Anterior Horn Disease Mri . Emg/ncs, serum and urine electrophoresis,. Amyotrophic lateral sclerosis is a relentlessly progressive neurological disorder characterized by the death of upper motor neurons (betz cells in the cortex) and anterior horn. The electromyography, nerve conduction studies, mri of the. Diagnostic testing for suspected motor neuron disease should include the following: Flexion cervical mr imaging is a very useful investigation in diagnosing hirayama disease. Incomplete spinal cord syndromes are reviewed, with descriptions of the relevant spinal cord anatomy and common causes of these syndromes and with emphasis on the correlation of anatomic and imaging findings with clinical manifestations.
from www.neurores.org
Flexion cervical mr imaging is a very useful investigation in diagnosing hirayama disease. Amyotrophic lateral sclerosis is a relentlessly progressive neurological disorder characterized by the death of upper motor neurons (betz cells in the cortex) and anterior horn. Incomplete spinal cord syndromes are reviewed, with descriptions of the relevant spinal cord anatomy and common causes of these syndromes and with emphasis on the correlation of anatomic and imaging findings with clinical manifestations. Emg/ncs, serum and urine electrophoresis,. The electromyography, nerve conduction studies, mri of the. Diagnostic testing for suspected motor neuron disease should include the following:
Suspected Anterior Horn Disease Mistaken as a Mass in the Sacral Plexus
Anterior Horn Disease Mri The electromyography, nerve conduction studies, mri of the. The electromyography, nerve conduction studies, mri of the. Flexion cervical mr imaging is a very useful investigation in diagnosing hirayama disease. Incomplete spinal cord syndromes are reviewed, with descriptions of the relevant spinal cord anatomy and common causes of these syndromes and with emphasis on the correlation of anatomic and imaging findings with clinical manifestations. Emg/ncs, serum and urine electrophoresis,. Diagnostic testing for suspected motor neuron disease should include the following: Amyotrophic lateral sclerosis is a relentlessly progressive neurological disorder characterized by the death of upper motor neurons (betz cells in the cortex) and anterior horn.
From www.alamy.com
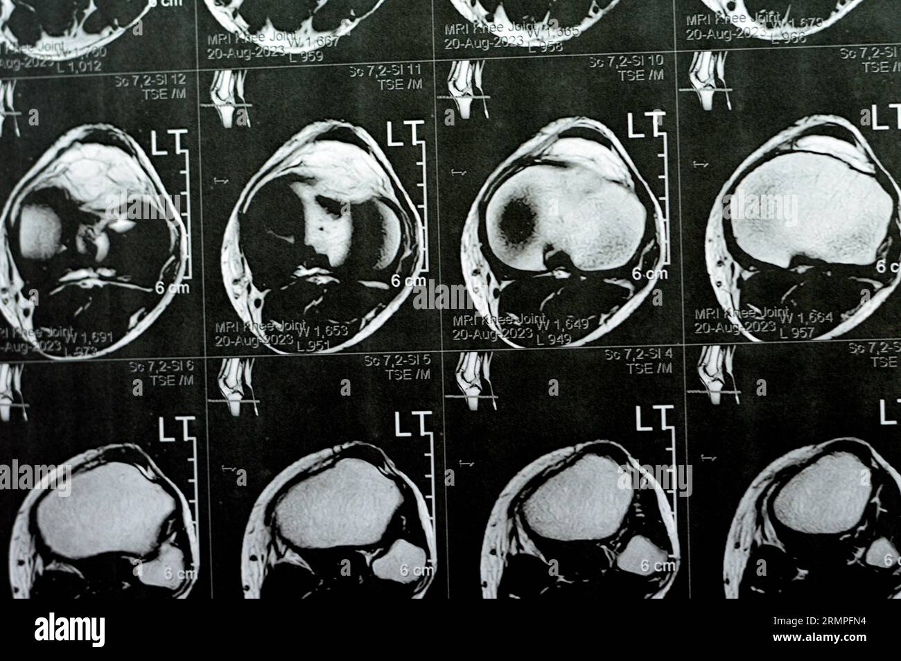
MRI of left knee joint showing minimal joint effusion, PHMM Posterior Anterior Horn Disease Mri Incomplete spinal cord syndromes are reviewed, with descriptions of the relevant spinal cord anatomy and common causes of these syndromes and with emphasis on the correlation of anatomic and imaging findings with clinical manifestations. Emg/ncs, serum and urine electrophoresis,. Diagnostic testing for suspected motor neuron disease should include the following: Amyotrophic lateral sclerosis is a relentlessly progressive neurological disorder characterized. Anterior Horn Disease Mri.
