Gaucher Disease Kidney . Although other storage diseases, such as fabry disease, frequently affect the kidneys, reports of renal abnormalities in patients with gd are. A patient with chronic gaucher's disease is described who developed glomerulopathy 24. Gaucher disease (gd), a prototype lysosomal storage disorder, results from inherited deficiency of lysosomal glucocerebrosidase due to. In the absence of treatment, the natural course of gd, even for type 1 presentation, is extremely unfavorable, evolving with frequent. Gaucher disease (gd) is an autosomal recessive lysosomal storage disorder caused by mutation of the gba1 gene that. Gaucher's disease or gaucher disease (/ ɡoʊˈʃeɪ /) (gd) is a genetic disorder in which glucocerebroside (a sphingolipid, also known as. Gaucher disease (gd), the most common lysosomal storage disease, is caused by a deficiency in acid.
from www.semanticscholar.org
Although other storage diseases, such as fabry disease, frequently affect the kidneys, reports of renal abnormalities in patients with gd are. Gaucher disease (gd) is an autosomal recessive lysosomal storage disorder caused by mutation of the gba1 gene that. Gaucher's disease or gaucher disease (/ ɡoʊˈʃeɪ /) (gd) is a genetic disorder in which glucocerebroside (a sphingolipid, also known as. Gaucher disease (gd), the most common lysosomal storage disease, is caused by a deficiency in acid. A patient with chronic gaucher's disease is described who developed glomerulopathy 24. Gaucher disease (gd), a prototype lysosomal storage disorder, results from inherited deficiency of lysosomal glucocerebrosidase due to. In the absence of treatment, the natural course of gd, even for type 1 presentation, is extremely unfavorable, evolving with frequent.
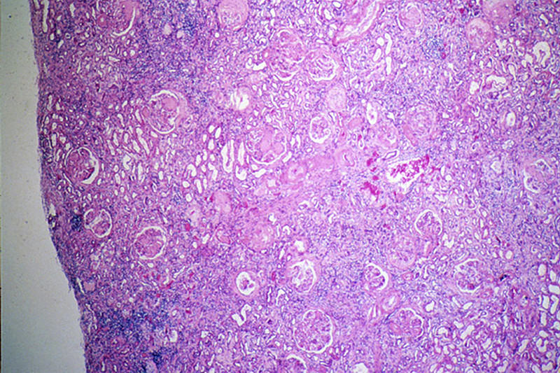
Figure 3 from A Review of Gaucher Disease Pathophysiology, Clinical
Gaucher Disease Kidney In the absence of treatment, the natural course of gd, even for type 1 presentation, is extremely unfavorable, evolving with frequent. Although other storage diseases, such as fabry disease, frequently affect the kidneys, reports of renal abnormalities in patients with gd are. In the absence of treatment, the natural course of gd, even for type 1 presentation, is extremely unfavorable, evolving with frequent. Gaucher's disease or gaucher disease (/ ɡoʊˈʃeɪ /) (gd) is a genetic disorder in which glucocerebroside (a sphingolipid, also known as. Gaucher disease (gd), a prototype lysosomal storage disorder, results from inherited deficiency of lysosomal glucocerebrosidase due to. A patient with chronic gaucher's disease is described who developed glomerulopathy 24. Gaucher disease (gd) is an autosomal recessive lysosomal storage disorder caused by mutation of the gba1 gene that. Gaucher disease (gd), the most common lysosomal storage disease, is caused by a deficiency in acid.
From www.dreamstime.com
Chronic kidney disease stock illustration. Illustration of kidney Gaucher Disease Kidney Gaucher disease (gd) is an autosomal recessive lysosomal storage disorder caused by mutation of the gba1 gene that. In the absence of treatment, the natural course of gd, even for type 1 presentation, is extremely unfavorable, evolving with frequent. Although other storage diseases, such as fabry disease, frequently affect the kidneys, reports of renal abnormalities in patients with gd are.. Gaucher Disease Kidney.
From www.pinterest.com
The Kidneys and How They Work Learnist Enfermedad renal cronica Gaucher Disease Kidney Gaucher's disease or gaucher disease (/ ɡoʊˈʃeɪ /) (gd) is a genetic disorder in which glucocerebroside (a sphingolipid, also known as. A patient with chronic gaucher's disease is described who developed glomerulopathy 24. In the absence of treatment, the natural course of gd, even for type 1 presentation, is extremely unfavorable, evolving with frequent. Gaucher disease (gd) is an autosomal. Gaucher Disease Kidney.
