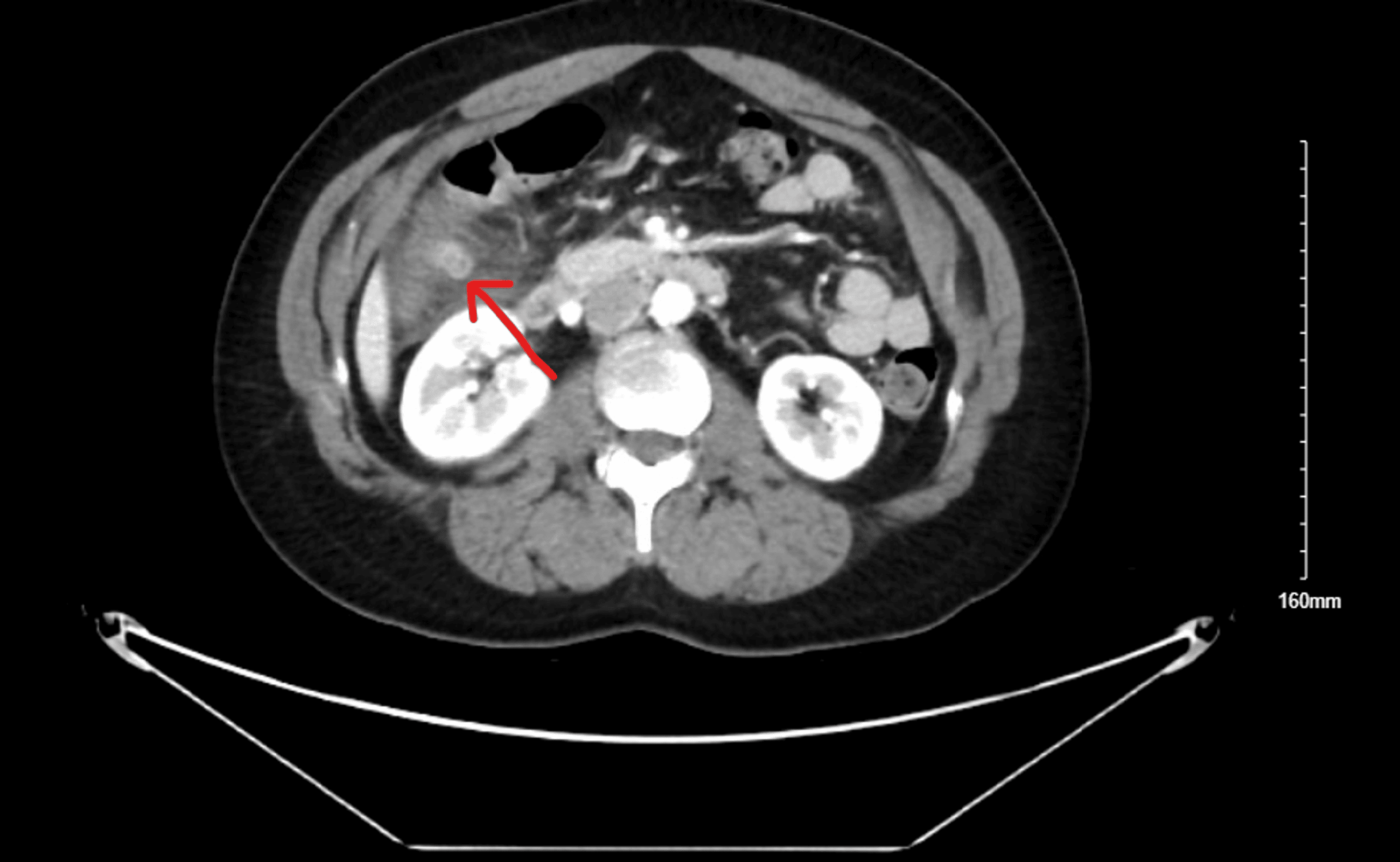
Hepatic Flexure Inflammation . Colorectal emergencies are a common presentation in the emergency medicine setting and their timely diagnosis plays a crucial role. 1 what does the scan show and what is the most likely underlying diagnosis? A large bowel stricture with shouldering at the hepatic flexure consistent with colonic carcinoma. Imaging the hepatic flexure can identify conditions such as colonic tumors and inflammatory bowel diseases. The hepatic immune system is designed to tolerate diverse harmless foreign moieties to maintain homeostasis in the. Either collagen or lymphocytes (a type of white blood cell) infiltrate into the layers of the wall of the colon,. The axial abdominal computed tomogram shows a shouldered colonic stricture at.
