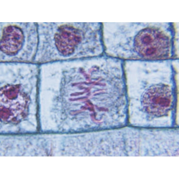
Onion Cell Metaphase . At metaphase the chromosomes have come to rest along the center plane of the cell. See images of cells in interphase,. during prophase the nuclear envelope starts to break down and all the chromosomes start to coil up in the center of the cell. Determining time spent in different phases of the cell cycle. learn about the stages of mitosis in onion root tips with this interactive microscope slide. learn how onion root tip cells undergo mitosis, the process of cell division, with diagrams and descriptions of each phase. Growth in an organism is carefully controlled by regulating. online onion root tips. learn about the stages of cell division in plants and animals with images of onion root cells. See how chromatin condenses into chromosomes, nucleoli disappear, and cell walls form during interphase, mitosis, and cytokinesis. learn how to identify the different phases of mitosis in plant cells using pictures of onion root tip cells.
from slideplayer.com
learn about the stages of mitosis in onion root tips with this interactive microscope slide. online onion root tips. At metaphase the chromosomes have come to rest along the center plane of the cell. See how chromatin condenses into chromosomes, nucleoli disappear, and cell walls form during interphase, mitosis, and cytokinesis. learn about the stages of cell division in plants and animals with images of onion root cells. See images of cells in interphase,. during prophase the nuclear envelope starts to break down and all the chromosomes start to coil up in the center of the cell. learn how to identify the different phases of mitosis in plant cells using pictures of onion root tip cells. learn how onion root tip cells undergo mitosis, the process of cell division, with diagrams and descriptions of each phase. Determining time spent in different phases of the cell cycle.
Cell Cycle in Onion Root Tips ppt download
Onion Cell Metaphase online onion root tips. during prophase the nuclear envelope starts to break down and all the chromosomes start to coil up in the center of the cell. learn how to identify the different phases of mitosis in plant cells using pictures of onion root tip cells. online onion root tips. At metaphase the chromosomes have come to rest along the center plane of the cell. See images of cells in interphase,. learn about the stages of cell division in plants and animals with images of onion root cells. learn how onion root tip cells undergo mitosis, the process of cell division, with diagrams and descriptions of each phase. learn about the stages of mitosis in onion root tips with this interactive microscope slide. Growth in an organism is carefully controlled by regulating. Determining time spent in different phases of the cell cycle. See how chromatin condenses into chromosomes, nucleoli disappear, and cell walls form during interphase, mitosis, and cytokinesis.
From ar.inspiredpencil.com
Onion Cell Metaphase Onion Cell Metaphase learn about the stages of mitosis in onion root tips with this interactive microscope slide. Determining time spent in different phases of the cell cycle. See how chromatin condenses into chromosomes, nucleoli disappear, and cell walls form during interphase, mitosis, and cytokinesis. Growth in an organism is carefully controlled by regulating. during prophase the nuclear envelope starts to. Onion Cell Metaphase.
From slideplayer.com
The Cell Cycle, and Cell Division ppt download Onion Cell Metaphase learn how onion root tip cells undergo mitosis, the process of cell division, with diagrams and descriptions of each phase. learn about the stages of mitosis in onion root tips with this interactive microscope slide. See images of cells in interphase,. learn how to identify the different phases of mitosis in plant cells using pictures of onion. Onion Cell Metaphase.
From www.youtube.com
QUICK GUIDE TO ONION ROOT TIP CELL DIVISION STAGES (PROPHASE, METAPHASE Onion Cell Metaphase online onion root tips. Determining time spent in different phases of the cell cycle. learn how onion root tip cells undergo mitosis, the process of cell division, with diagrams and descriptions of each phase. See images of cells in interphase,. learn about the stages of cell division in plants and animals with images of onion root cells.. Onion Cell Metaphase.
From cartoondealer.com
Metaphase Of An Onion Root Tip Cell Under The Microscope RoyaltyFree Onion Cell Metaphase during prophase the nuclear envelope starts to break down and all the chromosomes start to coil up in the center of the cell. online onion root tips. At metaphase the chromosomes have come to rest along the center plane of the cell. See how chromatin condenses into chromosomes, nucleoli disappear, and cell walls form during interphase, mitosis, and. Onion Cell Metaphase.
