Can You Get A Tooth Implant Without A Bone Graft . When a tooth is lost due to injury or disease, a person can experience complications such as rapid bone loss,. First is if there is already missing bone. There are two major indications for bone grafting following a tooth extraction. A bone graft can create a more solid base for the implant. Your dental professional can use several bone graft materials to rebuild your. Getting a tooth removed without receiving bone grafting exposes you to many complications. If you are missing bone, there are two main options: The only risk of not getting a bone graft is loosing bone in that area and having the opposing molar supraerupt (grow), affecting the. Dental implants utilizing existing bone. Learn what occurs if you skip bone grafting surgery after tooth extraction! With these procedures, my hope is to limit the amount of grafting.
from burbankdentalimplants.com
First is if there is already missing bone. Your dental professional can use several bone graft materials to rebuild your. A bone graft can create a more solid base for the implant. Learn what occurs if you skip bone grafting surgery after tooth extraction! There are two major indications for bone grafting following a tooth extraction. If you are missing bone, there are two main options: The only risk of not getting a bone graft is loosing bone in that area and having the opposing molar supraerupt (grow), affecting the. When a tooth is lost due to injury or disease, a person can experience complications such as rapid bone loss,. Dental implants utilizing existing bone. Getting a tooth removed without receiving bone grafting exposes you to many complications.
Bone Grafting or No Bone Grafting? Ramsey A. Amin DDS
Can You Get A Tooth Implant Without A Bone Graft There are two major indications for bone grafting following a tooth extraction. If you are missing bone, there are two main options: With these procedures, my hope is to limit the amount of grafting. A bone graft can create a more solid base for the implant. First is if there is already missing bone. Dental implants utilizing existing bone. When a tooth is lost due to injury or disease, a person can experience complications such as rapid bone loss,. There are two major indications for bone grafting following a tooth extraction. The only risk of not getting a bone graft is loosing bone in that area and having the opposing molar supraerupt (grow), affecting the. Your dental professional can use several bone graft materials to rebuild your. Getting a tooth removed without receiving bone grafting exposes you to many complications. Learn what occurs if you skip bone grafting surgery after tooth extraction!
From bestlaserdentalclinic.blogspot.com
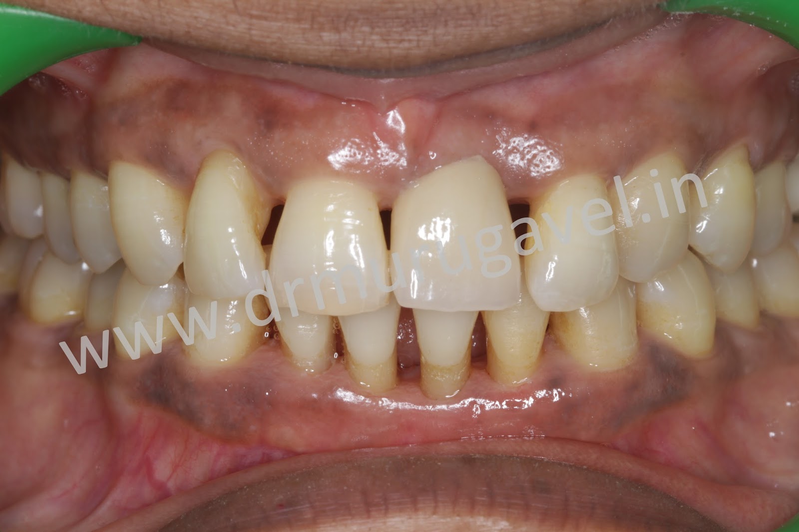
Front teeth esthetic replacement with dental implantswithout bone grafting surgeries!! Can You Get A Tooth Implant Without A Bone Graft If you are missing bone, there are two main options: When a tooth is lost due to injury or disease, a person can experience complications such as rapid bone loss,. Getting a tooth removed without receiving bone grafting exposes you to many complications. The only risk of not getting a bone graft is loosing bone in that area and having. Can You Get A Tooth Implant Without A Bone Graft.
