Accessory Navicular Bone Reddit . Acessory navicular is a common idiopathic condition of the foot that presents with an enlargement of the navicular bone. On sept 9, i underwent surgery to remove my accessory navicular bone and to loosen my calf muscle (incredibly tight from years of. After seeing several doctors who provided no solutions, a doctor noticed on my mri i had an accessory navicular bone in my left foot and he. It isn't very active but there are some posts you might find helpful/interesting. Diagnosis is made with plain radiographs of the foot showing a. I've been dealing with tendonitis of the tibialis anterior for several months, and after doing a few months of pt i went to see an ortho earlier this. Some people are born with an accessory navicular—an extra bone on the inner center arch of their foot. Most of the time, the condition causes no symptoms and is not noticed until adolescence, when a. I am 16 years old and have been in quite a lot of pain due to what my family and i think is the accessory navicular bone. There's actually a sub reddit dedicated to accessory navicular.
from footeducation.com
After seeing several doctors who provided no solutions, a doctor noticed on my mri i had an accessory navicular bone in my left foot and he. Acessory navicular is a common idiopathic condition of the foot that presents with an enlargement of the navicular bone. On sept 9, i underwent surgery to remove my accessory navicular bone and to loosen my calf muscle (incredibly tight from years of. I've been dealing with tendonitis of the tibialis anterior for several months, and after doing a few months of pt i went to see an ortho earlier this. There's actually a sub reddit dedicated to accessory navicular. I am 16 years old and have been in quite a lot of pain due to what my family and i think is the accessory navicular bone. Some people are born with an accessory navicular—an extra bone on the inner center arch of their foot. Diagnosis is made with plain radiographs of the foot showing a. It isn't very active but there are some posts you might find helpful/interesting. Most of the time, the condition causes no symptoms and is not noticed until adolescence, when a.
Accessory Navicular Bone FootEducation
Accessory Navicular Bone Reddit There's actually a sub reddit dedicated to accessory navicular. On sept 9, i underwent surgery to remove my accessory navicular bone and to loosen my calf muscle (incredibly tight from years of. Most of the time, the condition causes no symptoms and is not noticed until adolescence, when a. I am 16 years old and have been in quite a lot of pain due to what my family and i think is the accessory navicular bone. Diagnosis is made with plain radiographs of the foot showing a. Some people are born with an accessory navicular—an extra bone on the inner center arch of their foot. Acessory navicular is a common idiopathic condition of the foot that presents with an enlargement of the navicular bone. There's actually a sub reddit dedicated to accessory navicular. After seeing several doctors who provided no solutions, a doctor noticed on my mri i had an accessory navicular bone in my left foot and he. I've been dealing with tendonitis of the tibialis anterior for several months, and after doing a few months of pt i went to see an ortho earlier this. It isn't very active but there are some posts you might find helpful/interesting.
From www.youtube.com
Doctor Explains! Accessory Navicular Bone Removal YouTube Accessory Navicular Bone Reddit After seeing several doctors who provided no solutions, a doctor noticed on my mri i had an accessory navicular bone in my left foot and he. On sept 9, i underwent surgery to remove my accessory navicular bone and to loosen my calf muscle (incredibly tight from years of. Diagnosis is made with plain radiographs of the foot showing a.. Accessory Navicular Bone Reddit.
