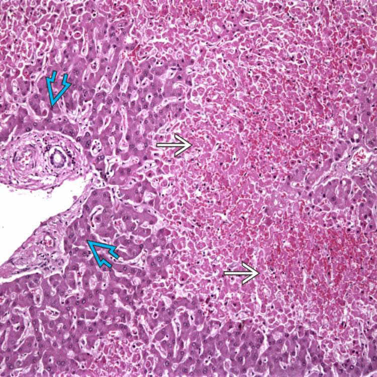
Nutmeg Liver Hepatocytes . The enrichment analysis of go function showed the go function entries that were significantly enriched in the deps compared with. Quality control (qc) samples were obtained by thoroughly mixing equal quantities of each liver homogenate sample. A nutmeg liver appearance is due to a perfusion abnormality of the liver usually as result of hepatic venous congestion. Radiologically, it is most appreciable. Other causes include obstruction of blood flow in hepatic vein and inferior venacava. Commonly caused by a viral infectious etiology, like hhv6a, cmv, hev and ebv; Most common cause is right heart failure. Pathologically, the term nutmeg liver refers to the speckled appearance of the cut liver in chronic venous congestion, due to dilated and. Nutmeg liver refers to the mottled appearance of the liver as a result of hepatic venous congestion. Can be seen in autoimmune hepatitis, drugs, chronic cholestatic conditions, including primary.
from www.gastro.theclinics.com
Can be seen in autoimmune hepatitis, drugs, chronic cholestatic conditions, including primary. Radiologically, it is most appreciable. The enrichment analysis of go function showed the go function entries that were significantly enriched in the deps compared with. Pathologically, the term nutmeg liver refers to the speckled appearance of the cut liver in chronic venous congestion, due to dilated and. Other causes include obstruction of blood flow in hepatic vein and inferior venacava. Commonly caused by a viral infectious etiology, like hhv6a, cmv, hev and ebv; Nutmeg liver refers to the mottled appearance of the liver as a result of hepatic venous congestion. Quality control (qc) samples were obtained by thoroughly mixing equal quantities of each liver homogenate sample. A nutmeg liver appearance is due to a perfusion abnormality of the liver usually as result of hepatic venous congestion. Most common cause is right heart failure.
Heart Disease and the Liver Gastroenterology Clinics
Nutmeg Liver Hepatocytes Other causes include obstruction of blood flow in hepatic vein and inferior venacava. Other causes include obstruction of blood flow in hepatic vein and inferior venacava. Pathologically, the term nutmeg liver refers to the speckled appearance of the cut liver in chronic venous congestion, due to dilated and. Commonly caused by a viral infectious etiology, like hhv6a, cmv, hev and ebv; The enrichment analysis of go function showed the go function entries that were significantly enriched in the deps compared with. Quality control (qc) samples were obtained by thoroughly mixing equal quantities of each liver homogenate sample. Nutmeg liver refers to the mottled appearance of the liver as a result of hepatic venous congestion. A nutmeg liver appearance is due to a perfusion abnormality of the liver usually as result of hepatic venous congestion. Most common cause is right heart failure. Can be seen in autoimmune hepatitis, drugs, chronic cholestatic conditions, including primary. Radiologically, it is most appreciable.
From www.sexizpix.com
Histopathology Of Liver A Normal Control Normal Hepatocytes Sexiz Pix Nutmeg Liver Hepatocytes Radiologically, it is most appreciable. Quality control (qc) samples were obtained by thoroughly mixing equal quantities of each liver homogenate sample. Commonly caused by a viral infectious etiology, like hhv6a, cmv, hev and ebv; Pathologically, the term nutmeg liver refers to the speckled appearance of the cut liver in chronic venous congestion, due to dilated and. Most common cause is. Nutmeg Liver Hepatocytes.
From www.researchgate.net
Nutmeg liver or hepatic congestopathy in a patient with right upper Nutmeg Liver Hepatocytes Can be seen in autoimmune hepatitis, drugs, chronic cholestatic conditions, including primary. The enrichment analysis of go function showed the go function entries that were significantly enriched in the deps compared with. Pathologically, the term nutmeg liver refers to the speckled appearance of the cut liver in chronic venous congestion, due to dilated and. Commonly caused by a viral infectious. Nutmeg Liver Hepatocytes.
