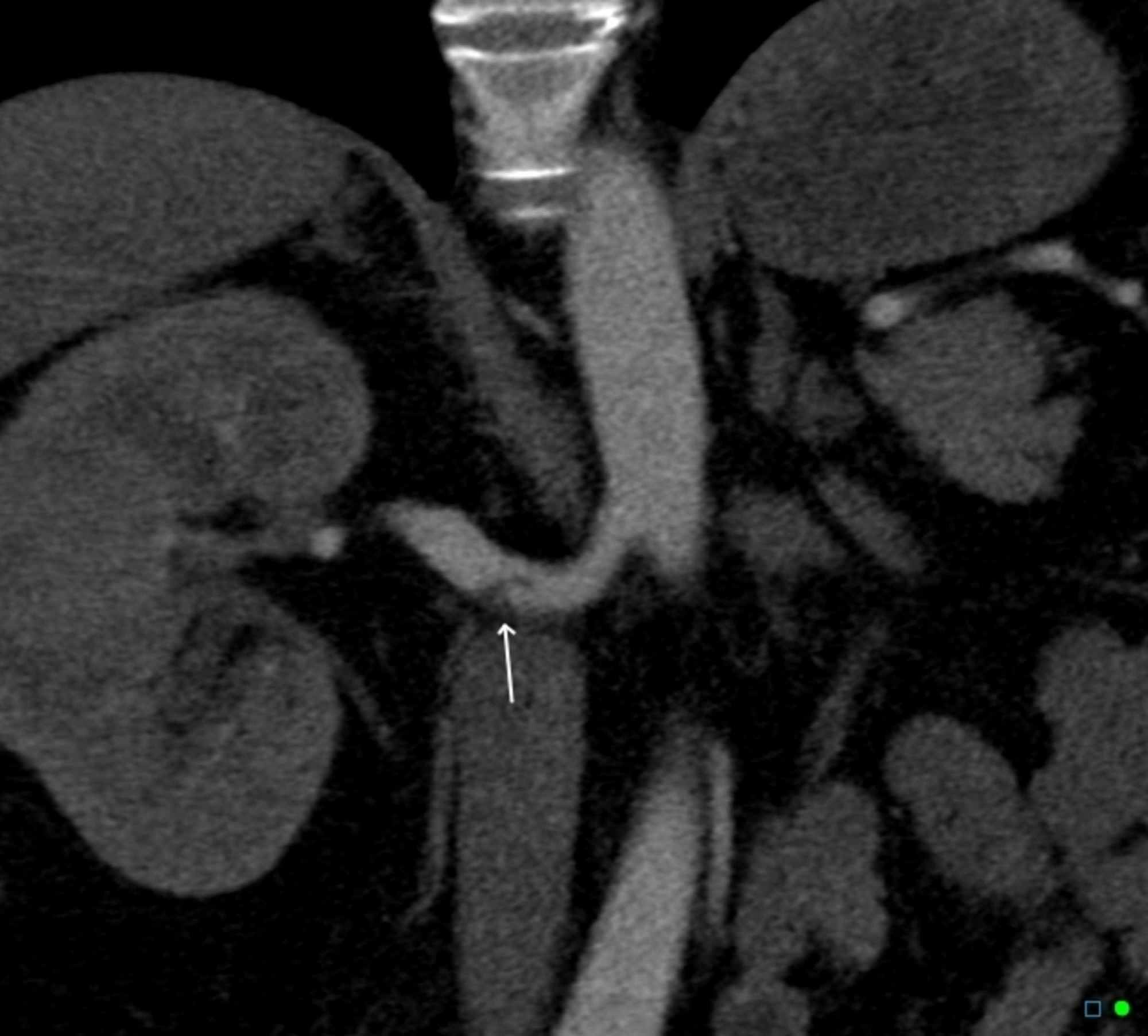
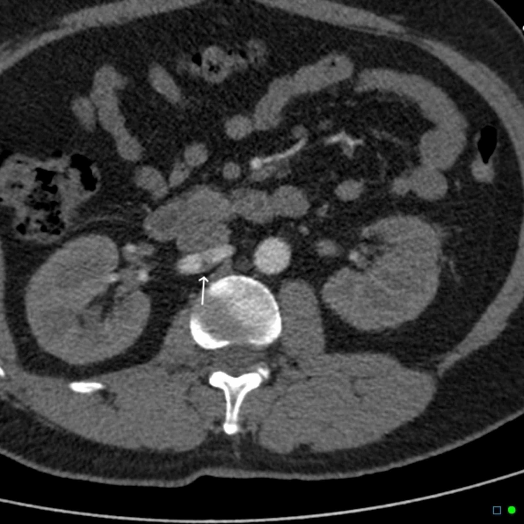
Case Report Renal Artery Dissection . It is unusual for somatic type pain to actually. Spontaneous renal artery dissection may occur spontaneously or secondary to local changes. Renal artery (ra) dissections remain a rare and poorly understood disease process [1, 2]. These dissections can occur due. Fourteen patients with spontaneous renal artery dissection underwent. Spontaneous dissection of the renal artery. In this case the renal infarction arose from a rare cause:
from www.semanticscholar.org
Spontaneous renal artery dissection may occur spontaneously or secondary to local changes. Spontaneous dissection of the renal artery. Fourteen patients with spontaneous renal artery dissection underwent. These dissections can occur due. Renal artery (ra) dissections remain a rare and poorly understood disease process [1, 2]. In this case the renal infarction arose from a rare cause: It is unusual for somatic type pain to actually.
Figure 1 from Spontaneous renal artery dissection. Semantic Scholar
Case Report Renal Artery Dissection Renal artery (ra) dissections remain a rare and poorly understood disease process [1, 2]. It is unusual for somatic type pain to actually. Spontaneous renal artery dissection may occur spontaneously or secondary to local changes. Spontaneous dissection of the renal artery. In this case the renal infarction arose from a rare cause: Renal artery (ra) dissections remain a rare and poorly understood disease process [1, 2]. Fourteen patients with spontaneous renal artery dissection underwent. These dissections can occur due.
From www.researchgate.net
(PDF) De novo heterozygous pathogenic FBN1 variant in an autopsy case Case Report Renal Artery Dissection In this case the renal infarction arose from a rare cause: Spontaneous renal artery dissection may occur spontaneously or secondary to local changes. It is unusual for somatic type pain to actually. These dissections can occur due. Renal artery (ra) dissections remain a rare and poorly understood disease process [1, 2]. Fourteen patients with spontaneous renal artery dissection underwent. Spontaneous. Case Report Renal Artery Dissection.
