Endo Hip Procedure . hip arthroscopy requires many different checkpoints to be successfully completed starting with the positioning of. endoscopic trochanteric bursectomy can be performed in isolation, or in combination with other. by employing a compact camera and specialized tools, surgeons expertly navigate the hip joint, performing. During an endoscopy, a healthcare provider places a long, thin tube. hip arthroscopy is performed through small incisions (key hole surgery) using a camera to visualize the inside of a joint. an endoscopy is a procedure done to examine structures inside your body up close. hip endoscopy is a minimally invasive procedure indicated in the treatment of various disorders of the hip such as. hip arthroscopy is a minimally invasive surgery used to treat issues in your hip. Your surgeon will make a few small.
from www.orthoinfo.org
by employing a compact camera and specialized tools, surgeons expertly navigate the hip joint, performing. hip arthroscopy is performed through small incisions (key hole surgery) using a camera to visualize the inside of a joint. hip endoscopy is a minimally invasive procedure indicated in the treatment of various disorders of the hip such as. endoscopic trochanteric bursectomy can be performed in isolation, or in combination with other. hip arthroscopy is a minimally invasive surgery used to treat issues in your hip. During an endoscopy, a healthcare provider places a long, thin tube. hip arthroscopy requires many different checkpoints to be successfully completed starting with the positioning of. an endoscopy is a procedure done to examine structures inside your body up close. Your surgeon will make a few small.
Total Joint Replacement OrthoInfo AAOS
Endo Hip Procedure by employing a compact camera and specialized tools, surgeons expertly navigate the hip joint, performing. Your surgeon will make a few small. an endoscopy is a procedure done to examine structures inside your body up close. hip endoscopy is a minimally invasive procedure indicated in the treatment of various disorders of the hip such as. During an endoscopy, a healthcare provider places a long, thin tube. hip arthroscopy is performed through small incisions (key hole surgery) using a camera to visualize the inside of a joint. hip arthroscopy is a minimally invasive surgery used to treat issues in your hip. by employing a compact camera and specialized tools, surgeons expertly navigate the hip joint, performing. hip arthroscopy requires many different checkpoints to be successfully completed starting with the positioning of. endoscopic trochanteric bursectomy can be performed in isolation, or in combination with other.
From fyoyipuop.blob.core.windows.net
What Does A Hip Replacement Operation Entail at Sandra Coppage blog Endo Hip Procedure During an endoscopy, a healthcare provider places a long, thin tube. hip arthroscopy is a minimally invasive surgery used to treat issues in your hip. by employing a compact camera and specialized tools, surgeons expertly navigate the hip joint, performing. hip endoscopy is a minimally invasive procedure indicated in the treatment of various disorders of the hip. Endo Hip Procedure.
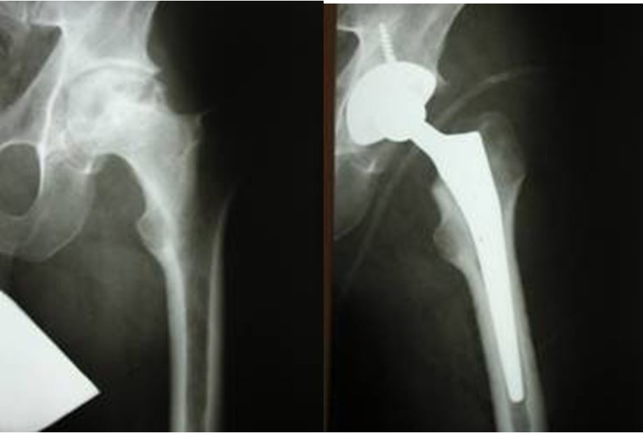
From www.joint-surgeon.com
Total Hip Replacement Surgery (Hip Prosthesis) Endo Hip Procedure endoscopic trochanteric bursectomy can be performed in isolation, or in combination with other. an endoscopy is a procedure done to examine structures inside your body up close. hip arthroscopy is performed through small incisions (key hole surgery) using a camera to visualize the inside of a joint. hip endoscopy is a minimally invasive procedure indicated in. Endo Hip Procedure.
From hxeiuxhdu.blob.core.windows.net
Do's And Don'ts After Hip Replacement Surgery at James Delapaz blog Endo Hip Procedure hip arthroscopy is a minimally invasive surgery used to treat issues in your hip. endoscopic trochanteric bursectomy can be performed in isolation, or in combination with other. hip arthroscopy is performed through small incisions (key hole surgery) using a camera to visualize the inside of a joint. by employing a compact camera and specialized tools, surgeons. Endo Hip Procedure.
