Fracture Talus Treatment . The lisfranc joint separates your midfoot from your forefoot. Treatment is generally nonoperative with immobilization for minimally displaced injuries and surgical reduction and fixation for. Find out how to tell if your ankle is broken (fractured) and when to get medical advice, plus how a broken ankle is treated and how long it. An open fracture should be treated as a medical emergency. This is a small flake fracture that is treated like a sprain healing: Smoking will slow down your. Treatment plan • place in temporary splint once talar neck fracture reduced • time to definitive fixation not related to increased risk of avn •. Immediate treatment of a talus fracture includes immobilizing the foot and elevating it above the heart. It normally takes 6 weeks for this fracture to heal. A joint called the mediotarsal separates your hindfoot from your midfoot.
from www.adelaideankle.com.au
A joint called the mediotarsal separates your hindfoot from your midfoot. Treatment is generally nonoperative with immobilization for minimally displaced injuries and surgical reduction and fixation for. Treatment plan • place in temporary splint once talar neck fracture reduced • time to definitive fixation not related to increased risk of avn •. An open fracture should be treated as a medical emergency. It normally takes 6 weeks for this fracture to heal. Find out how to tell if your ankle is broken (fractured) and when to get medical advice, plus how a broken ankle is treated and how long it. Smoking will slow down your. Immediate treatment of a talus fracture includes immobilizing the foot and elevating it above the heart. The lisfranc joint separates your midfoot from your forefoot. This is a small flake fracture that is treated like a sprain healing:
Tatus Fractures Dr Ben Beamond Adelaide
Fracture Talus Treatment The lisfranc joint separates your midfoot from your forefoot. Immediate treatment of a talus fracture includes immobilizing the foot and elevating it above the heart. A joint called the mediotarsal separates your hindfoot from your midfoot. This is a small flake fracture that is treated like a sprain healing: The lisfranc joint separates your midfoot from your forefoot. An open fracture should be treated as a medical emergency. Find out how to tell if your ankle is broken (fractured) and when to get medical advice, plus how a broken ankle is treated and how long it. Smoking will slow down your. Treatment plan • place in temporary splint once talar neck fracture reduced • time to definitive fixation not related to increased risk of avn •. Treatment is generally nonoperative with immobilization for minimally displaced injuries and surgical reduction and fixation for. It normally takes 6 weeks for this fracture to heal.
From footeducation.com
Lateral Talar Process Fractures FootEducation Fracture Talus Treatment Treatment is generally nonoperative with immobilization for minimally displaced injuries and surgical reduction and fixation for. An open fracture should be treated as a medical emergency. A joint called the mediotarsal separates your hindfoot from your midfoot. Immediate treatment of a talus fracture includes immobilizing the foot and elevating it above the heart. It normally takes 6 weeks for this. Fracture Talus Treatment.
From www.foot.theclinics.com
Treatment of Peripheral Talus Fractures Foot and Ankle Clinics Fracture Talus Treatment The lisfranc joint separates your midfoot from your forefoot. An open fracture should be treated as a medical emergency. Find out how to tell if your ankle is broken (fractured) and when to get medical advice, plus how a broken ankle is treated and how long it. Treatment plan • place in temporary splint once talar neck fracture reduced •. Fracture Talus Treatment.
From footeducation.com
Lateral Talar Process Fractures FootEducation Fracture Talus Treatment An open fracture should be treated as a medical emergency. Treatment plan • place in temporary splint once talar neck fracture reduced • time to definitive fixation not related to increased risk of avn •. This is a small flake fracture that is treated like a sprain healing: The lisfranc joint separates your midfoot from your forefoot. Find out how. Fracture Talus Treatment.
From faoj.org
Timing of Definitive Fixation for Comminuted Talar Fractures in Fracture Talus Treatment Immediate treatment of a talus fracture includes immobilizing the foot and elevating it above the heart. Find out how to tell if your ankle is broken (fractured) and when to get medical advice, plus how a broken ankle is treated and how long it. This is a small flake fracture that is treated like a sprain healing: The lisfranc joint. Fracture Talus Treatment.
From ar.inspiredpencil.com
Talus Avulsion Fracture Treatment Fracture Talus Treatment Treatment is generally nonoperative with immobilization for minimally displaced injuries and surgical reduction and fixation for. Treatment plan • place in temporary splint once talar neck fracture reduced • time to definitive fixation not related to increased risk of avn •. Immediate treatment of a talus fracture includes immobilizing the foot and elevating it above the heart. This is a. Fracture Talus Treatment.
