Proteinase K Antigen Retrieval . To identify the best method for your specific antigen, we recommend testing two methods of hier, for example, citrate buffer ph 6 and tris. Find optimal conditions and working. Avoiding this step may result in weak or false negative staining.
from www.biozol.de
Find optimal conditions and working. Avoiding this step may result in weak or false negative staining. To identify the best method for your specific antigen, we recommend testing two methods of hier, for example, citrate buffer ph 6 and tris.
IHC Protocol using Proteinase K based Antigen Retrieval BIOZOL
Proteinase K Antigen Retrieval To identify the best method for your specific antigen, we recommend testing two methods of hier, for example, citrate buffer ph 6 and tris. Avoiding this step may result in weak or false negative staining. Find optimal conditions and working. To identify the best method for your specific antigen, we recommend testing two methods of hier, for example, citrate buffer ph 6 and tris.
From biopathogenix.com
Proteinase K BioPathogenix Proteinase K Antigen Retrieval Avoiding this step may result in weak or false negative staining. Find optimal conditions and working. To identify the best method for your specific antigen, we recommend testing two methods of hier, for example, citrate buffer ph 6 and tris. Proteinase K Antigen Retrieval.
From www.researchgate.net
Representative images of CRC and PDAC samples expressing hERG1 and Proteinase K Antigen Retrieval Find optimal conditions and working. Avoiding this step may result in weak or false negative staining. To identify the best method for your specific antigen, we recommend testing two methods of hier, for example, citrate buffer ph 6 and tris. Proteinase K Antigen Retrieval.
From journals.sagepub.com
Immunohistological evaluation of feline herpesvirus1 infection in Proteinase K Antigen Retrieval To identify the best method for your specific antigen, we recommend testing two methods of hier, for example, citrate buffer ph 6 and tris. Avoiding this step may result in weak or false negative staining. Find optimal conditions and working. Proteinase K Antigen Retrieval.
From www.dutscher.com
Proteinase K 100 mg CAS = 39450016 Matériel de Proteinase K Antigen Retrieval Avoiding this step may result in weak or false negative staining. Find optimal conditions and working. To identify the best method for your specific antigen, we recommend testing two methods of hier, for example, citrate buffer ph 6 and tris. Proteinase K Antigen Retrieval.
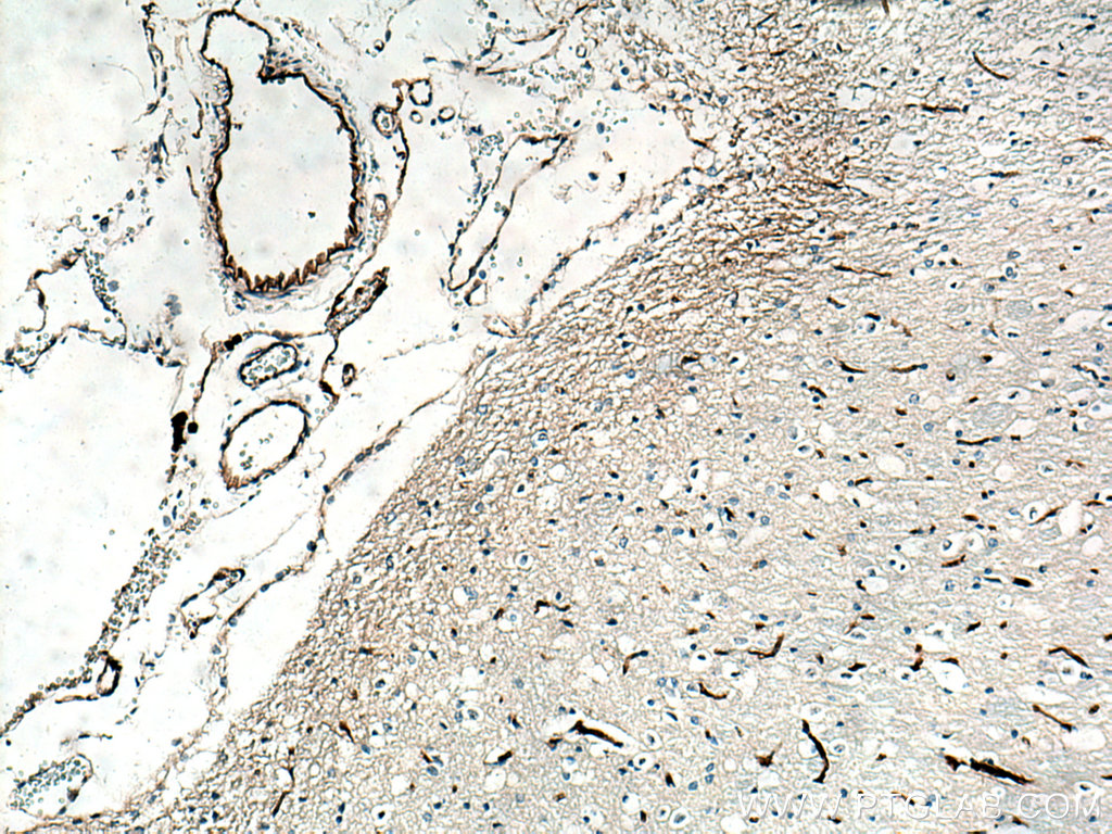
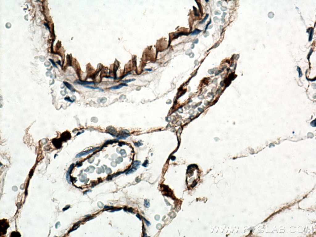