From www.alamy.com
MRI of left knee joint showing minimal joint effusion, PHMM Posterior Anterior Horn Disease Mri Amyotrophic lateral sclerosis is a relentlessly progressive neurological disorder characterized by the death of upper motor neurons (betz cells in the cortex) and anterior horn. The electromyography, nerve conduction studies, mri of the. Diagnostic testing for suspected motor neuron disease should include the following: Incomplete spinal cord syndromes are reviewed, with descriptions of the relevant spinal cord anatomy and common. Anterior Horn Disease Mri.
From www.alamy.com
Illustration of the dorsal striatum and lateral ventricles in Anterior Horn Disease Mri Amyotrophic lateral sclerosis is a relentlessly progressive neurological disorder characterized by the death of upper motor neurons (betz cells in the cortex) and anterior horn. Flexion cervical mr imaging is a very useful investigation in diagnosing hirayama disease. Incomplete spinal cord syndromes are reviewed, with descriptions of the relevant spinal cord anatomy and common causes of these syndromes and with. Anterior Horn Disease Mri.
From www.semanticscholar.org
Figure 1 from Detached Anterior Horn of the Medial Meniscus Mimicking a Anterior Horn Disease Mri Incomplete spinal cord syndromes are reviewed, with descriptions of the relevant spinal cord anatomy and common causes of these syndromes and with emphasis on the correlation of anatomic and imaging findings with clinical manifestations. Emg/ncs, serum and urine electrophoresis,. Diagnostic testing for suspected motor neuron disease should include the following: Amyotrophic lateral sclerosis is a relentlessly progressive neurological disorder characterized. Anterior Horn Disease Mri.
From www.alamy.com
MRI of left knee joint showing minimal joint effusion, PHMM Posterior Anterior Horn Disease Mri Diagnostic testing for suspected motor neuron disease should include the following: Incomplete spinal cord syndromes are reviewed, with descriptions of the relevant spinal cord anatomy and common causes of these syndromes and with emphasis on the correlation of anatomic and imaging findings with clinical manifestations. Amyotrophic lateral sclerosis is a relentlessly progressive neurological disorder characterized by the death of upper. Anterior Horn Disease Mri.
From www.researchgate.net
Sagittal MRI seven month after refi xation of the anterior horn of the Anterior Horn Disease Mri Incomplete spinal cord syndromes are reviewed, with descriptions of the relevant spinal cord anatomy and common causes of these syndromes and with emphasis on the correlation of anatomic and imaging findings with clinical manifestations. Diagnostic testing for suspected motor neuron disease should include the following: Flexion cervical mr imaging is a very useful investigation in diagnosing hirayama disease. Amyotrophic lateral. Anterior Horn Disease Mri.
From www.cureus.com
Cureus Clinical and Radiological After Isolated Anterior Anterior Horn Disease Mri Emg/ncs, serum and urine electrophoresis,. Diagnostic testing for suspected motor neuron disease should include the following: Amyotrophic lateral sclerosis is a relentlessly progressive neurological disorder characterized by the death of upper motor neurons (betz cells in the cortex) and anterior horn. Flexion cervical mr imaging is a very useful investigation in diagnosing hirayama disease. Incomplete spinal cord syndromes are reviewed,. Anterior Horn Disease Mri.
