Can You See A Cyst In An Ultrasound . If you’re experiencing symptoms of ovarian cysts, an ultrasound can confirm the diagnosis so we can move forward with treatment. 3d transvaginal ultrasound is the best possible method of assessing ovaries and evaluating the characteristics of ovarian cysts. The results of an ultrasound imaging test alone can’t tell your doctor for. A significant cyst or mass may. Depending on the size of the. Let’s examine what ovarian cysts are, how ultrasound detects them, and. If your doctor finds an ovarian cyst, you’ll most likely have a pelvic ultrasound to see what’s going on, and treatment will depend on. A cyst on your ovary can be found during a pelvic exam or on an imaging test, such as a pelvic ultrasound. Large ovarian cysts or pelvic masses can obscure the view of normal ovarian tissue during an ultrasound. Can you tell if a cyst is cancerous from an ultrasound?
from www.youtube.com
3d transvaginal ultrasound is the best possible method of assessing ovaries and evaluating the characteristics of ovarian cysts. Let’s examine what ovarian cysts are, how ultrasound detects them, and. Depending on the size of the. If you’re experiencing symptoms of ovarian cysts, an ultrasound can confirm the diagnosis so we can move forward with treatment. Large ovarian cysts or pelvic masses can obscure the view of normal ovarian tissue during an ultrasound. If your doctor finds an ovarian cyst, you’ll most likely have a pelvic ultrasound to see what’s going on, and treatment will depend on. A significant cyst or mass may. The results of an ultrasound imaging test alone can’t tell your doctor for. A cyst on your ovary can be found during a pelvic exam or on an imaging test, such as a pelvic ultrasound. Can you tell if a cyst is cancerous from an ultrasound?
Dermoid Cyst Ultrasound Case 164 YouTube
Can You See A Cyst In An Ultrasound 3d transvaginal ultrasound is the best possible method of assessing ovaries and evaluating the characteristics of ovarian cysts. Large ovarian cysts or pelvic masses can obscure the view of normal ovarian tissue during an ultrasound. If your doctor finds an ovarian cyst, you’ll most likely have a pelvic ultrasound to see what’s going on, and treatment will depend on. 3d transvaginal ultrasound is the best possible method of assessing ovaries and evaluating the characteristics of ovarian cysts. Can you tell if a cyst is cancerous from an ultrasound? The results of an ultrasound imaging test alone can’t tell your doctor for. A significant cyst or mass may. A cyst on your ovary can be found during a pelvic exam or on an imaging test, such as a pelvic ultrasound. Let’s examine what ovarian cysts are, how ultrasound detects them, and. Depending on the size of the. If you’re experiencing symptoms of ovarian cysts, an ultrasound can confirm the diagnosis so we can move forward with treatment.
From ultrasound-images.blogspot.com
Ultrasound imaging Simplehepaticcyst Can You See A Cyst In An Ultrasound If your doctor finds an ovarian cyst, you’ll most likely have a pelvic ultrasound to see what’s going on, and treatment will depend on. 3d transvaginal ultrasound is the best possible method of assessing ovaries and evaluating the characteristics of ovarian cysts. A cyst on your ovary can be found during a pelvic exam or on an imaging test, such. Can You See A Cyst In An Ultrasound.
