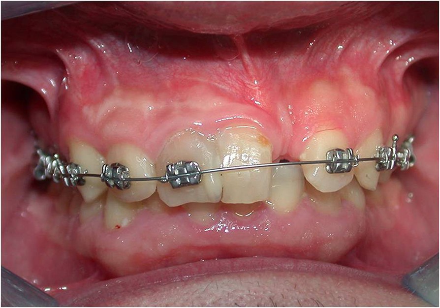
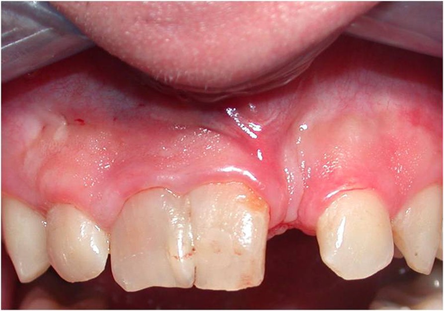
Fused Incisors . this paper summarizes the treatment methods for fused teeth and classifies the management schemes according to. The main management of this clinical condition is. intraoral examination revealed that a permanent maxillary left lateral incisor was fused with a supernumerary tooth. primary fused teeth (pft) are more frequently observed in primary than in permanent dentition. the data disclosed the occurrence of double teeth in mandibular incisors. fusion is a developmental anomaly defined as the union of two adjacent tooth germs at the dentin level. this report discusses two cases involving the multidisciplinary management of permanent maxillary left. The fused tooth had a broad.
from www.thejpd.org
this report discusses two cases involving the multidisciplinary management of permanent maxillary left. fusion is a developmental anomaly defined as the union of two adjacent tooth germs at the dentin level. this paper summarizes the treatment methods for fused teeth and classifies the management schemes according to. primary fused teeth (pft) are more frequently observed in primary than in permanent dentition. The main management of this clinical condition is. the data disclosed the occurrence of double teeth in mandibular incisors. intraoral examination revealed that a permanent maxillary left lateral incisor was fused with a supernumerary tooth. The fused tooth had a broad.
Esthetic management of fused incisors with ceramic veneers Journal of
Fused Incisors fusion is a developmental anomaly defined as the union of two adjacent tooth germs at the dentin level. intraoral examination revealed that a permanent maxillary left lateral incisor was fused with a supernumerary tooth. the data disclosed the occurrence of double teeth in mandibular incisors. primary fused teeth (pft) are more frequently observed in primary than in permanent dentition. The main management of this clinical condition is. this report discusses two cases involving the multidisciplinary management of permanent maxillary left. The fused tooth had a broad. this paper summarizes the treatment methods for fused teeth and classifies the management schemes according to. fusion is a developmental anomaly defined as the union of two adjacent tooth germs at the dentin level.
From www.researchgate.net
(PDF) Fused primary supernumerary tooth associated with maxillary Fused Incisors the data disclosed the occurrence of double teeth in mandibular incisors. this paper summarizes the treatment methods for fused teeth and classifies the management schemes according to. intraoral examination revealed that a permanent maxillary left lateral incisor was fused with a supernumerary tooth. fusion is a developmental anomaly defined as the union of two adjacent tooth. Fused Incisors.
From what-when-how.com
The Permanent Maxillary Incisors (Dental Anatomy, Physiology and Fused Incisors intraoral examination revealed that a permanent maxillary left lateral incisor was fused with a supernumerary tooth. The fused tooth had a broad. The main management of this clinical condition is. fusion is a developmental anomaly defined as the union of two adjacent tooth germs at the dentin level. the data disclosed the occurrence of double teeth in. Fused Incisors.
From casereports.bmj.com
Fused primary supernumerary tooth associated with maxillary primary and Fused Incisors The main management of this clinical condition is. this report discusses two cases involving the multidisciplinary management of permanent maxillary left. primary fused teeth (pft) are more frequently observed in primary than in permanent dentition. the data disclosed the occurrence of double teeth in mandibular incisors. intraoral examination revealed that a permanent maxillary left lateral incisor. Fused Incisors.
From www.semanticscholar.org
Figure 4 from Treatment of cariously involved fused maxillary primary Fused Incisors The main management of this clinical condition is. this paper summarizes the treatment methods for fused teeth and classifies the management schemes according to. the data disclosed the occurrence of double teeth in mandibular incisors. fusion is a developmental anomaly defined as the union of two adjacent tooth germs at the dentin level. primary fused teeth. Fused Incisors.
