Adrenal Medulla Layers . The adrenal medulla is the inner part of your adrenal gland. The adrenal gland is made up of the cortex and medulla. It secretes the essential circulating hormones. The adrenal medulla is the central part of the adrenal gland, surrounded by the cortex. The adrenal (suprarenal) medulla, or the medulla of the suprarenal gland, refers to the inner central part of each adrenal gland and is derived from neural crest cells. The adrenal cortex and adrenal medulla. Zona glomerulosa, zona fasciculata and zona reticularis. The adrenal glands, located superior to each kidney, consist of two regions: Each layer produces different hormones that regulate vital. The cortex produces steroid hormones including glucocorticoids, mineralocorticoids, and adrenal. It consists of three layers: It plays a very important role in homeostasis:
from doctorlib.info
The adrenal medulla is the central part of the adrenal gland, surrounded by the cortex. The adrenal medulla is the inner part of your adrenal gland. The adrenal glands, located superior to each kidney, consist of two regions: It consists of three layers: Each layer produces different hormones that regulate vital. It plays a very important role in homeostasis: The adrenal cortex and adrenal medulla. The cortex produces steroid hormones including glucocorticoids, mineralocorticoids, and adrenal. The adrenal (suprarenal) medulla, or the medulla of the suprarenal gland, refers to the inner central part of each adrenal gland and is derived from neural crest cells. Zona glomerulosa, zona fasciculata and zona reticularis.
Adrenal Hormones Physiology An Illustrated Review
Adrenal Medulla Layers The adrenal (suprarenal) medulla, or the medulla of the suprarenal gland, refers to the inner central part of each adrenal gland and is derived from neural crest cells. Each layer produces different hormones that regulate vital. It secretes the essential circulating hormones. The cortex produces steroid hormones including glucocorticoids, mineralocorticoids, and adrenal. It consists of three layers: The adrenal medulla is the inner part of your adrenal gland. The adrenal gland is made up of the cortex and medulla. The adrenal medulla is the central part of the adrenal gland, surrounded by the cortex. Zona glomerulosa, zona fasciculata and zona reticularis. It plays a very important role in homeostasis: The adrenal cortex and adrenal medulla. The adrenal glands, located superior to each kidney, consist of two regions: The adrenal (suprarenal) medulla, or the medulla of the suprarenal gland, refers to the inner central part of each adrenal gland and is derived from neural crest cells.
From facty.com
What are the Adrenal Glands Facty Health Adrenal Medulla Layers The adrenal cortex and adrenal medulla. It secretes the essential circulating hormones. The cortex produces steroid hormones including glucocorticoids, mineralocorticoids, and adrenal. The adrenal glands, located superior to each kidney, consist of two regions: The adrenal (suprarenal) medulla, or the medulla of the suprarenal gland, refers to the inner central part of each adrenal gland and is derived from neural. Adrenal Medulla Layers.
From www.completechiromd.com
STRESSED? Take care of your adrenal glands! — Complete Chiropractic Adrenal Medulla Layers The adrenal cortex and adrenal medulla. The adrenal (suprarenal) medulla, or the medulla of the suprarenal gland, refers to the inner central part of each adrenal gland and is derived from neural crest cells. The cortex produces steroid hormones including glucocorticoids, mineralocorticoids, and adrenal. It secretes the essential circulating hormones. The adrenal glands, located superior to each kidney, consist of. Adrenal Medulla Layers.
From doctorlib.info
Adrenal Hormones Physiology An Illustrated Review Adrenal Medulla Layers The adrenal (suprarenal) medulla, or the medulla of the suprarenal gland, refers to the inner central part of each adrenal gland and is derived from neural crest cells. It plays a very important role in homeostasis: The cortex produces steroid hormones including glucocorticoids, mineralocorticoids, and adrenal. Each layer produces different hormones that regulate vital. The adrenal medulla is the inner. Adrenal Medulla Layers.
