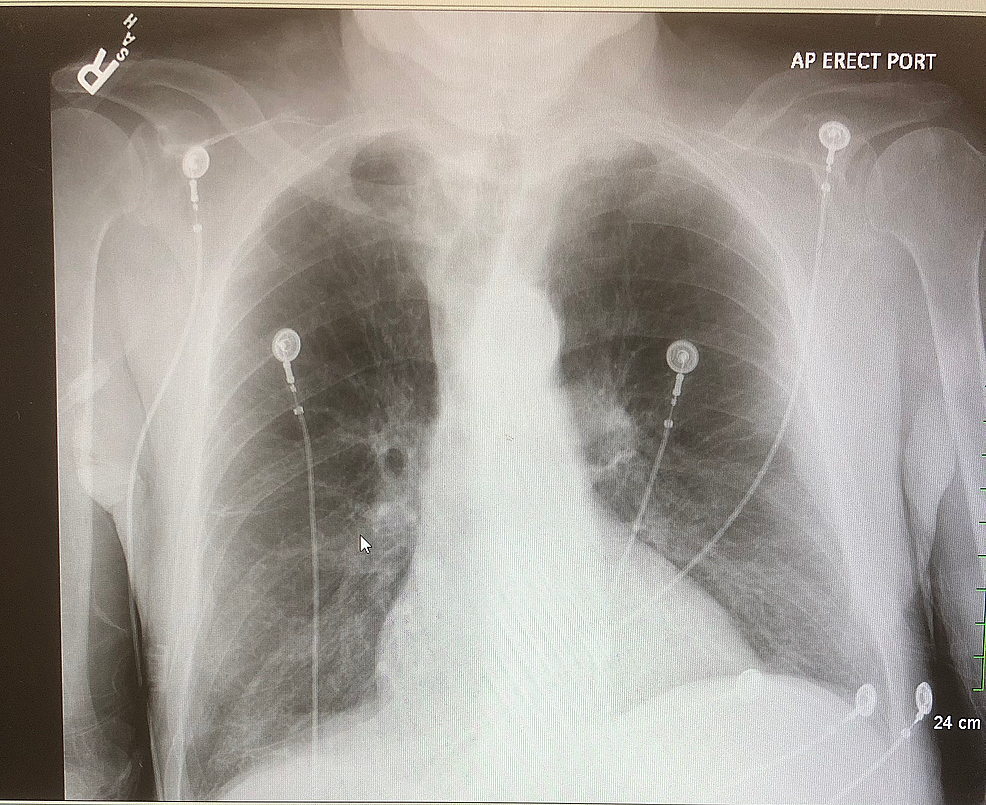
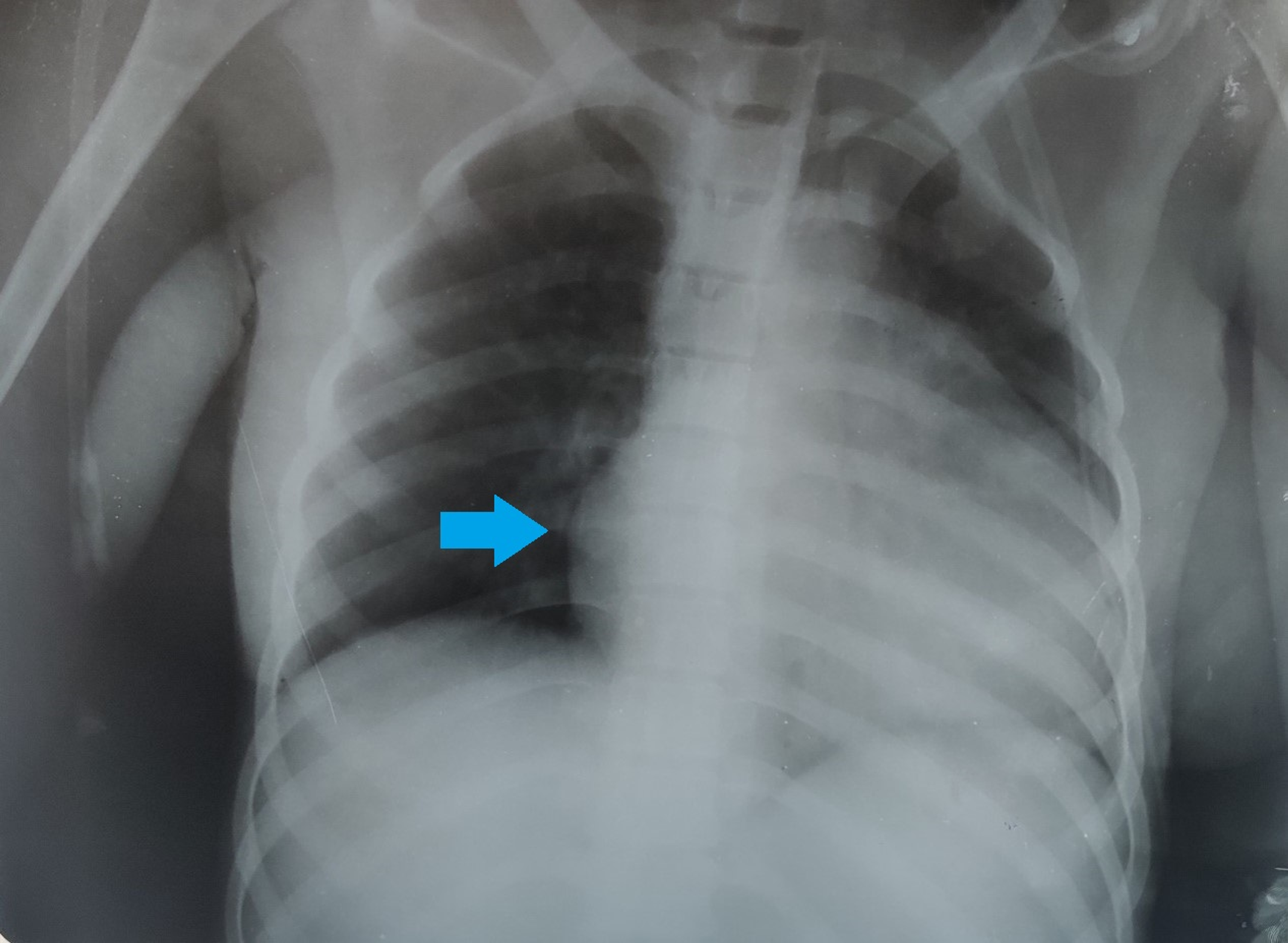
Chest X-Ray Findings In Lupus . As an example, the diagnosis of sle is more likely to be present in a young woman who develops fatigue, arthralgia, and pleuritic chest. In patients showing lung complications, 72% displayed symptoms, which most frequently consisted of pleuritic chest. Systemic lupus erythematosus (sle) is an unusually complex autoimmune disease that is encountered in every radiology subspecialty. Thoracic manifestations of systemic lupus erythematosus. Pleural involvement is common in sle, occurring in up to 93 percent in autopsy series, and can be manifest as pleuritic chest. Please refer to the main article on. Thoracic manifestations of systemic lupus erythematosus (sle) can be variable. On ed presentation the patient’s vital signs showed tachycardia (hr 120s), tachypnea (rr 28), blood pressure (110/60), and an oxygen saturation of 96% on 2l nasal cannula.
from thorax.bmj.com
On ed presentation the patient’s vital signs showed tachycardia (hr 120s), tachypnea (rr 28), blood pressure (110/60), and an oxygen saturation of 96% on 2l nasal cannula. Thoracic manifestations of systemic lupus erythematosus. Pleural involvement is common in sle, occurring in up to 93 percent in autopsy series, and can be manifest as pleuritic chest. In patients showing lung complications, 72% displayed symptoms, which most frequently consisted of pleuritic chest. Please refer to the main article on. Systemic lupus erythematosus (sle) is an unusually complex autoimmune disease that is encountered in every radiology subspecialty. Thoracic manifestations of systemic lupus erythematosus (sle) can be variable. As an example, the diagnosis of sle is more likely to be present in a young woman who develops fatigue, arthralgia, and pleuritic chest.