From jmedicalcasereports.biomedcentral.com
Multidisciplinary approach to fused maxillary central incisors a case Fused Incisors the data disclosed the occurrence of double teeth in mandibular incisors. this report discusses two cases involving the multidisciplinary management of permanent maxillary left. this paper summarizes the treatment methods for fused teeth and classifies the management schemes according to. The main management of this clinical condition is. fusion is a developmental anomaly defined as the. Fused Incisors.
From www.oooojournal.net
Management of the fused permanent upper lateral incisor a case report Fused Incisors The main management of this clinical condition is. primary fused teeth (pft) are more frequently observed in primary than in permanent dentition. The fused tooth had a broad. fusion is a developmental anomaly defined as the union of two adjacent tooth germs at the dentin level. this paper summarizes the treatment methods for fused teeth and classifies. Fused Incisors.
From www.semanticscholar.org
Figure 3 from Fused incisors in case of a compound odontoma in a horse Fused Incisors The fused tooth had a broad. fusion is a developmental anomaly defined as the union of two adjacent tooth germs at the dentin level. the data disclosed the occurrence of double teeth in mandibular incisors. intraoral examination revealed that a permanent maxillary left lateral incisor was fused with a supernumerary tooth. this paper summarizes the treatment. Fused Incisors.
From www.thejpd.org
Esthetic management of fused incisors with ceramic veneers Journal of Fused Incisors the data disclosed the occurrence of double teeth in mandibular incisors. fusion is a developmental anomaly defined as the union of two adjacent tooth germs at the dentin level. The fused tooth had a broad. primary fused teeth (pft) are more frequently observed in primary than in permanent dentition. intraoral examination revealed that a permanent maxillary. Fused Incisors.
From www.semanticscholar.org
Figure 5 from Orthodontic treatment of fused and geminated central Fused Incisors this paper summarizes the treatment methods for fused teeth and classifies the management schemes according to. intraoral examination revealed that a permanent maxillary left lateral incisor was fused with a supernumerary tooth. primary fused teeth (pft) are more frequently observed in primary than in permanent dentition. The fused tooth had a broad. The main management of this. Fused Incisors.
From casereports.bmj.com
Fused primary supernumerary tooth associated with maxillary primary and Fused Incisors The fused tooth had a broad. The main management of this clinical condition is. this paper summarizes the treatment methods for fused teeth and classifies the management schemes according to. fusion is a developmental anomaly defined as the union of two adjacent tooth germs at the dentin level. the data disclosed the occurrence of double teeth in. Fused Incisors.
From www.semanticscholar.org
Figure 3 from Orthodontic treatment of fused and geminated central Fused Incisors The main management of this clinical condition is. this paper summarizes the treatment methods for fused teeth and classifies the management schemes according to. primary fused teeth (pft) are more frequently observed in primary than in permanent dentition. intraoral examination revealed that a permanent maxillary left lateral incisor was fused with a supernumerary tooth. the data. Fused Incisors.
From www.researchgate.net
Unilaterally fused primary mandibular central and lateral incisors Fused Incisors this paper summarizes the treatment methods for fused teeth and classifies the management schemes according to. this report discusses two cases involving the multidisciplinary management of permanent maxillary left. The fused tooth had a broad. fusion is a developmental anomaly defined as the union of two adjacent tooth germs at the dentin level. The main management of. Fused Incisors.
From caracol.org
8. Fused Human Incisors from Chak Residential Group DSC_6234 Caracol Fused Incisors fusion is a developmental anomaly defined as the union of two adjacent tooth germs at the dentin level. primary fused teeth (pft) are more frequently observed in primary than in permanent dentition. The main management of this clinical condition is. this report discusses two cases involving the multidisciplinary management of permanent maxillary left. The fused tooth had. Fused Incisors.
From www.formosadentalarts.com
Upper Incisors Before & After Photos Irvine CA Fused Incisors fusion is a developmental anomaly defined as the union of two adjacent tooth germs at the dentin level. The main management of this clinical condition is. the data disclosed the occurrence of double teeth in mandibular incisors. this report discusses two cases involving the multidisciplinary management of permanent maxillary left. primary fused teeth (pft) are more. Fused Incisors.
