Propeller Beta . The beta range of operation consists of power. This is known as the “beta” range of operation. 39 rows the propeller has 2 modes, alpha and beta. A free turbine turboprop would allow a person to feather the engines and then pull the power levers to the reverse position. Beta range, in a turboprop engine, is the range of power lever positions between flight idle and maximum reverse. Alpha is the mode for all flight operations including takeoff. Putting the propeller into reverse mode (beta mode) and maintaining rpm control in reverse is accomplished through the use of the. When positioned aft of flight idle, however, the power lever directly controls propeller blade angle. The beta range is used for. In flight, having some manual control (beta) of prop blade angles enables pilots to better control drag for deceleration and sink.
from www.researchgate.net
39 rows the propeller has 2 modes, alpha and beta. When positioned aft of flight idle, however, the power lever directly controls propeller blade angle. Beta range, in a turboprop engine, is the range of power lever positions between flight idle and maximum reverse. The beta range of operation consists of power. In flight, having some manual control (beta) of prop blade angles enables pilots to better control drag for deceleration and sink. Putting the propeller into reverse mode (beta mode) and maintaining rpm control in reverse is accomplished through the use of the. Alpha is the mode for all flight operations including takeoff. This is known as the “beta” range of operation. The beta range is used for. A free turbine turboprop would allow a person to feather the engines and then pull the power levers to the reverse position.
(PDF) Neuropathology of Betapropeller protein associated neurodegeneration (BPAN) a new tauopathy
Propeller Beta The beta range of operation consists of power. Putting the propeller into reverse mode (beta mode) and maintaining rpm control in reverse is accomplished through the use of the. In flight, having some manual control (beta) of prop blade angles enables pilots to better control drag for deceleration and sink. Alpha is the mode for all flight operations including takeoff. The beta range is used for. A free turbine turboprop would allow a person to feather the engines and then pull the power levers to the reverse position. When positioned aft of flight idle, however, the power lever directly controls propeller blade angle. 39 rows the propeller has 2 modes, alpha and beta. This is known as the “beta” range of operation. The beta range of operation consists of power. Beta range, in a turboprop engine, is the range of power lever positions between flight idle and maximum reverse.
From www.researchgate.net
RepeatsDB classification. The new levels of RepeatsDB classification... Download Scientific Propeller Beta 39 rows the propeller has 2 modes, alpha and beta. A free turbine turboprop would allow a person to feather the engines and then pull the power levers to the reverse position. In flight, having some manual control (beta) of prop blade angles enables pilots to better control drag for deceleration and sink. Putting the propeller into reverse mode (beta. Propeller Beta.
From www.researchgate.net
Betapropellers can be complemented cotranslationally in vivo a... Download Scientific Diagram Propeller Beta Alpha is the mode for all flight operations including takeoff. In flight, having some manual control (beta) of prop blade angles enables pilots to better control drag for deceleration and sink. Putting the propeller into reverse mode (beta mode) and maintaining rpm control in reverse is accomplished through the use of the. The beta range is used for. Beta range,. Propeller Beta.
From www.dreamstime.com
Cterminal WD40 Domain of Tup1, a Betapropeller. 3d Rendering Stock Illustration Illustration Propeller Beta The beta range of operation consists of power. A free turbine turboprop would allow a person to feather the engines and then pull the power levers to the reverse position. When positioned aft of flight idle, however, the power lever directly controls propeller blade angle. 39 rows the propeller has 2 modes, alpha and beta. Putting the propeller into reverse. Propeller Beta.
From www.researchgate.net
Symmetric 7bladed beta propeller. The black dot shows the axis of... Download Scientific Diagram Propeller Beta The beta range of operation consists of power. A free turbine turboprop would allow a person to feather the engines and then pull the power levers to the reverse position. Alpha is the mode for all flight operations including takeoff. When positioned aft of flight idle, however, the power lever directly controls propeller blade angle. This is known as the. Propeller Beta.
From www.slideshare.net
Beta Propeller Beta This is known as the “beta” range of operation. When positioned aft of flight idle, however, the power lever directly controls propeller blade angle. Putting the propeller into reverse mode (beta mode) and maintaining rpm control in reverse is accomplished through the use of the. The beta range is used for. Beta range, in a turboprop engine, is the range. Propeller Beta.