From www.researchgate.net
(PDF) Spontaneous renal artery dissection presenting as an aortic Case Report Renal Artery Dissection These dissections can occur due. Spontaneous dissection of the renal artery. Spontaneous renal artery dissection may occur spontaneously or secondary to local changes. It is unusual for somatic type pain to actually. Fourteen patients with spontaneous renal artery dissection underwent. In this case the renal infarction arose from a rare cause: Renal artery (ra) dissections remain a rare and poorly. Case Report Renal Artery Dissection.
From www.semanticscholar.org
Figure 1 from Management of isolated nontraumatic renal artery Case Report Renal Artery Dissection Spontaneous dissection of the renal artery. In this case the renal infarction arose from a rare cause: Fourteen patients with spontaneous renal artery dissection underwent. Spontaneous renal artery dissection may occur spontaneously or secondary to local changes. It is unusual for somatic type pain to actually. Renal artery (ra) dissections remain a rare and poorly understood disease process [1, 2].. Case Report Renal Artery Dissection.
From www.researchgate.net
(PDF) Emergency Iliofemoral Bypass during Kidney Transplantation due Case Report Renal Artery Dissection Spontaneous renal artery dissection may occur spontaneously or secondary to local changes. Fourteen patients with spontaneous renal artery dissection underwent. Renal artery (ra) dissections remain a rare and poorly understood disease process [1, 2]. In this case the renal infarction arose from a rare cause: It is unusual for somatic type pain to actually. These dissections can occur due. Spontaneous. Case Report Renal Artery Dissection.
