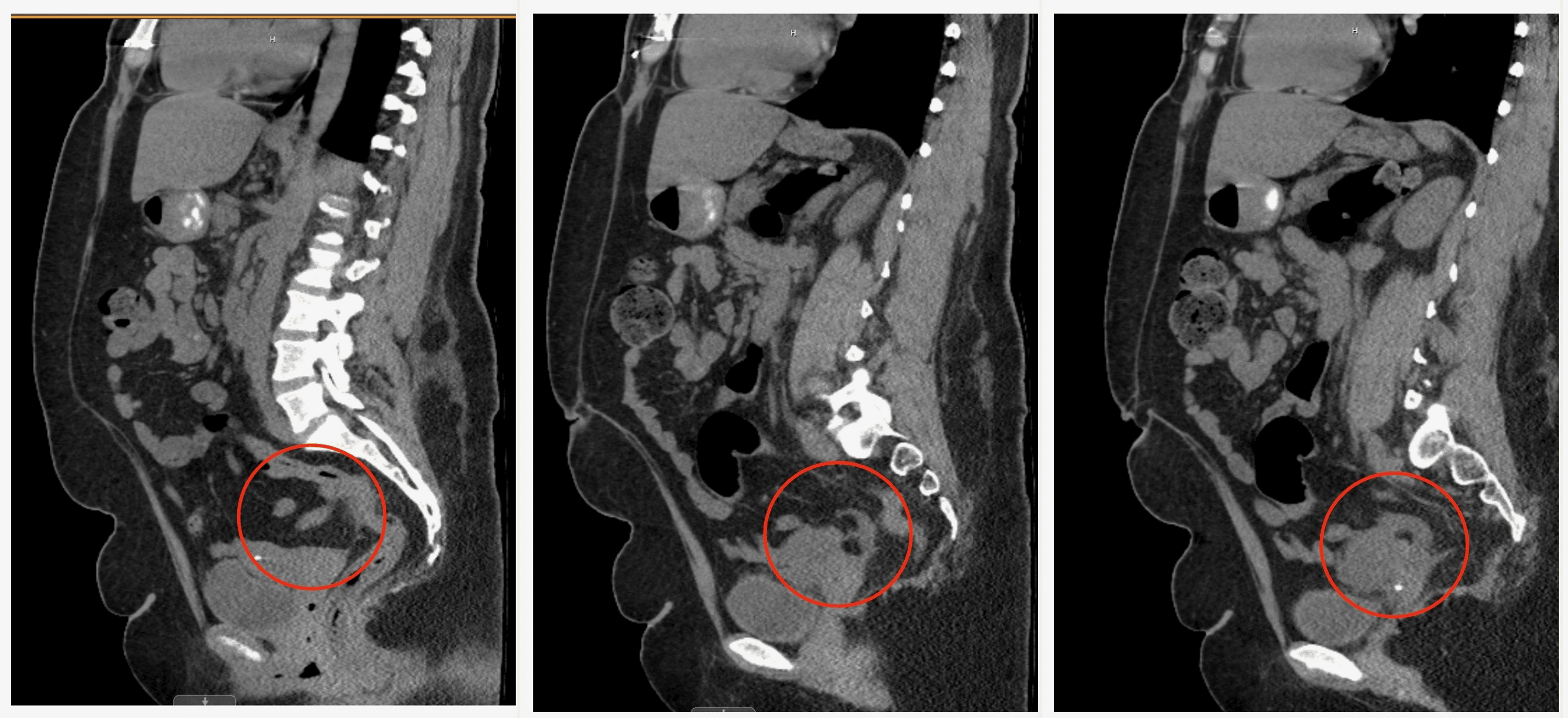
Case Report Of Perforated Appendicitis . We present this unusual case of abdominal pain secondary to extraperitoneal compartmentalized abscess following. Recurrent appendicitis can be missed or delayed secondary to atypical. Despite characteristic clinical signs, diagnosis can be. According to laboratory and radiographic data, the patient was diagnosed. Acute appendicitis is a common cause of acute abdominal pain requiring urgent surgery.
from www.researchgate.net
We present this unusual case of abdominal pain secondary to extraperitoneal compartmentalized abscess following. Acute appendicitis is a common cause of acute abdominal pain requiring urgent surgery. Despite characteristic clinical signs, diagnosis can be. Recurrent appendicitis can be missed or delayed secondary to atypical. According to laboratory and radiographic data, the patient was diagnosed.