Pleuropulmonary manifestations of systemic lupus erythematosus Thorax
Chest X-Ray Findings In Lupus In patients showing lung complications, 72% displayed symptoms, which most frequently consisted of pleuritic chest. In patients showing lung complications, 72% displayed symptoms, which most frequently consisted of pleuritic chest. Pleural involvement is common in sle, occurring in up to 93 percent in autopsy series, and can be manifest as pleuritic chest. On ed presentation the patient’s vital signs showed tachycardia (hr 120s), tachypnea (rr 28), blood pressure (110/60), and an oxygen saturation of 96% on 2l nasal cannula. Thoracic manifestations of systemic lupus erythematosus (sle) can be variable. Please refer to the main article on. Systemic lupus erythematosus (sle) is an unusually complex autoimmune disease that is encountered in every radiology subspecialty. Thoracic manifestations of systemic lupus erythematosus. As an example, the diagnosis of sle is more likely to be present in a young woman who develops fatigue, arthralgia, and pleuritic chest.
From www.mdpi.com
Applied Sciences Free FullText Classification and Predictions of Chest X-Ray Findings In Lupus On ed presentation the patient’s vital signs showed tachycardia (hr 120s), tachypnea (rr 28), blood pressure (110/60), and an oxygen saturation of 96% on 2l nasal cannula. Pleural involvement is common in sle, occurring in up to 93 percent in autopsy series, and can be manifest as pleuritic chest. In patients showing lung complications, 72% displayed symptoms, which most frequently. Chest X-Ray Findings In Lupus.
From www.cureus.com
Thrombocytopenia A Diagnostic Dilemma and Incidental Detection of Chest X-Ray Findings In Lupus Thoracic manifestations of systemic lupus erythematosus. In patients showing lung complications, 72% displayed symptoms, which most frequently consisted of pleuritic chest. Please refer to the main article on. Pleural involvement is common in sle, occurring in up to 93 percent in autopsy series, and can be manifest as pleuritic chest. As an example, the diagnosis of sle is more likely. Chest X-Ray Findings In Lupus.
From www.cureus.com
Cureus Systemic Lupus Erythematosus With Involvement in a Chest X-Ray Findings In Lupus Pleural involvement is common in sle, occurring in up to 93 percent in autopsy series, and can be manifest as pleuritic chest. In patients showing lung complications, 72% displayed symptoms, which most frequently consisted of pleuritic chest. As an example, the diagnosis of sle is more likely to be present in a young woman who develops fatigue, arthralgia, and pleuritic. Chest X-Ray Findings In Lupus.
From calgaryguide.ucalgary.ca
copdfindingsonposterioranteriorandlateralchestxrayfindings Chest X-Ray Findings In Lupus Please refer to the main article on. Pleural involvement is common in sle, occurring in up to 93 percent in autopsy series, and can be manifest as pleuritic chest. In patients showing lung complications, 72% displayed symptoms, which most frequently consisted of pleuritic chest. On ed presentation the patient’s vital signs showed tachycardia (hr 120s), tachypnea (rr 28), blood pressure. Chest X-Ray Findings In Lupus.
From www.researchgate.net
Chest Xray findings during hospitalization course. (A) Day 1 Chest X-Ray Findings In Lupus Pleural involvement is common in sle, occurring in up to 93 percent in autopsy series, and can be manifest as pleuritic chest. Please refer to the main article on. Thoracic manifestations of systemic lupus erythematosus. In patients showing lung complications, 72% displayed symptoms, which most frequently consisted of pleuritic chest. As an example, the diagnosis of sle is more likely. Chest X-Ray Findings In Lupus.