From casereports.bmj.com
Bilateral traumatic renal artery dissection managed by endovascular Case Report Renal Artery Dissection Renal artery (ra) dissections remain a rare and poorly understood disease process [1, 2]. In this case the renal infarction arose from a rare cause: These dissections can occur due. Spontaneous dissection of the renal artery. Spontaneous renal artery dissection may occur spontaneously or secondary to local changes. It is unusual for somatic type pain to actually. Fourteen patients with. Case Report Renal Artery Dissection.
From www.semanticscholar.org
Figure 3 from Sonographic Detection of Renal Artery Dissection Case Report Renal Artery Dissection Renal artery (ra) dissections remain a rare and poorly understood disease process [1, 2]. Spontaneous dissection of the renal artery. These dissections can occur due. It is unusual for somatic type pain to actually. In this case the renal infarction arose from a rare cause: Spontaneous renal artery dissection may occur spontaneously or secondary to local changes. Fourteen patients with. Case Report Renal Artery Dissection.
From www.semanticscholar.org
Figure 1 from Spontaneous renal artery dissection. Semantic Scholar Case Report Renal Artery Dissection Renal artery (ra) dissections remain a rare and poorly understood disease process [1, 2]. Spontaneous renal artery dissection may occur spontaneously or secondary to local changes. Fourteen patients with spontaneous renal artery dissection underwent. In this case the renal infarction arose from a rare cause: These dissections can occur due. It is unusual for somatic type pain to actually. Spontaneous. Case Report Renal Artery Dissection.
From www.researchgate.net
(PDF) Segmental arterial mediolysis presenting as spontaneous bilateral Case Report Renal Artery Dissection Fourteen patients with spontaneous renal artery dissection underwent. Spontaneous renal artery dissection may occur spontaneously or secondary to local changes. These dissections can occur due. It is unusual for somatic type pain to actually. Spontaneous dissection of the renal artery. In this case the renal infarction arose from a rare cause: Renal artery (ra) dissections remain a rare and poorly. Case Report Renal Artery Dissection.
From www.researchgate.net
Right renal angiogram showing dissection of the right renal artery Case Report Renal Artery Dissection Spontaneous dissection of the renal artery. Fourteen patients with spontaneous renal artery dissection underwent. In this case the renal infarction arose from a rare cause: Spontaneous renal artery dissection may occur spontaneously or secondary to local changes. It is unusual for somatic type pain to actually. Renal artery (ra) dissections remain a rare and poorly understood disease process [1, 2].. Case Report Renal Artery Dissection.
From casereports.bmj.com
Bilateral traumatic renal artery dissection managed by endovascular Case Report Renal Artery Dissection Spontaneous renal artery dissection may occur spontaneously or secondary to local changes. Spontaneous dissection of the renal artery. It is unusual for somatic type pain to actually. These dissections can occur due. In this case the renal infarction arose from a rare cause: Fourteen patients with spontaneous renal artery dissection underwent. Renal artery (ra) dissections remain a rare and poorly. Case Report Renal Artery Dissection.
From www.cureus.com
Isolated Renal Artery Dissection A Systematic Review of Case Reports Case Report Renal Artery Dissection These dissections can occur due. In this case the renal infarction arose from a rare cause: Spontaneous dissection of the renal artery. Renal artery (ra) dissections remain a rare and poorly understood disease process [1, 2]. Spontaneous renal artery dissection may occur spontaneously or secondary to local changes. Fourteen patients with spontaneous renal artery dissection underwent. It is unusual for. Case Report Renal Artery Dissection.