From ar.inspiredpencil.com
Gaucher Disease Gaucher Disease Kidney Gaucher disease (gd), a prototype lysosomal storage disorder, results from inherited deficiency of lysosomal glucocerebrosidase due to. Although other storage diseases, such as fabry disease, frequently affect the kidneys, reports of renal abnormalities in patients with gd are. Gaucher disease (gd) is an autosomal recessive lysosomal storage disorder caused by mutation of the gba1 gene that. Gaucher disease (gd), the. Gaucher Disease Kidney.
From www.mdpi.com
Healthcare Free FullText The Related Metabolic Diseases and Gaucher Disease Kidney A patient with chronic gaucher's disease is described who developed glomerulopathy 24. Gaucher disease (gd) is an autosomal recessive lysosomal storage disorder caused by mutation of the gba1 gene that. Although other storage diseases, such as fabry disease, frequently affect the kidneys, reports of renal abnormalities in patients with gd are. Gaucher disease (gd), a prototype lysosomal storage disorder, results. Gaucher Disease Kidney.
From www.gastroclinics.com
Liver Diseases Gastro Clinics Gaucher Disease Kidney A patient with chronic gaucher's disease is described who developed glomerulopathy 24. Gaucher's disease or gaucher disease (/ ɡoʊˈʃeɪ /) (gd) is a genetic disorder in which glucocerebroside (a sphingolipid, also known as. In the absence of treatment, the natural course of gd, even for type 1 presentation, is extremely unfavorable, evolving with frequent. Gaucher disease (gd), a prototype lysosomal. Gaucher Disease Kidney.
From www.mdpi.com
Applied Sciences Free FullText Gaucher Disease in Internal Gaucher Disease Kidney A patient with chronic gaucher's disease is described who developed glomerulopathy 24. Gaucher disease (gd) is an autosomal recessive lysosomal storage disorder caused by mutation of the gba1 gene that. In the absence of treatment, the natural course of gd, even for type 1 presentation, is extremely unfavorable, evolving with frequent. Gaucher disease (gd), a prototype lysosomal storage disorder, results. Gaucher Disease Kidney.
From www.pinterest.com
Autosomal recessive inheritance pattern little Charlie Gard's mtDNA Gaucher Disease Kidney In the absence of treatment, the natural course of gd, even for type 1 presentation, is extremely unfavorable, evolving with frequent. A patient with chronic gaucher's disease is described who developed glomerulopathy 24. Although other storage diseases, such as fabry disease, frequently affect the kidneys, reports of renal abnormalities in patients with gd are. Gaucher's disease or gaucher disease (/. Gaucher Disease Kidney.
From www.mdpi.com
IJMS Free FullText A Review of Gaucher Disease Pathophysiology Gaucher Disease Kidney Gaucher disease (gd) is an autosomal recessive lysosomal storage disorder caused by mutation of the gba1 gene that. A patient with chronic gaucher's disease is described who developed glomerulopathy 24. Gaucher's disease or gaucher disease (/ ɡoʊˈʃeɪ /) (gd) is a genetic disorder in which glucocerebroside (a sphingolipid, also known as. Gaucher disease (gd), a prototype lysosomal storage disorder, results. Gaucher Disease Kidney.
From lsdssindia.org
Gaucher Disease LSDSS India Gaucher Disease Kidney Gaucher disease (gd), a prototype lysosomal storage disorder, results from inherited deficiency of lysosomal glucocerebrosidase due to. Gaucher disease (gd), the most common lysosomal storage disease, is caused by a deficiency in acid. Gaucher's disease or gaucher disease (/ ɡoʊˈʃeɪ /) (gd) is a genetic disorder in which glucocerebroside (a sphingolipid, also known as. Although other storage diseases, such as. Gaucher Disease Kidney.
From www.dreamstime.com
Gaucher Disease in Bone Marrow. Stock Image Image of clinical, rare Gaucher Disease Kidney Although other storage diseases, such as fabry disease, frequently affect the kidneys, reports of renal abnormalities in patients with gd are. Gaucher's disease or gaucher disease (/ ɡoʊˈʃeɪ /) (gd) is a genetic disorder in which glucocerebroside (a sphingolipid, also known as. Gaucher disease (gd) is an autosomal recessive lysosomal storage disorder caused by mutation of the gba1 gene that.. Gaucher Disease Kidney.
From www.mdsabstracts.org
Parkinson’s disease in patients with Gaucher’s disease causation or Gaucher Disease Kidney In the absence of treatment, the natural course of gd, even for type 1 presentation, is extremely unfavorable, evolving with frequent. Although other storage diseases, such as fabry disease, frequently affect the kidneys, reports of renal abnormalities in patients with gd are. Gaucher's disease or gaucher disease (/ ɡoʊˈʃeɪ /) (gd) is a genetic disorder in which glucocerebroside (a sphingolipid,. Gaucher Disease Kidney.
