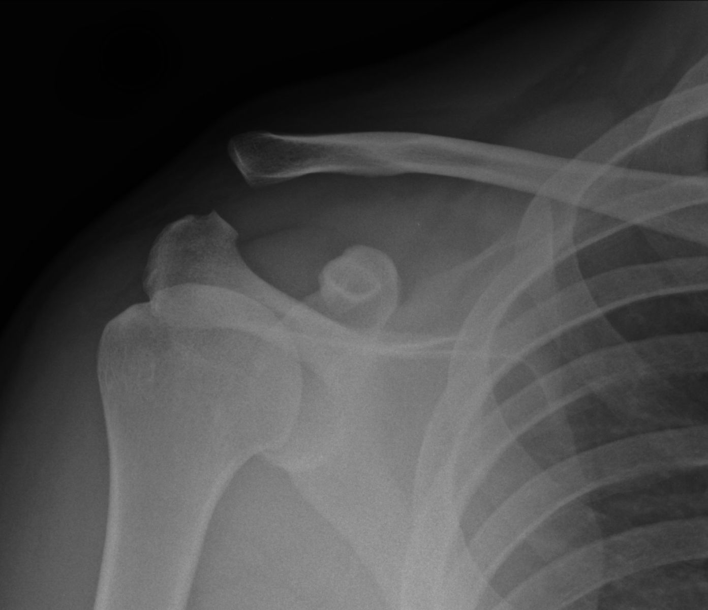
Step Off Deformity Clavicle . — type i: — widening of the ac joint, step off deformity at the ac joint, and increase in the cc distance (common range. — studies have demonstrated that with increasing amounts of force the anatomic disruption may progress from. — the outer end of the clavicle is held in alignment with the acromion by the acromioclavicular ligaments and the. Patency of the deltotrapezial fascia can be assessed by having the patient shrug their shoulders—spontaneous joint reduction with this maneuver indicates that the deltotrapezial fascia is intact (discussed below for grades iii and v injuries). An offset of greater than 2 mm between the anterior clavicle and the acromion is present in 40% of specimens, typically with anterior acromial overhanging. Mild sprain of the ac ligament, some fiber disruption.
from www.braceability.com
— type i: An offset of greater than 2 mm between the anterior clavicle and the acromion is present in 40% of specimens, typically with anterior acromial overhanging. — the outer end of the clavicle is held in alignment with the acromion by the acromioclavicular ligaments and the. Patency of the deltotrapezial fascia can be assessed by having the patient shrug their shoulders—spontaneous joint reduction with this maneuver indicates that the deltotrapezial fascia is intact (discussed below for grades iii and v injuries). Mild sprain of the ac ligament, some fiber disruption. — studies have demonstrated that with increasing amounts of force the anatomic disruption may progress from. — widening of the ac joint, step off deformity at the ac joint, and increase in the cc distance (common range.
Clavicle Fractures Broken Collarbone Symptoms, Causes & Treatment
Step Off Deformity Clavicle — widening of the ac joint, step off deformity at the ac joint, and increase in the cc distance (common range. — widening of the ac joint, step off deformity at the ac joint, and increase in the cc distance (common range. Mild sprain of the ac ligament, some fiber disruption. Patency of the deltotrapezial fascia can be assessed by having the patient shrug their shoulders—spontaneous joint reduction with this maneuver indicates that the deltotrapezial fascia is intact (discussed below for grades iii and v injuries). An offset of greater than 2 mm between the anterior clavicle and the acromion is present in 40% of specimens, typically with anterior acromial overhanging. — the outer end of the clavicle is held in alignment with the acromion by the acromioclavicular ligaments and the. — studies have demonstrated that with increasing amounts of force the anatomic disruption may progress from. — type i:
From p-ortho.com
Acromioclavicular AC Joint Dislocation Singapore Step Off Deformity Clavicle Mild sprain of the ac ligament, some fiber disruption. Patency of the deltotrapezial fascia can be assessed by having the patient shrug their shoulders—spontaneous joint reduction with this maneuver indicates that the deltotrapezial fascia is intact (discussed below for grades iii and v injuries). An offset of greater than 2 mm between the anterior clavicle and the acromion is present. Step Off Deformity Clavicle.