from www.researchgate.net
Either collagen or lymphocytes (a type of white blood cell) infiltrate into the layers of the wall of the colon,. Imaging the hepatic flexure can identify conditions such as colonic tumors and inflammatory bowel diseases. Colorectal emergencies are a common presentation in the emergency medicine setting and their timely diagnosis plays a crucial role. A large bowel stricture with shouldering at the hepatic flexure consistent with colonic carcinoma. The axial abdominal computed tomogram shows a shouldered colonic stricture at. The hepatic immune system is designed to tolerate diverse harmless foreign moieties to maintain homeostasis in the. 1 what does the scan show and what is the most likely underlying diagnosis?
A NCCT abdomen showing mild thickening of wall of hepatic flexure
Hepatic Flexure Inflammation The axial abdominal computed tomogram shows a shouldered colonic stricture at. Colorectal emergencies are a common presentation in the emergency medicine setting and their timely diagnosis plays a crucial role. A large bowel stricture with shouldering at the hepatic flexure consistent with colonic carcinoma. The hepatic immune system is designed to tolerate diverse harmless foreign moieties to maintain homeostasis in the. Either collagen or lymphocytes (a type of white blood cell) infiltrate into the layers of the wall of the colon,. Imaging the hepatic flexure can identify conditions such as colonic tumors and inflammatory bowel diseases. 1 what does the scan show and what is the most likely underlying diagnosis? The axial abdominal computed tomogram shows a shouldered colonic stricture at.
From www.wisegeek.org
What is Hepatic Flexure? (with pictures) Hepatic Flexure Inflammation 1 what does the scan show and what is the most likely underlying diagnosis? Imaging the hepatic flexure can identify conditions such as colonic tumors and inflammatory bowel diseases. Colorectal emergencies are a common presentation in the emergency medicine setting and their timely diagnosis plays a crucial role. The axial abdominal computed tomogram shows a shouldered colonic stricture at. A. Hepatic Flexure Inflammation.
From www.frontiersin.org
Frontiers Innate immunity and early liver inflammation Hepatic Flexure Inflammation Colorectal emergencies are a common presentation in the emergency medicine setting and their timely diagnosis plays a crucial role. Either collagen or lymphocytes (a type of white blood cell) infiltrate into the layers of the wall of the colon,. The hepatic immune system is designed to tolerate diverse harmless foreign moieties to maintain homeostasis in the. Imaging the hepatic flexure. Hepatic Flexure Inflammation.
From www.researchgate.net
Contrastenhanced computed tomography showing the mass in hepatic Hepatic Flexure Inflammation 1 what does the scan show and what is the most likely underlying diagnosis? Either collagen or lymphocytes (a type of white blood cell) infiltrate into the layers of the wall of the colon,. The hepatic immune system is designed to tolerate diverse harmless foreign moieties to maintain homeostasis in the. Imaging the hepatic flexure can identify conditions such as. Hepatic Flexure Inflammation.
From colon.thecommonvein.net
Hepatic flexure Colon Hepatic Flexure Inflammation Either collagen or lymphocytes (a type of white blood cell) infiltrate into the layers of the wall of the colon,. 1 what does the scan show and what is the most likely underlying diagnosis? The axial abdominal computed tomogram shows a shouldered colonic stricture at. A large bowel stricture with shouldering at the hepatic flexure consistent with colonic carcinoma. The. Hepatic Flexure Inflammation.
