What Is Cryoglobulinemia . Cryoglobulinaemia refers to the presence of cryoglobulins in the serum. The blockages can, in turn, cause tissue, joint, nerve, and organ. Cryoglobulinemia is a condition where abnormal proteins in the blood thicken in cold temperatures and cause inflammation and. Cryoglobulinemia is a type of vasculitis (damage and inflammation of your blood vessels) that occurs when abnormal. Cryoglobulinemia is a rare medical condition characterized by the presence of abnormal proteins called cryoglobulins in the. Cryoglobulinemia is a pathologic condition characterized by the precipitation of circulating immunoglobulins from human serum. Cryoglobulinemia causes clumps of abnormal proteins in the blood stream that can block blood flow.
from www.arkanalabs.com
Cryoglobulinaemia refers to the presence of cryoglobulins in the serum. Cryoglobulinemia is a rare medical condition characterized by the presence of abnormal proteins called cryoglobulins in the. Cryoglobulinemia causes clumps of abnormal proteins in the blood stream that can block blood flow. Cryoglobulinemia is a pathologic condition characterized by the precipitation of circulating immunoglobulins from human serum. The blockages can, in turn, cause tissue, joint, nerve, and organ. Cryoglobulinemia is a type of vasculitis (damage and inflammation of your blood vessels) that occurs when abnormal. Cryoglobulinemia is a condition where abnormal proteins in the blood thicken in cold temperatures and cause inflammation and.
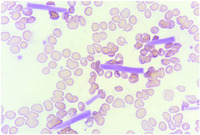
Type I Cryoglobulinemia Pushing Glass Arkana Laboratories
What Is Cryoglobulinemia Cryoglobulinemia is a rare medical condition characterized by the presence of abnormal proteins called cryoglobulins in the. Cryoglobulinemia is a pathologic condition characterized by the precipitation of circulating immunoglobulins from human serum. Cryoglobulinemia is a type of vasculitis (damage and inflammation of your blood vessels) that occurs when abnormal. Cryoglobulinemia is a rare medical condition characterized by the presence of abnormal proteins called cryoglobulins in the. Cryoglobulinaemia refers to the presence of cryoglobulins in the serum. The blockages can, in turn, cause tissue, joint, nerve, and organ. Cryoglobulinemia causes clumps of abnormal proteins in the blood stream that can block blood flow. Cryoglobulinemia is a condition where abnormal proteins in the blood thicken in cold temperatures and cause inflammation and.
From www.mdpi.com
IgMAssociated Cryoglobulinaemia What Is Cryoglobulinemia Cryoglobulinemia is a condition where abnormal proteins in the blood thicken in cold temperatures and cause inflammation and. Cryoglobulinemia is a rare medical condition characterized by the presence of abnormal proteins called cryoglobulins in the. Cryoglobulinaemia refers to the presence of cryoglobulins in the serum. Cryoglobulinemia is a pathologic condition characterized by the precipitation of circulating immunoglobulins from human serum.. What Is Cryoglobulinemia.
From allianceforcryo.org
Photos of Cryoglobulinemia rash and necrosis. (VIEWER DISCRETION IS What Is Cryoglobulinemia Cryoglobulinemia is a pathologic condition characterized by the precipitation of circulating immunoglobulins from human serum. Cryoglobulinemia causes clumps of abnormal proteins in the blood stream that can block blood flow. Cryoglobulinemia is a type of vasculitis (damage and inflammation of your blood vessels) that occurs when abnormal. The blockages can, in turn, cause tissue, joint, nerve, and organ. Cryoglobulinaemia refers. What Is Cryoglobulinemia.
From www.researchgate.net
A, Cryoglobulinemia with multiple purpuric papules near the ankle, with What Is Cryoglobulinemia Cryoglobulinemia causes clumps of abnormal proteins in the blood stream that can block blood flow. The blockages can, in turn, cause tissue, joint, nerve, and organ. Cryoglobulinemia is a type of vasculitis (damage and inflammation of your blood vessels) that occurs when abnormal. Cryoglobulinemia is a condition where abnormal proteins in the blood thicken in cold temperatures and cause inflammation. What Is Cryoglobulinemia.