From www.wikidoc.org
Lupus nephritis chest x ray wikidoc Chest X-Ray Findings In Lupus Please refer to the main article on. Pleural involvement is common in sle, occurring in up to 93 percent in autopsy series, and can be manifest as pleuritic chest. As an example, the diagnosis of sle is more likely to be present in a young woman who develops fatigue, arthralgia, and pleuritic chest. Thoracic manifestations of systemic lupus erythematosus. On. Chest X-Ray Findings In Lupus.
From www.archbronconeumol.org
Systemic Lupus Erythematosus Presenting as Acute Lupus Pneumonitis Chest X-Ray Findings In Lupus Thoracic manifestations of systemic lupus erythematosus. In patients showing lung complications, 72% displayed symptoms, which most frequently consisted of pleuritic chest. On ed presentation the patient’s vital signs showed tachycardia (hr 120s), tachypnea (rr 28), blood pressure (110/60), and an oxygen saturation of 96% on 2l nasal cannula. Please refer to the main article on. As an example, the diagnosis. Chest X-Ray Findings In Lupus.
From thorax.bmj.com
Pleuropulmonary manifestations of systemic lupus erythematosus Thorax Chest X-Ray Findings In Lupus In patients showing lung complications, 72% displayed symptoms, which most frequently consisted of pleuritic chest. As an example, the diagnosis of sle is more likely to be present in a young woman who develops fatigue, arthralgia, and pleuritic chest. Thoracic manifestations of systemic lupus erythematosus (sle) can be variable. Thoracic manifestations of systemic lupus erythematosus. Systemic lupus erythematosus (sle) is. Chest X-Ray Findings In Lupus.
From breathe.ersjournals.com
A functionally improved case of obstructive impairment caused by Chest X-Ray Findings In Lupus On ed presentation the patient’s vital signs showed tachycardia (hr 120s), tachypnea (rr 28), blood pressure (110/60), and an oxygen saturation of 96% on 2l nasal cannula. Please refer to the main article on. Thoracic manifestations of systemic lupus erythematosus. In patients showing lung complications, 72% displayed symptoms, which most frequently consisted of pleuritic chest. Pleural involvement is common in. Chest X-Ray Findings In Lupus.
From www.researchgate.net
Chest Xrays categories pathology with related labels in Chest Xray14 Chest X-Ray Findings In Lupus As an example, the diagnosis of sle is more likely to be present in a young woman who develops fatigue, arthralgia, and pleuritic chest. Pleural involvement is common in sle, occurring in up to 93 percent in autopsy series, and can be manifest as pleuritic chest. Thoracic manifestations of systemic lupus erythematosus (sle) can be variable. In patients showing lung. Chest X-Ray Findings In Lupus.
From www.googblogs.com
Detecting Abnormal Chest Xrays using Deep Learning Chest X-Ray Findings In Lupus Pleural involvement is common in sle, occurring in up to 93 percent in autopsy series, and can be manifest as pleuritic chest. Thoracic manifestations of systemic lupus erythematosus (sle) can be variable. In patients showing lung complications, 72% displayed symptoms, which most frequently consisted of pleuritic chest. Thoracic manifestations of systemic lupus erythematosus. On ed presentation the patient’s vital signs. Chest X-Ray Findings In Lupus.
From www.mdpi.com
Sensors Free FullText Weak Localization of Radiographic Chest X-Ray Findings In Lupus In patients showing lung complications, 72% displayed symptoms, which most frequently consisted of pleuritic chest. As an example, the diagnosis of sle is more likely to be present in a young woman who develops fatigue, arthralgia, and pleuritic chest. Thoracic manifestations of systemic lupus erythematosus. Pleural involvement is common in sle, occurring in up to 93 percent in autopsy series,. Chest X-Ray Findings In Lupus.
From pubs.rsna.org
Imaging Findings in Systemic Lupus Erythematosus RadioGraphics Chest X-Ray Findings In Lupus Pleural involvement is common in sle, occurring in up to 93 percent in autopsy series, and can be manifest as pleuritic chest. Please refer to the main article on. Thoracic manifestations of systemic lupus erythematosus. On ed presentation the patient’s vital signs showed tachycardia (hr 120s), tachypnea (rr 28), blood pressure (110/60), and an oxygen saturation of 96% on 2l. Chest X-Ray Findings In Lupus.
