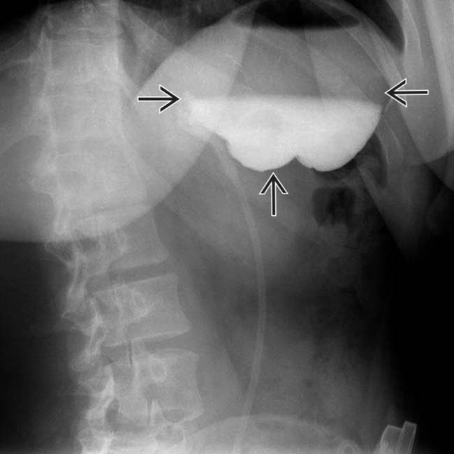
Gastric Band Position Radiology . Phi angle is useful to assess position 1: The adjustable soft silicone band, a tube connecting the band to the final part, and the access port (fig 1). Fluoroscopy is a versatile tool in assessing for potential gastric band complications. This article reviews the most commonly performed bariatric procedures, the normal imaging findings on fluoroscopic upper gi and computed tomography (ct) studies, and the role of imaging studies in detecting complications associated with these procedures. The adjustable soft silicone band, a tube connecting the band to the final part, and the access port (fig 1). It can not only demonstrate. 3,7 most lagb consist of three main parts: The article provides an overview of the techniques and systems used in laparoscopic adjustable gastric banding, describes normal postoperative imaging appearances and imaging. The purpose of this article is to describe a sign on radiography for gastric band slippage, a complication of adjustable gastric banding. Lagb is a restrictive form of bariatric surgery that reduces proximal stomach capacity, thus inducing early satiety and decreased calorie intake. Must be measured with the gastric band in profile. A gastric band is a popular form of bariatric surgery and is a surgically placed device, used to assist in weight loss and is adjustable.
from pubs.rsna.org
The article provides an overview of the techniques and systems used in laparoscopic adjustable gastric banding, describes normal postoperative imaging appearances and imaging. Lagb is a restrictive form of bariatric surgery that reduces proximal stomach capacity, thus inducing early satiety and decreased calorie intake. The adjustable soft silicone band, a tube connecting the band to the final part, and the access port (fig 1). 3,7 most lagb consist of three main parts: The purpose of this article is to describe a sign on radiography for gastric band slippage, a complication of adjustable gastric banding. Fluoroscopy is a versatile tool in assessing for potential gastric band complications. Must be measured with the gastric band in profile. Phi angle is useful to assess position 1: The adjustable soft silicone band, a tube connecting the band to the final part, and the access port (fig 1). This article reviews the most commonly performed bariatric procedures, the normal imaging findings on fluoroscopic upper gi and computed tomography (ct) studies, and the role of imaging studies in detecting complications associated with these procedures.
Laparoscopic Adjustable Gastric Banding What Radiologists Need to Know
Gastric Band Position Radiology The adjustable soft silicone band, a tube connecting the band to the final part, and the access port (fig 1). 3,7 most lagb consist of three main parts: Lagb is a restrictive form of bariatric surgery that reduces proximal stomach capacity, thus inducing early satiety and decreased calorie intake. A gastric band is a popular form of bariatric surgery and is a surgically placed device, used to assist in weight loss and is adjustable. Fluoroscopy is a versatile tool in assessing for potential gastric band complications. Must be measured with the gastric band in profile. It can not only demonstrate. The adjustable soft silicone band, a tube connecting the band to the final part, and the access port (fig 1). The article provides an overview of the techniques and systems used in laparoscopic adjustable gastric banding, describes normal postoperative imaging appearances and imaging. The adjustable soft silicone band, a tube connecting the band to the final part, and the access port (fig 1). Phi angle is useful to assess position 1: The purpose of this article is to describe a sign on radiography for gastric band slippage, a complication of adjustable gastric banding. This article reviews the most commonly performed bariatric procedures, the normal imaging findings on fluoroscopic upper gi and computed tomography (ct) studies, and the role of imaging studies in detecting complications associated with these procedures.
