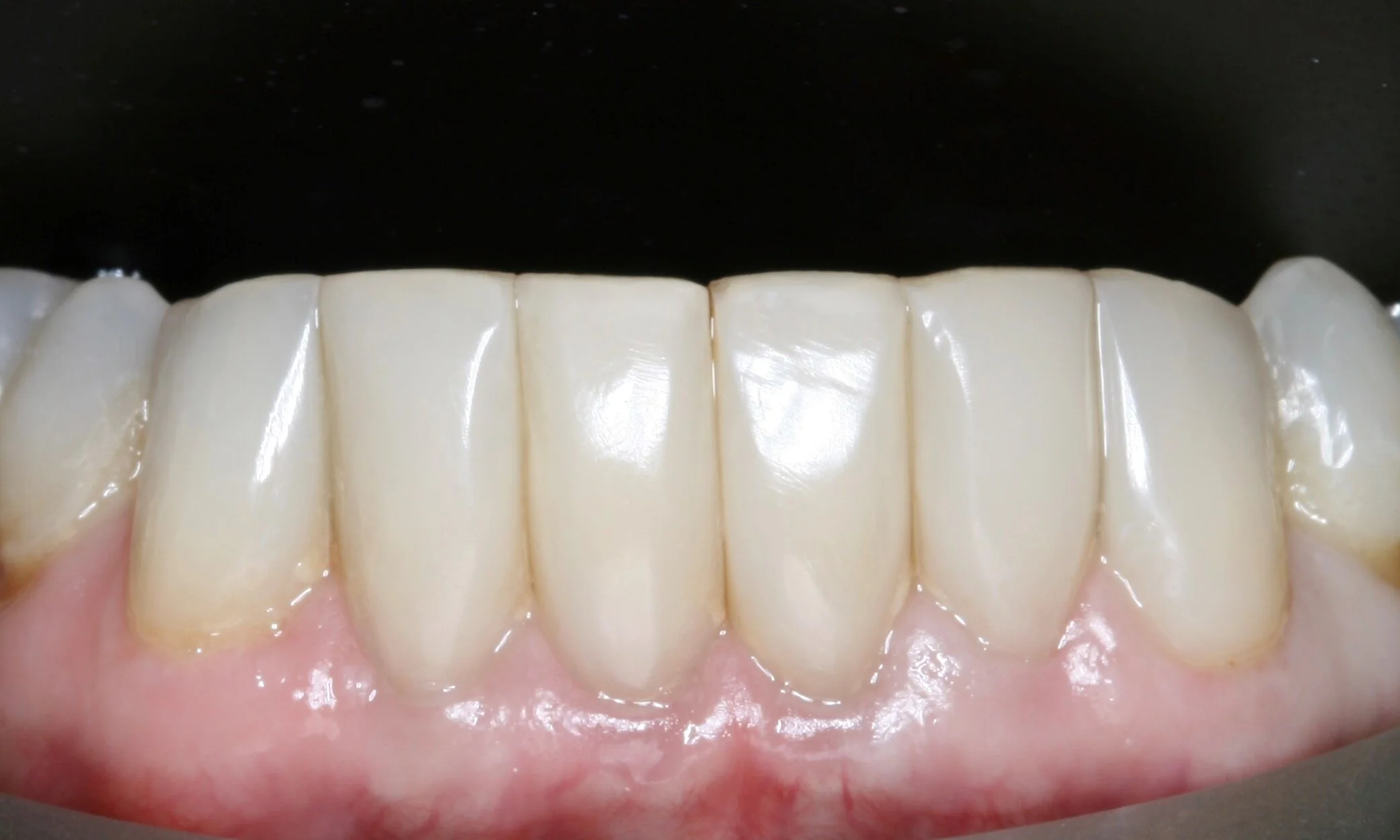
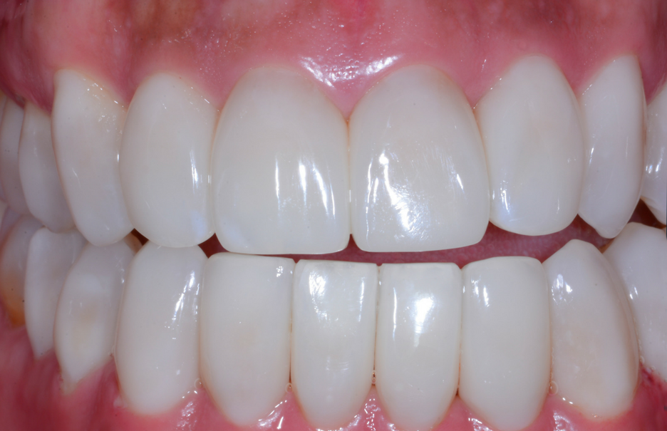
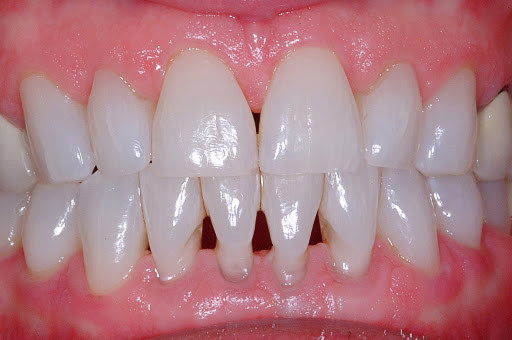
Can You Fill Black Triangles In Teeth . Also known as black spaces or open gingival embrasures, black triangles occur when there is a visible space between teeth, often near the gumline. Loss of papillae results in open gingival embrasures or black triangles. We explain what these dark triangles mean, how to treat. Typically, each gap between someone’s teeth is filled with a little bit of gum tissue, called a papilla. Black triangles are a problem with the level of bone between your teeth and adding dermal fillers won't address the underlying. These gaps, known as “open gingival embrasures,” can be both an. What causes black triangle teeth? Here are some of the most common causes: black triangles between your teeth are also known as “open gingival embrasures.” these gaps are the result of your gum tissue. Talk to your dentist if you notice black triangles between your teeth. Have you noticed small black triangles between your teeth? These gaps can form between teeth for various reasons, some more serious than others. The unsightly black triangles that form between your teeth are usually due to gingival (gum) recession or resorption of the gingival papilla or.
from www.orangectdentist.com
These gaps, known as “open gingival embrasures,” can be both an. Have you noticed small black triangles between your teeth? We explain what these dark triangles mean, how to treat. Typically, each gap between someone’s teeth is filled with a little bit of gum tissue, called a papilla. The unsightly black triangles that form between your teeth are usually due to gingival (gum) recession or resorption of the gingival papilla or. Also known as black spaces or open gingival