From www.neurores.org
Suspected Anterior Horn Disease Mistaken as a Mass in the Sacral Plexus Anterior Horn Disease Mri Diagnostic testing for suspected motor neuron disease should include the following: Amyotrophic lateral sclerosis is a relentlessly progressive neurological disorder characterized by the death of upper motor neurons (betz cells in the cortex) and anterior horn. Incomplete spinal cord syndromes are reviewed, with descriptions of the relevant spinal cord anatomy and common causes of these syndromes and with emphasis on. Anterior Horn Disease Mri.
From www.researchgate.net
(PDF) Hyperintensities of the anterior horn cells on MRI due to Anterior Horn Disease Mri Flexion cervical mr imaging is a very useful investigation in diagnosing hirayama disease. Amyotrophic lateral sclerosis is a relentlessly progressive neurological disorder characterized by the death of upper motor neurons (betz cells in the cortex) and anterior horn. The electromyography, nerve conduction studies, mri of the. Incomplete spinal cord syndromes are reviewed, with descriptions of the relevant spinal cord anatomy. Anterior Horn Disease Mri.
From jnnp.bmj.com
Hyperintensities of the anterior horn cells on MRI due to poliomyelitis Anterior Horn Disease Mri Flexion cervical mr imaging is a very useful investigation in diagnosing hirayama disease. The electromyography, nerve conduction studies, mri of the. Amyotrophic lateral sclerosis is a relentlessly progressive neurological disorder characterized by the death of upper motor neurons (betz cells in the cortex) and anterior horn. Incomplete spinal cord syndromes are reviewed, with descriptions of the relevant spinal cord anatomy. Anterior Horn Disease Mri.
From www.researchgate.net
Contrast resonance imaging (MRI) of the cervical spine (axial Anterior Horn Disease Mri Emg/ncs, serum and urine electrophoresis,. Diagnostic testing for suspected motor neuron disease should include the following: Amyotrophic lateral sclerosis is a relentlessly progressive neurological disorder characterized by the death of upper motor neurons (betz cells in the cortex) and anterior horn. Incomplete spinal cord syndromes are reviewed, with descriptions of the relevant spinal cord anatomy and common causes of these. Anterior Horn Disease Mri.
From www.researchgate.net
(a), (c) Horizontal tear of the anterior horn of the lateral meniscus Anterior Horn Disease Mri Amyotrophic lateral sclerosis is a relentlessly progressive neurological disorder characterized by the death of upper motor neurons (betz cells in the cortex) and anterior horn. Emg/ncs, serum and urine electrophoresis,. Incomplete spinal cord syndromes are reviewed, with descriptions of the relevant spinal cord anatomy and common causes of these syndromes and with emphasis on the correlation of anatomic and imaging. Anterior Horn Disease Mri.
From file.scirp.org
Motor Neuron Disease Associated with VoltageGated Potassium Channel Anterior Horn Disease Mri Flexion cervical mr imaging is a very useful investigation in diagnosing hirayama disease. Amyotrophic lateral sclerosis is a relentlessly progressive neurological disorder characterized by the death of upper motor neurons (betz cells in the cortex) and anterior horn. Diagnostic testing for suspected motor neuron disease should include the following: Incomplete spinal cord syndromes are reviewed, with descriptions of the relevant. Anterior Horn Disease Mri.
From neupsykey.com
Anterior Horn Cell and Cranial Motor Neuron Disease Neupsy Key Anterior Horn Disease Mri Flexion cervical mr imaging is a very useful investigation in diagnosing hirayama disease. Emg/ncs, serum and urine electrophoresis,. Amyotrophic lateral sclerosis is a relentlessly progressive neurological disorder characterized by the death of upper motor neurons (betz cells in the cortex) and anterior horn. Diagnostic testing for suspected motor neuron disease should include the following: The electromyography, nerve conduction studies, mri. Anterior Horn Disease Mri.