From allianceforcryo.org
Photos of Cryoglobulinemia rash and necrosis. (VIEWER DISCRETION IS What Is Cryoglobulinemia Cryoglobulinemia is a condition where abnormal proteins in the blood thicken in cold temperatures and cause inflammation and. Cryoglobulinemia is a pathologic condition characterized by the precipitation of circulating immunoglobulins from human serum. Cryoglobulinemia causes clumps of abnormal proteins in the blood stream that can block blood flow. Cryoglobulinaemia refers to the presence of cryoglobulins in the serum. Cryoglobulinemia is. What Is Cryoglobulinemia.
From labpedia.net
Cryoglobulins classfication and diagnosis What Is Cryoglobulinemia Cryoglobulinaemia refers to the presence of cryoglobulins in the serum. Cryoglobulinemia causes clumps of abnormal proteins in the blood stream that can block blood flow. Cryoglobulinemia is a rare medical condition characterized by the presence of abnormal proteins called cryoglobulins in the. The blockages can, in turn, cause tissue, joint, nerve, and organ. Cryoglobulinemia is a pathologic condition characterized by. What Is Cryoglobulinemia.
From jcp.bmj.com
Cryoglobulins Journal of Clinical Pathology What Is Cryoglobulinemia Cryoglobulinemia causes clumps of abnormal proteins in the blood stream that can block blood flow. Cryoglobulinemia is a type of vasculitis (damage and inflammation of your blood vessels) that occurs when abnormal. Cryoglobulinaemia refers to the presence of cryoglobulins in the serum. Cryoglobulinemia is a condition where abnormal proteins in the blood thicken in cold temperatures and cause inflammation and.. What Is Cryoglobulinemia.
From jcp.bmj.com
Cryoglobulins Journal of Clinical Pathology What Is Cryoglobulinemia Cryoglobulinemia causes clumps of abnormal proteins in the blood stream that can block blood flow. Cryoglobulinemia is a condition where abnormal proteins in the blood thicken in cold temperatures and cause inflammation and. Cryoglobulinemia is a rare medical condition characterized by the presence of abnormal proteins called cryoglobulins in the. Cryoglobulinemia is a pathologic condition characterized by the precipitation of. What Is Cryoglobulinemia.
From imagebank.hematology.org
Cryoglobulinemia presenting with crystals in peripheral blood What Is Cryoglobulinemia Cryoglobulinemia causes clumps of abnormal proteins in the blood stream that can block blood flow. Cryoglobulinemia is a condition where abnormal proteins in the blood thicken in cold temperatures and cause inflammation and. The blockages can, in turn, cause tissue, joint, nerve, and organ. Cryoglobulinemia is a rare medical condition characterized by the presence of abnormal proteins called cryoglobulins in. What Is Cryoglobulinemia.
From doctorshub1.blogspot.com
Doctors' Hub Cryoglobulinemia Images of the Patient What Is Cryoglobulinemia Cryoglobulinemia is a type of vasculitis (damage and inflammation of your blood vessels) that occurs when abnormal. Cryoglobulinemia is a condition where abnormal proteins in the blood thicken in cold temperatures and cause inflammation and. Cryoglobulinaemia refers to the presence of cryoglobulins in the serum. Cryoglobulinemia causes clumps of abnormal proteins in the blood stream that can block blood flow.. What Is Cryoglobulinemia.
From rheumnow.com
Cryoglobulinemic Vasculitis Reviewed RheumNow What Is Cryoglobulinemia Cryoglobulinemia is a type of vasculitis (damage and inflammation of your blood vessels) that occurs when abnormal. Cryoglobulinemia is a pathologic condition characterized by the precipitation of circulating immunoglobulins from human serum. Cryoglobulinemia is a condition where abnormal proteins in the blood thicken in cold temperatures and cause inflammation and. The blockages can, in turn, cause tissue, joint, nerve, and. What Is Cryoglobulinemia.
From www.icliniq.com
What Is Cryoglobulinemia? What Is Cryoglobulinemia The blockages can, in turn, cause tissue, joint, nerve, and organ. Cryoglobulinemia is a pathologic condition characterized by the precipitation of circulating immunoglobulins from human serum. Cryoglobulinaemia refers to the presence of cryoglobulins in the serum. Cryoglobulinemia is a condition where abnormal proteins in the blood thicken in cold temperatures and cause inflammation and. Cryoglobulinemia is a rare medical condition. What Is Cryoglobulinemia.
