What Is Lung Field Lucency . Lung cancers with air lucency are poorly understood, often recognized only after substantial progression. Hyperlucency on images can result from an excess of air in the. These pockets of air have no discernible wall and can. Areas of diminished lung density are frequently identified both on routine chest radiographs and chest ct examinations. Areas of diminished lung density are frequently identified both on routine chest radiographs and chest ct examinations. These are most commonly related to emphysema. The purpose of this review is to provide a practical diagnostic algorithmic approach to pulmonary hyperlucencies incorporating clinical history and. Lucent area in the lung can be caused by pockets of air called bulla and blebs. Abnormal lucency of the lung can be unilateral or bilateral, focal or diffuse. Areas of diminished lung density are frequently identified both on routine chest radiographs and chest ct examinations.
from radiologykey.com
Areas of diminished lung density are frequently identified both on routine chest radiographs and chest ct examinations. Areas of diminished lung density are frequently identified both on routine chest radiographs and chest ct examinations. These pockets of air have no discernible wall and can. Lucent area in the lung can be caused by pockets of air called bulla and blebs. These are most commonly related to emphysema. The purpose of this review is to provide a practical diagnostic algorithmic approach to pulmonary hyperlucencies incorporating clinical history and. Abnormal lucency of the lung can be unilateral or bilateral, focal or diffuse. Areas of diminished lung density are frequently identified both on routine chest radiographs and chest ct examinations. Lung cancers with air lucency are poorly understood, often recognized only after substantial progression. Hyperlucency on images can result from an excess of air in the.
Signs and Patterns of Lung Disease Radiology Key
What Is Lung Field Lucency The purpose of this review is to provide a practical diagnostic algorithmic approach to pulmonary hyperlucencies incorporating clinical history and. The purpose of this review is to provide a practical diagnostic algorithmic approach to pulmonary hyperlucencies incorporating clinical history and. Areas of diminished lung density are frequently identified both on routine chest radiographs and chest ct examinations. Abnormal lucency of the lung can be unilateral or bilateral, focal or diffuse. Lung cancers with air lucency are poorly understood, often recognized only after substantial progression. Hyperlucency on images can result from an excess of air in the. Lucent area in the lung can be caused by pockets of air called bulla and blebs. Areas of diminished lung density are frequently identified both on routine chest radiographs and chest ct examinations. These are most commonly related to emphysema. These pockets of air have no discernible wall and can. Areas of diminished lung density are frequently identified both on routine chest radiographs and chest ct examinations.
From www.lecturio.com
Charting Lung Sounds [+ Free Cheat Sheet] Lecturio Nursing What Is Lung Field Lucency Areas of diminished lung density are frequently identified both on routine chest radiographs and chest ct examinations. Areas of diminished lung density are frequently identified both on routine chest radiographs and chest ct examinations. These are most commonly related to emphysema. Lucent area in the lung can be caused by pockets of air called bulla and blebs. These pockets of. What Is Lung Field Lucency.