From www.dreamstime.com
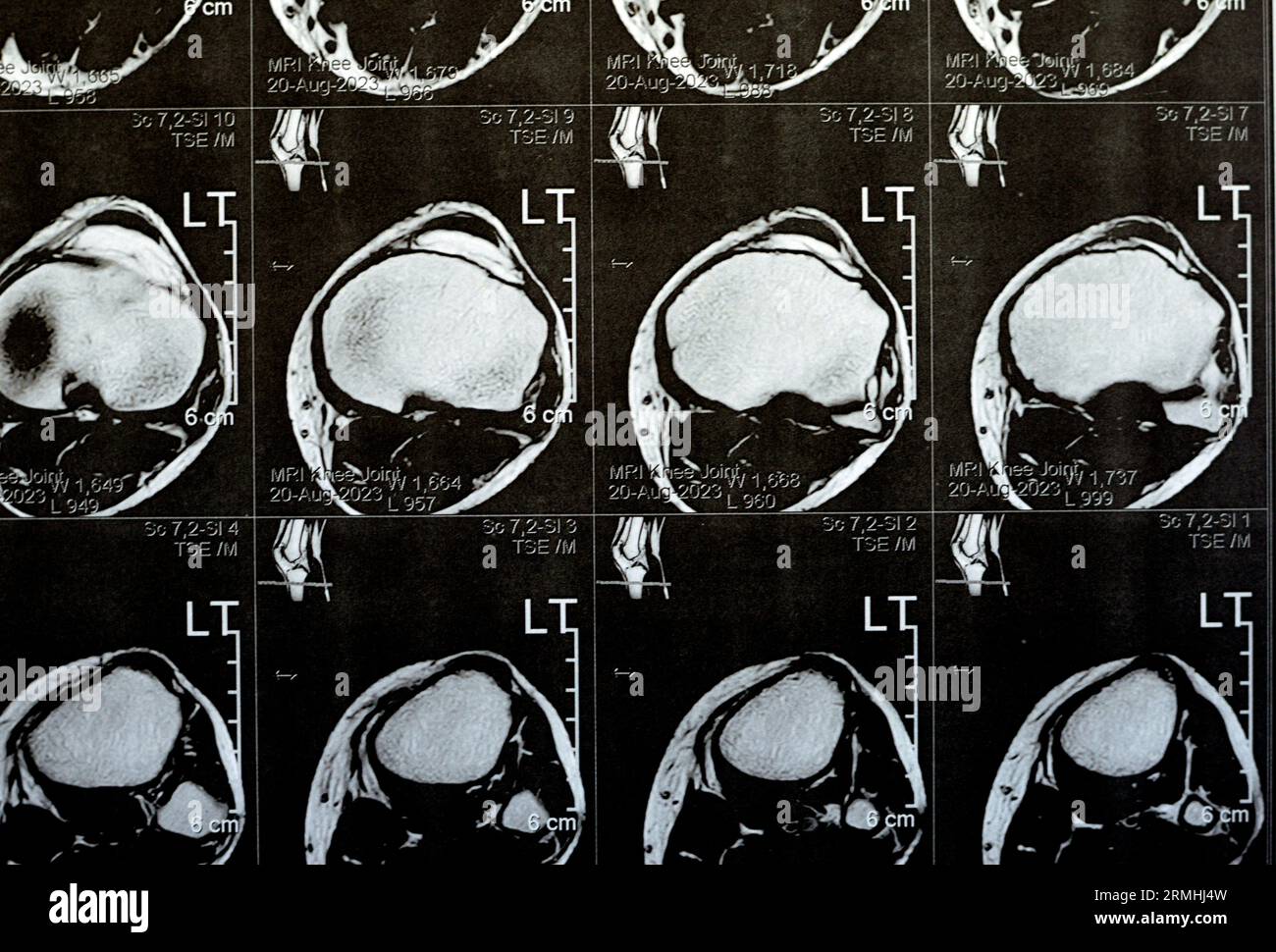
MRI of Left Knee Joint Showing Minimal Joint Effusion, PHMM Posterior Anterior Horn Disease Mri Incomplete spinal cord syndromes are reviewed, with descriptions of the relevant spinal cord anatomy and common causes of these syndromes and with emphasis on the correlation of anatomic and imaging findings with clinical manifestations. The electromyography, nerve conduction studies, mri of the. Diagnostic testing for suspected motor neuron disease should include the following: Amyotrophic lateral sclerosis is a relentlessly progressive. Anterior Horn Disease Mri.