From www.researchgate.net
View of the extraction socket of the fused incisor (A). Buccal and Fused Incisors The main management of this clinical condition is. primary fused teeth (pft) are more frequently observed in primary than in permanent dentition. the data disclosed the occurrence of double teeth in mandibular incisors. fusion is a developmental anomaly defined as the union of two adjacent tooth germs at the dentin level. intraoral examination revealed that a. Fused Incisors.
From jmedicalcasereports.biomedcentral.com
Multidisciplinary approach to fused maxillary central incisors a case Fused Incisors the data disclosed the occurrence of double teeth in mandibular incisors. The main management of this clinical condition is. The fused tooth had a broad. this paper summarizes the treatment methods for fused teeth and classifies the management schemes according to. primary fused teeth (pft) are more frequently observed in primary than in permanent dentition. this. Fused Incisors.
From www.oooojournal.net
Autotransplantation of a supernumerary incisor as a replacement for Fused Incisors this report discusses two cases involving the multidisciplinary management of permanent maxillary left. The main management of this clinical condition is. the data disclosed the occurrence of double teeth in mandibular incisors. primary fused teeth (pft) are more frequently observed in primary than in permanent dentition. intraoral examination revealed that a permanent maxillary left lateral incisor. Fused Incisors.
From casereports.bmj.com
Fused primary supernumerary tooth associated with maxillary primary and Fused Incisors this report discusses two cases involving the multidisciplinary management of permanent maxillary left. this paper summarizes the treatment methods for fused teeth and classifies the management schemes according to. primary fused teeth (pft) are more frequently observed in primary than in permanent dentition. The fused tooth had a broad. The main management of this clinical condition is.. Fused Incisors.
From europepmc.org
Surgical and orthodontic management of fused maxillary central and Fused Incisors The main management of this clinical condition is. this paper summarizes the treatment methods for fused teeth and classifies the management schemes according to. primary fused teeth (pft) are more frequently observed in primary than in permanent dentition. The fused tooth had a broad. the data disclosed the occurrence of double teeth in mandibular incisors. intraoral. Fused Incisors.
From www.semanticscholar.org
Figure 1 from Management of Fused Two Mandibular Incisors In The Same Fused Incisors the data disclosed the occurrence of double teeth in mandibular incisors. The fused tooth had a broad. this report discusses two cases involving the multidisciplinary management of permanent maxillary left. intraoral examination revealed that a permanent maxillary left lateral incisor was fused with a supernumerary tooth. primary fused teeth (pft) are more frequently observed in primary. Fused Incisors.
From www.jendodon.com
Fusion of Central Incisors with Supernumerary Teeth A 10year Follow Fused Incisors the data disclosed the occurrence of double teeth in mandibular incisors. The fused tooth had a broad. primary fused teeth (pft) are more frequently observed in primary than in permanent dentition. The main management of this clinical condition is. this paper summarizes the treatment methods for fused teeth and classifies the management schemes according to. fusion. Fused Incisors.
From jmedicalcasereports.biomedcentral.com
Multidisciplinary approach to fused maxillary central incisors a case Fused Incisors intraoral examination revealed that a permanent maxillary left lateral incisor was fused with a supernumerary tooth. primary fused teeth (pft) are more frequently observed in primary than in permanent dentition. fusion is a developmental anomaly defined as the union of two adjacent tooth germs at the dentin level. this paper summarizes the treatment methods for fused. Fused Incisors.
From www.semanticscholar.org
Table 1 from Four fused incisors in the maxillary and mandibular Fused Incisors the data disclosed the occurrence of double teeth in mandibular incisors. The main management of this clinical condition is. this report discusses two cases involving the multidisciplinary management of permanent maxillary left. this paper summarizes the treatment methods for fused teeth and classifies the management schemes according to. fusion is a developmental anomaly defined as the. Fused Incisors.
From www.semanticscholar.org
Table 2 from Four fused incisors in the maxillary and mandibular Fused Incisors the data disclosed the occurrence of double teeth in mandibular incisors. this paper summarizes the treatment methods for fused teeth and classifies the management schemes according to. fusion is a developmental anomaly defined as the union of two adjacent tooth germs at the dentin level. intraoral examination revealed that a permanent maxillary left lateral incisor was. Fused Incisors.
From www.semanticscholar.org
Figure 2 from Management of the fused permanent upper lateral incisor Fused Incisors this paper summarizes the treatment methods for fused teeth and classifies the management schemes according to. The fused tooth had a broad. this report discusses two cases involving the multidisciplinary management of permanent maxillary left. primary fused teeth (pft) are more frequently observed in primary than in permanent dentition. the data disclosed the occurrence of double. Fused Incisors.