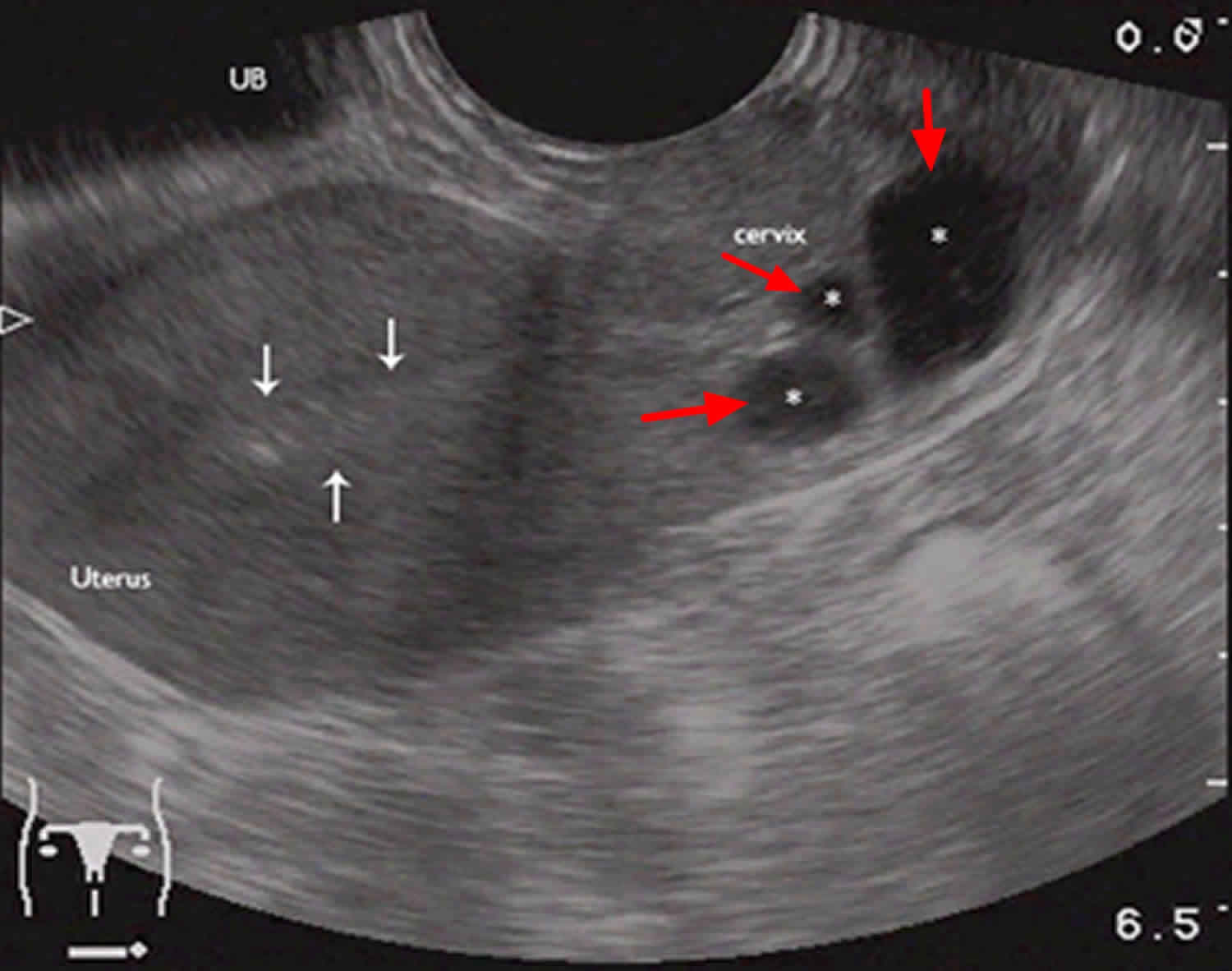
From mavink.com
Myometrial Cyst Ultrasound Can You See A Cyst In An Ultrasound If you’re experiencing symptoms of ovarian cysts, an ultrasound can confirm the diagnosis so we can move forward with treatment. Large ovarian cysts or pelvic masses can obscure the view of normal ovarian tissue during an ultrasound. Depending on the size of the. The results of an ultrasound imaging test alone can’t tell your doctor for. A cyst on your. Can You See A Cyst In An Ultrasound.
From mavink.com
Functional Ovarian Cyst Ultrasound Can You See A Cyst In An Ultrasound The results of an ultrasound imaging test alone can’t tell your doctor for. Large ovarian cysts or pelvic masses can obscure the view of normal ovarian tissue during an ultrasound. If you’re experiencing symptoms of ovarian cysts, an ultrasound can confirm the diagnosis so we can move forward with treatment. Depending on the size of the. 3d transvaginal ultrasound is. Can You See A Cyst In An Ultrasound.