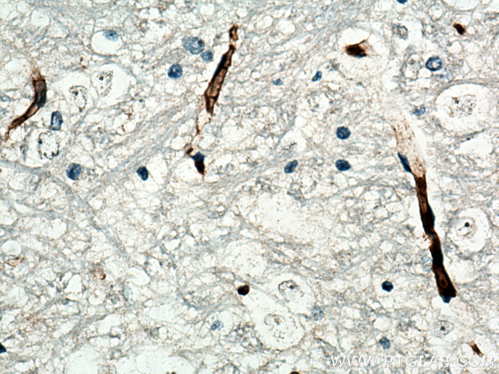
From www.ptglab.com
immunohistochemistry Proteintech Proteinase K Antigen Retrieval Avoiding this step may result in weak or false negative staining. To identify the best method for your specific antigen, we recommend testing two methods of hier, for example, citrate buffer ph 6 and tris. Find optimal conditions and working. Proteinase K Antigen Retrieval.
From biopathogenix.com
Proteinase K, 20 mg/mL BioPathogenix Proteinase K Antigen Retrieval Find optimal conditions and working. To identify the best method for your specific antigen, we recommend testing two methods of hier, for example, citrate buffer ph 6 and tris. Avoiding this step may result in weak or false negative staining. Proteinase K Antigen Retrieval.
From www.bjbalb.com
蛋白酶K抗原修复试剂盒 Proteinase K Antigen Retrieval To identify the best method for your specific antigen, we recommend testing two methods of hier, for example, citrate buffer ph 6 and tris. Avoiding this step may result in weak or false negative staining. Find optimal conditions and working. Proteinase K Antigen Retrieval.
From www.researchgate.net
Conditions for antigen retrieval, primary and secondary antibodies, and Proteinase K Antigen Retrieval Find optimal conditions and working. To identify the best method for your specific antigen, we recommend testing two methods of hier, for example, citrate buffer ph 6 and tris. Avoiding this step may result in weak or false negative staining. Proteinase K Antigen Retrieval.
From www.ptglab.com
Protease K Antigen Retrieval Buffer PR30014 Proteintech Proteinase K Antigen Retrieval To identify the best method for your specific antigen, we recommend testing two methods of hier, for example, citrate buffer ph 6 and tris. Find optimal conditions and working. Avoiding this step may result in weak or false negative staining. Proteinase K Antigen Retrieval.
From www.mdpi.com
IJMS Free FullText Ten Approaches That Improve Immunostaining A Proteinase K Antigen Retrieval Avoiding this step may result in weak or false negative staining. Find optimal conditions and working. To identify the best method for your specific antigen, we recommend testing two methods of hier, for example, citrate buffer ph 6 and tris. Proteinase K Antigen Retrieval.
From www.biozol.de
IHC Protocol using Proteinase K based Antigen Retrieval BIOZOL Proteinase K Antigen Retrieval To identify the best method for your specific antigen, we recommend testing two methods of hier, for example, citrate buffer ph 6 and tris. Find optimal conditions and working. Avoiding this step may result in weak or false negative staining. Proteinase K Antigen Retrieval.