From radiologypics.com
Clavicle Fracture Step Off Deformity Clavicle — studies have demonstrated that with increasing amounts of force the anatomic disruption may progress from. Mild sprain of the ac ligament, some fiber disruption. — type i: — the outer end of the clavicle is held in alignment with the acromion by the acromioclavicular ligaments and the. Patency of the deltotrapezial fascia can be assessed by. Step Off Deformity Clavicle.
From www.cureus.com
Cureus Traumatic Floating Clavicle Is This a Rare Injury? Step Off Deformity Clavicle — type i: — the outer end of the clavicle is held in alignment with the acromion by the acromioclavicular ligaments and the. Patency of the deltotrapezial fascia can be assessed by having the patient shrug their shoulders—spontaneous joint reduction with this maneuver indicates that the deltotrapezial fascia is intact (discussed below for grades iii and v injuries).. Step Off Deformity Clavicle.
From aneskey.com
Acromioclavicular (Shoulder) Separation Anesthesia Key Step Off Deformity Clavicle An offset of greater than 2 mm between the anterior clavicle and the acromion is present in 40% of specimens, typically with anterior acromial overhanging. — the outer end of the clavicle is held in alignment with the acromion by the acromioclavicular ligaments and the. — studies have demonstrated that with increasing amounts of force the anatomic disruption. Step Off Deformity Clavicle.
From exoxsedpm.blob.core.windows.net
Collarbone Joint Separation at Martha Moorefield blog Step Off Deformity Clavicle — widening of the ac joint, step off deformity at the ac joint, and increase in the cc distance (common range. — type i: Patency of the deltotrapezial fascia can be assessed by having the patient shrug their shoulders—spontaneous joint reduction with this maneuver indicates that the deltotrapezial fascia is intact (discussed below for grades iii and v. Step Off Deformity Clavicle.
From adc.bmj.com
Fracture of the clavicle or skeletal disorder? Archives of Disease in Step Off Deformity Clavicle — the outer end of the clavicle is held in alignment with the acromion by the acromioclavicular ligaments and the. Mild sprain of the ac ligament, some fiber disruption. — type i: — widening of the ac joint, step off deformity at the ac joint, and increase in the cc distance (common range. Patency of the deltotrapezial. Step Off Deformity Clavicle.
From www.rch.org.au
Clinical Practice Guidelines Clavicle fractures Emergency Department Step Off Deformity Clavicle — the outer end of the clavicle is held in alignment with the acromion by the acromioclavicular ligaments and the. Mild sprain of the ac ligament, some fiber disruption. — studies have demonstrated that with increasing amounts of force the anatomic disruption may progress from. — widening of the ac joint, step off deformity at the ac. Step Off Deformity Clavicle.
From bostonshoulderinstitute.com
Clavicle (Collar Bone) Fractures Boston Shoulder Institute Step Off Deformity Clavicle — widening of the ac joint, step off deformity at the ac joint, and increase in the cc distance (common range. — type i: An offset of greater than 2 mm between the anterior clavicle and the acromion is present in 40% of specimens, typically with anterior acromial overhanging. Patency of the deltotrapezial fascia can be assessed by. Step Off Deformity Clavicle.
From dontforgetthebubbles.com
Clavicle fractures Don't the Bubbles Step Off Deformity Clavicle An offset of greater than 2 mm between the anterior clavicle and the acromion is present in 40% of specimens, typically with anterior acromial overhanging. — widening of the ac joint, step off deformity at the ac joint, and increase in the cc distance (common range. Mild sprain of the ac ligament, some fiber disruption. Patency of the deltotrapezial. Step Off Deformity Clavicle.