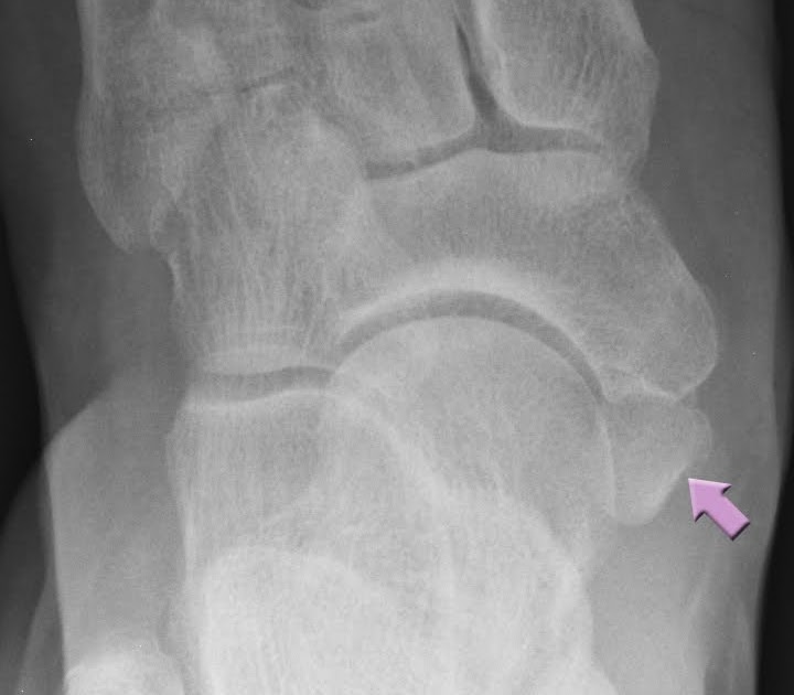
From www.fity.club
Accessory Navicular Bone Accessory Navicular Bone Reddit Acessory navicular is a common idiopathic condition of the foot that presents with an enlargement of the navicular bone. Some people are born with an accessory navicular—an extra bone on the inner center arch of their foot. It isn't very active but there are some posts you might find helpful/interesting. After seeing several doctors who provided no solutions, a doctor. Accessory Navicular Bone Reddit.
From www.earthslab.com
Navicular Bone Anatomy Earth's Lab Accessory Navicular Bone Reddit Some people are born with an accessory navicular—an extra bone on the inner center arch of their foot. It isn't very active but there are some posts you might find helpful/interesting. There's actually a sub reddit dedicated to accessory navicular. I am 16 years old and have been in quite a lot of pain due to what my family and. Accessory Navicular Bone Reddit.
From fity.club
Roentgen Ray Reader Types Of Accessory Navicular Bones Accessory Navicular Bone Reddit I am 16 years old and have been in quite a lot of pain due to what my family and i think is the accessory navicular bone. Some people are born with an accessory navicular—an extra bone on the inner center arch of their foot. There's actually a sub reddit dedicated to accessory navicular. Diagnosis is made with plain radiographs. Accessory Navicular Bone Reddit.
From james-mccormack.com
Accessory Navicular Syndrome Prevalance, Causes & Treatment Accessory Navicular Bone Reddit I am 16 years old and have been in quite a lot of pain due to what my family and i think is the accessory navicular bone. Diagnosis is made with plain radiographs of the foot showing a. After seeing several doctors who provided no solutions, a doctor noticed on my mri i had an accessory navicular bone in my. Accessory Navicular Bone Reddit.
From fity.club
Accessory Navicular Bone Accessory Navicular Bone Reddit Acessory navicular is a common idiopathic condition of the foot that presents with an enlargement of the navicular bone. Diagnosis is made with plain radiographs of the foot showing a. I am 16 years old and have been in quite a lot of pain due to what my family and i think is the accessory navicular bone. On sept 9,. Accessory Navicular Bone Reddit.
From mss-ijmsr.com
Multiossicle accessory navicular bones A symptomatic presentation of Accessory Navicular Bone Reddit Diagnosis is made with plain radiographs of the foot showing a. Some people are born with an accessory navicular—an extra bone on the inner center arch of their foot. After seeing several doctors who provided no solutions, a doctor noticed on my mri i had an accessory navicular bone in my left foot and he. I've been dealing with tendonitis. Accessory Navicular Bone Reddit.
From www.reddit.com
Accessory Navicular Injuries from Hypermobility r/ehlersdanlos Accessory Navicular Bone Reddit It isn't very active but there are some posts you might find helpful/interesting. Some people are born with an accessory navicular—an extra bone on the inner center arch of their foot. I've been dealing with tendonitis of the tibialis anterior for several months, and after doing a few months of pt i went to see an ortho earlier this. On. Accessory Navicular Bone Reddit.