From publishing.rcseng.ac.uk
Obstructed hepatic flexure contained in a rightsided inguinoscrotal Hepatic Flexure Inflammation The hepatic immune system is designed to tolerate diverse harmless foreign moieties to maintain homeostasis in the. Imaging the hepatic flexure can identify conditions such as colonic tumors and inflammatory bowel diseases. The axial abdominal computed tomogram shows a shouldered colonic stricture at. 1 what does the scan show and what is the most likely underlying diagnosis? A large bowel. Hepatic Flexure Inflammation.
From www.researchgate.net
Fungating mass visualized at the hepatic flexure. Download Scientific Hepatic Flexure Inflammation 1 what does the scan show and what is the most likely underlying diagnosis? Colorectal emergencies are a common presentation in the emergency medicine setting and their timely diagnosis plays a crucial role. Imaging the hepatic flexure can identify conditions such as colonic tumors and inflammatory bowel diseases. A large bowel stricture with shouldering at the hepatic flexure consistent with. Hepatic Flexure Inflammation.
From www.bmj.com
An abnormality at the hepatic flexure The BMJ Hepatic Flexure Inflammation Either collagen or lymphocytes (a type of white blood cell) infiltrate into the layers of the wall of the colon,. A large bowel stricture with shouldering at the hepatic flexure consistent with colonic carcinoma. The axial abdominal computed tomogram shows a shouldered colonic stricture at. 1 what does the scan show and what is the most likely underlying diagnosis? The. Hepatic Flexure Inflammation.
From www.researchgate.net
Overview of Colon and Resection Sites of the 105 Tissue Samples Hepatic Flexure Inflammation Either collagen or lymphocytes (a type of white blood cell) infiltrate into the layers of the wall of the colon,. Colorectal emergencies are a common presentation in the emergency medicine setting and their timely diagnosis plays a crucial role. The axial abdominal computed tomogram shows a shouldered colonic stricture at. A large bowel stricture with shouldering at the hepatic flexure. Hepatic Flexure Inflammation.
From onlinelibrary.wiley.com
En bloc resection of a T4B stage cancer of the hepatic flexure of the Hepatic Flexure Inflammation The axial abdominal computed tomogram shows a shouldered colonic stricture at. A large bowel stricture with shouldering at the hepatic flexure consistent with colonic carcinoma. 1 what does the scan show and what is the most likely underlying diagnosis? Colorectal emergencies are a common presentation in the emergency medicine setting and their timely diagnosis plays a crucial role. Either collagen. Hepatic Flexure Inflammation.
From radiopaedia.org
Pseudokidney sign (hepatic flexure) Image Hepatic Flexure Inflammation The axial abdominal computed tomogram shows a shouldered colonic stricture at. 1 what does the scan show and what is the most likely underlying diagnosis? Either collagen or lymphocytes (a type of white blood cell) infiltrate into the layers of the wall of the colon,. Imaging the hepatic flexure can identify conditions such as colonic tumors and inflammatory bowel diseases.. Hepatic Flexure Inflammation.
From www.researchgate.net
Coronal section of abdominal CT scan showing thickened hepatic flexure Hepatic Flexure Inflammation The hepatic immune system is designed to tolerate diverse harmless foreign moieties to maintain homeostasis in the. Imaging the hepatic flexure can identify conditions such as colonic tumors and inflammatory bowel diseases. Either collagen or lymphocytes (a type of white blood cell) infiltrate into the layers of the wall of the colon,. Colorectal emergencies are a common presentation in the. Hepatic Flexure Inflammation.
From www.researchgate.net
(PDF) An Inflammatory Fibroid Polyp in the Hepatic Flexure of the Colon Hepatic Flexure Inflammation Imaging the hepatic flexure can identify conditions such as colonic tumors and inflammatory bowel diseases. Colorectal emergencies are a common presentation in the emergency medicine setting and their timely diagnosis plays a crucial role. A large bowel stricture with shouldering at the hepatic flexure consistent with colonic carcinoma. Either collagen or lymphocytes (a type of white blood cell) infiltrate into. Hepatic Flexure Inflammation.