From www.openaccessjournals.com
Role of imaging in bariatric procedures RouxenY gastric bypass Gastric Band Position Radiology It can not only demonstrate. Phi angle is useful to assess position 1: This article reviews the most commonly performed bariatric procedures, the normal imaging findings on fluoroscopic upper gi and computed tomography (ct) studies, and the role of imaging studies in detecting complications associated with these procedures. Fluoroscopy is a versatile tool in assessing for potential gastric band complications.. Gastric Band Position Radiology.
From pubs.rsna.org
Laparoscopic Adjustable Gastric Banding What Radiologists Need to Know Gastric Band Position Radiology It can not only demonstrate. The adjustable soft silicone band, a tube connecting the band to the final part, and the access port (fig 1). The article provides an overview of the techniques and systems used in laparoscopic adjustable gastric banding, describes normal postoperative imaging appearances and imaging. Fluoroscopy is a versatile tool in assessing for potential gastric band complications.. Gastric Band Position Radiology.
From bariatrictimes.com
Gastric Band Adjustments Benefits of FluoroscopyGuided Adjustments Gastric Band Position Radiology The adjustable soft silicone band, a tube connecting the band to the final part, and the access port (fig 1). A gastric band is a popular form of bariatric surgery and is a surgically placed device, used to assist in weight loss and is adjustable. This article reviews the most commonly performed bariatric procedures, the normal imaging findings on fluoroscopic. Gastric Band Position Radiology.
From radiopaedia.org
Slipped lap band O sign Image Gastric Band Position Radiology The purpose of this article is to describe a sign on radiography for gastric band slippage, a complication of adjustable gastric banding. This article reviews the most commonly performed bariatric procedures, the normal imaging findings on fluoroscopic upper gi and computed tomography (ct) studies, and the role of imaging studies in detecting complications associated with these procedures. Lagb is a. Gastric Band Position Radiology.
From pubs.rsna.org
Laparoscopic Adjustable Gastric Banding What Radiologists Need to Know Gastric Band Position Radiology It can not only demonstrate. Fluoroscopy is a versatile tool in assessing for potential gastric band complications. The article provides an overview of the techniques and systems used in laparoscopic adjustable gastric banding, describes normal postoperative imaging appearances and imaging. The adjustable soft silicone band, a tube connecting the band to the final part, and the access port (fig 1).. Gastric Band Position Radiology.
From epos.myesr.org
EPOS™ C0548 Gastric Band Position Radiology Must be measured with the gastric band in profile. Lagb is a restrictive form of bariatric surgery that reduces proximal stomach capacity, thus inducing early satiety and decreased calorie intake. This article reviews the most commonly performed bariatric procedures, the normal imaging findings on fluoroscopic upper gi and computed tomography (ct) studies, and the role of imaging studies in detecting. Gastric Band Position Radiology.
From pubs.rsna.org
Laparoscopic Adjustable Gastric Banding What Radiologists Need to Know Gastric Band Position Radiology This article reviews the most commonly performed bariatric procedures, the normal imaging findings on fluoroscopic upper gi and computed tomography (ct) studies, and the role of imaging studies in detecting complications associated with these procedures. It can not only demonstrate. Fluoroscopy is a versatile tool in assessing for potential gastric band complications. Lagb is a restrictive form of bariatric surgery. Gastric Band Position Radiology.
From foodkeg.com
Lap Band Surgery For Weight Loss Food Keg Gastric Band Position Radiology A gastric band is a popular form of bariatric surgery and is a surgically placed device, used to assist in weight loss and is adjustable. Phi angle is useful to assess position 1: Lagb is a restrictive form of bariatric surgery that reduces proximal stomach capacity, thus inducing early satiety and decreased calorie intake. 3,7 most lagb consist of three. Gastric Band Position Radiology.
From www.eurorad.org
Slipping gastric band with pouch dilatation a case report Eurorad Gastric Band Position Radiology Must be measured with the gastric band in profile. Lagb is a restrictive form of bariatric surgery that reduces proximal stomach capacity, thus inducing early satiety and decreased calorie intake. This article reviews the most commonly performed bariatric procedures, the normal imaging findings on fluoroscopic upper gi and computed tomography (ct) studies, and the role of imaging studies in detecting. Gastric Band Position Radiology.