From www.numerade.com
Drag and drop the appropriate phases of cell division to the answer box Onion Cell Metaphase See images of cells in interphase,. See how chromatin condenses into chromosomes, nucleoli disappear, and cell walls form during interphase, mitosis, and cytokinesis. learn about the stages of cell division in plants and animals with images of onion root cells. during prophase the nuclear envelope starts to break down and all the chromosomes start to coil up in. Onion Cell Metaphase.
From mungfali.com
Animal Cell Mitosis Microscope Onion Cell Metaphase See how chromatin condenses into chromosomes, nucleoli disappear, and cell walls form during interphase, mitosis, and cytokinesis. See images of cells in interphase,. Determining time spent in different phases of the cell cycle. learn about the stages of mitosis in onion root tips with this interactive microscope slide. learn how to identify the different phases of mitosis in. Onion Cell Metaphase.
From juventudugtleon.blogspot.com
Onion Root Cell Mitosis Labeled Juventu dugtleon Onion Cell Metaphase learn about the stages of mitosis in onion root tips with this interactive microscope slide. At metaphase the chromosomes have come to rest along the center plane of the cell. learn how onion root tip cells undergo mitosis, the process of cell division, with diagrams and descriptions of each phase. See images of cells in interphase,. Growth in. Onion Cell Metaphase.
From www.pinterest.com
onion cell. metaphase Science, Cell Onion Cell Metaphase learn about the stages of mitosis in onion root tips with this interactive microscope slide. online onion root tips. learn how onion root tip cells undergo mitosis, the process of cell division, with diagrams and descriptions of each phase. See images of cells in interphase,. See how chromatin condenses into chromosomes, nucleoli disappear, and cell walls form. Onion Cell Metaphase.
From www.studyblue.com
Cell Division at Virginia Commonwealth University StudyBlue Onion Cell Metaphase At metaphase the chromosomes have come to rest along the center plane of the cell. learn how to identify the different phases of mitosis in plant cells using pictures of onion root tip cells. See images of cells in interphase,. learn how onion root tip cells undergo mitosis, the process of cell division, with diagrams and descriptions of. Onion Cell Metaphase.
From stock.adobe.com
Cells of an onion root tip undergo mitosis. Anaphases and metaphases Onion Cell Metaphase At metaphase the chromosomes have come to rest along the center plane of the cell. learn about the stages of mitosis in onion root tips with this interactive microscope slide. See how chromatin condenses into chromosomes, nucleoli disappear, and cell walls form during interphase, mitosis, and cytokinesis. learn how to identify the different phases of mitosis in plant. Onion Cell Metaphase.
From tuvalabs.com
Mitosis Phases in Onion Root Tip Cells Tuva Onion Cell Metaphase during prophase the nuclear envelope starts to break down and all the chromosomes start to coil up in the center of the cell. See images of cells in interphase,. See how chromatin condenses into chromosomes, nucleoli disappear, and cell walls form during interphase, mitosis, and cytokinesis. At metaphase the chromosomes have come to rest along the center plane of. Onion Cell Metaphase.
From mavink.com
Phases Of Mitosis Onion Root Tip Cell Onion Cell Metaphase learn about the stages of mitosis in onion root tips with this interactive microscope slide. during prophase the nuclear envelope starts to break down and all the chromosomes start to coil up in the center of the cell. At metaphase the chromosomes have come to rest along the center plane of the cell. See how chromatin condenses into. Onion Cell Metaphase.
From www.researchgate.net
Stages of onion mitotic cell division; A interphase; B prophase; C Onion Cell Metaphase during prophase the nuclear envelope starts to break down and all the chromosomes start to coil up in the center of the cell. At metaphase the chromosomes have come to rest along the center plane of the cell. Growth in an organism is carefully controlled by regulating. See images of cells in interphase,. learn how onion root tip. Onion Cell Metaphase.
From www.alamy.com
Metaphase hires stock photography and images Alamy Onion Cell Metaphase learn about the stages of cell division in plants and animals with images of onion root cells. during prophase the nuclear envelope starts to break down and all the chromosomes start to coil up in the center of the cell. Determining time spent in different phases of the cell cycle. online onion root tips. Growth in an. Onion Cell Metaphase.
From search.library.wisc.edu
of all stages of mitosis in onion root tip labeled UWDC Onion Cell Metaphase learn how to identify the different phases of mitosis in plant cells using pictures of onion root tip cells. See images of cells in interphase,. Determining time spent in different phases of the cell cycle. learn about the stages of mitosis in onion root tips with this interactive microscope slide. online onion root tips. during prophase. Onion Cell Metaphase.