From anatomy.app
Navicular bone Encyclopedia Anatomy.app Learn anatomy 3D models Accessory Navicular Bone Reddit Diagnosis is made with plain radiographs of the foot showing a. On sept 9, i underwent surgery to remove my accessory navicular bone and to loosen my calf muscle (incredibly tight from years of. There's actually a sub reddit dedicated to accessory navicular. It isn't very active but there are some posts you might find helpful/interesting. Some people are born. Accessory Navicular Bone Reddit.
From footdrjohn.com
Accessory navicular syndrome 시드니 좋은 발병원 Accessory Navicular Bone Reddit I am 16 years old and have been in quite a lot of pain due to what my family and i think is the accessory navicular bone. Acessory navicular is a common idiopathic condition of the foot that presents with an enlargement of the navicular bone. Some people are born with an accessory navicular—an extra bone on the inner center. Accessory Navicular Bone Reddit.
From www.pinterest.co.kr
Accessory Navicular Syndrome Syndrome, Bones, Accessories Accessory Navicular Bone Reddit After seeing several doctors who provided no solutions, a doctor noticed on my mri i had an accessory navicular bone in my left foot and he. I am 16 years old and have been in quite a lot of pain due to what my family and i think is the accessory navicular bone. On sept 9, i underwent surgery to. Accessory Navicular Bone Reddit.
From www.sanmateopodiatrygroup.com
Accessory Navicular Syndrome San Mateo Podiatry Group Accessory Navicular Bone Reddit It isn't very active but there are some posts you might find helpful/interesting. After seeing several doctors who provided no solutions, a doctor noticed on my mri i had an accessory navicular bone in my left foot and he. Most of the time, the condition causes no symptoms and is not noticed until adolescence, when a. Acessory navicular is a. Accessory Navicular Bone Reddit.
From www.reddit.com
Accessory navicular bone r/Radiology Accessory Navicular Bone Reddit I've been dealing with tendonitis of the tibialis anterior for several months, and after doing a few months of pt i went to see an ortho earlier this. I am 16 years old and have been in quite a lot of pain due to what my family and i think is the accessory navicular bone. There's actually a sub reddit. Accessory Navicular Bone Reddit.
From butchixanh.edu.vn
ACCESSORY NAVICULAR SYNDROME Bút Chì Xanh Accessory Navicular Bone Reddit I am 16 years old and have been in quite a lot of pain due to what my family and i think is the accessory navicular bone. After seeing several doctors who provided no solutions, a doctor noticed on my mri i had an accessory navicular bone in my left foot and he. On sept 9, i underwent surgery to. Accessory Navicular Bone Reddit.
From ankleandfootcentre.com.au
Accessory Navicular Syndrome Ankle, Foot and Orthotic Centre Accessory Navicular Bone Reddit I've been dealing with tendonitis of the tibialis anterior for several months, and after doing a few months of pt i went to see an ortho earlier this. It isn't very active but there are some posts you might find helpful/interesting. Most of the time, the condition causes no symptoms and is not noticed until adolescence, when a. There's actually. Accessory Navicular Bone Reddit.
From fity.club
Roentgen Ray Reader Types Of Accessory Navicular Bones Accessory Navicular Bone Reddit It isn't very active but there are some posts you might find helpful/interesting. Diagnosis is made with plain radiographs of the foot showing a. On sept 9, i underwent surgery to remove my accessory navicular bone and to loosen my calf muscle (incredibly tight from years of. After seeing several doctors who provided no solutions, a doctor noticed on my. Accessory Navicular Bone Reddit.
From www.spinalogy.com
Accessory Navicular Bone Understanding its Anatomy and Implications Accessory Navicular Bone Reddit There's actually a sub reddit dedicated to accessory navicular. Diagnosis is made with plain radiographs of the foot showing a. Acessory navicular is a common idiopathic condition of the foot that presents with an enlargement of the navicular bone. I am 16 years old and have been in quite a lot of pain due to what my family and i. Accessory Navicular Bone Reddit.