From tommythedoc.weebly.com
Biochemistry Tommy the doc Gaucher Disease Kidney Gaucher disease (gd) is an autosomal recessive lysosomal storage disorder caused by mutation of the gba1 gene that. A patient with chronic gaucher's disease is described who developed glomerulopathy 24. In the absence of treatment, the natural course of gd, even for type 1 presentation, is extremely unfavorable, evolving with frequent. Gaucher's disease or gaucher disease (/ ɡoʊˈʃeɪ /) (gd). Gaucher Disease Kidney.
From ordindia.in
Gaucher Disease ORD India Gaucher Disease Kidney Although other storage diseases, such as fabry disease, frequently affect the kidneys, reports of renal abnormalities in patients with gd are. Gaucher disease (gd), a prototype lysosomal storage disorder, results from inherited deficiency of lysosomal glucocerebrosidase due to. In the absence of treatment, the natural course of gd, even for type 1 presentation, is extremely unfavorable, evolving with frequent. A. Gaucher Disease Kidney.
From www.slideshare.net
Gaucher disease type 1case presentation Gaucher Disease Kidney Gaucher disease (gd) is an autosomal recessive lysosomal storage disorder caused by mutation of the gba1 gene that. Gaucher's disease or gaucher disease (/ ɡoʊˈʃeɪ /) (gd) is a genetic disorder in which glucocerebroside (a sphingolipid, also known as. A patient with chronic gaucher's disease is described who developed glomerulopathy 24. Although other storage diseases, such as fabry disease, frequently. Gaucher Disease Kidney.
From www.slideserve.com
PPT Inborn errors of metabolism PowerPoint Presentation, free Gaucher Disease Kidney Gaucher's disease or gaucher disease (/ ɡoʊˈʃeɪ /) (gd) is a genetic disorder in which glucocerebroside (a sphingolipid, also known as. Gaucher disease (gd) is an autosomal recessive lysosomal storage disorder caused by mutation of the gba1 gene that. Gaucher disease (gd), the most common lysosomal storage disease, is caused by a deficiency in acid. A patient with chronic gaucher's. Gaucher Disease Kidney.
From ppt-online.org
The particularities of metabolism in children. Clinical semiotics Gaucher Disease Kidney Gaucher disease (gd), the most common lysosomal storage disease, is caused by a deficiency in acid. Gaucher's disease or gaucher disease (/ ɡoʊˈʃeɪ /) (gd) is a genetic disorder in which glucocerebroside (a sphingolipid, also known as. In the absence of treatment, the natural course of gd, even for type 1 presentation, is extremely unfavorable, evolving with frequent. Although other. Gaucher Disease Kidney.
From www.semanticscholar.org
Figure 3 from A Review of Gaucher Disease Pathophysiology, Clinical Gaucher Disease Kidney A patient with chronic gaucher's disease is described who developed glomerulopathy 24. Although other storage diseases, such as fabry disease, frequently affect the kidneys, reports of renal abnormalities in patients with gd are. Gaucher disease (gd), a prototype lysosomal storage disorder, results from inherited deficiency of lysosomal glucocerebrosidase due to. Gaucher disease (gd) is an autosomal recessive lysosomal storage disorder. Gaucher Disease Kidney.
From www.knowgaucherdisease.com
How Type 1 Gaucher Disease Works Information for patients and families Gaucher Disease Kidney Although other storage diseases, such as fabry disease, frequently affect the kidneys, reports of renal abnormalities in patients with gd are. Gaucher disease (gd) is an autosomal recessive lysosomal storage disorder caused by mutation of the gba1 gene that. A patient with chronic gaucher's disease is described who developed glomerulopathy 24. In the absence of treatment, the natural course of. Gaucher Disease Kidney.
From www.pathologyoutlines.com
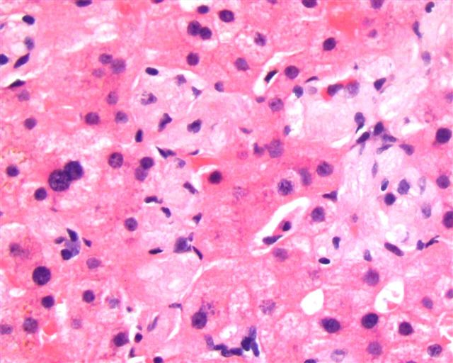
Pathology Outlines Gaucher disease Gaucher Disease Kidney A patient with chronic gaucher's disease is described who developed glomerulopathy 24. Although other storage diseases, such as fabry disease, frequently affect the kidneys, reports of renal abnormalities in patients with gd are. Gaucher disease (gd), the most common lysosomal storage disease, is caused by a deficiency in acid. Gaucher's disease or gaucher disease (/ ɡoʊˈʃeɪ /) (gd) is a. Gaucher Disease Kidney.