From journals.sagepub.com
Fractures of the Talus Current Concepts Andrew M. Schwartz, William Fracture Talus Treatment Smoking will slow down your. Treatment plan • place in temporary splint once talar neck fracture reduced • time to definitive fixation not related to increased risk of avn •. An open fracture should be treated as a medical emergency. Treatment is generally nonoperative with immobilization for minimally displaced injuries and surgical reduction and fixation for. Find out how to. Fracture Talus Treatment.
From narodnatribuna.info
Talar Fractures Fracture Talus Treatment A joint called the mediotarsal separates your hindfoot from your midfoot. Treatment is generally nonoperative with immobilization for minimally displaced injuries and surgical reduction and fixation for. Treatment plan • place in temporary splint once talar neck fracture reduced • time to definitive fixation not related to increased risk of avn •. Immediate treatment of a talus fracture includes immobilizing. Fracture Talus Treatment.
From www.footcaremd.org
Talus Fracture Symptoms & Causes Fracture Talus Treatment Find out how to tell if your ankle is broken (fractured) and when to get medical advice, plus how a broken ankle is treated and how long it. Immediate treatment of a talus fracture includes immobilizing the foot and elevating it above the heart. Treatment is generally nonoperative with immobilization for minimally displaced injuries and surgical reduction and fixation for.. Fracture Talus Treatment.
From fracturesandbonehealing.blogspot.com
Talus Fracture Treatment Bone Fracture Surgery Fracture Talus Treatment A joint called the mediotarsal separates your hindfoot from your midfoot. Smoking will slow down your. Treatment plan • place in temporary splint once talar neck fracture reduced • time to definitive fixation not related to increased risk of avn •. This is a small flake fracture that is treated like a sprain healing: An open fracture should be treated. Fracture Talus Treatment.
From www.ncbi.nlm.nih.gov
Talar Neck Fractures StatPearls NCBI Bookshelf Fracture Talus Treatment The lisfranc joint separates your midfoot from your forefoot. It normally takes 6 weeks for this fracture to heal. Treatment plan • place in temporary splint once talar neck fracture reduced • time to definitive fixation not related to increased risk of avn •. This is a small flake fracture that is treated like a sprain healing: An open fracture. Fracture Talus Treatment.
From www.boneschool.com
Talar Body Fracture The Bone School Fracture Talus Treatment Immediate treatment of a talus fracture includes immobilizing the foot and elevating it above the heart. It normally takes 6 weeks for this fracture to heal. A joint called the mediotarsal separates your hindfoot from your midfoot. Treatment is generally nonoperative with immobilization for minimally displaced injuries and surgical reduction and fixation for. Smoking will slow down your. The lisfranc. Fracture Talus Treatment.
From www.orthoinfo.org
Talus Fractures OrthoInfo AAOS Fracture Talus Treatment It normally takes 6 weeks for this fracture to heal. This is a small flake fracture that is treated like a sprain healing: A joint called the mediotarsal separates your hindfoot from your midfoot. Find out how to tell if your ankle is broken (fractured) and when to get medical advice, plus how a broken ankle is treated and how. Fracture Talus Treatment.
From www.slideshare.net
Talus fracture treatment algorithm Fracture Talus Treatment Treatment plan • place in temporary splint once talar neck fracture reduced • time to definitive fixation not related to increased risk of avn •. It normally takes 6 weeks for this fracture to heal. The lisfranc joint separates your midfoot from your forefoot. Treatment is generally nonoperative with immobilization for minimally displaced injuries and surgical reduction and fixation for.. Fracture Talus Treatment.
From www.mdpi.com
Osteology Free FullText Talus Fractures in Snowboarders A Case Series Fracture Talus Treatment Treatment is generally nonoperative with immobilization for minimally displaced injuries and surgical reduction and fixation for. A joint called the mediotarsal separates your hindfoot from your midfoot. Treatment plan • place in temporary splint once talar neck fracture reduced • time to definitive fixation not related to increased risk of avn •. Find out how to tell if your ankle. Fracture Talus Treatment.
From www.youtube.com
talus bone fracture recovery time talus bone fracture treatment Fracture Talus Treatment Smoking will slow down your. It normally takes 6 weeks for this fracture to heal. This is a small flake fracture that is treated like a sprain healing: Treatment plan • place in temporary splint once talar neck fracture reduced • time to definitive fixation not related to increased risk of avn •. Find out how to tell if your. Fracture Talus Treatment.
From www.orthoinfo.org
Talus Fractures OrthoInfo AAOS Fracture Talus Treatment The lisfranc joint separates your midfoot from your forefoot. Treatment is generally nonoperative with immobilization for minimally displaced injuries and surgical reduction and fixation for. Smoking will slow down your. A joint called the mediotarsal separates your hindfoot from your midfoot. It normally takes 6 weeks for this fracture to heal. Find out how to tell if your ankle is. Fracture Talus Treatment.