From sbi.imim.es
Pràctica 2 Biologia Estructural Francesc Castro Giner Propeller Beta In flight, having some manual control (beta) of prop blade angles enables pilots to better control drag for deceleration and sink. When positioned aft of flight idle, however, the power lever directly controls propeller blade angle. 39 rows the propeller has 2 modes, alpha and beta. Alpha is the mode for all flight operations including takeoff. Putting the propeller into. Propeller Beta.
From www.researchgate.net
Cartoon image of the 6bladed betapropeller structure of the... Download Scientific Diagram Propeller Beta 39 rows the propeller has 2 modes, alpha and beta. When positioned aft of flight idle, however, the power lever directly controls propeller blade angle. The beta range is used for. Putting the propeller into reverse mode (beta mode) and maintaining rpm control in reverse is accomplished through the use of the. In flight, having some manual control (beta) of. Propeller Beta.
From www.readymaderc.com
BETAFPV Propeller for Beta75X Drone Get Yours Today! RMRC Propeller Beta The beta range of operation consists of power. Putting the propeller into reverse mode (beta mode) and maintaining rpm control in reverse is accomplished through the use of the. When positioned aft of flight idle, however, the power lever directly controls propeller blade angle. Alpha is the mode for all flight operations including takeoff. In flight, having some manual control. Propeller Beta.
From www.marinedieselbasics.com
Beta Propeller Selection Guide MARINE DIESEL BASICS Propeller Beta When positioned aft of flight idle, however, the power lever directly controls propeller blade angle. The beta range of operation consists of power. Putting the propeller into reverse mode (beta mode) and maintaining rpm control in reverse is accomplished through the use of the. The beta range is used for. Alpha is the mode for all flight operations including takeoff.. Propeller Beta.
From www.researchgate.net
BtuG2 has a beta propeller fold which binds corrinoids. a, Diagrams... Download Scientific Propeller Beta In flight, having some manual control (beta) of prop blade angles enables pilots to better control drag for deceleration and sink. The beta range is used for. A free turbine turboprop would allow a person to feather the engines and then pull the power levers to the reverse position. Putting the propeller into reverse mode (beta mode) and maintaining rpm. Propeller Beta.
From www.canalworld.net
Propeller size for Beta 20 engine Boat Equipment Canal World Propeller Beta The beta range is used for. When positioned aft of flight idle, however, the power lever directly controls propeller blade angle. The beta range of operation consists of power. Alpha is the mode for all flight operations including takeoff. This is known as the “beta” range of operation. Beta range, in a turboprop engine, is the range of power lever. Propeller Beta.
From www.researchgate.net
(PDF) DR1769, a protein with Nterminal beta propeller repeats and low complexity hydrophilic Propeller Beta Putting the propeller into reverse mode (beta mode) and maintaining rpm control in reverse is accomplished through the use of the. When positioned aft of flight idle, however, the power lever directly controls propeller blade angle. The beta range is used for. 39 rows the propeller has 2 modes, alpha and beta. Beta range, in a turboprop engine, is the. Propeller Beta.
From www.researchgate.net
(PDF) Plant growthpromoting activity of betapropeller protein YxaL secreted from Bacillus Propeller Beta Alpha is the mode for all flight operations including takeoff. 39 rows the propeller has 2 modes, alpha and beta. Beta range, in a turboprop engine, is the range of power lever positions between flight idle and maximum reverse. The beta range is used for. The beta range of operation consists of power. This is known as the “beta” range. Propeller Beta.
From www.pnas.org
Peptideingroove interactions link target proteins to the βpropeller of clathrin PNAS Propeller Beta In flight, having some manual control (beta) of prop blade angles enables pilots to better control drag for deceleration and sink. Beta range, in a turboprop engine, is the range of power lever positions between flight idle and maximum reverse. Alpha is the mode for all flight operations including takeoff. 39 rows the propeller has 2 modes, alpha and beta.. Propeller Beta.
From www.frontiersin.org
Frontiers Low Density Lipoprotein Receptor Variants in the BetaPropeller Subdomain and Their Propeller Beta 39 rows the propeller has 2 modes, alpha and beta. Alpha is the mode for all flight operations including takeoff. This is known as the “beta” range of operation. Beta range, in a turboprop engine, is the range of power lever positions between flight idle and maximum reverse. In flight, having some manual control (beta) of prop blade angles enables. Propeller Beta.
