Laparoscopic Wound Leaking . If you notice any of the. A seroma, one of the most common potential complications after surgery, refers to the accumulation of uninfected and clear (i.e., serous) fluid under the skin. You get these instructions after a. Seroma is a common complication of surgical procedures that create a cavity where fluid can collect. Seroma formation may occur due to fluid leaking out of the symphatic. There are certain incision drainage situations that should raise alarm bells. Blood vessels in the area of the cut begin to form clots that keep. A laparoscopy is a minimally invasive procedure your surgeon does to look for problems in your stomach or pelvic area. They use a tool called a. Incision and surgical wound care are instructions that you follow to prevent infections and help your body heal. The first steps toward healing start right away.
from www.mdpi.com
Seroma formation may occur due to fluid leaking out of the symphatic. Incision and surgical wound care are instructions that you follow to prevent infections and help your body heal. There are certain incision drainage situations that should raise alarm bells. A seroma, one of the most common potential complications after surgery, refers to the accumulation of uninfected and clear (i.e., serous) fluid under the skin. Blood vessels in the area of the cut begin to form clots that keep. A laparoscopy is a minimally invasive procedure your surgeon does to look for problems in your stomach or pelvic area. They use a tool called a. If you notice any of the. Seroma is a common complication of surgical procedures that create a cavity where fluid can collect. The first steps toward healing start right away.
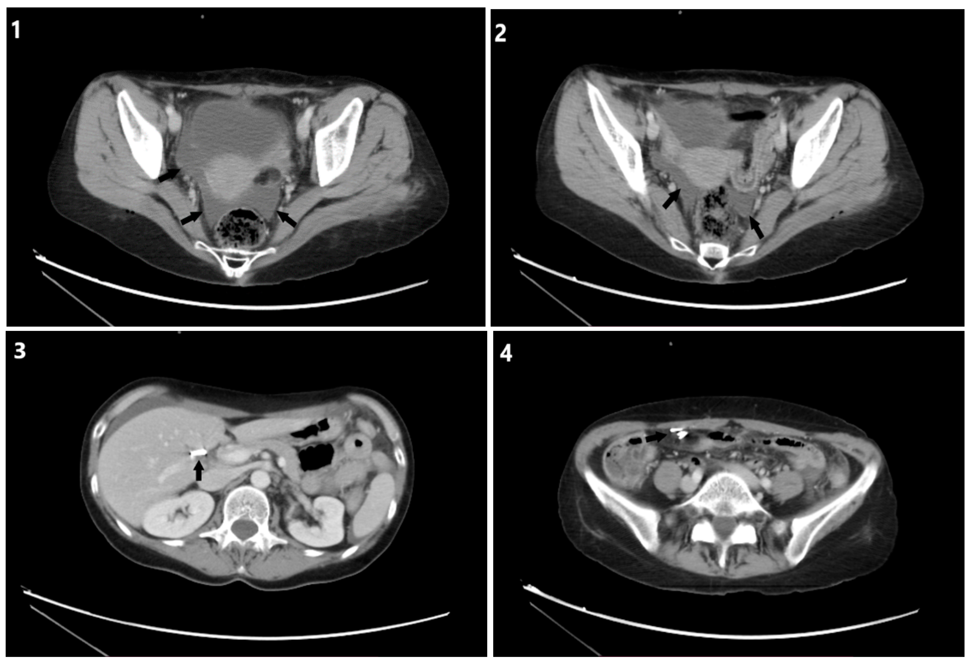
JPM Free FullText Uroperitoneum as a Complication of Laparoscopic
Laparoscopic Wound Leaking The first steps toward healing start right away. The first steps toward healing start right away. A laparoscopy is a minimally invasive procedure your surgeon does to look for problems in your stomach or pelvic area. A seroma, one of the most common potential complications after surgery, refers to the accumulation of uninfected and clear (i.e., serous) fluid under the skin. Blood vessels in the area of the cut begin to form clots that keep. If you notice any of the. Seroma is a common complication of surgical procedures that create a cavity where fluid can collect. Seroma formation may occur due to fluid leaking out of the symphatic. You get these instructions after a. Incision and surgical wound care are instructions that you follow to prevent infections and help your body heal. There are certain incision drainage situations that should raise alarm bells. They use a tool called a.
