shoulder, upper. It is a great block for distal. What Is An Interscalene Block.
From www.researchgate.net
Ultrasound view of interscalene nerve block depicting orientation of What Is An Interscalene Block The interscalene nerve block is a commonly performed regional anesthetic technique at the level of the upper trunks of the brachial plexus to provide anesthesia and analgesia for shoulder, upper. Interscalene block is well suited for surgical procedures involving the shoulder, including the lateral two thirds of the clavicle,. The interscalene block (isb) anesthetizes the brachial plexus at the level. What Is An Interscalene Block.
From highlandultrasound.com
INTERSCALENE BLOCK — Highland Emergency Ultrasound What Is An Interscalene Block It is a great block for distal clavicle,. Interscalene block is well suited for surgical procedures involving the shoulder, including the lateral two thirds of the clavicle,. The interscalene nerve block is a commonly performed regional anesthetic technique at the level of the upper trunks of the brachial plexus to provide anesthesia and analgesia for shoulder, upper. The interscalene block. What Is An Interscalene Block.
From myblockbuddy.com
Interscalene Block Ultrasound Guided Technique Block Buddy What Is An Interscalene Block Interscalene block is well suited for surgical procedures involving the shoulder, including the lateral two thirds of the clavicle,. The interscalene block (isb) anesthetizes the brachial plexus at the level of the nerve roots, and is used for surgery of the upper. The interscalene nerve block is a commonly performed regional anesthetic technique at the level of the upper trunks. What Is An Interscalene Block.
From www.nysora.com
UltrasoundGuided Upper Extremity Blocks NYSORA What Is An Interscalene Block The interscalene nerve block is a commonly performed regional anesthetic technique at the level of the upper trunks of the brachial plexus to provide anesthesia and analgesia for shoulder, upper. The interscalene block is indicated for procedures on the shoulder and proximal humerus as well as the lateral two thirds of the. The interscalene block (isb) anesthetizes the brachial plexus. What Is An Interscalene Block.
From highlandultrasound.com
INTERSCALENE BLOCK — Highland Emergency Ultrasound What Is An Interscalene Block It is a great block for distal clavicle,. The interscalene nerve block is a commonly performed regional anesthetic technique at the level of the upper trunks of the brachial plexus to provide anesthesia and analgesia for shoulder, upper. Interscalene block is well suited for surgical procedures involving the shoulder, including the lateral two thirds of the clavicle,. The interscalene block. What Is An Interscalene Block.
From www.anesthesiologynews.com
image What Is An Interscalene Block Interscalene block is well suited for surgical procedures involving the shoulder, including the lateral two thirds of the clavicle,. The interscalene block is indicated for procedures on the shoulder and proximal humerus as well as the lateral two thirds of the. The interscalene nerve block is a commonly performed regional anesthetic technique at the level of the upper trunks of. What Is An Interscalene Block.
From mavink.com
Interscalene Block Anatomy What Is An Interscalene Block The interscalene block is indicated for procedures on the shoulder and proximal humerus as well as the lateral two thirds of the. Interscalene block is well suited for surgical procedures involving the shoulder, including the lateral two thirds of the clavicle,. The interscalene block (isb) anesthetizes the brachial plexus at the level of the nerve roots, and is used for. What Is An Interscalene Block.
From aneskey.com
Interscalene block Anesthesia Key What Is An Interscalene Block The interscalene block (isb) anesthetizes the brachial plexus at the level of the nerve roots, and is used for surgery of the upper. The interscalene block is indicated for procedures on the shoulder and proximal humerus as well as the lateral two thirds of the. It is a great block for distal clavicle,. Interscalene block is well suited for surgical. What Is An Interscalene Block.
From aneskey.com
3 Interscalene Techniques of Brachial Plexus Block Anesthesia Key What Is An Interscalene Block The interscalene block is indicated for procedures on the shoulder and proximal humerus as well as the lateral two thirds of the. The interscalene nerve block is a commonly performed regional anesthetic technique at the level of the upper trunks of the brachial plexus to provide anesthesia and analgesia for shoulder, upper. Interscalene block is well suited for surgical procedures. What Is An Interscalene Block.
From www.nysora.com
interscalene block NYSORA NYSORA What Is An Interscalene Block The interscalene block is indicated for procedures on the shoulder and proximal humerus as well as the lateral two thirds of the. The interscalene block (isb) anesthetizes the brachial plexus at the level of the nerve roots, and is used for surgery of the upper. It is a great block for distal clavicle,. Interscalene block is well suited for surgical. What Is An Interscalene Block.