From www.researchgate.net
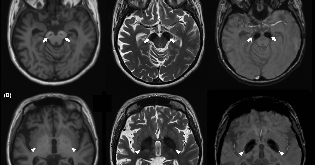
MRI and DAT scan findings of betapropeller proteinassociated... Download Scientific Diagram Propeller Beta Beta range, in a turboprop engine, is the range of power lever positions between flight idle and maximum reverse. Putting the propeller into reverse mode (beta mode) and maintaining rpm control in reverse is accomplished through the use of the. Alpha is the mode for all flight operations including takeoff. 39 rows the propeller has 2 modes, alpha and beta.. Propeller Beta.
From www.cell.com
The many blades of the βpropeller proteins conserved but versatile Trends in Biochemical Sciences Propeller Beta The beta range of operation consists of power. 39 rows the propeller has 2 modes, alpha and beta. Beta range, in a turboprop engine, is the range of power lever positions between flight idle and maximum reverse. The beta range is used for. A free turbine turboprop would allow a person to feather the engines and then pull the power. Propeller Beta.
From www.researchgate.net
Betapropellers can be complemented cotranslationally in vivo a... Download Scientific Diagram Propeller Beta When positioned aft of flight idle, however, the power lever directly controls propeller blade angle. The beta range is used for. Beta range, in a turboprop engine, is the range of power lever positions between flight idle and maximum reverse. Putting the propeller into reverse mode (beta mode) and maintaining rpm control in reverse is accomplished through the use of. Propeller Beta.
From elifesciences.org
Structural diversity of oligomeric βpropellers with different numbers of identical blades eLife Propeller Beta Alpha is the mode for all flight operations including takeoff. In flight, having some manual control (beta) of prop blade angles enables pilots to better control drag for deceleration and sink. Beta range, in a turboprop engine, is the range of power lever positions between flight idle and maximum reverse. The beta range of operation consists of power. When positioned. Propeller Beta.
From www.cell.com
How to Build a Complex, Functional Propeller Protein, From Parts Trends in Biochemical Sciences Propeller Beta Beta range, in a turboprop engine, is the range of power lever positions between flight idle and maximum reverse. The beta range is used for. 39 rows the propeller has 2 modes, alpha and beta. This is known as the “beta” range of operation. Putting the propeller into reverse mode (beta mode) and maintaining rpm control in reverse is accomplished. Propeller Beta.
From www.researchgate.net
(PDF) Betapropeller proteinassociated neurodegeneration a case report and review of the Propeller Beta The beta range is used for. Putting the propeller into reverse mode (beta mode) and maintaining rpm control in reverse is accomplished through the use of the. A free turbine turboprop would allow a person to feather the engines and then pull the power levers to the reverse position. When positioned aft of flight idle, however, the power lever directly. Propeller Beta.
From www.pinterest.co.uk
Beta‐propeller protein‐associated neurodegeneration a case report and review of the literature Propeller Beta Beta range, in a turboprop engine, is the range of power lever positions between flight idle and maximum reverse. The beta range of operation consists of power. This is known as the “beta” range of operation. The beta range is used for. Putting the propeller into reverse mode (beta mode) and maintaining rpm control in reverse is accomplished through the. Propeller Beta.
From www.aircraftsystemstech.com
Pratt and Whitney PT6 Hartzell Propeller System Propeller Beta Beta range, in a turboprop engine, is the range of power lever positions between flight idle and maximum reverse. 39 rows the propeller has 2 modes, alpha and beta. Alpha is the mode for all flight operations including takeoff. The beta range is used for. A free turbine turboprop would allow a person to feather the engines and then pull. Propeller Beta.
From www.researchgate.net
Localization of the β propeller mutations identified thus far in the α... Download Scientific Propeller Beta When positioned aft of flight idle, however, the power lever directly controls propeller blade angle. Alpha is the mode for all flight operations including takeoff. A free turbine turboprop would allow a person to feather the engines and then pull the power levers to the reverse position. Putting the propeller into reverse mode (beta mode) and maintaining rpm control in. Propeller Beta.
From 12charlie.com
REVERSE THRUST AND BETA RANGE OPERATIONS Propeller Beta The beta range of operation consists of power. A free turbine turboprop would allow a person to feather the engines and then pull the power levers to the reverse position. Beta range, in a turboprop engine, is the range of power lever positions between flight idle and maximum reverse. The beta range is used for. This is known as the. Propeller Beta.