From adrenalgoijin.blogspot.com
Adrenal A Function Of The Adrenal Glands Is To Adrenal Medulla Layers The adrenal gland is made up of the cortex and medulla. The adrenal (suprarenal) medulla, or the medulla of the suprarenal gland, refers to the inner central part of each adrenal gland and is derived from neural crest cells. The cortex produces steroid hormones including glucocorticoids, mineralocorticoids, and adrenal. It secretes the essential circulating hormones. It plays a very important. Adrenal Medulla Layers.
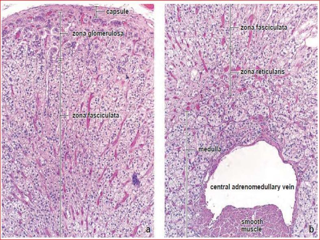
From www.pathologyoutlines.com
Pathology Outlines Anatomy & histologyadrenal medulla & paraganglia Adrenal Medulla Layers It secretes the essential circulating hormones. The adrenal glands, located superior to each kidney, consist of two regions: Each layer produces different hormones that regulate vital. The cortex produces steroid hormones including glucocorticoids, mineralocorticoids, and adrenal. It plays a very important role in homeostasis: The adrenal medulla is the central part of the adrenal gland, surrounded by the cortex. The. Adrenal Medulla Layers.
From www.slideshare.net
HISTOLOGY OF ADRENAL GLANDS Adrenal Medulla Layers The adrenal medulla is the central part of the adrenal gland, surrounded by the cortex. It secretes the essential circulating hormones. It consists of three layers: The adrenal (suprarenal) medulla, or the medulla of the suprarenal gland, refers to the inner central part of each adrenal gland and is derived from neural crest cells. The adrenal medulla is the inner. Adrenal Medulla Layers.
From www.researchgate.net
Schematic diagram of the structure of the human adrenal cortex (92 Adrenal Medulla Layers It secretes the essential circulating hormones. The adrenal medulla is the central part of the adrenal gland, surrounded by the cortex. The adrenal glands, located superior to each kidney, consist of two regions: Zona glomerulosa, zona fasciculata and zona reticularis. The adrenal gland is made up of the cortex and medulla. The adrenal medulla is the inner part of your. Adrenal Medulla Layers.
From www.studyblue.com
Endocrine System at Fanshawe College of Applied Arts and Technology Adrenal Medulla Layers The adrenal glands, located superior to each kidney, consist of two regions: It consists of three layers: The adrenal cortex and adrenal medulla. The adrenal medulla is the central part of the adrenal gland, surrounded by the cortex. It secretes the essential circulating hormones. The cortex produces steroid hormones including glucocorticoids, mineralocorticoids, and adrenal. The adrenal (suprarenal) medulla, or the. Adrenal Medulla Layers.
From www.shutterstock.com
Adrenal Gland Human Endocrine Gland Structure Stock Vector (Royalty Adrenal Medulla Layers It plays a very important role in homeostasis: The cortex produces steroid hormones including glucocorticoids, mineralocorticoids, and adrenal. The adrenal medulla is the inner part of your adrenal gland. The adrenal cortex and adrenal medulla. It consists of three layers: The adrenal glands, located superior to each kidney, consist of two regions: Zona glomerulosa, zona fasciculata and zona reticularis. The. Adrenal Medulla Layers.
From www.pinterest.com
Adrenal Gland Disorders in 2020 Adrenal gland hormones, Adrenal Adrenal Medulla Layers The adrenal (suprarenal) medulla, or the medulla of the suprarenal gland, refers to the inner central part of each adrenal gland and is derived from neural crest cells. The adrenal medulla is the inner part of your adrenal gland. The adrenal medulla is the central part of the adrenal gland, surrounded by the cortex. The cortex produces steroid hormones including. Adrenal Medulla Layers.
From vectormine.com
Adrenal glands vector illustration VectorMine Adrenal Medulla Layers The cortex produces steroid hormones including glucocorticoids, mineralocorticoids, and adrenal. Each layer produces different hormones that regulate vital. The adrenal (suprarenal) medulla, or the medulla of the suprarenal gland, refers to the inner central part of each adrenal gland and is derived from neural crest cells. It consists of three layers: The adrenal medulla is the inner part of your. Adrenal Medulla Layers.