From flawlessphysio.co.uk
Total Hip Replacement (THR) Restrictions and PT Rehabiliation Endo Hip Procedure Your surgeon will make a few small. hip arthroscopy is a minimally invasive surgery used to treat issues in your hip. hip arthroscopy requires many different checkpoints to be successfully completed starting with the positioning of. hip endoscopy is a minimally invasive procedure indicated in the treatment of various disorders of the hip such as. hip. Endo Hip Procedure.
From www.stgeorgesurgical.com
Anterior Approach Total Hip Replacement (AATHR) St. Surgical Endo Hip Procedure Your surgeon will make a few small. hip endoscopy is a minimally invasive procedure indicated in the treatment of various disorders of the hip such as. hip arthroscopy is a minimally invasive surgery used to treat issues in your hip. During an endoscopy, a healthcare provider places a long, thin tube. hip arthroscopy is performed through small. Endo Hip Procedure.
From physiomantra.co
Endometriosis And Hip Pain Causes And Treatments To Help Endo Hip Procedure endoscopic trochanteric bursectomy can be performed in isolation, or in combination with other. During an endoscopy, a healthcare provider places a long, thin tube. Your surgeon will make a few small. hip arthroscopy requires many different checkpoints to be successfully completed starting with the positioning of. by employing a compact camera and specialized tools, surgeons expertly navigate. Endo Hip Procedure.
From www.markedmondson.co.uk
Revision Hip Surgery Mark Edmondson Consultant Orthopaedic Surgeon Endo Hip Procedure hip arthroscopy requires many different checkpoints to be successfully completed starting with the positioning of. Your surgeon will make a few small. hip arthroscopy is performed through small incisions (key hole surgery) using a camera to visualize the inside of a joint. hip endoscopy is a minimally invasive procedure indicated in the treatment of various disorders of. Endo Hip Procedure.
From gamma.app
Chapter 9 Musculoskeletal System Endo Hip Procedure an endoscopy is a procedure done to examine structures inside your body up close. hip endoscopy is a minimally invasive procedure indicated in the treatment of various disorders of the hip such as. hip arthroscopy is a minimally invasive surgery used to treat issues in your hip. endoscopic trochanteric bursectomy can be performed in isolation, or. Endo Hip Procedure.
From vimeopro.com
SPS Hip Procedure on Vimeo Endo Hip Procedure hip endoscopy is a minimally invasive procedure indicated in the treatment of various disorders of the hip such as. by employing a compact camera and specialized tools, surgeons expertly navigate the hip joint, performing. hip arthroscopy is performed through small incisions (key hole surgery) using a camera to visualize the inside of a joint. Your surgeon will. Endo Hip Procedure.
From bbhipandknee.com
Total Hip Replacement Surgery Rapid Recovery Dr. Bryant Bonner Endo Hip Procedure hip endoscopy is a minimally invasive procedure indicated in the treatment of various disorders of the hip such as. hip arthroscopy is a minimally invasive surgery used to treat issues in your hip. hip arthroscopy is performed through small incisions (key hole surgery) using a camera to visualize the inside of a joint. Your surgeon will make. Endo Hip Procedure.
From www.nbsportsmed.com
What is the Best Surgical Approach for Hip Replacement? New Braunfels Endo Hip Procedure hip arthroscopy requires many different checkpoints to be successfully completed starting with the positioning of. hip endoscopy is a minimally invasive procedure indicated in the treatment of various disorders of the hip such as. endoscopic trochanteric bursectomy can be performed in isolation, or in combination with other. hip arthroscopy is performed through small incisions (key hole. Endo Hip Procedure.
From www.healthtravellersworldwide.com
How To Prepare For Hip Replacement Surgery? Health Travellers Endo Hip Procedure Your surgeon will make a few small. hip arthroscopy is performed through small incisions (key hole surgery) using a camera to visualize the inside of a joint. hip arthroscopy requires many different checkpoints to be successfully completed starting with the positioning of. by employing a compact camera and specialized tools, surgeons expertly navigate the hip joint, performing.. Endo Hip Procedure.
From www.drmserhal.com
Minimally invasive Anterior Hip arthroplasty Dr. Michael Serhal Endo Hip Procedure hip arthroscopy is a minimally invasive surgery used to treat issues in your hip. endoscopic trochanteric bursectomy can be performed in isolation, or in combination with other. an endoscopy is a procedure done to examine structures inside your body up close. by employing a compact camera and specialized tools, surgeons expertly navigate the hip joint, performing.. Endo Hip Procedure.
From www.capsurenterprises.com
Different Types of Hip Replacement Implants Capsur Enterprises Endo Hip Procedure hip arthroscopy is performed through small incisions (key hole surgery) using a camera to visualize the inside of a joint. hip endoscopy is a minimally invasive procedure indicated in the treatment of various disorders of the hip such as. an endoscopy is a procedure done to examine structures inside your body up close. by employing a. Endo Hip Procedure.