From pubs.rsna.org
Laparoscopic Adjustable Gastric Banding What Radiologists Need to Know Gastric Band Position Radiology The adjustable soft silicone band, a tube connecting the band to the final part, and the access port (fig 1). 3,7 most lagb consist of three main parts: Phi angle is useful to assess position 1: Must be measured with the gastric band in profile. Fluoroscopy is a versatile tool in assessing for potential gastric band complications. A gastric band. Gastric Band Position Radiology.
From pubs.rsna.org
Laparoscopic Adjustable Gastric Banding What Radiologists Need to Know Gastric Band Position Radiology 3,7 most lagb consist of three main parts: A gastric band is a popular form of bariatric surgery and is a surgically placed device, used to assist in weight loss and is adjustable. The article provides an overview of the techniques and systems used in laparoscopic adjustable gastric banding, describes normal postoperative imaging appearances and imaging. The adjustable soft silicone. Gastric Band Position Radiology.
From pubs.rsna.org
Laparoscopic Adjustable Gastric Banding What Radiologists Need to Know Gastric Band Position Radiology The adjustable soft silicone band, a tube connecting the band to the final part, and the access port (fig 1). 3,7 most lagb consist of three main parts: Lagb is a restrictive form of bariatric surgery that reduces proximal stomach capacity, thus inducing early satiety and decreased calorie intake. Phi angle is useful to assess position 1: Fluoroscopy is a. Gastric Band Position Radiology.
From radiologykey.com
Imaging of Bariatric Surgery Radiology Key Gastric Band Position Radiology The purpose of this article is to describe a sign on radiography for gastric band slippage, a complication of adjustable gastric banding. This article reviews the most commonly performed bariatric procedures, the normal imaging findings on fluoroscopic upper gi and computed tomography (ct) studies, and the role of imaging studies in detecting complications associated with these procedures. The adjustable soft. Gastric Band Position Radiology.
From pubs.rsna.org
Laparoscopic Adjustable Gastric Banding What Radiologists Need to Know Gastric Band Position Radiology This article reviews the most commonly performed bariatric procedures, the normal imaging findings on fluoroscopic upper gi and computed tomography (ct) studies, and the role of imaging studies in detecting complications associated with these procedures. 3,7 most lagb consist of three main parts: Fluoroscopy is a versatile tool in assessing for potential gastric band complications. Lagb is a restrictive form. Gastric Band Position Radiology.
From pubs.rsna.org
Laparoscopic Adjustable Gastric Banding What Radiologists Need to Know Gastric Band Position Radiology It can not only demonstrate. Fluoroscopy is a versatile tool in assessing for potential gastric band complications. Phi angle is useful to assess position 1: 3,7 most lagb consist of three main parts: Lagb is a restrictive form of bariatric surgery that reduces proximal stomach capacity, thus inducing early satiety and decreased calorie intake. The adjustable soft silicone band, a. Gastric Band Position Radiology.
From pubs.rsna.org
Laparoscopic Adjustable Gastric Banding What Radiologists Need to Know Gastric Band Position Radiology The article provides an overview of the techniques and systems used in laparoscopic adjustable gastric banding, describes normal postoperative imaging appearances and imaging. 3,7 most lagb consist of three main parts: Lagb is a restrictive form of bariatric surgery that reduces proximal stomach capacity, thus inducing early satiety and decreased calorie intake. Fluoroscopy is a versatile tool in assessing for. Gastric Band Position Radiology.
From www.medscape.com
Imaging Findings in Bariatric Surgery Gastric Band Position Radiology Must be measured with the gastric band in profile. The article provides an overview of the techniques and systems used in laparoscopic adjustable gastric banding, describes normal postoperative imaging appearances and imaging. It can not only demonstrate. The adjustable soft silicone band, a tube connecting the band to the final part, and the access port (fig 1). Lagb is a. Gastric Band Position Radiology.