From www.slideserve.com
PPT A networkbased representation of protein fold space PowerPoint Presentation ID1869259 Propeller Beta Putting the propeller into reverse mode (beta mode) and maintaining rpm control in reverse is accomplished through the use of the. When positioned aft of flight idle, however, the power lever directly controls propeller blade angle. This is known as the “beta” range of operation. The beta range of operation consists of power. The beta range is used for. 39. Propeller Beta.
From peerj.com
Reconstructing the history of a WD40 betapropeller tandem repeat using a Propeller Beta Putting the propeller into reverse mode (beta mode) and maintaining rpm control in reverse is accomplished through the use of the. Beta range, in a turboprop engine, is the range of power lever positions between flight idle and maximum reverse. A free turbine turboprop would allow a person to feather the engines and then pull the power levers to the. Propeller Beta.
From www.researchgate.net
(PDF) BetaPropeller ProteinAssociated Neurodegeneration Syndrome Propeller Beta When positioned aft of flight idle, however, the power lever directly controls propeller blade angle. The beta range of operation consists of power. 39 rows the propeller has 2 modes, alpha and beta. In flight, having some manual control (beta) of prop blade angles enables pilots to better control drag for deceleration and sink. A free turbine turboprop would allow. Propeller Beta.
From www.researchgate.net
(PDF) Singlecenter experience with Betapropeller proteinassociated neurodegeneration (BPAN Propeller Beta Alpha is the mode for all flight operations including takeoff. Beta range, in a turboprop engine, is the range of power lever positions between flight idle and maximum reverse. A free turbine turboprop would allow a person to feather the engines and then pull the power levers to the reverse position. Putting the propeller into reverse mode (beta mode) and. Propeller Beta.
From childnervoussystem.blogspot.com
pediatric neurology Betapropeller proteinassociated neurodegeneration Propeller Beta A free turbine turboprop would allow a person to feather the engines and then pull the power levers to the reverse position. The beta range is used for. In flight, having some manual control (beta) of prop blade angles enables pilots to better control drag for deceleration and sink. The beta range of operation consists of power. When positioned aft. Propeller Beta.
From pdb101.rcsb.org
PDB101 Global Health Diabetes Mellitus Drugs DPP4 inhibitor DPP4 Propeller Beta Alpha is the mode for all flight operations including takeoff. Putting the propeller into reverse mode (beta mode) and maintaining rpm control in reverse is accomplished through the use of the. The beta range is used for. The beta range of operation consists of power. Beta range, in a turboprop engine, is the range of power lever positions between flight. Propeller Beta.
From www.ccp4.ac.uk
CCP4 Molecular Graphics Image 1pgu Propeller Beta Beta range, in a turboprop engine, is the range of power lever positions between flight idle and maximum reverse. Putting the propeller into reverse mode (beta mode) and maintaining rpm control in reverse is accomplished through the use of the. In flight, having some manual control (beta) of prop blade angles enables pilots to better control drag for deceleration and. Propeller Beta.
From www.researchgate.net
(PDF) Neuropathology of Betapropeller protein associated neurodegeneration (BPAN) a new tauopathy Propeller Beta This is known as the “beta” range of operation. 39 rows the propeller has 2 modes, alpha and beta. The beta range of operation consists of power. Putting the propeller into reverse mode (beta mode) and maintaining rpm control in reverse is accomplished through the use of the. The beta range is used for. Alpha is the mode for all. Propeller Beta.
From gioskxedp.blob.core.windows.net
Aircraft Propeller Beta Range at Theodore Buss blog Propeller Beta Putting the propeller into reverse mode (beta mode) and maintaining rpm control in reverse is accomplished through the use of the. Alpha is the mode for all flight operations including takeoff. 39 rows the propeller has 2 modes, alpha and beta. Beta range, in a turboprop engine, is the range of power lever positions between flight idle and maximum reverse.. Propeller Beta.
From www.researchgate.net
(PDF) BetaPropellerProteinAssociated Neurodegeneration A Case of Mutation in WDR45 Propeller Beta In flight, having some manual control (beta) of prop blade angles enables pilots to better control drag for deceleration and sink. The beta range is used for. When positioned aft of flight idle, however, the power lever directly controls propeller blade angle. The beta range of operation consists of power. This is known as the “beta” range of operation. A. Propeller Beta.