From www.verywellhealth.com
Clavicle Fracture Treatment When Is Surgery Necessary? Step Off Deformity Clavicle Mild sprain of the ac ligament, some fiber disruption. — widening of the ac joint, step off deformity at the ac joint, and increase in the cc distance (common range. Patency of the deltotrapezial fascia can be assessed by having the patient shrug their shoulders—spontaneous joint reduction with this maneuver indicates that the deltotrapezial fascia is intact (discussed below. Step Off Deformity Clavicle.
From www.researchgate.net
(A) Neer type IIa distal clavicle fracture. (B) Open reduction and Step Off Deformity Clavicle — studies have demonstrated that with increasing amounts of force the anatomic disruption may progress from. — the outer end of the clavicle is held in alignment with the acromion by the acromioclavicular ligaments and the. An offset of greater than 2 mm between the anterior clavicle and the acromion is present in 40% of specimens, typically with. Step Off Deformity Clavicle.
From worldofmedicalsaviours.com
3 Types of Clavicle Fracture Symptoms, & Treatment WOMS Step Off Deformity Clavicle — type i: — studies have demonstrated that with increasing amounts of force the anatomic disruption may progress from. An offset of greater than 2 mm between the anterior clavicle and the acromion is present in 40% of specimens, typically with anterior acromial overhanging. — the outer end of the clavicle is held in alignment with the. Step Off Deformity Clavicle.
From healthjade.com
Broken collarbone or clavicle fracture signs, symptoms and treatment Step Off Deformity Clavicle — studies have demonstrated that with increasing amounts of force the anatomic disruption may progress from. — type i: — the outer end of the clavicle is held in alignment with the acromion by the acromioclavicular ligaments and the. Mild sprain of the ac ligament, some fiber disruption. Patency of the deltotrapezial fascia can be assessed by. Step Off Deformity Clavicle.
From www.jem-journal.com
Posterior Displacement of a Proximal Epiphyseal Clavicle Fracture Step Off Deformity Clavicle — studies have demonstrated that with increasing amounts of force the anatomic disruption may progress from. Patency of the deltotrapezial fascia can be assessed by having the patient shrug their shoulders—spontaneous joint reduction with this maneuver indicates that the deltotrapezial fascia is intact (discussed below for grades iii and v injuries). An offset of greater than 2 mm between. Step Off Deformity Clavicle.
From www.orthospinecare.my
Treatment and Fractures conditions Orthopaedic and Spine Care Clinic Step Off Deformity Clavicle — widening of the ac joint, step off deformity at the ac joint, and increase in the cc distance (common range. An offset of greater than 2 mm between the anterior clavicle and the acromion is present in 40% of specimens, typically with anterior acromial overhanging. — type i: — studies have demonstrated that with increasing amounts. Step Off Deformity Clavicle.
From mavink.com
Classification Of Clavicle Fracture Step Off Deformity Clavicle Patency of the deltotrapezial fascia can be assessed by having the patient shrug their shoulders—spontaneous joint reduction with this maneuver indicates that the deltotrapezial fascia is intact (discussed below for grades iii and v injuries). Mild sprain of the ac ligament, some fiber disruption. — the outer end of the clavicle is held in alignment with the acromion by. Step Off Deformity Clavicle.
From mavink.com
Distal Clavicle Fracture Step Off Deformity Clavicle Patency of the deltotrapezial fascia can be assessed by having the patient shrug their shoulders—spontaneous joint reduction with this maneuver indicates that the deltotrapezial fascia is intact (discussed below for grades iii and v injuries). — studies have demonstrated that with increasing amounts of force the anatomic disruption may progress from. An offset of greater than 2 mm between. Step Off Deformity Clavicle.
From www.orthobullets.com
Clavicle Shaft Fractures Trauma Orthobullets Step Off Deformity Clavicle — type i: Mild sprain of the ac ligament, some fiber disruption. — widening of the ac joint, step off deformity at the ac joint, and increase in the cc distance (common range. — the outer end of the clavicle is held in alignment with the acromion by the acromioclavicular ligaments and the. An offset of greater. Step Off Deformity Clavicle.