From orthopaedicprinciples.com
Talus Fractures — Fracture Talus Treatment A joint called the mediotarsal separates your hindfoot from your midfoot. Smoking will slow down your. Find out how to tell if your ankle is broken (fractured) and when to get medical advice, plus how a broken ankle is treated and how long it. An open fracture should be treated as a medical emergency. The lisfranc joint separates your midfoot. Fracture Talus Treatment.
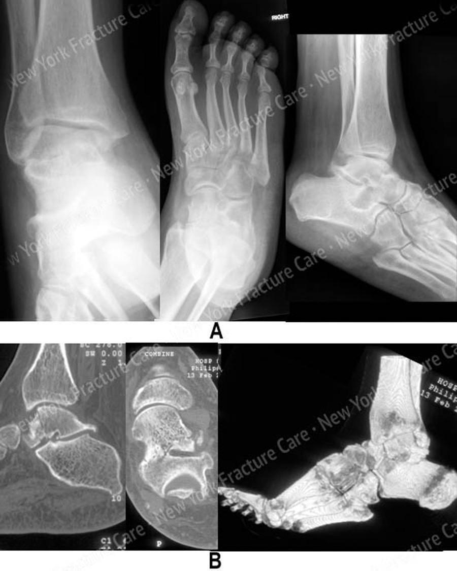
From nyfracture.com
Talus fractures (foot) New York Fracture Care Fracture Talus Treatment Treatment plan • place in temporary splint once talar neck fracture reduced • time to definitive fixation not related to increased risk of avn •. A joint called the mediotarsal separates your hindfoot from your midfoot. The lisfranc joint separates your midfoot from your forefoot. Find out how to tell if your ankle is broken (fractured) and when to get. Fracture Talus Treatment.
From www.slideshare.net
Talus fracture treatment algorithm Fracture Talus Treatment Find out how to tell if your ankle is broken (fractured) and when to get medical advice, plus how a broken ankle is treated and how long it. Treatment plan • place in temporary splint once talar neck fracture reduced • time to definitive fixation not related to increased risk of avn •. Smoking will slow down your. A joint. Fracture Talus Treatment.
From faoj.org
Timing of Definitive Fixation for Comminuted Talar Fractures in Fracture Talus Treatment Immediate treatment of a talus fracture includes immobilizing the foot and elevating it above the heart. Smoking will slow down your. Treatment is generally nonoperative with immobilization for minimally displaced injuries and surgical reduction and fixation for. This is a small flake fracture that is treated like a sprain healing: It normally takes 6 weeks for this fracture to heal.. Fracture Talus Treatment.
From www.youtube.com
Talus Fractures Orthopaedic Surgery Lectures Medical Student V Fracture Talus Treatment The lisfranc joint separates your midfoot from your forefoot. Smoking will slow down your. Find out how to tell if your ankle is broken (fractured) and when to get medical advice, plus how a broken ankle is treated and how long it. An open fracture should be treated as a medical emergency. It normally takes 6 weeks for this fracture. Fracture Talus Treatment.
From healthjade.net
Talus fracture causes, types, symptoms, complications, diagnosis Fracture Talus Treatment Smoking will slow down your. This is a small flake fracture that is treated like a sprain healing: Treatment is generally nonoperative with immobilization for minimally displaced injuries and surgical reduction and fixation for. It normally takes 6 weeks for this fracture to heal. A joint called the mediotarsal separates your hindfoot from your midfoot. Find out how to tell. Fracture Talus Treatment.
From www.podiatric.theclinics.com
Fractures of the Talus A Comprehensive Review Clinics in Podiatric Fracture Talus Treatment Smoking will slow down your. It normally takes 6 weeks for this fracture to heal. The lisfranc joint separates your midfoot from your forefoot. Find out how to tell if your ankle is broken (fractured) and when to get medical advice, plus how a broken ankle is treated and how long it. Immediate treatment of a talus fracture includes immobilizing. Fracture Talus Treatment.
From journals.sagepub.com
Ceramic Artificial Talus as the Initial Treatment for Comminuted Talar Fracture Talus Treatment Find out how to tell if your ankle is broken (fractured) and when to get medical advice, plus how a broken ankle is treated and how long it. Treatment is generally nonoperative with immobilization for minimally displaced injuries and surgical reduction and fixation for. Immediate treatment of a talus fracture includes immobilizing the foot and elevating it above the heart.. Fracture Talus Treatment.
From www.researchgate.net
(PDF) Fractures of the Talus Current Concepts Fracture Talus Treatment The lisfranc joint separates your midfoot from your forefoot. Find out how to tell if your ankle is broken (fractured) and when to get medical advice, plus how a broken ankle is treated and how long it. Treatment is generally nonoperative with immobilization for minimally displaced injuries and surgical reduction and fixation for. An open fracture should be treated as. Fracture Talus Treatment.
