What Is Impacted Molar . This can lead to a number of oral health problems, including. Impacted wisdom teeth happen when your third molars become partially or fully trapped in your gums or jawbone. A tooth is referred to as ‘ impacted ’ when it fails to fully erupt and remains fully or partially inside the gums. Impacted wisdom teeth that cause pain or other dental problems usually are taken out with surgery, also known as extraction. These teeth typically come in during the late teen years or early adulthood. Wisdom teeth are the third set of molars in the very back of your mouth. This may be due to a. If you have an impacted tooth and it's causing you discomfort, or your doctor suspects it may lead to dental complications, surgery may be required.
from www.jsmcentral.org
If you have an impacted tooth and it's causing you discomfort, or your doctor suspects it may lead to dental complications, surgery may be required. Impacted wisdom teeth that cause pain or other dental problems usually are taken out with surgery, also known as extraction. These teeth typically come in during the late teen years or early adulthood. Wisdom teeth are the third set of molars in the very back of your mouth. This may be due to a. A tooth is referred to as ‘ impacted ’ when it fails to fully erupt and remains fully or partially inside the gums. This can lead to a number of oral health problems, including. Impacted wisdom teeth happen when your third molars become partially or fully trapped in your gums or jawbone.
A DeeplyImpacted Mandibular Third Molar with its Root Protruding from
What Is Impacted Molar Wisdom teeth are the third set of molars in the very back of your mouth. This can lead to a number of oral health problems, including. Impacted wisdom teeth that cause pain or other dental problems usually are taken out with surgery, also known as extraction. A tooth is referred to as ‘ impacted ’ when it fails to fully erupt and remains fully or partially inside the gums. Impacted wisdom teeth happen when your third molars become partially or fully trapped in your gums or jawbone. If you have an impacted tooth and it's causing you discomfort, or your doctor suspects it may lead to dental complications, surgery may be required. Wisdom teeth are the third set of molars in the very back of your mouth. These teeth typically come in during the late teen years or early adulthood. This may be due to a.
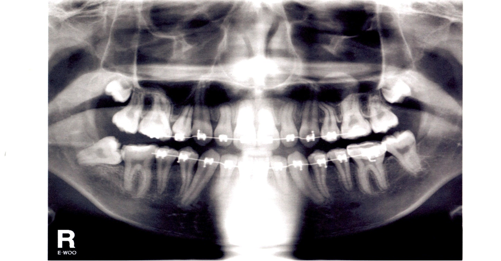
From www.jco-online.com
TADs to Upright Impacted Lower Third Molars without Extraction What Is Impacted Molar Wisdom teeth are the third set of molars in the very back of your mouth. If you have an impacted tooth and it's causing you discomfort, or your doctor suspects it may lead to dental complications, surgery may be required. These teeth typically come in during the late teen years or early adulthood. Impacted wisdom teeth that cause pain or. What Is Impacted Molar.
From apospublications.com
Molar Protraction and Uprighting (2 Molar Protraction in the 1 Molar What Is Impacted Molar These teeth typically come in during the late teen years or early adulthood. If you have an impacted tooth and it's causing you discomfort, or your doctor suspects it may lead to dental complications, surgery may be required. This may be due to a. A tooth is referred to as ‘ impacted ’ when it fails to fully erupt and. What Is Impacted Molar.
From dentistryattheplex.com
impactedthirdmolar1024×603 Caledonia Medical Plex What Is Impacted Molar If you have an impacted tooth and it's causing you discomfort, or your doctor suspects it may lead to dental complications, surgery may be required. A tooth is referred to as ‘ impacted ’ when it fails to fully erupt and remains fully or partially inside the gums. Impacted wisdom teeth that cause pain or other dental problems usually are. What Is Impacted Molar.
From www.cureus.com
Cureus Bilateral Dentigerous Cyst in Impacted Mandibular Third Molars What Is Impacted Molar Wisdom teeth are the third set of molars in the very back of your mouth. This can lead to a number of oral health problems, including. This may be due to a. Impacted wisdom teeth happen when your third molars become partially or fully trapped in your gums or jawbone. If you have an impacted tooth and it's causing you. What Is Impacted Molar.