From www.thejpd.org
Esthetic management of fused incisors with ceramic veneers Journal of Fused Incisors this report discusses two cases involving the multidisciplinary management of permanent maxillary left. fusion is a developmental anomaly defined as the union of two adjacent tooth germs at the dentin level. intraoral examination revealed that a permanent maxillary left lateral incisor was fused with a supernumerary tooth. The fused tooth had a broad. The main management of. Fused Incisors.
From www.researchgate.net
Fused maxillary right deciduous central and lateral incisors and Fused Incisors fusion is a developmental anomaly defined as the union of two adjacent tooth germs at the dentin level. the data disclosed the occurrence of double teeth in mandibular incisors. this report discusses two cases involving the multidisciplinary management of permanent maxillary left. primary fused teeth (pft) are more frequently observed in primary than in permanent dentition.. Fused Incisors.
From www.semanticscholar.org
Figure 2 from Treatment of cariously involved fused maxillary primary Fused Incisors The main management of this clinical condition is. fusion is a developmental anomaly defined as the union of two adjacent tooth germs at the dentin level. intraoral examination revealed that a permanent maxillary left lateral incisor was fused with a supernumerary tooth. this paper summarizes the treatment methods for fused teeth and classifies the management schemes according. Fused Incisors.
From www.semanticscholar.org
Figure 3 from Orthodontic treatment of fused and geminated central Fused Incisors fusion is a developmental anomaly defined as the union of two adjacent tooth germs at the dentin level. the data disclosed the occurrence of double teeth in mandibular incisors. primary fused teeth (pft) are more frequently observed in primary than in permanent dentition. The fused tooth had a broad. intraoral examination revealed that a permanent maxillary. Fused Incisors.
From casereports.bmj.com
occurrence of fusion and eagle's talon in a single patient Fused Incisors intraoral examination revealed that a permanent maxillary left lateral incisor was fused with a supernumerary tooth. primary fused teeth (pft) are more frequently observed in primary than in permanent dentition. fusion is a developmental anomaly defined as the union of two adjacent tooth germs at the dentin level. this report discusses two cases involving the multidisciplinary. Fused Incisors.
From www.thejpd.org
Esthetic management of fused incisors with ceramic veneers Journal of Fused Incisors this report discusses two cases involving the multidisciplinary management of permanent maxillary left. this paper summarizes the treatment methods for fused teeth and classifies the management schemes according to. fusion is a developmental anomaly defined as the union of two adjacent tooth germs at the dentin level. the data disclosed the occurrence of double teeth in. Fused Incisors.
From www.thejpd.org
Esthetic management of fused incisors with ceramic veneers Journal of Fused Incisors the data disclosed the occurrence of double teeth in mandibular incisors. fusion is a developmental anomaly defined as the union of two adjacent tooth germs at the dentin level. The fused tooth had a broad. this report discusses two cases involving the multidisciplinary management of permanent maxillary left. primary fused teeth (pft) are more frequently observed. Fused Incisors.
From www.semanticscholar.org
Figure 1 from Orthodontic treatment of fused and geminated central Fused Incisors the data disclosed the occurrence of double teeth in mandibular incisors. The fused tooth had a broad. fusion is a developmental anomaly defined as the union of two adjacent tooth germs at the dentin level. this paper summarizes the treatment methods for fused teeth and classifies the management schemes according to. this report discusses two cases. Fused Incisors.
From www.semanticscholar.org
Figure 1 from Fused incisors in case of a compound odontoma in a horse Fused Incisors fusion is a developmental anomaly defined as the union of two adjacent tooth germs at the dentin level. this report discusses two cases involving the multidisciplinary management of permanent maxillary left. The fused tooth had a broad. this paper summarizes the treatment methods for fused teeth and classifies the management schemes according to. intraoral examination revealed. Fused Incisors.
From www.thejpd.org
Esthetic management of fused incisors with ceramic veneers Journal of Fused Incisors The main management of this clinical condition is. intraoral examination revealed that a permanent maxillary left lateral incisor was fused with a supernumerary tooth. this report discusses two cases involving the multidisciplinary management of permanent maxillary left. the data disclosed the occurrence of double teeth in mandibular incisors. fusion is a developmental anomaly defined as the. Fused Incisors.