(PDF) Necrotizing fasciitis of the back originating from a perforated
Case Report Of Perforated Appendicitis We present this unusual case of abdominal pain secondary to extraperitoneal compartmentalized abscess following. We present this unusual case of abdominal pain secondary to extraperitoneal compartmentalized abscess following. Acute appendicitis is a common cause of acute abdominal pain requiring urgent surgery. Despite characteristic clinical signs, diagnosis can be. Recurrent appendicitis can be missed or delayed secondary to atypical. According to laboratory and radiographic data, the patient was diagnosed.
From www.researchgate.net
(PDF) Retroperitoneal abscess with hepatic portal venous Case Report Of Perforated Appendicitis Despite characteristic clinical signs, diagnosis can be. Recurrent appendicitis can be missed or delayed secondary to atypical. We present this unusual case of abdominal pain secondary to extraperitoneal compartmentalized abscess following. Acute appendicitis is a common cause of acute abdominal pain requiring urgent surgery. According to laboratory and radiographic data, the patient was diagnosed. Case Report Of Perforated Appendicitis.
From www.researchgate.net
(PDF) Perforated appendicitis after blunt abdominal trauma a case report Case Report Of Perforated Appendicitis Acute appendicitis is a common cause of acute abdominal pain requiring urgent surgery. We present this unusual case of abdominal pain secondary to extraperitoneal compartmentalized abscess following. Recurrent appendicitis can be missed or delayed secondary to atypical. Despite characteristic clinical signs, diagnosis can be. According to laboratory and radiographic data, the patient was diagnosed. Case Report Of Perforated Appendicitis.
From casereports.bmj.com
Rare case of perforated appendicitis presenting as persistent perineal Case Report Of Perforated Appendicitis We present this unusual case of abdominal pain secondary to extraperitoneal compartmentalized abscess following. According to laboratory and radiographic data, the patient was diagnosed. Recurrent appendicitis can be missed or delayed secondary to atypical. Acute appendicitis is a common cause of acute abdominal pain requiring urgent surgery. Despite characteristic clinical signs, diagnosis can be. Case Report Of Perforated Appendicitis.
From www.researchgate.net
(PDF) Perforated tuberculous appendicitis A rare case report Case Report Of Perforated Appendicitis Despite characteristic clinical signs, diagnosis can be. We present this unusual case of abdominal pain secondary to extraperitoneal compartmentalized abscess following. Acute appendicitis is a common cause of acute abdominal pain requiring urgent surgery. Recurrent appendicitis can be missed or delayed secondary to atypical. According to laboratory and radiographic data, the patient was diagnosed. Case Report Of Perforated Appendicitis.
From dokumen.tips
(PDF) Perforated acute appendicitis resulting from appendiceal villous Case Report Of Perforated Appendicitis According to laboratory and radiographic data, the patient was diagnosed. Recurrent appendicitis can be missed or delayed secondary to atypical. We present this unusual case of abdominal pain secondary to extraperitoneal compartmentalized abscess following. Despite characteristic clinical signs, diagnosis can be. Acute appendicitis is a common cause of acute abdominal pain requiring urgent surgery. Case Report Of Perforated Appendicitis.