From ar.inspiredpencil.com
Liver Histology Hepatocytes Nutmeg Liver Hepatocytes Commonly caused by a viral infectious etiology, like hhv6a, cmv, hev and ebv; Pathologically, the term nutmeg liver refers to the speckled appearance of the cut liver in chronic venous congestion, due to dilated and. Most common cause is right heart failure. A nutmeg liver appearance is due to a perfusion abnormality of the liver usually as result of hepatic. Nutmeg Liver Hepatocytes.
From ar.inspiredpencil.com
Nutmeg Liver Nutmeg Liver Hepatocytes Commonly caused by a viral infectious etiology, like hhv6a, cmv, hev and ebv; Nutmeg liver refers to the mottled appearance of the liver as a result of hepatic venous congestion. The enrichment analysis of go function showed the go function entries that were significantly enriched in the deps compared with. A nutmeg liver appearance is due to a perfusion abnormality. Nutmeg Liver Hepatocytes.
From basicmedicalkey.com
Ischemia Basicmedical Key Nutmeg Liver Hepatocytes Can be seen in autoimmune hepatitis, drugs, chronic cholestatic conditions, including primary. Pathologically, the term nutmeg liver refers to the speckled appearance of the cut liver in chronic venous congestion, due to dilated and. The enrichment analysis of go function showed the go function entries that were significantly enriched in the deps compared with. Other causes include obstruction of blood. Nutmeg Liver Hepatocytes.
From fity.club
Nutmeg Liver Wikidoc Nutmeg Liver Hepatocytes Can be seen in autoimmune hepatitis, drugs, chronic cholestatic conditions, including primary. A nutmeg liver appearance is due to a perfusion abnormality of the liver usually as result of hepatic venous congestion. The enrichment analysis of go function showed the go function entries that were significantly enriched in the deps compared with. Other causes include obstruction of blood flow in. Nutmeg Liver Hepatocytes.
From www.researchgate.net
Hepatocytes in sections of liver stained with hematoxylin and eosin Nutmeg Liver Hepatocytes Other causes include obstruction of blood flow in hepatic vein and inferior venacava. Commonly caused by a viral infectious etiology, like hhv6a, cmv, hev and ebv; Can be seen in autoimmune hepatitis, drugs, chronic cholestatic conditions, including primary. Quality control (qc) samples were obtained by thoroughly mixing equal quantities of each liver homogenate sample. Radiologically, it is most appreciable. The. Nutmeg Liver Hepatocytes.
From www.youtube.com
CVC LIVER NUTMEG LIVER Hemodynamic Disorder I Pathology YouTube Nutmeg Liver Hepatocytes Radiologically, it is most appreciable. Quality control (qc) samples were obtained by thoroughly mixing equal quantities of each liver homogenate sample. Other causes include obstruction of blood flow in hepatic vein and inferior venacava. The enrichment analysis of go function showed the go function entries that were significantly enriched in the deps compared with. Can be seen in autoimmune hepatitis,. Nutmeg Liver Hepatocytes.
From www.inutoneko.info
Nutmeg Liver Histology Nutmeg Liver Hepatocytes Commonly caused by a viral infectious etiology, like hhv6a, cmv, hev and ebv; Pathologically, the term nutmeg liver refers to the speckled appearance of the cut liver in chronic venous congestion, due to dilated and. Can be seen in autoimmune hepatitis, drugs, chronic cholestatic conditions, including primary. Other causes include obstruction of blood flow in hepatic vein and inferior venacava.. Nutmeg Liver Hepatocytes.
From www.fity.club
Liver Cell Diagram Nutmeg Liver Hepatocytes Nutmeg liver refers to the mottled appearance of the liver as a result of hepatic venous congestion. Pathologically, the term nutmeg liver refers to the speckled appearance of the cut liver in chronic venous congestion, due to dilated and. Other causes include obstruction of blood flow in hepatic vein and inferior venacava. Commonly caused by a viral infectious etiology, like. Nutmeg Liver Hepatocytes.