From www.researchgate.net
An ultrasound image of breast cyst. Download Scientific Diagram Can You See A Cyst In An Ultrasound The results of an ultrasound imaging test alone can’t tell your doctor for. A cyst on your ovary can be found during a pelvic exam or on an imaging test, such as a pelvic ultrasound. Large ovarian cysts or pelvic masses can obscure the view of normal ovarian tissue during an ultrasound. Can you tell if a cyst is cancerous. Can You See A Cyst In An Ultrasound.
From mavink.com
Pelvic Ultrasound Ovarian Cysts Can You See A Cyst In An Ultrasound If your doctor finds an ovarian cyst, you’ll most likely have a pelvic ultrasound to see what’s going on, and treatment will depend on. A cyst on your ovary can be found during a pelvic exam or on an imaging test, such as a pelvic ultrasound. 3d transvaginal ultrasound is the best possible method of assessing ovaries and evaluating the. Can You See A Cyst In An Ultrasound.
From mavink.com
Ovarian Cyst On Ultrasound Image Can You See A Cyst In An Ultrasound If you’re experiencing symptoms of ovarian cysts, an ultrasound can confirm the diagnosis so we can move forward with treatment. A cyst on your ovary can be found during a pelvic exam or on an imaging test, such as a pelvic ultrasound. 3d transvaginal ultrasound is the best possible method of assessing ovaries and evaluating the characteristics of ovarian cysts.. Can You See A Cyst In An Ultrasound.
From ar.inspiredpencil.com
Ovarian Cyst Transabdominal Ultrasound Can You See A Cyst In An Ultrasound If you’re experiencing symptoms of ovarian cysts, an ultrasound can confirm the diagnosis so we can move forward with treatment. A significant cyst or mass may. Can you tell if a cyst is cancerous from an ultrasound? The results of an ultrasound imaging test alone can’t tell your doctor for. Depending on the size of the. If your doctor finds. Can You See A Cyst In An Ultrasound.
From www.renalfellow.org
Ultrasound features of Kidney Cysts Renal Fellow Network Can You See A Cyst In An Ultrasound If your doctor finds an ovarian cyst, you’ll most likely have a pelvic ultrasound to see what’s going on, and treatment will depend on. The results of an ultrasound imaging test alone can’t tell your doctor for. A cyst on your ovary can be found during a pelvic exam or on an imaging test, such as a pelvic ultrasound. 3d. Can You See A Cyst In An Ultrasound.
From healthjade.com
Nabothian cyst in cervix causes, symptoms & nabothian cyst treatment Can You See A Cyst In An Ultrasound 3d transvaginal ultrasound is the best possible method of assessing ovaries and evaluating the characteristics of ovarian cysts. Depending on the size of the. Can you tell if a cyst is cancerous from an ultrasound? Large ovarian cysts or pelvic masses can obscure the view of normal ovarian tissue during an ultrasound. A significant cyst or mass may. The results. Can You See A Cyst In An Ultrasound.
From www.youtube.com
Breast Ultrasound cyst YouTube Can You See A Cyst In An Ultrasound If you’re experiencing symptoms of ovarian cysts, an ultrasound can confirm the diagnosis so we can move forward with treatment. The results of an ultrasound imaging test alone can’t tell your doctor for. Let’s examine what ovarian cysts are, how ultrasound detects them, and. 3d transvaginal ultrasound is the best possible method of assessing ovaries and evaluating the characteristics of. Can You See A Cyst In An Ultrasound.
From mavink.com
Hepatic Cyst Ultrasound Can You See A Cyst In An Ultrasound A significant cyst or mass may. Depending on the size of the. If your doctor finds an ovarian cyst, you’ll most likely have a pelvic ultrasound to see what’s going on, and treatment will depend on. The results of an ultrasound imaging test alone can’t tell your doctor for. If you’re experiencing symptoms of ovarian cysts, an ultrasound can confirm. Can You See A Cyst In An Ultrasound.