From www.semanticscholar.org
Figure 2 from Renal Artery Dissection in an Emergency Department Case Report Renal Artery Dissection Spontaneous renal artery dissection may occur spontaneously or secondary to local changes. In this case the renal infarction arose from a rare cause: These dissections can occur due. Spontaneous dissection of the renal artery. It is unusual for somatic type pain to actually. Renal artery (ra) dissections remain a rare and poorly understood disease process [1, 2]. Fourteen patients with. Case Report Renal Artery Dissection.
From www.researchgate.net
Renal angiography showing the renal artery dissection in a branch of Case Report Renal Artery Dissection Spontaneous renal artery dissection may occur spontaneously or secondary to local changes. Spontaneous dissection of the renal artery. It is unusual for somatic type pain to actually. Fourteen patients with spontaneous renal artery dissection underwent. In this case the renal infarction arose from a rare cause: These dissections can occur due. Renal artery (ra) dissections remain a rare and poorly. Case Report Renal Artery Dissection.
From mavink.com
Renal Artery Dissection Case Report Renal Artery Dissection Spontaneous dissection of the renal artery. It is unusual for somatic type pain to actually. In this case the renal infarction arose from a rare cause: Spontaneous renal artery dissection may occur spontaneously or secondary to local changes. These dissections can occur due. Fourteen patients with spontaneous renal artery dissection underwent. Renal artery (ra) dissections remain a rare and poorly. Case Report Renal Artery Dissection.
From mavink.com
Renal Artery Dissection Case Report Renal Artery Dissection Fourteen patients with spontaneous renal artery dissection underwent. It is unusual for somatic type pain to actually. These dissections can occur due. Spontaneous renal artery dissection may occur spontaneously or secondary to local changes. In this case the renal infarction arose from a rare cause: Renal artery (ra) dissections remain a rare and poorly understood disease process [1, 2]. Spontaneous. Case Report Renal Artery Dissection.
From www.semanticscholar.org
Figure 1 from Sonographic Detection of Renal Artery Dissection Case Report Renal Artery Dissection Spontaneous dissection of the renal artery. Spontaneous renal artery dissection may occur spontaneously or secondary to local changes. In this case the renal infarction arose from a rare cause: Renal artery (ra) dissections remain a rare and poorly understood disease process [1, 2]. It is unusual for somatic type pain to actually. Fourteen patients with spontaneous renal artery dissection underwent.. Case Report Renal Artery Dissection.
From www.semanticscholar.org
Figure 2 from Sonographic Detection of Renal Artery Dissection Case Report Renal Artery Dissection These dissections can occur due. In this case the renal infarction arose from a rare cause: Spontaneous renal artery dissection may occur spontaneously or secondary to local changes. Spontaneous dissection of the renal artery. Renal artery (ra) dissections remain a rare and poorly understood disease process [1, 2]. It is unusual for somatic type pain to actually. Fourteen patients with. Case Report Renal Artery Dissection.
From dokumen.tips
(PDF) Spontaneous Renal Artery Dissection as a Cause of Acute Case Report Renal Artery Dissection Fourteen patients with spontaneous renal artery dissection underwent. In this case the renal infarction arose from a rare cause: Spontaneous dissection of the renal artery. It is unusual for somatic type pain to actually. Renal artery (ra) dissections remain a rare and poorly understood disease process [1, 2]. Spontaneous renal artery dissection may occur spontaneously or secondary to local changes.. Case Report Renal Artery Dissection.
From www.researchgate.net
(PDF) Case Report The Use of Cryopreserved Saphenous Vein in Case Report Renal Artery Dissection It is unusual for somatic type pain to actually. Renal artery (ra) dissections remain a rare and poorly understood disease process [1, 2]. These dissections can occur due. In this case the renal infarction arose from a rare cause: Spontaneous dissection of the renal artery. Fourteen patients with spontaneous renal artery dissection underwent. Spontaneous renal artery dissection may occur spontaneously. Case Report Renal Artery Dissection.