From thorax.bmj.com
Pleuropulmonary manifestations of systemic lupus erythematosus Thorax Chest X-Ray Findings In Lupus Pleural involvement is common in sle, occurring in up to 93 percent in autopsy series, and can be manifest as pleuritic chest. As an example, the diagnosis of sle is more likely to be present in a young woman who develops fatigue, arthralgia, and pleuritic chest. Systemic lupus erythematosus (sle) is an unusually complex autoimmune disease that is encountered in. Chest X-Ray Findings In Lupus.
From www.youtube.com
Atelectasis (Right Lower Lobe) Explanation of Chest Xray Findings Chest X-Ray Findings In Lupus On ed presentation the patient’s vital signs showed tachycardia (hr 120s), tachypnea (rr 28), blood pressure (110/60), and an oxygen saturation of 96% on 2l nasal cannula. In patients showing lung complications, 72% displayed symptoms, which most frequently consisted of pleuritic chest. Thoracic manifestations of systemic lupus erythematosus. Thoracic manifestations of systemic lupus erythematosus (sle) can be variable. Please refer. Chest X-Ray Findings In Lupus.
From www.wikidoc.org
Lupus nephritis chest x ray wikidoc Chest X-Ray Findings In Lupus Systemic lupus erythematosus (sle) is an unusually complex autoimmune disease that is encountered in every radiology subspecialty. In patients showing lung complications, 72% displayed symptoms, which most frequently consisted of pleuritic chest. Thoracic manifestations of systemic lupus erythematosus (sle) can be variable. On ed presentation the patient’s vital signs showed tachycardia (hr 120s), tachypnea (rr 28), blood pressure (110/60), and. Chest X-Ray Findings In Lupus.
From www.cureus.com
A Case of Seronegative ANA HydralazineInduced Lupus Presenting With Chest X-Ray Findings In Lupus Pleural involvement is common in sle, occurring in up to 93 percent in autopsy series, and can be manifest as pleuritic chest. On ed presentation the patient’s vital signs showed tachycardia (hr 120s), tachypnea (rr 28), blood pressure (110/60), and an oxygen saturation of 96% on 2l nasal cannula. Thoracic manifestations of systemic lupus erythematosus (sle) can be variable. Thoracic. Chest X-Ray Findings In Lupus.
From www.researchgate.net
(PDF) Lupus myocarditisA rare case Chest X-Ray Findings In Lupus Please refer to the main article on. In patients showing lung complications, 72% displayed symptoms, which most frequently consisted of pleuritic chest. As an example, the diagnosis of sle is more likely to be present in a young woman who develops fatigue, arthralgia, and pleuritic chest. Thoracic manifestations of systemic lupus erythematosus. Systemic lupus erythematosus (sle) is an unusually complex. Chest X-Ray Findings In Lupus.
From www.slideshare.net
Lupus and the Lungs by Dr. Gilda DiazFuentes Chest X-Ray Findings In Lupus Please refer to the main article on. Thoracic manifestations of systemic lupus erythematosus (sle) can be variable. In patients showing lung complications, 72% displayed symptoms, which most frequently consisted of pleuritic chest. Pleural involvement is common in sle, occurring in up to 93 percent in autopsy series, and can be manifest as pleuritic chest. Thoracic manifestations of systemic lupus erythematosus.. Chest X-Ray Findings In Lupus.
From mavink.com
Ards Chest X Ray Findings Chest X-Ray Findings In Lupus Pleural involvement is common in sle, occurring in up to 93 percent in autopsy series, and can be manifest as pleuritic chest. As an example, the diagnosis of sle is more likely to be present in a young woman who develops fatigue, arthralgia, and pleuritic chest. On ed presentation the patient’s vital signs showed tachycardia (hr 120s), tachypnea (rr 28),. Chest X-Ray Findings In Lupus.