embrasures, black triangles occur when there is a visible space between teeth, often near the gumline. Talk to your dentist if you notice black triangles between your teeth. These gaps can form between teeth for various reasons, some more serious than others. Black triangles are a problem with the level of bone between your teeth and adding dermal fillers won't address the underlying. black triangles between your teeth are also known as “open gingival embrasures.” these gaps are the result of your gum tissue.
Beat the Black Triangle with Bonding Dentist Orange, CT
Can You Fill Black Triangles In Teeth These gaps, known as “open gingival embrasures,” can be both an. black triangles between your teeth are also known as “open gingival embrasures.” these gaps are the result of your gum tissue. We explain what these dark triangles mean, how to treat. What causes black triangle teeth? Here are some of the most common causes: Talk to your dentist if you notice black triangles between your teeth. Also known as black spaces or open gingival embrasures, black triangles occur when there is a visible space between teeth, often near the gumline. Have you noticed small black triangles between your teeth? Black triangles are a problem with the level of bone between your teeth and adding dermal fillers won't address the underlying. These gaps, known as “open gingival embrasures,” can be both an. Typically, each gap between someone’s teeth is filled with a little bit of gum tissue, called a papilla. Loss of papillae results in open gingival embrasures or black triangles. These gaps can form between teeth for various reasons, some more serious than others. The unsightly black triangles that form between your teeth are usually due to gingival (gum) recession or resorption of the gingival papilla or.