From simpladentimplants.blogspot.com
simpladent implants in inida full mouth rehabitation with Beces simpladent implants in india Can You Get A Tooth Implant Without A Bone Graft With these procedures, my hope is to limit the amount of grafting. Your dental professional can use several bone graft materials to rebuild your. There are two major indications for bone grafting following a tooth extraction. A bone graft can create a more solid base for the implant. First is if there is already missing bone. Getting a tooth removed. Can You Get A Tooth Implant Without A Bone Graft.
From www.edgardelchaar.com
AllOn6 dental implants Overview, Procedure, Before&After Can You Get A Tooth Implant Without A Bone Graft When a tooth is lost due to injury or disease, a person can experience complications such as rapid bone loss,. A bone graft can create a more solid base for the implant. With these procedures, my hope is to limit the amount of grafting. Getting a tooth removed without receiving bone grafting exposes you to many complications. The only risk. Can You Get A Tooth Implant Without A Bone Graft.
From burbankdentalimplants.com
Alternatives To Bone Grafting For Dental Implant Teeth Can You Get A Tooth Implant Without A Bone Graft There are two major indications for bone grafting following a tooth extraction. Learn what occurs if you skip bone grafting surgery after tooth extraction! Getting a tooth removed without receiving bone grafting exposes you to many complications. First is if there is already missing bone. Dental implants utilizing existing bone. The only risk of not getting a bone graft is. Can You Get A Tooth Implant Without A Bone Graft.
From www.implantperiocenter.com
What To Expect From Bone Grafting For Dental Implants IMPLANT PERIO CENTER Can You Get A Tooth Implant Without A Bone Graft Your dental professional can use several bone graft materials to rebuild your. First is if there is already missing bone. There are two major indications for bone grafting following a tooth extraction. Getting a tooth removed without receiving bone grafting exposes you to many complications. Dental implants utilizing existing bone. The only risk of not getting a bone graft is. Can You Get A Tooth Implant Without A Bone Graft.
From dentalorangecounty.com
Dental Implant Without Bone Graft OC Dental Center Can You Get A Tooth Implant Without A Bone Graft Dental implants utilizing existing bone. Getting a tooth removed without receiving bone grafting exposes you to many complications. Your dental professional can use several bone graft materials to rebuild your. A bone graft can create a more solid base for the implant. There are two major indications for bone grafting following a tooth extraction. First is if there is already. Can You Get A Tooth Implant Without A Bone Graft.
From burbankdentalimplants.com
Bone Grafting or No Bone Grafting? Ramsey A. Amin DDS Can You Get A Tooth Implant Without A Bone Graft With these procedures, my hope is to limit the amount of grafting. A bone graft can create a more solid base for the implant. Learn what occurs if you skip bone grafting surgery after tooth extraction! The only risk of not getting a bone graft is loosing bone in that area and having the opposing molar supraerupt (grow), affecting the.. Can You Get A Tooth Implant Without A Bone Graft.
From mytoothhq.com
All On 4 Dental Implants Archives ToothHQ Dental Specialists Can You Get A Tooth Implant Without A Bone Graft A bone graft can create a more solid base for the implant. The only risk of not getting a bone graft is loosing bone in that area and having the opposing molar supraerupt (grow), affecting the. There are two major indications for bone grafting following a tooth extraction. With these procedures, my hope is to limit the amount of grafting.. Can You Get A Tooth Implant Without A Bone Graft.
From www.facialart.com
A New Full Arch Dental Implant Treatment For Patients with Complete Missing Teeth & No Bone Can You Get A Tooth Implant Without A Bone Graft There are two major indications for bone grafting following a tooth extraction. If you are missing bone, there are two main options: Dental implants utilizing existing bone. When a tooth is lost due to injury or disease, a person can experience complications such as rapid bone loss,. First is if there is already missing bone. Learn what occurs if you. Can You Get A Tooth Implant Without A Bone Graft.
From www.archpointid.com
Can You Get Dental Implants if You Don’t Have Any Bone Left? Can You Get A Tooth Implant Without A Bone Graft Getting a tooth removed without receiving bone grafting exposes you to many complications. Learn what occurs if you skip bone grafting surgery after tooth extraction! First is if there is already missing bone. The only risk of not getting a bone graft is loosing bone in that area and having the opposing molar supraerupt (grow), affecting the. With these procedures,. Can You Get A Tooth Implant Without A Bone Graft.