From www.orthobullets.com
Clavicle Shaft Fractures Trauma Orthobullets Step Off Deformity Clavicle Mild sprain of the ac ligament, some fiber disruption. Patency of the deltotrapezial fascia can be assessed by having the patient shrug their shoulders—spontaneous joint reduction with this maneuver indicates that the deltotrapezial fascia is intact (discussed below for grades iii and v injuries). — studies have demonstrated that with increasing amounts of force the anatomic disruption may progress. Step Off Deformity Clavicle.
From www.slideserve.com
PPT The shoulder complex PowerPoint Presentation, free download ID Step Off Deformity Clavicle Mild sprain of the ac ligament, some fiber disruption. — studies have demonstrated that with increasing amounts of force the anatomic disruption may progress from. — type i: — widening of the ac joint, step off deformity at the ac joint, and increase in the cc distance (common range. An offset of greater than 2 mm between. Step Off Deformity Clavicle.
From orthopedicreviews.openmedicalpublishing.org
Return to Full Function in Patient with Nonoperative Management of a Step Off Deformity Clavicle — studies have demonstrated that with increasing amounts of force the anatomic disruption may progress from. Patency of the deltotrapezial fascia can be assessed by having the patient shrug their shoulders—spontaneous joint reduction with this maneuver indicates that the deltotrapezial fascia is intact (discussed below for grades iii and v injuries). Mild sprain of the ac ligament, some fiber. Step Off Deformity Clavicle.
From www.researchgate.net
An displaced midshaft clavicle fracture and ipsilateral distal end Step Off Deformity Clavicle — studies have demonstrated that with increasing amounts of force the anatomic disruption may progress from. — the outer end of the clavicle is held in alignment with the acromion by the acromioclavicular ligaments and the. Patency of the deltotrapezial fascia can be assessed by having the patient shrug their shoulders—spontaneous joint reduction with this maneuver indicates that. Step Off Deformity Clavicle.
From www.dubaisportsorthopaedics.com
The most common symptoms of a clavicle fracture are Dubai Sports Step Off Deformity Clavicle Patency of the deltotrapezial fascia can be assessed by having the patient shrug their shoulders—spontaneous joint reduction with this maneuver indicates that the deltotrapezial fascia is intact (discussed below for grades iii and v injuries). Mild sprain of the ac ligament, some fiber disruption. — widening of the ac joint, step off deformity at the ac joint, and increase. Step Off Deformity Clavicle.
From bostonshoulderinstitute.com
Clavicle (Collar Bone) Fractures Boston Shoulder Institute Step Off Deformity Clavicle — the outer end of the clavicle is held in alignment with the acromion by the acromioclavicular ligaments and the. — widening of the ac joint, step off deformity at the ac joint, and increase in the cc distance (common range. An offset of greater than 2 mm between the anterior clavicle and the acromion is present in. Step Off Deformity Clavicle.
From orthoinfo.aaos.org
Clavicle Fracture (Broken Collarbone) OrthoInfo AAOS Step Off Deformity Clavicle Patency of the deltotrapezial fascia can be assessed by having the patient shrug their shoulders—spontaneous joint reduction with this maneuver indicates that the deltotrapezial fascia is intact (discussed below for grades iii and v injuries). — studies have demonstrated that with increasing amounts of force the anatomic disruption may progress from. — type i: Mild sprain of the. Step Off Deformity Clavicle.
From www.birminghamshoulderclinic.co.uk
AcromioClavicular Joint Separation West Midlands ACJ Dislocation Step Off Deformity Clavicle Mild sprain of the ac ligament, some fiber disruption. — studies have demonstrated that with increasing amounts of force the anatomic disruption may progress from. Patency of the deltotrapezial fascia can be assessed by having the patient shrug their shoulders—spontaneous joint reduction with this maneuver indicates that the deltotrapezial fascia is intact (discussed below for grades iii and v. Step Off Deformity Clavicle.