From www.researchgate.net
Liver from different groups Control shows normal hepatocytes and Nutmeg Liver Hepatocytes Radiologically, it is most appreciable. Most common cause is right heart failure. Pathologically, the term nutmeg liver refers to the speckled appearance of the cut liver in chronic venous congestion, due to dilated and. Other causes include obstruction of blood flow in hepatic vein and inferior venacava. A nutmeg liver appearance is due to a perfusion abnormality of the liver. Nutmeg Liver Hepatocytes.
From ar.inspiredpencil.com
Nutmeg Liver Histology Nutmeg Liver Hepatocytes Commonly caused by a viral infectious etiology, like hhv6a, cmv, hev and ebv; A nutmeg liver appearance is due to a perfusion abnormality of the liver usually as result of hepatic venous congestion. Most common cause is right heart failure. Can be seen in autoimmune hepatitis, drugs, chronic cholestatic conditions, including primary. Quality control (qc) samples were obtained by thoroughly. Nutmeg Liver Hepatocytes.
From www.researchgate.net
Full body PET/CT scan nutmeg liver with perihepatic fluid. Download Nutmeg Liver Hepatocytes Pathologically, the term nutmeg liver refers to the speckled appearance of the cut liver in chronic venous congestion, due to dilated and. Quality control (qc) samples were obtained by thoroughly mixing equal quantities of each liver homogenate sample. The enrichment analysis of go function showed the go function entries that were significantly enriched in the deps compared with. Nutmeg liver. Nutmeg Liver Hepatocytes.
From www.researchgate.net
Cardiac (congestive) hepatopathy. (A) Gross photograph of a liver with Nutmeg Liver Hepatocytes A nutmeg liver appearance is due to a perfusion abnormality of the liver usually as result of hepatic venous congestion. Other causes include obstruction of blood flow in hepatic vein and inferior venacava. Nutmeg liver refers to the mottled appearance of the liver as a result of hepatic venous congestion. Can be seen in autoimmune hepatitis, drugs, chronic cholestatic conditions,. Nutmeg Liver Hepatocytes.
From www.researchgate.net
HE staining of liver tissue. The normal hepatocytes are well arranged Nutmeg Liver Hepatocytes A nutmeg liver appearance is due to a perfusion abnormality of the liver usually as result of hepatic venous congestion. Commonly caused by a viral infectious etiology, like hhv6a, cmv, hev and ebv; Nutmeg liver refers to the mottled appearance of the liver as a result of hepatic venous congestion. Most common cause is right heart failure. Can be seen. Nutmeg Liver Hepatocytes.
From www.researchgate.net
Liver of control (Cont.) group showing normal hepatocytes (hc Nutmeg Liver Hepatocytes Nutmeg liver refers to the mottled appearance of the liver as a result of hepatic venous congestion. Most common cause is right heart failure. A nutmeg liver appearance is due to a perfusion abnormality of the liver usually as result of hepatic venous congestion. Commonly caused by a viral infectious etiology, like hhv6a, cmv, hev and ebv; Quality control (qc). Nutmeg Liver Hepatocytes.
From www.dreamstime.com
Human liver. Hepatocytes stock photo. Image of histology 93292730 Nutmeg Liver Hepatocytes Quality control (qc) samples were obtained by thoroughly mixing equal quantities of each liver homogenate sample. A nutmeg liver appearance is due to a perfusion abnormality of the liver usually as result of hepatic venous congestion. Pathologically, the term nutmeg liver refers to the speckled appearance of the cut liver in chronic venous congestion, due to dilated and. Radiologically, it. Nutmeg Liver Hepatocytes.
From www.researchgate.net
H&E staining of the liver (200Â). The histopathology of control and DMY Nutmeg Liver Hepatocytes Nutmeg liver refers to the mottled appearance of the liver as a result of hepatic venous congestion. Commonly caused by a viral infectious etiology, like hhv6a, cmv, hev and ebv; The enrichment analysis of go function showed the go function entries that were significantly enriched in the deps compared with. Quality control (qc) samples were obtained by thoroughly mixing equal. Nutmeg Liver Hepatocytes.
From ar.inspiredpencil.com
Nutmeg Liver Histology Nutmeg Liver Hepatocytes Other causes include obstruction of blood flow in hepatic vein and inferior venacava. Radiologically, it is most appreciable. A nutmeg liver appearance is due to a perfusion abnormality of the liver usually as result of hepatic venous congestion. Pathologically, the term nutmeg liver refers to the speckled appearance of the cut liver in chronic venous congestion, due to dilated and.. Nutmeg Liver Hepatocytes.