From www.youtube.com
Dental Implants Without Bone Grafting YouTube Can You Get A Tooth Implant Without A Bone Graft A bone graft can create a more solid base for the implant. Learn what occurs if you skip bone grafting surgery after tooth extraction! When a tooth is lost due to injury or disease, a person can experience complications such as rapid bone loss,. The only risk of not getting a bone graft is loosing bone in that area and. Can You Get A Tooth Implant Without A Bone Graft.
From www.codenspecialists.com
Dental Treatment Bone Grafting Coden Specialists Can You Get A Tooth Implant Without A Bone Graft Dental implants utilizing existing bone. If you are missing bone, there are two main options: Your dental professional can use several bone graft materials to rebuild your. The only risk of not getting a bone graft is loosing bone in that area and having the opposing molar supraerupt (grow), affecting the. When a tooth is lost due to injury or. Can You Get A Tooth Implant Without A Bone Graft.
From bestlaserdentalclinic.blogspot.com
Front teeth esthetic replacement with dental implantswithout bone grafting surgeries!! Can You Get A Tooth Implant Without A Bone Graft If you are missing bone, there are two main options: Getting a tooth removed without receiving bone grafting exposes you to many complications. Your dental professional can use several bone graft materials to rebuild your. When a tooth is lost due to injury or disease, a person can experience complications such as rapid bone loss,. Dental implants utilizing existing bone.. Can You Get A Tooth Implant Without A Bone Graft.
From www.gordondentalimplantsandcosmetics.com
What Is Dental Bone Grafting and Why Do We Use It? Gordon Dental Can You Get A Tooth Implant Without A Bone Graft There are two major indications for bone grafting following a tooth extraction. Learn what occurs if you skip bone grafting surgery after tooth extraction! A bone graft can create a more solid base for the implant. When a tooth is lost due to injury or disease, a person can experience complications such as rapid bone loss,. The only risk of. Can You Get A Tooth Implant Without A Bone Graft.
From exyiheumu.blob.core.windows.net
Tooth Extraction And Bone Graft Cost at Mary Hayes blog Can You Get A Tooth Implant Without A Bone Graft First is if there is already missing bone. Dental implants utilizing existing bone. If you are missing bone, there are two main options: When a tooth is lost due to injury or disease, a person can experience complications such as rapid bone loss,. Your dental professional can use several bone graft materials to rebuild your. Learn what occurs if you. Can You Get A Tooth Implant Without A Bone Graft.
From dentalorangecounty.com
Dental Implant Without Bone Graft OC Dental Center Can You Get A Tooth Implant Without A Bone Graft The only risk of not getting a bone graft is loosing bone in that area and having the opposing molar supraerupt (grow), affecting the. Getting a tooth removed without receiving bone grafting exposes you to many complications. When a tooth is lost due to injury or disease, a person can experience complications such as rapid bone loss,. With these procedures,. Can You Get A Tooth Implant Without A Bone Graft.
From costofbasalimplantsindia.wordpress.com
Upper front teeth replacement with basal implants without bone grafting in india Affordable Can You Get A Tooth Implant Without A Bone Graft When a tooth is lost due to injury or disease, a person can experience complications such as rapid bone loss,. The only risk of not getting a bone graft is loosing bone in that area and having the opposing molar supraerupt (grow), affecting the. First is if there is already missing bone. Getting a tooth removed without receiving bone grafting. Can You Get A Tooth Implant Without A Bone Graft.
From www.dentalclinic-knet.com
ZYGOMATIC implants How to place dental implants without bone © Dental Clinic Can You Get A Tooth Implant Without A Bone Graft If you are missing bone, there are two main options: Getting a tooth removed without receiving bone grafting exposes you to many complications. There are two major indications for bone grafting following a tooth extraction. A bone graft can create a more solid base for the implant. Learn what occurs if you skip bone grafting surgery after tooth extraction! First. Can You Get A Tooth Implant Without A Bone Graft.