From www.rch.org.au
Clinical Practice Guidelines Talus Fractures Emergency Department Fracture Talus Treatment Smoking will slow down your. The lisfranc joint separates your midfoot from your forefoot. Immediate treatment of a talus fracture includes immobilizing the foot and elevating it above the heart. It normally takes 6 weeks for this fracture to heal. Treatment is generally nonoperative with immobilization for minimally displaced injuries and surgical reduction and fixation for. A joint called the. Fracture Talus Treatment.
From orthofixar.com
Talar Fractures & Dislocation OrthoFixar 2024 Fracture Talus Treatment Immediate treatment of a talus fracture includes immobilizing the foot and elevating it above the heart. Treatment is generally nonoperative with immobilization for minimally displaced injuries and surgical reduction and fixation for. Find out how to tell if your ankle is broken (fractured) and when to get medical advice, plus how a broken ankle is treated and how long it.. Fracture Talus Treatment.
From www.cureus.com
Cureus Talar Body Fracture With Closed PanTalar Dislocation Fracture Talus Treatment This is a small flake fracture that is treated like a sprain healing: The lisfranc joint separates your midfoot from your forefoot. Treatment is generally nonoperative with immobilization for minimally displaced injuries and surgical reduction and fixation for. An open fracture should be treated as a medical emergency. Immediate treatment of a talus fracture includes immobilizing the foot and elevating. Fracture Talus Treatment.
From www.youtube.com
Talus Fractures An Overview to Diagnosis and Management by Robert B Fracture Talus Treatment It normally takes 6 weeks for this fracture to heal. An open fracture should be treated as a medical emergency. Immediate treatment of a talus fracture includes immobilizing the foot and elevating it above the heart. Treatment is generally nonoperative with immobilization for minimally displaced injuries and surgical reduction and fixation for. The lisfranc joint separates your midfoot from your. Fracture Talus Treatment.
From www.bhosc.com
Talus Fractures Black Hills Orthopedic & Spine Center Fracture Talus Treatment Smoking will slow down your. It normally takes 6 weeks for this fracture to heal. This is a small flake fracture that is treated like a sprain healing: Treatment is generally nonoperative with immobilization for minimally displaced injuries and surgical reduction and fixation for. Find out how to tell if your ankle is broken (fractured) and when to get medical. Fracture Talus Treatment.
From www.youtube.com
Talus Fracture Treatment (Cold Laser, Adjustment, Orthotics) YouTube Fracture Talus Treatment A joint called the mediotarsal separates your hindfoot from your midfoot. Treatment is generally nonoperative with immobilization for minimally displaced injuries and surgical reduction and fixation for. This is a small flake fracture that is treated like a sprain healing: Immediate treatment of a talus fracture includes immobilizing the foot and elevating it above the heart. Treatment plan • place. Fracture Talus Treatment.
From proper-cooking.info
Talus Avulsion Fracture Treatment Fracture Talus Treatment Immediate treatment of a talus fracture includes immobilizing the foot and elevating it above the heart. A joint called the mediotarsal separates your hindfoot from your midfoot. It normally takes 6 weeks for this fracture to heal. The lisfranc joint separates your midfoot from your forefoot. An open fracture should be treated as a medical emergency. Treatment is generally nonoperative. Fracture Talus Treatment.
From www.pinterest.com
Explore What Talus Fractures Are and Why They Occur Fractures Fracture Talus Treatment It normally takes 6 weeks for this fracture to heal. Treatment is generally nonoperative with immobilization for minimally displaced injuries and surgical reduction and fixation for. A joint called the mediotarsal separates your hindfoot from your midfoot. Smoking will slow down your. Find out how to tell if your ankle is broken (fractured) and when to get medical advice, plus. Fracture Talus Treatment.
From www.adelaideankle.com.au
Tatus Fractures Dr Ben Beamond Adelaide Fracture Talus Treatment Treatment plan • place in temporary splint once talar neck fracture reduced • time to definitive fixation not related to increased risk of avn •. The lisfranc joint separates your midfoot from your forefoot. This is a small flake fracture that is treated like a sprain healing: It normally takes 6 weeks for this fracture to heal. Find out how. Fracture Talus Treatment.
From mountainproject.com
Talus fracture and partial displacement, healing advice and support Fracture Talus Treatment It normally takes 6 weeks for this fracture to heal. The lisfranc joint separates your midfoot from your forefoot. Smoking will slow down your. This is a small flake fracture that is treated like a sprain healing: A joint called the mediotarsal separates your hindfoot from your midfoot. Immediate treatment of a talus fracture includes immobilizing the foot and elevating. Fracture Talus Treatment.