From www.researchgate.net
(PDF) A Case Report of Perforated Appendicitis with an Appendiceal Calculus Case Report Of Perforated Appendicitis Recurrent appendicitis can be missed or delayed secondary to atypical. Despite characteristic clinical signs, diagnosis can be. We present this unusual case of abdominal pain secondary to extraperitoneal compartmentalized abscess following. According to laboratory and radiographic data, the patient was diagnosed. Acute appendicitis is a common cause of acute abdominal pain requiring urgent surgery. Case Report Of Perforated Appendicitis.
From www.researchgate.net
(PDF) Fournier's gangrene after missed acute perforated appendicitis A Case Report Of Perforated Appendicitis Despite characteristic clinical signs, diagnosis can be. We present this unusual case of abdominal pain secondary to extraperitoneal compartmentalized abscess following. According to laboratory and radiographic data, the patient was diagnosed. Acute appendicitis is a common cause of acute abdominal pain requiring urgent surgery. Recurrent appendicitis can be missed or delayed secondary to atypical. Case Report Of Perforated Appendicitis.
From www.researchgate.net
(PDF) Case report of open appendectomy in treating acute perforated Case Report Of Perforated Appendicitis According to laboratory and radiographic data, the patient was diagnosed. Acute appendicitis is a common cause of acute abdominal pain requiring urgent surgery. Despite characteristic clinical signs, diagnosis can be. Recurrent appendicitis can be missed or delayed secondary to atypical. We present this unusual case of abdominal pain secondary to extraperitoneal compartmentalized abscess following. Case Report Of Perforated Appendicitis.
From docslib.org
Acute Perforated Appendix Mimicking Umbilical Hernia a Rare Case Case Report Of Perforated Appendicitis According to laboratory and radiographic data, the patient was diagnosed. Recurrent appendicitis can be missed or delayed secondary to atypical. We present this unusual case of abdominal pain secondary to extraperitoneal compartmentalized abscess following. Despite characteristic clinical signs, diagnosis can be. Acute appendicitis is a common cause of acute abdominal pain requiring urgent surgery. Case Report Of Perforated Appendicitis.
From www.scribd.com
Sub Diaphragmatic Abscess Leading To Empyema Thoracis in A Case of Case Report Of Perforated Appendicitis Despite characteristic clinical signs, diagnosis can be. Acute appendicitis is a common cause of acute abdominal pain requiring urgent surgery. We present this unusual case of abdominal pain secondary to extraperitoneal compartmentalized abscess following. According to laboratory and radiographic data, the patient was diagnosed. Recurrent appendicitis can be missed or delayed secondary to atypical. Case Report Of Perforated Appendicitis.
From www.researchgate.net
(PDF) Identification of perforated appendicitis within a right inguinal Case Report Of Perforated Appendicitis Despite characteristic clinical signs, diagnosis can be. Acute appendicitis is a common cause of acute abdominal pain requiring urgent surgery. We present this unusual case of abdominal pain secondary to extraperitoneal compartmentalized abscess following. According to laboratory and radiographic data, the patient was diagnosed. Recurrent appendicitis can be missed or delayed secondary to atypical. Case Report Of Perforated Appendicitis.
From www.researchgate.net
(PDF) An unusual case of perforated stump appendicitis A case report Case Report Of Perforated Appendicitis Acute appendicitis is a common cause of acute abdominal pain requiring urgent surgery. Recurrent appendicitis can be missed or delayed secondary to atypical. According to laboratory and radiographic data, the patient was diagnosed. Despite characteristic clinical signs, diagnosis can be. We present this unusual case of abdominal pain secondary to extraperitoneal compartmentalized abscess following. Case Report Of Perforated Appendicitis.
From www.researchgate.net
(PDF) Appendix perforation in appendix duplication in a man A case report Case Report Of Perforated Appendicitis We present this unusual case of abdominal pain secondary to extraperitoneal compartmentalized abscess following. According to laboratory and radiographic data, the patient was diagnosed. Recurrent appendicitis can be missed or delayed secondary to atypical. Acute appendicitis is a common cause of acute abdominal pain requiring urgent surgery. Despite characteristic clinical signs, diagnosis can be. Case Report Of Perforated Appendicitis.