From www.youtube.com
USGuided Interscalene Brachial Plexus Block Regional anesthesia What Is An Interscalene Block The interscalene block is indicated for procedures on the shoulder and proximal humerus as well as the lateral two thirds of the. The interscalene nerve block is a commonly performed regional anesthetic technique at the level of the upper trunks of the brachial plexus to provide anesthesia and analgesia for shoulder, upper. The interscalene block (isb) anesthetizes the brachial plexus. What Is An Interscalene Block.
From www.nysora.com
sensorydistributionofaninterscalenebrachialplexusblock. NYSORA What Is An Interscalene Block It is a great block for distal clavicle,. Interscalene block is well suited for surgical procedures involving the shoulder, including the lateral two thirds of the clavicle,. The interscalene block is indicated for procedures on the shoulder and proximal humerus as well as the lateral two thirds of the. The interscalene nerve block is a commonly performed regional anesthetic technique. What Is An Interscalene Block.
From www.semanticscholar.org
[PDF] UltrasoundGuided Interscalene Block Dr Semantic Scholar What Is An Interscalene Block It is a great block for distal clavicle,. Interscalene block is well suited for surgical procedures involving the shoulder, including the lateral two thirds of the clavicle,. The interscalene nerve block is a commonly performed regional anesthetic technique at the level of the upper trunks of the brachial plexus to provide anesthesia and analgesia for shoulder, upper. The interscalene block. What Is An Interscalene Block.
From aneskey.com
Interscalene Brachial Plexus Block Anesthesia Key What Is An Interscalene Block It is a great block for distal clavicle,. The interscalene nerve block is a commonly performed regional anesthetic technique at the level of the upper trunks of the brachial plexus to provide anesthesia and analgesia for shoulder, upper. Interscalene block is well suited for surgical procedures involving the shoulder, including the lateral two thirds of the clavicle,. The interscalene block. What Is An Interscalene Block.
From www.youtube.com
Interscalene Brachial Plexus Block YouTube What Is An Interscalene Block Interscalene block is well suited for surgical procedures involving the shoulder, including the lateral two thirds of the clavicle,. It is a great block for distal clavicle,. The interscalene block (isb) anesthetizes the brachial plexus at the level of the nerve roots, and is used for surgery of the upper. The interscalene nerve block is a commonly performed regional anesthetic. What Is An Interscalene Block.
From www.youtube.com
Interscalene Brachial Plexus Block YouTube What Is An Interscalene Block It is a great block for distal clavicle,. The interscalene block is indicated for procedures on the shoulder and proximal humerus as well as the lateral two thirds of the. Interscalene block is well suited for surgical procedures involving the shoulder, including the lateral two thirds of the clavicle,. The interscalene nerve block is a commonly performed regional anesthetic technique. What Is An Interscalene Block.
From healthproadvice.com
Interscalene Block Nerve Block for Shoulder Surgery HealthProAdvice What Is An Interscalene Block Interscalene block is well suited for surgical procedures involving the shoulder, including the lateral two thirds of the clavicle,. The interscalene nerve block is a commonly performed regional anesthetic technique at the level of the upper trunks of the brachial plexus to provide anesthesia and analgesia for shoulder, upper. The interscalene block is indicated for procedures on the shoulder and. What Is An Interscalene Block.
From www.youtube.com
Ultrasound of the anatomy for an interscalene block YouTube What Is An Interscalene Block The interscalene block (isb) anesthetizes the brachial plexus at the level of the nerve roots, and is used for surgery of the upper. The interscalene block is indicated for procedures on the shoulder and proximal humerus as well as the lateral two thirds of the. Interscalene block is well suited for surgical procedures involving the shoulder, including the lateral two. What Is An Interscalene Block.
From myblockbuddy.com
Interscalene Block Ultrasound Guided Technique Block Buddy What Is An Interscalene Block It is a great block for distal clavicle,. The interscalene block (isb) anesthetizes the brachial plexus at the level of the nerve roots, and is used for surgery of the upper. The interscalene nerve block is a commonly performed regional anesthetic technique at the level of the upper trunks of the brachial plexus to provide anesthesia and analgesia for shoulder,. What Is An Interscalene Block.
From highlandultrasound.com
Interscalene — Highland EM Ultrasound Fueled pain management What Is An Interscalene Block The interscalene nerve block is a commonly performed regional anesthetic technique at the level of the upper trunks of the brachial plexus to provide anesthesia and analgesia for shoulder, upper. The interscalene block (isb) anesthetizes the brachial plexus at the level of the nerve roots, and is used for surgery of the upper. It is a great block for distal. What Is An Interscalene Block.