From www.semanticscholar.org
Figure 4 from Sonographic Detection of Renal Artery Dissection Case Report Renal Artery Dissection Renal artery (ra) dissections remain a rare and poorly understood disease process [1, 2]. Spontaneous dissection of the renal artery. In this case the renal infarction arose from a rare cause: Spontaneous renal artery dissection may occur spontaneously or secondary to local changes. It is unusual for somatic type pain to actually. These dissections can occur due. Fourteen patients with. Case Report Renal Artery Dissection.
From www.researchgate.net
Case 3. Left renal infarcts associated with left renal artery Case Report Renal Artery Dissection Spontaneous dissection of the renal artery. Spontaneous renal artery dissection may occur spontaneously or secondary to local changes. These dissections can occur due. Fourteen patients with spontaneous renal artery dissection underwent. In this case the renal infarction arose from a rare cause: It is unusual for somatic type pain to actually. Renal artery (ra) dissections remain a rare and poorly. Case Report Renal Artery Dissection.
From www.researchgate.net
(PDF) CASE REPORT Duplication of Renal Arteries with Unusual Extra Case Report Renal Artery Dissection Renal artery (ra) dissections remain a rare and poorly understood disease process [1, 2]. Spontaneous renal artery dissection may occur spontaneously or secondary to local changes. In this case the renal infarction arose from a rare cause: Spontaneous dissection of the renal artery. Fourteen patients with spontaneous renal artery dissection underwent. It is unusual for somatic type pain to actually.. Case Report Renal Artery Dissection.
From casereports.bmj.com
Spontaneous renal artery dissection masquerading as urinary tract Case Report Renal Artery Dissection Fourteen patients with spontaneous renal artery dissection underwent. It is unusual for somatic type pain to actually. Renal artery (ra) dissections remain a rare and poorly understood disease process [1, 2]. In this case the renal infarction arose from a rare cause: Spontaneous dissection of the renal artery. Spontaneous renal artery dissection may occur spontaneously or secondary to local changes.. Case Report Renal Artery Dissection.
From casereports.bmj.com
Bilateral traumatic renal artery dissection managed by endovascular Case Report Renal Artery Dissection These dissections can occur due. Renal artery (ra) dissections remain a rare and poorly understood disease process [1, 2]. Spontaneous renal artery dissection may occur spontaneously or secondary to local changes. Spontaneous dissection of the renal artery. It is unusual for somatic type pain to actually. Fourteen patients with spontaneous renal artery dissection underwent. In this case the renal infarction. Case Report Renal Artery Dissection.
From vdocuments.mx
Case Report Spontaneous Dissection of the Renal Artery in [PDF Document] Case Report Renal Artery Dissection Fourteen patients with spontaneous renal artery dissection underwent. It is unusual for somatic type pain to actually. Renal artery (ra) dissections remain a rare and poorly understood disease process [1, 2]. These dissections can occur due. Spontaneous renal artery dissection may occur spontaneously or secondary to local changes. Spontaneous dissection of the renal artery. In this case the renal infarction. Case Report Renal Artery Dissection.
From www.researchgate.net
(PDF) Case Report The Use of Cryopreserved Saphenous Vein in Case Report Renal Artery Dissection In this case the renal infarction arose from a rare cause: Spontaneous dissection of the renal artery. Spontaneous renal artery dissection may occur spontaneously or secondary to local changes. Renal artery (ra) dissections remain a rare and poorly understood disease process [1, 2]. Fourteen patients with spontaneous renal artery dissection underwent. These dissections can occur due. It is unusual for. Case Report Renal Artery Dissection.
From www.cureus.com
Cureus Isolated Renal Artery Dissection A Systematic Review of Case Case Report Renal Artery Dissection Spontaneous renal artery dissection may occur spontaneously or secondary to local changes. Renal artery (ra) dissections remain a rare and poorly understood disease process [1, 2]. In this case the renal infarction arose from a rare cause: It is unusual for somatic type pain to actually. Fourteen patients with spontaneous renal artery dissection underwent. These dissections can occur due. Spontaneous. Case Report Renal Artery Dissection.