From www.researchgate.net
Effect of amyloid β peptide (Aβ) antigen retrieval (AR) by the Proteinase K Antigen Retrieval Find optimal conditions and working. To identify the best method for your specific antigen, we recommend testing two methods of hier, for example, citrate buffer ph 6 and tris. Avoiding this step may result in weak or false negative staining. Proteinase K Antigen Retrieval.
From www.researchgate.net
Any advice in using proteinase K for antigen retrieval in a double Proteinase K Antigen Retrieval Avoiding this step may result in weak or false negative staining. To identify the best method for your specific antigen, we recommend testing two methods of hier, for example, citrate buffer ph 6 and tris. Find optimal conditions and working. Proteinase K Antigen Retrieval.
From blog.biossusa.com
Tips for Antigen retrieval Proteinase K Antigen Retrieval Avoiding this step may result in weak or false negative staining. To identify the best method for your specific antigen, we recommend testing two methods of hier, for example, citrate buffer ph 6 and tris. Find optimal conditions and working. Proteinase K Antigen Retrieval.
From www.ptgcn.com
vwf Antibody 271861AP Proteintech Proteinase K Antigen Retrieval Find optimal conditions and working. To identify the best method for your specific antigen, we recommend testing two methods of hier, for example, citrate buffer ph 6 and tris. Avoiding this step may result in weak or false negative staining. Proteinase K Antigen Retrieval.
From www.ptglab.com
immunohistochemistry Proteintech Proteinase K Antigen Retrieval Avoiding this step may result in weak or false negative staining. Find optimal conditions and working. To identify the best method for your specific antigen, we recommend testing two methods of hier, for example, citrate buffer ph 6 and tris. Proteinase K Antigen Retrieval.
From www.thermofisher.cn
Goat antiMouse IgG (H+L), Biotin (31800) Proteinase K Antigen Retrieval Find optimal conditions and working. To identify the best method for your specific antigen, we recommend testing two methods of hier, for example, citrate buffer ph 6 and tris. Avoiding this step may result in weak or false negative staining. Proteinase K Antigen Retrieval.
From kimeramed.com
IHC KİT satın alın, antigen retriaval buffer için 50 indirim kazanın Proteinase K Antigen Retrieval Avoiding this step may result in weak or false negative staining. Find optimal conditions and working. To identify the best method for your specific antigen, we recommend testing two methods of hier, for example, citrate buffer ph 6 and tris. Proteinase K Antigen Retrieval.
From www.researchgate.net
Enzymatic antigen retrieval of PCL/PLA membranes cellularized with Proteinase K Antigen Retrieval Avoiding this step may result in weak or false negative staining. Find optimal conditions and working. To identify the best method for your specific antigen, we recommend testing two methods of hier, for example, citrate buffer ph 6 and tris. Proteinase K Antigen Retrieval.
From www.fn-test.com
Antigen Retrieval Solution Proteolytic Induced Epitope Retrieval (PIER Proteinase K Antigen Retrieval To identify the best method for your specific antigen, we recommend testing two methods of hier, for example, citrate buffer ph 6 and tris. Find optimal conditions and working. Avoiding this step may result in weak or false negative staining. Proteinase K Antigen Retrieval.
From gdsbio.com
20mg 1ml Proteinase K Solution N9011 Colourless Appearance Proteinase K Antigen Retrieval Avoiding this step may result in weak or false negative staining. To identify the best method for your specific antigen, we recommend testing two methods of hier, for example, citrate buffer ph 6 and tris. Find optimal conditions and working. Proteinase K Antigen Retrieval.
From journals.sagepub.com
Immunohistological evaluation of feline herpesvirus1 infection in Proteinase K Antigen Retrieval To identify the best method for your specific antigen, we recommend testing two methods of hier, for example, citrate buffer ph 6 and tris. Avoiding this step may result in weak or false negative staining. Find optimal conditions and working. Proteinase K Antigen Retrieval.
From www.ptgcn.com
VWF Antibody 271861AP Proteintech Proteinase K Antigen Retrieval Find optimal conditions and working. To identify the best method for your specific antigen, we recommend testing two methods of hier, for example, citrate buffer ph 6 and tris. Avoiding this step may result in weak or false negative staining. Proteinase K Antigen Retrieval.