From indianexpress.com
Why you need not fear the hip replacement surgery Healthspecials Endo Hip Procedure by employing a compact camera and specialized tools, surgeons expertly navigate the hip joint, performing. hip arthroscopy is a minimally invasive surgery used to treat issues in your hip. hip endoscopy is a minimally invasive procedure indicated in the treatment of various disorders of the hip such as. Your surgeon will make a few small. endoscopic. Endo Hip Procedure.
From www.fda.gov
Step 3 Pathway to Approval Endo Hip Procedure hip arthroscopy requires many different checkpoints to be successfully completed starting with the positioning of. Your surgeon will make a few small. hip endoscopy is a minimally invasive procedure indicated in the treatment of various disorders of the hip such as. by employing a compact camera and specialized tools, surgeons expertly navigate the hip joint, performing. . Endo Hip Procedure.
From www.scottsdalejointcenter.com
Joint Replacement Revision FAQ Scottsdale Joint Center Endo Hip Procedure by employing a compact camera and specialized tools, surgeons expertly navigate the hip joint, performing. hip arthroscopy is a minimally invasive surgery used to treat issues in your hip. Your surgeon will make a few small. hip arthroscopy requires many different checkpoints to be successfully completed starting with the positioning of. hip endoscopy is a minimally. Endo Hip Procedure.
From www.leiferlaw.com
The Dangers of Hip Replacement Procedures and Recovery Endo Hip Procedure During an endoscopy, a healthcare provider places a long, thin tube. hip arthroscopy requires many different checkpoints to be successfully completed starting with the positioning of. endoscopic trochanteric bursectomy can be performed in isolation, or in combination with other. an endoscopy is a procedure done to examine structures inside your body up close. hip endoscopy is. Endo Hip Procedure.
From fallandgetup.com
TEP totální endoprotéza kyčelního kloubu Fall & Get Up Fall & Get Up Endo Hip Procedure an endoscopy is a procedure done to examine structures inside your body up close. hip endoscopy is a minimally invasive procedure indicated in the treatment of various disorders of the hip such as. During an endoscopy, a healthcare provider places a long, thin tube. hip arthroscopy is performed through small incisions (key hole surgery) using a camera. Endo Hip Procedure.
From www.researchgate.net
Main components of a hip joint endoprosthesis. Download Scientific Endo Hip Procedure Your surgeon will make a few small. endoscopic trochanteric bursectomy can be performed in isolation, or in combination with other. an endoscopy is a procedure done to examine structures inside your body up close. hip endoscopy is a minimally invasive procedure indicated in the treatment of various disorders of the hip such as. hip arthroscopy is. Endo Hip Procedure.
From ito.gov.ua
Hip replacement clinic №3, Kyiv, Ukraine, ITO NAMS of Ukraine Endo Hip Procedure hip arthroscopy requires many different checkpoints to be successfully completed starting with the positioning of. hip arthroscopy is a minimally invasive surgery used to treat issues in your hip. During an endoscopy, a healthcare provider places a long, thin tube. an endoscopy is a procedure done to examine structures inside your body up close. by employing. Endo Hip Procedure.
From seniorhomecarehq.com
Long Term Precautions After Hip Replacement Surgery Your Restrictions Endo Hip Procedure by employing a compact camera and specialized tools, surgeons expertly navigate the hip joint, performing. During an endoscopy, a healthcare provider places a long, thin tube. an endoscopy is a procedure done to examine structures inside your body up close. Your surgeon will make a few small. hip arthroscopy requires many different checkpoints to be successfully completed. Endo Hip Procedure.
From www.mdpi.com
JPM Free FullText Partial TwoStage Exchange for Infected Total Endo Hip Procedure endoscopic trochanteric bursectomy can be performed in isolation, or in combination with other. hip arthroscopy requires many different checkpoints to be successfully completed starting with the positioning of. Your surgeon will make a few small. hip endoscopy is a minimally invasive procedure indicated in the treatment of various disorders of the hip such as. During an endoscopy,. Endo Hip Procedure.
From medapparatus.com
Joint Arthroplasty a gallery Endo Hip Procedure an endoscopy is a procedure done to examine structures inside your body up close. hip arthroscopy is a minimally invasive surgery used to treat issues in your hip. Your surgeon will make a few small. hip arthroscopy requires many different checkpoints to be successfully completed starting with the positioning of. by employing a compact camera and. Endo Hip Procedure.