From www.premilife.com
Gaucher's Disease Type 3 Premilife Homeopathic Remedies Gaucher Disease Kidney Gaucher disease (gd) is an autosomal recessive lysosomal storage disorder caused by mutation of the gba1 gene that. Gaucher's disease or gaucher disease (/ ɡoʊˈʃeɪ /) (gd) is a genetic disorder in which glucocerebroside (a sphingolipid, also known as. Gaucher disease (gd), the most common lysosomal storage disease, is caused by a deficiency in acid. A patient with chronic gaucher's. Gaucher Disease Kidney.
From www.premilife.com
Gaucher's Disease Type 1 Premilife Homeopathic Remedies Gaucher Disease Kidney Although other storage diseases, such as fabry disease, frequently affect the kidneys, reports of renal abnormalities in patients with gd are. A patient with chronic gaucher's disease is described who developed glomerulopathy 24. Gaucher disease (gd), a prototype lysosomal storage disorder, results from inherited deficiency of lysosomal glucocerebrosidase due to. In the absence of treatment, the natural course of gd,. Gaucher Disease Kidney.
From cartoondealer.com
Autosomal Cartoons, Illustrations & Vector Stock Images 365 Pictures Gaucher Disease Kidney Although other storage diseases, such as fabry disease, frequently affect the kidneys, reports of renal abnormalities in patients with gd are. Gaucher disease (gd) is an autosomal recessive lysosomal storage disorder caused by mutation of the gba1 gene that. Gaucher's disease or gaucher disease (/ ɡoʊˈʃeɪ /) (gd) is a genetic disorder in which glucocerebroside (a sphingolipid, also known as.. Gaucher Disease Kidney.
From www.youtube.com
Gaucher's Disease Etiology, Types, Clinical Features, Pathogenesis Gaucher Disease Kidney Gaucher's disease or gaucher disease (/ ɡoʊˈʃeɪ /) (gd) is a genetic disorder in which glucocerebroside (a sphingolipid, also known as. Although other storage diseases, such as fabry disease, frequently affect the kidneys, reports of renal abnormalities in patients with gd are. Gaucher disease (gd), the most common lysosomal storage disease, is caused by a deficiency in acid. A patient. Gaucher Disease Kidney.
From www.thelancet.com
Lysosomal storage disorders from biology to the clinic with reference Gaucher Disease Kidney Gaucher's disease or gaucher disease (/ ɡoʊˈʃeɪ /) (gd) is a genetic disorder in which glucocerebroside (a sphingolipid, also known as. Although other storage diseases, such as fabry disease, frequently affect the kidneys, reports of renal abnormalities in patients with gd are. Gaucher disease (gd), a prototype lysosomal storage disorder, results from inherited deficiency of lysosomal glucocerebrosidase due to. Gaucher. Gaucher Disease Kidney.
From www.osmosis.org
Gaucher disease (NORD) Year of the Zebra Video Osmosis Gaucher Disease Kidney Gaucher's disease or gaucher disease (/ ɡoʊˈʃeɪ /) (gd) is a genetic disorder in which glucocerebroside (a sphingolipid, also known as. Gaucher disease (gd) is an autosomal recessive lysosomal storage disorder caused by mutation of the gba1 gene that. In the absence of treatment, the natural course of gd, even for type 1 presentation, is extremely unfavorable, evolving with frequent.. Gaucher Disease Kidney.
From www.haikudeck.com
Gaucher Disease Presentation by Joseph Terry Gaucher Disease Kidney Gaucher disease (gd), a prototype lysosomal storage disorder, results from inherited deficiency of lysosomal glucocerebrosidase due to. Although other storage diseases, such as fabry disease, frequently affect the kidneys, reports of renal abnormalities in patients with gd are. Gaucher disease (gd), the most common lysosomal storage disease, is caused by a deficiency in acid. Gaucher's disease or gaucher disease (/. Gaucher Disease Kidney.