From cmiblogpost.weebly.com
Proteinase K Digests Proteins In Clinical Tissue Samples And Removes Proteinase K Antigen Retrieval Avoiding this step may result in weak or false negative staining. To identify the best method for your specific antigen, we recommend testing two methods of hier, for example, citrate buffer ph 6 and tris. Find optimal conditions and working. Proteinase K Antigen Retrieval.
From www.researchgate.net
DNase I and Proteinase K reduce C. acnes adhesion. Comparison of Proteinase K Antigen Retrieval Find optimal conditions and working. To identify the best method for your specific antigen, we recommend testing two methods of hier, for example, citrate buffer ph 6 and tris. Avoiding this step may result in weak or false negative staining. Proteinase K Antigen Retrieval.
From rndsystemsstg.corpenttech.com
Antigen Retrieval Methods R&D Systems Proteinase K Antigen Retrieval Find optimal conditions and working. To identify the best method for your specific antigen, we recommend testing two methods of hier, for example, citrate buffer ph 6 and tris. Avoiding this step may result in weak or false negative staining. Proteinase K Antigen Retrieval.
From www.abcam.com
Proteinase K Antigen Retrieval Solution (ab64220) Abcam Proteinase K Antigen Retrieval Find optimal conditions and working. To identify the best method for your specific antigen, we recommend testing two methods of hier, for example, citrate buffer ph 6 and tris. Avoiding this step may result in weak or false negative staining. Proteinase K Antigen Retrieval.
From www.ptgcn.com
VWF Antibody 271861AP Proteintech Proteinase K Antigen Retrieval To identify the best method for your specific antigen, we recommend testing two methods of hier, for example, citrate buffer ph 6 and tris. Find optimal conditions and working. Avoiding this step may result in weak or false negative staining. Proteinase K Antigen Retrieval.
From www.ptgcn.com
VWF Antibody 271861AP Proteintech Proteinase K Antigen Retrieval To identify the best method for your specific antigen, we recommend testing two methods of hier, for example, citrate buffer ph 6 and tris. Avoiding this step may result in weak or false negative staining. Find optimal conditions and working. Proteinase K Antigen Retrieval.
From ajp.amjpathol.org
Melanoma Spheroid Formation Involves LamininAssociated Vasculogenic Proteinase K Antigen Retrieval Find optimal conditions and working. To identify the best method for your specific antigen, we recommend testing two methods of hier, for example, citrate buffer ph 6 and tris. Avoiding this step may result in weak or false negative staining. Proteinase K Antigen Retrieval.
From www.ptglab.com
immunohistochemistry Proteintech Proteinase K Antigen Retrieval Avoiding this step may result in weak or false negative staining. To identify the best method for your specific antigen, we recommend testing two methods of hier, for example, citrate buffer ph 6 and tris. Find optimal conditions and working. Proteinase K Antigen Retrieval.
From stjohnslabs.com
Proteinase K antibody AntiProteinase K stjohnslabs Proteinase K Antigen Retrieval Avoiding this step may result in weak or false negative staining. To identify the best method for your specific antigen, we recommend testing two methods of hier, for example, citrate buffer ph 6 and tris. Find optimal conditions and working. Proteinase K Antigen Retrieval.
From www.researchgate.net
What should be preferred, using proteinase K and declocker for antigen Proteinase K Antigen Retrieval To identify the best method for your specific antigen, we recommend testing two methods of hier, for example, citrate buffer ph 6 and tris. Avoiding this step may result in weak or false negative staining. Find optimal conditions and working. Proteinase K Antigen Retrieval.
From apslabs.in
Proteinase k 20 mg/mL APS LABS Proteinase K Antigen Retrieval Find optimal conditions and working. Avoiding this step may result in weak or false negative staining. To identify the best method for your specific antigen, we recommend testing two methods of hier, for example, citrate buffer ph 6 and tris. Proteinase K Antigen Retrieval.
From www.clinisciences.com
Rabbit AntiHTR2A / 5HT2A Receptor Antibody (NTerminus) IHCplus™ Proteinase K Antigen Retrieval Find optimal conditions and working. Avoiding this step may result in weak or false negative staining. To identify the best method for your specific antigen, we recommend testing two methods of hier, for example, citrate buffer ph 6 and tris. Proteinase K Antigen Retrieval.