From www.researchgate.net
Abdominal radiograph (KUB) showing gastric band (black arrow) and port Gastric Band Position Radiology 3,7 most lagb consist of three main parts: This article reviews the most commonly performed bariatric procedures, the normal imaging findings on fluoroscopic upper gi and computed tomography (ct) studies, and the role of imaging studies in detecting complications associated with these procedures. A gastric band is a popular form of bariatric surgery and is a surgically placed device, used. Gastric Band Position Radiology.
From pubs.rsna.org
Imaging of Bariatric Surgery Normal Anatomy and Postoperative Gastric Band Position Radiology Lagb is a restrictive form of bariatric surgery that reduces proximal stomach capacity, thus inducing early satiety and decreased calorie intake. The adjustable soft silicone band, a tube connecting the band to the final part, and the access port (fig 1). 3,7 most lagb consist of three main parts: The purpose of this article is to describe a sign on. Gastric Band Position Radiology.
From pubs.rsna.org
Laparoscopic Adjustable Gastric Banding What Radiologists Need to Know Gastric Band Position Radiology 3,7 most lagb consist of three main parts: The purpose of this article is to describe a sign on radiography for gastric band slippage, a complication of adjustable gastric banding. The article provides an overview of the techniques and systems used in laparoscopic adjustable gastric banding, describes normal postoperative imaging appearances and imaging. Lagb is a restrictive form of bariatric. Gastric Band Position Radiology.
From www.medscape.com
Imaging Findings in Bariatric Surgery Gastric Band Position Radiology This article reviews the most commonly performed bariatric procedures, the normal imaging findings on fluoroscopic upper gi and computed tomography (ct) studies, and the role of imaging studies in detecting complications associated with these procedures. The purpose of this article is to describe a sign on radiography for gastric band slippage, a complication of adjustable gastric banding. 3,7 most lagb. Gastric Band Position Radiology.
From drmariocamelo.com
Gastric Band to Sleeve Gastrectomy Dr. Mario Camelo Gastric Band Position Radiology This article reviews the most commonly performed bariatric procedures, the normal imaging findings on fluoroscopic upper gi and computed tomography (ct) studies, and the role of imaging studies in detecting complications associated with these procedures. The purpose of this article is to describe a sign on radiography for gastric band slippage, a complication of adjustable gastric banding. The article provides. Gastric Band Position Radiology.
From pubs.rsna.org
Laparoscopic Adjustable Gastric Banding What Radiologists Need to Know Gastric Band Position Radiology The purpose of this article is to describe a sign on radiography for gastric band slippage, a complication of adjustable gastric banding. A gastric band is a popular form of bariatric surgery and is a surgically placed device, used to assist in weight loss and is adjustable. The article provides an overview of the techniques and systems used in laparoscopic. Gastric Band Position Radiology.
From www.bmj.com
Odynophagia and vomiting eight years after laparoscopic adjustable Gastric Band Position Radiology The adjustable soft silicone band, a tube connecting the band to the final part, and the access port (fig 1). Fluoroscopy is a versatile tool in assessing for potential gastric band complications. 3,7 most lagb consist of three main parts: This article reviews the most commonly performed bariatric procedures, the normal imaging findings on fluoroscopic upper gi and computed tomography. Gastric Band Position Radiology.
From pubs.rsna.org
Laparoscopic Adjustable Gastric Banding What Radiologists Need to Know Gastric Band Position Radiology The adjustable soft silicone band, a tube connecting the band to the final part, and the access port (fig 1). The purpose of this article is to describe a sign on radiography for gastric band slippage, a complication of adjustable gastric banding. Phi angle is useful to assess position 1: A gastric band is a popular form of bariatric surgery. Gastric Band Position Radiology.
From www.cureus.com
Cureus Laparoscopic Adjustable Gastric Band Slippage Presenting as Gastric Band Position Radiology The purpose of this article is to describe a sign on radiography for gastric band slippage, a complication of adjustable gastric banding. Phi angle is useful to assess position 1: It can not only demonstrate. The article provides an overview of the techniques and systems used in laparoscopic adjustable gastric banding, describes normal postoperative imaging appearances and imaging. Fluoroscopy is. Gastric Band Position Radiology.