From vigorousism.com
How To Fix Black Triangle Teeth A Comprehensive Guide In 2023 Can You Fill Black Triangles In Teeth The unsightly black triangles that form between your teeth are usually due to gingival (gum) recession or resorption of the gingival papilla or. Here are some of the most common causes: Also known as black spaces or open gingival embrasures, black triangles occur when there is a visible space between teeth, often near the gumline. These gaps can form between. Can You Fill Black Triangles In Teeth.
From invisaligngeek.com
Black Triangle Teeth Invisalign What You Should Know Can You Fill Black Triangles In Teeth The unsightly black triangles that form between your teeth are usually due to gingival (gum) recession or resorption of the gingival papilla or. Have you noticed small black triangles between your teeth? Typically, each gap between someone’s teeth is filled with a little bit of gum tissue, called a papilla. These gaps can form between teeth for various reasons, some. Can You Fill Black Triangles In Teeth.
From nypost.com
Dentist shares how to fix 'black triangles' between teeth Can You Fill Black Triangles In Teeth Here are some of the most common causes: Black triangles are a problem with the level of bone between your teeth and adding dermal fillers won't address the underlying. The unsightly black triangles that form between your teeth are usually due to gingival (gum) recession or resorption of the gingival papilla or. Loss of papillae results in open gingival embrasures. Can You Fill Black Triangles In Teeth.
From www.smilesbyhanna.com
How to Fix Triangular Spaces Between Teeth Smiles By Hanna Can You Fill Black Triangles In Teeth Also known as black spaces or open gingival embrasures, black triangles occur when there is a visible space between teeth, often near the gumline. The unsightly black triangles that form between your teeth are usually due to gingival (gum) recession or resorption of the gingival papilla or. Loss of papillae results in open gingival embrasures or black triangles. Here are. Can You Fill Black Triangles In Teeth.
From www.fergusortho.com
Why Do I Have Black Triangles in My Teeth Jonesboro, AR Can You Fill Black Triangles In Teeth Also known as black spaces or open gingival embrasures, black triangles occur when there is a visible space between teeth, often near the gumline. Talk to your dentist if you notice black triangles between your teeth. black triangles between your teeth are also known as “open gingival embrasures.” these gaps are the result of your gum tissue. Typically, each gap. Can You Fill Black Triangles In Teeth.
From www.esthetiquedental.co.uk
Black Triangles Between Teeth and Old Discoloured Fillings Esthetique Dental Can You Fill Black Triangles In Teeth Loss of papillae results in open gingival embrasures or black triangles. The unsightly black triangles that form between your teeth are usually due to gingival (gum) recession or resorption of the gingival papilla or. Black triangles are a problem with the level of bone between your teeth and adding dermal fillers won't address the underlying. These gaps can form between. Can You Fill Black Triangles In Teeth.
From www.ladbible.com
TikTok dentist explains what actually causes ‘black triangles’ between your teeth Can You Fill Black Triangles In Teeth Talk to your dentist if you notice black triangles between your teeth. These gaps, known as “open gingival embrasures,” can be both an. What causes black triangle teeth? Black triangles are a problem with the level of bone between your teeth and adding dermal fillers won't address the underlying. We explain what these dark triangles mean, how to treat. These. Can You Fill Black Triangles In Teeth.
From www.belladental.com.au
Can black triangles between teeth be fixed? Bella Dental Penrith Can You Fill Black Triangles In Teeth Here are some of the most common causes: The unsightly black triangles that form between your teeth are usually due to gingival (gum) recession or resorption of the gingival papilla or. Also known as black spaces or open gingival embrasures, black triangles occur when there is a visible space between teeth, often near the gumline. These gaps can form between. Can You Fill Black Triangles In Teeth.
From www.hollandparkdental.co.uk
Black Triangle Teeth Treatment (Bioclear) in London Holland Park Dental Can You Fill Black Triangles In Teeth We explain what these dark triangles mean, how to treat. Have you noticed small black triangles between your teeth? Typically, each gap between someone’s teeth is filled with a little bit of gum tissue, called a papilla. These gaps, known as “open gingival embrasures,” can be both an. black triangles between your teeth are also known as “open gingival embrasures.”. Can You Fill Black Triangles In Teeth.