From www.ijcap.org
Variations in renal arteries and pelvicalyceal system A case report Case Report Renal Artery Dissection Renal artery (ra) dissections remain a rare and poorly understood disease process [1, 2]. Spontaneous renal artery dissection may occur spontaneously or secondary to local changes. It is unusual for somatic type pain to actually. Spontaneous dissection of the renal artery. Fourteen patients with spontaneous renal artery dissection underwent. These dissections can occur due. In this case the renal infarction. Case Report Renal Artery Dissection.
From www.semanticscholar.org
Figure 1 from Spontaneous dissection of the renal artery case report Case Report Renal Artery Dissection In this case the renal infarction arose from a rare cause: Renal artery (ra) dissections remain a rare and poorly understood disease process [1, 2]. Spontaneous renal artery dissection may occur spontaneously or secondary to local changes. These dissections can occur due. Fourteen patients with spontaneous renal artery dissection underwent. Spontaneous dissection of the renal artery. It is unusual for. Case Report Renal Artery Dissection.
From www.researchgate.net
(PDF) Isolated Renal Artery Dissection A Systematic Review of Case Reports Case Report Renal Artery Dissection Fourteen patients with spontaneous renal artery dissection underwent. Spontaneous dissection of the renal artery. Spontaneous renal artery dissection may occur spontaneously or secondary to local changes. Renal artery (ra) dissections remain a rare and poorly understood disease process [1, 2]. In this case the renal infarction arose from a rare cause: These dissections can occur due. It is unusual for. Case Report Renal Artery Dissection.
From dokumen.tips
(PDF) Percutaneous intervention of spontaneous renal artery dissection Case Report Renal Artery Dissection Renal artery (ra) dissections remain a rare and poorly understood disease process [1, 2]. Spontaneous renal artery dissection may occur spontaneously or secondary to local changes. It is unusual for somatic type pain to actually. Fourteen patients with spontaneous renal artery dissection underwent. These dissections can occur due. Spontaneous dissection of the renal artery. In this case the renal infarction. Case Report Renal Artery Dissection.
From www.researchgate.net
(PDF) Spontaneous renal artery dissection associated with sexual Case Report Renal Artery Dissection It is unusual for somatic type pain to actually. These dissections can occur due. In this case the renal infarction arose from a rare cause: Renal artery (ra) dissections remain a rare and poorly understood disease process [1, 2]. Spontaneous dissection of the renal artery. Fourteen patients with spontaneous renal artery dissection underwent. Spontaneous renal artery dissection may occur spontaneously. Case Report Renal Artery Dissection.
From casereports.bmj.com
Bilateral traumatic renal artery dissection managed by endovascular Case Report Renal Artery Dissection In this case the renal infarction arose from a rare cause: Fourteen patients with spontaneous renal artery dissection underwent. These dissections can occur due. Spontaneous dissection of the renal artery. It is unusual for somatic type pain to actually. Renal artery (ra) dissections remain a rare and poorly understood disease process [1, 2]. Spontaneous renal artery dissection may occur spontaneously. Case Report Renal Artery Dissection.
From casereports.bmj.com
Bilateral traumatic renal artery dissection managed by endovascular Case Report Renal Artery Dissection Fourteen patients with spontaneous renal artery dissection underwent. In this case the renal infarction arose from a rare cause: Spontaneous dissection of the renal artery. Renal artery (ra) dissections remain a rare and poorly understood disease process [1, 2]. Spontaneous renal artery dissection may occur spontaneously or secondary to local changes. It is unusual for somatic type pain to actually.. Case Report Renal Artery Dissection.
From emj.bmj.com
Spontaneous renal artery dissection Emergency Medicine Journal Case Report Renal Artery Dissection Renal artery (ra) dissections remain a rare and poorly understood disease process [1, 2]. In this case the renal infarction arose from a rare cause: Spontaneous renal artery dissection may occur spontaneously or secondary to local changes. Spontaneous dissection of the renal artery. It is unusual for somatic type pain to actually. These dissections can occur due. Fourteen patients with. Case Report Renal Artery Dissection.