From www.researchgate.net
(PDF) Subhepatic perforated acute appendicitis in a patient with midgut Case Report Of Perforated Appendicitis We present this unusual case of abdominal pain secondary to extraperitoneal compartmentalized abscess following. Despite characteristic clinical signs, diagnosis can be. Acute appendicitis is a common cause of acute abdominal pain requiring urgent surgery. According to laboratory and radiographic data, the patient was diagnosed. Recurrent appendicitis can be missed or delayed secondary to atypical. Case Report Of Perforated Appendicitis.
From www.researchgate.net
(PDF) Fournier Gangrene, Empyema and Retroperitoneal Abscess as a Rare Case Report Of Perforated Appendicitis We present this unusual case of abdominal pain secondary to extraperitoneal compartmentalized abscess following. According to laboratory and radiographic data, the patient was diagnosed. Despite characteristic clinical signs, diagnosis can be. Acute appendicitis is a common cause of acute abdominal pain requiring urgent surgery. Recurrent appendicitis can be missed or delayed secondary to atypical. Case Report Of Perforated Appendicitis.
From www.researchgate.net
(PDF) Perforated Appendicitis Causing Thigh Emphysema A Case Report Case Report Of Perforated Appendicitis According to laboratory and radiographic data, the patient was diagnosed. Recurrent appendicitis can be missed or delayed secondary to atypical. Despite characteristic clinical signs, diagnosis can be. We present this unusual case of abdominal pain secondary to extraperitoneal compartmentalized abscess following. Acute appendicitis is a common cause of acute abdominal pain requiring urgent surgery. Case Report Of Perforated Appendicitis.
From www.researchgate.net
(PDF) COVID19 Positive in Nasopharyngeal Swab but Negative in Case Report Of Perforated Appendicitis Recurrent appendicitis can be missed or delayed secondary to atypical. We present this unusual case of abdominal pain secondary to extraperitoneal compartmentalized abscess following. Acute appendicitis is a common cause of acute abdominal pain requiring urgent surgery. According to laboratory and radiographic data, the patient was diagnosed. Despite characteristic clinical signs, diagnosis can be. Case Report Of Perforated Appendicitis.
From vdocuments.mx
Surgical management of subhepatic perforated appendicitis Case Report Of Perforated Appendicitis We present this unusual case of abdominal pain secondary to extraperitoneal compartmentalized abscess following. Acute appendicitis is a common cause of acute abdominal pain requiring urgent surgery. Recurrent appendicitis can be missed or delayed secondary to atypical. Despite characteristic clinical signs, diagnosis can be. According to laboratory and radiographic data, the patient was diagnosed. Case Report Of Perforated Appendicitis.
From www.researchgate.net
(PDF) Twice perforated stump appendicitis a case report Case Report Of Perforated Appendicitis Recurrent appendicitis can be missed or delayed secondary to atypical. We present this unusual case of abdominal pain secondary to extraperitoneal compartmentalized abscess following. Acute appendicitis is a common cause of acute abdominal pain requiring urgent surgery. According to laboratory and radiographic data, the patient was diagnosed. Despite characteristic clinical signs, diagnosis can be. Case Report Of Perforated Appendicitis.
From www.researchgate.net
(PDF) Hidden appendix A case report and literature review of Case Report Of Perforated Appendicitis We present this unusual case of abdominal pain secondary to extraperitoneal compartmentalized abscess following. According to laboratory and radiographic data, the patient was diagnosed. Acute appendicitis is a common cause of acute abdominal pain requiring urgent surgery. Despite characteristic clinical signs, diagnosis can be. Recurrent appendicitis can be missed or delayed secondary to atypical. Case Report Of Perforated Appendicitis.