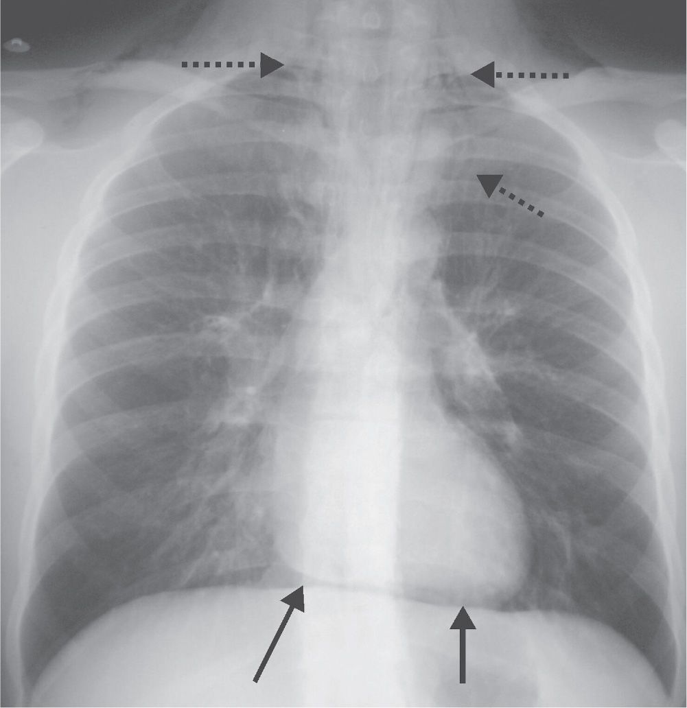
From www.stritch.luc.edu
Low set diaphragm Flat diaphragm best determined by lateral chest Hyper What Is Lung Field Lucency Areas of diminished lung density are frequently identified both on routine chest radiographs and chest ct examinations. Hyperlucency on images can result from an excess of air in the. Areas of diminished lung density are frequently identified both on routine chest radiographs and chest ct examinations. Areas of diminished lung density are frequently identified both on routine chest radiographs and. What Is Lung Field Lucency.
From www.frontiersin.org
Frontiers Lung Ultrasound Assessment of Focal and Nonfocal Lung What Is Lung Field Lucency Areas of diminished lung density are frequently identified both on routine chest radiographs and chest ct examinations. These pockets of air have no discernible wall and can. Areas of diminished lung density are frequently identified both on routine chest radiographs and chest ct examinations. Areas of diminished lung density are frequently identified both on routine chest radiographs and chest ct. What Is Lung Field Lucency.
From www.meddean.luc.edu
Dark lung fields What Is Lung Field Lucency Areas of diminished lung density are frequently identified both on routine chest radiographs and chest ct examinations. Abnormal lucency of the lung can be unilateral or bilateral, focal or diffuse. These are most commonly related to emphysema. Areas of diminished lung density are frequently identified both on routine chest radiographs and chest ct examinations. The purpose of this review is. What Is Lung Field Lucency.
From www.researchgate.net
A. The chest Xray shows a lucency of the left lower field, and What Is Lung Field Lucency Areas of diminished lung density are frequently identified both on routine chest radiographs and chest ct examinations. Areas of diminished lung density are frequently identified both on routine chest radiographs and chest ct examinations. Lucent area in the lung can be caused by pockets of air called bulla and blebs. The purpose of this review is to provide a practical. What Is Lung Field Lucency.
From www.youtube.com
How to Interpret a Chest XRay (Lesson 8 Focal Lung Processes) YouTube What Is Lung Field Lucency Areas of diminished lung density are frequently identified both on routine chest radiographs and chest ct examinations. These pockets of air have no discernible wall and can. Lung cancers with air lucency are poorly understood, often recognized only after substantial progression. The purpose of this review is to provide a practical diagnostic algorithmic approach to pulmonary hyperlucencies incorporating clinical history. What Is Lung Field Lucency.
From www.researchgate.net
Figure1. Chest radiograph (posteroanterior view) showing hyperlucent What Is Lung Field Lucency Lucent area in the lung can be caused by pockets of air called bulla and blebs. Areas of diminished lung density are frequently identified both on routine chest radiographs and chest ct examinations. These pockets of air have no discernible wall and can. Abnormal lucency of the lung can be unilateral or bilateral, focal or diffuse. Areas of diminished lung. What Is Lung Field Lucency.
From radiologykey.com
Signs and Patterns of Lung Disease Radiology Key What Is Lung Field Lucency Lucent area in the lung can be caused by pockets of air called bulla and blebs. Areas of diminished lung density are frequently identified both on routine chest radiographs and chest ct examinations. The purpose of this review is to provide a practical diagnostic algorithmic approach to pulmonary hyperlucencies incorporating clinical history and. Abnormal lucency of the lung can be. What Is Lung Field Lucency.