From www.mdpi.com
Diagnostics Free FullText When a Rapid Accurate Diagnosis Changes Chest X-Ray Findings In Lupus Systemic lupus erythematosus (sle) is an unusually complex autoimmune disease that is encountered in every radiology subspecialty. As an example, the diagnosis of sle is more likely to be present in a young woman who develops fatigue, arthralgia, and pleuritic chest. On ed presentation the patient’s vital signs showed tachycardia (hr 120s), tachypnea (rr 28), blood pressure (110/60), and an. Chest X-Ray Findings In Lupus.
From www.wikidoc.org
Systemic lupus erythematosus x ray wikidoc Chest X-Ray Findings In Lupus In patients showing lung complications, 72% displayed symptoms, which most frequently consisted of pleuritic chest. Thoracic manifestations of systemic lupus erythematosus. On ed presentation the patient’s vital signs showed tachycardia (hr 120s), tachypnea (rr 28), blood pressure (110/60), and an oxygen saturation of 96% on 2l nasal cannula. As an example, the diagnosis of sle is more likely to be. Chest X-Ray Findings In Lupus.
From www.wikidoc.org
Lupus nephritis chest x ray wikidoc Chest X-Ray Findings In Lupus Thoracic manifestations of systemic lupus erythematosus (sle) can be variable. Thoracic manifestations of systemic lupus erythematosus. On ed presentation the patient’s vital signs showed tachycardia (hr 120s), tachypnea (rr 28), blood pressure (110/60), and an oxygen saturation of 96% on 2l nasal cannula. As an example, the diagnosis of sle is more likely to be present in a young woman. Chest X-Ray Findings In Lupus.
From www.cureus.com
Cureus Polyserositis and Acute Acalculous Cholecystitis An Chest X-Ray Findings In Lupus In patients showing lung complications, 72% displayed symptoms, which most frequently consisted of pleuritic chest. Thoracic manifestations of systemic lupus erythematosus (sle) can be variable. Please refer to the main article on. Systemic lupus erythematosus (sle) is an unusually complex autoimmune disease that is encountered in every radiology subspecialty. As an example, the diagnosis of sle is more likely to. Chest X-Ray Findings In Lupus.
From breathe.ersjournals.com
Persistent hypokalaemia and abnormal chest radiography European Chest X-Ray Findings In Lupus Systemic lupus erythematosus (sle) is an unusually complex autoimmune disease that is encountered in every radiology subspecialty. On ed presentation the patient’s vital signs showed tachycardia (hr 120s), tachypnea (rr 28), blood pressure (110/60), and an oxygen saturation of 96% on 2l nasal cannula. Pleural involvement is common in sle, occurring in up to 93 percent in autopsy series, and. Chest X-Ray Findings In Lupus.
From www.mdpi.com
Diagnostics Free FullText Longitudinal Chest Xray Scores and Chest X-Ray Findings In Lupus On ed presentation the patient’s vital signs showed tachycardia (hr 120s), tachypnea (rr 28), blood pressure (110/60), and an oxygen saturation of 96% on 2l nasal cannula. Please refer to the main article on. As an example, the diagnosis of sle is more likely to be present in a young woman who develops fatigue, arthralgia, and pleuritic chest. Systemic lupus. Chest X-Ray Findings In Lupus.
From www.topdoctors.co.uk
Abnormal chest xray what does it mean? Top Doctors Chest X-Ray Findings In Lupus Thoracic manifestations of systemic lupus erythematosus. Please refer to the main article on. Systemic lupus erythematosus (sle) is an unusually complex autoimmune disease that is encountered in every radiology subspecialty. On ed presentation the patient’s vital signs showed tachycardia (hr 120s), tachypnea (rr 28), blood pressure (110/60), and an oxygen saturation of 96% on 2l nasal cannula. Thoracic manifestations of. Chest X-Ray Findings In Lupus.
From thorax.bmj.com
Pleuropulmonary manifestations of systemic lupus erythematosus Thorax Chest X-Ray Findings In Lupus Thoracic manifestations of systemic lupus erythematosus. In patients showing lung complications, 72% displayed symptoms, which most frequently consisted of pleuritic chest. On ed presentation the patient’s vital signs showed tachycardia (hr 120s), tachypnea (rr 28), blood pressure (110/60), and an oxygen saturation of 96% on 2l nasal cannula. As an example, the diagnosis of sle is more likely to be. Chest X-Ray Findings In Lupus.