From www.eshomdds.com
Bioclear Uveneer Black Triangle Correction David Eshom DDS, Dental Health and Beauty, San Can You Fill Black Triangles In Teeth Talk to your dentist if you notice black triangles between your teeth. The unsightly black triangles that form between your teeth are usually due to gingival (gum) recession or resorption of the gingival papilla or. Black triangles are a problem with the level of bone between your teeth and adding dermal fillers won't address the underlying. These gaps can form. Can You Fill Black Triangles In Teeth.
From doctorsaylor.com
New Treatment for Black Triangles between Teeth Saylor Dentistry Can You Fill Black Triangles In Teeth These gaps, known as “open gingival embrasures,” can be both an. Also known as black spaces or open gingival embrasures, black triangles occur when there is a visible space between teeth, often near the gumline. We explain what these dark triangles mean, how to treat. Black triangles are a problem with the level of bone between your teeth and adding. Can You Fill Black Triangles In Teeth.
From mybestdentists.com
What Is A Dental Black Triangle? Causes And Treatments My BEST Dentists Journal MyBestDentists Can You Fill Black Triangles In Teeth Talk to your dentist if you notice black triangles between your teeth. What causes black triangle teeth? Also known as black spaces or open gingival embrasures, black triangles occur when there is a visible space between teeth, often near the gumline. We explain what these dark triangles mean, how to treat. Loss of papillae results in open gingival embrasures or. Can You Fill Black Triangles In Teeth.
From www.lakewoodcompletedentistry.com
Cosmetic Dentist in Lakewood Dental Black Triangles Dr. Vinnie Can You Fill Black Triangles In Teeth Talk to your dentist if you notice black triangles between your teeth. black triangles between your teeth are also known as “open gingival embrasures.” these gaps are the result of your gum tissue. Typically, each gap between someone’s teeth is filled with a little bit of gum tissue, called a papilla. What causes black triangle teeth? These gaps, known as. Can You Fill Black Triangles In Teeth.
From www.orangectdentist.com
Beat the Black Triangle with Bonding Dentist Orange, CT Can You Fill Black Triangles In Teeth Talk to your dentist if you notice black triangles between your teeth. black triangles between your teeth are also known as “open gingival embrasures.” these gaps are the result of your gum tissue. Also known as black spaces or open gingival embrasures, black triangles occur when there is a visible space between teeth, often near the gumline. Typically, each gap. Can You Fill Black Triangles In Teeth.
From burbankdentalimplants.com
The Triangle of Gums Between Teeth and Implants Can You Fill Black Triangles In Teeth Also known as black spaces or open gingival embrasures, black triangles occur when there is a visible space between teeth, often near the gumline. Typically, each gap between someone’s teeth is filled with a little bit of gum tissue, called a papilla. black triangles between your teeth are also known as “open gingival embrasures.” these gaps are the result of. Can You Fill Black Triangles In Teeth.
From www.youtube.com
Solution for those horrible Black Triangles! YouTube Can You Fill Black Triangles In Teeth black triangles between your teeth are also known as “open gingival embrasures.” these gaps are the result of your gum tissue. Also known as black spaces or open gingival embrasures, black triangles occur when there is a visible space between teeth, often near the gumline. What causes black triangle teeth? Loss of papillae results in open gingival embrasures or black. Can You Fill Black Triangles In Teeth.
From www.orangectdentist.com
Beat the Black Triangle with Bonding Dentist Orange, CT Can You Fill Black Triangles In Teeth What causes black triangle teeth? We explain what these dark triangles mean, how to treat. Typically, each gap between someone’s teeth is filled with a little bit of gum tissue, called a papilla. The unsightly black triangles that form between your teeth are usually due to gingival (gum) recession or resorption of the gingival papilla or. Have you noticed small. Can You Fill Black Triangles In Teeth.