From clinmedjournals.org
A Case of Cryoglobulinemia after Successful Hepatitis C Virus Treatment What Is Cryoglobulinemia The blockages can, in turn, cause tissue, joint, nerve, and organ. Cryoglobulinemia is a type of vasculitis (damage and inflammation of your blood vessels) that occurs when abnormal. Cryoglobulinaemia refers to the presence of cryoglobulins in the serum. Cryoglobulinemia is a pathologic condition characterized by the precipitation of circulating immunoglobulins from human serum. Cryoglobulinemia is a rare medical condition characterized. What Is Cryoglobulinemia.
From www.dermatologyadvisor.com
Cryoglobulinemia (Coldrelated gelling, Cold related agglutination What Is Cryoglobulinemia Cryoglobulinemia is a type of vasculitis (damage and inflammation of your blood vessels) that occurs when abnormal. Cryoglobulinemia is a rare medical condition characterized by the presence of abnormal proteins called cryoglobulins in the. Cryoglobulinemia is a pathologic condition characterized by the precipitation of circulating immunoglobulins from human serum. Cryoglobulinaemia refers to the presence of cryoglobulins in the serum. Cryoglobulinemia. What Is Cryoglobulinemia.
From healthjade.com
Cryoglobulinemia Causes, Types, Symptoms, Diagnosis & Treatment What Is Cryoglobulinemia Cryoglobulinaemia refers to the presence of cryoglobulins in the serum. The blockages can, in turn, cause tissue, joint, nerve, and organ. Cryoglobulinemia is a pathologic condition characterized by the precipitation of circulating immunoglobulins from human serum. Cryoglobulinemia is a rare medical condition characterized by the presence of abnormal proteins called cryoglobulins in the. Cryoglobulinemia causes clumps of abnormal proteins in. What Is Cryoglobulinemia.
From healthjade.com
Cryoglobulinemia Causes, Types, Symptoms, Diagnosis & Treatment What Is Cryoglobulinemia Cryoglobulinemia is a rare medical condition characterized by the presence of abnormal proteins called cryoglobulins in the. Cryoglobulinaemia refers to the presence of cryoglobulins in the serum. Cryoglobulinemia causes clumps of abnormal proteins in the blood stream that can block blood flow. Cryoglobulinemia is a pathologic condition characterized by the precipitation of circulating immunoglobulins from human serum. Cryoglobulinemia is a. What Is Cryoglobulinemia.
From www.pinterest.dk
Clinical spectrum of cryoglobulinemia What Is Cryoglobulinemia Cryoglobulinemia is a rare medical condition characterized by the presence of abnormal proteins called cryoglobulins in the. Cryoglobulinemia causes clumps of abnormal proteins in the blood stream that can block blood flow. Cryoglobulinaemia refers to the presence of cryoglobulins in the serum. Cryoglobulinemia is a type of vasculitis (damage and inflammation of your blood vessels) that occurs when abnormal. Cryoglobulinemia. What Is Cryoglobulinemia.
From www.amjmed.com
Management of Hepatitis C Virusrelated Mixed Cryoglobulinemia The What Is Cryoglobulinemia Cryoglobulinemia causes clumps of abnormal proteins in the blood stream that can block blood flow. The blockages can, in turn, cause tissue, joint, nerve, and organ. Cryoglobulinemia is a type of vasculitis (damage and inflammation of your blood vessels) that occurs when abnormal. Cryoglobulinemia is a rare medical condition characterized by the presence of abnormal proteins called cryoglobulins in the.. What Is Cryoglobulinemia.
From www.youtube.com
Cryoglobulinemia overview (symptoms, causes, diagnosis, treatment What Is Cryoglobulinemia Cryoglobulinemia is a pathologic condition characterized by the precipitation of circulating immunoglobulins from human serum. Cryoglobulinemia causes clumps of abnormal proteins in the blood stream that can block blood flow. Cryoglobulinaemia refers to the presence of cryoglobulins in the serum. Cryoglobulinemia is a type of vasculitis (damage and inflammation of your blood vessels) that occurs when abnormal. The blockages can,. What Is Cryoglobulinemia.
From drdianedike.blogspot.com
Dr. Diane Dike and Friends 501c(3) Nonprofit Cryoglobulinemia Body What Is Cryoglobulinemia Cryoglobulinemia causes clumps of abnormal proteins in the blood stream that can block blood flow. Cryoglobulinemia is a rare medical condition characterized by the presence of abnormal proteins called cryoglobulins in the. The blockages can, in turn, cause tissue, joint, nerve, and organ. Cryoglobulinemia is a pathologic condition characterized by the precipitation of circulating immunoglobulins from human serum. Cryoglobulinemia is. What Is Cryoglobulinemia.