From www.renalfellow.org
Ultrasound features of Kidney Cysts Renal Fellow Network Can You See A Cyst In An Ultrasound If your doctor finds an ovarian cyst, you’ll most likely have a pelvic ultrasound to see what’s going on, and treatment will depend on. Let’s examine what ovarian cysts are, how ultrasound detects them, and. Depending on the size of the. If you’re experiencing symptoms of ovarian cysts, an ultrasound can confirm the diagnosis so we can move forward with. Can You See A Cyst In An Ultrasound.
From www.researchgate.net
Abdominal ultrasound with 3 × 3cm cystic structure in the right lower... Download Scientific Can You See A Cyst In An Ultrasound Can you tell if a cyst is cancerous from an ultrasound? A cyst on your ovary can be found during a pelvic exam or on an imaging test, such as a pelvic ultrasound. A significant cyst or mass may. The results of an ultrasound imaging test alone can’t tell your doctor for. If your doctor finds an ovarian cyst, you’ll. Can You See A Cyst In An Ultrasound.
From ar.inspiredpencil.com
Ovarian Cyst And Cancer Ultrasound Can You See A Cyst In An Ultrasound If you’re experiencing symptoms of ovarian cysts, an ultrasound can confirm the diagnosis so we can move forward with treatment. Let’s examine what ovarian cysts are, how ultrasound detects them, and. Can you tell if a cyst is cancerous from an ultrasound? 3d transvaginal ultrasound is the best possible method of assessing ovaries and evaluating the characteristics of ovarian cysts.. Can You See A Cyst In An Ultrasound.
From www.wikidoc.org
Dermoid cyst ultrasound wikidoc Can You See A Cyst In An Ultrasound Let’s examine what ovarian cysts are, how ultrasound detects them, and. Large ovarian cysts or pelvic masses can obscure the view of normal ovarian tissue during an ultrasound. A significant cyst or mass may. If you’re experiencing symptoms of ovarian cysts, an ultrasound can confirm the diagnosis so we can move forward with treatment. If your doctor finds an ovarian. Can You See A Cyst In An Ultrasound.
From fity.club
Ultrasound Pictures Of Ovarian Cysts Can You See A Cyst In An Ultrasound If you’re experiencing symptoms of ovarian cysts, an ultrasound can confirm the diagnosis so we can move forward with treatment. Large ovarian cysts or pelvic masses can obscure the view of normal ovarian tissue during an ultrasound. A significant cyst or mass may. Let’s examine what ovarian cysts are, how ultrasound detects them, and. Can you tell if a cyst. Can You See A Cyst In An Ultrasound.
From mungfali.com
Simple Cyst Ultrasound Can You See A Cyst In An Ultrasound Let’s examine what ovarian cysts are, how ultrasound detects them, and. A significant cyst or mass may. Can you tell if a cyst is cancerous from an ultrasound? If you’re experiencing symptoms of ovarian cysts, an ultrasound can confirm the diagnosis so we can move forward with treatment. Depending on the size of the. If your doctor finds an ovarian. Can You See A Cyst In An Ultrasound.
From fity.club
Ovarian Cyst And Pregnancy Ultrasound Can You See A Cyst In An Ultrasound Depending on the size of the. If you’re experiencing symptoms of ovarian cysts, an ultrasound can confirm the diagnosis so we can move forward with treatment. A significant cyst or mass may. If your doctor finds an ovarian cyst, you’ll most likely have a pelvic ultrasound to see what’s going on, and treatment will depend on. Large ovarian cysts or. Can You See A Cyst In An Ultrasound.
From www.youtube.com
Dermoid Cyst Ultrasound Case 164 YouTube Can You See A Cyst In An Ultrasound If your doctor finds an ovarian cyst, you’ll most likely have a pelvic ultrasound to see what’s going on, and treatment will depend on. 3d transvaginal ultrasound is the best possible method of assessing ovaries and evaluating the characteristics of ovarian cysts. The results of an ultrasound imaging test alone can’t tell your doctor for. Depending on the size of. Can You See A Cyst In An Ultrasound.