From www.youtube.com
Interpreting CT Abdo Nutmeg Liver Passive Congestion, Budd Chiari Nutmeg Liver Hepatocytes Nutmeg liver refers to the mottled appearance of the liver as a result of hepatic venous congestion. Can be seen in autoimmune hepatitis, drugs, chronic cholestatic conditions, including primary. Radiologically, it is most appreciable. Commonly caused by a viral infectious etiology, like hhv6a, cmv, hev and ebv; A nutmeg liver appearance is due to a perfusion abnormality of the liver. Nutmeg Liver Hepatocytes.
From www.researchgate.net
Image of the liver with hepatocytes affected by vacuolar dystrophy (HE Nutmeg Liver Hepatocytes Pathologically, the term nutmeg liver refers to the speckled appearance of the cut liver in chronic venous congestion, due to dilated and. Can be seen in autoimmune hepatitis, drugs, chronic cholestatic conditions, including primary. A nutmeg liver appearance is due to a perfusion abnormality of the liver usually as result of hepatic venous congestion. Nutmeg liver refers to the mottled. Nutmeg Liver Hepatocytes.
From pathologyandponies.ca
Nutmeg Liver Pathology and Ponies Nutmeg Liver Hepatocytes A nutmeg liver appearance is due to a perfusion abnormality of the liver usually as result of hepatic venous congestion. Can be seen in autoimmune hepatitis, drugs, chronic cholestatic conditions, including primary. Quality control (qc) samples were obtained by thoroughly mixing equal quantities of each liver homogenate sample. Nutmeg liver refers to the mottled appearance of the liver as a. Nutmeg Liver Hepatocytes.
From embryology.med.unsw.edu.au
FileLiver histology 101.jpg Embryology Nutmeg Liver Hepatocytes Pathologically, the term nutmeg liver refers to the speckled appearance of the cut liver in chronic venous congestion, due to dilated and. Other causes include obstruction of blood flow in hepatic vein and inferior venacava. Most common cause is right heart failure. Quality control (qc) samples were obtained by thoroughly mixing equal quantities of each liver homogenate sample. Radiologically, it. Nutmeg Liver Hepatocytes.
From emj.bmj.com
Nutmeg liver Emergency Medicine Journal Nutmeg Liver Hepatocytes The enrichment analysis of go function showed the go function entries that were significantly enriched in the deps compared with. Commonly caused by a viral infectious etiology, like hhv6a, cmv, hev and ebv; Other causes include obstruction of blood flow in hepatic vein and inferior venacava. Nutmeg liver refers to the mottled appearance of the liver as a result of. Nutmeg Liver Hepatocytes.
From www.sciencephoto.com
Nutmeg liver Stock Image C057/3072 Science Photo Library Nutmeg Liver Hepatocytes Can be seen in autoimmune hepatitis, drugs, chronic cholestatic conditions, including primary. Pathologically, the term nutmeg liver refers to the speckled appearance of the cut liver in chronic venous congestion, due to dilated and. Radiologically, it is most appreciable. Other causes include obstruction of blood flow in hepatic vein and inferior venacava. Nutmeg liver refers to the mottled appearance of. Nutmeg Liver Hepatocytes.
From www.inutoneko.info
Nutmeg Liver Histology Nutmeg Liver Hepatocytes The enrichment analysis of go function showed the go function entries that were significantly enriched in the deps compared with. Pathologically, the term nutmeg liver refers to the speckled appearance of the cut liver in chronic venous congestion, due to dilated and. Radiologically, it is most appreciable. Nutmeg liver refers to the mottled appearance of the liver as a result. Nutmeg Liver Hepatocytes.
From www.alamy.com
Congestive hepatopathy (nutmeg liver), is a liver dysfunction due to Nutmeg Liver Hepatocytes Commonly caused by a viral infectious etiology, like hhv6a, cmv, hev and ebv; Nutmeg liver refers to the mottled appearance of the liver as a result of hepatic venous congestion. Can be seen in autoimmune hepatitis, drugs, chronic cholestatic conditions, including primary. The enrichment analysis of go function showed the go function entries that were significantly enriched in the deps. Nutmeg Liver Hepatocytes.