From www.sleepaidresource.com
Adrenal Fatigue Symptoms and How Sleep Is Affected Adrenal Medulla Layers It secretes the essential circulating hormones. The cortex produces steroid hormones including glucocorticoids, mineralocorticoids, and adrenal. Zona glomerulosa, zona fasciculata and zona reticularis. The adrenal (suprarenal) medulla, or the medulla of the suprarenal gland, refers to the inner central part of each adrenal gland and is derived from neural crest cells. The adrenal medulla is the inner part of your. Adrenal Medulla Layers.
From doctorlib.info
THE ADRENAL GLAND THE ENDOCRINE SYSTEM Medical Physiology, 2e Adrenal Medulla Layers The adrenal gland is made up of the cortex and medulla. The adrenal medulla is the central part of the adrenal gland, surrounded by the cortex. It consists of three layers: The adrenal cortex and adrenal medulla. The adrenal medulla is the inner part of your adrenal gland. It plays a very important role in homeostasis: The cortex produces steroid. Adrenal Medulla Layers.
From teachmephysiology.com
Adrenal Medulla Structure Function TeachMePhysiology Adrenal Medulla Layers Each layer produces different hormones that regulate vital. The adrenal medulla is the central part of the adrenal gland, surrounded by the cortex. The adrenal cortex and adrenal medulla. It plays a very important role in homeostasis: It secretes the essential circulating hormones. The adrenal gland is made up of the cortex and medulla. Zona glomerulosa, zona fasciculata and zona. Adrenal Medulla Layers.
From www.slideserve.com
PPT Histology of Adrenal Gland Medulla PowerPoint Presentation Adrenal Medulla Layers The adrenal medulla is the central part of the adrenal gland, surrounded by the cortex. The adrenal medulla is the inner part of your adrenal gland. It consists of three layers: The cortex produces steroid hormones including glucocorticoids, mineralocorticoids, and adrenal. It secretes the essential circulating hormones. The adrenal cortex and adrenal medulla. Zona glomerulosa, zona fasciculata and zona reticularis.. Adrenal Medulla Layers.
From labpedia.net
Adrenal Gland Hormones Interpretation, (Cortisol and Aldosterone Adrenal Medulla Layers Zona glomerulosa, zona fasciculata and zona reticularis. It secretes the essential circulating hormones. Each layer produces different hormones that regulate vital. The adrenal cortex and adrenal medulla. The adrenal (suprarenal) medulla, or the medulla of the suprarenal gland, refers to the inner central part of each adrenal gland and is derived from neural crest cells. The adrenal medulla is the. Adrenal Medulla Layers.
From healthjade.com
Adrenal glands function, location & disorders like overactive adrenal Adrenal Medulla Layers Each layer produces different hormones that regulate vital. It plays a very important role in homeostasis: The adrenal (suprarenal) medulla, or the medulla of the suprarenal gland, refers to the inner central part of each adrenal gland and is derived from neural crest cells. It secretes the essential circulating hormones. It consists of three layers: The adrenal medulla is the. Adrenal Medulla Layers.
From healthiack.com
Pictures Of Adrenal Cortex Adrenal Medulla Layers The adrenal medulla is the central part of the adrenal gland, surrounded by the cortex. It secretes the essential circulating hormones. The adrenal cortex and adrenal medulla. It consists of three layers: The adrenal glands, located superior to each kidney, consist of two regions: Each layer produces different hormones that regulate vital. Zona glomerulosa, zona fasciculata and zona reticularis. It. Adrenal Medulla Layers.
From ppt-online.org
The Endocrine System презентация онлайн Adrenal Medulla Layers The adrenal medulla is the central part of the adrenal gland, surrounded by the cortex. It consists of three layers: Zona glomerulosa, zona fasciculata and zona reticularis. It secretes the essential circulating hormones. The cortex produces steroid hormones including glucocorticoids, mineralocorticoids, and adrenal. The adrenal glands, located superior to each kidney, consist of two regions: The adrenal (suprarenal) medulla, or. Adrenal Medulla Layers.