From mavink.com
Hemorrhagic Cyst Ultrasound Can You See A Cyst In An Ultrasound If you’re experiencing symptoms of ovarian cysts, an ultrasound can confirm the diagnosis so we can move forward with treatment. A significant cyst or mass may. Can you tell if a cyst is cancerous from an ultrasound? The results of an ultrasound imaging test alone can’t tell your doctor for. Large ovarian cysts or pelvic masses can obscure the view. Can You See A Cyst In An Ultrasound.
From clinmedjournals.org
IntraOperative Ultrasound Assessment of a Myometrial Cyst with FertilitySparing Myometrial Can You See A Cyst In An Ultrasound If you’re experiencing symptoms of ovarian cysts, an ultrasound can confirm the diagnosis so we can move forward with treatment. Large ovarian cysts or pelvic masses can obscure the view of normal ovarian tissue during an ultrasound. Can you tell if a cyst is cancerous from an ultrasound? If your doctor finds an ovarian cyst, you’ll most likely have a. Can You See A Cyst In An Ultrasound.
From ultrasoundfeminsider.com
Hemorrhagic cyst. Cause, symptoms, complications, ultrasound. Ultrasoundfeminsider Can You See A Cyst In An Ultrasound A cyst on your ovary can be found during a pelvic exam or on an imaging test, such as a pelvic ultrasound. If your doctor finds an ovarian cyst, you’ll most likely have a pelvic ultrasound to see what’s going on, and treatment will depend on. Can you tell if a cyst is cancerous from an ultrasound? A significant cyst. Can You See A Cyst In An Ultrasound.
From fity.club
Normal Ovary Cysts Ultrasound Can You See A Cyst In An Ultrasound Large ovarian cysts or pelvic masses can obscure the view of normal ovarian tissue during an ultrasound. A significant cyst or mass may. The results of an ultrasound imaging test alone can’t tell your doctor for. 3d transvaginal ultrasound is the best possible method of assessing ovaries and evaluating the characteristics of ovarian cysts. Can you tell if a cyst. Can You See A Cyst In An Ultrasound.
From ar.inspiredpencil.com
Breast Cyst Ultrasound Can You See A Cyst In An Ultrasound Depending on the size of the. A cyst on your ovary can be found during a pelvic exam or on an imaging test, such as a pelvic ultrasound. Can you tell if a cyst is cancerous from an ultrasound? Let’s examine what ovarian cysts are, how ultrasound detects them, and. Large ovarian cysts or pelvic masses can obscure the view. Can You See A Cyst In An Ultrasound.
From www.youtube.com
Ultrasound of Common Adnexal Cysts YouTube Can You See A Cyst In An Ultrasound Let’s examine what ovarian cysts are, how ultrasound detects them, and. If your doctor finds an ovarian cyst, you’ll most likely have a pelvic ultrasound to see what’s going on, and treatment will depend on. The results of an ultrasound imaging test alone can’t tell your doctor for. Large ovarian cysts or pelvic masses can obscure the view of normal. Can You See A Cyst In An Ultrasound.
From www.healthline.com
Cyst Pictures, Causes, Types, Treatments, and Prevention Can You See A Cyst In An Ultrasound A significant cyst or mass may. Depending on the size of the. 3d transvaginal ultrasound is the best possible method of assessing ovaries and evaluating the characteristics of ovarian cysts. If your doctor finds an ovarian cyst, you’ll most likely have a pelvic ultrasound to see what’s going on, and treatment will depend on. Let’s examine what ovarian cysts are,. Can You See A Cyst In An Ultrasound.
From obgynkey.com
Chapter 8 Sonographic Assessment of Ovarian Cysts and Masses Obgyn Key Can You See A Cyst In An Ultrasound Let’s examine what ovarian cysts are, how ultrasound detects them, and. 3d transvaginal ultrasound is the best possible method of assessing ovaries and evaluating the characteristics of ovarian cysts. If your doctor finds an ovarian cyst, you’ll most likely have a pelvic ultrasound to see what’s going on, and treatment will depend on. Depending on the size of the. Large. Can You See A Cyst In An Ultrasound.