From ar.inspiredpencil.com
Right Colic Flexure Hepatic Flexure Inflammation The hepatic immune system is designed to tolerate diverse harmless foreign moieties to maintain homeostasis in the. The axial abdominal computed tomogram shows a shouldered colonic stricture at. 1 what does the scan show and what is the most likely underlying diagnosis? Colorectal emergencies are a common presentation in the emergency medicine setting and their timely diagnosis plays a crucial. Hepatic Flexure Inflammation.
From www.wisegeek.com
What is Hepatic Flexure? (with pictures) Hepatic Flexure Inflammation The hepatic immune system is designed to tolerate diverse harmless foreign moieties to maintain homeostasis in the. The axial abdominal computed tomogram shows a shouldered colonic stricture at. Imaging the hepatic flexure can identify conditions such as colonic tumors and inflammatory bowel diseases. Either collagen or lymphocytes (a type of white blood cell) infiltrate into the layers of the wall. Hepatic Flexure Inflammation.
From www.howtorelief.com
What Is Ulcerative Colitis Symptoms, Causes, Diagnosis, Treatment Hepatic Flexure Inflammation A large bowel stricture with shouldering at the hepatic flexure consistent with colonic carcinoma. The axial abdominal computed tomogram shows a shouldered colonic stricture at. The hepatic immune system is designed to tolerate diverse harmless foreign moieties to maintain homeostasis in the. 1 what does the scan show and what is the most likely underlying diagnosis? Colorectal emergencies are a. Hepatic Flexure Inflammation.
From www.semanticscholar.org
Figure 3 from Giant Inflammatory Fibroid Polyp of the Hepatic Flexure Hepatic Flexure Inflammation Imaging the hepatic flexure can identify conditions such as colonic tumors and inflammatory bowel diseases. A large bowel stricture with shouldering at the hepatic flexure consistent with colonic carcinoma. Either collagen or lymphocytes (a type of white blood cell) infiltrate into the layers of the wall of the colon,. The axial abdominal computed tomogram shows a shouldered colonic stricture at.. Hepatic Flexure Inflammation.
From www.researchgate.net
A NCCT abdomen showing mild thickening of wall of hepatic flexure Hepatic Flexure Inflammation A large bowel stricture with shouldering at the hepatic flexure consistent with colonic carcinoma. The axial abdominal computed tomogram shows a shouldered colonic stricture at. 1 what does the scan show and what is the most likely underlying diagnosis? The hepatic immune system is designed to tolerate diverse harmless foreign moieties to maintain homeostasis in the. Colorectal emergencies are a. Hepatic Flexure Inflammation.
From www.alamy.com
Hepatic flexure of the colon. Endoscopic view inside the hepatic Hepatic Flexure Inflammation 1 what does the scan show and what is the most likely underlying diagnosis? Either collagen or lymphocytes (a type of white blood cell) infiltrate into the layers of the wall of the colon,. Imaging the hepatic flexure can identify conditions such as colonic tumors and inflammatory bowel diseases. The axial abdominal computed tomogram shows a shouldered colonic stricture at.. Hepatic Flexure Inflammation.
From www.researchgate.net
A NCCT abdomen showing mild thickening of wall of hepatic flexure Hepatic Flexure Inflammation A large bowel stricture with shouldering at the hepatic flexure consistent with colonic carcinoma. Either collagen or lymphocytes (a type of white blood cell) infiltrate into the layers of the wall of the colon,. Imaging the hepatic flexure can identify conditions such as colonic tumors and inflammatory bowel diseases. The axial abdominal computed tomogram shows a shouldered colonic stricture at.. Hepatic Flexure Inflammation.