From www.greenlifedental.com.sg
What are the different kinds of wisdom tooth impaction? Greenlife Dental What Is Impacted Molar Impacted wisdom teeth that cause pain or other dental problems usually are taken out with surgery, also known as extraction. If you have an impacted tooth and it's causing you discomfort, or your doctor suspects it may lead to dental complications, surgery may be required. This may be due to a. A tooth is referred to as ‘ impacted ’. What Is Impacted Molar.
From www.cureus.com
Cureus Impacted Mandibular First Molar A Rare Riddle What Is Impacted Molar Impacted wisdom teeth happen when your third molars become partially or fully trapped in your gums or jawbone. Wisdom teeth are the third set of molars in the very back of your mouth. A tooth is referred to as ‘ impacted ’ when it fails to fully erupt and remains fully or partially inside the gums. This may be due. What Is Impacted Molar.
From www.breaoralsurgerycenter.com
Wisdom Teeth Brea CA Third Molars Impacted Tooth What Is Impacted Molar If you have an impacted tooth and it's causing you discomfort, or your doctor suspects it may lead to dental complications, surgery may be required. These teeth typically come in during the late teen years or early adulthood. Impacted wisdom teeth that cause pain or other dental problems usually are taken out with surgery, also known as extraction. A tooth. What Is Impacted Molar.
From www.reddit.com
Braces, surgery and an impacted second molar Dentistry What Is Impacted Molar Impacted wisdom teeth happen when your third molars become partially or fully trapped in your gums or jawbone. These teeth typically come in during the late teen years or early adulthood. Impacted wisdom teeth that cause pain or other dental problems usually are taken out with surgery, also known as extraction. Wisdom teeth are the third set of molars in. What Is Impacted Molar.
From www.youtube.com
Braces On Impacted molar orthodontic appliance U loop Tooth What Is Impacted Molar If you have an impacted tooth and it's causing you discomfort, or your doctor suspects it may lead to dental complications, surgery may be required. Impacted wisdom teeth happen when your third molars become partially or fully trapped in your gums or jawbone. Impacted wisdom teeth that cause pain or other dental problems usually are taken out with surgery, also. What Is Impacted Molar.
From www.youtube.com
Sectioning/Cutting tooth (Vertical & Distoangular Impacted Mandibular What Is Impacted Molar Wisdom teeth are the third set of molars in the very back of your mouth. A tooth is referred to as ‘ impacted ’ when it fails to fully erupt and remains fully or partially inside the gums. Impacted wisdom teeth that cause pain or other dental problems usually are taken out with surgery, also known as extraction. This may. What Is Impacted Molar.
From www.youtube.com
ORAL SURGERY Impacted Third Molar Classification YouTube What Is Impacted Molar Wisdom teeth are the third set of molars in the very back of your mouth. This can lead to a number of oral health problems, including. These teeth typically come in during the late teen years or early adulthood. If you have an impacted tooth and it's causing you discomfort, or your doctor suspects it may lead to dental complications,. What Is Impacted Molar.
From www.stopperichoralsurgery.com
Wisdom Teeth McMurray PA Third Molars Impacted Tooth What Is Impacted Molar Wisdom teeth are the third set of molars in the very back of your mouth. Impacted wisdom teeth happen when your third molars become partially or fully trapped in your gums or jawbone. This may be due to a. These teeth typically come in during the late teen years or early adulthood. This can lead to a number of oral. What Is Impacted Molar.
From orthoworks-orthoworks.blogspot.com
OrthoWorks Saving Impacted Molars What Is Impacted Molar This may be due to a. Wisdom teeth are the third set of molars in the very back of your mouth. Impacted wisdom teeth happen when your third molars become partially or fully trapped in your gums or jawbone. These teeth typically come in during the late teen years or early adulthood. Impacted wisdom teeth that cause pain or other. What Is Impacted Molar.
From www.youtube.com
Winters Lines (WAR) for Impacted Mandibular 3rd Molar Syed Amjad Shah What Is Impacted Molar Impacted wisdom teeth that cause pain or other dental problems usually are taken out with surgery, also known as extraction. These teeth typically come in during the late teen years or early adulthood. Wisdom teeth are the third set of molars in the very back of your mouth. A tooth is referred to as ‘ impacted ’ when it fails. What Is Impacted Molar.