From www.researchgate.net
Slippage of gastric band in a 54yearold woman. Abdominal plain Gastric Band Position Radiology Lagb is a restrictive form of bariatric surgery that reduces proximal stomach capacity, thus inducing early satiety and decreased calorie intake. Must be measured with the gastric band in profile. The adjustable soft silicone band, a tube connecting the band to the final part, and the access port (fig 1). Fluoroscopy is a versatile tool in assessing for potential gastric. Gastric Band Position Radiology.
From radiologykey.com
Imaging of Bariatric Surgery Radiology Key Gastric Band Position Radiology A gastric band is a popular form of bariatric surgery and is a surgically placed device, used to assist in weight loss and is adjustable. This article reviews the most commonly performed bariatric procedures, the normal imaging findings on fluoroscopic upper gi and computed tomography (ct) studies, and the role of imaging studies in detecting complications associated with these procedures.. Gastric Band Position Radiology.
From pubs.rsna.org
Laparoscopic Adjustable Gastric Banding What Radiologists Need to Know Gastric Band Position Radiology A gastric band is a popular form of bariatric surgery and is a surgically placed device, used to assist in weight loss and is adjustable. 3,7 most lagb consist of three main parts: This article reviews the most commonly performed bariatric procedures, the normal imaging findings on fluoroscopic upper gi and computed tomography (ct) studies, and the role of imaging. Gastric Band Position Radiology.
From slidetodoc.com
Imaging of Bariatric Surgery Normal Anatomy and Postoperative Gastric Band Position Radiology Must be measured with the gastric band in profile. Phi angle is useful to assess position 1: A gastric band is a popular form of bariatric surgery and is a surgically placed device, used to assist in weight loss and is adjustable. 3,7 most lagb consist of three main parts: Lagb is a restrictive form of bariatric surgery that reduces. Gastric Band Position Radiology.
From pubs.rsna.org
Laparoscopic Adjustable Gastric Banding What Radiologists Need to Know Gastric Band Position Radiology Fluoroscopy is a versatile tool in assessing for potential gastric band complications. The article provides an overview of the techniques and systems used in laparoscopic adjustable gastric banding, describes normal postoperative imaging appearances and imaging. It can not only demonstrate. The adjustable soft silicone band, a tube connecting the band to the final part, and the access port (fig 1).. Gastric Band Position Radiology.
From radiopaedia.org
Image Gastric Band Position Radiology Phi angle is useful to assess position 1: Must be measured with the gastric band in profile. It can not only demonstrate. The article provides an overview of the techniques and systems used in laparoscopic adjustable gastric banding, describes normal postoperative imaging appearances and imaging. A gastric band is a popular form of bariatric surgery and is a surgically placed. Gastric Band Position Radiology.
From www.researchgate.net
Fig. Fig. 4 Normal barium swallow. Well positioned band with an angle Gastric Band Position Radiology A gastric band is a popular form of bariatric surgery and is a surgically placed device, used to assist in weight loss and is adjustable. 3,7 most lagb consist of three main parts: The adjustable soft silicone band, a tube connecting the band to the final part, and the access port (fig 1). Phi angle is useful to assess position. Gastric Band Position Radiology.
From radiologykey.com
Imaging of Bariatric Surgery Radiology Key Gastric Band Position Radiology 3,7 most lagb consist of three main parts: A gastric band is a popular form of bariatric surgery and is a surgically placed device, used to assist in weight loss and is adjustable. The article provides an overview of the techniques and systems used in laparoscopic adjustable gastric banding, describes normal postoperative imaging appearances and imaging. The adjustable soft silicone. Gastric Band Position Radiology.
From pubs.rsna.org
Laparoscopic Adjustable Gastric Banding What Radiologists Need to Know Gastric Band Position Radiology Fluoroscopy is a versatile tool in assessing for potential gastric band complications. This article reviews the most commonly performed bariatric procedures, the normal imaging findings on fluoroscopic upper gi and computed tomography (ct) studies, and the role of imaging studies in detecting complications associated with these procedures. The adjustable soft silicone band, a tube connecting the band to the final. Gastric Band Position Radiology.