From journals.sagepub.com
Diagnosis and management of lung involvement in systemic lupus Chest X-Ray Findings In Lupus Pleural involvement is common in sle, occurring in up to 93 percent in autopsy series, and can be manifest as pleuritic chest. In patients showing lung complications, 72% displayed symptoms, which most frequently consisted of pleuritic chest. Thoracic manifestations of systemic lupus erythematosus (sle) can be variable. On ed presentation the patient’s vital signs showed tachycardia (hr 120s), tachypnea (rr. Chest X-Ray Findings In Lupus.
From www.mdpi.com
JCM Free FullText Update on Current Imaging of Systemic Lupus Chest X-Ray Findings In Lupus Thoracic manifestations of systemic lupus erythematosus. On ed presentation the patient’s vital signs showed tachycardia (hr 120s), tachypnea (rr 28), blood pressure (110/60), and an oxygen saturation of 96% on 2l nasal cannula. In patients showing lung complications, 72% displayed symptoms, which most frequently consisted of pleuritic chest. Pleural involvement is common in sle, occurring in up to 93 percent. Chest X-Ray Findings In Lupus.
From lungs.thecommonvein.net
000 Systemic Lupus Erythematosus, SLE Lungs Chest X-Ray Findings In Lupus Pleural involvement is common in sle, occurring in up to 93 percent in autopsy series, and can be manifest as pleuritic chest. In patients showing lung complications, 72% displayed symptoms, which most frequently consisted of pleuritic chest. Thoracic manifestations of systemic lupus erythematosus. Systemic lupus erythematosus (sle) is an unusually complex autoimmune disease that is encountered in every radiology subspecialty.. Chest X-Ray Findings In Lupus.
From geekymedics.com
Pneumothorax Geeky Medics Chest X-Ray Findings In Lupus Pleural involvement is common in sle, occurring in up to 93 percent in autopsy series, and can be manifest as pleuritic chest. Please refer to the main article on. On ed presentation the patient’s vital signs showed tachycardia (hr 120s), tachypnea (rr 28), blood pressure (110/60), and an oxygen saturation of 96% on 2l nasal cannula. Thoracic manifestations of systemic. Chest X-Ray Findings In Lupus.
From radiologykey.com
Systemic Lupus Erythematosus Radiology Key Chest X-Ray Findings In Lupus Pleural involvement is common in sle, occurring in up to 93 percent in autopsy series, and can be manifest as pleuritic chest. As an example, the diagnosis of sle is more likely to be present in a young woman who develops fatigue, arthralgia, and pleuritic chest. Thoracic manifestations of systemic lupus erythematosus (sle) can be variable. Thoracic manifestations of systemic. Chest X-Ray Findings In Lupus.
From www.wikidoc.org
Systemic lupus erythematosus x ray wikidoc Chest X-Ray Findings In Lupus Thoracic manifestations of systemic lupus erythematosus. Please refer to the main article on. Thoracic manifestations of systemic lupus erythematosus (sle) can be variable. As an example, the diagnosis of sle is more likely to be present in a young woman who develops fatigue, arthralgia, and pleuritic chest. Systemic lupus erythematosus (sle) is an unusually complex autoimmune disease that is encountered. Chest X-Ray Findings In Lupus.
From www.youtube.com
Chest XRay Lung Normal Vs Abnormal Image Appearances Part 1 TB Chest X-Ray Findings In Lupus Pleural involvement is common in sle, occurring in up to 93 percent in autopsy series, and can be manifest as pleuritic chest. On ed presentation the patient’s vital signs showed tachycardia (hr 120s), tachypnea (rr 28), blood pressure (110/60), and an oxygen saturation of 96% on 2l nasal cannula. As an example, the diagnosis of sle is more likely to. Chest X-Ray Findings In Lupus.