From www.researchgate.net
Incision of supraumbilical open pyloromyotomy (supraumbilical incision Laparoscopic Wound Leaking Incision and surgical wound care are instructions that you follow to prevent infections and help your body heal. Seroma is a common complication of surgical procedures that create a cavity where fluid can collect. Seroma formation may occur due to fluid leaking out of the symphatic. The first steps toward healing start right away. A laparoscopy is a minimally invasive. Laparoscopic Wound Leaking.
From www.vinmec.com
Is the laparoscopic incision still painful after 1 month? Vinmec Laparoscopic Wound Leaking They use a tool called a. If you notice any of the. A seroma, one of the most common potential complications after surgery, refers to the accumulation of uninfected and clear (i.e., serous) fluid under the skin. Seroma formation may occur due to fluid leaking out of the symphatic. There are certain incision drainage situations that should raise alarm bells.. Laparoscopic Wound Leaking.
From www.shutterstock.com
Three Hole Laparoscopic Incision Cuts Gallbladder Stock Photo (Edit Now Laparoscopic Wound Leaking A laparoscopy is a minimally invasive procedure your surgeon does to look for problems in your stomach or pelvic area. They use a tool called a. The first steps toward healing start right away. Incision and surgical wound care are instructions that you follow to prevent infections and help your body heal. A seroma, one of the most common potential. Laparoscopic Wound Leaking.
From www.researchgate.net
(PDF) Fast LeakProof, Intraumbilical, SingleIncision Laparoscopic Laparoscopic Wound Leaking They use a tool called a. Seroma is a common complication of surgical procedures that create a cavity where fluid can collect. Blood vessels in the area of the cut begin to form clots that keep. Seroma formation may occur due to fluid leaking out of the symphatic. The first steps toward healing start right away. If you notice any. Laparoscopic Wound Leaking.
From renewbariatrics.com
Incision Care after Bariatric Surgery Photos Healing & Recovery Laparoscopic Wound Leaking They use a tool called a. There are certain incision drainage situations that should raise alarm bells. The first steps toward healing start right away. Seroma formation may occur due to fluid leaking out of the symphatic. Incision and surgical wound care are instructions that you follow to prevent infections and help your body heal. If you notice any of. Laparoscopic Wound Leaking.
From www.researchgate.net
Twoport method of laparoscopic surgery. An XS Alexis wound retractor Laparoscopic Wound Leaking Blood vessels in the area of the cut begin to form clots that keep. The first steps toward healing start right away. A laparoscopy is a minimally invasive procedure your surgeon does to look for problems in your stomach or pelvic area. Incision and surgical wound care are instructions that you follow to prevent infections and help your body heal.. Laparoscopic Wound Leaking.
From www.heighpubs.org
Laparoscopic Cholecystectomy Challenges faced by beginners our perspective Laparoscopic Wound Leaking A seroma, one of the most common potential complications after surgery, refers to the accumulation of uninfected and clear (i.e., serous) fluid under the skin. If you notice any of the. There are certain incision drainage situations that should raise alarm bells. Incision and surgical wound care are instructions that you follow to prevent infections and help your body heal.. Laparoscopic Wound Leaking.
From www.lybrate.com
Indepth About Wound Complications After Laparoscopic Surgery! By Dr Laparoscopic Wound Leaking Seroma is a common complication of surgical procedures that create a cavity where fluid can collect. If you notice any of the. A laparoscopy is a minimally invasive procedure your surgeon does to look for problems in your stomach or pelvic area. A seroma, one of the most common potential complications after surgery, refers to the accumulation of uninfected and. Laparoscopic Wound Leaking.