From www.sciencephoto.com
Impacted molar teeth, 3D CT scan Stock Image C030/8375 Science What Is Impacted Molar This can lead to a number of oral health problems, including. Impacted wisdom teeth that cause pain or other dental problems usually are taken out with surgery, also known as extraction. Wisdom teeth are the third set of molars in the very back of your mouth. If you have an impacted tooth and it's causing you discomfort, or your doctor. What Is Impacted Molar.
From www.intechopen.com
New Concepts in Impacted Third Molar Surgery IntechOpen What Is Impacted Molar This can lead to a number of oral health problems, including. A tooth is referred to as ‘ impacted ’ when it fails to fully erupt and remains fully or partially inside the gums. If you have an impacted tooth and it's causing you discomfort, or your doctor suspects it may lead to dental complications, surgery may be required. These. What Is Impacted Molar.
From www.oceandental.sg
Impacted Wisdom Tooth Everything You Should Know (And Do) What Is Impacted Molar Impacted wisdom teeth that cause pain or other dental problems usually are taken out with surgery, also known as extraction. These teeth typically come in during the late teen years or early adulthood. Wisdom teeth are the third set of molars in the very back of your mouth. This may be due to a. If you have an impacted tooth. What Is Impacted Molar.
From apospublications.com
The role of impacted third molar angulation on the anterior crowding What Is Impacted Molar If you have an impacted tooth and it's causing you discomfort, or your doctor suspects it may lead to dental complications, surgery may be required. These teeth typically come in during the late teen years or early adulthood. This can lead to a number of oral health problems, including. This may be due to a. A tooth is referred to. What Is Impacted Molar.
From medshun.com
Understanding The Condition Impacted Molar Explained MedShun What Is Impacted Molar Impacted wisdom teeth happen when your third molars become partially or fully trapped in your gums or jawbone. If you have an impacted tooth and it's causing you discomfort, or your doctor suspects it may lead to dental complications, surgery may be required. Wisdom teeth are the third set of molars in the very back of your mouth. This may. What Is Impacted Molar.
From www.youtube.com
Mesioangular impacted wisdom tooth removal Third molar extraction What Is Impacted Molar Impacted wisdom teeth that cause pain or other dental problems usually are taken out with surgery, also known as extraction. If you have an impacted tooth and it's causing you discomfort, or your doctor suspects it may lead to dental complications, surgery may be required. This may be due to a. These teeth typically come in during the late teen. What Is Impacted Molar.
From sciencebasedmedicine.org
The Wisdom of Third Molar Removal ScienceBased Medicine What Is Impacted Molar A tooth is referred to as ‘ impacted ’ when it fails to fully erupt and remains fully or partially inside the gums. This can lead to a number of oral health problems, including. Impacted wisdom teeth happen when your third molars become partially or fully trapped in your gums or jawbone. Wisdom teeth are the third set of molars. What Is Impacted Molar.
From www.renderhub.com
Impacted Molar 3D Model by esfey What Is Impacted Molar Impacted wisdom teeth that cause pain or other dental problems usually are taken out with surgery, also known as extraction. These teeth typically come in during the late teen years or early adulthood. If you have an impacted tooth and it's causing you discomfort, or your doctor suspects it may lead to dental complications, surgery may be required. Wisdom teeth. What Is Impacted Molar.
From www.easterndental.com
Impacted Teeth Eastern Dental What Is Impacted Molar This may be due to a. Impacted wisdom teeth happen when your third molars become partially or fully trapped in your gums or jawbone. A tooth is referred to as ‘ impacted ’ when it fails to fully erupt and remains fully or partially inside the gums. This can lead to a number of oral health problems, including. Wisdom teeth. What Is Impacted Molar.
From www.dreamstime.com
Closeup Xray of Impacted Wisdom Tooth Stock Photo Image of bone What Is Impacted Molar This can lead to a number of oral health problems, including. Impacted wisdom teeth happen when your third molars become partially or fully trapped in your gums or jawbone. A tooth is referred to as ‘ impacted ’ when it fails to fully erupt and remains fully or partially inside the gums. Wisdom teeth are the third set of molars. What Is Impacted Molar.
From www.intechopen.com
New Concepts in Impacted Third Molar Surgery IntechOpen What Is Impacted Molar If you have an impacted tooth and it's causing you discomfort, or your doctor suspects it may lead to dental complications, surgery may be required. A tooth is referred to as ‘ impacted ’ when it fails to fully erupt and remains fully or partially inside the gums. Wisdom teeth are the third set of molars in the very back. What Is Impacted Molar.