From blog.optident.co.uk
How Bioclear Empowers Dentists To Treat Black Triangles Optident Can You Fill Black Triangles In Teeth Black triangles are a problem with the level of bone between your teeth and adding dermal fillers won't address the underlying. These gaps, known as “open gingival embrasures,” can be both an. black triangles between your teeth are also known as “open gingival embrasures.” these gaps are the result of your gum tissue. Talk to your dentist if you notice. Can You Fill Black Triangles In Teeth.
From blog.optident.co.uk
How Bioclear Empowers Dentists To Treat Black Triangles Optident Can You Fill Black Triangles In Teeth Typically, each gap between someone’s teeth is filled with a little bit of gum tissue, called a papilla. Have you noticed small black triangles between your teeth? Here are some of the most common causes: We explain what these dark triangles mean, how to treat. These gaps, known as “open gingival embrasures,” can be both an. Also known as black. Can You Fill Black Triangles In Teeth.
From www.straightteethdirect.com
Black triangles is it something you heard of and have concerns about? Learn everything you Can You Fill Black Triangles In Teeth Black triangles are a problem with the level of bone between your teeth and adding dermal fillers won't address the underlying. Also known as black spaces or open gingival embrasures, black triangles occur when there is a visible space between teeth, often near the gumline. These gaps, known as “open gingival embrasures,” can be both an. These gaps can form. Can You Fill Black Triangles In Teeth.
From ar.inspiredpencil.com
Black Triangle Teeth Can You Fill Black Triangles In Teeth Talk to your dentist if you notice black triangles between your teeth. Have you noticed small black triangles between your teeth? Loss of papillae results in open gingival embrasures or black triangles. What causes black triangle teeth? These gaps can form between teeth for various reasons, some more serious than others. Also known as black spaces or open gingival embrasures,. Can You Fill Black Triangles In Teeth.
From www.anewswire.com
How to Fix Black Triangles in Teeth Causes and Prevention Can You Fill Black Triangles In Teeth Typically, each gap between someone’s teeth is filled with a little bit of gum tissue, called a papilla. These gaps can form between teeth for various reasons, some more serious than others. Loss of papillae results in open gingival embrasures or black triangles. Black triangles are a problem with the level of bone between your teeth and adding dermal fillers. Can You Fill Black Triangles In Teeth.
From www.alabamaperiodontics.com
Treating Black Triangles With Dermal Fillers Periodontist in Birmingham, AL Gum Disease Can You Fill Black Triangles In Teeth Also known as black spaces or open gingival embrasures, black triangles occur when there is a visible space between teeth, often near the gumline. Talk to your dentist if you notice black triangles between your teeth. These gaps can form between teeth for various reasons, some more serious than others. What causes black triangle teeth? Have you noticed small black. Can You Fill Black Triangles In Teeth.
From ar.inspiredpencil.com
Black Triangle Teeth Can You Fill Black Triangles In Teeth What causes black triangle teeth? The unsightly black triangles that form between your teeth are usually due to gingival (gum) recession or resorption of the gingival papilla or. Black triangles are a problem with the level of bone between your teeth and adding dermal fillers won't address the underlying. We explain what these dark triangles mean, how to treat. Loss. Can You Fill Black Triangles In Teeth.
From www.minorcasmiles.com
Black Triangles Before and After Dentist in Coral Gables, FL Can You Fill Black Triangles In Teeth These gaps can form between teeth for various reasons, some more serious than others. The unsightly black triangles that form between your teeth are usually due to gingival (gum) recession or resorption of the gingival papilla or. Have you noticed small black triangles between your teeth? Typically, each gap between someone’s teeth is filled with a little bit of gum. Can You Fill Black Triangles In Teeth.
From www.teethtalkgirl.com
What Are The Black Triangles’ Between Your Teeth? Can You Fill Black Triangles In Teeth These gaps, known as “open gingival embrasures,” can be both an. Typically, each gap between someone’s teeth is filled with a little bit of gum tissue, called a papilla. Black triangles are a problem with the level of bone between your teeth and adding dermal fillers won't address the underlying. Have you noticed small black triangles between your teeth? Also. Can You Fill Black Triangles In Teeth.