From www.drmww.co.nz
Laparoscopy Keyhole Surgery — Dr Michael WynnWilliams Laparoscopic Wound Leaking There are certain incision drainage situations that should raise alarm bells. Seroma is a common complication of surgical procedures that create a cavity where fluid can collect. A seroma, one of the most common potential complications after surgery, refers to the accumulation of uninfected and clear (i.e., serous) fluid under the skin. They use a tool called a. You get. Laparoscopic Wound Leaking.
From www.laparoscopic.md
Laparoscopic Cholecystectomy or Gallbladder Surgery Laparoscopic.MD Laparoscopic Wound Leaking Blood vessels in the area of the cut begin to form clots that keep. Incision and surgical wound care are instructions that you follow to prevent infections and help your body heal. They use a tool called a. You get these instructions after a. The first steps toward healing start right away. If you notice any of the. There are. Laparoscopic Wound Leaking.
From amjcaserep.com
American Journal of Case Reports Laparoscopic Cholecystectomy in a Laparoscopic Wound Leaking Seroma is a common complication of surgical procedures that create a cavity where fluid can collect. There are certain incision drainage situations that should raise alarm bells. If you notice any of the. A laparoscopy is a minimally invasive procedure your surgeon does to look for problems in your stomach or pelvic area. Blood vessels in the area of the. Laparoscopic Wound Leaking.
From www.youtube.com
การดูแลแผลผ่าตัดผ่านกล้อง laparoscopic wound care YouTube Laparoscopic Wound Leaking Blood vessels in the area of the cut begin to form clots that keep. The first steps toward healing start right away. A laparoscopy is a minimally invasive procedure your surgeon does to look for problems in your stomach or pelvic area. They use a tool called a. There are certain incision drainage situations that should raise alarm bells. Incision. Laparoscopic Wound Leaking.
From www.slideserve.com
PPT Basic principles of LAPAROSCOPIC SURGERY PowerPoint Presentation Laparoscopic Wound Leaking Incision and surgical wound care are instructions that you follow to prevent infections and help your body heal. A laparoscopy is a minimally invasive procedure your surgeon does to look for problems in your stomach or pelvic area. Blood vessels in the area of the cut begin to form clots that keep. You get these instructions after a. The first. Laparoscopic Wound Leaking.
From ar.inspiredpencil.com
Infected Laparoscopic Incision Laparoscopic Wound Leaking There are certain incision drainage situations that should raise alarm bells. The first steps toward healing start right away. Blood vessels in the area of the cut begin to form clots that keep. You get these instructions after a. Incision and surgical wound care are instructions that you follow to prevent infections and help your body heal. A laparoscopy is. Laparoscopic Wound Leaking.
From www.sages.org
Gallbladder Removal Surgery (Cholecystectomy) Patient Information from Laparoscopic Wound Leaking Blood vessels in the area of the cut begin to form clots that keep. A laparoscopy is a minimally invasive procedure your surgeon does to look for problems in your stomach or pelvic area. If you notice any of the. Incision and surgical wound care are instructions that you follow to prevent infections and help your body heal. You get. Laparoscopic Wound Leaking.
From anthonysiow.com
Single Incision Laparoscopy Anthony Siow Laparoscopic Wound Leaking Seroma is a common complication of surgical procedures that create a cavity where fluid can collect. Incision and surgical wound care are instructions that you follow to prevent infections and help your body heal. Seroma formation may occur due to fluid leaking out of the symphatic. There are certain incision drainage situations that should raise alarm bells. They use a. Laparoscopic Wound Leaking.
From www.researchgate.net
Standard Port Positioning for Laparoscopic closure of perforated petic Laparoscopic Wound Leaking Blood vessels in the area of the cut begin to form clots that keep. Seroma is a common complication of surgical procedures that create a cavity where fluid can collect. A laparoscopy is a minimally invasive procedure your surgeon does to look for problems in your stomach or pelvic area. Incision and surgical wound care are instructions that you follow. Laparoscopic Wound Leaking.