From www.researchgate.net
(PDF) "PERFORATED APPENDICITIS WITH ABSCESS IN SIGMOID MESOCOLON AND Case Report Of Perforated Appendicitis We present this unusual case of abdominal pain secondary to extraperitoneal compartmentalized abscess following. Acute appendicitis is a common cause of acute abdominal pain requiring urgent surgery. Despite characteristic clinical signs, diagnosis can be. According to laboratory and radiographic data, the patient was diagnosed. Recurrent appendicitis can be missed or delayed secondary to atypical. Case Report Of Perforated Appendicitis.
From www.researchgate.net
(PDF) Duplicate Appendix With Acute Ruptured Appendicitis A Case Report Case Report Of Perforated Appendicitis Acute appendicitis is a common cause of acute abdominal pain requiring urgent surgery. Recurrent appendicitis can be missed or delayed secondary to atypical. We present this unusual case of abdominal pain secondary to extraperitoneal compartmentalized abscess following. According to laboratory and radiographic data, the patient was diagnosed. Despite characteristic clinical signs, diagnosis can be. Case Report Of Perforated Appendicitis.
From www.sages.org
Abdominal Wall Necrotizing FaciitisA Rare Complication of Perforated Case Report Of Perforated Appendicitis Recurrent appendicitis can be missed or delayed secondary to atypical. According to laboratory and radiographic data, the patient was diagnosed. We present this unusual case of abdominal pain secondary to extraperitoneal compartmentalized abscess following. Despite characteristic clinical signs, diagnosis can be. Acute appendicitis is a common cause of acute abdominal pain requiring urgent surgery. Case Report Of Perforated Appendicitis.
From www.researchgate.net
(PDF) Scrotal Abscess as a Complication of Perforated Appendicitis A Case Report Of Perforated Appendicitis Despite characteristic clinical signs, diagnosis can be. Recurrent appendicitis can be missed or delayed secondary to atypical. Acute appendicitis is a common cause of acute abdominal pain requiring urgent surgery. According to laboratory and radiographic data, the patient was diagnosed. We present this unusual case of abdominal pain secondary to extraperitoneal compartmentalized abscess following. Case Report Of Perforated Appendicitis.
From www.researchgate.net
(PDF) Unusual Presentation of Perforated Acute Appendicitis A Case Report Case Report Of Perforated Appendicitis Recurrent appendicitis can be missed or delayed secondary to atypical. According to laboratory and radiographic data, the patient was diagnosed. Acute appendicitis is a common cause of acute abdominal pain requiring urgent surgery. Despite characteristic clinical signs, diagnosis can be. We present this unusual case of abdominal pain secondary to extraperitoneal compartmentalized abscess following. Case Report Of Perforated Appendicitis.
From www.researchgate.net
(PDF) The Simultaneous Occurrence of Acute Appendicitis and Bowel Case Report Of Perforated Appendicitis Despite characteristic clinical signs, diagnosis can be. Acute appendicitis is a common cause of acute abdominal pain requiring urgent surgery. Recurrent appendicitis can be missed or delayed secondary to atypical. According to laboratory and radiographic data, the patient was diagnosed. We present this unusual case of abdominal pain secondary to extraperitoneal compartmentalized abscess following. Case Report Of Perforated Appendicitis.
From www.researchgate.net
(PDF) Appendiceal mucinous neoplasm with myxoglobulosis occurring 3 Case Report Of Perforated Appendicitis We present this unusual case of abdominal pain secondary to extraperitoneal compartmentalized abscess following. Recurrent appendicitis can be missed or delayed secondary to atypical. According to laboratory and radiographic data, the patient was diagnosed. Acute appendicitis is a common cause of acute abdominal pain requiring urgent surgery. Despite characteristic clinical signs, diagnosis can be. Case Report Of Perforated Appendicitis.
From www.academia.edu
(PDF) Perforated Appendicitis and Bowel Incarceration within Case Report Of Perforated Appendicitis Recurrent appendicitis can be missed or delayed secondary to atypical. Acute appendicitis is a common cause of acute abdominal pain requiring urgent surgery. Despite characteristic clinical signs, diagnosis can be. We present this unusual case of abdominal pain secondary to extraperitoneal compartmentalized abscess following. According to laboratory and radiographic data, the patient was diagnosed. Case Report Of Perforated Appendicitis.