From www.kidney-international.org
Recognizing the true face of noninfectious cryoglobulinemic What Is Cryoglobulinemia Cryoglobulinemia is a rare medical condition characterized by the presence of abnormal proteins called cryoglobulins in the. Cryoglobulinemia is a condition where abnormal proteins in the blood thicken in cold temperatures and cause inflammation and. Cryoglobulinaemia refers to the presence of cryoglobulins in the serum. Cryoglobulinemia causes clumps of abnormal proteins in the blood stream that can block blood flow.. What Is Cryoglobulinemia.
From www.slideserve.com
PPT Hepatitis C Induced Mixed Cryoglobulinemia PowerPoint What Is Cryoglobulinemia Cryoglobulinemia is a condition where abnormal proteins in the blood thicken in cold temperatures and cause inflammation and. Cryoglobulinemia is a pathologic condition characterized by the precipitation of circulating immunoglobulins from human serum. The blockages can, in turn, cause tissue, joint, nerve, and organ. Cryoglobulinemia is a type of vasculitis (damage and inflammation of your blood vessels) that occurs when. What Is Cryoglobulinemia.
From www.pathologyoutlines.com
Pathology Outlines Cryoglobulinemia What Is Cryoglobulinemia Cryoglobulinemia is a type of vasculitis (damage and inflammation of your blood vessels) that occurs when abnormal. The blockages can, in turn, cause tissue, joint, nerve, and organ. Cryoglobulinaemia refers to the presence of cryoglobulins in the serum. Cryoglobulinemia is a condition where abnormal proteins in the blood thicken in cold temperatures and cause inflammation and. Cryoglobulinemia is a pathologic. What Is Cryoglobulinemia.
From www.pinterest.com
Diagnosis of cryoglobulinemia What Is Cryoglobulinemia Cryoglobulinemia is a rare medical condition characterized by the presence of abnormal proteins called cryoglobulins in the. Cryoglobulinemia is a pathologic condition characterized by the precipitation of circulating immunoglobulins from human serum. The blockages can, in turn, cause tissue, joint, nerve, and organ. Cryoglobulinemia causes clumps of abnormal proteins in the blood stream that can block blood flow. Cryoglobulinemia is. What Is Cryoglobulinemia.
From www.youtube.com
Cryoglobulinemia type 1 (pathology USMLE dermpath dermatology) YouTube What Is Cryoglobulinemia Cryoglobulinemia is a condition where abnormal proteins in the blood thicken in cold temperatures and cause inflammation and. Cryoglobulinemia is a rare medical condition characterized by the presence of abnormal proteins called cryoglobulins in the. Cryoglobulinemia causes clumps of abnormal proteins in the blood stream that can block blood flow. Cryoglobulinemia is a pathologic condition characterized by the precipitation of. What Is Cryoglobulinemia.
From www.sciencephoto.com
Cryoglobulinemia, light micrograph Stock Image C037/3101 Science What Is Cryoglobulinemia Cryoglobulinaemia refers to the presence of cryoglobulins in the serum. Cryoglobulinemia causes clumps of abnormal proteins in the blood stream that can block blood flow. The blockages can, in turn, cause tissue, joint, nerve, and organ. Cryoglobulinemia is a type of vasculitis (damage and inflammation of your blood vessels) that occurs when abnormal. Cryoglobulinemia is a rare medical condition characterized. What Is Cryoglobulinemia.
From labpedia.net
Cryoglobulins classfication and diagnosis What Is Cryoglobulinemia Cryoglobulinemia is a condition where abnormal proteins in the blood thicken in cold temperatures and cause inflammation and. Cryoglobulinemia is a type of vasculitis (damage and inflammation of your blood vessels) that occurs when abnormal. The blockages can, in turn, cause tissue, joint, nerve, and organ. Cryoglobulinemia is a pathologic condition characterized by the precipitation of circulating immunoglobulins from human. What Is Cryoglobulinemia.
From www.youtube.com
cryoglobulinemia YouTube What Is Cryoglobulinemia The blockages can, in turn, cause tissue, joint, nerve, and organ. Cryoglobulinemia causes clumps of abnormal proteins in the blood stream that can block blood flow. Cryoglobulinemia is a pathologic condition characterized by the precipitation of circulating immunoglobulins from human serum. Cryoglobulinemia is a type of vasculitis (damage and inflammation of your blood vessels) that occurs when abnormal. Cryoglobulinaemia refers. What Is Cryoglobulinemia.