From casereports.bmj.com
Retroperitoneal bile leak after laparoscopic cholecystectomy BMJ Case Laparoscopic Wound Leaking If you notice any of the. A seroma, one of the most common potential complications after surgery, refers to the accumulation of uninfected and clear (i.e., serous) fluid under the skin. Blood vessels in the area of the cut begin to form clots that keep. They use a tool called a. The first steps toward healing start right away. A. Laparoscopic Wound Leaking.
From www.researchgate.net
Port and incision placement for handassisted laparoscopic subtotal Laparoscopic Wound Leaking Seroma formation may occur due to fluid leaking out of the symphatic. A laparoscopy is a minimally invasive procedure your surgeon does to look for problems in your stomach or pelvic area. Incision and surgical wound care are instructions that you follow to prevent infections and help your body heal. They use a tool called a. The first steps toward. Laparoscopic Wound Leaking.
From www.elpasobariatric.com
Wounds,Of,Laparoscopic,Gallbladder,Removal,Surgery. El Paso Weight Laparoscopic Wound Leaking If you notice any of the. They use a tool called a. Blood vessels in the area of the cut begin to form clots that keep. Incision and surgical wound care are instructions that you follow to prevent infections and help your body heal. A seroma, one of the most common potential complications after surgery, refers to the accumulation of. Laparoscopic Wound Leaking.
From www.researchgate.net
Postoperative wound after laparoscopic pancreaticoduodenectomy Laparoscopic Wound Leaking Seroma formation may occur due to fluid leaking out of the symphatic. You get these instructions after a. Blood vessels in the area of the cut begin to form clots that keep. The first steps toward healing start right away. If you notice any of the. Seroma is a common complication of surgical procedures that create a cavity where fluid. Laparoscopic Wound Leaking.
From www.doctorchristodoulou.com
What are the advantages of laparoscopy versus open surgery? Laparoscopic Wound Leaking The first steps toward healing start right away. Incision and surgical wound care are instructions that you follow to prevent infections and help your body heal. They use a tool called a. There are certain incision drainage situations that should raise alarm bells. A seroma, one of the most common potential complications after surgery, refers to the accumulation of uninfected. Laparoscopic Wound Leaking.
From ar.inspiredpencil.com
Laparoscopic Appendectomy Incision Sites Laparoscopic Wound Leaking If you notice any of the. Seroma is a common complication of surgical procedures that create a cavity where fluid can collect. Incision and surgical wound care are instructions that you follow to prevent infections and help your body heal. Blood vessels in the area of the cut begin to form clots that keep. The first steps toward healing start. Laparoscopic Wound Leaking.
From laparoscopic.md
Recuperación Laparoscopia.MD Laparoscopic Wound Leaking A laparoscopy is a minimally invasive procedure your surgeon does to look for problems in your stomach or pelvic area. Seroma is a common complication of surgical procedures that create a cavity where fluid can collect. A seroma, one of the most common potential complications after surgery, refers to the accumulation of uninfected and clear (i.e., serous) fluid under the. Laparoscopic Wound Leaking.
From ar.inspiredpencil.com
Laparoscopic Cholecystectomy Incisions Laparoscopic Wound Leaking Seroma is a common complication of surgical procedures that create a cavity where fluid can collect. There are certain incision drainage situations that should raise alarm bells. You get these instructions after a. Seroma formation may occur due to fluid leaking out of the symphatic. They use a tool called a. A laparoscopy is a minimally invasive procedure your surgeon. Laparoscopic Wound Leaking.
From www.researchgate.net
Appendicitis and laparoscopic incisions of the patient. Download Laparoscopic Wound Leaking A laparoscopy is a minimally invasive procedure your surgeon does to look for problems in your stomach or pelvic area. Incision and surgical wound care are instructions that you follow to prevent infections and help your body heal. They use a tool called a. You get these instructions after a. There are certain incision drainage situations that should raise alarm. Laparoscopic Wound Leaking.