From www.cureus.com
A Rare Presentation of Epiploic Appendagitis as Chest Pain A Case Hepatic Flexure Inflammation The hepatic immune system is designed to tolerate diverse harmless foreign moieties to maintain homeostasis in the. A large bowel stricture with shouldering at the hepatic flexure consistent with colonic carcinoma. Colorectal emergencies are a common presentation in the emergency medicine setting and their timely diagnosis plays a crucial role. 1 what does the scan show and what is the. Hepatic Flexure Inflammation.
From www.frontiersin.org
Frontiers Surgical Treatment of SplenicFlexure Colon Cancer Hepatic Flexure Inflammation Colorectal emergencies are a common presentation in the emergency medicine setting and their timely diagnosis plays a crucial role. The hepatic immune system is designed to tolerate diverse harmless foreign moieties to maintain homeostasis in the. 1 what does the scan show and what is the most likely underlying diagnosis? Imaging the hepatic flexure can identify conditions such as colonic. Hepatic Flexure Inflammation.
From www.researchgate.net
Colonoscopy photo in the hepatic flexure showing the smooth, rounded Hepatic Flexure Inflammation The axial abdominal computed tomogram shows a shouldered colonic stricture at. Either collagen or lymphocytes (a type of white blood cell) infiltrate into the layers of the wall of the colon,. Imaging the hepatic flexure can identify conditions such as colonic tumors and inflammatory bowel diseases. Colorectal emergencies are a common presentation in the emergency medicine setting and their timely. Hepatic Flexure Inflammation.
From www.researchgate.net
Retrospectively detected tumor near the hepatic flexure. Concentric Hepatic Flexure Inflammation Colorectal emergencies are a common presentation in the emergency medicine setting and their timely diagnosis plays a crucial role. Imaging the hepatic flexure can identify conditions such as colonic tumors and inflammatory bowel diseases. 1 what does the scan show and what is the most likely underlying diagnosis? A large bowel stricture with shouldering at the hepatic flexure consistent with. Hepatic Flexure Inflammation.
From www.ajronline.org
CT of Bowel Wall Thickening Significance and Pitfalls of Interpretation Hepatic Flexure Inflammation Either collagen or lymphocytes (a type of white blood cell) infiltrate into the layers of the wall of the colon,. 1 what does the scan show and what is the most likely underlying diagnosis? The hepatic immune system is designed to tolerate diverse harmless foreign moieties to maintain homeostasis in the. Imaging the hepatic flexure can identify conditions such as. Hepatic Flexure Inflammation.
From www.bmj.com
An abnormality at the hepatic flexure The BMJ Hepatic Flexure Inflammation Either collagen or lymphocytes (a type of white blood cell) infiltrate into the layers of the wall of the colon,. Colorectal emergencies are a common presentation in the emergency medicine setting and their timely diagnosis plays a crucial role. Imaging the hepatic flexure can identify conditions such as colonic tumors and inflammatory bowel diseases. The hepatic immune system is designed. Hepatic Flexure Inflammation.
From www.researchgate.net
Colonoscopy showing an encircling mass causing luminal narrowing at the Hepatic Flexure Inflammation The axial abdominal computed tomogram shows a shouldered colonic stricture at. 1 what does the scan show and what is the most likely underlying diagnosis? The hepatic immune system is designed to tolerate diverse harmless foreign moieties to maintain homeostasis in the. Either collagen or lymphocytes (a type of white blood cell) infiltrate into the layers of the wall of. Hepatic Flexure Inflammation.
From www.youtube.com
What Is Hepatic Flexure? YouTube Hepatic Flexure Inflammation 1 what does the scan show and what is the most likely underlying diagnosis? The hepatic immune system is designed to tolerate diverse harmless foreign moieties to maintain homeostasis in the. Colorectal emergencies are a common presentation in the emergency medicine setting and their timely diagnosis plays a crucial role. A large bowel stricture with shouldering at the hepatic flexure. Hepatic Flexure Inflammation.