From www.researchgate.net
Large cystic lucencies ofthe right lung with hyperaeration and What Is Lung Field Lucency Abnormal lucency of the lung can be unilateral or bilateral, focal or diffuse. Lucent area in the lung can be caused by pockets of air called bulla and blebs. These pockets of air have no discernible wall and can. The purpose of this review is to provide a practical diagnostic algorithmic approach to pulmonary hyperlucencies incorporating clinical history and. These. What Is Lung Field Lucency.
From www.researchgate.net
The subdivision of lung fields. The left and right lung are divided What Is Lung Field Lucency Lung cancers with air lucency are poorly understood, often recognized only after substantial progression. These are most commonly related to emphysema. Hyperlucency on images can result from an excess of air in the. The purpose of this review is to provide a practical diagnostic algorithmic approach to pulmonary hyperlucencies incorporating clinical history and. Areas of diminished lung density are frequently. What Is Lung Field Lucency.
From slideplayer.com
Introduction to Surgical Department CXR ppt download What Is Lung Field Lucency Abnormal lucency of the lung can be unilateral or bilateral, focal or diffuse. These are most commonly related to emphysema. Hyperlucency on images can result from an excess of air in the. Areas of diminished lung density are frequently identified both on routine chest radiographs and chest ct examinations. Areas of diminished lung density are frequently identified both on routine. What Is Lung Field Lucency.
From www.researchgate.net
PA chest Xray showing linear lucencies projected over the upper What Is Lung Field Lucency Areas of diminished lung density are frequently identified both on routine chest radiographs and chest ct examinations. Lung cancers with air lucency are poorly understood, often recognized only after substantial progression. Hyperlucency on images can result from an excess of air in the. These pockets of air have no discernible wall and can. Abnormal lucency of the lung can be. What Is Lung Field Lucency.
From mavink.com
Posterior Anterior X Ray What Is Lung Field Lucency These pockets of air have no discernible wall and can. Hyperlucency on images can result from an excess of air in the. Lucent area in the lung can be caused by pockets of air called bulla and blebs. Areas of diminished lung density are frequently identified both on routine chest radiographs and chest ct examinations. These are most commonly related. What Is Lung Field Lucency.
From www.radtechonduty.com
Respiratory Disease Emphysema RadTechOnDuty What Is Lung Field Lucency Lucent area in the lung can be caused by pockets of air called bulla and blebs. These pockets of air have no discernible wall and can. The purpose of this review is to provide a practical diagnostic algorithmic approach to pulmonary hyperlucencies incorporating clinical history and. Abnormal lucency of the lung can be unilateral or bilateral, focal or diffuse. Areas. What Is Lung Field Lucency.
From ietresearch.onlinelibrary.wiley.com
Lung field segmentation in chest radiographs a historical review What Is Lung Field Lucency Lucent area in the lung can be caused by pockets of air called bulla and blebs. Areas of diminished lung density are frequently identified both on routine chest radiographs and chest ct examinations. These pockets of air have no discernible wall and can. The purpose of this review is to provide a practical diagnostic algorithmic approach to pulmonary hyperlucencies incorporating. What Is Lung Field Lucency.
From www.researchgate.net
Hypertranslucency of the lung field with bronchovesicular markings What Is Lung Field Lucency Areas of diminished lung density are frequently identified both on routine chest radiographs and chest ct examinations. Hyperlucency on images can result from an excess of air in the. These are most commonly related to emphysema. Lung cancers with air lucency are poorly understood, often recognized only after substantial progression. Areas of diminished lung density are frequently identified both on. What Is Lung Field Lucency.
From www.jcvaonline.com
Is Collapse of the Lung With Increased Lucency on a Chest XRay Always What Is Lung Field Lucency These pockets of air have no discernible wall and can. Lucent area in the lung can be caused by pockets of air called bulla and blebs. Hyperlucency on images can result from an excess of air in the. Abnormal lucency of the lung can be unilateral or bilateral, focal or diffuse. Areas of diminished lung density are frequently identified both. What Is Lung Field Lucency.