From ar.inspiredpencil.com
Gaucher Disease Gaucher Disease Kidney In the absence of treatment, the natural course of gd, even for type 1 presentation, is extremely unfavorable, evolving with frequent. Gaucher disease (gd), the most common lysosomal storage disease, is caused by a deficiency in acid. Gaucher's disease or gaucher disease (/ ɡoʊˈʃeɪ /) (gd) is a genetic disorder in which glucocerebroside (a sphingolipid, also known as. Gaucher disease. Gaucher Disease Kidney.
From imagebank.hematology.org
Gaucher's Disease 1(b). Gaucher Disease Kidney Gaucher disease (gd) is an autosomal recessive lysosomal storage disorder caused by mutation of the gba1 gene that. Although other storage diseases, such as fabry disease, frequently affect the kidneys, reports of renal abnormalities in patients with gd are. In the absence of treatment, the natural course of gd, even for type 1 presentation, is extremely unfavorable, evolving with frequent.. Gaucher Disease Kidney.
From web.duke.edu
Duke Pathology Week 14 Renal Pathology Gaucher Disease Kidney Gaucher's disease or gaucher disease (/ ɡoʊˈʃeɪ /) (gd) is a genetic disorder in which glucocerebroside (a sphingolipid, also known as. Gaucher disease (gd), the most common lysosomal storage disease, is caused by a deficiency in acid. Although other storage diseases, such as fabry disease, frequently affect the kidneys, reports of renal abnormalities in patients with gd are. Gaucher disease. Gaucher Disease Kidney.
From step1.medbullets.com
Lysosome Biochemistry Medbullets Step 1 Gaucher Disease Kidney A patient with chronic gaucher's disease is described who developed glomerulopathy 24. Gaucher's disease or gaucher disease (/ ɡoʊˈʃeɪ /) (gd) is a genetic disorder in which glucocerebroside (a sphingolipid, also known as. Gaucher disease (gd) is an autosomal recessive lysosomal storage disorder caused by mutation of the gba1 gene that. Gaucher disease (gd), a prototype lysosomal storage disorder, results. Gaucher Disease Kidney.
From healthjade.com
Gaucher Disease Causes, Types, Symptoms, Treatment Gaucher Disease Kidney Gaucher's disease or gaucher disease (/ ɡoʊˈʃeɪ /) (gd) is a genetic disorder in which glucocerebroside (a sphingolipid, also known as. Gaucher disease (gd), the most common lysosomal storage disease, is caused by a deficiency in acid. Gaucher disease (gd) is an autosomal recessive lysosomal storage disorder caused by mutation of the gba1 gene that. In the absence of treatment,. Gaucher Disease Kidney.
From healthjade.com
Gaucher Disease Causes, Types, Symptoms, Treatment Gaucher Disease Kidney Gaucher disease (gd) is an autosomal recessive lysosomal storage disorder caused by mutation of the gba1 gene that. Although other storage diseases, such as fabry disease, frequently affect the kidneys, reports of renal abnormalities in patients with gd are. Gaucher's disease or gaucher disease (/ ɡoʊˈʃeɪ /) (gd) is a genetic disorder in which glucocerebroside (a sphingolipid, also known as.. Gaucher Disease Kidney.
From journal.frontiersin.org
Frontiers Cellular and Molecular Mechanisms of Chronic Kidney Disease Gaucher Disease Kidney A patient with chronic gaucher's disease is described who developed glomerulopathy 24. Gaucher disease (gd) is an autosomal recessive lysosomal storage disorder caused by mutation of the gba1 gene that. Gaucher disease (gd), the most common lysosomal storage disease, is caused by a deficiency in acid. In the absence of treatment, the natural course of gd, even for type 1. Gaucher Disease Kidney.
From www.youtube.com
Gaucher's disease classification, symptoms, pathology of Gaucher's Gaucher Disease Kidney Gaucher disease (gd) is an autosomal recessive lysosomal storage disorder caused by mutation of the gba1 gene that. A patient with chronic gaucher's disease is described who developed glomerulopathy 24. Gaucher disease (gd), the most common lysosomal storage disease, is caused by a deficiency in acid. In the absence of treatment, the natural course of gd, even for type 1. Gaucher Disease Kidney.
From disorders.eyes.arizona.edu
Gaucher Disease Hereditary Ocular Diseases Gaucher Disease Kidney In the absence of treatment, the natural course of gd, even for type 1 presentation, is extremely unfavorable, evolving with frequent. Gaucher disease (gd), the most common lysosomal storage disease, is caused by a deficiency in acid. A patient with chronic gaucher's disease is described who developed glomerulopathy 24. Although other storage diseases, such as fabry disease, frequently affect the. Gaucher Disease Kidney.