From www.eurorad.org
Hepatic abscess Eurorad Hepatic Flexure Inflammation 1 what does the scan show and what is the most likely underlying diagnosis? Imaging the hepatic flexure can identify conditions such as colonic tumors and inflammatory bowel diseases. Colorectal emergencies are a common presentation in the emergency medicine setting and their timely diagnosis plays a crucial role. The hepatic immune system is designed to tolerate diverse harmless foreign moieties. Hepatic Flexure Inflammation.
From slidetodoc.com
NUR 103 Health Assessment The Abdomen Objectives Define Hepatic Flexure Inflammation 1 what does the scan show and what is the most likely underlying diagnosis? Imaging the hepatic flexure can identify conditions such as colonic tumors and inflammatory bowel diseases. Colorectal emergencies are a common presentation in the emergency medicine setting and their timely diagnosis plays a crucial role. A large bowel stricture with shouldering at the hepatic flexure consistent with. Hepatic Flexure Inflammation.
From www.researchgate.net
Shows an area of inflammatory reaction between the hepatic flexure and Hepatic Flexure Inflammation The axial abdominal computed tomogram shows a shouldered colonic stricture at. Colorectal emergencies are a common presentation in the emergency medicine setting and their timely diagnosis plays a crucial role. Either collagen or lymphocytes (a type of white blood cell) infiltrate into the layers of the wall of the colon,. The hepatic immune system is designed to tolerate diverse harmless. Hepatic Flexure Inflammation.
From www.flickr.com
CT colon hepatic flexure syndrome IBS slow transit Flickr Hepatic Flexure Inflammation The axial abdominal computed tomogram shows a shouldered colonic stricture at. Either collagen or lymphocytes (a type of white blood cell) infiltrate into the layers of the wall of the colon,. Imaging the hepatic flexure can identify conditions such as colonic tumors and inflammatory bowel diseases. 1 what does the scan show and what is the most likely underlying diagnosis?. Hepatic Flexure Inflammation.
From radiopaedia.org
Pseudokidney sign (hepatic flexure) Image Hepatic Flexure Inflammation 1 what does the scan show and what is the most likely underlying diagnosis? The hepatic immune system is designed to tolerate diverse harmless foreign moieties to maintain homeostasis in the. Imaging the hepatic flexure can identify conditions such as colonic tumors and inflammatory bowel diseases. The axial abdominal computed tomogram shows a shouldered colonic stricture at. Either collagen or. Hepatic Flexure Inflammation.
From www.semanticscholar.org
Figure 3 from An Inflammatory Fibroid Polyp in the Hepatic Flexure of Hepatic Flexure Inflammation The hepatic immune system is designed to tolerate diverse harmless foreign moieties to maintain homeostasis in the. Imaging the hepatic flexure can identify conditions such as colonic tumors and inflammatory bowel diseases. Colorectal emergencies are a common presentation in the emergency medicine setting and their timely diagnosis plays a crucial role. A large bowel stricture with shouldering at the hepatic. Hepatic Flexure Inflammation.
From www.ncbi.nlm.nih.gov
Figure 1, Locations in the Large Intestine Proximal Colon (Cecum Hepatic Flexure Inflammation The axial abdominal computed tomogram shows a shouldered colonic stricture at. The hepatic immune system is designed to tolerate diverse harmless foreign moieties to maintain homeostasis in the. 1 what does the scan show and what is the most likely underlying diagnosis? Either collagen or lymphocytes (a type of white blood cell) infiltrate into the layers of the wall of. Hepatic Flexure Inflammation.
From www.researchgate.net
Axial view in panel a showing circumferential wall thickening of the Hepatic Flexure Inflammation Either collagen or lymphocytes (a type of white blood cell) infiltrate into the layers of the wall of the colon,. Colorectal emergencies are a common presentation in the emergency medicine setting and their timely diagnosis plays a crucial role. A large bowel stricture with shouldering at the hepatic flexure consistent with colonic carcinoma. 1 what does the scan show and. Hepatic Flexure Inflammation.