From www.alamy.com
bandaged entry areas for Laparoscopic appendectomy surgery Stock Photo Laparoscopic Wound Leaking A seroma, one of the most common potential complications after surgery, refers to the accumulation of uninfected and clear (i.e., serous) fluid under the skin. Blood vessels in the area of the cut begin to form clots that keep. The first steps toward healing start right away. You get these instructions after a. Incision and surgical wound care are instructions. Laparoscopic Wound Leaking.
From www.youtube.com
Effective, Simple and Fast Way of Laparoscopic Port Closure for Trocar Laparoscopic Wound Leaking A seroma, one of the most common potential complications after surgery, refers to the accumulation of uninfected and clear (i.e., serous) fluid under the skin. The first steps toward healing start right away. If you notice any of the. Seroma formation may occur due to fluid leaking out of the symphatic. There are certain incision drainage situations that should raise. Laparoscopic Wound Leaking.
From www.glowm.com
Open Laparoscopy GLOWM Laparoscopic Wound Leaking A seroma, one of the most common potential complications after surgery, refers to the accumulation of uninfected and clear (i.e., serous) fluid under the skin. If you notice any of the. A laparoscopy is a minimally invasive procedure your surgeon does to look for problems in your stomach or pelvic area. Seroma formation may occur due to fluid leaking out. Laparoscopic Wound Leaking.
From www.wisegeek.com
What can I Expect During Laparoscopy Recovery? (with pictures) Laparoscopic Wound Leaking A laparoscopy is a minimally invasive procedure your surgeon does to look for problems in your stomach or pelvic area. Incision and surgical wound care are instructions that you follow to prevent infections and help your body heal. Seroma is a common complication of surgical procedures that create a cavity where fluid can collect. If you notice any of the.. Laparoscopic Wound Leaking.
From healthjade.net
Laparoscopy Recovery Time & Laparoscopy Side Effects Laparoscopic Wound Leaking You get these instructions after a. Blood vessels in the area of the cut begin to form clots that keep. If you notice any of the. They use a tool called a. A seroma, one of the most common potential complications after surgery, refers to the accumulation of uninfected and clear (i.e., serous) fluid under the skin. Seroma formation may. Laparoscopic Wound Leaking.
From www.researchgate.net
(PDF) Complete abdominal wound and anastomotic leak with diffuse Laparoscopic Wound Leaking Seroma is a common complication of surgical procedures that create a cavity where fluid can collect. There are certain incision drainage situations that should raise alarm bells. The first steps toward healing start right away. A laparoscopy is a minimally invasive procedure your surgeon does to look for problems in your stomach or pelvic area. Seroma formation may occur due. Laparoscopic Wound Leaking.
From www.americanjournalofsurgery.com
Singleincision laparoscopy for colorectal surgery A comprehensive and Laparoscopic Wound Leaking A seroma, one of the most common potential complications after surgery, refers to the accumulation of uninfected and clear (i.e., serous) fluid under the skin. The first steps toward healing start right away. Incision and surgical wound care are instructions that you follow to prevent infections and help your body heal. You get these instructions after a. If you notice. Laparoscopic Wound Leaking.
From www.mdpi.com
JPM Free FullText Uroperitoneum as a Complication of Laparoscopic Laparoscopic Wound Leaking If you notice any of the. Incision and surgical wound care are instructions that you follow to prevent infections and help your body heal. A seroma, one of the most common potential complications after surgery, refers to the accumulation of uninfected and clear (i.e., serous) fluid under the skin. Seroma formation may occur due to fluid leaking out of the. Laparoscopic Wound Leaking.
From drgautamnadkarni.com
Expert Single Incision Laparoscopic Surgeon in Mumbai Dr. Gautam Nadkarni Laparoscopic Wound Leaking Seroma is a common complication of surgical procedures that create a cavity where fluid can collect. If you notice any of the. There are certain incision drainage situations that should raise alarm bells. You get these instructions after a. Seroma formation may occur due to fluid leaking out of the symphatic. They use a tool called a. Blood vessels in. Laparoscopic Wound Leaking.