From www.mdpi.com
Viruses Free FullText Histopathological Analysis of Adrenal Glands Adrenal Medulla Layers The adrenal gland is made up of the cortex and medulla. Zona glomerulosa, zona fasciculata and zona reticularis. It consists of three layers: The adrenal medulla is the inner part of your adrenal gland. The adrenal medulla is the central part of the adrenal gland, surrounded by the cortex. The adrenal cortex and adrenal medulla. The adrenal glands, located superior. Adrenal Medulla Layers.
From www.pinterest.com
Adrenal Gland Adrenal cortex, Visual learning, Endocrine system Adrenal Medulla Layers It consists of three layers: The adrenal medulla is the inner part of your adrenal gland. The adrenal (suprarenal) medulla, or the medulla of the suprarenal gland, refers to the inner central part of each adrenal gland and is derived from neural crest cells. The adrenal glands, located superior to each kidney, consist of two regions: It plays a very. Adrenal Medulla Layers.
From quizlet.com
endocrine system exam 1 adrenal gland Diagram Quizlet Adrenal Medulla Layers The adrenal (suprarenal) medulla, or the medulla of the suprarenal gland, refers to the inner central part of each adrenal gland and is derived from neural crest cells. The cortex produces steroid hormones including glucocorticoids, mineralocorticoids, and adrenal. The adrenal glands, located superior to each kidney, consist of two regions: The adrenal medulla is the central part of the adrenal. Adrenal Medulla Layers.
From www.slideserve.com
PPT Hormones of the Adrenal Cortex PowerPoint Presentation, free Adrenal Medulla Layers The adrenal medulla is the inner part of your adrenal gland. The adrenal gland is made up of the cortex and medulla. It plays a very important role in homeostasis: Zona glomerulosa, zona fasciculata and zona reticularis. The cortex produces steroid hormones including glucocorticoids, mineralocorticoids, and adrenal. The adrenal glands, located superior to each kidney, consist of two regions: It. Adrenal Medulla Layers.
From healthiack.com
Pictures Of Adrenal Cortex Healthiack Adrenal Medulla Layers Each layer produces different hormones that regulate vital. Zona glomerulosa, zona fasciculata and zona reticularis. It secretes the essential circulating hormones. The adrenal medulla is the central part of the adrenal gland, surrounded by the cortex. The adrenal gland is made up of the cortex and medulla. The cortex produces steroid hormones including glucocorticoids, mineralocorticoids, and adrenal. It consists of. Adrenal Medulla Layers.
From andre4088.blogspot.com
Struktur dan Fungsi Kelenjar Adrenal − Rakyat Biologi Adrenal Medulla Layers The adrenal (suprarenal) medulla, or the medulla of the suprarenal gland, refers to the inner central part of each adrenal gland and is derived from neural crest cells. It secretes the essential circulating hormones. The adrenal medulla is the inner part of your adrenal gland. It plays a very important role in homeostasis: It consists of three layers: The adrenal. Adrenal Medulla Layers.
From es.dreamstime.com
Hormonas De Las Glándulas Del Adrenal Y órganos Internosblancos Para Adrenal Medulla Layers The adrenal gland is made up of the cortex and medulla. It consists of three layers: The adrenal glands, located superior to each kidney, consist of two regions: Each layer produces different hormones that regulate vital. Zona glomerulosa, zona fasciculata and zona reticularis. The cortex produces steroid hormones including glucocorticoids, mineralocorticoids, and adrenal. The adrenal medulla is the inner part. Adrenal Medulla Layers.
From myendoconsult.com
The Formation And Structure Of The Adrenal Cortex My Endo Consult Adrenal Medulla Layers The adrenal glands, located superior to each kidney, consist of two regions: Each layer produces different hormones that regulate vital. The adrenal (suprarenal) medulla, or the medulla of the suprarenal gland, refers to the inner central part of each adrenal gland and is derived from neural crest cells. Zona glomerulosa, zona fasciculata and zona reticularis. The adrenal gland is made. Adrenal Medulla Layers.