From www.slideserve.com
PPT Diagnosis of motor neuron disease PowerPoint Presentation, free Anterior Horn Disease Mri Amyotrophic lateral sclerosis is a relentlessly progressive neurological disorder characterized by the death of upper motor neurons (betz cells in the cortex) and anterior horn. The electromyography, nerve conduction studies, mri of the. Diagnostic testing for suspected motor neuron disease should include the following: Flexion cervical mr imaging is a very useful investigation in diagnosing hirayama disease. Incomplete spinal cord. Anterior Horn Disease Mri.
From radiologymri.blogspot.com
Radiology MRI Anterior Commissure Anterior Horn Disease Mri Diagnostic testing for suspected motor neuron disease should include the following: Flexion cervical mr imaging is a very useful investigation in diagnosing hirayama disease. Amyotrophic lateral sclerosis is a relentlessly progressive neurological disorder characterized by the death of upper motor neurons (betz cells in the cortex) and anterior horn. The electromyography, nerve conduction studies, mri of the. Incomplete spinal cord. Anterior Horn Disease Mri.
From www.researchgate.net
MRI (axial view) of the cervical spine (AD) T2 FLAIR (axial view) of Anterior Horn Disease Mri Emg/ncs, serum and urine electrophoresis,. Diagnostic testing for suspected motor neuron disease should include the following: Flexion cervical mr imaging is a very useful investigation in diagnosing hirayama disease. Incomplete spinal cord syndromes are reviewed, with descriptions of the relevant spinal cord anatomy and common causes of these syndromes and with emphasis on the correlation of anatomic and imaging findings. Anterior Horn Disease Mri.
From www.alamy.com
MRI of left knee joint showing minimal joint effusion, PHMM Posterior Anterior Horn Disease Mri The electromyography, nerve conduction studies, mri of the. Amyotrophic lateral sclerosis is a relentlessly progressive neurological disorder characterized by the death of upper motor neurons (betz cells in the cortex) and anterior horn. Incomplete spinal cord syndromes are reviewed, with descriptions of the relevant spinal cord anatomy and common causes of these syndromes and with emphasis on the correlation of. Anterior Horn Disease Mri.
From www.researchgate.net
T2weighted MRI at the T12 level showed bilateral hyperintensities in Anterior Horn Disease Mri Emg/ncs, serum and urine electrophoresis,. Diagnostic testing for suspected motor neuron disease should include the following: Flexion cervical mr imaging is a very useful investigation in diagnosing hirayama disease. Amyotrophic lateral sclerosis is a relentlessly progressive neurological disorder characterized by the death of upper motor neurons (betz cells in the cortex) and anterior horn. Incomplete spinal cord syndromes are reviewed,. Anterior Horn Disease Mri.
From radiopaedia.org
Image Anterior Horn Disease Mri Flexion cervical mr imaging is a very useful investigation in diagnosing hirayama disease. The electromyography, nerve conduction studies, mri of the. Incomplete spinal cord syndromes are reviewed, with descriptions of the relevant spinal cord anatomy and common causes of these syndromes and with emphasis on the correlation of anatomic and imaging findings with clinical manifestations. Amyotrophic lateral sclerosis is a. Anterior Horn Disease Mri.