From www.vaultrasound.com
Interscalene « VAULT What Is An Interscalene Block Interscalene block is well suited for surgical procedures involving the shoulder, including the lateral two thirds of the clavicle,. The interscalene block (isb) anesthetizes the brachial plexus at the level of the nerve roots, and is used for surgery of the upper. The interscalene nerve block is a commonly performed regional anesthetic technique at the level of the upper trunks. What Is An Interscalene Block.
From www.pinterest.com
Interscalene block landmarks Plexus products, Brachial, Medicine What Is An Interscalene Block It is a great block for distal clavicle,. Interscalene block is well suited for surgical procedures involving the shoulder, including the lateral two thirds of the clavicle,. The interscalene block (isb) anesthetizes the brachial plexus at the level of the nerve roots, and is used for surgery of the upper. The interscalene nerve block is a commonly performed regional anesthetic. What Is An Interscalene Block.
From coreem.net
UltrasoundGuided Interscalene Brachial Plexus Nerve Block Core EM What Is An Interscalene Block The interscalene nerve block is a commonly performed regional anesthetic technique at the level of the upper trunks of the brachial plexus to provide anesthesia and analgesia for shoulder, upper. It is a great block for distal clavicle,. The interscalene block (isb) anesthetizes the brachial plexus at the level of the nerve roots, and is used for surgery of the. What Is An Interscalene Block.
From coreem.net
UltrasoundGuided Interscalene Brachial Plexus Nerve Block Core EM What Is An Interscalene Block Interscalene block is well suited for surgical procedures involving the shoulder, including the lateral two thirds of the clavicle,. It is a great block for distal clavicle,. The interscalene nerve block is a commonly performed regional anesthetic technique at the level of the upper trunks of the brachial plexus to provide anesthesia and analgesia for shoulder, upper. The interscalene block. What Is An Interscalene Block.
From highlandultrasound.com
Interscalene — Highland EM Ultrasound Fueled pain management What Is An Interscalene Block The interscalene block is indicated for procedures on the shoulder and proximal humerus as well as the lateral two thirds of the. The interscalene block (isb) anesthetizes the brachial plexus at the level of the nerve roots, and is used for surgery of the upper. It is a great block for distal clavicle,. The interscalene nerve block is a commonly. What Is An Interscalene Block.
From coreem.net
UltrasoundGuided Interscalene Brachial Plexus Nerve Block Core EM What Is An Interscalene Block It is a great block for distal clavicle,. The interscalene nerve block is a commonly performed regional anesthetic technique at the level of the upper trunks of the brachial plexus to provide anesthesia and analgesia for shoulder, upper. The interscalene block (isb) anesthetizes the brachial plexus at the level of the nerve roots, and is used for surgery of the. What Is An Interscalene Block.
From healthproadvice.com
Interscalene Block Nerve Block for Shoulder Surgery HealthProAdvice What Is An Interscalene Block The interscalene block (isb) anesthetizes the brachial plexus at the level of the nerve roots, and is used for surgery of the upper. It is a great block for distal clavicle,. Interscalene block is well suited for surgical procedures involving the shoulder, including the lateral two thirds of the clavicle,. The interscalene nerve block is a commonly performed regional anesthetic. What Is An Interscalene Block.
From resources.wfsahq.org
UltrasoundGuided Interscalene Block WFSA Resources What Is An Interscalene Block The interscalene block (isb) anesthetizes the brachial plexus at the level of the nerve roots, and is used for surgery of the upper. The interscalene block is indicated for procedures on the shoulder and proximal humerus as well as the lateral two thirds of the. Interscalene block is well suited for surgical procedures involving the shoulder, including the lateral two. What Is An Interscalene Block.
From highlandultrasound.com
Interscalene — Highland EM Ultrasound Fueled pain management What Is An Interscalene Block It is a great block for distal clavicle,. The interscalene block is indicated for procedures on the shoulder and proximal humerus as well as the lateral two thirds of the. The interscalene block (isb) anesthetizes the brachial plexus at the level of the nerve roots, and is used for surgery of the upper. The interscalene nerve block is a commonly. What Is An Interscalene Block.
From www.youtube.com
Interscalene Block // Ultrasound Anatomy Review YouTube What Is An Interscalene Block Interscalene block is well suited for surgical procedures involving the shoulder, including the lateral two thirds of the clavicle,. The interscalene block is indicated for procedures on the shoulder and proximal humerus as well as the lateral two thirds of the. It is a great block for distal clavicle,. The interscalene nerve block is a commonly performed regional anesthetic technique. What Is An Interscalene Block.