From www.biologyonline.com
Metaphase Definition and Examples Biology Online Dictionary Onion Cell Metaphase See images of cells in interphase,. during prophase the nuclear envelope starts to break down and all the chromosomes start to coil up in the center of the cell. online onion root tips. learn about the stages of mitosis in onion root tips with this interactive microscope slide. learn how onion root tip cells undergo mitosis,. Onion Cell Metaphase.
From www.walmart.com
Metaphase Stage of Onion Mitosis (Allium) Print Wall Art Onion Cell Metaphase learn how onion root tip cells undergo mitosis, the process of cell division, with diagrams and descriptions of each phase. See how chromatin condenses into chromosomes, nucleoli disappear, and cell walls form during interphase, mitosis, and cytokinesis. Growth in an organism is carefully controlled by regulating. learn about the stages of cell division in plants and animals with. Onion Cell Metaphase.
From www.alamy.com
Mitosis Metaphase Stock Photos & Mitosis Metaphase Stock Images Alamy Onion Cell Metaphase Growth in an organism is carefully controlled by regulating. learn about the stages of cell division in plants and animals with images of onion root cells. learn how onion root tip cells undergo mitosis, the process of cell division, with diagrams and descriptions of each phase. learn about the stages of mitosis in onion root tips with. Onion Cell Metaphase.
From www.sciencephoto.com
Onion Root Tip, Cell Mitosis Stock Image C001/6540 Science Photo Onion Cell Metaphase learn how onion root tip cells undergo mitosis, the process of cell division, with diagrams and descriptions of each phase. learn about the stages of mitosis in onion root tips with this interactive microscope slide. learn how to identify the different phases of mitosis in plant cells using pictures of onion root tip cells. Growth in an. Onion Cell Metaphase.
From www.alamy.com
Mitosis In The Onion Root Tip Stock Photos & Mitosis In The Onion Root Onion Cell Metaphase learn how onion root tip cells undergo mitosis, the process of cell division, with diagrams and descriptions of each phase. learn about the stages of cell division in plants and animals with images of onion root cells. See images of cells in interphase,. See how chromatin condenses into chromosomes, nucleoli disappear, and cell walls form during interphase, mitosis,. Onion Cell Metaphase.
From cartoondealer.com
Metaphase Of An Onion Root Tip Cell Under The Microscope RoyaltyFree Onion Cell Metaphase learn about the stages of mitosis in onion root tips with this interactive microscope slide. See how chromatin condenses into chromosomes, nucleoli disappear, and cell walls form during interphase, mitosis, and cytokinesis. learn how onion root tip cells undergo mitosis, the process of cell division, with diagrams and descriptions of each phase. online onion root tips. Determining. Onion Cell Metaphase.
From cartoondealer.com
Metaphase Of An Onion Root Tip Cell Under The Microscope RoyaltyFree Onion Cell Metaphase At metaphase the chromosomes have come to rest along the center plane of the cell. See images of cells in interphase,. learn about the stages of cell division in plants and animals with images of onion root cells. during prophase the nuclear envelope starts to break down and all the chromosomes start to coil up in the center. Onion Cell Metaphase.
From cartoondealer.com
Metaphase Of An Onion Root Tip Cell Under The Microscope RoyaltyFree Onion Cell Metaphase At metaphase the chromosomes have come to rest along the center plane of the cell. learn how to identify the different phases of mitosis in plant cells using pictures of onion root tip cells. Growth in an organism is carefully controlled by regulating. See how chromatin condenses into chromosomes, nucleoli disappear, and cell walls form during interphase, mitosis, and. Onion Cell Metaphase.
From www.sciencephoto.com
Metaphase in onion root tip cell, light micrograph Stock Image C055 Onion Cell Metaphase Determining time spent in different phases of the cell cycle. See images of cells in interphase,. online onion root tips. during prophase the nuclear envelope starts to break down and all the chromosomes start to coil up in the center of the cell. learn how onion root tip cells undergo mitosis, the process of cell division, with. Onion Cell Metaphase.
From www.shutterstock.com
Mitosis In Onion Cells Of The Root Meristem. In The Central Rowof Cells Onion Cell Metaphase learn how to identify the different phases of mitosis in plant cells using pictures of onion root tip cells. learn how onion root tip cells undergo mitosis, the process of cell division, with diagrams and descriptions of each phase. online onion root tips. See how chromatin condenses into chromosomes, nucleoli disappear, and cell walls form during interphase,. Onion Cell Metaphase.