From www.labpedia.net
Adrenal Gland Hormones and Interpretation, Blood sample and Precautions Adrenal Medulla Layers It plays a very important role in homeostasis: It consists of three layers: The adrenal glands, located superior to each kidney, consist of two regions: The adrenal (suprarenal) medulla, or the medulla of the suprarenal gland, refers to the inner central part of each adrenal gland and is derived from neural crest cells. Each layer produces different hormones that regulate. Adrenal Medulla Layers.
From jespremium.weebly.com
Adrenal cortex hormones and functions jespremium Adrenal Medulla Layers It consists of three layers: Zona glomerulosa, zona fasciculata and zona reticularis. The adrenal medulla is the inner part of your adrenal gland. The adrenal gland is made up of the cortex and medulla. It secretes the essential circulating hormones. The adrenal cortex and adrenal medulla. The adrenal glands, located superior to each kidney, consist of two regions: The cortex. Adrenal Medulla Layers.
From www.bigstockphoto.com
Adrenal Gland Hormone Vector & Photo (Free Trial) Bigstock Adrenal Medulla Layers It consists of three layers: The adrenal medulla is the central part of the adrenal gland, surrounded by the cortex. The adrenal (suprarenal) medulla, or the medulla of the suprarenal gland, refers to the inner central part of each adrenal gland and is derived from neural crest cells. The cortex produces steroid hormones including glucocorticoids, mineralocorticoids, and adrenal. Each layer. Adrenal Medulla Layers.
From my.clevelandclinic.org
Adrenal Gland What It Is, Function, Symptoms & Disorders Adrenal Medulla Layers Zona glomerulosa, zona fasciculata and zona reticularis. The adrenal cortex and adrenal medulla. The adrenal (suprarenal) medulla, or the medulla of the suprarenal gland, refers to the inner central part of each adrenal gland and is derived from neural crest cells. Each layer produces different hormones that regulate vital. The adrenal medulla is the inner part of your adrenal gland.. Adrenal Medulla Layers.
From quizlet.com
BSC216 Lab Exam 2 Adrenal Gland Anatomy/Histology Diagram Quizlet Adrenal Medulla Layers The adrenal medulla is the inner part of your adrenal gland. Each layer produces different hormones that regulate vital. It secretes the essential circulating hormones. Zona glomerulosa, zona fasciculata and zona reticularis. The adrenal cortex and adrenal medulla. It plays a very important role in homeostasis: The adrenal (suprarenal) medulla, or the medulla of the suprarenal gland, refers to the. Adrenal Medulla Layers.
From stock.adobe.com
Adrenal gland anatomy. Endocrine triangularshaped gland located on top Adrenal Medulla Layers It consists of three layers: The adrenal cortex and adrenal medulla. The adrenal (suprarenal) medulla, or the medulla of the suprarenal gland, refers to the inner central part of each adrenal gland and is derived from neural crest cells. Each layer produces different hormones that regulate vital. The adrenal medulla is the inner part of your adrenal gland. The cortex. Adrenal Medulla Layers.
From quizlet.com
Figure 16.14a Microscopic structure of the adrenal gland. Diagram Quizlet Adrenal Medulla Layers It secretes the essential circulating hormones. The cortex produces steroid hormones including glucocorticoids, mineralocorticoids, and adrenal. The adrenal (suprarenal) medulla, or the medulla of the suprarenal gland, refers to the inner central part of each adrenal gland and is derived from neural crest cells. Each layer produces different hormones that regulate vital. The adrenal cortex and adrenal medulla. The adrenal. Adrenal Medulla Layers.
From www.adrenalinsufficiency.org
Anatomy & Physiology AIC Adrenal Insufficiency Coalition Adrenal Medulla Layers The adrenal medulla is the inner part of your adrenal gland. The adrenal gland is made up of the cortex and medulla. Each layer produces different hormones that regulate vital. The adrenal medulla is the central part of the adrenal gland, surrounded by the cortex. It consists of three layers: The adrenal (suprarenal) medulla, or the medulla of the suprarenal. Adrenal Medulla Layers.