From ar.inspiredpencil.com
Cysts In Uterus Ultrasound Can You See A Cyst In An Ultrasound If your doctor finds an ovarian cyst, you’ll most likely have a pelvic ultrasound to see what’s going on, and treatment will depend on. Large ovarian cysts or pelvic masses can obscure the view of normal ovarian tissue during an ultrasound. Let’s examine what ovarian cysts are, how ultrasound detects them, and. The results of an ultrasound imaging test alone. Can You See A Cyst In An Ultrasound.
From www.youtube.com
Epidermoid Cyst Ultrasound Case Small Parts YouTube Can You See A Cyst In An Ultrasound A significant cyst or mass may. A cyst on your ovary can be found during a pelvic exam or on an imaging test, such as a pelvic ultrasound. Let’s examine what ovarian cysts are, how ultrasound detects them, and. Large ovarian cysts or pelvic masses can obscure the view of normal ovarian tissue during an ultrasound. Depending on the size. Can You See A Cyst In An Ultrasound.
From www.pinterest.ca
Pin on US Ob/gyn Can You See A Cyst In An Ultrasound 3d transvaginal ultrasound is the best possible method of assessing ovaries and evaluating the characteristics of ovarian cysts. Let’s examine what ovarian cysts are, how ultrasound detects them, and. Can you tell if a cyst is cancerous from an ultrasound? A significant cyst or mass may. If your doctor finds an ovarian cyst, you’ll most likely have a pelvic ultrasound. Can You See A Cyst In An Ultrasound.
From www.youtube.com
Ultrasound Video showing Cystic disease of the liver and kidneys. YouTube Can You See A Cyst In An Ultrasound A cyst on your ovary can be found during a pelvic exam or on an imaging test, such as a pelvic ultrasound. Depending on the size of the. A significant cyst or mass may. Can you tell if a cyst is cancerous from an ultrasound? Large ovarian cysts or pelvic masses can obscure the view of normal ovarian tissue during. Can You See A Cyst In An Ultrasound.
From fineartamerica.com
Ovarian Cysts, Ultrasound Scan Photograph by Science Photo Library Can You See A Cyst In An Ultrasound Depending on the size of the. Can you tell if a cyst is cancerous from an ultrasound? If you’re experiencing symptoms of ovarian cysts, an ultrasound can confirm the diagnosis so we can move forward with treatment. If your doctor finds an ovarian cyst, you’ll most likely have a pelvic ultrasound to see what’s going on, and treatment will depend. Can You See A Cyst In An Ultrasound.
From www.youtube.com
Ultrasound Video showing Fibroid with Ovarian Cyst. YouTube Can You See A Cyst In An Ultrasound Depending on the size of the. If your doctor finds an ovarian cyst, you’ll most likely have a pelvic ultrasound to see what’s going on, and treatment will depend on. If you’re experiencing symptoms of ovarian cysts, an ultrasound can confirm the diagnosis so we can move forward with treatment. 3d transvaginal ultrasound is the best possible method of assessing. Can You See A Cyst In An Ultrasound.
From ar.inspiredpencil.com
Cysts In Uterus Ultrasound Can You See A Cyst In An Ultrasound 3d transvaginal ultrasound is the best possible method of assessing ovaries and evaluating the characteristics of ovarian cysts. If your doctor finds an ovarian cyst, you’ll most likely have a pelvic ultrasound to see what’s going on, and treatment will depend on. Can you tell if a cyst is cancerous from an ultrasound? The results of an ultrasound imaging test. Can You See A Cyst In An Ultrasound.
From www.renalfellow.org
Ultrasound features of Kidney Cysts Renal Fellow Network Can You See A Cyst In An Ultrasound Large ovarian cysts or pelvic masses can obscure the view of normal ovarian tissue during an ultrasound. Can you tell if a cyst is cancerous from an ultrasound? If your doctor finds an ovarian cyst, you’ll most likely have a pelvic ultrasound to see what’s going on, and treatment will depend on. Let’s examine what ovarian cysts are, how ultrasound. Can You See A Cyst In An Ultrasound.