From www.openmed.co.in
Cryoglobulinemia Types, Meltzer's Triad What Is Cryoglobulinemia Cryoglobulinemia is a rare medical condition characterized by the presence of abnormal proteins called cryoglobulins in the. Cryoglobulinaemia refers to the presence of cryoglobulins in the serum. Cryoglobulinemia is a condition where abnormal proteins in the blood thicken in cold temperatures and cause inflammation and. Cryoglobulinemia causes clumps of abnormal proteins in the blood stream that can block blood flow.. What Is Cryoglobulinemia.
From www.arkanalabs.com
Type I Cryoglobulinemia Pushing Glass Arkana Laboratories What Is Cryoglobulinemia Cryoglobulinemia causes clumps of abnormal proteins in the blood stream that can block blood flow. The blockages can, in turn, cause tissue, joint, nerve, and organ. Cryoglobulinaemia refers to the presence of cryoglobulins in the serum. Cryoglobulinemia is a pathologic condition characterized by the precipitation of circulating immunoglobulins from human serum. Cryoglobulinemia is a condition where abnormal proteins in the. What Is Cryoglobulinemia.
From www.pathologyoutlines.com
Pathology Outlines Cryoglobulinemia What Is Cryoglobulinemia Cryoglobulinemia is a pathologic condition characterized by the precipitation of circulating immunoglobulins from human serum. Cryoglobulinemia is a rare medical condition characterized by the presence of abnormal proteins called cryoglobulins in the. Cryoglobulinaemia refers to the presence of cryoglobulins in the serum. Cryoglobulinemia causes clumps of abnormal proteins in the blood stream that can block blood flow. The blockages can,. What Is Cryoglobulinemia.
From www.msdmanuals.com
Image Cryoglobulinemia MSD Manual Professional Edition What Is Cryoglobulinemia Cryoglobulinemia is a type of vasculitis (damage and inflammation of your blood vessels) that occurs when abnormal. Cryoglobulinaemia refers to the presence of cryoglobulins in the serum. Cryoglobulinemia causes clumps of abnormal proteins in the blood stream that can block blood flow. Cryoglobulinemia is a pathologic condition characterized by the precipitation of circulating immunoglobulins from human serum. Cryoglobulinemia is a. What Is Cryoglobulinemia.
From www.dovemed.com
Cryoglobulinemia What Is Cryoglobulinemia Cryoglobulinemia is a pathologic condition characterized by the precipitation of circulating immunoglobulins from human serum. Cryoglobulinemia is a type of vasculitis (damage and inflammation of your blood vessels) that occurs when abnormal. Cryoglobulinemia is a condition where abnormal proteins in the blood thicken in cold temperatures and cause inflammation and. Cryoglobulinemia is a rare medical condition characterized by the presence. What Is Cryoglobulinemia.
From www.semanticscholar.org
Figure 2 from Cryoglobulinemia Vasculitis. Semantic Scholar What Is Cryoglobulinemia Cryoglobulinemia is a pathologic condition characterized by the precipitation of circulating immunoglobulins from human serum. The blockages can, in turn, cause tissue, joint, nerve, and organ. Cryoglobulinemia is a rare medical condition characterized by the presence of abnormal proteins called cryoglobulins in the. Cryoglobulinemia causes clumps of abnormal proteins in the blood stream that can block blood flow. Cryoglobulinemia is. What Is Cryoglobulinemia.
From www.blood-academy.com
Cryoglobulinaemia Blood Academy What Is Cryoglobulinemia The blockages can, in turn, cause tissue, joint, nerve, and organ. Cryoglobulinemia is a type of vasculitis (damage and inflammation of your blood vessels) that occurs when abnormal. Cryoglobulinemia causes clumps of abnormal proteins in the blood stream that can block blood flow. Cryoglobulinemia is a rare medical condition characterized by the presence of abnormal proteins called cryoglobulins in the.. What Is Cryoglobulinemia.
From www.pathologyoutlines.com
Pathology Outlines Cryoglobulinemia What Is Cryoglobulinemia Cryoglobulinemia is a pathologic condition characterized by the precipitation of circulating immunoglobulins from human serum. Cryoglobulinemia is a type of vasculitis (damage and inflammation of your blood vessels) that occurs when abnormal. Cryoglobulinemia is a condition where abnormal proteins in the blood thicken in cold temperatures and cause inflammation and. The blockages can, in turn, cause tissue, joint, nerve, and. What Is Cryoglobulinemia.