From www.numerade.com
SOLVED Key characteristics for identifying prophase Observe cell Onion Cell Metaphase online onion root tips. learn how onion root tip cells undergo mitosis, the process of cell division, with diagrams and descriptions of each phase. Growth in an organism is carefully controlled by regulating. learn how to identify the different phases of mitosis in plant cells using pictures of onion root tip cells. Determining time spent in different. Onion Cell Metaphase.
From www.gettyimages.com
Metaphase Plant Mitois Onion Root Tip 400x HighRes Stock Photo Getty Onion Cell Metaphase At metaphase the chromosomes have come to rest along the center plane of the cell. Determining time spent in different phases of the cell cycle. online onion root tips. Growth in an organism is carefully controlled by regulating. See how chromatin condenses into chromosomes, nucleoli disappear, and cell walls form during interphase, mitosis, and cytokinesis. learn how to. Onion Cell Metaphase.
From www.reddit.com
Prophase to Telophase on Onion root Tip Squash r/botany Onion Cell Metaphase learn how onion root tip cells undergo mitosis, the process of cell division, with diagrams and descriptions of each phase. during prophase the nuclear envelope starts to break down and all the chromosomes start to coil up in the center of the cell. At metaphase the chromosomes have come to rest along the center plane of the cell.. Onion Cell Metaphase.
From www.thoughtco.com
The Stages of Mitosis and Cell Division Onion Cell Metaphase learn how to identify the different phases of mitosis in plant cells using pictures of onion root tip cells. See images of cells in interphase,. See how chromatin condenses into chromosomes, nucleoli disappear, and cell walls form during interphase, mitosis, and cytokinesis. learn about the stages of cell division in plants and animals with images of onion root. Onion Cell Metaphase.
From slideplayer.com
Cell Cycle in Onion Root Tips ppt download Onion Cell Metaphase learn how to identify the different phases of mitosis in plant cells using pictures of onion root tip cells. learn how onion root tip cells undergo mitosis, the process of cell division, with diagrams and descriptions of each phase. learn about the stages of cell division in plants and animals with images of onion root cells. Determining. Onion Cell Metaphase.
From fphoto.photoshelter.com
62100604D6WR Fundamental Photographs The Art of Science Onion Cell Metaphase Growth in an organism is carefully controlled by regulating. learn about the stages of cell division in plants and animals with images of onion root cells. online onion root tips. At metaphase the chromosomes have come to rest along the center plane of the cell. See how chromatin condenses into chromosomes, nucleoli disappear, and cell walls form during. Onion Cell Metaphase.
From fanficdobieber69.blogspot.com
Onion Root Cell Labeled fanficdobieber69 Onion Cell Metaphase At metaphase the chromosomes have come to rest along the center plane of the cell. Growth in an organism is carefully controlled by regulating. See images of cells in interphase,. learn about the stages of mitosis in onion root tips with this interactive microscope slide. during prophase the nuclear envelope starts to break down and all the chromosomes. Onion Cell Metaphase.
From www.shutterstock.com
Mitosis In Onion Cells Of The Root Meristem. In The Center A Typical Onion Cell Metaphase learn how onion root tip cells undergo mitosis, the process of cell division, with diagrams and descriptions of each phase. Determining time spent in different phases of the cell cycle. learn about the stages of mitosis in onion root tips with this interactive microscope slide. learn about the stages of cell division in plants and animals with. Onion Cell Metaphase.
From www.sciencephoto.com
Anaphase in onion root tip cell, light micrograph Stock Image C055 Onion Cell Metaphase online onion root tips. during prophase the nuclear envelope starts to break down and all the chromosomes start to coil up in the center of the cell. learn how onion root tip cells undergo mitosis, the process of cell division, with diagrams and descriptions of each phase. learn about the stages of mitosis in onion root. Onion Cell Metaphase.
From www.gettyimages.com
Mitosis Or Cell Division In A Plantmetaphase Onion Root Tip 500x High Onion Cell Metaphase learn how to identify the different phases of mitosis in plant cells using pictures of onion root tip cells. See images of cells in interphase,. learn about the stages of mitosis in onion root tips with this interactive microscope slide. At metaphase the chromosomes have come to rest along the center plane of the cell. Growth in an. Onion Cell Metaphase.