From www.hollandparkdental.co.uk
Black Triangle Teeth Treatment (Bioclear) in London Holland Park Dental Can You Fill Black Triangles In Teeth These gaps can form between teeth for various reasons, some more serious than others. Here are some of the most common causes: black triangles between your teeth are also known as “open gingival embrasures.” these gaps are the result of your gum tissue. Have you noticed small black triangles between your teeth? Talk to your dentist if you notice black. Can You Fill Black Triangles In Teeth.
From www.teethtalkgirl.com
7 Ways To Fix Black Triangles Between Your Teeth Can You Fill Black Triangles In Teeth black triangles between your teeth are also known as “open gingival embrasures.” these gaps are the result of your gum tissue. Typically, each gap between someone’s teeth is filled with a little bit of gum tissue, called a papilla. Loss of papillae results in open gingival embrasures or black triangles. Talk to your dentist if you notice black triangles between. Can You Fill Black Triangles In Teeth.
From www.impressionsorthodontics.com
What causes dark triangles between teeth? — Impressions Orthodontics Can You Fill Black Triangles In Teeth Typically, each gap between someone’s teeth is filled with a little bit of gum tissue, called a papilla. These gaps can form between teeth for various reasons, some more serious than others. Also known as black spaces or open gingival embrasures, black triangles occur when there is a visible space between teeth, often near the gumline. These gaps, known as. Can You Fill Black Triangles In Teeth.
From blog.optident.co.uk
How Bioclear Empowers Dentists To Treat Black Triangles Optident Can You Fill Black Triangles In Teeth Talk to your dentist if you notice black triangles between your teeth. Here are some of the most common causes: Loss of papillae results in open gingival embrasures or black triangles. The unsightly black triangles that form between your teeth are usually due to gingival (gum) recession or resorption of the gingival papilla or. black triangles between your teeth are. Can You Fill Black Triangles In Teeth.
From www.seasons-of-smiles.com
What are dental black triangles? • Seasons of Smiles Dental Arthur Norman Medina DDS Can You Fill Black Triangles In Teeth Have you noticed small black triangles between your teeth? What causes black triangle teeth? Here are some of the most common causes: These gaps, known as “open gingival embrasures,” can be both an. These gaps can form between teeth for various reasons, some more serious than others. black triangles between your teeth are also known as “open gingival embrasures.” these. Can You Fill Black Triangles In Teeth.
From doctorsaylor.com
New Treatment for Black Triangles between Teeth Saylor Dentistry Can You Fill Black Triangles In Teeth We explain what these dark triangles mean, how to treat. Also known as black spaces or open gingival embrasures, black triangles occur when there is a visible space between teeth, often near the gumline. Typically, each gap between someone’s teeth is filled with a little bit of gum tissue, called a papilla. Talk to your dentist if you notice black. Can You Fill Black Triangles In Teeth.
From www.sarasotadentistry.com
How to Fix Black Triangles in Teeth Sarasota Dentistry Can You Fill Black Triangles In Teeth Black triangles are a problem with the level of bone between your teeth and adding dermal fillers won't address the underlying. Here are some of the most common causes: We explain what these dark triangles mean, how to treat. The unsightly black triangles that form between your teeth are usually due to gingival (gum) recession or resorption of the gingival. Can You Fill Black Triangles In Teeth.
From www.sarasotadentistry.com
How to Fix Black Triangles in Teeth Sarasota Dentistry Can You Fill Black Triangles In Teeth These gaps can form between teeth for various reasons, some more serious than others. black triangles between your teeth are also known as “open gingival embrasures.” these gaps are the result of your gum tissue. Loss of papillae results in open gingival embrasures or black triangles. Typically, each gap between someone’s teeth is filled with a little bit of gum. Can You Fill Black Triangles In Teeth.
From www.youtube.com
Tooth Gaps / Black Triangles with Braces or Invisalign YouTube Can You Fill Black Triangles In Teeth Here are some of the most common causes: What causes black triangle teeth? These gaps can form between teeth for various reasons, some more serious than others. Also known as black spaces or open gingival embrasures, black triangles occur when there is a visible space between teeth, often near the gumline. Talk to your dentist if you notice black triangles. Can You Fill Black Triangles In Teeth.