From footeducation.com
Accessory Navicular Bone FootEducation Accessory Navicular Bone Reddit Acessory navicular is a common idiopathic condition of the foot that presents with an enlargement of the navicular bone. It isn't very active but there are some posts you might find helpful/interesting. Most of the time, the condition causes no symptoms and is not noticed until adolescence, when a. I've been dealing with tendonitis of the tibialis anterior for several. Accessory Navicular Bone Reddit.
From www.theskeletalsystem.net
Navicular Bone Location, Anatomy, & Labeled Diagram Accessory Navicular Bone Reddit Some people are born with an accessory navicular—an extra bone on the inner center arch of their foot. I've been dealing with tendonitis of the tibialis anterior for several months, and after doing a few months of pt i went to see an ortho earlier this. Most of the time, the condition causes no symptoms and is not noticed until. Accessory Navicular Bone Reddit.
From medizzy.com
Accessory Navicular Bone (AKA Accessory Navicular Syndrome, MEDizzy Accessory Navicular Bone Reddit Some people are born with an accessory navicular—an extra bone on the inner center arch of their foot. Acessory navicular is a common idiopathic condition of the foot that presents with an enlargement of the navicular bone. There's actually a sub reddit dedicated to accessory navicular. Most of the time, the condition causes no symptoms and is not noticed until. Accessory Navicular Bone Reddit.
From epos.myesr.org
EPOS™ Accessory Navicular Bone Reddit It isn't very active but there are some posts you might find helpful/interesting. Most of the time, the condition causes no symptoms and is not noticed until adolescence, when a. Some people are born with an accessory navicular—an extra bone on the inner center arch of their foot. I've been dealing with tendonitis of the tibialis anterior for several months,. Accessory Navicular Bone Reddit.
From roentgenrayreader.blogspot.com
Roentgen Ray Reader Types of Accessory Navicular Bones Accessory Navicular Bone Reddit Acessory navicular is a common idiopathic condition of the foot that presents with an enlargement of the navicular bone. After seeing several doctors who provided no solutions, a doctor noticed on my mri i had an accessory navicular bone in my left foot and he. Diagnosis is made with plain radiographs of the foot showing a. There's actually a sub. Accessory Navicular Bone Reddit.
From www.fity.club
Accessory Navicular Accessory Navicular Bone Reddit Acessory navicular is a common idiopathic condition of the foot that presents with an enlargement of the navicular bone. I am 16 years old and have been in quite a lot of pain due to what my family and i think is the accessory navicular bone. After seeing several doctors who provided no solutions, a doctor noticed on my mri. Accessory Navicular Bone Reddit.
From mss-ijmsr.com
Multiossicle accessory navicular bones A symptomatic presentation of Accessory Navicular Bone Reddit On sept 9, i underwent surgery to remove my accessory navicular bone and to loosen my calf muscle (incredibly tight from years of. After seeing several doctors who provided no solutions, a doctor noticed on my mri i had an accessory navicular bone in my left foot and he. It isn't very active but there are some posts you might. Accessory Navicular Bone Reddit.
From www.reddit.com
Accessory navicular bone r/Radiology Accessory Navicular Bone Reddit Most of the time, the condition causes no symptoms and is not noticed until adolescence, when a. On sept 9, i underwent surgery to remove my accessory navicular bone and to loosen my calf muscle (incredibly tight from years of. After seeing several doctors who provided no solutions, a doctor noticed on my mri i had an accessory navicular bone. Accessory Navicular Bone Reddit.
From www.reddit.com
Finally learned that this ‘extra’ bone in my foot is an Accessory Accessory Navicular Bone Reddit After seeing several doctors who provided no solutions, a doctor noticed on my mri i had an accessory navicular bone in my left foot and he. Most of the time, the condition causes no symptoms and is not noticed until adolescence, when a. Some people are born with an accessory navicular—an extra bone on the inner center arch of their. Accessory Navicular Bone Reddit.