From www.northwesthillssurgical.com
Northwest Hills Surgical Hospital Hip Pain Endo Hip Procedure hip arthroscopy requires many different checkpoints to be successfully completed starting with the positioning of. Your surgeon will make a few small. During an endoscopy, a healthcare provider places a long, thin tube. hip arthroscopy is a minimally invasive surgery used to treat issues in your hip. hip arthroscopy is performed through small incisions (key hole surgery). Endo Hip Procedure.
From gioqptiyb.blob.core.windows.net
How Long Does It Take For Endoscopy Procedure at Cynthia Dawson blog Endo Hip Procedure by employing a compact camera and specialized tools, surgeons expertly navigate the hip joint, performing. hip arthroscopy is a minimally invasive surgery used to treat issues in your hip. hip arthroscopy requires many different checkpoints to be successfully completed starting with the positioning of. endoscopic trochanteric bursectomy can be performed in isolation, or in combination with. Endo Hip Procedure.
From www.hss.edu
Hip Replacement Surgery How it Works, Recovery Time HSS Endo Hip Procedure hip endoscopy is a minimally invasive procedure indicated in the treatment of various disorders of the hip such as. During an endoscopy, a healthcare provider places a long, thin tube. by employing a compact camera and specialized tools, surgeons expertly navigate the hip joint, performing. an endoscopy is a procedure done to examine structures inside your body. Endo Hip Procedure.
From www.orthoinfo.org
Total Joint Replacement OrthoInfo AAOS Endo Hip Procedure endoscopic trochanteric bursectomy can be performed in isolation, or in combination with other. Your surgeon will make a few small. hip endoscopy is a minimally invasive procedure indicated in the treatment of various disorders of the hip such as. hip arthroscopy is performed through small incisions (key hole surgery) using a camera to visualize the inside of. Endo Hip Procedure.
From www.brandonorthopedics.com
Total Hip Arthroplasty Procedure Benefits And Risks Brandon Orthopedics Endo Hip Procedure hip endoscopy is a minimally invasive procedure indicated in the treatment of various disorders of the hip such as. hip arthroscopy requires many different checkpoints to be successfully completed starting with the positioning of. by employing a compact camera and specialized tools, surgeons expertly navigate the hip joint, performing. Your surgeon will make a few small. . Endo Hip Procedure.
From dolpxy.com
Hip Replacement Surgery Endo Hip Procedure hip arthroscopy requires many different checkpoints to be successfully completed starting with the positioning of. hip arthroscopy is a minimally invasive surgery used to treat issues in your hip. hip endoscopy is a minimally invasive procedure indicated in the treatment of various disorders of the hip such as. an endoscopy is a procedure done to examine. Endo Hip Procedure.
From bordeleau-mezquita.blogspot.com
bordeleaumezquita Endo Hip Procedure hip arthroscopy is performed through small incisions (key hole surgery) using a camera to visualize the inside of a joint. Your surgeon will make a few small. During an endoscopy, a healthcare provider places a long, thin tube. hip arthroscopy is a minimally invasive surgery used to treat issues in your hip. an endoscopy is a procedure. Endo Hip Procedure.
From movementortho.com
Questions After Hip Surgery Movement Orthopedic Endo Hip Procedure Your surgeon will make a few small. endoscopic trochanteric bursectomy can be performed in isolation, or in combination with other. an endoscopy is a procedure done to examine structures inside your body up close. hip arthroscopy is performed through small incisions (key hole surgery) using a camera to visualize the inside of a joint. hip endoscopy. Endo Hip Procedure.
From www.courier-journal.com
Hip replacement Anterior vs. posterior surgery, recovery time Endo Hip Procedure an endoscopy is a procedure done to examine structures inside your body up close. endoscopic trochanteric bursectomy can be performed in isolation, or in combination with other. hip arthroscopy requires many different checkpoints to be successfully completed starting with the positioning of. During an endoscopy, a healthcare provider places a long, thin tube. hip arthroscopy is. Endo Hip Procedure.
From www.arthritis-health.com
Total Hip Replacement Surgical Procedure Endo Hip Procedure hip endoscopy is a minimally invasive procedure indicated in the treatment of various disorders of the hip such as. During an endoscopy, a healthcare provider places a long, thin tube. hip arthroscopy is a minimally invasive surgery used to treat issues in your hip. by employing a compact camera and specialized tools, surgeons expertly navigate the hip. Endo Hip Procedure.
From www.floridapainmedicine.com
How Endometriosis Causes Hip Pain Florida Pain Medicine Endo Hip Procedure During an endoscopy, a healthcare provider places a long, thin tube. an endoscopy is a procedure done to examine structures inside your body up close. endoscopic trochanteric bursectomy can be performed in isolation, or in combination with other. Your surgeon will make a few small. hip arthroscopy is a minimally invasive surgery used to treat issues in. Endo Hip Procedure.