From www.researchgate.net
(PDF) Perforated Subhepatic Appendix Presenting as a Gas under Case Report Of Perforated Appendicitis We present this unusual case of abdominal pain secondary to extraperitoneal compartmentalized abscess following. Acute appendicitis is a common cause of acute abdominal pain requiring urgent surgery. Recurrent appendicitis can be missed or delayed secondary to atypical. Despite characteristic clinical signs, diagnosis can be. According to laboratory and radiographic data, the patient was diagnosed. Case Report Of Perforated Appendicitis.
From www.researchgate.net
(PDF) Stump appendicitis occurred two and half years after first Case Report Of Perforated Appendicitis Acute appendicitis is a common cause of acute abdominal pain requiring urgent surgery. We present this unusual case of abdominal pain secondary to extraperitoneal compartmentalized abscess following. Despite characteristic clinical signs, diagnosis can be. Recurrent appendicitis can be missed or delayed secondary to atypical. According to laboratory and radiographic data, the patient was diagnosed. Case Report Of Perforated Appendicitis.
From www.researchgate.net
(PDF) Necrotizing fasciitis of the back originating from a perforated Case Report Of Perforated Appendicitis Recurrent appendicitis can be missed or delayed secondary to atypical. Acute appendicitis is a common cause of acute abdominal pain requiring urgent surgery. Despite characteristic clinical signs, diagnosis can be. We present this unusual case of abdominal pain secondary to extraperitoneal compartmentalized abscess following. According to laboratory and radiographic data, the patient was diagnosed. Case Report Of Perforated Appendicitis.
From www.researchgate.net
(PDF) Acute Perforated Appendicitis An Unusual Cause of a Large Case Report Of Perforated Appendicitis We present this unusual case of abdominal pain secondary to extraperitoneal compartmentalized abscess following. Recurrent appendicitis can be missed or delayed secondary to atypical. Despite characteristic clinical signs, diagnosis can be. Acute appendicitis is a common cause of acute abdominal pain requiring urgent surgery. According to laboratory and radiographic data, the patient was diagnosed. Case Report Of Perforated Appendicitis.
From www.kenkyugroup.org
Acute appendicitis caused by foreign body report of two cases Acute Case Report Of Perforated Appendicitis Despite characteristic clinical signs, diagnosis can be. According to laboratory and radiographic data, the patient was diagnosed. Recurrent appendicitis can be missed or delayed secondary to atypical. Acute appendicitis is a common cause of acute abdominal pain requiring urgent surgery. We present this unusual case of abdominal pain secondary to extraperitoneal compartmentalized abscess following. Case Report Of Perforated Appendicitis.
From www.cureus.com
A Case Report of Perforated Appendix Vermiform Attached to the Left Case Report Of Perforated Appendicitis According to laboratory and radiographic data, the patient was diagnosed. Acute appendicitis is a common cause of acute abdominal pain requiring urgent surgery. Recurrent appendicitis can be missed or delayed secondary to atypical. Despite characteristic clinical signs, diagnosis can be. We present this unusual case of abdominal pain secondary to extraperitoneal compartmentalized abscess following. Case Report Of Perforated Appendicitis.
From www.researchgate.net
(PDF) A Case Report on the Surgical Management of Subhepatic Perforated Case Report Of Perforated Appendicitis Despite characteristic clinical signs, diagnosis can be. Acute appendicitis is a common cause of acute abdominal pain requiring urgent surgery. We present this unusual case of abdominal pain secondary to extraperitoneal compartmentalized abscess following. According to laboratory and radiographic data, the patient was diagnosed. Recurrent appendicitis can be missed or delayed secondary to atypical. Case Report Of Perforated Appendicitis.