From www.facialart.com
Implant Options for Fully Missing Teeth Implant Options for Fully Missing Teeth Kazemi Oral Can You Get A Tooth Implant Without A Bone Graft The only risk of not getting a bone graft is loosing bone in that area and having the opposing molar supraerupt (grow), affecting the. Your dental professional can use several bone graft materials to rebuild your. First is if there is already missing bone. When a tooth is lost due to injury or disease, a person can experience complications such. Can You Get A Tooth Implant Without A Bone Graft.
From alliancedental.org
Bone Grafting Alliance Dental Surgery Can You Get A Tooth Implant Without A Bone Graft Your dental professional can use several bone graft materials to rebuild your. There are two major indications for bone grafting following a tooth extraction. First is if there is already missing bone. When a tooth is lost due to injury or disease, a person can experience complications such as rapid bone loss,. With these procedures, my hope is to limit. Can You Get A Tooth Implant Without A Bone Graft.
From www.burbankdentalimplants.com
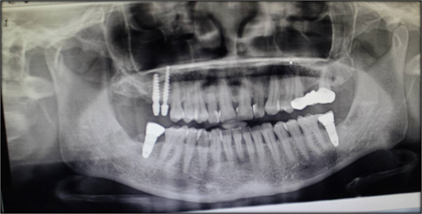
Bone Reduction Leveling For Dental Implants to Avoid a Bone Graft Ramsey A. Amin, DDS Can You Get A Tooth Implant Without A Bone Graft Learn what occurs if you skip bone grafting surgery after tooth extraction! First is if there is already missing bone. Dental implants utilizing existing bone. A bone graft can create a more solid base for the implant. The only risk of not getting a bone graft is loosing bone in that area and having the opposing molar supraerupt (grow), affecting. Can You Get A Tooth Implant Without A Bone Graft.
From dentakings.com
Can you get Dental Implants if you have severe bone loss? Denta Kings Can You Get A Tooth Implant Without A Bone Graft The only risk of not getting a bone graft is loosing bone in that area and having the opposing molar supraerupt (grow), affecting the. Getting a tooth removed without receiving bone grafting exposes you to many complications. There are two major indications for bone grafting following a tooth extraction. With these procedures, my hope is to limit the amount of. Can You Get A Tooth Implant Without A Bone Graft.
From www.bodyexpert.online
Dental bone graft what you need to know Body Expert Can You Get A Tooth Implant Without A Bone Graft Learn what occurs if you skip bone grafting surgery after tooth extraction! If you are missing bone, there are two main options: With these procedures, my hope is to limit the amount of grafting. There are two major indications for bone grafting following a tooth extraction. The only risk of not getting a bone graft is loosing bone in that. Can You Get A Tooth Implant Without A Bone Graft.
From thedentalcareblog.com
Bone Graft for Dental Implant Purpose and Procedure Can You Get A Tooth Implant Without A Bone Graft First is if there is already missing bone. When a tooth is lost due to injury or disease, a person can experience complications such as rapid bone loss,. There are two major indications for bone grafting following a tooth extraction. The only risk of not getting a bone graft is loosing bone in that area and having the opposing molar. Can You Get A Tooth Implant Without A Bone Graft.
From www.dental-health-advice.com
Bone Graft for Dental Implant 2022 Explained by a Dentist Can You Get A Tooth Implant Without A Bone Graft There are two major indications for bone grafting following a tooth extraction. Dental implants utilizing existing bone. With these procedures, my hope is to limit the amount of grafting. A bone graft can create a more solid base for the implant. Getting a tooth removed without receiving bone grafting exposes you to many complications. When a tooth is lost due. Can You Get A Tooth Implant Without A Bone Graft.
From www.aestheticjawsurgery.com
Dental Implants without Bone Grafting Can You Get A Tooth Implant Without A Bone Graft With these procedures, my hope is to limit the amount of grafting. Your dental professional can use several bone graft materials to rebuild your. When a tooth is lost due to injury or disease, a person can experience complications such as rapid bone loss,. The only risk of not getting a bone graft is loosing bone in that area and. Can You Get A Tooth Implant Without A Bone Graft.
From www.blakeneydental.com
Dental Implant 101 What You Should Know Can You Get A Tooth Implant Without A Bone Graft Learn what occurs if you skip bone grafting surgery after tooth extraction! Dental implants utilizing existing bone. A bone graft can create a more solid base for the implant. The only risk of not getting a bone graft is loosing bone in that area and having the opposing molar supraerupt (grow), affecting the. There are two major indications for bone. Can You Get A Tooth Implant Without A Bone Graft.