From www.researchgate.net
Preoperative chest radiograph. Hyperinflation of the lung and increased What Is Lung Field Lucency Areas of diminished lung density are frequently identified both on routine chest radiographs and chest ct examinations. Lung cancers with air lucency are poorly understood, often recognized only after substantial progression. Areas of diminished lung density are frequently identified both on routine chest radiographs and chest ct examinations. Abnormal lucency of the lung can be unilateral or bilateral, focal or. What Is Lung Field Lucency.
From lungs.thecommonvein.net
Upper Lung Zones and Silicosis Lungs What Is Lung Field Lucency Areas of diminished lung density are frequently identified both on routine chest radiographs and chest ct examinations. These are most commonly related to emphysema. These pockets of air have no discernible wall and can. Areas of diminished lung density are frequently identified both on routine chest radiographs and chest ct examinations. Areas of diminished lung density are frequently identified both. What Is Lung Field Lucency.
From slideplayer.com
Introduction to Surgical Department CXR ppt download What Is Lung Field Lucency Hyperlucency on images can result from an excess of air in the. Lung cancers with air lucency are poorly understood, often recognized only after substantial progression. These are most commonly related to emphysema. Areas of diminished lung density are frequently identified both on routine chest radiographs and chest ct examinations. The purpose of this review is to provide a practical. What Is Lung Field Lucency.
From www.sciencephoto.com
Human lungs, 3D CT scan Stock Image C030/8354 Science Photo Library What Is Lung Field Lucency Hyperlucency on images can result from an excess of air in the. These pockets of air have no discernible wall and can. Areas of diminished lung density are frequently identified both on routine chest radiographs and chest ct examinations. The purpose of this review is to provide a practical diagnostic algorithmic approach to pulmonary hyperlucencies incorporating clinical history and. Lucent. What Is Lung Field Lucency.
From www.slideserve.com
PPT Radiological Anatomy of Thorax PowerPoint Presentation, free What Is Lung Field Lucency Areas of diminished lung density are frequently identified both on routine chest radiographs and chest ct examinations. Hyperlucency on images can result from an excess of air in the. Lucent area in the lung can be caused by pockets of air called bulla and blebs. These pockets of air have no discernible wall and can. Lung cancers with air lucency. What Is Lung Field Lucency.
From animalia-life.club
Pulmonary Lobule Model What Is Lung Field Lucency The purpose of this review is to provide a practical diagnostic algorithmic approach to pulmonary hyperlucencies incorporating clinical history and. Areas of diminished lung density are frequently identified both on routine chest radiographs and chest ct examinations. These are most commonly related to emphysema. These pockets of air have no discernible wall and can. Abnormal lucency of the lung can. What Is Lung Field Lucency.
From www.researchgate.net
Lung CT images and the corresponding CAMs. (A) ATB CT images of the What Is Lung Field Lucency These are most commonly related to emphysema. Areas of diminished lung density are frequently identified both on routine chest radiographs and chest ct examinations. Abnormal lucency of the lung can be unilateral or bilateral, focal or diffuse. Areas of diminished lung density are frequently identified both on routine chest radiographs and chest ct examinations. Hyperlucency on images can result from. What Is Lung Field Lucency.
From www.researchgate.net
Segmented lung fields with landmarks on the left and right. Download What Is Lung Field Lucency Areas of diminished lung density are frequently identified both on routine chest radiographs and chest ct examinations. Lucent area in the lung can be caused by pockets of air called bulla and blebs. Hyperlucency on images can result from an excess of air in the. The purpose of this review is to provide a practical diagnostic algorithmic approach to pulmonary. What Is Lung Field Lucency.
From www.researchgate.net
A. The chest Xray shows a lucency of the left lower field, and What Is Lung Field Lucency Areas of diminished lung density are frequently identified both on routine chest radiographs and chest ct examinations. Areas of diminished lung density are frequently identified both on routine chest radiographs and chest ct examinations. The purpose of this review is to provide a practical diagnostic algorithmic approach to pulmonary hyperlucencies incorporating clinical history and. Lung cancers with air lucency are. What Is Lung Field Lucency.