From epos.myesr.org
EPOS™ Accessory Navicular Bone Reddit I am 16 years old and have been in quite a lot of pain due to what my family and i think is the accessory navicular bone. There's actually a sub reddit dedicated to accessory navicular. After seeing several doctors who provided no solutions, a doctor noticed on my mri i had an accessory navicular bone in my left foot. Accessory Navicular Bone Reddit.
From exoivjudo.blob.core.windows.net
Accessory Navicular Bone Types at Lori Lock blog Accessory Navicular Bone Reddit There's actually a sub reddit dedicated to accessory navicular. Acessory navicular is a common idiopathic condition of the foot that presents with an enlargement of the navicular bone. I've been dealing with tendonitis of the tibialis anterior for several months, and after doing a few months of pt i went to see an ortho earlier this. Most of the time,. Accessory Navicular Bone Reddit.
From cellaxys.com
Navicular Bone Pain Causes And Treatment Cellaxys Accessory Navicular Bone Reddit On sept 9, i underwent surgery to remove my accessory navicular bone and to loosen my calf muscle (incredibly tight from years of. Diagnosis is made with plain radiographs of the foot showing a. After seeing several doctors who provided no solutions, a doctor noticed on my mri i had an accessory navicular bone in my left foot and he.. Accessory Navicular Bone Reddit.
From anatomytool.org
Radiopaedia Drawing Accessory navicular ossicles no labels Accessory Navicular Bone Reddit I've been dealing with tendonitis of the tibialis anterior for several months, and after doing a few months of pt i went to see an ortho earlier this. Acessory navicular is a common idiopathic condition of the foot that presents with an enlargement of the navicular bone. On sept 9, i underwent surgery to remove my accessory navicular bone and. Accessory Navicular Bone Reddit.
From www.theinjurysource.com
Os Navicularis (Accessory Navicular) Accessory Navicular Bone Reddit Diagnosis is made with plain radiographs of the foot showing a. It isn't very active but there are some posts you might find helpful/interesting. Most of the time, the condition causes no symptoms and is not noticed until adolescence, when a. On sept 9, i underwent surgery to remove my accessory navicular bone and to loosen my calf muscle (incredibly. Accessory Navicular Bone Reddit.
From www.jonathanlarholt.co.uk
Accessory Bone Os Navicularis Consultant Podiatric Surgeon Accessory Navicular Bone Reddit I am 16 years old and have been in quite a lot of pain due to what my family and i think is the accessory navicular bone. After seeing several doctors who provided no solutions, a doctor noticed on my mri i had an accessory navicular bone in my left foot and he. Some people are born with an accessory. Accessory Navicular Bone Reddit.
From ar.inspiredpencil.com
Navicular Anatomy Accessory Navicular Bone Reddit It isn't very active but there are some posts you might find helpful/interesting. Most of the time, the condition causes no symptoms and is not noticed until adolescence, when a. Acessory navicular is a common idiopathic condition of the foot that presents with an enlargement of the navicular bone. I am 16 years old and have been in quite a. Accessory Navicular Bone Reddit.
From ar.inspiredpencil.com
Navicular Tubercle Accessory Navicular Bone Reddit I've been dealing with tendonitis of the tibialis anterior for several months, and after doing a few months of pt i went to see an ortho earlier this. On sept 9, i underwent surgery to remove my accessory navicular bone and to loosen my calf muscle (incredibly tight from years of. Some people are born with an accessory navicular—an extra. Accessory Navicular Bone Reddit.
From www.researchgate.net
The foot radiographs of three different types of accessory navicular Accessory Navicular Bone Reddit On sept 9, i underwent surgery to remove my accessory navicular bone and to loosen my calf muscle (incredibly tight from years of. Diagnosis is made with plain radiographs of the foot showing a. I am 16 years old and have been in quite a lot of pain due to what my family and i think is the accessory navicular. Accessory Navicular Bone Reddit.