From www.researchgate.net
Iba1 staining of the anterior horn at level L3L5 during the disease Anterior Horn Disease Mri Flexion cervical mr imaging is a very useful investigation in diagnosing hirayama disease. Diagnostic testing for suspected motor neuron disease should include the following: The electromyography, nerve conduction studies, mri of the. Incomplete spinal cord syndromes are reviewed, with descriptions of the relevant spinal cord anatomy and common causes of these syndromes and with emphasis on the correlation of anatomic. Anterior Horn Disease Mri.
From www.alamy.com
MRI of left knee joint showing minimal joint effusion, PHMM Posterior Anterior Horn Disease Mri Amyotrophic lateral sclerosis is a relentlessly progressive neurological disorder characterized by the death of upper motor neurons (betz cells in the cortex) and anterior horn. Diagnostic testing for suspected motor neuron disease should include the following: Incomplete spinal cord syndromes are reviewed, with descriptions of the relevant spinal cord anatomy and common causes of these syndromes and with emphasis on. Anterior Horn Disease Mri.
From www.eurorad.org
Huntington’s Disease An easily overlooked entity Eurorad Anterior Horn Disease Mri The electromyography, nerve conduction studies, mri of the. Flexion cervical mr imaging is a very useful investigation in diagnosing hirayama disease. Emg/ncs, serum and urine electrophoresis,. Diagnostic testing for suspected motor neuron disease should include the following: Incomplete spinal cord syndromes are reviewed, with descriptions of the relevant spinal cord anatomy and common causes of these syndromes and with emphasis. Anterior Horn Disease Mri.
From www.researchgate.net
MRI images of patients with Alzheimer’s disease. Temporal horn width Anterior Horn Disease Mri Amyotrophic lateral sclerosis is a relentlessly progressive neurological disorder characterized by the death of upper motor neurons (betz cells in the cortex) and anterior horn. Flexion cervical mr imaging is a very useful investigation in diagnosing hirayama disease. Emg/ncs, serum and urine electrophoresis,. Incomplete spinal cord syndromes are reviewed, with descriptions of the relevant spinal cord anatomy and common causes. Anterior Horn Disease Mri.
From www.researchgate.net
(PDF) Anomalous insertion of anterior and posterior horns of medial Anterior Horn Disease Mri The electromyography, nerve conduction studies, mri of the. Amyotrophic lateral sclerosis is a relentlessly progressive neurological disorder characterized by the death of upper motor neurons (betz cells in the cortex) and anterior horn. Incomplete spinal cord syndromes are reviewed, with descriptions of the relevant spinal cord anatomy and common causes of these syndromes and with emphasis on the correlation of. Anterior Horn Disease Mri.
From www.alamy.com
MRI of left knee joint showing minimal joint effusion, PHMM Posterior Anterior Horn Disease Mri The electromyography, nerve conduction studies, mri of the. Flexion cervical mr imaging is a very useful investigation in diagnosing hirayama disease. Diagnostic testing for suspected motor neuron disease should include the following: Incomplete spinal cord syndromes are reviewed, with descriptions of the relevant spinal cord anatomy and common causes of these syndromes and with emphasis on the correlation of anatomic. Anterior Horn Disease Mri.
From www.researchgate.net
(a) Sagittal T1weighted image showing the reference plane intersecting Anterior Horn Disease Mri Emg/ncs, serum and urine electrophoresis,. Incomplete spinal cord syndromes are reviewed, with descriptions of the relevant spinal cord anatomy and common causes of these syndromes and with emphasis on the correlation of anatomic and imaging findings with clinical manifestations. Diagnostic testing for suspected motor neuron disease should include the following: Amyotrophic lateral sclerosis is a relentlessly progressive neurological disorder characterized. Anterior Horn Disease Mri.