From aryadentalclinic.com
Surgical Disimpaction What is Impacted Third Molar? Arya Dental Clinic What Is Impacted Molar If you have an impacted tooth and it's causing you discomfort, or your doctor suspects it may lead to dental complications, surgery may be required. These teeth typically come in during the late teen years or early adulthood. This can lead to a number of oral health problems, including. Wisdom teeth are the third set of molars in the very. What Is Impacted Molar.
From www.nationalelfservice.net
Third molar extraction effect of preoperative oral corticosteroids on What Is Impacted Molar Impacted wisdom teeth that cause pain or other dental problems usually are taken out with surgery, also known as extraction. This can lead to a number of oral health problems, including. These teeth typically come in during the late teen years or early adulthood. A tooth is referred to as ‘ impacted ’ when it fails to fully erupt and. What Is Impacted Molar.
From www.jco-online.com
TADs to Upright Impacted Lower Third Molars without Extraction What Is Impacted Molar This can lead to a number of oral health problems, including. Impacted wisdom teeth that cause pain or other dental problems usually are taken out with surgery, also known as extraction. This may be due to a. These teeth typically come in during the late teen years or early adulthood. Impacted wisdom teeth happen when your third molars become partially. What Is Impacted Molar.
From www.aofstriad.com
Uprighting Second Molars Kernersville Impacted Molar Bermuda Run What Is Impacted Molar This can lead to a number of oral health problems, including. Impacted wisdom teeth that cause pain or other dental problems usually are taken out with surgery, also known as extraction. This may be due to a. Wisdom teeth are the third set of molars in the very back of your mouth. Impacted wisdom teeth happen when your third molars. What Is Impacted Molar.
From www.jsmcentral.org
A DeeplyImpacted Mandibular Third Molar with its Root Protruding from What Is Impacted Molar This may be due to a. A tooth is referred to as ‘ impacted ’ when it fails to fully erupt and remains fully or partially inside the gums. If you have an impacted tooth and it's causing you discomfort, or your doctor suspects it may lead to dental complications, surgery may be required. Impacted wisdom teeth happen when your. What Is Impacted Molar.
From www.swissdentbodrum.com
Impacted Molar Swiss Dent What Is Impacted Molar These teeth typically come in during the late teen years or early adulthood. This may be due to a. A tooth is referred to as ‘ impacted ’ when it fails to fully erupt and remains fully or partially inside the gums. Wisdom teeth are the third set of molars in the very back of your mouth. If you have. What Is Impacted Molar.
From www.jco-online.com
TADs to Upright Impacted Lower Third Molars without Extraction What Is Impacted Molar A tooth is referred to as ‘ impacted ’ when it fails to fully erupt and remains fully or partially inside the gums. This can lead to a number of oral health problems, including. Wisdom teeth are the third set of molars in the very back of your mouth. Impacted wisdom teeth happen when your third molars become partially or. What Is Impacted Molar.
From www.youtube.com
Classification system of Impacted Mandibular 3rd Molar Pell & Gregory What Is Impacted Molar These teeth typically come in during the late teen years or early adulthood. Impacted wisdom teeth happen when your third molars become partially or fully trapped in your gums or jawbone. This can lead to a number of oral health problems, including. If you have an impacted tooth and it's causing you discomfort, or your doctor suspects it may lead. What Is Impacted Molar.
From www.dentistry33.com
The treatment of impacted mandibular second molars using brass wire a What Is Impacted Molar A tooth is referred to as ‘ impacted ’ when it fails to fully erupt and remains fully or partially inside the gums. Impacted wisdom teeth happen when your third molars become partially or fully trapped in your gums or jawbone. These teeth typically come in during the late teen years or early adulthood. Wisdom teeth are the third set. What Is Impacted Molar.
From www.cureus.com
Impacted Third Molars, A Rare Occurrence of Identical Bilateral What Is Impacted Molar This can lead to a number of oral health problems, including. If you have an impacted tooth and it's causing you discomfort, or your doctor suspects it may lead to dental complications, surgery may be required. These teeth typically come in during the late teen years or early adulthood. Wisdom teeth are the third set of molars in the very. What Is Impacted Molar.