From www.researchgate.net
Chest xray with relative lucency projecting over the medial right lung What Is Lung Field Lucency Lucent area in the lung can be caused by pockets of air called bulla and blebs. Lung cancers with air lucency are poorly understood, often recognized only after substantial progression. Hyperlucency on images can result from an excess of air in the. These pockets of air have no discernible wall and can. Areas of diminished lung density are frequently identified. What Is Lung Field Lucency.
From medictests.com
The Lungs and Pulmonary Capillaries MedicTests What Is Lung Field Lucency Areas of diminished lung density are frequently identified both on routine chest radiographs and chest ct examinations. These are most commonly related to emphysema. Hyperlucency on images can result from an excess of air in the. Abnormal lucency of the lung can be unilateral or bilateral, focal or diffuse. Areas of diminished lung density are frequently identified both on routine. What Is Lung Field Lucency.
From www.researchgate.net
Sagittal view of the whole lung field. Chest computed tomography (CT What Is Lung Field Lucency The purpose of this review is to provide a practical diagnostic algorithmic approach to pulmonary hyperlucencies incorporating clinical history and. These pockets of air have no discernible wall and can. Lung cancers with air lucency are poorly understood, often recognized only after substantial progression. Hyperlucency on images can result from an excess of air in the. Areas of diminished lung. What Is Lung Field Lucency.
From www.ajronline.org
Pulmonary Hyperlucency in Adults AJR What Is Lung Field Lucency These pockets of air have no discernible wall and can. Areas of diminished lung density are frequently identified both on routine chest radiographs and chest ct examinations. Areas of diminished lung density are frequently identified both on routine chest radiographs and chest ct examinations. These are most commonly related to emphysema. Abnormal lucency of the lung can be unilateral or. What Is Lung Field Lucency.
From www.researchgate.net
Example of the lung fields in a chest radiograph. Red arrows indicate What Is Lung Field Lucency Abnormal lucency of the lung can be unilateral or bilateral, focal or diffuse. The purpose of this review is to provide a practical diagnostic algorithmic approach to pulmonary hyperlucencies incorporating clinical history and. Lucent area in the lung can be caused by pockets of air called bulla and blebs. These pockets of air have no discernible wall and can. Areas. What Is Lung Field Lucency.
From radiologykey.com
Signs and Patterns of Lung Disease Radiology Key What Is Lung Field Lucency Hyperlucency on images can result from an excess of air in the. Areas of diminished lung density are frequently identified both on routine chest radiographs and chest ct examinations. Areas of diminished lung density are frequently identified both on routine chest radiographs and chest ct examinations. Lucent area in the lung can be caused by pockets of air called bulla. What Is Lung Field Lucency.
From www.researchgate.net
Lung field division using Modified Chest Xray Scoring System on chest What Is Lung Field Lucency Areas of diminished lung density are frequently identified both on routine chest radiographs and chest ct examinations. These pockets of air have no discernible wall and can. Areas of diminished lung density are frequently identified both on routine chest radiographs and chest ct examinations. Lucent area in the lung can be caused by pockets of air called bulla and blebs.. What Is Lung Field Lucency.
From www.lecturio.com
Pulmonary Radiology Concise Medical Knowledge What Is Lung Field Lucency These are most commonly related to emphysema. Areas of diminished lung density are frequently identified both on routine chest radiographs and chest ct examinations. Areas of diminished lung density are frequently identified both on routine chest radiographs and chest ct examinations. The purpose of this review is to provide a practical diagnostic algorithmic approach to pulmonary hyperlucencies incorporating clinical history. What Is Lung Field Lucency.
From www.researchgate.net
The patient's pulmonary visual field brightness increased, and the What Is Lung Field Lucency Areas of diminished lung density are frequently identified both on routine chest radiographs and chest ct examinations. Hyperlucency on images can result from an excess of air in the. These pockets of air have no discernible wall and can. Abnormal lucency of the lung can be unilateral or bilateral, focal or diffuse. Lucent area in the lung can be caused. What Is Lung Field Lucency.