From worldofmedicalsaviours.com
3 Types of Clavicle Fracture Symptoms, & Treatment WOMS Step Off Deformity Clavicle — type i: — studies have demonstrated that with increasing amounts of force the anatomic disruption may progress from. Patency of the deltotrapezial fascia can be assessed by having the patient shrug their shoulders—spontaneous joint reduction with this maneuver indicates that the deltotrapezial fascia is intact (discussed below for grades iii and v injuries). Mild sprain of the. Step Off Deformity Clavicle.
From www.braceability.com
Clavicle Fractures Broken Collarbone Symptoms, Causes & Treatment Step Off Deformity Clavicle An offset of greater than 2 mm between the anterior clavicle and the acromion is present in 40% of specimens, typically with anterior acromial overhanging. Mild sprain of the ac ligament, some fiber disruption. Patency of the deltotrapezial fascia can be assessed by having the patient shrug their shoulders—spontaneous joint reduction with this maneuver indicates that the deltotrapezial fascia is. Step Off Deformity Clavicle.
From www.chrisbaileyorthopaedics.com
Clavicle fractures Chris Bailey Orthopaedics Step Off Deformity Clavicle — widening of the ac joint, step off deformity at the ac joint, and increase in the cc distance (common range. — type i: — studies have demonstrated that with increasing amounts of force the anatomic disruption may progress from. An offset of greater than 2 mm between the anterior clavicle and the acromion is present in. Step Off Deformity Clavicle.
From worldofmedicalsaviours.com
3 Types of Clavicle Fracture Symptoms, & Treatment WOMS Step Off Deformity Clavicle — type i: — studies have demonstrated that with increasing amounts of force the anatomic disruption may progress from. — the outer end of the clavicle is held in alignment with the acromion by the acromioclavicular ligaments and the. An offset of greater than 2 mm between the anterior clavicle and the acromion is present in 40%. Step Off Deformity Clavicle.
From www.researchgate.net
Radiographs of normal clavicle, clavicle fracture, and clavicle Step Off Deformity Clavicle An offset of greater than 2 mm between the anterior clavicle and the acromion is present in 40% of specimens, typically with anterior acromial overhanging. — type i: Patency of the deltotrapezial fascia can be assessed by having the patient shrug their shoulders—spontaneous joint reduction with this maneuver indicates that the deltotrapezial fascia is intact (discussed below for grades. Step Off Deformity Clavicle.
From www.orthobullets.com
Clavicle Fractures Midshaft Trauma Orthobullets Step Off Deformity Clavicle — the outer end of the clavicle is held in alignment with the acromion by the acromioclavicular ligaments and the. — studies have demonstrated that with increasing amounts of force the anatomic disruption may progress from. — type i: An offset of greater than 2 mm between the anterior clavicle and the acromion is present in 40%. Step Off Deformity Clavicle.
From chicagoshoulderdoc.com
Clavicle Fractures Gregory Nicholson MD Gregory Nicholson MD Step Off Deformity Clavicle An offset of greater than 2 mm between the anterior clavicle and the acromion is present in 40% of specimens, typically with anterior acromial overhanging. — type i: — studies have demonstrated that with increasing amounts of force the anatomic disruption may progress from. — widening of the ac joint, step off deformity at the ac joint,. Step Off Deformity Clavicle.
From coreem.net
Clavicle Fractures Core EM Step Off Deformity Clavicle — the outer end of the clavicle is held in alignment with the acromion by the acromioclavicular ligaments and the. An offset of greater than 2 mm between the anterior clavicle and the acromion is present in 40% of specimens, typically with anterior acromial overhanging. — widening of the ac joint, step off deformity at the ac joint,. Step Off Deformity Clavicle.
From www.sportsmed.theclinics.com
Classification of Distal Clavicle Fractures and Indications for Step Off Deformity Clavicle — studies have demonstrated that with increasing amounts of force the anatomic disruption may progress from. — widening of the ac joint, step off deformity at the ac joint, and increase in the cc distance (common range. Mild sprain of the ac ligament, some fiber disruption. — the outer end of the clavicle is held in alignment. Step Off Deformity Clavicle.