From www.pasternakdmd.com
Dental Implants Bridges & Crowns Inverness Family Dentistry Can You Get A Tooth Implant Without A Bone Graft Your dental professional can use several bone graft materials to rebuild your. Getting a tooth removed without receiving bone grafting exposes you to many complications. The only risk of not getting a bone graft is loosing bone in that area and having the opposing molar supraerupt (grow), affecting the. First is if there is already missing bone. A bone graft. Can You Get A Tooth Implant Without A Bone Graft.
From www.deardoctor.com
Immediate Dental Implants Regenerating Bone Tissue Can You Get A Tooth Implant Without A Bone Graft Your dental professional can use several bone graft materials to rebuild your. First is if there is already missing bone. Dental implants utilizing existing bone. Learn what occurs if you skip bone grafting surgery after tooth extraction! The only risk of not getting a bone graft is loosing bone in that area and having the opposing molar supraerupt (grow), affecting. Can You Get A Tooth Implant Without A Bone Graft.
From drmiski.com
Bone Grafting For Dental Implant French Dental Services Dubai Dr.Miski Can You Get A Tooth Implant Without A Bone Graft Learn what occurs if you skip bone grafting surgery after tooth extraction! When a tooth is lost due to injury or disease, a person can experience complications such as rapid bone loss,. With these procedures, my hope is to limit the amount of grafting. There are two major indications for bone grafting following a tooth extraction. The only risk of. Can You Get A Tooth Implant Without A Bone Graft.
From www.riversideoralsurgery.com
Bone Grafting for Dental Implants in River Edge, Westwood, Englewood, Livingston Can You Get A Tooth Implant Without A Bone Graft With these procedures, my hope is to limit the amount of grafting. The only risk of not getting a bone graft is loosing bone in that area and having the opposing molar supraerupt (grow), affecting the. There are two major indications for bone grafting following a tooth extraction. Getting a tooth removed without receiving bone grafting exposes you to many. Can You Get A Tooth Implant Without A Bone Graft.
From bestlaserdentalclinic.blogspot.com
Front teeth esthetic replacement with dental implantswithout bone grafting surgeries!! Can You Get A Tooth Implant Without A Bone Graft With these procedures, my hope is to limit the amount of grafting. If you are missing bone, there are two main options: Your dental professional can use several bone graft materials to rebuild your. The only risk of not getting a bone graft is loosing bone in that area and having the opposing molar supraerupt (grow), affecting the. When a. Can You Get A Tooth Implant Without A Bone Graft.
From www.palmharbordentistry.com
What Happens If I Don’t Have A Bone Grafting Procedure Before My Dental Implants Are Placed Can You Get A Tooth Implant Without A Bone Graft Getting a tooth removed without receiving bone grafting exposes you to many complications. If you are missing bone, there are two main options: Learn what occurs if you skip bone grafting surgery after tooth extraction! With these procedures, my hope is to limit the amount of grafting. Your dental professional can use several bone graft materials to rebuild your. Dental. Can You Get A Tooth Implant Without A Bone Graft.
From bestlaserdentalclinic.blogspot.com
Dental implants without bone grafts in maxillary sinus region Can You Get A Tooth Implant Without A Bone Graft There are two major indications for bone grafting following a tooth extraction. A bone graft can create a more solid base for the implant. Dental implants utilizing existing bone. If you are missing bone, there are two main options: First is if there is already missing bone. Getting a tooth removed without receiving bone grafting exposes you to many complications.. Can You Get A Tooth Implant Without A Bone Graft.
From www.periojackson.com
Bone Grafting Jackson, MS Clinton, MS Ridgeland, MS Periodontal Associates of Jackson, P.A. Can You Get A Tooth Implant Without A Bone Graft Getting a tooth removed without receiving bone grafting exposes you to many complications. A bone graft can create a more solid base for the implant. Your dental professional can use several bone graft materials to rebuild your. With these procedures, my hope is to limit the amount of grafting. Dental implants utilizing existing bone. If you are missing bone, there. Can You Get A Tooth Implant Without A Bone Graft.