From www.dreamstime.com
Hepatocyte is Cell of the Main Parenchymal Tissue of the Liver Under Nutmeg Liver Hepatocytes Quality control (qc) samples were obtained by thoroughly mixing equal quantities of each liver homogenate sample. A nutmeg liver appearance is due to a perfusion abnormality of the liver usually as result of hepatic venous congestion. Commonly caused by a viral infectious etiology, like hhv6a, cmv, hev and ebv; Most common cause is right heart failure. Other causes include obstruction. Nutmeg Liver Hepatocytes.
From www.gastro.theclinics.com
Heart Disease and the Liver Gastroenterology Clinics Nutmeg Liver Hepatocytes Nutmeg liver refers to the mottled appearance of the liver as a result of hepatic venous congestion. Pathologically, the term nutmeg liver refers to the speckled appearance of the cut liver in chronic venous congestion, due to dilated and. The enrichment analysis of go function showed the go function entries that were significantly enriched in the deps compared with. Radiologically,. Nutmeg Liver Hepatocytes.
From www.wikidoc.org
Nutmeg liver wikidoc Nutmeg Liver Hepatocytes Pathologically, the term nutmeg liver refers to the speckled appearance of the cut liver in chronic venous congestion, due to dilated and. Nutmeg liver refers to the mottled appearance of the liver as a result of hepatic venous congestion. Can be seen in autoimmune hepatitis, drugs, chronic cholestatic conditions, including primary. Most common cause is right heart failure. Other causes. Nutmeg Liver Hepatocytes.
From nccommons.org
Nutmeg liver (Radiopaedia 6384572580 A) NC Commons Nutmeg Liver Hepatocytes A nutmeg liver appearance is due to a perfusion abnormality of the liver usually as result of hepatic venous congestion. Other causes include obstruction of blood flow in hepatic vein and inferior venacava. The enrichment analysis of go function showed the go function entries that were significantly enriched in the deps compared with. Can be seen in autoimmune hepatitis, drugs,. Nutmeg Liver Hepatocytes.
From cartoondealer.com
Hepatocyte Is Cell Of The Main Parenchymal Tissue Of The Liver Under Nutmeg Liver Hepatocytes Quality control (qc) samples were obtained by thoroughly mixing equal quantities of each liver homogenate sample. Commonly caused by a viral infectious etiology, like hhv6a, cmv, hev and ebv; The enrichment analysis of go function showed the go function entries that were significantly enriched in the deps compared with. Other causes include obstruction of blood flow in hepatic vein and. Nutmeg Liver Hepatocytes.
From www.researchgate.net
Liver from control group showing normal histology; note the normal Nutmeg Liver Hepatocytes Radiologically, it is most appreciable. Commonly caused by a viral infectious etiology, like hhv6a, cmv, hev and ebv; The enrichment analysis of go function showed the go function entries that were significantly enriched in the deps compared with. Pathologically, the term nutmeg liver refers to the speckled appearance of the cut liver in chronic venous congestion, due to dilated and.. Nutmeg Liver Hepatocytes.
From www.wikidoc.org
Nutmeg liver wikidoc Nutmeg Liver Hepatocytes Radiologically, it is most appreciable. Quality control (qc) samples were obtained by thoroughly mixing equal quantities of each liver homogenate sample. Can be seen in autoimmune hepatitis, drugs, chronic cholestatic conditions, including primary. Most common cause is right heart failure. Pathologically, the term nutmeg liver refers to the speckled appearance of the cut liver in chronic venous congestion, due to. Nutmeg Liver Hepatocytes.
From www.researchgate.net
Liver. All hepatocytes from liver sections in control and experimental Nutmeg Liver Hepatocytes Radiologically, it is most appreciable. Other causes include obstruction of blood flow in hepatic vein and inferior venacava. The enrichment analysis of go function showed the go function entries that were significantly enriched in the deps compared with. Quality control (qc) samples were obtained by thoroughly mixing equal quantities of each liver homogenate sample. Commonly caused by a viral infectious. Nutmeg Liver Hepatocytes.