From www.arthroscopyjournal.org
Anteromedial Meniscofemoral Ligament of the Anterior Horn of the Medial Anterior Horn Disease Mri The electromyography, nerve conduction studies, mri of the. Amyotrophic lateral sclerosis is a relentlessly progressive neurological disorder characterized by the death of upper motor neurons (betz cells in the cortex) and anterior horn. Emg/ncs, serum and urine electrophoresis,. Flexion cervical mr imaging is a very useful investigation in diagnosing hirayama disease. Diagnostic testing for suspected motor neuron disease should include. Anterior Horn Disease Mri.
From www.researchgate.net
ac MRI of a case of IVO in the anterior horn of left lateral Anterior Horn Disease Mri Incomplete spinal cord syndromes are reviewed, with descriptions of the relevant spinal cord anatomy and common causes of these syndromes and with emphasis on the correlation of anatomic and imaging findings with clinical manifestations. Emg/ncs, serum and urine electrophoresis,. Diagnostic testing for suspected motor neuron disease should include the following: Amyotrophic lateral sclerosis is a relentlessly progressive neurological disorder characterized. Anterior Horn Disease Mri.
From www.alamy.com
MRI of left knee joint showing minimal joint effusion, PHMM Posterior Anterior Horn Disease Mri The electromyography, nerve conduction studies, mri of the. Incomplete spinal cord syndromes are reviewed, with descriptions of the relevant spinal cord anatomy and common causes of these syndromes and with emphasis on the correlation of anatomic and imaging findings with clinical manifestations. Emg/ncs, serum and urine electrophoresis,. Diagnostic testing for suspected motor neuron disease should include the following: Flexion cervical. Anterior Horn Disease Mri.
From www.alamy.com
MRI of left knee joint showing minimal joint effusion, PHMM Posterior Anterior Horn Disease Mri Diagnostic testing for suspected motor neuron disease should include the following: Flexion cervical mr imaging is a very useful investigation in diagnosing hirayama disease. The electromyography, nerve conduction studies, mri of the. Incomplete spinal cord syndromes are reviewed, with descriptions of the relevant spinal cord anatomy and common causes of these syndromes and with emphasis on the correlation of anatomic. Anterior Horn Disease Mri.
From www.neurology.org
Teaching NeuroImages Anterior horn cell hyperintensity in Hirayama Anterior Horn Disease Mri The electromyography, nerve conduction studies, mri of the. Diagnostic testing for suspected motor neuron disease should include the following: Emg/ncs, serum and urine electrophoresis,. Incomplete spinal cord syndromes are reviewed, with descriptions of the relevant spinal cord anatomy and common causes of these syndromes and with emphasis on the correlation of anatomic and imaging findings with clinical manifestations. Flexion cervical. Anterior Horn Disease Mri.
From www.alamy.com
MRI of left knee joint showing minimal joint effusion, PHMM Posterior Anterior Horn Disease Mri Incomplete spinal cord syndromes are reviewed, with descriptions of the relevant spinal cord anatomy and common causes of these syndromes and with emphasis on the correlation of anatomic and imaging findings with clinical manifestations. The electromyography, nerve conduction studies, mri of the. Amyotrophic lateral sclerosis is a relentlessly progressive neurological disorder characterized by the death of upper motor neurons (betz. Anterior Horn Disease Mri.
From www.slideserve.com
PPT Lesions of the spinal cord PowerPoint Presentation, free download Anterior Horn Disease Mri The electromyography, nerve conduction studies, mri of the. Diagnostic testing for suspected motor neuron disease should include the following: Amyotrophic lateral sclerosis is a relentlessly progressive neurological disorder characterized by the death of upper motor neurons (betz cells in the cortex) and anterior horn. Flexion cervical mr imaging is a very useful investigation in diagnosing hirayama disease. Incomplete spinal cord. Anterior Horn Disease Mri.